JavaScript is disabled in your browser. Please enable JavaScript to view this website.
AB182150

Anti-RPB3 抗体 [EPR13294(B)]

Anti-RPB3 antibody [EPR13294(B)]

Be the first to review this product! Submit a review

|

(5 Publications)

Rabbit Recombinant Monoclonal RPB3 antibody. Suitable for WB, IHC-P and reacts with Human samples. Cited in 5 publications.

別名を表示する

A-152E5.7, POLR2C, DNA-directed RNA polymerase II subunit RPB3, RNA polymerase II subunit 3, RNA polymerase II subunit B3, DNA-directed RNA polymerase II 33 kDa polypeptide, DNA-directed RNA polymerase II subunit C, RPB31, RPB33

2 Images
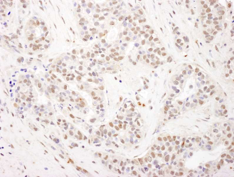
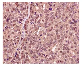
Immunohistochemistry (Formalin/PFA-fixed paraffin-embedded sections) - Anti-RPB3 antibody [EPR13294(B)] (AB182150)
  • IHC-P

Supplier Data

Immunohistochemistry (Formalin/PFA-fixed paraffin-embedded sections) - Anti-RPB3 antibody [EPR13294(B)] (AB182150)

Immunohistochemical analysis of paraffin-embedded Human ovarian carcinoma tissue labeling RPB3 with ab182150 at 1/100 dilution followed by pre-diluted HRP-conjugated secondary antibody and counter-stained with Hematoxylin.

Perform heat mediated antigen retrieval with EDTA buffer pH 9 before commencing with IHC staining protocol.

Western blot - Anti-RPB3 antibody [EPR13294(B)] (AB182150)
  • WB

Supplier Data

Western blot - Anti-RPB3 antibody [EPR13294(B)] (AB182150)

All lanes:

Western blot - Anti-RPB3 antibody [EPR13294(B)] (ab182150) at 1/50000 dilution

Lane 1:

Jurkat cell lysate at 20 µg

Lane 2:

HeLa cell lysate at 20 µg

Lane 3:

293T cell lysate at 20 µg

Lane 4:

Human fetal kidney lysate at 20 µg

Secondary

All lanes:

Goat Anti-Rabbit IgG, (H+L), Peroxidase conjugate at 1/1000 dilution

Predicted band size: 31 kDa

false

関連する標識済み抗体及び組成の異なる製品 (1)

  • Carrier free

    Anti-RPB3 antibody [EPR13294(B)] - BSA and Azide free

Key facts

宿主種

Rabbit

クローン性

Monoclonal

クローン番号

EPR13294(B)

アイソタイプ

IgG

キャリアフリー

No

交差種

Human

アプリケーション

IHC-P, WB

applications

免疫原

The exact immunogen used to generate this antibody is proprietary information.

Reactivity data

{ "title": "Reactivity Data", "filters": { "stats": ["", "Species", "Dilution Info", "Notes"], "tabs": { "all-applications": {"fullname" : "All Applications", "shortname": "All Applications"}, "WB" : {"fullname" : "Western blot", "shortname":"WB"}, "IHCP" : {"fullname" : "Immunohistochemistry (Formalin/PFA-fixed paraffin-embedded sections)", "shortname":"IHC-P"} }, "product-promise": { "all": "all", "testedAndGuaranteed": "tested", "guaranteed": "expected", "predicted": "predicted", "notRecommended": "not-recommended" } }, "values": { "Human": { "WB-species-checked": "testedAndGuaranteed", "WB-species-dilution-info": "1/10000 - 1/50000", "WB-species-notes": "<p></p>", "IHCP-species-checked": "testedAndGuaranteed", "IHCP-species-dilution-info": "1/100", "IHCP-species-notes": "<p></p>" }, "Mouse": { "WB-species-checked": "predicted", "WB-species-dilution-info": "", "WB-species-notes": "", "IHCP-species-checked": "predicted", "IHCP-species-dilution-info": "", "IHCP-species-notes": "" }, "Rat": { "WB-species-checked": "predicted", "WB-species-dilution-info": "", "WB-species-notes": "", "IHCP-species-checked": "predicted", "IHCP-species-dilution-info": "", "IHCP-species-notes": "" } } }

製品の詳細

Patented technology
Our RabMAb® technology is a patented hybridoma-based technology for making rabbit monoclonal antibodies. For details on our patents, please refer to RabMAb® patents.

What are the advantages of a recombinant monoclonal antibody?
This product is a recombinant monoclonal antibody, which offers several advantages including:

  • - High batch-to-batch consistency and reproducibility
  • - Improved sensitivity and specificity
  • - Long-term security of supply
  • - Animal-free batch production

For more information, read more on recombinant antibodies.

出荷温度及び保存条件

製品の状態
Liquid
精製度
Tissue culture supernatant
バッファー組成
pH: 7.2 Preservative: 0.01% Sodium azide Constituents: PBS, 40% Glycerol (glycerin, glycerine), 0.05% BSA
出荷温度
Blue Ice
短期保存期間
1-2 weeks
短期保存温度
+4°C
長期保存温度
-20°C
分注に関する情報
Upon delivery aliquot
保管に関する情報
Avoid freeze / thaw cycle

製品プロトコール

For this product, it's our understanding that no specific protocols are required. You can visit:

ターゲットの情報

Core component of RNA polymerase II (Pol II), a DNA-dependent RNA polymerase which synthesizes mRNA precursors and many functional non-coding RNAs using the four ribonucleoside triphosphates as substrates.
See full target information POLR2C

文献 (5)

Recent publications for all applications. Explore the full list and refine your search

Cells 14: PubMed39791720

2025

Induction of SUSD2 by STAT3 Activation Is Associated with Tumor Recurrence in HER2-Positive Breast Cancer.

Applications

Unspecified application

Species

Unspecified reactive species

Yisun Jeong,Hyungjoo Kim,Daeun You,Soo Youn Cho,Sun Young Yoon,Seok Won Kim,Seok Jin Nam,Jeong Eon Lee,Sangmin Kim

The Korean journal of physiology & pharmacology : official journal of the Korean Physiological Society and the Korean Society of Pharmacology 26:183-193 PubMed35477546

2022

Differentially expressed mRNAs and their upstream miR-491-5p in patients with coronary atherosclerosis as well as the function of miR-491-5p in vascular smooth muscle cells.

Applications

Unspecified application

Species

Unspecified reactive species

Hui Ding,Quanhua Pan,Long Qian,Chuanxian Hu

Molecular cell 81:4413-4424.e5 PubMed34480849

2021

SPT5 stabilization of promoter-proximal RNA polymerase II.

Applications

Unspecified application

Species

Unspecified reactive species

Yuki Aoi,Yoh-Hei Takahashi,Avani P Shah,Marta Iwanaszko,Emily J Rendleman,Nabiha H Khan,Byoung-Kyu Cho,Young Ah Goo,Sheetal Ganesan,Neil L Kelleher,Ali Shilatifard

eLife 10: PubMed34085923

2021

Cytoplasmic mRNA decay represses RNA polymerase II transcription during early apoptosis.

Applications

Unspecified application

Species

Unspecified reactive species

Christopher Duncan-Lewis,Ella Hartenian,Valeria King,Britt A Glaunsinger

eLife 8: PubMed31385803

2019

Tyr1 phosphorylation promotes phosphorylation of Ser2 on the C-terminal domain of eukaryotic RNA polymerase II by P-TEFb.

Applications

Unspecified application

Species

Unspecified reactive species

Joshua E Mayfield,Seema Irani,Edwin E Escobar,Zhao Zhang,Nathaniel T Burkholder,Michelle R Robinson,M Rachel Mehaffey,Sarah N Sipe,Wanjie Yang,Nicholas A Prescott,Karan R Kathuria,Zhijie Liu,Jennifer S Brodbelt,Yan Zhang
View all publications

Abcam product promise

当社は、高品質な試薬を通じてお客様の研究を力強くサポートすることをお約束いたします。ご使用いただく各段階で、常にお客様をサポートできる体制を整えております。万が一、製品が期待通りに機能しない場合は、「Abcam Product Promise」による当社保証制度に基づき、安心してご利用いただけます。
保証に関する詳細については利用規約をご確認ください。

Please note: All products are 'FOR RESEARCH USE ONLY. NOT FOR USE IN DIAGNOSTIC OR THERAPEUTIC PROCEDURES'.

For licensing inquiries, please contact partnerships@abcam.com