JavaScript is disabled in your browser. Please enable JavaScript to view this website.
AB245439

Anti-RNA Helicase A 抗体

Anti-RNA Helicase A antibody

Be the first to review this product! Submit a review

|

(0 Publication)

Rabbit Polyclonal RNA Helicase A antibody. Suitable for IHC-P, WB and reacts with Human samples. Immunogen corresponding to Synthetic Peptide within Human DHX9 aa 200-250.

別名を表示する

DDX9, LKP, NDH2, DHX9, ATP-dependent RNA helicase A, DEAH box protein 9, DExH-box helicase 9, Leukophysin, Nuclear DNA helicase II, RNA helicase A, NDH II

2 Images
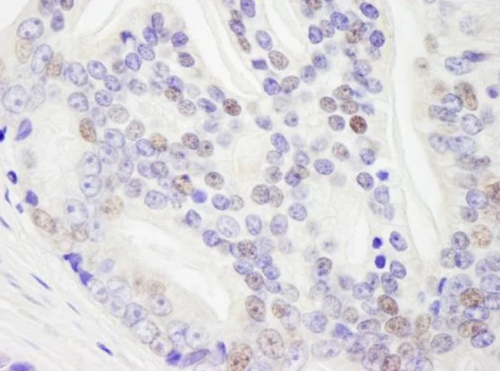
Immunohistochemistry (Formalin/PFA-fixed paraffin-embedded sections) - Anti-RNA Helicase A antibody (AB245439)
  • IHC-P

Supplier Data

Immunohistochemistry (Formalin/PFA-fixed paraffin-embedded sections) - Anti-RNA Helicase A antibody (AB245439)

Formalin-fixed, paraffin-embedded human prostate carcinoma tissue stained for RNA Helicase A with ab245439 at a 1/1000 dilution in immunohistochemical analysis. DAB staining.

Western blot - Anti-RNA Helicase A antibody (AB245439)
  • WB

Supplier Data

Western blot - Anti-RNA Helicase A antibody (AB245439)

All lanes:

Western blot - Anti-RNA Helicase A antibody (ab245439) at 0.1 µg/mL

Lane 1:

HeLa (Human epithelial cell line from cervix adenocarcinoma) whole cell lysate at 50 µg

Lane 2:

HeLa whole cell lysate at 15 µg

Lane 3:

HeLa whole cell lysate at 5 µg

Lane 4:

HEK-293T (Human epithelial cell line from cervix adenocarcinoma) whole cell lysate at 50 µg

Predicted band size: 141 kDa

false

Exposure time: 10s

Key facts

宿主種

Rabbit

クローン性

Polyclonal

アイソタイプ

IgG

キャリアフリー

No

交差種

Human

アプリケーション

IHC-P, WB

applications

免疫原

Synthetic Peptide within Human DHX9 aa 200-250. The exact immunogen used to generate this antibody is proprietary information.

Q08211

Reactivity data

{ "title": "Reactivity Data", "filters": { "stats": ["", "Species", "Dilution Info", "Notes"], "tabs": { "all-applications": {"fullname" : "All Applications", "shortname": "All Applications"}, "IHCP" : {"fullname" : "Immunohistochemistry (Formalin/PFA-fixed paraffin-embedded sections)", "shortname":"IHC-P"}, "WB" : {"fullname" : "Western blot", "shortname":"WB"} }, "product-promise": { "all": "all", "testedAndGuaranteed": "tested", "guaranteed": "expected", "predicted": "predicted", "notRecommended": "not-recommended" } }, "values": { "Human": { "IHCP-species-checked": "testedAndGuaranteed", "IHCP-species-dilution-info": "1/200 - 1/1000", "IHCP-species-notes": "<p></p> Perform heat-mediated antigen retrieval with citrate buffer pH 6 before commencing with IHC staining protocol.", "WB-species-checked": "testedAndGuaranteed", "WB-species-dilution-info": "1/2000 - 1/10000", "WB-species-notes": "<p></p>" }, "Mouse": { "IHCP-species-checked": "predicted", "IHCP-species-dilution-info": "", "IHCP-species-notes": "", "WB-species-checked": "predicted", "WB-species-dilution-info": "", "WB-species-notes": "" }, "Cow": { "IHCP-species-checked": "predicted", "IHCP-species-dilution-info": "", "IHCP-species-notes": "", "WB-species-checked": "predicted", "WB-species-dilution-info": "", "WB-species-notes": "" }, "Orangutan": { "IHCP-species-checked": "predicted", "IHCP-species-dilution-info": "", "IHCP-species-notes": "", "WB-species-checked": "predicted", "WB-species-dilution-info": "", "WB-species-notes": "" } } }

出荷温度及び保存条件

製品の状態
Liquid
精製方法
Affinity purification Immunogen
精製に関する特記事項
ab245439 was affinity purified using an epitope specific to RNA Helicase A immobilized on solid support.
バッファー組成
pH: 6.8 - 7.4 Preservative: 0.09% Sodium azide Constituents: Tris buffered saline, 0.1% BSA
出荷温度
Blue Ice
短期保存期間
1-2 weeks
短期保存温度
+4°C
長期保存温度
-20°C
分注に関する情報
Upon delivery aliquot
保管に関する情報
Avoid freeze / thaw cycle

補足情報

This supplementary information is collated from multiple sources and compiled automatically.

RNA Helicase A also known as DHX9 is a protein essential for various cellular processes. This helicase protein belongs to the DEXH-box family and facilitates the unwinding of RNA structures which is critical for RNA metabolism. The molecular weight of RNA Helicase A is approximately 141 kDa. It is expressed in a variety of human tissues including the nucleus cytoplasm and sometimes nucleoli. The protein’s helicase activity is central to its mechanical role in cellular functioning.
Biological function summary

RNA Helicase A is involved in numerous processes such as transcription RNA processing and the assembly of ribonucleoprotein complexes. The protein plays an important role in facilitating RNA polymerase II transcription and also has functions in RNA splicing through its association with spliceosomal components. RNA Helicase A does not function in isolation; instead it forms part of multi-protein complexes that are necessary for its diverse cellular roles. It interacts with various proteins to achieve its functions impacting both RNA and DNA substrates.

Pathways

RNA Helicase A influences the regulation of gene expression and is a significant player in the innate immune response. It participates in the Toll-like receptor (TLR) signaling pathway where it helps detect viral RNA and triggers immune responses. It also interacts with proteins like TLR3 and TRIF which are involved in the signaling cascade essential for producing type I interferons and pro-inflammatory cytokines.

RNA Helicase A has associations with cancer and viral infections. Abnormal regulation of RNA Helicase A has been linked with tumorigenesis where its altered expression contributes to oncogenic processes. It also plays a part in the host response to viral infections where the protein aids in recognizing viral nucleic acids. RNA Helicase A interacts with viral proteins thereby influencing viral replication and host antiviral responses. These connections highlight the protein’s relevance in both cancer biology and infectious disease pathogenesis.

製品プロトコール

For this product, it's our understanding that no specific protocols are required. You can visit:

ターゲットの情報

Multifunctional ATP-dependent nucleic acid helicase that unwinds DNA and RNA in a 3' to 5' direction and that plays important roles in many processes, such as DNA replication, transcriptional activation, post-transcriptional RNA regulation, mRNA translation and RNA-mediated gene silencing (PubMed : 11416126, PubMed : 12711669, PubMed : 15355351, PubMed : 16680162, PubMed : 17531811, PubMed : 20669935, PubMed : 21561811, PubMed : 24049074, PubMed : 24990949, PubMed : 25062910, PubMed : 28221134, PubMed : 9111062). Requires a 3'-single-stranded tail as entry site for acid nuclei unwinding activities as well as the binding and hydrolyzing of any of the four ribo- or deoxyribo-nucleotide triphosphates (NTPs) (PubMed : 1537828). Unwinds numerous nucleic acid substrates such as double-stranded (ds) DNA and RNA, DNA : RNA hybrids, DNA and RNA forks composed of either partially complementary DNA duplexes or DNA : RNA hybrids, respectively, and also DNA and RNA displacement loops (D- and R-loops), triplex-helical DNA (H-DNA) structure and DNA and RNA-based G-quadruplexes (PubMed : 20669935, PubMed : 21561811, PubMed : 24049074). Binds dsDNA, single-stranded DNA (ssDNA), dsRNA, ssRNA and poly(A)-containing RNA (PubMed : 10198287, PubMed : 9111062). Binds also to circular dsDNA or dsRNA of either linear and/or circular forms and stimulates the relaxation of supercoiled DNAs catalyzed by topoisomerase TOP2A (PubMed : 12711669). Plays a role in DNA replication at origins of replication and cell cycle progression (PubMed : 24990949). Plays a role as a transcriptional coactivator acting as a bridging factor between polymerase II holoenzyme and transcription factors or cofactors, such as BRCA1, CREBBP, RELA and SMN1 (PubMed : 11038348, PubMed : 11149922, PubMed : 11416126, PubMed : 15355351, PubMed : 28221134, PubMed : 9323138, PubMed : 9662397). Binds to the CDKN2A promoter (PubMed : 11038348). Plays several roles in post-transcriptional regulation of gene expression (PubMed : 28221134, PubMed : 28355180). In cooperation with NUP98, promotes pre-mRNA alternative splicing activities of a subset of genes (PubMed : 11402034, PubMed : 16680162, PubMed : 28221134, PubMed : 28355180). As component of a large PER complex, is involved in the negative regulation of 3' transcriptional termination of circadian target genes such as PER1 and NR1D1 and the control of the circadian rhythms (By similarity). Acts also as a nuclear resolvase that is able to bind and neutralize harmful massive secondary double-stranded RNA structures formed by inverted-repeat Alu retrotransposon elements that are inserted and transcribed as parts of genes during the process of gene transposition (PubMed : 28355180). Involved in the positive regulation of nuclear export of constitutive transport element (CTE)-containing unspliced mRNA (PubMed : 10924507, PubMed : 11402034, PubMed : 9162007). Component of the coding region determinant (CRD)-mediated complex that promotes cytoplasmic MYC mRNA stability (PubMed : 19029303). Plays a role in mRNA translation (PubMed : 28355180). Positively regulates translation of selected mRNAs through its binding to post-transcriptional control element (PCE) in the 5'-untranslated region (UTR) (PubMed : 16680162). Involved with LARP6 in the translation stimulation of type I collagen mRNAs for CO1A1 and CO1A2 through binding of a specific stem-loop structure in their 5'-UTRs (PubMed : 22190748). Stimulates LIN28A-dependent mRNA translation probably by facilitating ribonucleoprotein remodeling during the process of translation (PubMed : 21247876). Plays also a role as a small interfering (siRNA)-loading factor involved in the RNA-induced silencing complex (RISC) loading complex (RLC) assembly, and hence functions in the RISC-mediated gene silencing process (PubMed : 17531811). Binds preferentially to short double-stranded RNA, such as those produced during rotavirus intestinal infection (PubMed : 28636595). This interaction may mediate NLRP9 inflammasome activation and trigger inflammatory response, including IL18 release and pyroptosis (PubMed : 28636595). Finally, mediates the attachment of heterogeneous nuclear ribonucleoproteins (hnRNPs) to actin filaments in the nucleus (PubMed : 11687588).. (Microbial infection) Plays a role in HIV-1 replication and virion infectivity (PubMed : 11096080, PubMed : 19229320, PubMed : 25149208, PubMed : 27107641). Enhances HIV-1 transcription by facilitating the binding of RNA polymerase II holoenzyme to the proviral DNA (PubMed : 11096080, PubMed : 25149208). Binds (via DRBM domain 2) to the HIV-1 TAR RNA and stimulates HIV-1 transcription of transactivation response element (TAR)-containing mRNAs (PubMed : 11096080, PubMed : 9892698). Involved also in HIV-1 mRNA splicing and transport (PubMed : 25149208). Positively regulates HIV-1 gag mRNA translation, through its binding to post-transcriptional control element (PCE) in the 5'-untranslated region (UTR) (PubMed : 16680162). Binds (via DRBM domains) to a HIV-1 double-stranded RNA region of the primer binding site (PBS)-segment of the 5'-UTR, and hence stimulates DHX9 incorporation into virions and virion infectivity (PubMed : 27107641). Also plays a role as a cytosolic viral MyD88-dependent DNA and RNA sensors in plasmacytoid dendritic cells (pDCs), and hence induce antiviral innate immune responses (PubMed : 20696886, PubMed : 21957149). Binds (via the OB-fold region) to viral single-stranded DNA unmethylated C-phosphate-G (CpG) oligonucleotide (PubMed : 20696886).
See full target information DHX9

Abcam product promise

当社は、高品質な試薬を通じてお客様の研究を力強くサポートすることをお約束いたします。ご使用いただく各段階で、常にお客様をサポートできる体制を整えております。万が一、製品が期待通りに機能しない場合は、「Abcam Product Promise」による当社保証制度に基づき、安心してご利用いただけます。
保証に関する詳細については利用規約をご確認ください。

Please note: All products are 'FOR RESEARCH USE ONLY. NOT FOR USE IN DIAGNOSTIC OR THERAPEUTIC PROCEDURES'.

For licensing inquiries, please contact partnerships@abcam.com