JavaScript is disabled in your browser. Please enable JavaScript to view this website.
AB5088

Anti-REV1 抗体

Anti-REV1 antibody

4

(1 Review)

|

(3 Publications)

Goat Polyclonal REV1 antibody. Suitable for IHC-P and reacts with Human samples. Cited in 3 publications. Immunogen corresponding to Synthetic Peptide within Human REV1 aa 1200 to C-terminus.

別名を表示する

REV1L, REV1, DNA repair protein REV1, Alpha integrin-binding protein 80, Rev1-like terminal deoxycytidyl transferase, AIBP80

1 Images
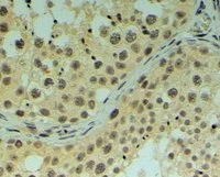
Immunohistochemistry (Formalin/PFA-fixed paraffin-embedded sections) - Anti-REV1 antibody (AB5088)
  • IHC-P

Unknown

Immunohistochemistry (Formalin/PFA-fixed paraffin-embedded sections) - Anti-REV1 antibody (AB5088)

In paraffin embedded Human Testis shows nuclear staining in spermatogonia and spermatocytes. ab5088 used at 4ug/ml following Steamed antigen retrieval with Tris/EDTA buffer pH 9 visualised using HRP staining.

Key facts

宿主種

Goat

クローン性

Polyclonal

アイソタイプ

IgG2c

キャリアフリー

No

交差種

Human

アプリケーション

IHC-P

applications

免疫原

Synthetic Peptide within Human REV1 aa 1200 to C-terminus. The exact immunogen used to generate this antibody is proprietary information.

Q9UBZ9

Reactivity data

{ "title": "Reactivity Data", "filters": { "stats": ["", "Species", "Dilution Info", "Notes"], "tabs": { "all-applications": {"fullname" : "All Applications", "shortname": "All Applications"}, "IHCP" : {"fullname" : "Immunohistochemistry (Formalin/PFA-fixed paraffin-embedded sections)", "shortname":"IHC-P"} }, "product-promise": { "all": "all", "testedAndGuaranteed": "tested", "guaranteed": "expected", "predicted": "predicted", "notRecommended": "not-recommended" } }, "values": { "Human": { "IHCP-species-checked": "testedAndGuaranteed", "IHCP-species-dilution-info": "4-6 µg/mL", "IHCP-species-notes": "<p></p> Perform heat-mediated antigen retrieval with Tris/EDTA buffer pH 9.0 before commencing with IHC staining protocol." }, "Mouse": { "IHCP-species-checked": "predicted", "IHCP-species-dilution-info": "", "IHCP-species-notes": "" }, "Rat": { "IHCP-species-checked": "predicted", "IHCP-species-dilution-info": "", "IHCP-species-notes": "" }, "Cow": { "IHCP-species-checked": "predicted", "IHCP-species-dilution-info": "", "IHCP-species-notes": "" }, "Dog": { "IHCP-species-checked": "predicted", "IHCP-species-dilution-info": "", "IHCP-species-notes": "" } } }

製品の詳細

REV1L is the human homolog of the S. cerevisiae mutagenesis protein Rev1. The REV1 protein is conserved from yeast to humans. All REV1 proteins contain a BRCT domain, which is important in protein-protein interactions.

出荷温度及び保存条件

製品の状態
Liquid
精製方法
Affinity purification Immunogen
精製に関する特記事項
Purified from goat serum by ammonium sulphate precipitation followed by antigen affinity chromatography using the immunizing peptide.
バッファー組成
pH: 7.3 Preservative: 0.02% Sodium azide Constituents: Tris buffered saline, 0.5% BSA
出荷温度
Blue Ice
短期保存温度
+4°C
長期保存温度
-20°C
分注に関する情報
Upon delivery aliquot
保管に関する情報
Avoid freeze / thaw cycle

補足情報

This supplementary information is collated from multiple sources and compiled automatically.

REV1 also known as REV1 DNA-directed polymerase functions as a DNA polymerase specialized in translesion synthesis. Weighing approximately 125 kDa REV1 facilitates bypass of DNA lesions during replication ensuring continuous DNA synthesis. This protein acts primarily as a deoxycytidyl transferase inserting dCMP opposite damaged nucleotides. REV1 is expressed in various tissues but shows higher expression levels in testis and thymus. It is pivotal in maintaining genome stability under genotoxic stress.
Biological function summary

REV1 operates within the context of DNA repair and a larger polymerase zeta complex working closely with other translesion DNA polymerases. REV1 interacts with other translesion synthesis proteins like POLH POLL and POLK to orchestrate the bypass of different types of DNA damage. These interactions enable REV1 to play a role in cellular responses to DNA damage and contribute to maintaining genome integrity.

Pathways

REV1 integrates into the DNA damage response and translesion synthesis pathways. In these pathways REV1 coordinates with REV3L and REV7 forming part of the polymerase zeta complex to process lesions bypass that regular DNA polymerases cannot handle. Significantly it associates with the Fanconi anemia pathway affecting DNA repair mechanisms under stress. These collaborations help manage replication stress and stabilize cellular division.

REV1 is associated with cancer and immunodeficiency conditions. Abnormalities in its function correlate with faulty translesion synthesis leading to genomic instability implicated in cancer development. Furthermore in conjunction with BRCA1 and BRCA2 issues with REV1 may impact DNA repair fidelity linking it to breast cancer susceptibility. Understanding the role of REV1 in these disorders could lead to therapeutic interventions targeting its pathway interactions and activity.

製品プロトコール

For this product, it's our understanding that no specific protocols are required. You can visit:

ターゲットの情報

Deoxycytidyl transferase involved in DNA repair. Transfers a dCMP residue from dCTP to the 3'-end of a DNA primer in a template-dependent reaction. May assist in the first step in the bypass of abasic lesions by the insertion of a nucleotide opposite the lesion. Required for normal induction of mutations by physical and chemical agents.
See full target information REV1

文献 (3)

Recent publications for all applications. Explore the full list and refine your search

Pharmaceuticals (Basel, Switzerland) 14: PubMed34959719

2021

Improved Anticancer Activities of a New Pentafluorothio-Substituted Vorinostat-Type Histone Deacetylase Inhibitor.

Applications

Unspecified application

Species

Unspecified reactive species

Nils Goehringer,Yayi Peng,Bianca Nitzsche,Hannah Biermann,Rohan Pradhan,Rainer Schobert,Marco Herling,Michael Höpfner,Bernhard Biersack

International journal of molecular sciences 21: PubMed31936664

2020

Epigallocatechin-3-Gallate Suppresses Vasculogenic Mimicry through Inhibiting the Twist/VE-Cadherin/AKT Pathway in Human Prostate Cancer PC-3 Cells.

Applications

Unspecified application

Species

Unspecified reactive species

Changhwan Yeo,Deok-Soo Han,Hyo-Jeong Lee,Eun-Ok Lee

Scientific reports 6:28587 PubMed27335258

2016

Prognostic Value of EMT-inducing Transcription Factors (EMT-TFs) in Metastatic Breast Cancer: A Systematic Review and Meta-analysis.

Applications

Unspecified application

Species

Unspecified reactive species

Saber Imani,Hossein Hosseinifard,Jingliang Cheng,Chunli Wei,Junjiang Fu
View all publications

Abcam product promise

当社は、高品質な試薬を通じてお客様の研究を力強くサポートすることをお約束いたします。ご使用いただく各段階で、常にお客様をサポートできる体制を整えております。万が一、製品が期待通りに機能しない場合は、「Abcam Product Promise」による当社保証制度に基づき、安心してご利用いただけます。
保証に関する詳細については利用規約をご確認ください。

関連製品

Select an associated product type
Alternative Product
Primary Antibodies

AB75328

Anti-REV1 antibody

primary-antibodies

rev1-antibody-ab75328

0

(1 reviews)

Please note: All products are 'FOR RESEARCH USE ONLY. NOT FOR USE IN DIAGNOSTIC OR THERAPEUTIC PROCEDURES'.

For licensing inquiries, please contact partnerships@abcam.com