JavaScript is disabled in your browser. Please enable JavaScript to view this website.
AB255866

Anti-RNA polymerase II CTD repeat YSPTSPS (phospho S2) 抗体 [EPR18855-87] - BSA and Azide free

Anti-RNA polymerase II CTD repeat YSPTSPS (phospho S2) antibody [EPR18855-87] - BSA and Azide free

  • BOND RX™ Validated
  • RabMAb
  • Advanced Validation
  • Recombinant
  • 詳細を見る

Be the first to review this product! Submit a review

|

(1 Publication)

Rabbit Recombinant Monoclonal RNA polymerase II RPB1 phospho S2 antibody. Carrier free. Suitable for IP, ChIP, Dot, WB, ICC/IF, ChIP-seq, Flow Cyt (Intra), IHC-P and reacts with Human, Mouse, Rat, Synthetic peptide samples. Cited in 1 publication.

別名を表示する

POLR2, POLR2A, DNA-directed RNA polymerase II subunit RPB1, RNA polymerase II subunit B1, 3'-5' exoribonuclease, DNA-directed RNA polymerase II subunit A, DNA-directed RNA polymerase III largest subunit, RNA-directed RNA polymerase II subunit RPB1

15 Images
Flow Cytometry (Intracellular) - Anti-RNA polymerase II CTD repeat YSPTSPS (phospho S2) antibody [EPR18855-87] - BSA and Azide free (AB255866)
  • Flow Cyt (Intra)

Unknown

Flow Cytometry (Intracellular) - Anti-RNA polymerase II CTD repeat YSPTSPS (phospho S2) antibody [EPR18855-87] - BSA and Azide free (AB255866)

Intracellular flow cytometric analysis of4% paraformaldehyde-fixed, 90% methanol-permeabilized HeLa (human epithelial cell line from cervix adenocarcinoma) cells labeling RNA polymerase II CTD repeat YSPTSPS (phospho S2) with ab238146 at 1/600 (red) compared with Recombinant Rabbit IgG, monoclonal [EPR25A] - Isotype Control (ab172730) (black) and an unlabelled control (cells without incubation with primary antibody and secondary antibody) (blue).

Goat Anti-Rabbit IgG H&L (Alexa Fluor® 488) (ab150077), at 1/2000 dilution was used as the secondary antibody.

This data was developed using the same antibody clone in a different buffer formulation containing PBS, BSA, glycerol, and sodium azide (ab238146).

Immunocytochemistry/ Immunofluorescence - Anti-RNA polymerase II CTD repeat YSPTSPS (phospho S2) antibody [EPR18855-87] - BSA and Azide free (AB255866)
  • ICC/IF

Unknown

Immunocytochemistry/ Immunofluorescence - Anti-RNA polymerase II CTD repeat YSPTSPS (phospho S2) antibody [EPR18855-87] - BSA and Azide free (AB255866)

Immunofluorescent analysis of 4% paraformaldehyde-fixed, 0.1% Triton X-100 permeabilized HeLa (human epithelial cell line from cervix adenocarcinoma) cells labeling RNA polymerase II CTD repeat YSPTSPS (phospho S2) with ab238146 at 1/500 dilution, followed by a Goat Anti-Rabbit IgG H&L (Alexa Fluor® 488) (ab150077) secondary antibody at 1/1000 dilution (green). Confocal image showing nuclear staining in HeLa cell line, the signal decreased after phosphatase treatment at 37°C for 2h. The nuclear counter stain is DAPI (blue). Tubulin is detected with Anti-alpha Tubulin antibody [DM1A] - Microtubule Marker (Alexa Fluor® 594) (ab195889) at 1/200 dilution (red).

Secondary antibody only control : Used PBS instead of primary antibody, followed by Goat Anti-Rabbit IgG H&L (Alexa Fluor® 488) (ab150077) secondary antibody at 1/1000 dilution.

This data was developed using the same antibody clone in a different buffer formulation containing PBS, BSA, glycerol, and sodium azide (ab238146).

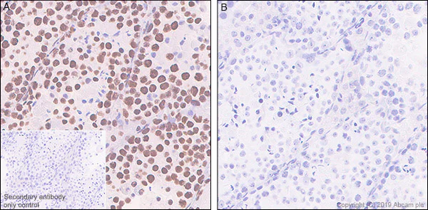
Immunohistochemistry (Formalin/PFA-fixed paraffin-embedded sections) - Anti-RNA polymerase II CTD repeat YSPTSPS (phospho S2) antibody [EPR18855-87] - BSA and Azide free (AB255866)
  • IHC-P

Unknown

Immunohistochemistry (Formalin/PFA-fixed paraffin-embedded sections) - Anti-RNA polymerase II CTD repeat YSPTSPS (phospho S2) antibody [EPR18855-87] - BSA and Azide free (AB255866)

Immunohistochemical analysis of paraffin-embedded human testis tissue labeling RNA polymerase II CTD repeat YSPTSPS (phospho S2) with ab238146 at 1/2000 dilution, followed by Rabbit specific IHC polymer detection kit HRP/DAB (ab209101). Nuclear staining on human testis without alkaline phosphatase treatment (panel A). No signal was detected when treated with alkaline phosphatase (panel B). Counter stained with hematoxylin.

Secondary antibody only control : Used PBS instead of primary antibody, secondary antibody is Rabbit specific IHC polymer detection kit HRP/DAB (ab209101).

Heat mediated antigen retrieval with Tris-EDTA buffer (pH 9.0, epitope retrieval solution 2) for 20 mins.

The section was incubated with ab238146 for 30 mins at room temperature.

The immunostaining was performed on a Leica Biosystems BOND® RX instrument.

This data was developed using the same antibody clone in a different buffer formulation containing PBS, BSA, glycerol, and sodium azide (ab238146).

ChIP-sequencing - Anti-RNA polymerase II CTD repeat YSPTSPS (phospho S2) antibody [EPR18855-87] - BSA and Azide free (AB255866)
  • ChIP-seq

Lab

ChIP-sequencing - Anti-RNA polymerase II CTD repeat YSPTSPS (phospho S2) antibody [EPR18855-87] - BSA and Azide free (AB255866)

This data was developed using the same antibody clone in a different buffer formulation (ab238146).

Chromatin was prepared from HeLa cells. Cells were fixed with 1% formaldehyde for 10 minutes. ChIP was performed with 30 μg of chromatin and 4 μg of ab238146. ChIP DNA was sequenced on the Illumina NovaSeq 6000 to a depth of 30 million reads. ChIP-Seq validation performed with ChIP-Kit Transcription Factors ChIP-Seq (ab270813).

Additional screenshots of mapped reads can be downloaded here.

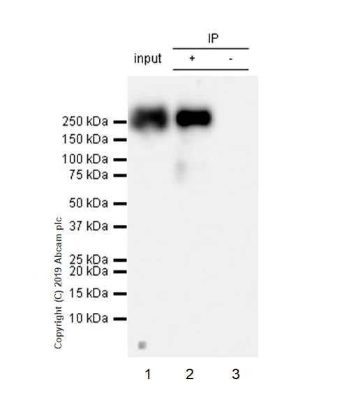
Immunoprecipitation - Anti-RNA polymerase II CTD repeat YSPTSPS (phospho S2) antibody [EPR18855-87] - BSA and Azide free (AB255866)
  • IP

Unknown

Immunoprecipitation - Anti-RNA polymerase II CTD repeat YSPTSPS (phospho S2) antibody [EPR18855-87] - BSA and Azide free (AB255866)

RNA polymerase II CTD repeat YSPTSPS (phospho S2) was immunoprecipitated from 0.35 mg of HeLa (human epithelial cell line from cervix adenocarcinoma) whole cell lysate with ab238146 at 1/30 dilution. Western blot was performed from the immunoprecipitate using ab238146 at 1/1000 dilution. VeriBlot for IP Detection Reagent (HRP) (ab131366), was used as secondary antibody at 1/5000 dilution.

Lane 1 : HeLa whole cell lysate 10 μg (Input).
Lane 2 : ab237146 IP in HeLa whole cell lysate.
Lane 3 : : Rabbit monoclonal IgG (ab172730) instead of ab238146 in HeLa whole cell lysate.

Blocking and dilution buffer and concentration : 5% NFDM/TBST.
Exposure time : 7 seconds.

This data was developed using the same antibody clone in a different buffer formulation containing PBS, BSA, glycerol, and sodium azide (ab238146).

All lanes:

Immunoprecipitation - Anti-RNA polymerase II CTD repeat YSPTSPS (phospho S2) antibody [EPR18855-87] - ChIP Grade (<a href='/products/primary-antibodies/rna-polymerase-ii-ctd-repeat-ysptsps-phospho-s2-antibody-epr18855-87-chip-grade-ab238146'>ab238146</a>)

Predicted band size: 217 kDa

Observed band size: 270 kDa

false

ChIP - Anti-RNA polymerase II CTD repeat YSPTSPS (phospho S2) antibody [EPR18855-87] - BSA and Azide free (AB255866)
  • ChIP

Unknown

ChIP - Anti-RNA polymerase II CTD repeat YSPTSPS (phospho S2) antibody [EPR18855-87] - BSA and Azide free (AB255866)

Chromatin was prepared from HeLa (human epithelial cell line from cervix adenocarcinoma) cells according to the Abcam X-ChIP protocol. Cells were fixed with 1% formaldehyde for 10min.

The ChIP was performed with 25 μg of chromatin, 5 μg of ab238146 (red), and 20 μl of Protein A/G sepharose beads. 5 μg of rabbit normal IgG was added to the beads control (gray). The immunoprecipitated DNA was quantified by real time PCR (sybr green approach).

Primers and probes are located in the first kb of the transcribed region.

This data was developed using the same antibody clone in a different buffer formulation containing PBS, BSA, glycerol, and sodium azide (ab238146).

ChIP-sequencing - Anti-RNA polymerase II CTD repeat YSPTSPS (phospho S2) antibody [EPR18855-87] - BSA and Azide free (AB255866)
  • ChIP-seq

Lab

ChIP-sequencing - Anti-RNA polymerase II CTD repeat YSPTSPS (phospho S2) antibody [EPR18855-87] - BSA and Azide free (AB255866)

This data was developed using the same antibody clone in a different buffer formulation (ab238146). Chromatin was prepared from HeLa cells. Cells were fixed with 1% formaldehyde for 10 minutes. ChIP was performed with 107 cells and 4 µg of Anti-RNA polymerase II CTD repeat YSPTSPS (phospho S2) antibody [EPR18855-87] - ChIP Grade (ab238146). ChIP DNA was sequenced on the Illumina NovaSeq 6000 to a depth of 30 million reads. Additional screenshots of mapped reads can be downloaded here.

ChIP-sequencing - Anti-RNA polymerase II CTD repeat YSPTSPS (phospho S2) antibody [EPR18855-87] - BSA and Azide free (AB255866)
  • ChIP-seq

Supplier Data

ChIP-sequencing - Anti-RNA polymerase II CTD repeat YSPTSPS (phospho S2) antibody [EPR18855-87] - BSA and Azide free (AB255866)

This data was developed using the same antibody clone in a different buffer formulation (ab238146).

Chromatin was prepared from HeLa cells. Cells were fixed with 1% formaldehyde for 10 minutes. ChIP was performed with 30 μg of chromatin and 4 μg of Anti-RNA polymerase II CTD repeat YSPTSPS (phospho S2) antibody [EPR18855-87] - ChIP Grade (ab238146). ChIP DNA was sequenced on the Illumina NextSeq 500 to a depth of 30 million reads. ChIP-Seq validation performed by Active Motif, Carlsbad, CA.

Additional screenshots of mapped reads can be downloaded here.

Immunocytochemistry/ Immunofluorescence - Anti-RNA polymerase II CTD repeat YSPTSPS (phospho S2) antibody [EPR18855-87] - BSA and Azide free (AB255866)
  • ICC/IF

Unknown

Immunocytochemistry/ Immunofluorescence - Anti-RNA polymerase II CTD repeat YSPTSPS (phospho S2) antibody [EPR18855-87] - BSA and Azide free (AB255866)

Immunofluorescent analysis of 4% paraformaldehyde-fixed, 0.1% Triton X-100 permeabilized RAW 264.7 (mouse macrophage cell line transformed with Abelson murine leukemia virus) cells labeling RNA polymerase II CTD repeat YSPTSPS (phospho S2) with ab238146 at 1/500 dilution, followed by a Goat Anti-Rabbit IgG H&L (Alexa Fluor® 488) (ab150077) secondary antibody at 1/1000 dilution (green). Confocal image showing nuclear staining in RAW 264.7 cell line, the signal decreased after phosphatase treatment at 37°C for 2h. The nuclear counter stain is DAPI (blue). Tubulin is detected with Anti-alpha Tubulin antibody [DM1A] - Microtubule Marker (Alexa Fluor® 594) (ab195889) at 1/200 dilution (red).

Secondary antibody only control : Used PBS instead of primary antibody, followed by Goat Anti-Rabbit IgG H&L (Alexa Fluor® 488) (ab150077) secondary antibody at 1/1000 dilution.

This data was developed using the same antibody clone in a different buffer formulation containing PBS, BSA, glycerol, and sodium azide (ab238146).

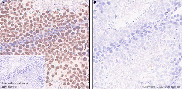
Immunohistochemistry (Formalin/PFA-fixed paraffin-embedded sections) - Anti-RNA polymerase II CTD repeat YSPTSPS (phospho S2) antibody [EPR18855-87] - BSA and Azide free (AB255866)
  • IHC-P

Unknown

Immunohistochemistry (Formalin/PFA-fixed paraffin-embedded sections) - Anti-RNA polymerase II CTD repeat YSPTSPS (phospho S2) antibody [EPR18855-87] - BSA and Azide free (AB255866)

Immunohistochemical analysis of paraffin-embedded rat testis tissue labeling RNA polymerase II CTD repeat YSPTSPS (phospho S2) with ab238146 at 1/2000 dilution, followed by a Rabbit specific IHC polymer detection kit HRP/DAB (ab209101). Nuclear staining on rat testis without alkaline phosphatase treatment (panel A). No signal was detected when treated with alkaline phosphatase (panel B). Counter stained with hematoxylin.

Secondary antibody only control : Used PBS instead of primary antibody, secondary antibody is Rabbit specific IHC polymer detection kit HRP/DAB (ab209101).

Heat mediated antigen retrieval with Tris-EDTA buffer (pH 9.0, epitope retrieval solution 2) for 20 mins.

The section was incubated with ab238146 for 30 mins at room temperature.

The immunostaining was performed on a Leica Biosystems BOND® RX instrument.

This data was developed using the same antibody clone in a different buffer formulation containing PBS, BSA, glycerol, and sodium azide (ab238146).

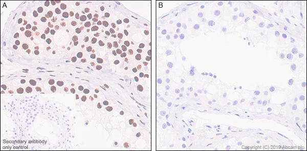
Immunohistochemistry (Formalin/PFA-fixed paraffin-embedded sections) - Anti-RNA polymerase II CTD repeat YSPTSPS (phospho S2) antibody [EPR18855-87] - BSA and Azide free (AB255866)
  • IHC-P

Unknown

Immunohistochemistry (Formalin/PFA-fixed paraffin-embedded sections) - Anti-RNA polymerase II CTD repeat YSPTSPS (phospho S2) antibody [EPR18855-87] - BSA and Azide free (AB255866)

Immunohistochemical analysis of paraffin-embedded mouse testis tissue labeling RNA polymerase II CTD repeat YSPTSPS (phospho S2) with ab238146 at 1/2000 dilution, followed by a Rabbit specific IHC polymer detection kit HRP/DAB (ab209101). Nuclear staining on mouse testis without alkaline phosphatase treatment (panel A). No signal was detected when treated with alkaline phosphatase (panel B). Counter stained with hematoxylin.

Secondary antibody only control : Used PBS instead of primary antibody, secondary antibody is Rabbit specific IHC polymer detection kit HRP/DAB (ab209101).

Heat mediated antigen retrieval with Tris-EDTA buffer (pH 9.0, epitope retrieval solution 2) for 20 mins.

The section was incubated with ab238146 for 30 mins at room temperature.

The immunostaining was performed on a Leica Biosystems BOND® RX instrument.

This data was developed using the same antibody clone in a different buffer formulation containing PBS, BSA, glycerol, and sodium azide (ab238146).

Western blot - Anti-RNA polymerase II CTD repeat YSPTSPS (phospho S2) antibody [EPR18855-87] - BSA and Azide free (AB255866)
  • WB

Unknown

Western blot - Anti-RNA polymerase II CTD repeat YSPTSPS (phospho S2) antibody [EPR18855-87] - BSA and Azide free (AB255866)

This data was developed using the same antibody clone in a different buffer formulation (ab238146).

All lanes:

Western blot - Anti-RNA polymerase II CTD repeat YSPTSPS (phospho S2) antibody [EPR18855-87] - ChIP Grade (<a href='/products/primary-antibodies/rna-polymerase-ii-ctd-repeat-ysptsps-phospho-s2-antibody-epr18855-87-chip-grade-ab238146'>ab238146</a>) at 1/5000 dilution

Lane 1:

HeLa (human epithelial cell line from cervix adenocarcinoma) whole cell lysate at 10 µg

Lane 2:

HeLa whole cell lysate (phosphatase-treated membrane) at 10 µg

Secondary

All lanes:

Western blot - Goat Anti-Rabbit IgG H&L (HRP) (<a href='/products/secondary-antibodies/goat-rabbit-igg-h-l-hrp-ab97051'>ab97051</a>) at 1/100000 dilution

Predicted band size: 217 kDa

Observed band size: 270 kDa

false

Exposure time: 3min

Western blot - Anti-RNA polymerase II CTD repeat YSPTSPS (phospho S2) antibody [EPR18855-87] - BSA and Azide free (AB255866)
  • WB

Unknown

Western blot - Anti-RNA polymerase II CTD repeat YSPTSPS (phospho S2) antibody [EPR18855-87] - BSA and Azide free (AB255866)

Blocking and dilution buffer : 1% BSA/TBST.

This data was developed using the same antibody clone in a different buffer formulation (ab238146).

All lanes:

Western blot - Anti-RNA polymerase II CTD repeat YSPTSPS (phospho S2) antibody [EPR18855-87] - ChIP Grade (<a href='/products/primary-antibodies/rna-polymerase-ii-ctd-repeat-ysptsps-phospho-s2-antibody-epr18855-87-chip-grade-ab238146'>ab238146</a>) at 1/2000 dilution

Lane 1:

PC-12 (rat adrenal gland pheochromocytoma cell line) whole cell lysate at 10 µg

Lane 2:

PC-12 whole cell lysate (phosphatase-treated membrane) at 10 µg

Secondary

All lanes:

Western blot - Goat Anti-Rabbit IgG H&L (HRP) (<a href='/products/secondary-antibodies/goat-rabbit-igg-h-l-hrp-ab97051'>ab97051</a>) at 1/100000 dilution

Predicted band size: 217 kDa

Observed band size: 270 kDa

false

Exposure time: 37s

Western blot - Anti-RNA polymerase II CTD repeat YSPTSPS (phospho S2) antibody [EPR18855-87] - BSA and Azide free (AB255866)
  • WB

Unknown

Western blot - Anti-RNA polymerase II CTD repeat YSPTSPS (phospho S2) antibody [EPR18855-87] - BSA and Azide free (AB255866)

Blocking and dilution buffer : 1% BSA/TBST.

The molecular weight observed is consistent with what has been described in the literature (PMID : 25849141).

This data was developed using the same antibody clone in a different buffer formulation (ab238146).

All lanes:

Western blot - Anti-RNA polymerase II CTD repeat YSPTSPS (phospho S2) antibody [EPR18855-87] - ChIP Grade (<a href='/products/primary-antibodies/rna-polymerase-ii-ctd-repeat-ysptsps-phospho-s2-antibody-epr18855-87-chip-grade-ab238146'>ab238146</a>) at 1/2000 dilution

Lane 1:

RAW 264.7 (mouse macrophage cell line transformed with Abelson murine leukemia virus) whole cell lysate at 10 µg

Lane 2:

RAW 264.7 whole cell lysate (phosphatase-treated membrane) at 10 µg

Secondary

All lanes:

Western blot - Goat Anti-Rabbit IgG H&L (HRP) (<a href='/products/secondary-antibodies/goat-rabbit-igg-h-l-hrp-ab97051'>ab97051</a>) at 1/100000 dilution

Predicted band size: 217 kDa

Observed band size: 270 kDa

false

Exposure time: 37s

Dot Blot - Anti-RNA polymerase II CTD repeat YSPTSPS (phospho S2) antibody [EPR18855-87] - BSA and Azide free (AB255866)
  • Dot

Unknown

Dot Blot - Anti-RNA polymerase II CTD repeat YSPTSPS (phospho S2) antibody [EPR18855-87] - BSA and Azide free (AB255866)

Dot blot analysis of RNA polymerase II CTD repeat YSPTSPS (phospho S2) labeled with ab238146 at 1/1000 dilution.

Lane 1 : RNA polymerase II CTD repeat YSPTSPS (phospho S2) peptide.
Lane 2 : RNA polymerase II CTD repeat YSPTSPS non-phospho peptide.
Lane 3 : RNA polymerase II CTD repeat YSPTSPS (phospho S5) peptide.

Goat Anti-Rabbit IgG H&L (HRP) (ab97051) at 1/100000 dilution was used as secondary antibody.

Blocking and dilution buffer : 5% NFDM/TBST.

Exposure time : 3 minutes.

This data was developed using the same antibody clone in a different buffer formulation containing PBS, BSA, glycerol, and sodium azide (ab238146).

関連する標識済み抗体及び組成の異なる製品 (10)

  • Unconjugated

    Anti-RNA polymerase II CTD repeat YSPTSPS (phospho S2) antibody [EPR18855-87] - ChIP Grade

  • 775 Alexa Fluor® 750

    Alexa Fluor® 750 Anti-RNA polymerase II CTD repeat YSPTSPS (phospho S2) antibody [EPR18855-87]

  • 578 PE

    PE Anti-RNA polymerase II CTD repeat YSPTSPS (phospho S2) antibody [EPR18855-87] (ChIP Grade)

  • 660 APC

    APC Anti-RNA polymerase II CTD repeat YSPTSPS (phospho S2) antibody [EPR18855-87] (ChIP Grade)

  • HRP

    HRP Anti-RNA polymerase II CTD repeat YSPTSPS (phospho S2) antibody [EPR18855-87] (ChIP Grade)

  • 519 Alexa Fluor® 488

    Alexa Fluor® 488 Anti-RNA polymerase II CTD repeat YSPTSPS (pS2) antibody [EPR18855-87] - ChIP Grade

  • 665 Alexa Fluor® 647

    Alexa Fluor® 647 Anti-RNA polymerase II CTD repeat YSPTSPS (phospho S2) antibody [EPR18855-87] - ChIP Grade

  • 617 Alexa Fluor® 594

    Alexa Fluor® 594 Anti-RNA polymerase II CTD repeat YSPTSPS (phospho S2) antibody [EPR18855-87] - ChIP Grade

  • 565 Alexa Fluor® 555

    Alexa Fluor® 555 Anti-RNA polymerase II CTD repeat YSPTSPS (phospho S2) antibody [EPR18855-87] - ChIP Grade

  • 603 Alexa Fluor® 568

    Alexa Fluor® 568 Anti-RNA polymerase II CTD repeat YSPTSPS (phospho S2) antibody [EPR18855-87] - ChIP Grade

Key facts

宿主種

Rabbit

クローン性

Monoclonal

クローン番号

EPR18855-87

アイソタイプ

IgG

キャリアフリー

Yes

交差種

Mouse, Rat, Human

アプリケーション

Dot, IHC-P, IP, ICC/IF, Flow Cyt (Intra), ChIP, ChIP-seq, WB

applications

免疫原

The exact immunogen used to generate this antibody is proprietary information.

Reactivity data

{ "title": "Reactivity Data", "filters": { "stats": ["", "Species", "Dilution Info", "Notes"], "tabs": { "all-applications": {"fullname" : "All Applications", "shortname": "All Applications"}, "IP" : {"fullname" : "Immunoprecipitation", "shortname":"IP"}, "ChIP" : {"fullname" : "ChIP", "shortname":"ChIP"}, "Dot" : {"fullname" : "Dot Blot", "shortname":"Dot"}, "WB" : {"fullname" : "Western blot", "shortname":"WB"}, "ICCIF" : {"fullname" : "Immunocytochemistry/ Immunofluorescence", "shortname":"ICC/IF"}, "ChIPseq" : {"fullname" : "ChIP-sequencing", "shortname":"ChIP-seq"}, "FlowCytIntra" : {"fullname" : "Flow Cytometry (Intracellular)", "shortname":"Flow Cyt (Intra)"}, "IHCP" : {"fullname" : "Immunohistochemistry (Formalin/PFA-fixed paraffin-embedded sections)", "shortname":"IHC-P"} }, "product-promise": { "all": "all", "testedAndGuaranteed": "tested", "guaranteed": "expected", "predicted": "predicted", "notRecommended": "not-recommended" } }, "values": { "Human": { "IP-species-checked": "testedAndGuaranteed", "IP-species-dilution-info": "", "IP-species-notes": "<p></p>", "ChIP-species-checked": "testedAndGuaranteed", "ChIP-species-dilution-info": "", "ChIP-species-notes": "<p></p>", "Dot-species-checked": "guaranteed", "Dot-species-dilution-info": "", "Dot-species-notes": "", "WB-species-checked": "guaranteed", "WB-species-dilution-info": "", "WB-species-notes": "<p></p>", "ICCIF-species-checked": "guaranteed", "ICCIF-species-dilution-info": "", "ICCIF-species-notes": "", "ChIPseq-species-checked": "testedAndGuaranteed", "ChIPseq-species-dilution-info": "4 µg for 30 µg chromatin", "ChIPseq-species-notes": "<p></p>", "FlowCytIntra-species-checked": "testedAndGuaranteed", "FlowCytIntra-species-dilution-info": "", "FlowCytIntra-species-notes": "<p></p>", "IHCP-species-checked": "guaranteed", "IHCP-species-dilution-info": "", "IHCP-species-notes": "" }, "Mouse": { "IP-species-checked": "guaranteed", "IP-species-dilution-info": "", "IP-species-notes": "", "ChIP-species-checked": "guaranteed", "ChIP-species-dilution-info": "", "ChIP-species-notes": "", "Dot-species-checked": "guaranteed", "Dot-species-dilution-info": "", "Dot-species-notes": "", "WB-species-checked": "guaranteed", "WB-species-dilution-info": "", "WB-species-notes": "<p></p>", "ICCIF-species-checked": "testedAndGuaranteed", "ICCIF-species-dilution-info": "", "ICCIF-species-notes": "<p></p>", "ChIPseq-species-checked": "guaranteed", "ChIPseq-species-dilution-info": "", "ChIPseq-species-notes": "", "FlowCytIntra-species-checked": "guaranteed", "FlowCytIntra-species-dilution-info": "", "FlowCytIntra-species-notes": "", "IHCP-species-checked": "guaranteed", "IHCP-species-dilution-info": "", "IHCP-species-notes": "" }, "Rat": { "IP-species-checked": "guaranteed", "IP-species-dilution-info": "", "IP-species-notes": "", "ChIP-species-checked": "guaranteed", "ChIP-species-dilution-info": "", "ChIP-species-notes": "", "Dot-species-checked": "guaranteed", "Dot-species-dilution-info": "", "Dot-species-notes": "", "WB-species-checked": "guaranteed", "WB-species-dilution-info": "", "WB-species-notes": "<p></p>", "ICCIF-species-checked": "guaranteed", "ICCIF-species-dilution-info": "", "ICCIF-species-notes": "", "ChIPseq-species-checked": "guaranteed", "ChIPseq-species-dilution-info": "", "ChIPseq-species-notes": "", "FlowCytIntra-species-checked": "guaranteed", "FlowCytIntra-species-dilution-info": "", "FlowCytIntra-species-notes": "", "IHCP-species-checked": "testedAndGuaranteed", "IHCP-species-dilution-info": "", "IHCP-species-notes": "<p></p>" }, "Synthetic peptide": { "IP-species-checked": "notRecommended", "IP-species-dilution-info": "", "IP-species-notes": "", "ChIP-species-checked": "notRecommended", "ChIP-species-dilution-info": "", "ChIP-species-notes": "", "Dot-species-checked": "testedAndGuaranteed", "Dot-species-dilution-info": "", "Dot-species-notes": "<p></p>", "WB-species-checked": "notRecommended", "WB-species-dilution-info": "", "WB-species-notes": "", "ICCIF-species-checked": "notRecommended", "ICCIF-species-dilution-info": "", "ICCIF-species-notes": "", "ChIPseq-species-checked": "notRecommended", "ChIPseq-species-dilution-info": "", "ChIPseq-species-notes": "", "FlowCytIntra-species-checked": "notRecommended", "FlowCytIntra-species-dilution-info": "", "FlowCytIntra-species-notes": "", "IHCP-species-checked": "notRecommended", "IHCP-species-dilution-info": "", "IHCP-species-notes": "" } } }

製品の詳細

ab255866 is the carrier-free version of ab238146.

Patented technology
Our RabMAb® technology is a patented hybridoma-based technology for making rabbit monoclonal antibodies. For details on our patents, please refer to RabMAb® patents.

What are the advantages of a recombinant monoclonal antibody?
This product is a recombinant monoclonal antibody, which offers several advantages including:

  • - High batch-to-batch consistency and reproducibility
  • - Improved sensitivity and specificity
  • - Long-term security of supply
  • - Animal-free batch production

For more information, read more on recombinant antibodies.

Conjugation ready
Our carrier-free antibodies are typically supplied in a PBS-only formulation, purified and free of BSA, sodium azide and glycerol. This conjugation-ready format is designed for use with fluorochromes, metal isotopes, oligonucleotides, and enzymes, which makes them ideal for antibody labelling, functional and cell-based assays, flow-based assays (e.g. mass cytometry) and Multiplex Imaging applications.

Use our conjugation kits for antibody conjugates that are ready-to-use in as little as 20 minutes with 1 minute hands-on-time and 100% antibody recovery: available for fluorescent dyes, HRP, biotin and gold.

Compatibility
This product is compatible with the Maxpar® Antibody Labeling Kit from Fluidigm, without the need for antibody preparation. Maxpar® is a trademark of Fluidigm Canada Inc.

出荷温度及び保存条件

製品の状態
Liquid
精製方法
Affinity purification Protein A
バッファー組成
pH: 7.2 - 7.4 Constituents: PBS
出荷温度
Blue Ice
短期保存温度
+4°C
長期保存温度
+4°C
保管に関する情報
Do Not Freeze

補足情報

This supplementary information is collated from multiple sources and compiled automatically.

RNA polymerase II CTD repeat YSPTSPS also known as the C-terminal domain of RNA polymerase II is a critical component of the RNA polymerase II enzyme commonly referred to as pol II. This domain is characterized by the repetitive sequence YSPTSPS which plays a significant role in the regulation of transcription. The mass of RNA polymerase II including its CTD varies but is essential for its function in gene expression. RNA polymerase II with the CTD is expressed in the nucleus of eukaryotic cells where it orchestrates the transcription of DNA into mRNA.
Biological function summary

RNA polymerase II CTD repeat YSPTSPS is essential for the transcription progression from initiation to termination. It is part of the large RNA polymerase II complex interacting with various transcription factors and enzymes necessary for RNA processing. The phosphorylation state of the CTD particularly on serine residues regulates interactions with splicing machinery and other RNA processing factors. This modulation ensures the coupling between transcription and RNA processing events controlling mRNA synthesis and maturation.

Pathways

RNA polymerase II CTD repeat YSPTSPS is important in the mRNA synthesis pathway specifically in transcriptional regulation and processing of nascent RNA transcripts. It interacts with proteins such as the transcription factors TFIIH and TFIIB which aid in promoter recognition and open complex formation. The CTD's dynamic phosphorylation pattern allows integration into multiple cellular pathways most importantly connecting transcription with RNA splicing and transport pathways.

Abnormal function or mutations in RNA polymerase II CTD repeat YSPTSPS associate with diseases such as transcription-related syndromes and certain cancers. Deficient CTD phosphorylation can lead to improper mRNA processing resulting in neural developmental disorders. Additionally its interaction with proteins like CDK7 which phosphorylates the CTD links it to tumors where transcriptional dysregulation is a hallmark. Understanding the CTD's role in these diseases provides insight into therapeutic targets and strategies for intervention.

製品プロトコール

For this product, it's our understanding that no specific protocols are required. You can visit:

ターゲットの情報

Catalytic core component of RNA polymerase II (Pol II), a DNA-dependent RNA polymerase which synthesizes mRNA precursors and many functional non-coding RNAs using the four ribonucleoside triphosphates as substrates (By similarity) (PubMed : 23748380, PubMed : 27193682, PubMed : 30190596, PubMed : 9852112). Pol II-mediated transcription cycle proceeds through transcription initiation, transcription elongation and transcription termination stages. During transcription initiation, Pol II pre-initiation complex (PIC) is recruited to DNA promoters, with focused-type promoters containing either the initiator (Inr) element, or the TATA-box found in cell-type specific genes and dispersed-type promoters that often contain hypomethylated CpG islands usually found in housekeeping genes. Once the polymerase has escaped from the promoter it enters the elongation phase during which RNA is actively polymerized, based on complementarity with the template DNA strand. Transcription termination involves the release of the RNA transcript and polymerase from the DNA (By similarity) (PubMed : 23748380, PubMed : 27193682, PubMed : 28108474, PubMed : 30190596, PubMed : 9852112). Forms Pol II active center together with the second largest subunit POLR2B/RPB2. Appends one nucleotide at a time to the 3' end of the nascent RNA, with POLR2A/RPB1 most likely contributing a Mg(2+)-coordinating DxDGD motif, and POLR2B/RPB2 participating in the coordination of a second Mg(2+) ion and providing lysine residues believed to facilitate Watson-Crick base pairing between the incoming nucleotide and template base. Typically, Mg(2+) ions direct a 5' nucleoside triphosphate to form a phosphodiester bond with the 3' hydroxyl of the preceding nucleotide of the nascent RNA, with the elimination of pyrophosphate. The reversible pyrophosphorolysis can occur at high pyrophosphate concentrations (By similarity) (PubMed : 30190596, PubMed : 8381534, PubMed : 9852112). Can proofread the nascent RNA transcript by means of a 3' -> 5' exonuclease activity. If a ribonucleotide is mis-incorporated, backtracks along the template DNA and cleaves the phosphodiester bond releasing the mis-incorporated 5'-ribonucleotide (By similarity) (PubMed : 8381534). Through its unique C-terminal domain (CTD, 52 heptapeptide tandem repeats) serves as a platform for assembly of factors that regulate transcription initiation, elongation and termination. CTD phosphorylation on Ser-5 mediates Pol II promoter escape, whereas phosphorylation on Ser-2 is required for Pol II pause release during transcription elongation and further pre-mRNA processing. Additionally, the regulation of gene expression levels depends on the balance between methylation and acetylation levels of the CTD-lysines. Initiation or early elongation steps of transcription of growth-factor-induced immediate early genes are regulated by the acetylation status of the CTD. Methylation and dimethylation have a repressive effect on target genes expression. Cooperates with mRNA splicing machinery in co-transcriptional 5'-end capping and co-transcriptional splicing of pre-mRNA (By similarity) (PubMed : 24207025, PubMed : 26124092).. RNA-dependent RNA polymerase that catalyzes the extension of a non-coding RNA (ncRNA) at the 3'-end using the four ribonucleoside triphosphates as substrates. An internal ncRNA sequence near the 3'-end serves as a template in a single-round Pol II-mediated RNA polymerization reaction. May decrease the stability of ncRNAs that repress Pol II-mediated gene transcription.. (Microbial infection) Acts as an RNA-dependent RNA polymerase when associated with small delta antigen of Hepatitis delta virus, acting both as a replicase and transcriptase for the viral RNA circular genome.
See full target information POLR2A phospho S2

文献 (1)

Recent publications for all applications. Explore the full list and refine your search

Cartilage :19476035251323601 PubMed40119525

2025

Transcriptional Analysis Reveals That the FHL1/JAK-STAT Pathway is Involved in Acute Cartilage Injury in Mice.

Applications

Unspecified application

Species

Unspecified reactive species

Jian Lu,Zhenhua Shi,Lindan Geng,Dong Ren,Haowei Hou,Guowei Ren,Shuangquan Yao,Pengcheng Wang
View all publications

Abcam product promise

当社は、高品質な試薬を通じてお客様の研究を力強くサポートすることをお約束いたします。ご使用いただく各段階で、常にお客様をサポートできる体制を整えております。万が一、製品が期待通りに機能しない場合は、「Abcam Product Promise」による当社保証制度に基づき、安心してご利用いただけます。
保証に関する詳細については利用規約をご確認ください。

Please note: All products are 'FOR RESEARCH USE ONLY. NOT FOR USE IN DIAGNOSTIC OR THERAPEUTIC PROCEDURES'.

For licensing inquiries, please contact partnerships@abcam.com