JavaScript is disabled in your browser. Please enable JavaScript to view this website.
AB324235

Anti-RG9MTD3 抗体 [EPR28590-15]

Anti-RG9MTD3 antibody [EPR28590-15]

Be the first to review this product! Submit a review

|

(0 Publication)

Rabbit Recombinant Monoclonal RG9MTD3 antibody. Suitable for WB and reacts with Recombinant full length protein - Human, Human, Mouse samples.

別名を表示する

RG9MTD3, TRMT10B, tRNA methyltransferase 10 homolog B, RNA (guanine-9-)-methyltransferase domain-containing protein 3, tRNA (guanine(9)-N(1))-methyltransferase TRMT10B

5 Images
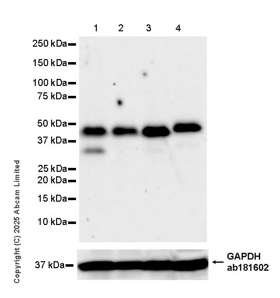
Western blot - Anti-RG9MTD3 antibody [EPR28590-15] (AB324235)
  • WB

Supplier Data

Western blot - Anti-RG9MTD3 antibody [EPR28590-15] (AB324235)

Blocking and diluting buffer and concentration : 5% NFDM/TBST.

To minimize protein degradation, cells were lysed immediately after harvest and then applied to a gel and transfer membrane for Western blotting as soon as possible.

The band beneath the target band (40 kDa) in lanes 1 is likely to be a degraded target fragment.

In Western blot, Anti-GAPDH antibody [EPR16891] - Loading Control (ab181602) staining at 1/200000 dilution.

All lanes:

Western blot - Anti-RG9MTD3 antibody [EPR28590-15] (ab324235) at 1/1000 dilution

Lane 1:

Jurkat (human T cell leukemia T lymphocyte from peripheral blood) whole cell lysate at 40 µg

Lane 2:

SH-SY5Y (human neuroblastoma epithelial cell) whole cell lysate at 40 µg

Lane 3:

Raji (human Burkitt's lymphoma B lymphocyte) whole cell lysate at 40 µg

Lane 4:

F9 (mouse embryonal carcinoma epithelial cell) whole cell lysate at 40 µg

Secondary

All lanes:

Western blot - Goat Anti-Rabbit IgG H&L (HRP) (<a href='/products/secondary-antibodies/goat-rabbit-igg-h-l-hrp-ab97051'>ab97051</a>) at 1/20000 dilution

Observed band size: 44 kDa,36 kDa

false

Exposure time: 125s

Western blot - Anti-RG9MTD3 antibody [EPR28590-15] (AB324235)
  • WB

Supplier Data

Western blot - Anti-RG9MTD3 antibody [EPR28590-15] (AB324235)

Blocking and diluting buffer and concentration : 5% NFDM/TBST.

In Western blot, Anti-GAPDH antibody [EPR16891] - Loading Control (ab181602) staining at 1/200000 dilution.

All lanes:

Western blot - Anti-RG9MTD3 antibody [EPR28590-15] (ab324235) at 1/1000 dilution

Lane 1:

HeLa (human cervical adenocarcinoma epithelial cell) transfected with scrambled siRNA control whole cell lysate at 40 µg

Lane 2:

HeLa transfected with siRNA specifically targeting RG9MTD3 whole cell lysate at 40 µg

Secondary

All lanes:

Western blot - Goat Anti-Rabbit IgG H&L (HRP) (<a href='/products/secondary-antibodies/goat-rabbit-igg-h-l-hrp-ab97051'>ab97051</a>) at 1/20000 dilution

Observed band size: 44 kDa,36 kDa

false

Exposure time: 125s

Western blot - Anti-RG9MTD3 antibody [EPR28590-15] (AB324235)
  • WB

Supplier Data

Western blot - Anti-RG9MTD3 antibody [EPR28590-15] (AB324235)

Blocking and diluting buffer and concentration : 5% NFDM/TBST.

Low expression : colon, heart

The band beneath the target band (44 kDa) in lanes 1 is likely to be a degraded target fragment.

In Western blot, Anti-GAPDH antibody [EPR16891] - Loading Control (ab181602) staining at 1/200000 dilution.

All lanes:

Western blot - Anti-RG9MTD3 antibody [EPR28590-15] (ab324235) at 1/1000 dilution

Lane 1:

Mouse testis tissue lysate at 40 µg

Lane 2:

Mouse colon tissue lysate at 40 µg

Lane 3:

Mouse heart tissue lysate at 40 µg

Secondary

All lanes:

Western blot - Goat Anti-Rabbit IgG H&L (HRP) (<a href='/products/secondary-antibodies/goat-rabbit-igg-h-l-hrp-ab97051'>ab97051</a>) at 1/20000 dilution

Observed band size: 44 kDa,36 kDa

false

Exposure time: 125s

Western blot - Anti-RG9MTD3 antibody [EPR28590-15] (AB324235)
  • WB

Supplier Data

Western blot - Anti-RG9MTD3 antibody [EPR28590-15] (AB324235)

Blocking and diluting buffer and concentration : 5% NFDM/TBST.

In lanes 1-3, the lysates were stored at -80℃ prior to Western Blotting. The bands beneath the target band (44kDa) are likey to be degradation products. In lanes 4-6, To minimize protein degradation, cells were lysed immediately after harvest and then applied to a gel and transfer membrane for Western blotting as soon as possible.

Lanes 6 of this blot was developed using a high-sensitivity ECL substrate, allowing for the detection of proteins in the mid-femtogram range.

In Western blot, Anti-GAPDH antibody [EPR16891] - Loading Control (ab181602) staining at 1/200000 dilution.

Exposure time : Lanes 1-3 : 125 seconds; Lanes 4-5 : 180 seconds; Lane 6 : 125 seconds

All lanes:

Western blot - Anti-RG9MTD3 antibody [EPR28590-15] (ab324235) at 1/1000 dilution

Lane 1:

Neuro-2a (mouse neuroblastoma neuroblast) whole cell lysate (Frozen lysates) at 40 µg

Lane 2:

NIH/3T3 (mouse embryonic fibroblast) whole cell lysate (Frozen lysates) at 40 µg

Lane 3:

Mouse testis tissue lysate (Frozen lysates) at 40 µg

Lane 4:

NIH/3T3 (mouse embryonic fibroblast) whole cell lysate (Fresh lysates) at 20 µg

Lane 5:

Neuro-2a (mouse neuroblastoma neuroblast) whole cell lysate (Fresh lysates) at 20 µg

Lane 6:

Mouse testis tissue lysate (Fresh lysates) at 20 µg

Secondary

All lanes:

Western blot - Goat Anti-Rabbit IgG H&L (HRP) (<a href='/products/secondary-antibodies/goat-rabbit-igg-h-l-hrp-ab97051'>ab97051</a>) at 1/20000 dilution

Observed band size: 44 kDa,36 kDa

false

Western blot - Anti-RG9MTD3 antibody [EPR28590-15] (AB324235)
  • WB

Supplier Data

Western blot - Anti-RG9MTD3 antibody [EPR28590-15] (AB324235)

Blocking and diluting buffer and concentration : 5% NFDM/TBST.

This antibody does not cross-react with human RG9MTD1 and RG9MTD2

In Western blot, Anti-6X His tag® antibody [AD1.1.10] - (ab15149) staining at 1/1000 dilution.

All lanes:

Western blot - Anti-RG9MTD3 antibody [EPR28590-15] (ab324235) at 1/1000 dilution

Lane 1:

His-tagged human RG9MTD2 recombinant protein at 10 ng

Lane 2:

His-tagged human RG9MTD3 recombinant protein at 10 ng

Lane 3:

His-tagged human RG9MTD1 recombinant protein at 20 ng

Secondary

All lanes:

Western blot - Goat Anti-Rabbit IgG H&L (HRP) (<a href='/products/secondary-antibodies/goat-rabbit-igg-h-l-hrp-ab97051'>ab97051</a>) at 1/20000 dilution

Observed band size: 44 kDa,30 kDa

false

Exposure time: 1s

Key facts

宿主種

Rabbit

クローン性

Monoclonal

クローン番号

EPR28590-15

アイソタイプ

IgG

キャリアフリー

No

交差種

Human, Mouse

アプリケーション

WB

applications

免疫原

The exact immunogen used to generate this antibody is proprietary information.

Reactivity data

{ "title": "Reactivity Data", "filters": { "stats": ["", "Species", "Dilution Info", "Notes"], "tabs": { "all-applications": {"fullname" : "All Applications", "shortname": "All Applications"}, "WB" : {"fullname" : "Western blot", "shortname":"WB"}, "IP" : {"fullname" : "Immunoprecipitation", "shortname":"IP"}, "ICCIF" : {"fullname" : "Immunocytochemistry/ Immunofluorescence", "shortname":"ICC/IF"}, "IHCP" : {"fullname" : "Immunohistochemistry (Formalin/PFA-fixed paraffin-embedded sections)", "shortname":"IHC-P"} }, "product-promise": { "all": "all", "testedAndGuaranteed": "tested", "guaranteed": "expected", "predicted": "predicted", "notRecommended": "not-recommended" } }, "values": { "Human": { "WB-species-checked": "testedAndGuaranteed", "WB-species-dilution-info": "1/1000", "WB-species-notes": "<p></p>", "IP-species-checked": "notRecommended", "IP-species-dilution-info": "", "IP-species-notes": "<p></p>", "ICCIF-species-checked": "notRecommended", "ICCIF-species-dilution-info": "", "ICCIF-species-notes": "<p></p>", "IHCP-species-checked": "notRecommended", "IHCP-species-dilution-info": "", "IHCP-species-notes": "<p></p>" }, "Mouse": { "WB-species-checked": "testedAndGuaranteed", "WB-species-dilution-info": "1/1000", "WB-species-notes": "<p></p>", "IP-species-checked": "notRecommended", "IP-species-dilution-info": "", "IP-species-notes": "<p></p>", "ICCIF-species-checked": "notRecommended", "ICCIF-species-dilution-info": "", "ICCIF-species-notes": "<p></p>", "IHCP-species-checked": "notRecommended", "IHCP-species-dilution-info": "", "IHCP-species-notes": "<p></p>" }, "Recombinant full length protein - Human": { "WB-species-checked": "testedAndGuaranteed", "WB-species-dilution-info": "1/1000", "WB-species-notes": "<p></p>", "IP-species-checked": "notRecommended", "IP-species-dilution-info": "", "IP-species-notes": "", "ICCIF-species-checked": "notRecommended", "ICCIF-species-dilution-info": "", "ICCIF-species-notes": "", "IHCP-species-checked": "notRecommended", "IHCP-species-dilution-info": "", "IHCP-species-notes": "" } } }

製品の詳細

Patented technology
Our RabMAb® technology is a patented hybridoma-based technology for making rabbit monoclonal antibodies. For details on our patents, please refer to RabMAb® patents.

What are the advantages of a recombinant monoclonal antibody?
This product is a recombinant monoclonal antibody, which offers several advantages including:

  • - High batch-to-batch consistency and reproducibility
  • - Improved sensitivity and specificity
  • - Long-term security of supply
  • - Animal-free batch production

For more information, read more on recombinant antibodies.

出荷温度及び保存条件

製品の状態
Liquid
精製方法
Affinity purification Protein A
バッファー組成
pH: 7.2 - 7.4 Preservative: 0.01% Sodium azide Constituents: PBS, 40% Glycerol (glycerin, glycerine), 0.05% BSA
出荷温度
Blue Ice
短期保存期間
1-2 weeks
短期保存温度
+4°C
長期保存温度
-20°C
分注に関する情報
Upon delivery aliquot
保管に関する情報
Avoid freeze / thaw cycle

製品プロトコール

For this product, it's our understanding that no specific protocols are required. You can visit:

ターゲットの情報

S-adenosyl-L-methionine-dependent guanine N(1)-methyltransferase that catalyzes the formation of N(1)-methylguanine at position 9 (m1G9) in tRNAs (PubMed : 23042678). Probably not able to catalyze formation of N(1)-methyladenine at position 9 (m1A9) in tRNAs (PubMed : 23042678).
See full target information TRMT10B

Abcam product promise

当社は、高品質な試薬を通じてお客様の研究を力強くサポートすることをお約束いたします。ご使用いただく各段階で、常にお客様をサポートできる体制を整えております。万が一、製品が期待通りに機能しない場合は、「Abcam Product Promise」による当社保証制度に基づき、安心してご利用いただけます。
保証に関する詳細については利用規約をご確認ください。

Please note: All products are 'FOR RESEARCH USE ONLY. NOT FOR USE IN DIAGNOSTIC OR THERAPEUTIC PROCEDURES'.

For licensing inquiries, please contact partnerships@abcam.com