JavaScript is disabled in your browser. Please enable JavaScript to view this website.
AB134946

Anti-RBM3 抗体 [EPR6061(2)]

Anti-RBM3 antibody [EPR6061(2)]

5

(5 Reviews)

|

(17 Publications)

Anti-RBM3 antibody [EPR6061(2)] (ab134946) is a rabbit monoclonal antibody detecting RBM3 in Western Blot, Flow Cytometry (Intra), Flow Cytometry, IHC-P, ICC/IF. Suitable for Human, Mouse, Rat.

- KO validated for confirmed specificity
- Biophysical QC for unrivalled batch-batch consistency
- Over 10 publications

別名を表示する

RNPL, RBM3, RNA-binding protein 3, RNA-binding motif protein 3

9 Images
Flow Cytometry (Intracellular) - Anti-RBM3 antibody [EPR6061(2)] (AB134946)
  • Flow Cyt (Intra)

Lab

Flow Cytometry (Intracellular) - Anti-RBM3 antibody [EPR6061(2)] (AB134946)

Intracellular Flow Cytometry analysis of HepG2 (Human hepatocellular carcinoma epithelial cell) cells labeling RBM3 with Purified ab134946 at 1/20 dilution (10 μg/mL) (Red). Cells were fixed with 4% Paraformaldehyde and permeabilised with 90% Methanol. A Goat anti rabbit IgG (Alexa Fluor® 488, ab150077) secondary antibody was used at 1/2000. Isotype control - Rabbit monoclonal IgG (Black). Unlabeled control - Cell without incubation with primary antibody and secondary antibody (Blue).

Immunohistochemistry (Formalin/PFA-fixed paraffin-embedded sections) - Anti-RBM3 antibody [EPR6061(2)] (AB134946)
  • IHC-P

Lab

Immunohistochemistry (Formalin/PFA-fixed paraffin-embedded sections) - Anti-RBM3 antibody [EPR6061(2)] (AB134946)

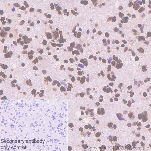
Immunohistochemistry (Formalin/PFA-fixed paraffin-embedded sections) analysis of human astrocytoma tissue sections labeling RBM3 with Purified ab134946 at 1/300 dilution (0.44 µg/mL). Heat mediated antigen retrieval using Bond™ Epitope Retrieval Solution 2 (pH 9.0). Rabbit specific IHC polymer detection kit HRP/DAB (ab209101) was used as the secondary antibody. Negative control : PBS instead of the primary antibody. Hematoxylin was used as a counterstain.

Immunohistochemistry (Formalin/PFA-fixed paraffin-embedded sections) - Anti-RBM3 antibody [EPR6061(2)] (AB134946)
  • IHC-P

Lab

Immunohistochemistry (Formalin/PFA-fixed paraffin-embedded sections) - Anti-RBM3 antibody [EPR6061(2)] (AB134946)

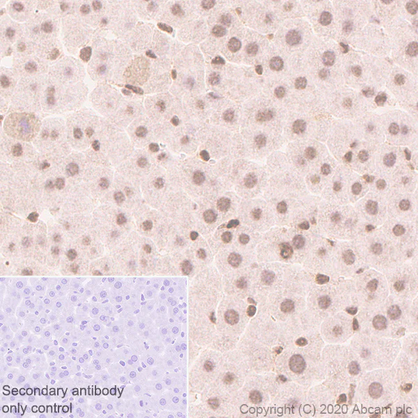
Immunohistochemistry (Formalin/PFA-fixed paraffin-embedded sections) analysis of mouse liver tissue sections labeling RBM3 with Purified ab134946 at 1/300 dilution (0.44 µg/mL). Heat mediated antigen retrieval using Bond™ Epitope Retrieval Solution 2 (pH 9.0). Rabbit specific IHC polymer detection kit HRP/DAB (ab209101) was used as the secondary antibody. Negative control : PBS instead of the primary antibody. Hematoxylin was used as a counterstain.

Immunohistochemistry (Formalin/PFA-fixed paraffin-embedded sections) - Anti-RBM3 antibody [EPR6061(2)] (AB134946)
  • IHC-P

Lab

Immunohistochemistry (Formalin/PFA-fixed paraffin-embedded sections) - Anti-RBM3 antibody [EPR6061(2)] (AB134946)

Immunohistochemistry (Formalin/PFA-fixed paraffin-embedded sections) analysis of rat liver tissue sections labeling RBM3 with Purified ab134946 at 1/300 dilution (0.44 µg/mL). Heat mediated antigen retrieval using Bond™ Epitope Retrieval Solution 2 (pH 9.0). Rabbit specific IHC polymer detection kit HRP/DAB (ab209101) was used as the secondary antibody. Negative control : PBS instead of the primary antibody. Hematoxylin was used as a counterstain.

Immunocytochemistry/ Immunofluorescence - Anti-RBM3 antibody [EPR6061(2)] (AB134946)
  • ICC/IF

Lab

Immunocytochemistry/ Immunofluorescence - Anti-RBM3 antibody [EPR6061(2)] (AB134946)

Immunocytochemistry analysis of NIH/3T3 (Mouse embryonic fibroblast) cells labeling RBM3 with Purified ab134946 at 1/100 dilution (1.32 µg/mL). Cells were fixed in 4% Paraformaldehyde and permeabilized with 0.1% tritonX-100. Cells were counterstained with ab195889 Anti-alpha Tubulin antibody [DM1A] - Microtubule Marker (Alexa Fluor® 594) 1/200 dilution (2.5 µg/mL). Goat anti rabbit IgG (Alexa Fluor® 488, ab150077) was used as the secondary antibody at 1/1000 dilution (2 µg/mL). DAPI (blue) was used as nuclear counterstain. PBS instead of the primary antibody was used as the secondary antibody only control.

Western blot - Anti-RBM3 antibody [EPR6061(2)] (AB134946)
  • WB

Lab

Western blot - Anti-RBM3 antibody [EPR6061(2)] (AB134946)

Western blot : Rabbit Monoclonal[EPR6061(2)] to RBM3 ab134946 staining at 1/1000 dilution, shown in green; Mouse anti alpha Tubulin (ab7291) loading control staining at 1/20,000 dilution, shown in magenta. A band was observed at kDa in Wild-type HeLa ab271142 cell lysates with no signal observed at this size in RBM3 knockout HeLa ab274940 cell line. To generate this image, samples were run on an SDS-PAGE gel then transferred onto a nitrocellulose membrane. Membranes were blocked in 3pc Milk in TBS-0.1 % Tween® 20 (TBS-T) before incubation with primary antibodies overnight at 4 °C. Blots were washed four times in TBS-T, incubated with secondary antibodies for 1 h at room temperature, washed again four times then imaged. Secondary antibodies used were Goat anti-Rabbit 800CW & Goat anti-Mouse 680RD at 1/20,000 dilution.

All lanes:

Western blot - Anti-RBM3 antibody [EPR6061(2)] (ab134946) at 1/1000 dilution

Lane 1:

Wild-type HeLa ab271142 at 20 µg

Lane 2:

RBM3 knockout HeLa ab274940 at 20 µg

Lane 3:

Wild-type HEK-293T at 20 µg

Lane 4:

RBM3 knockout HEK-293T at 20 µg

Secondary

All lanes:

Goat anti-Rabbit 800CW & Goat anti-Mouse 680RD at 1/20000 dilution

Predicted band size: 17 kDa

Observed band size: 18 kDa

false

Western blot - Anti-RBM3 antibody [EPR6061(2)] (AB134946)
  • WB

Lab

Western blot - Anti-RBM3 antibody [EPR6061(2)] (AB134946)

Lanes 1 - 4 : Merged signal (red and green). Green - ab134946 observed at 18 kDa. Red - loading control ab7291 (Mouse anti-Alpha Tubulin [DM1A]) observed at 55 kDa.

ab134946 was shown to react with RBM3 in wild-type HEK-293T cells in Western blot with loss of signal observed in RBM3 knockout cell line ab266663 (RBM3 knockout cell lysate ab258170). Wild-type HEK-293T and RBM3 knockout cell lysates were subjected to SDS-PAGE. Membranes were blocked in 3 % milk in TBS-T (0.1 % Tween®) before incubation with ab134946 and ab7291 (Mouse anti-Alpha Tubulin [DM1A]) overnight at 4 °C at a 1 in 1000 dilution and a 1 in 20000 dilution respectively. Blots were incubated with Goat anti-Rabbit IgG H&L (IRDye® 800CW) preabsorbed (ab216773) and Goat anti-Mouse IgG H&L (IRDye® 680RD) preabsorbed (ab216776) secondary antibodies at 1 in 20000 dilution for 1 h at room temperature before imaging.

All lanes:

Western blot - Anti-RBM3 antibody [EPR6061(2)] (ab134946) at 1/1000 dilution

Lane 1:

Wild-type HEK-293T cell lysate at 20 µg

Lane 2:

RBM3 Knockout HEK-293T cell lysate at 20 µg

Lane 2:

Western blot - Human RBM3 knockout HEK-293T cell line (<a href='/products/cell-lines/human-rbm3-knockout-hek-293t-cell-line-ab266663'>ab266663</a>)

Lane 3:

Hela cell lysate at 20 µg

Lane 4:

LnCap cell lysate at 20 µg

Predicted band size: 17 kDa

Observed band size: 18 kDa

false

Western blot - Anti-RBM3 antibody [EPR6061(2)] (AB134946)
  • WB

Lab

Western blot - Anti-RBM3 antibody [EPR6061(2)] (AB134946)

We are unsure how to define the extra bands.

All lanes:

Western blot - Anti-RBM3 antibody [EPR6061(2)] (ab134946) at 1/1000 dilution

Lane 1:

Jurkat (Human T cell leukemia T lymphocyte) whole cell lysate at 20 µg

Lane 2:

HeLa (Human cervix adenocarcinoma epithelial cell) whole cell lysate at 20 µg

Lane 3:

Neuro-2a (Mouse neuroblastoma neuroblast) whole cell lysate at 20 µg

Lane 4:

NIH/3T3 (Mouse embryonic fibroblast) whole cell lysate at 20 µg

Lane 5:

PC-12 (Rat adrenal gland pheochromocytoma ) whole cell lysate at 20 µg

Secondary

All lanes:

Western blot - Goat Anti-Rabbit IgG H&L (HRP) (<a href='/products/secondary-antibodies/goat-rabbit-igg-h-l-hrp-ab97051'>ab97051</a>) at 1/20000 dilution

Predicted band size: 17 kDa

false

OI-RD Scanning - Anti-RBM3 antibody [EPR6061(2)] (AB134946)
  • OI-RD Scanning

Unknown

OI-RD Scanning - Anti-RBM3 antibody [EPR6061(2)] (AB134946)

We have systematically measured KD (the equilibrium dissociation constant between the antibody and its antigen), of more than 840 recombinant antibodies to assess not only their individual KD values but also to see the average affinity of antibody. Based on the comparison with published literature values for mouse monoclonal antibodies, Recombinant antibodies appear to be on average 1-2 order of magnitude higher affinity.

関連する標識済み抗体及び組成の異なる製品 (3)

Key facts

宿主種

Rabbit

クローン性

Monoclonal

クローン番号

EPR6061(2)

アイソタイプ

IgG

キャリアフリー

No

交差種

Mouse, Rat, Human

アプリケーション

WB, ICC/IF, Flow Cyt (Intra), IHC-P

applications

免疫原

The exact immunogen used to generate this antibody is proprietary information.

Reactivity data

{ "title": "Reactivity Data", "filters": { "stats": ["", "Species", "Dilution Info", "Notes"], "tabs": { "all-applications": {"fullname" : "All Applications", "shortname": "All Applications"}, "IHCP" : {"fullname" : "Immunohistochemistry (Formalin/PFA-fixed paraffin-embedded sections)", "shortname":"IHC-P"}, "ICCIF" : {"fullname" : "Immunocytochemistry/ Immunofluorescence", "shortname":"ICC/IF"}, "WB" : {"fullname" : "Western blot", "shortname":"WB"}, "FlowCytIntra" : {"fullname" : "Flow Cytometry (Intracellular)", "shortname":"Flow Cyt (Intra)"} }, "product-promise": { "all": "all", "testedAndGuaranteed": "tested", "guaranteed": "expected", "predicted": "predicted", "notRecommended": "not-recommended" } }, "values": { "Human": { "IHCP-species-checked": "testedAndGuaranteed", "IHCP-species-dilution-info": "1/300", "IHCP-species-notes": "<p></p> Perform heat-mediated antigen retrieval before commencing with IHC staining protocol.", "ICCIF-species-checked": "guaranteed", "ICCIF-species-dilution-info": "", "ICCIF-species-notes": "", "WB-species-checked": "testedAndGuaranteed", "WB-species-dilution-info": "1/1000 - 1/10000", "WB-species-notes": "<p></p>", "FlowCytIntra-species-checked": "testedAndGuaranteed", "FlowCytIntra-species-dilution-info": "1/20", "FlowCytIntra-species-notes": "<p></p>" }, "Mouse": { "IHCP-species-checked": "testedAndGuaranteed", "IHCP-species-dilution-info": "1/300", "IHCP-species-notes": "<p></p> Perform heat-mediated antigen retrieval before commencing with IHC staining protocol.", "ICCIF-species-checked": "testedAndGuaranteed", "ICCIF-species-dilution-info": "1/100", "ICCIF-species-notes": "<p>For unpurified use at 1/250 - 1/500.</p>", "WB-species-checked": "testedAndGuaranteed", "WB-species-dilution-info": "1/1000 - 1/10000", "WB-species-notes": "<p></p>", "FlowCytIntra-species-checked": "guaranteed", "FlowCytIntra-species-dilution-info": "", "FlowCytIntra-species-notes": "" }, "Rat": { "IHCP-species-checked": "testedAndGuaranteed", "IHCP-species-dilution-info": "1/300", "IHCP-species-notes": "<p></p> Perform heat-mediated antigen retrieval before commencing with IHC staining protocol.", "ICCIF-species-checked": "guaranteed", "ICCIF-species-dilution-info": "", "ICCIF-species-notes": "", "WB-species-checked": "testedAndGuaranteed", "WB-species-dilution-info": "1/1000 - 1/10000", "WB-species-notes": "<p></p>", "FlowCytIntra-species-checked": "guaranteed", "FlowCytIntra-species-dilution-info": "", "FlowCytIntra-species-notes": "" } } }

製品の詳細

What is this antibody validated in?
Anti-RBM3 antibody [EPR6061(2)] (ab134946) is a rabbit recombinant monoclonal antibody and is validated for use in Western Blot (WB), Flow Cytometry (Intra), Flow Cytometry (Flow Cyt), Immunohistochemistry (IHC-P), Immunocytochemistry/immunofluorescence (ICC/IF) in Human, Mouse, Rat samples.

What is the molecular weight of RBM3?
Anti-RBM3 [EPR6061(2)] (ab134946) specifically detects a band for RBM3 (UniProt: P98179) at a molecular weight of 17kDa.

Trusted by the scientific community
Anti-RBM3 [EPR6061(2)] (ab134946) was first used in a scientific publication in 2012 and has been cited over 10 times in peer-reviewed journals.

Reviewed by scientists
Anti-RBM3 [EPR6061(2)] (ab134946) has over 5 independent reviews from customers.

Trial sizes available!
Test your antibody or perform pre-screening before committing to a larger quantity. Sold in 10µl. Discover our selection of trial-size antibodies.

Specificity confirmed
The specificity of Anti-RBM3 antibody [EPR6061(2)] (ab134946) has been confirmed by Western blot testing in RBM3 Knockout HEK293T cell line, ab266663.

Other related products
We have a range of other formats of antibody clone [EPR6061(2)] also available for your convenience: ab134946, Carrier free - ab240089, Alexa Fluor® 647 - ab314932, Alexa Fluor® 488 - ab315138

Patented technology
Our RabMAb® technology is a patented hybridoma-based technology for making rabbit monoclonal antibodies. For details on our patents, please refer to RabMAb® patents.

What are the advantages of a recombinant monoclonal antibody?
This product is a recombinant monoclonal antibody, which offers several advantages including:

  • - High batch-to-batch consistency and reproducibility
  • - Improved sensitivity and specificity
  • - Long-term security of supply
  • - Animal-free batch production

For more information, read more on recombinant antibodies.

出荷温度及び保存条件

製品の状態
Liquid
精製方法
Affinity purification Protein A
バッファー組成
pH: 7.2 - 7.4 Preservative: 0.01% Sodium azide Constituents: PBS, 40% Glycerol (glycerin, glycerine), 0.05% BSA
出荷温度
Blue Ice
短期保存期間
1-2 weeks
短期保存温度
+4°C
長期保存温度
-20°C
分注に関する情報
Upon delivery aliquot
保管に関する情報
Avoid freeze / thaw cycle

補足情報

This supplementary information is collated from multiple sources and compiled automatically.

RBM3 also known as RNA-binding motif protein 3 is a cold-inducible protein with a mass of approximately 17 kDa. It plays a role in binding RNA and is widely expressed in tissues including the brain heart and skeletal muscle. Research often highlights its involvement in temperature response implicating its role in cellular adaptation to cold stress. Overexpression of RBM3 has been documented during hypothermic conditions which suggests an adaptive function in extreme environments.
Biological function summary

RBM3 functions by modulating RNA stability and translation impacting cellular stress responses. It forms part of ribonucleoprotein complexes influencing the processing of several RNA species. The protein enhances mRNA stability under stress conditions and promotes cell survival by impacting protein synthesis. RBM3 also participates in synaptic plasticity which is essential for learning and memory showcasing its extensive influence on cellular functioning.

Pathways

RBM3 significantly contributes to neuroprotection and anti-apoptosis pathways. It is closely linked to pathways dealing with stress granules and mRNA stabilization. A known association exists between RBM3 and proteins such as CIRP (cold-inducible RNA-binding protein) which share similar pathways concerning mRNA regulation under cold conditions. This connection highlights RBM3's role in cell survival and stress management.

RBM3 has shown connections to neurodegenerative diseases and cancer. High levels of RBM3 expression correlate with improved outcomes in hypothermia-treated stroke and trauma patients due to its neuroprotective abilities. In cancer RBM3 links with proteins such as HIF-1α (hypoxia-inducible factor-1 alpha) where its overexpression has been associated with tumor progression in certain types suggesting RBM3's dual protective and pathological roles depending on the disease context.

製品プロトコール

For this product, it's our understanding that no specific protocols are required. You can visit:

ターゲットの情報

Cold-inducible mRNA binding protein that enhances global protein synthesis at both physiological and mild hypothermic temperatures. Reduces the relative abundance of microRNAs, when overexpressed. Enhances phosphorylation of translation initiation factors and active polysome formation (By similarity).
See full target information RBM3

文献 (17)

Recent publications for all applications. Explore the full list and refine your search

Neurochemical research 50:134 PubMed40257581

2025

Therapeutic Hypothermia Increases the Expression of RNA-binding Protein Motif 3 and Attenuates Cognitive Deficits Following Cardiac Arrest in Rats.

Applications

Unspecified application

Species

Unspecified reactive species

Fen Yao,Shen-Quan Cai,Hui-Xian Cheng,Li-Wen Ren,Kang-Li Hui,Qing-Zhen Liu,Min Guo,Li-Hui Chen,Bin Qian,Yang Zeng,Feng Li,Man-Lin Duan

RNA biology 21:1-13 PubMed39387568

2024

Rbm3 deficiency leads to transcriptome-wide splicing alterations.

Applications

Unspecified application

Species

Unspecified reactive species

Steffen Erkelenz,Marta Grzonka,Antonios Papadakis,Heiner Schaal,Jan H J Hoeijmakers,Ákos Gyenis

Proceedings of the National Academy of Sciences of the United States of America 121:e2316646121 PubMed38625943

2024

Bmal1 integrates circadian function and temperature sensing in the suprachiasmatic nucleus.

Applications

Unspecified application

Species

Unspecified reactive species

Marieke M B Hoekstra,Natalie Ness,Aina Badia-Soteras,Marco Brancaccio

Cell death & disease 14:91 PubMed36750551

2023

RBM3 suppresses stemness remodeling of prostate cancer in bone microenvironment by modulating N6-methyladenosine on CTNNB1 mRNA.

Applications

Unspecified application

Species

Unspecified reactive species

Shouyi Zhang,Chengcheng Lv,Yichen Niu,Changqi Li,Xiuming Li,Yu Shang,Yunchao Zhang,Yue Zhang,Yong Zhang,Yu Zeng

Frontiers in physiology 13:975652 PubMed36324307

2022

Angiostatic freeze or angiogenic move? Acute cold stress prevents angiokine secretion from murine myotubes but primes primary endothelial cells for greater migratory capacity.

Applications

Unspecified application

Species

Unspecified reactive species

Pierre Lemieux,Emilie Roudier,Olivier Birot

Cell stress & chaperones 27:603-618 PubMed36149580

2022

RNA binding motif protein 3 (RBM3) promotes protein kinase B (AKT) activation to enhance glucose metabolism and reduce apoptosis in skeletal muscle of mice under acute cold exposure.

Applications

Unspecified application

Species

Unspecified reactive species

Yang Liu,Hongzhao Shi,Yajie Hu,Ruizhi Yao,Peng Liu,Yuying Yang,Shize Li

Molecular cell 81:3481-3495.e7 PubMed34358446

2021

Molecular basis for substrate recruitment to the PRMT5 methylosome.

Applications

Unspecified application

Species

Unspecified reactive species

Kathleen M Mulvaney,Christa Blomquist,Nischal Acharya,Ruitong Li,Matthew J Ranaghan,Meghan O'Keefe,Diego J Rodriguez,Michael J Young,Devishi Kesar,Debjani Pal,Matthew Stokes,Alissa J Nelson,Sidharth S Jain,Annan Yang,Zachary Mullin-Bernstein,Josie Columbus,Fazli K Bozal,Adam Skepner,Donald Raymond,Salvatore LaRussa,David C McKinney,Yelena Freyzon,Yossef Baidi,Dale Porter,Andrew J Aguirre,Alessandra Ianari,Brian McMillan,William R Sellers

The Journal of neuroscience : the official journal of the Society for Neuroscience 41:1157-1173 PubMed33310754

2020

The mRNA-Binding Protein RBM3 Regulates Activity Patterns and Local Synaptic Translation in Cultured Hippocampal Neurons.

Applications

Unspecified application

Species

Unspecified reactive species

Sinem M Sertel,Malena S von Elling-Tammen,Silvio O Rizzoli

Journal of cellular and molecular medicine 23:7010-7020 PubMed31436914

2019

Cold-inducible protein RBM3 mediates hypothermic neuroprotection against neurotoxin rotenone via inhibition on MAPK signalling.

Applications

Unspecified application

Species

Unspecified reactive species

Hai-Jie Yang,Rui-Juan Zhuang,Yuan-Bo Li,Tian Li,Xin Yuan,Bing-Bing Lei,Yun-Fei Xie,Mian Wang

EBioMedicine 45:155-167 PubMed31235426

2019

The RNA-binding protein RBM3 promotes cell proliferation in hepatocellular carcinoma by regulating circular RNA SCD-circRNA 2 production.

Applications

Unspecified application

Species

Unspecified reactive species

Wei Dong,Zhi-Hui Dai,Fu-Chen Liu,Xing-Gang Guo,Chun-Mei Ge,Jin Ding,Hui Liu,Fu Yang
View all publications

Abcam product promise

当社は、高品質な試薬を通じてお客様の研究を力強くサポートすることをお約束いたします。ご使用いただく各段階で、常にお客様をサポートできる体制を整えております。万が一、製品が期待通りに機能しない場合は、「Abcam Product Promise」による当社保証制度に基づき、安心してご利用いただけます。
保証に関する詳細については利用規約をご確認ください。

Please note: All products are 'FOR RESEARCH USE ONLY. NOT FOR USE IN DIAGNOSTIC OR THERAPEUTIC PROCEDURES'.

For licensing inquiries, please contact partnerships@abcam.com