JavaScript is disabled in your browser. Please enable JavaScript to view this website.
AB228861

Anti-RAGE 抗体 [EPR21171] - BSA and Azide free

Anti-RAGE antibody [EPR21171] - BSA and Azide free

Be the first to review this product! Submit a review

|

(7 Publications)

Rabbit Recombinant Monoclonal RAGE antibody. Carrier free. Suitable for IP, Flow Cyt, WB, ICC/IF, IHC-Fr, IHC-P and reacts with Mouse, Human, Rat samples. Cited in 7 publications.

別名を表示する

RAGE, AGER, Advanced glycosylation end product-specific receptor, Receptor for advanced glycosylation end products

9 Images
Immunohistochemistry (Formalin/PFA-fixed paraffin-embedded sections) - Anti-RAGE antibody [EPR21171] - BSA and Azide free (AB228861)
  • IHC-P

Lab

Immunohistochemistry (Formalin/PFA-fixed paraffin-embedded sections) - Anti-RAGE antibody [EPR21171] - BSA and Azide free (AB228861)

This data was developed using ab216329, the same antibody clone in a different buffer formulation.

Immunohistochemical analysis of formalin fixed paraffin embedded human lung labelling RAGE with ab216329 at a concentration of 0.05µg/ml. The immunostaining was performed on a Ventana DISCOVERY ULTRA (Roche Tissue Diagnostics) instrument with a OptiView DAB IHC Detection Kit. Heat mediated antigen retrieval was performed with DISCOVERY cell conditioning solution (CC1) 100°C, pH8.5 for 32mins.

ab216329 anti-RAGE antibody [EPR21171] was incubated for 16mins at 37°C. Sections were counterstained with Hematoxylin II. Image inset shows absence of staining in secondary antibody only control.

Customers are encouraged to optimise antigen retrieval conditions, antibody concentration, incubation times and temperature for best results in their own IHC assay workflow (automated and manual)

Immunohistochemistry (Formalin/PFA-fixed paraffin-embedded sections) - Anti-RAGE antibody [EPR21171] - BSA and Azide free (AB228861)
  • IHC-P

Supplier Data

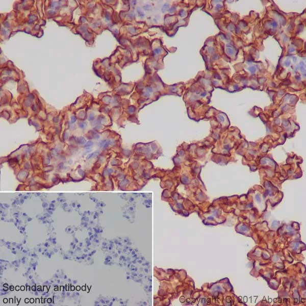
Immunohistochemistry (Formalin/PFA-fixed paraffin-embedded sections) - Anti-RAGE antibody [EPR21171] - BSA and Azide free (AB228861)

Immunohistochemical analysis of paraffin-embedded human lung tissue labeling RAGE with ab216329 at 1/4000 dilution, followed by Goat Anti-Rabbit IgG H&L (HRP) Ready to use. Membranous staining on epithelial cells of human lung (PMID : 19592063; PMID : 26472810) is observed. Counter stained with Hematoxylin.

Secondary antibody only control : Used PBS instead of primary antibody, secondary antibody is Goat Anti-Rabbit IgG H&L (HRP) Ready to use.

This data was developed using the same antibody clone in a different buffer formulation containing PBS, BSA, glycerol, and sodium azide (ab216329).

Perform heat mediated antigen retrieval with Tris/EDTA buffer pH 9.0 before commencing with IHC staining protocol.

Flow Cytometry - Anti-RAGE antibody [EPR21171] - BSA and Azide free (AB228861)
  • Flow Cyt

Supplier Data

Flow Cytometry - Anti-RAGE antibody [EPR21171] - BSA and Azide free (AB228861)

Flow cytometric analysis of 4% paraformaldehyde-fixed HEK-293T (human epithelial cell line from embryonic kidney transformed with large T antigen) cells transfected with Myc-tagged RAGE expression vector labeling RAGE with ab216329 at 1/500 dilution (right panel) compared with a Rabbit IgG, monoclonal [EPR25A] - Isotype Control (ab172730) (left panel). Goat Anti-Rabbit IgG H&L (Alexa Fluor® 488) (ab150077) at 1/2000 dilution was used as the secondary antibody.

Fresh cells were surface-stained with ab172730 and ab216329 respectively. Then fixed with 2% PFA for 15min and intracellular stained with anti-Myc tag antibody (Y axis). Only Myc+ population give positive signal.

This data was developed using the same antibody clone in a different buffer formulation containing PBS, BSA, glycerol, and sodium azide (ab216329).

Immunocytochemistry/ Immunofluorescence - Anti-RAGE antibody [EPR21171] - BSA and Azide free (AB228861)
  • ICC/IF

Supplier Data

Immunocytochemistry/ Immunofluorescence - Anti-RAGE antibody [EPR21171] - BSA and Azide free (AB228861)

Immunofluorescent analysis of 4% paraformaldehyde-fixed, 0.1% Triton X-100-permeabilized HEK-293T (human epithelial cell line from embryonic kidney transformed with large T antigen) cells transfected with Myc-tagged RAGE expression vector labeling RAGE with ab216329 at 1/100 dilution, followed by Goat Anti-Rabbit IgG H&L (Alexa Fluor® 488) (ab150077) secondary antibody at 1/1000 dilution (green). Confocal image showing positive staining in HEK-293T cells transfected with Myc-tagged RAGE expression vector.

The nuclear counter stain is DAPI (blue). Myc-Tag is detected with Myc-Tag (9B11) Mouse mAb (Alexa Fluor® 647 Conjugate) (red) at 1/1000 dilution.

Secondary antibody only control : Used PBS instead of primary antibody, secondary antibody is Goat Anti-Rabbit IgG H&L (Alexa Fluor® 488) (ab150077) secondary antibody at 1/1000 dilution.

Negative control : Myc-transfected HEK-293T cells.

This data was developed using the same antibody clone in a different buffer formulation containing PBS, BSA, glycerol, and sodium azide (ab216329).

Immunohistochemistry (Frozen sections) - Anti-RAGE antibody [EPR21171] - BSA and Azide free (AB228861)
  • IHC-Fr

Supplier Data

Immunohistochemistry (Frozen sections) - Anti-RAGE antibody [EPR21171] - BSA and Azide free (AB228861)

Immunohistochemical analysis of 4% paraformaldehyde-fixed, 0.2% Triton X-100 permeabilized frozen rat lung tissue labeling RAGE with ab216329 at 1/500 dilution, followed by Goat Anti-Rabbit IgG H&L (Alexa Fluor® 488) (ab150077) secondary antibody at 1/1000 dilution (green). Positive membrane staining on alveolar epithelial cells, negative on the bronchial epithelial cells on rat lung tissue section is observed (PMID : 15173891).

The nuclear counter stain is DAPI (blue).

Secondary antibody only control : Used PBS instead of primary antibody, secondary antibody is Goat Anti-Rabbit IgG H&L (Alexa Fluor® 488) (ab150077) at 1/1000 dilution.

This data was developed using the same antibody clone in a different buffer formulation containing PBS, BSA, glycerol, and sodium azide (ab216329).

Immunohistochemistry (Formalin/PFA-fixed paraffin-embedded sections) - Anti-RAGE antibody [EPR21171] - BSA and Azide free (AB228861)
  • IHC-P

Supplier Data

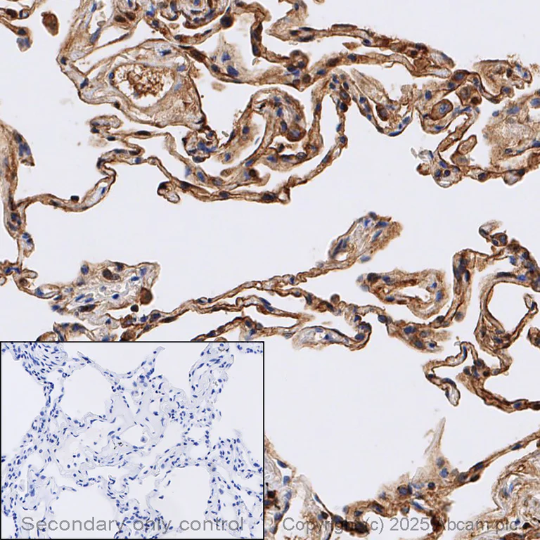
Immunohistochemistry (Formalin/PFA-fixed paraffin-embedded sections) - Anti-RAGE antibody [EPR21171] - BSA and Azide free (AB228861)

Immunohistochemical analysis of paraffin-embedded rat lung tissue labeling RAGE with ab216329 at 1/4000 dilution, followed by Goat Anti-Rabbit IgG H&L (HRP) Ready to use. Mainly membranous staining on epithelial cells of rat lung (PMID : 19592063; PMID : 26472810) is observed. Counter stained with Hematoxylin.

Secondary antibody only control : Used PBS instead of primary antibody, secondary antibody is Goat Anti-Rabbit IgG H&L (HRP) Ready to use.

This data was developed using the same antibody clone in a different buffer formulation containing PBS, BSA, glycerol, and sodium azide (ab216329).

Perform heat mediated antigen retrieval with Tris/EDTA buffer pH 9.0 before commencing with IHC staining protocol.

Immunohistochemistry (Frozen sections) - Anti-RAGE antibody [EPR21171] - BSA and Azide free (AB228861)
  • IHC-Fr

Supplier Data

Immunohistochemistry (Frozen sections) - Anti-RAGE antibody [EPR21171] - BSA and Azide free (AB228861)

Immunohistochemical analysis of 4% paraformaldehyde-fixed, 0.2% Triton X-100 permeabilized frozen mouse lung tissue labeling RAGE with ab216329 at 1/500 dilution, followed by Goat Anti-Rabbit IgG H&L (Alexa Fluor® 488) (ab150077) secondary antibody at 1/1000 dilution (green). Positive membrane staining on alveolar epithelial cells, negative on the bronchial epithelial cells on mouse lung tissue section is observed (PMID : 15173891).

The nuclear counter stain is DAPI (blue).

Secondary antibody only control : Used PBS instead of primary antibody, secondary antibody is Goat Anti-Rabbit IgG H&L (Alexa Fluor® 488) (ab150077) at 1/1000 dilution.

This data was developed using the same antibody clone in a different buffer formulation containing PBS, BSA, glycerol, and sodium azide (ab216329).

Immunohistochemistry (Formalin/PFA-fixed paraffin-embedded sections) - Anti-RAGE antibody [EPR21171] - BSA and Azide free (AB228861)
  • IHC-P

Supplier Data

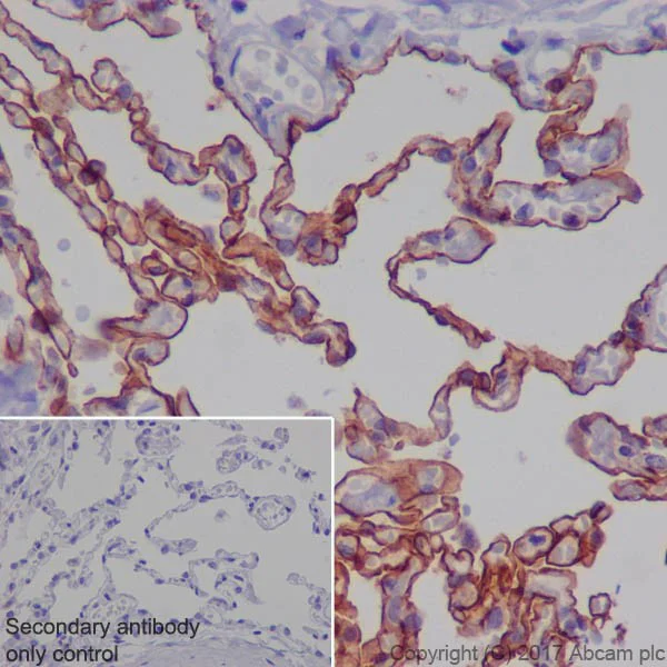
Immunohistochemistry (Formalin/PFA-fixed paraffin-embedded sections) - Anti-RAGE antibody [EPR21171] - BSA and Azide free (AB228861)

Immunohistochemical analysis of paraffin-embedded mouse lung tissue labeling RAGE with ab216329 at 1/4000 dilution, followed by Goat Anti-Rabbit IgG H&L (HRP) Ready to use. Mainly membranous staining on epithelial cells of mouse lung (PMID : 19592063; PMID : 26472810) is observed. Counter stained with Hematoxylin.

Secondary antibody only control : Used PBS instead of primary antibody, secondary antibody is Goat Anti-Rabbit IgG H&L (HRP) Ready to use.

This data was developed using the same antibody clone in a different buffer formulation containing PBS, BSA, glycerol, and sodium azide (ab216329).

Perform heat mediated antigen retrieval with Tris/EDTA buffer pH 9.0 before commencing with IHC staining protocol.

Immunoprecipitation - Anti-RAGE antibody [EPR21171] - BSA and Azide free (AB228861)
  • IP

Supplier Data

Immunoprecipitation - Anti-RAGE antibody [EPR21171] - BSA and Azide free (AB228861)

RAGE was immunoprecipitated from 0.35 mg of mouse lung lysate with ab216329 at 1/30 dilution. Western blot was performed from the immunoprecipitate using ab216329 at 1/1000 dilution. VeriBlot for IP Detection Reagent (HRP) (ab131366), was used for detection at 1/10000 dilution.

Lane 1 : Mouse lung lysate 10 μg (Input).
Lane 2 : ab216329 IP in mouse lung lysate.
Lane 3 : Rabbit monoclonal IgG (ab172730) instead of ab216329 in mouse lung lysate.

Exposure time : 10 seconds.

Blocking and dilution buffer and concentration : 5% NFDM/TBST.

This data was developed using the same antibody clone in a different buffer formulation containing PBS, BSA, glycerol, and sodium azide (ab216329).

All lanes:

Immunoprecipitation - Anti-RAGE antibody [EPR21171] (<a href='/products/primary-antibodies/rage-antibody-epr21171-ab216329'>ab216329</a>)

Predicted band size: 42 kDa

Observed band size: 45 kDa,55 kDa

true

関連する標識済み抗体及び組成の異なる製品 (4)

Key facts

宿主種

Rabbit

クローン性

Monoclonal

クローン番号

EPR21171

アイソタイプ

IgG

キャリアフリー

Yes

交差種

Mouse, Rat, Human

アプリケーション

IHC-Fr, WB, ICC/IF, IP, IHC-P, Flow Cyt

applications

免疫原

The exact immunogen used to generate this antibody is proprietary information.

特異性

RAGE is typically expressed at low levels under normal physiological conditions in majority of tissues except normal lung tissue. When testing other tissues, please use lung tissue as a positive control.

FURTHER INFORMATION ON SPECIFICITY (Chinese Version) available under the product protocols section. This file includes key technical notes of experience when using this product.

Reactivity data

{ "title": "Reactivity Data", "filters": { "stats": ["", "Species", "Dilution Info", "Notes"], "tabs": { "all-applications": {"fullname" : "All Applications", "shortname": "All Applications"}, "IP" : {"fullname" : "Immunoprecipitation", "shortname":"IP"}, "FlowCyt" : {"fullname" : "Flow Cytometry", "shortname":"Flow Cyt"}, "WB" : {"fullname" : "Western blot", "shortname":"WB"}, "ICCIF" : {"fullname" : "Immunocytochemistry/ Immunofluorescence", "shortname":"ICC/IF"}, "IHCFr" : {"fullname" : "Immunohistochemistry (Frozen sections)", "shortname":"IHC-Fr"}, "IHCP" : {"fullname" : "Immunohistochemistry (Formalin/PFA-fixed paraffin-embedded sections)", "shortname":"IHC-P"} }, "product-promise": { "all": "all", "testedAndGuaranteed": "tested", "guaranteed": "expected", "predicted": "predicted", "notRecommended": "not-recommended" } }, "values": { "Human": { "IP-species-checked": "guaranteed", "IP-species-dilution-info": "", "IP-species-notes": "", "FlowCyt-species-checked": "testedAndGuaranteed", "FlowCyt-species-dilution-info": "", "FlowCyt-species-notes": "<p></p>", "WB-species-checked": "guaranteed", "WB-species-dilution-info": "", "WB-species-notes": "<p></p>", "ICCIF-species-checked": "testedAndGuaranteed", "ICCIF-species-dilution-info": "", "ICCIF-species-notes": "<p></p>", "IHCFr-species-checked": "guaranteed", "IHCFr-species-dilution-info": "", "IHCFr-species-notes": "", "IHCP-species-checked": "testedAndGuaranteed", "IHCP-species-dilution-info": "", "IHCP-species-notes": "<p></p> Perform heat-mediated antigen retrieval with Tris/EDTA buffer pH 9.0 before commencing with IHC staining protocol." }, "Mouse": { "IP-species-checked": "testedAndGuaranteed", "IP-species-dilution-info": "", "IP-species-notes": "<p></p>", "FlowCyt-species-checked": "guaranteed", "FlowCyt-species-dilution-info": "", "FlowCyt-species-notes": "", "WB-species-checked": "guaranteed", "WB-species-dilution-info": "", "WB-species-notes": "<p></p>", "ICCIF-species-checked": "guaranteed", "ICCIF-species-dilution-info": "", "ICCIF-species-notes": "", "IHCFr-species-checked": "guaranteed", "IHCFr-species-dilution-info": "", "IHCFr-species-notes": "", "IHCP-species-checked": "guaranteed", "IHCP-species-dilution-info": "", "IHCP-species-notes": "" }, "Rat": { "IP-species-checked": "guaranteed", "IP-species-dilution-info": "", "IP-species-notes": "", "FlowCyt-species-checked": "guaranteed", "FlowCyt-species-dilution-info": "", "FlowCyt-species-notes": "", "WB-species-checked": "guaranteed", "WB-species-dilution-info": "", "WB-species-notes": "<p></p>", "ICCIF-species-checked": "guaranteed", "ICCIF-species-dilution-info": "", "ICCIF-species-notes": "", "IHCFr-species-checked": "testedAndGuaranteed", "IHCFr-species-dilution-info": "", "IHCFr-species-notes": "<p>Perform heat mediated antigen retrieval by using sodium citrate buffer (10mM citrate pH 6.0 + 0.05% Tween-20) before commencing with IHC staining protocol.</p>", "IHCP-species-checked": "guaranteed", "IHCP-species-dilution-info": "", "IHCP-species-notes": "" } } }

製品の詳細

ab228861 is the carrier-free version of ab216329.

Patented technology
Our RabMAb® technology is a patented hybridoma-based technology for making rabbit monoclonal antibodies. For details on our patents, please refer to RabMAb® patents.

What are the advantages of a recombinant monoclonal antibody?
This product is a recombinant monoclonal antibody, which offers several advantages including:

  • - High batch-to-batch consistency and reproducibility
  • - Improved sensitivity and specificity
  • - Long-term security of supply
  • - Animal-free batch production

For more information, read more on recombinant antibodies.

Conjugation ready
Our carrier-free antibodies are typically supplied in a PBS-only formulation, purified and free of BSA, sodium azide and glycerol. This conjugation-ready format is designed for use with fluorochromes, metal isotopes, oligonucleotides, and enzymes, which makes them ideal for antibody labelling, functional and cell-based assays, flow-based assays (e.g. mass cytometry) and Multiplex Imaging applications.

Use our conjugation kits for antibody conjugates that are ready-to-use in as little as 20 minutes with 1 minute hands-on-time and 100% antibody recovery: available for fluorescent dyes, HRP, biotin and gold.

Compatibility
This product is compatible with the Maxpar® Antibody Labeling Kit from Fluidigm, without the need for antibody preparation. Maxpar® is a trademark of Fluidigm Canada Inc.

出荷温度及び保存条件

製品の状態
Liquid
精製方法
Affinity purification Protein A
バッファー組成
pH: 7.2 - 7.4 Constituents: PBS
出荷温度
Blue Ice
短期保存温度
+4°C
長期保存温度
+4°C
保管に関する情報
Do Not Freeze

補足情報

This supplementary information is collated from multiple sources and compiled automatically.

RAGE also known as Receptor for Advanced Glycation End-products is a multi-ligand cell surface receptor with a molecular weight of approximately 45 kDa. It belongs to the immunoglobulin superfamily consisting of three extracellular immunoglobulin-like domains a transmembrane domain and a cytoplasmic tail. RAGE is widely expressed in various tissues throughout the body with high expression levels in the lungs heart and cells of the nervous system. The receptor can interact with several ligands such as advanced glycation end-products (AGEs) amyloid beta and S100/calgranulin proteins facilitating signal transduction into the cells.
Biological function summary

RAGE functions in the immune and inflammatory response where it mediates cell signaling that leads to cellular activation and the release of pro-inflammatory cytokines. It acts as part of complexes with different proteins contributing to cellular processes such as proliferation and migration. RAGE also plays roles in the regulation of oxidative stress and apoptosis impacting cellular health and survival. Researchers employ tools like 'anti-RAGE' antibodies and 'RAGER ELISA' assays to measure and study RAGE expression levels and its interactions in various experimental setups.

Pathways

RAGE is significantly involved in the NF-kB pathway and the MAPK signaling cascade. Its activation can lead to the release of NF-kB a transcription factor that plays an essential role in immune and inflammatory responses. RAGE interacts with proteins such as p38 MAPK leading to a cascade of events that regulate inflammation and stress responses. The signaling pathways involving RAGE are important in maintaining cell homeostasis and responding to cellular stressors and tools like 'anti-RAGE' and 'mouse RAGE' antibodies serve to elucidate these complex pathways further.

RAGE has strong associations with chronic diseases like diabetes and Alzheimer's disease. In diabetes RAGE binds to AGEs contributing to inflammation and vascular complications where it often interacts with proteins like iNOS and VEGF. In Alzheimer's disease RAGE is implicated in the accumulation and toxicity of amyloid-beta peptides interacting with proteins such as APP and tau. Understanding RAGE's role in these diseases can aid in developing therapeutic strategies employing reagents such as 'phen RAGE' and 'anti-RAGE' for targeted treatment approaches.

製品プロトコール

For this product, it's our understanding that no specific protocols are required. You can visit:

ターゲットの情報

Cell surface pattern recognition receptor that senses endogenous stress signals with a broad ligand repertoire including advanced glycation end products, S100 proteins, high-mobility group box 1 protein/HMGB1, amyloid beta/APP oligomers, nucleic acids, phospholipids and glycosaminoglycans (PubMed : 27572515, PubMed : 28515150, PubMed : 34743181). Advanced glycosylation end products are nonenzymatically glycosylated proteins which accumulate in vascular tissue in aging and at an accelerated rate in diabetes (PubMed : 21565706). These ligands accumulate at inflammatory sites during the pathogenesis of various diseases, including diabetes, vascular complications, neurodegenerative disorders, and cancers and RAGE transduces their binding into pro-inflammatory responses. Upon ligand binding, uses TIRAP and MYD88 as adapters to transduce the signal ultimately leading to the induction or inflammatory cytokines IL6, IL8 and TNFalpha through activation of NF-kappa-B (PubMed : 21829704, PubMed : 33436632). Interaction with S100A12 on endothelium, mononuclear phagocytes, and lymphocytes triggers cellular activation, with generation of key pro-inflammatory mediators (PubMed : 19386136). Interaction with S100B after myocardial infarction may play a role in myocyte apoptosis by activating ERK1/2 and p53/TP53 signaling (By similarity). Contributes to the translocation of amyloid-beta peptide (ABPP) across the cell membrane from the extracellular to the intracellular space in cortical neurons (PubMed : 19906677). ABPP-initiated RAGE signaling, especially stimulation of p38 mitogen-activated protein kinase (MAPK), has the capacity to drive a transport system delivering ABPP as a complex with RAGE to the intraneuronal space. Participates in endothelial albumin transcytosis together with HMGB1 through the RAGE/SRC/Caveolin-1 pathway, leading to endothelial hyperpermeability (PubMed : 27572515). Mediates the loading of HMGB1 in extracellular vesicles (EVs) that shuttle HMGB1 to hepatocytes by transferrin-mediated endocytosis and subsequently promote hepatocyte pyroptosis by activating the NLRP3 inflammasome (PubMed : 34743181). Promotes also extracellular hypomethylated DNA (CpG DNA) uptake by cells via the endosomal route to activate inflammatory responses (PubMed : 24081950, PubMed : 28515150).
See full target information AGER

文献 (7)

Recent publications for all applications. Explore the full list and refine your search

International journal of molecular sciences 26: PubMed40565035

2025

Peptidylarginine Deiminase 4 Deficiency Suppresses Neutrophil Extracellular Trap Formation and Ameliorates Elastase-Induced Emphysema in Mouse Lung.

Applications

Unspecified application

Species

Unspecified reactive species

Megumi Katsumata,Jun Ikari,Akira Urano,Eiko Suzuki,Kazuto Kugou,Yoshinori Hasegawa,Koichiro Tatsumi,Takuji Suzuki

Frontiers in immunology 15:1424332 PubMed39026673

2024

L-valine derived from the gut microbiota protects sepsis-induced intestinal injury and negatively correlates with the severity of sepsis.

Applications

Unspecified application

Species

Unspecified reactive species

Yifan Chen,Keyuan Sun,Yue Qi,Jianguo Tang,Haiyan Zhu,Zetian Wang

BMC immunology 23:42 PubMed36088289

2022

The potential pathogenic roles of S100A8/A9 and S100A12 in patients with MPO-ANCA-positive vasculitis.

Applications

Unspecified application

Species

Unspecified reactive species

Xue Bai,Peng-Cheng Xu,Tong Chen,Hao-Miao Zhang,Si-Jing Wu,Xia Yang,Shan Gao,Jun-Ya Jia,Jian-Qing Jiang,Tie-Kun Yan

Translational oncology 17:101350 PubMed35091340

2022

Non-enzymatic glycoxidation linked with nutrition enhances the tumorigenic capacity of prostate cancer epithelia through AGE mediated activation of RAGE in cancer associated fibroblasts.

Applications

Unspecified application

Species

Unspecified reactive species

Bradley A Krisanits,Pamela Woods,Lourdes M Nogueira,Demarcus D Woolfork,Courtney E Lloyd,Andrew Baldwin,Callan C Frye,Kendell D Peterson,Sean D Cosh,Qi-Jin Guo,Laura S Spruill,Michael B Lilly,Kristi Helke,Hong Li,George S Hanna,Mark T Hamann,Courtney Thomas,Mahtabuddin Ahmed,Monika B Gooz,Victoria J Findlay,David P Turner

Oncoimmunology 10:1874159 PubMed33628620

2021

Increase of α-dicarbonyls in liver and receptor for advanced glycation end products on immune cells are linked to nonalcoholic fatty liver disease and liver cancer.

Applications

Unspecified application

Species

Unspecified reactive species

Nataliia Petriv,Lavinia Neubert,Myroslava Vatashchuk,Kai Timrott,Huizhen Suo,Inga Hochnadel,René Huber,Christina Petzold,Anastasiia Hrushchenko,Andriy S Yatsenko,Halyna R Shcherbata,Heiner Wedemeyer,Ralf Lichtinghagen,Halina Falfushynska,Volodymyr Lushchak,Michael P Manns,Heike Bantel,Halyna Semchyshyn,Tetyana Yevsa

Medical science monitor : international medical jo 25:9446-9457 PubMed31825949

2019

Shixiang Plaster, a Traditional Chinese Medicine, Promotes Healing in a Rat Model of Diabetic Ulcer Through the receptor for Advanced Glycation End Products (RAGE)/Nuclear Factor kappa B (NF-κB) and Vascular Endothelial Growth Factor (VEGF)/Vascular Cell Adhesion Molecule-1 (VCAM-1)/Endothelial Nitric Oxide Synthase (eNOS) Signaling Pathways.

Applications

Unspecified application

Species

Unspecified reactive species

Ji Fei,Yi-Ming Ling,Man-Jie Zeng,Kai-Wei Zhang

BioMed research international 2019:7304895 PubMed31886244

2019

MicroRNA-205-5p Targets HMGB1 to Suppress Inflammatory Responses during Lung Injury after Hip Fracture.

Applications

Unspecified application

Species

Unspecified reactive species

Xiaojie Yu,Xiaobin Chen,Tiansheng Sun
View all publications
websiteProtocolBooklet
zh

Abcam product promise

当社は、高品質な試薬を通じてお客様の研究を力強くサポートすることをお約束いたします。ご使用いただく各段階で、常にお客様をサポートできる体制を整えております。万が一、製品が期待通りに機能しない場合は、「Abcam Product Promise」による当社保証制度に基づき、安心してご利用いただけます。
保証に関する詳細については利用規約をご確認ください。

Please note: All products are 'FOR RESEARCH USE ONLY. NOT FOR USE IN DIAGNOSTIC OR THERAPEUTIC PROCEDURES'.

For licensing inquiries, please contact partnerships@abcam.com