JavaScript is disabled in your browser. Please enable JavaScript to view this website.
AB315326

Anti-RPUSD4 抗体 [EPR26285-12]

Anti-RPUSD4 antibody [EPR26285-12]

Be the first to review this product! Submit a review

|

(0 Publication)

Rabbit Recombinant Monoclonal RUSD4 antibody. Suitable for ICC/IF, WB, IP and reacts with Human, Rat samples.

別名を表示する

RNA pseudouridylate synthase domain-containing protein 4, RPUSD4

6 Images
Immunocytochemistry/ Immunofluorescence - Anti-RPUSD4 antibody [EPR26285-12] (AB315326)
  • ICC/IF

Supplier Data

Immunocytochemistry/ Immunofluorescence - Anti-RPUSD4 antibody [EPR26285-12] (AB315326)

Immunofluorescent analysis of 4% Paraformaldehyde-fixed, 0.1% TritonX-100 permeabilized 143B (human osteosarcoma cell) cells labelling RPUSD4 with ab315326 at 1/50 (10.34 ug/ml) dilution, followed by ab150081 Goat Anti-Rabbit IgG H&L (Alexa Fluor® 488) preadsorbed antibody at 1/1000 (2 ug/mL) dilution (Green).

Confocal image showing cytoplasmic staining in 143B cells.
Image was taken with a confocal microscope (Leica-Microsystems, TCS SP8).

ab195889 Anti-alpha Tubulin mouse monoclonal antibody - Microtubule Marker (Alexa Fluor® 594) was used to counterstain tubulin at 1/200 (2.5ug/ml) dilution (Red). The Nuclear counterstain was DAPI (Blue).

Secondary antibody only control : Secondary antibody is ab150081 Goat Anti-Rabbit IgG H&L (Alexa Fluor® 488) preadsorbed at 1/1000 (2 ug/mL) dilution.

Immunocytochemistry/ Immunofluorescence - Anti-RPUSD4 antibody [EPR26285-12] (AB315326)
  • ICC/IF

Supplier Data

Immunocytochemistry/ Immunofluorescence - Anti-RPUSD4 antibody [EPR26285-12] (AB315326)

Immunofluorescent analysis of 4% Paraformaldehyde-fixed, 0.1% TritonX-100 permeabilized 293T (human embryonic kidney epithelial cell) cells labelling RPUSD4 with ab315326 at 1/50 (10.34 ug/ml) dilution, followed by ab150081 Goat Anti-Rabbit IgG H&L (Alexa Fluor® 488) preadsorbed antibody at 1/1000 (2 ug/mL) dilution (Green).

Confocal image showing cytoplasmic staining in 293T cells.
Image was taken with a confocal microscope (Leica-Microsystems, TCS SP8).

ab195889 Anti-alpha Tubulin mouse monoclonal antibody - Microtubule Marker (Alexa Fluor® 594) was used to counterstain tubulin at 1/200 (2.5ug/ml) dilution (Red). The Nuclear counterstain was DAPI (Blue).

Secondary antibody only control : Secondary antibody is ab150081 Goat Anti-Rabbit IgG H&L (Alexa Fluor® 488) preadsorbed at 1/1000 (2 ug/mL) dilution.

Immunoprecipitation - Anti-RPUSD4 antibody [EPR26285-12] (AB315326)
  • IP

Supplier Data

Immunoprecipitation - Anti-RPUSD4 antibody [EPR26285-12] (AB315326)

RPUSD4 was immunoprecipitated from 0.35 mg 293T (human embryonic kidney epithelial cell) whole cell lysate with ab315326 at 1/30 dilution (2ug in 0.35mg lysates). Western blot was performed on the immunoprecipitate using ab315326 at 1/1000 dilution. VeriBlot for IP secondary antibody(HRP)(ab131366) was used at 1/5000 dilution.

Blocking and diluting buffer and concentration : 5% NFDM/TBST.

All lanes:

Immunoprecipitation - Anti-RPUSD4 antibody [EPR26285-12] (ab315326) at 1/1000 dilution

Lane 1:

293T (human embryonic kidney epithelial cell) whole cell lysate

Lane 2:

ab315326 at 1/30 IP in 293T (human embryonic kidney epithelial cell) whole cell lysate

Lane 3:

Rabbit monoclonal IgG (<a href='/products/primary-antibodies/rabbit-igg-monoclonal-epr25a-isotype-control-ab172730'>ab172730</a>) instead of ab315326 in 293T whole cell lysate

Secondary

All lanes:

Immunoprecipitation - VeriBlot for IP Detection Reagent (HRP) (<a href='/products/reagents/veriblot-for-ip-detection-reagent-hrp-ab131366'>ab131366</a>) at 1/5000 dilution

false

Exposure time: 180s

Western blot - Anti-RPUSD4 antibody [EPR26285-12] (AB315326)
  • WB

Supplier Data

Western blot - Anti-RPUSD4 antibody [EPR26285-12] (AB315326)

Blocking and diluting buffer and concentration : 5% NFDM/TBST.

All lanes:

Western blot - Anti-RPUSD4 antibody [EPR26285-12] (ab315326) at 1/1000 dilution

All lanes:

Human skeletal muscle tissue lysate at 20 µg

Secondary

All lanes:

Goat Anti-Rabbit IgG (HRP) with minimal cross-reactivity with human IgG at 1/2000 dilution

Observed band size: 37 kDa

false

Exposure time: 158s

Western blot - Anti-RPUSD4 antibody [EPR26285-12] (AB315326)
  • WB

Supplier Data

Western blot - Anti-RPUSD4 antibody [EPR26285-12] (AB315326)

Blocking and diluting buffer and concentration : 5% NFDM/TBST.

All lanes:

Western blot - Anti-RPUSD4 antibody [EPR26285-12] (ab315326) at 1/1000 dilution

Lane 1:

HeLa (human cervical adenocarcinoma epithelial cell) whole cell lysate at 20 µg

Lane 2:

293T (human embryonic kidney epithelial cell) whole cell lysate at 20 µg

Lane 3:

PC-12 (rat adrenal gland pheochromocytoma cell) whole cell lysate at 20 µg

Secondary

All lanes:

Western blot - Goat Anti-Rabbit IgG H&L (HRP) (<a href='/products/secondary-antibodies/goat-rabbit-igg-h-l-hrp-ab97051'>ab97051</a>) at 1/20000 dilution

Observed band size: 37 kDa

false

Exposure time: 180s

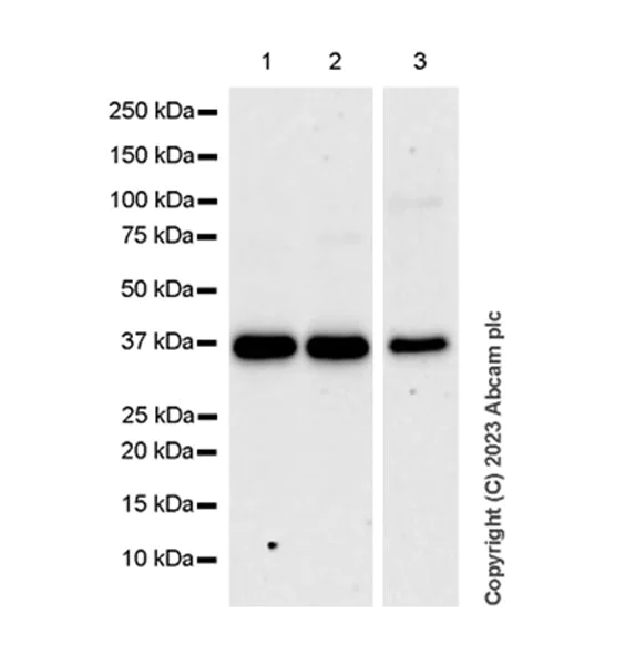
Western blot - Anti-RPUSD4 antibody [EPR26285-12] (AB315326)
  • WB

Supplier Data

Western blot - Anti-RPUSD4 antibody [EPR26285-12] (AB315326)

In Western blot, Anti-GAPDH antibody [EPR16891] - Loading Control (ab181602) staining at 1/200000 dilution.

Blocking and diluting buffer and concentration : 5% NFDM/TBST.

All lanes:

Western blot - Anti-RPUSD4 antibody [EPR26285-12] (ab315326) at 1/1000 dilution

Lane 1:

143B (human osteosarcoma cell ) whole cell lysate at 20 µg

Lane 2:

293T (human embryonic kidney epithelial cell) transfected with scrambled siRNA control whole cell lysate at 20 µg

Lane 3:

293T transfected with siRNA specifically targeting RPUSD4 whole cell lysate at 20 µg

Lane 4:

K-562 (human chronic myelogenous leukemia lymphoblast) whole cell lysate at 20 µg

Secondary

All lanes:

Western blot - Goat Anti-Rabbit IgG H&L (HRP) (<a href='/products/secondary-antibodies/goat-rabbit-igg-h-l-hrp-ab97051'>ab97051</a>) at 1/20000 dilution

Observed band size: 37 kDa,36 kDa

true

Exposure time: 114s

関連する標識済み抗体及び組成の異なる製品 (1)

  • Carrier free

    Anti-RPUSD4 antibody [EPR26285-12] - BSA and Azide free

Key facts

宿主種

Rabbit

クローン性

Monoclonal

クローン番号

EPR26285-12

アイソタイプ

IgG

キャリアフリー

No

交差種

Human, Rat

アプリケーション

IP, WB, ICC/IF

applications

免疫原

The exact immunogen used to generate this antibody is proprietary information.

Reactivity data

{ "title": "Reactivity Data", "filters": { "stats": ["", "Species", "Dilution Info", "Notes"], "tabs": { "all-applications": {"fullname" : "All Applications", "shortname": "All Applications"}, "ICCIF" : {"fullname" : "Immunocytochemistry/ Immunofluorescence", "shortname":"ICC/IF"}, "WB" : {"fullname" : "Western blot", "shortname":"WB"}, "IP" : {"fullname" : "Immunoprecipitation", "shortname":"IP"}, "FlowCytIntra" : {"fullname" : "Flow Cytometry (Intracellular)", "shortname":"Flow Cyt (Intra)"}, "IHCP" : {"fullname" : "Immunohistochemistry (Formalin/PFA-fixed paraffin-embedded sections)", "shortname":"IHC-P"} }, "product-promise": { "all": "all", "testedAndGuaranteed": "tested", "guaranteed": "expected", "predicted": "predicted", "notRecommended": "not-recommended" } }, "values": { "Human": { "ICCIF-species-checked": "testedAndGuaranteed", "ICCIF-species-dilution-info": "1/50", "ICCIF-species-notes": "<p></p>", "WB-species-checked": "testedAndGuaranteed", "WB-species-dilution-info": "1/1000", "WB-species-notes": "<p></p>", "IP-species-checked": "testedAndGuaranteed", "IP-species-dilution-info": "1/30", "IP-species-notes": "<p></p>", "FlowCytIntra-species-checked": "notRecommended", "FlowCytIntra-species-dilution-info": "", "FlowCytIntra-species-notes": "<p></p>", "IHCP-species-checked": "notRecommended", "IHCP-species-dilution-info": "", "IHCP-species-notes": "<p></p>" }, "Mouse": { "ICCIF-species-checked": "notRecommended", "ICCIF-species-dilution-info": "", "ICCIF-species-notes": "", "WB-species-checked": "notRecommended", "WB-species-dilution-info": "", "WB-species-notes": "<p></p>", "IP-species-checked": "notRecommended", "IP-species-dilution-info": "", "IP-species-notes": "", "FlowCytIntra-species-checked": "notRecommended", "FlowCytIntra-species-dilution-info": "", "FlowCytIntra-species-notes": "", "IHCP-species-checked": "notRecommended", "IHCP-species-dilution-info": "", "IHCP-species-notes": "<p></p>" }, "Rat": { "ICCIF-species-checked": "guaranteed", "ICCIF-species-dilution-info": "", "ICCIF-species-notes": "", "WB-species-checked": "testedAndGuaranteed", "WB-species-dilution-info": "1/1000", "WB-species-notes": "<p></p>", "IP-species-checked": "guaranteed", "IP-species-dilution-info": "", "IP-species-notes": "", "FlowCytIntra-species-checked": "notRecommended", "FlowCytIntra-species-dilution-info": "", "FlowCytIntra-species-notes": "", "IHCP-species-checked": "notRecommended", "IHCP-species-dilution-info": "", "IHCP-species-notes": "<p></p>" } } }

製品の詳細

Patented technology
Our RabMAb® technology is a patented hybridoma-based technology for making rabbit monoclonal antibodies. For details on our patents, please refer to RabMAb® patents.

What are the advantages of a recombinant monoclonal antibody?
This product is a recombinant monoclonal antibody, which offers several advantages including:

  • - High batch-to-batch consistency and reproducibility
  • - Improved sensitivity and specificity
  • - Long-term security of supply
  • - Animal-free batch production

For more information, read more on recombinant antibodies.

出荷温度及び保存条件

製品の状態
Liquid
精製方法
Affinity purification Protein A
バッファー組成
pH: 7.2 - 7.4 Preservative: 0.01% Sodium azide Constituents: PBS, 40% Glycerol (glycerin, glycerine), 0.05% BSA
出荷温度
Blue Ice
短期保存期間
1-2 weeks
短期保存温度
+4°C
長期保存温度
-20°C
分注に関する情報
Upon delivery aliquot
保管に関する情報
Avoid freeze / thaw cycle

補足情報

This supplementary information is collated from multiple sources and compiled automatically.

RPUSD4 also known as RNA Pseudouridylate Synthase Domain Containing 4 is a mitochondrial protein with a molecular mass of approximately 54 kDa. It plays a mechanical role in catalyzing the isomerization of uridine to pseudouridine in RNA a process important for RNA stability and function. This protein is expressed mainly in the mitochondria of human cells where it helps maintain proper mitochondrial RNA processing.
Biological function summary

RPUSD4 contributes to the modification of mitochondrial rRNA and tRNAn important for mitochondrial translation and the overall efficiency of protein synthesis. RPUSD4 operates as part of a larger biochemical complex within the mitochondria that ensures correct folding and stability of mitochondrial RNAs. This pseudouridylation process is important for the fidelity of mitochondrial protein synthesis affecting cellular energy metabolism.

Pathways

RPUSD4 integrates into mitochondrial biogenesis and metabolism. It interacts with pathways essential for oxidative phosphorylation the process by which cells convert nutrients into energy. RPUSD4 operates alongside other mitochondrial proteins like MRPP1 and MRPP3 coordinating the synthesis of proteins necessary for the electron transport chain.

Malfunction of RPUSD4 associates with mitochondrial dysfunction which can lead to conditions such as mitochondrial myopathy and Leigh syndrome. These diseases often exhibit symptoms stemming from impaired cellular energy homeostasis. The involvement of RPUSD4 with mitochondrial proteins like POLG indicates its role in genetic mitochondrial pathologies influencing their severity and onset.

製品プロトコール

For this product, it's our understanding that no specific protocols are required. You can visit:

ターゲットの情報

Catalyzes uridine to pseudouridine isomerization (pseudouridylation) of different mitochondrial RNA substrates (PubMed : 27974379, PubMed : 28082677). Acts on position 1397 in 16S mitochondrial ribosomal RNA (16S mt-rRNA) (PubMed : 27974379). This modification is required for the assembly of 16S mt-rRNA into a functional mitochondrial ribosome (PubMed : 27974379). As a component of a functional protein-RNA module, consisting of RCC1L, NGRN, RPUSD3, RPUSD4, TRUB2, FASTKD2 and 16S mt-rRNA, controls 16S mt-rRNA abundance and is required for intra-mitochondrial translation (PubMed : 27667664). Acts on position 39 in mitochondrial tRNA(Phe) (PubMed : 28082677). Also catalyzes pseudouridylation of mRNAs in nucleus : acts as a regulator of pre-mRNA splicing by mediating pseudouridylation of pre-mRNAs at locations associated with alternatively spliced regions (PubMed : 35051350). Pseudouridylation of pre-mRNAs near splice sites directly regulates mRNA splicing and mRNA 3'-end processing (PubMed : 35051350).
See full target information RPUSD4

Abcam product promise

当社は、高品質な試薬を通じてお客様の研究を力強くサポートすることをお約束いたします。ご使用いただく各段階で、常にお客様をサポートできる体制を整えております。万が一、製品が期待通りに機能しない場合は、「Abcam Product Promise」による当社保証制度に基づき、安心してご利用いただけます。
保証に関する詳細については利用規約をご確認ください。

Please note: All products are 'FOR RESEARCH USE ONLY. NOT FOR USE IN DIAGNOSTIC OR THERAPEUTIC PROCEDURES'.

For licensing inquiries, please contact partnerships@abcam.com