JavaScript is disabled in your browser. Please enable JavaScript to view this website.
AB13918

Anti-RANK 抗体 [64C1385]

Anti-RANK antibody [64C1385]

4

(1 Review)

|

(35 Publications)

Mouse Monoclonal RANK antibody. Suitable for IHC-P, IP and reacts with Human, Mouse samples. Cited in 35 publications. Immunogen corresponding to Recombinant Fragment Protein within Human TNFRSF11A.

別名を表示する

CD265, RANK, TNFRSF11A, Tumor necrosis factor receptor superfamily member 11A, Osteoclast differentiation factor receptor, Receptor activator of NF-KB, ODFR

3 Images
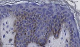
Immunohistochemistry (Formalin/PFA-fixed paraffin-embedded sections) - Anti-RANK antibody [64C1385] (AB13918)
  • IHC-P

AbReview41850****

Immunohistochemistry (Formalin/PFA-fixed paraffin-embedded sections) - Anti-RANK antibody [64C1385] (AB13918)

Formaldehyde-fixed, paraffin-embedded human skin tissue stained for RANK using ab13918 at 1/50 dilution in immunohistochemical analysis.

Immunohistochemistry (Formalin/PFA-fixed paraffin-embedded sections) - Anti-RANK antibody [64C1385] (AB13918)
  • IHC-P

Unknown

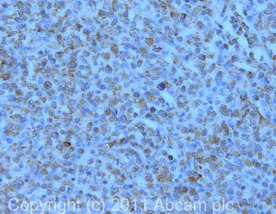
Immunohistochemistry (Formalin/PFA-fixed paraffin-embedded sections) - Anti-RANK antibody [64C1385] (AB13918)

IHC image of ab13918 staining in human t cell lymphoma formalin fixed paraffin embedded tissue section, performed on a Leica BondTM system using the standard protocol F. The section was pre-treated using heat mediated antigen retrieval with sodium citrate buffer (pH6, epitope retrieval solution 1) for 20 mins. The section was then incubated with ab13918, 5µg/ml, for 15 mins at room temperature and detected using an HRP conjugated compact polymer system. DAB was used as the chromogen. The section was then counterstained with haematoxylin and mounted with DPX.

For other IHC staining systems (automated and non-automated) customers should optimize variable parameters such as antigen retrieval conditions, primary antibody concentration and antibody incubation times.

Immunoprecipitation - Anti-RANK antibody [64C1385] (AB13918)
  • IP

Unknown

Immunoprecipitation - Anti-RANK antibody [64C1385] (AB13918)

Detection of RANK in RAW cells. Lane 1 : mouse cell line. Lane 2 & 3 : IP/Western blot analysis of RANK. RANK protein from RAW cell lysate was immunoprecipitated either with control antibody (lane 2) or ab13918 (lane 3), and detected with ab13918.

All lanes:

Immunoprecipitation - Anti-RANK antibody [64C1385] (ab13918)

Predicted band size: 66 kDa

false

Key facts

宿主種

Mouse

クローン性

Monoclonal

クローン番号

64C1385

アイソタイプ

IgG1

キャリアフリー

No

交差種

Mouse, Human

アプリケーション

IHC-P, IP

applications

免疫原

Recombinant Fragment Protein within Human TNFRSF11A. The exact immunogen used to generate this antibody is proprietary information.

Q9Y6Q6

Reactivity data

{ "title": "Reactivity Data", "filters": { "stats": ["", "Species", "Dilution Info", "Notes"], "tabs": { "all-applications": {"fullname" : "All Applications", "shortname": "All Applications"}, "IHCP" : {"fullname" : "Immunohistochemistry (Formalin/PFA-fixed paraffin-embedded sections)", "shortname":"IHC-P"}, "IP" : {"fullname" : "Immunoprecipitation", "shortname":"IP"} }, "product-promise": { "all": "all", "testedAndGuaranteed": "tested", "guaranteed": "expected", "predicted": "predicted", "notRecommended": "not-recommended" } }, "values": { "Human": { "IHCP-species-checked": "testedAndGuaranteed", "IHCP-species-dilution-info": "5 µg/mL", "IHCP-species-notes": "<p></p> Perform heat-mediated antigen retrieval before commencing with IHC staining protocol.", "IP-species-checked": "guaranteed", "IP-species-dilution-info": "", "IP-species-notes": "" }, "Mouse": { "IHCP-species-checked": "guaranteed", "IHCP-species-dilution-info": "", "IHCP-species-notes": "", "IP-species-checked": "testedAndGuaranteed", "IP-species-dilution-info": "1-2 µg/mL", "IP-species-notes": "<p></p>" } } }

出荷温度及び保存条件

製品の状態
Liquid
精製方法
Affinity purification Protein G
バッファー組成
pH: 7.4 Preservative: 0.02% Sodium azide Constituents: PBS
出荷温度
Blue Ice
短期保存期間
1-2 weeks
短期保存温度
+4°C
長期保存温度
-20°C
分注に関する情報
Upon delivery aliquot
保管に関する情報
Avoid freeze / thaw cycle

製品プロトコール

For this product, it's our understanding that no specific protocols are required. You can visit:

ターゲットの情報

Receptor for TNFSF11/RANKL/TRANCE/OPGL; essential for RANKL-mediated osteoclastogenesis (PubMed : 9878548). Its interaction with EEIG1 promotes osteoclastogenesis via facilitating the transcription of NFATC1 and activation of PLCG2 (By similarity). Involved in the regulation of interactions between T-cells and dendritic cells (By similarity).
See full target information TNFRSF11A

文献 (35)

Recent publications for all applications. Explore the full list and refine your search

BMC complementary medicine and therapies 25:48 PubMed39934767

2025

Astragaloside IV attenuates glucocorticoid-induced osteoclastogenesis and bone loss via the MAPK/NF-κB pathway.

Applications

Unspecified application

Species

Unspecified reactive species

Chun Guo,Yangyang Li,Ruijuan Yang,Mingzhang Xie,Xiangfeng Chen,Zhiqun Che,Zhixia Wang,Bin Zhong,Yanhong Luo,Xiao-Min Leng

JCI insight 10: PubMed39883525

2025

Aerobic exercise prevents renal osteodystrophy via irisin-activated osteoblasts.

Applications

Unspecified application

Species

Unspecified reactive species

Meng Wu,Huilan Li,Xiaoting Sun,Rongrong Zhong,Linli Cai,Ruibo Chen,Madiya Madeniyet,Kana Ren,Zhen Peng,Yujie Yang,Weiqin Chen,Yanling Tu,Miaoxin Lai,Jinxiu Deng,Yuting Wu,Shumin Zhao,Qingyan Ruan,Mei Rao,Sisi Xie,Ying Ye,Jianxin Wan

ACS applied materials & interfaces 16:45956-45968 PubMed39182190

2024

Carbonate Apatite Honeycomb Scaffold-Based Drug Delivery System for Repairing Osteoporotic Bone Defects.

Applications

Unspecified application

Species

Unspecified reactive species

Koichiro Hayashi,Cheng Zhang,Ahmad Nazir Taleb Alashkar,Kunio Ishikawa

Journal of clinical medicine 12: PubMed37762975

2023

Jaw Bone Invasion of Oral Squamous Cell Carcinoma Is Associated with Osteoclast Count and Expression of Its Regulating Proteins in Patients and Organoids.

Applications

Unspecified application

Species

Unspecified reactive species

Willem W B de Kort,Wisse E Haakma,Robert J J van Es,Debby Gawlitta,Else Driehuis,Merel Gansevoort,Stefan M Willems

Cells 12: PubMed37296659

2023

RANKL Inhibition Reduces Cardiac Hypertrophy in Mice and Possibly in Children with Duchenne Muscular Dystrophy.

Applications

Unspecified application

Species

Unspecified reactive species

Laetitia Marcadet,Emma Sara Juracic,Nasrin Khan,Zineb Bouredji,Hideo Yagita,Leanne M Ward,A Russell Tupling,Anteneh Argaw,Jérôme Frenette

eLife 12: PubMed37204303

2023

RANKTLR2 myeloid subpopulation converts autoimmune to joint destruction in rheumatoid arthritis.

Applications

Unspecified application

Species

Unspecified reactive species

Weixin Zhang,Kathleen Noller,Janet Crane,Mei Wan,Xiaojun Wu,Patrick Cahan,Xu Cao

iScience 26:106470 PubMed37091244

2023

An inducible explant model of osteoclast-osteoprogenitor coordination in exacerbated osteoclastogenesis.

Applications

Unspecified application

Species

Unspecified reactive species

Jarred M Whitlock,Luis F de Castro,Michael T Collins,Leonid V Chernomordik,Alison M Boyce

Advances in clinical and experimental medicine : official organ Wroclaw Medical University 32:245-259 PubMed36226690

2022

Prognostic relevance of clinicopathological factors in sporadic and syndromic odontogenic keratocysts: A comparative study.

Applications

Unspecified application

Species

Unspecified reactive species

Konrad Kisielowski,Bogna Drozdzowska,Mariusz Szuta,Tomasz Kaczmarzyk

Nature communications 13:2899 PubMed35610255

2022

Anoctamin 1 controls bone resorption by coupling Cl channel activation with RANKL-RANK signaling transduction.

Applications

Unspecified application

Species

Unspecified reactive species

Weijia Sun,Shuai Guo,Yuheng Li,JianWei Li,Caizhi Liu,Yafei Chen,Xuzhao Wang,Yingjun Tan,Hua Tian,Cheng Wang,Ruikai Du,Guohui Zhong,Sai Shi,Biao Ma,Chang Qu,Jingxuan Fu,Xiaoyan Jin,Dingsheng Zhao,Yong Zhan,Shukuan Ling,Hailong An,Yingxian Li

NPJ Regenerative medicine 7:29 PubMed35562356

2022

Mussel-inspired multifunctional surface through promoting osteogenesis and inhibiting osteoclastogenesis to facilitate bone regeneration.

Applications

Unspecified application

Species

Unspecified reactive species

Minhao Wu,Yufeng Zhang,Ping Wu,Feixiang Chen,Zhiqiang Yang,Sheng Zhang,Lingfei Xiao,Lin Cai,Chong Zhang,Yun Chen,Zhouming Deng
View all publications

Abcam product promise

当社は、高品質な試薬を通じてお客様の研究を力強くサポートすることをお約束いたします。ご使用いただく各段階で、常にお客様をサポートできる体制を整えております。万が一、製品が期待通りに機能しない場合は、「Abcam Product Promise」による当社保証制度に基づき、安心してご利用いただけます。
保証に関する詳細については利用規約をご確認ください。

Please note: All products are 'FOR RESEARCH USE ONLY. NOT FOR USE IN DIAGNOSTIC OR THERAPEUTIC PROCEDURES'.

For licensing inquiries, please contact partnerships@abcam.com