JavaScript is disabled in your browser. Please enable JavaScript to view this website.
AB305054

Anti-RIP3 抗体 [EPR24374-135]

Anti-RIP3 antibody [EPR24374-135]

Be the first to review this product! Submit a review

|

(4 Publications)

Rabbit Recombinant Monoclonal RIP3 antibody. Suitable for WB and reacts with Human samples. Cited in 4 publications.

別名を表示する

RIP3, RIPK3, Receptor-interacting serine/threonine-protein kinase 3, RIP-like protein kinase 3, Receptor-interacting protein 3, RIP-3

2 Images
Western blot - Anti-RIP3 antibody [EPR24374-135] (AB305054)
  • WB

Supplier Data

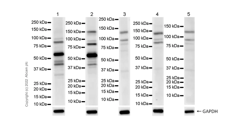
Western blot - Anti-RIP3 antibody [EPR24374-135] (AB305054)

Blocking and diluting buffer and concentration : 5% NFDM/TBST Negative control : MCF7, HepG2, A549 (PMID : 25675296) Lysates were freshly made and used immediately to minimize protein degradation. Exposure time : 26 seconds

All lanes:

Western blot - Anti-RIP3 antibody [EPR24374-135] (ab305054) at 1/1000 dilution

Lane 1:

U937 (human histiocytic lymphoma monocyte), whole cell lysate at 10 µg

Lane 2:

THP-1 (human monocytic leukemia monocyte), whole cell lysate at 10 µg

Lane 3:

MCF7 (human breast adenocarcinoma epithelial cell), whole cell lysate at 10 µg

Lane 4:

HepG2 (human hepatocellar carcinoma epithelial cell), whole cell lysate at 10 µg

Lane 5:

A549 (human lung carcinoma epithelial cell), whole cell lysate at 10 µg

Secondary

All lanes:

Western blot - Goat Anti-Rabbit IgG H&L (HRP) (<a href='/products/secondary-antibodies/goat-rabbit-igg-h-l-hrp-ab97051'>ab97051</a>) at 1/20000 dilution

Predicted band size: 57 kDa

Observed band size: 56 kDa

false

Exposure time: 26s

Western blot - Anti-RIP3 antibody [EPR24374-135] (AB305054)
  • WB

Supplier Data

Western blot - Anti-RIP3 antibody [EPR24374-135] (AB305054)

Blocking and diluting buffer and concentration : 5% NFDM/TBST Negative control : HeLa (PMID : 26269957, PMID : 28179994) Lysates were freshly made and used immediately to minimize protein degradation. Exposure time : 3 minutes

All lanes:

Western blot - Anti-RIP3 antibody [EPR24374-135] (ab305054) at 1/1000 dilution

Lane 1:

HT-29 (human colorectal adenocarcinoma epithelial cell), whole cell lysate at 20 µg

Lane 2:

HeLa (human cervix adenocarcinoma epithelial cell), whole cell lysate at 20 µg

Secondary

All lanes:

Western blot - Goat Anti-Rabbit IgG H&L (HRP) (<a href='/products/secondary-antibodies/goat-rabbit-igg-h-l-hrp-ab97051'>ab97051</a>) at 1/100000 dilution

Predicted band size: 57 kDa

Observed band size: 56 kDa

false

Exposure time: 3min

関連する標識済み抗体及び組成の異なる製品 (1)

  • Carrier free

    Anti-RIP3 antibody [EPR24374-135] - BSA and Azide free

Key facts

宿主種

Rabbit

クローン性

Monoclonal

クローン番号

EPR24374-135

アイソタイプ

IgG

キャリアフリー

No

交差種

Human

アプリケーション

WB

applications

免疫原

The exact immunogen used to generate this antibody is proprietary information.

Reactivity data

{ "title": "Reactivity Data", "filters": { "stats": ["", "Species", "Dilution Info", "Notes"], "tabs": { "all-applications": {"fullname" : "All Applications", "shortname": "All Applications"}, "WB" : {"fullname" : "Western blot", "shortname":"WB"}, "IHCP" : {"fullname" : "Immunohistochemistry (Formalin/PFA-fixed paraffin-embedded sections)", "shortname":"IHC-P"}, "ICCIF" : {"fullname" : "Immunocytochemistry/ Immunofluorescence", "shortname":"ICC/IF"}, "FlowCytIntra" : {"fullname" : "Flow Cytometry (Intracellular)", "shortname":"Flow Cyt (Intra)"}, "IP" : {"fullname" : "Immunoprecipitation", "shortname":"IP"} }, "product-promise": { "all": "all", "testedAndGuaranteed": "tested", "guaranteed": "expected", "predicted": "predicted", "notRecommended": "not-recommended" } }, "values": { "Human": { "WB-species-checked": "testedAndGuaranteed", "WB-species-dilution-info": "1/1000", "WB-species-notes": "<p></p>", "IHCP-species-checked": "notRecommended", "IHCP-species-dilution-info": "", "IHCP-species-notes": "<p></p>", "ICCIF-species-checked": "notRecommended", "ICCIF-species-dilution-info": "", "ICCIF-species-notes": "<p></p>", "FlowCytIntra-species-checked": "notRecommended", "FlowCytIntra-species-dilution-info": "", "FlowCytIntra-species-notes": "<p></p>", "IP-species-checked": "notRecommended", "IP-species-dilution-info": "", "IP-species-notes": "<p></p>" }, "Mouse": { "WB-species-checked": "notRecommended", "WB-species-dilution-info": "1/1000", "WB-species-notes": "<p></p>", "IHCP-species-checked": "notRecommended", "IHCP-species-dilution-info": "", "IHCP-species-notes": "<p></p>", "ICCIF-species-checked": "notRecommended", "ICCIF-species-dilution-info": "", "ICCIF-species-notes": "", "FlowCytIntra-species-checked": "notRecommended", "FlowCytIntra-species-dilution-info": "", "FlowCytIntra-species-notes": "", "IP-species-checked": "notRecommended", "IP-species-dilution-info": "", "IP-species-notes": "" }, "Rat": { "WB-species-checked": "notRecommended", "WB-species-dilution-info": "1/1000", "WB-species-notes": "<p></p>", "IHCP-species-checked": "notRecommended", "IHCP-species-dilution-info": "", "IHCP-species-notes": "<p></p>", "ICCIF-species-checked": "notRecommended", "ICCIF-species-dilution-info": "", "ICCIF-species-notes": "", "FlowCytIntra-species-checked": "notRecommended", "FlowCytIntra-species-dilution-info": "", "FlowCytIntra-species-notes": "", "IP-species-checked": "notRecommended", "IP-species-dilution-info": "", "IP-species-notes": "" } } }

製品の詳細

What are the advantages of a recombinant monoclonal antibody?
This product is a recombinant monoclonal antibody, which offers several advantages including:

  • - High batch-to-batch consistency and reproducibility
  • - Improved sensitivity and specificity
  • - Long-term security of supply
  • - Animal-free batch production

For more information, read more on recombinant antibodies.

Patented technology
Our RabMAb® technology is a patented hybridoma-based technology for making rabbit monoclonal antibodies. For details on our patents, please refer to RabMAb® patents.

出荷温度及び保存条件

製品の状態
Liquid
精製方法
Affinity purification Protein A
バッファー組成
pH: 7.2 - 7.4 Preservative: 0.01% Sodium azide Constituents: PBS, 40% Glycerol (glycerin, glycerine), 0.05% BSA
出荷温度
Blue Ice
短期保存期間
1-2 weeks
短期保存温度
+4°C
長期保存温度
-20°C
分注に関する情報
Upon delivery aliquot
保管に関する情報
Avoid freeze / thaw cycle

補足情報

This supplementary information is collated from multiple sources and compiled automatically.

'Receptor-interacting protein kinase 3' (RIP3) also known as RIPK3 is a serine/threonine-protein kinase with a molecular weight of approximately 57 kDa. Mechanically it contains a kinase domain that allows it to phosphorylate specific substrates which is important for mediating its function within the cell. RIP3 is expressed in various tissues with notable presence in the spleen heart and adipose tissue. The protein localizes predominantly in the cytoplasm where it interacts with other cellular proteins to initiate downstream signaling events.
Biological function summary

RIP3 facilitates the execution of necroptosis a form of programmed cell death distinct from apoptosis. It becomes activated upon binding with RIP1 forming a necrosome complex that is essential for this pathway. This complex promotes phosphorylation events that subsequently lead to membrane rupture and cell death. Apart from its role in necroptosis RIP3 also engages in metabolic regulation processes linking energy status and cell death under conditions of stress.

Pathways

RIP3 is a principal component of the necroptotic pathway interacting closely with RIP1 to trigger cell death in conditions where caspase activation is inhibited. Alternatively it integrates into metabolic pathways participating in sensing and responding to changes in cellular energy states. The interplay between RIP3 and RIP1 within these pathways illustrates their shared involvement in maintaining cellular homeostasis and triggering cell death when necessary.

RIP3 has significant implications for conditions involving excessive or dysfunctional cell death such as inflammatory diseases and reperfusion injury. The necroptotic activity of RIP3 can exacerbate inflammation by promoting the release of pro-inflammatory factors upon cell death. Furthermore during ischemia-reperfusion injury increased RIP3 activity in conjunction with MLKL another necroptosis-associated protein contributes to tissue damage highlighting its potential as a therapeutic target for reducing cell death-related tissue damage.

製品プロトコール

For this product, it's our understanding that no specific protocols are required. You can visit:

ターゲットの情報

Serine/threonine-protein kinase that activates necroptosis and apoptosis, two parallel forms of cell death (PubMed : 19524512, PubMed : 19524513, PubMed : 22265413, PubMed : 22265414, PubMed : 22421439, PubMed : 29883609, PubMed : 32657447). Necroptosis, a programmed cell death process in response to death-inducing TNF-alpha family members, is triggered by RIPK3 following activation by ZBP1 (PubMed : 19524512, PubMed : 19524513, PubMed : 22265413, PubMed : 22265414, PubMed : 22421439, PubMed : 29883609, PubMed : 32298652). Activated RIPK3 forms a necrosis-inducing complex and mediates phosphorylation of MLKL, promoting MLKL localization to the plasma membrane and execution of programmed necrosis characterized by calcium influx and plasma membrane damage (PubMed : 19524512, PubMed : 19524513, PubMed : 22265413, PubMed : 22265414, PubMed : 22421439, PubMed : 25316792, PubMed : 29883609). In addition to TNF-induced necroptosis, necroptosis can also take place in the nucleus in response to orthomyxoviruses infection : following ZBP1 activation, which senses double-stranded Z-RNA structures, nuclear RIPK3 catalyzes phosphorylation and activation of MLKL, promoting disruption of the nuclear envelope and leakage of cellular DNA into the cytosol (By similarity). Also regulates apoptosis : apoptosis depends on RIPK1, FADD and CASP8, and is independent of MLKL and RIPK3 kinase activity (By similarity). Phosphorylates RIPK1 : RIPK1 and RIPK3 undergo reciprocal auto- and trans-phosphorylation (PubMed : 19524513). In some cell types, also able to restrict viral replication by promoting cell death-independent responses (By similarity). In response to Zika virus infection in neurons, promotes a cell death-independent pathway that restricts viral replication : together with ZBP1, promotes a death-independent transcriptional program that modifies the cellular metabolism via up-regulation expression of the enzyme ACOD1/IRG1 and production of the metabolite itaconate (By similarity). Itaconate inhibits the activity of succinate dehydrogenase, generating a metabolic state in neurons that suppresses replication of viral genomes (By similarity). RIPK3 binds to and enhances the activity of three metabolic enzymes : GLUL, GLUD1, and PYGL (PubMed : 19498109). These metabolic enzymes may eventually stimulate the tricarboxylic acid cycle and oxidative phosphorylation, which could result in enhanced ROS production (PubMed : 19498109).. (Microbial infection) In case of herpes simplex virus 1/HHV-1 infection, forms heteromeric amyloid structures with HHV-1 protein RIR1/ICP6 which may inhibit RIPK3-mediated necroptosis, thereby preventing host cell death pathway and allowing viral evasion.
See full target information RIPK3

文献 (4)

Recent publications for all applications. Explore the full list and refine your search

Scientific reports 15:22592 PubMed40595878

2025

LncRNAs regulates cell death in osteosarcoma.

Applications

Unspecified application

Species

Unspecified reactive species

Ping'an Zou,Zhiwei Tao,Zhengxu Yang,Tao Xiong,Zhi Deng,Qincan Chen,Li Niu

The Tohoku journal of experimental medicine : PubMed39938906

2025

Fructus Gardenia Extract Improves Cerebral Ischemia-Reperfusion Injury via RIPK1-RIPK3-MLKL Axis.

Applications

Unspecified application

Species

Unspecified reactive species

Shengyu Jin,Ke Wang,Zhangfeng Shen,Bing Hu,Qian Dou,Dongdong Xu,Yuhao Chen,Jiamin Yan,Jing Liu

Oncology letters 28:529 PubMed39290957

2024

Zinc finger domain of p62/SQSTM1 is involved in the necroptosis of human cisplatin‑resistant ovarian cancer cells treated with sulfasalazine.

Applications

Unspecified application

Species

Unspecified reactive species

Nannan Liu,Shanshan Liu,Xueshuang Zhang,Wenzhu Tian,Heqiang Jia,Xin Ye,Xiaoyu Yan,Chunyan Yu,Huimei Yu

In vivo (Athens, Greece) 38:1162-1169 PubMed38688607

2024

The Effect of Propofol on the Hippocampus in Chronic Cerebral Hypoxia in a Rat Model Through Klotho Regulation.

Applications

Unspecified application

Species

Unspecified reactive species

Hengchang Ren,Min Zhu,Hongli Yu,Yiqi Weng,Wenli Yu
View all publications

Abcam product promise

当社は、高品質な試薬を通じてお客様の研究を力強くサポートすることをお約束いたします。ご使用いただく各段階で、常にお客様をサポートできる体制を整えております。万が一、製品が期待通りに機能しない場合は、「Abcam Product Promise」による当社保証制度に基づき、安心してご利用いただけます。
保証に関する詳細については利用規約をご確認ください。

Please note: All products are 'FOR RESEARCH USE ONLY. NOT FOR USE IN DIAGNOSTIC OR THERAPEUTIC PROCEDURES'.

For licensing inquiries, please contact partnerships@abcam.com