JavaScript is disabled in your browser. Please enable JavaScript to view this website.
AB196832

Anti-RKIP 抗体

Anti-RKIP antibody

Be the first to review this product! Submit a review

|

(2 Publications)

Rabbit Polyclonal RKIP antibody. Suitable for WB, IHC-P, ICC/IF and reacts with Human, Mouse, Rat samples. Cited in 2 publications. Immunogen corresponding to Recombinant Full Length Protein corresponding to Human PEBP1.

別名を表示する

PBP, PEBP, PEBP1, Phosphatidylethanolamine-binding protein 1, PEBP-1, HCNPpp, Neuropolypeptide h3, Prostatic-binding protein, Raf kinase inhibitor protein, RKIP

4 Images
Immunocytochemistry/ Immunofluorescence - Anti-RKIP antibody (AB196832)
  • ICC/IF

Supplier Data

Immunocytochemistry/ Immunofluorescence - Anti-RKIP antibody (AB196832)

Immunofluorescent analysis of HeLa cells labeling RKIP with ab196832 at 1/50 dilution. Blue : DAPI for nuclear staining.

Immunohistochemistry (Formalin/PFA-fixed paraffin-embedded sections) - Anti-RKIP antibody (AB196832)
  • IHC-P

Supplier Data

Immunohistochemistry (Formalin/PFA-fixed paraffin-embedded sections) - Anti-RKIP antibody (AB196832)

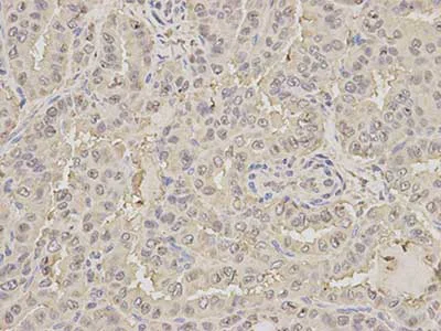
Immunohistochemical analysis of paraffin-embedded Human thyroid cancer tissue labeling RKIP with ab196832 at 1/200 dilution.

Immunohistochemistry (Formalin/PFA-fixed paraffin-embedded sections) - Anti-RKIP antibody (AB196832)
  • IHC-P

Supplier Data

Immunohistochemistry (Formalin/PFA-fixed paraffin-embedded sections) - Anti-RKIP antibody (AB196832)

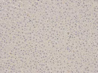
Immunohistochemical analysis of paraffin-embedded Rat liver tissue labeling RKIP with ab196832 at 1/200 dilution.

Western blot - Anti-RKIP antibody (AB196832)
  • WB

Supplier Data

Western blot - Anti-RKIP antibody (AB196832)

All lanes:

Western blot - Anti-RKIP antibody (ab196832) at 1/500 dilution

Lane 1:

BT-474 cell extract

Lane 2:

293T cell extract

Lane 3:

22RV-1 cell extract

Lane 4:

A549 cell extract

Lane 5:

PC-3 cell extract

Lane 6:

MCF-7 cell extract

Lane 7:

Mouse liver extract

Lane 8:

Mouse brain extract

Predicted band size: 21 kDa

false

Key facts

宿主種

Rabbit

クローン性

Polyclonal

アイソタイプ

IgG

キャリアフリー

No

交差種

Mouse, Rat, Human

アプリケーション

ICC/IF, IHC-P, WB

applications

免疫原

Recombinant Full Length Protein corresponding to Human PEBP1.

P30086

Reactivity data

{ "title": "Reactivity Data", "filters": { "stats": ["", "Species", "Dilution Info", "Notes"], "tabs": { "all-applications": {"fullname" : "All Applications", "shortname": "All Applications"}, "WB" : {"fullname" : "Western blot", "shortname":"WB"}, "IHCP" : {"fullname" : "Immunohistochemistry (Formalin/PFA-fixed paraffin-embedded sections)", "shortname":"IHC-P"}, "ICCIF" : {"fullname" : "Immunocytochemistry/ Immunofluorescence", "shortname":"ICC/IF"} }, "product-promise": { "all": "all", "testedAndGuaranteed": "tested", "guaranteed": "expected", "predicted": "predicted", "notRecommended": "not-recommended" } }, "values": { "Human": { "WB-species-checked": "testedAndGuaranteed", "WB-species-dilution-info": "1/500 - 1/2000", "WB-species-notes": "<p></p>", "IHCP-species-checked": "testedAndGuaranteed", "IHCP-species-dilution-info": "1/50 - 1/200", "IHCP-species-notes": "<p></p>", "ICCIF-species-checked": "testedAndGuaranteed", "ICCIF-species-dilution-info": "1/50 - 1/200", "ICCIF-species-notes": "<p></p>" }, "Mouse": { "WB-species-checked": "testedAndGuaranteed", "WB-species-dilution-info": "1/500 - 1/2000", "WB-species-notes": "<p></p>", "IHCP-species-checked": "guaranteed", "IHCP-species-dilution-info": "", "IHCP-species-notes": "", "ICCIF-species-checked": "guaranteed", "ICCIF-species-dilution-info": "", "ICCIF-species-notes": "" }, "Rat": { "WB-species-checked": "guaranteed", "WB-species-dilution-info": "", "WB-species-notes": "", "IHCP-species-checked": "testedAndGuaranteed", "IHCP-species-dilution-info": "1/50 - 1/200", "IHCP-species-notes": "<p></p>", "ICCIF-species-checked": "guaranteed", "ICCIF-species-dilution-info": "", "ICCIF-species-notes": "" }, "Cynomolgus monkey": { "WB-species-checked": "predicted", "WB-species-dilution-info": "", "WB-species-notes": "", "IHCP-species-checked": "predicted", "IHCP-species-dilution-info": "", "IHCP-species-notes": "", "ICCIF-species-checked": "predicted", "ICCIF-species-dilution-info": "", "ICCIF-species-notes": "" }, "Orangutan": { "WB-species-checked": "predicted", "WB-species-dilution-info": "", "WB-species-notes": "", "IHCP-species-checked": "predicted", "IHCP-species-dilution-info": "", "IHCP-species-notes": "", "ICCIF-species-checked": "predicted", "ICCIF-species-dilution-info": "", "ICCIF-species-notes": "" } } }

出荷温度及び保存条件

製品の状態
Liquid
精製方法
Affinity purification Immunogen
バッファー組成
pH: 7.4 Preservative: 0.02% Sodium azide Constituents: PBS, 50% Glycerol (glycerin, glycerine), 0.87% Sodium chloride
出荷温度
Blue Ice
短期保存期間
1-2 weeks
短期保存温度
+4°C
長期保存温度
-20°C
分注に関する情報
Upon delivery aliquot
保管に関する情報
Avoid freeze / thaw cycle

補足情報

This supplementary information is collated from multiple sources and compiled automatically.

Raf kinase inhibitory protein (RKIP) also known as phosphatidylethanolamine-binding protein 1 (PEBP1) is a significant regulatory protein weighing around 21 kDa. It inhibits the RAF/MEK/ERK signaling cascade by binding to Raf-1 kinase. RKIP shows expression in diverse tissues including the brain heart and liver reflecting its widespread influence across various physiological systems.
Biological function summary

RKIP interacts with multiple signaling pathways by acting as a suppressor of the mitogen-activated protein kinase (MAPK) pathway. It also plays roles in modulating the signaling of nuclear factor kappa B (NF-κB) and G-protein coupled receptor kinase (GRK) pathways. As part of these pathways RKIP contributes to the regulation of cell proliferation differentiation and apoptosis making it an important player in maintaining cellular homeostasis.

Pathways

RKIP's role centers on the RAF/MEK/ERK and NF-κB signaling pathways. Within the RAF/MEK/ERK pathway RKIP modulates cellular responses by controlling the activation of Raf-1 influencing cell growth and division. In the NF-κB pathway RKIP inhibits phosphorylation of IKK thereby impacting inflammatory responses which links RKIP to proteins like MEK and ERK as well as IKK.

RKIP has involvement in cancer and cardiovascular diseases. Reduced RKIP expression associates with increased metastasis in cancers such as prostate and breast cancer indicating its role as a metastasis suppressor. In cardiovascular contexts RKIP affects hypertension pathogenesis through the modulation of GRK pathway involving connections to proteins such as Raf-1 and IKK.

製品プロトコール

For this product, it's our understanding that no specific protocols are required. You can visit:

ターゲットの情報

Binds ATP, opioids and phosphatidylethanolamine. Has lower affinity for phosphatidylinositol and phosphatidylcholine. Serine protease inhibitor which inhibits thrombin, neuropsin and chymotrypsin but not trypsin, tissue type plasminogen activator and elastase (By similarity). Inhibits the kinase activity of RAF1 by inhibiting its activation and by dissociating the RAF1/MEK complex and acting as a competitive inhibitor of MEK phosphorylation.. HCNP may be involved in the function of the presynaptic cholinergic neurons of the central nervous system. HCNP increases the production of choline acetyltransferase but not acetylcholinesterase. Seems to be mediated by a specific receptor (By similarity).
See full target information PEBP1

文献 (2)

Recent publications for all applications. Explore the full list and refine your search

FASEB journal : official publication of the Federation of American Societies for Experimental Biology 38:e70099 PubMed39400395

2024

Plasma membrane repair defect in Alzheimer's disease neurons is driven by the reduced dysferlin expression.

Applications

Unspecified application

Species

Unspecified reactive species

Hannah R Bulgart,Miguel A Lopez Perez,Alexis Tucker,Gianni N Giarrano,Kassidy Banford,Olivia Miller,Sidney W G Bonser,Loren E Wold,Douglas Scharre,Noah Weisleder

Redox biology 50:102232 PubMed35101798

2022

Inactivation of RIP3 kinase sensitizes to 15LOX/PEBP1-mediated ferroptotic death.

Applications

Unspecified application

Species

Unspecified reactive species

Andrew M Lamade,Limin Wu,Haider H Dar,Heather L Mentrup,Indira H Shrivastava,Michael W Epperly,Claudette M St Croix,Yulia Y Tyurina,Tamil S Anthonymuthu,Qin Yang,Aleksandr A Kapralov,Zhentai Huang,Gaowei Mao,Andrew A Amoscato,Zachary E Hier,Margarita A Artyukhova,Galina Shurin,Joel C Rosenbaum,Peter J Gough,John Bertin,Andrew P VanDemark,Simon C Watkins,Kevin P Mollen,Ivet Bahar,Joel S Greenberger,Valerian E Kagan,Michael J Whalen,Hülya Bayır
View all publications

Abcam product promise

当社は、高品質な試薬を通じてお客様の研究を力強くサポートすることをお約束いたします。ご使用いただく各段階で、常にお客様をサポートできる体制を整えております。万が一、製品が期待通りに機能しない場合は、「Abcam Product Promise」による当社保証制度に基づき、安心してご利用いただけます。
保証に関する詳細については利用規約をご確認ください。

Please note: All products are 'FOR RESEARCH USE ONLY. NOT FOR USE IN DIAGNOSTIC OR THERAPEUTIC PROCEDURES'.

For licensing inquiries, please contact partnerships@abcam.com