JavaScript is disabled in your browser. Please enable JavaScript to view this website.
AB202438

Anti-RMS1 抗体 [EPR20103]

Anti-RMS1 antibody [EPR20103]

Be the first to review this product! Submit a review

|

(1 Publication)

Rabbit Recombinant Monoclonal RMS1 antibody. Suitable for WB and reacts with Saccharomyces cerevisiae samples. Cited in 1 publication.

別名を表示する

RMS1, SET7, YDR257C, YD9320A.07C, RKM4, Ribosomal lysine N-methyltransferase 4, SET domain-containing protein 7

2 Images
Western blot - Anti-RMS1 antibody [EPR20103] (AB202438)
  • WB

Supplier Data

Western blot - Anti-RMS1 antibody [EPR20103] (AB202438)

Blocking and dilution buffer : 5% NFDM/TBST

All lanes:

Western blot - Anti-RMS1 antibody [EPR20103] (ab202438) at 1/1000 dilution

All lanes:

Saccharomyces cerevisiae whole cell lysate at 10 µg

Secondary

All lanes:

Western blot - Goat Anti-Rabbit IgG H&L (HRP) (<a href='/products/secondary-antibodies/goat-rabbit-igg-h-l-hrp-ab97051'>ab97051</a>) at 1/100000 dilution

Predicted band size: 57 kDa

Observed band size: 57 kDa

true

Exposure time: 3min

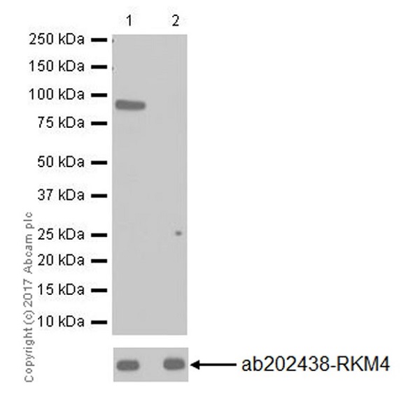
Western blot - Anti-RMS1 antibody [EPR20103] (AB202438)
  • WB

Supplier Data

Western blot - Anti-RMS1 antibody [EPR20103] (AB202438)

Blocking and dilution buffer : 5% NFDM/TBST

RKM4 KO strain (Y03616) was purchased from Euroscarf.

All lanes:

Western blot - Anti-RMS1 antibody [EPR20103] (ab202438) at 1/1000 dilution

Lane 1:

Saccharomyces cerevisiae (wild-type) whole cell lysate at 10 µg

Lane 2:

Saccharomyces cerevisiae (RKM4 KO) whole cell lysate at 10 µg

Secondary

All lanes:

Western blot - Goat Anti-Rabbit IgG H&L (HRP) (<a href='/products/secondary-antibodies/goat-rabbit-igg-h-l-hrp-ab97051'>ab97051</a>) at 1/100000 dilution

Predicted band size: 57 kDa

Observed band size: 57 kDa

true

Exposure time: 3min

関連する標識済み抗体及び組成の異なる製品 (1)

  • Carrier free

    Anti-RMS1 antibody [EPR20103] - BSA and Azide free

Key facts

宿主種

Rabbit

クローン性

Monoclonal

クローン番号

EPR20103

アイソタイプ

IgG

キャリアフリー

No

交差種

Saccharomyces cerevisiae

アプリケーション

WB

applications

免疫原

The exact immunogen used to generate this antibody is proprietary information.

Reactivity data

{ "title": "Reactivity Data", "filters": { "stats": ["", "Species", "Dilution Info", "Notes"], "tabs": { "all-applications": {"fullname" : "All Applications", "shortname": "All Applications"}, "WB" : {"fullname" : "Western blot", "shortname":"WB"} }, "product-promise": { "all": "all", "testedAndGuaranteed": "tested", "guaranteed": "expected", "predicted": "predicted", "notRecommended": "not-recommended" } }, "values": { "Saccharomyces cerevisiae": { "WB-species-checked": "testedAndGuaranteed", "WB-species-dilution-info": "1/1000", "WB-species-notes": "<p></p>" } } }

製品の詳細

Patented technology
Our RabMAb® technology is a patented hybridoma-based technology for making rabbit monoclonal antibodies. For details on our patents, please refer to RabMAb® patents.

What are the advantages of a recombinant monoclonal antibody?
This product is a recombinant monoclonal antibody, which offers several advantages including:

  • - High batch-to-batch consistency and reproducibility
  • - Improved sensitivity and specificity
  • - Long-term security of supply
  • - Animal-free batch production

For more information, read more on recombinant antibodies.

出荷温度及び保存条件

製品の状態
Liquid
精製方法
Affinity purification Protein A
バッファー組成
pH: 7.2 - 7.4 Preservative: 0.01% Sodium azide Constituents: PBS, 40% Glycerol (glycerin, glycerine), 0.05% BSA
出荷温度
Blue Ice
短期保存期間
1-2 weeks
短期保存温度
+4°C
長期保存温度
-20°C
分注に関する情報
Upon delivery aliquot
保管に関する情報
Avoid freeze / thaw cycle

補足情報

This supplementary information is collated from multiple sources and compiled automatically.

RMS1 also known as Rhomboid-like protein is a transmembrane serine protease with a molecular mass of approximately 55 kDa. It locates primarily on the inner mitochondrial membrane and is widely expressed across various tissues including the heart brain and liver. RMS1 belongs to the family of rhomboid proteases which perform intramembrane proteolysis. This protease modulates protein processing by cleaving specific substrate proteins within the membrane environment influencing their function and stability.
Biological function summary

This protein contributes to cellular homeostasis by regulating protein quality control and mitochondrial function. It engages in the organized removal of misfolded or damaged proteins within the mitochondria working as part of multiprotein complexes. RMS1 plays a significant role in the control of a subset of substrates ensuring proteins are maintained in their functional forms or cleared if defective which is critical for cellular metabolism and overall energy production.

Pathways

RMS1 interacts with proteolytic and mitochondrial homeostasis pathways. It participates in a pathway linked with mitochondrial proteostasis closely interacting with other proteins like PARL and PINK1 to ensure mitochondrial quality control. RMS1's proteolytic activity adjusts the protein components within the mitochondria aligning with the cell's metabolic demands and signaling needs which is vital for cell survival and adaptation to stress.

Defects or dysregulation of RMS1 have been linked to neurodegenerative conditions such as Parkinson's disease. RMS1 affects and connects with other key proteins involved in these disorders including DJ-1 and PINK1 which are vital for maintaining mitochondrial health. Aberrant function of RMS1 disrupts the meticulously balanced environment of protein turnover in mitochondria leading to the accumulation of harmful protein aggregates and oxidative stress which contributes to neuronal cell death.

製品プロトコール

For this product, it's our understanding that no specific protocols are required. You can visit:

ターゲットの情報

S-adenosyl-L-methionine-dependent protein-lysine N-methyltransferase that monomethylates 60S ribosomal protein L42 (RPL42A and RPL42B) at 'Lys-55'.
See full target information RKM4

文献 (1)

Recent publications for all applications. Explore the full list and refine your search

The Prostate 80:1145-1156 PubMed32659025

2020

CXCL12γ induces human prostate and mammary gland development.

Applications

Unspecified application

Species

Unspecified reactive species

Younghun Jung,Jin Koo Kim,Eunsohl Lee,Frank C Cackowski,Ann M Decker,Paul H Krebsbach,Russell S Taichman
View all publications

Abcam product promise

当社は、高品質な試薬を通じてお客様の研究を力強くサポートすることをお約束いたします。ご使用いただく各段階で、常にお客様をサポートできる体制を整えております。万が一、製品が期待通りに機能しない場合は、「Abcam Product Promise」による当社保証制度に基づき、安心してご利用いただけます。
保証に関する詳細については利用規約をご確認ください。

Please note: All products are 'FOR RESEARCH USE ONLY. NOT FOR USE IN DIAGNOSTIC OR THERAPEUTIC PROCEDURES'.

For licensing inquiries, please contact partnerships@abcam.com