JavaScript is disabled in your browser. Please enable JavaScript to view this website.
AB216329

Anti-RAGE 抗体 [EPR21171]

Anti-RAGE antibody [EPR21171]

4

(1 Review)

|

(68 Publications)

Anti-RAGE antibody [EPR21171] (ab216329) is a rabbit monoclonal antibody detecting RAGE in Western Blot, Flow Cytometry, IP, IHC-P, IHC-Fr, ICC/IF. Suitable for Human, Mouse, Rat.

- Biophysical QC for unrivalled batch-batch consistency
- Over 30 publications

別名を表示する

RAGE, AGER, Advanced glycosylation end product-specific receptor, Receptor for advanced glycosylation end products

11 Images
Western blot - Anti-RAGE antibody [EPR21171] (AB216329)
  • WB

Supplier Data

Western blot - Anti-RAGE antibody [EPR21171] (AB216329)

The expression profile and molecular mass observed is consistent with what has been described in the literature (PMID : 16315007; PMID : 18355449; PMID : 18245812).

Blocking and diluting buffer and concentration : 5% NFDM/TBST.

All lanes:

Western blot - Anti-RAGE antibody [EPR21171] (ab216329) at 1/2000 dilution

Lane 1:

Mouse lung lysates at 20 µg

Lane 2:

Mouse brain lysates at 20 µg

Lane 3:

Mouse kidney lysates at 20 µg

Lane 4:

Mouse heart lysates at 20 µg

Lane 5:

Mouse liver lysates at 20 µg

Lane 6:

Mouse spleen lysates at 20 µg

Lane 7:

Rat lung lysates at 20 µg

Lane 8:

Rat brain lysates at 20 µg

Lane 9:

Rat kidney lysates at 20 µg

Lane 10:

Rat heart lysates at 20 µg

Lane 11:

Rat spleen lysates at 20 µg

Secondary

All lanes:

Western blot - Goat Anti-Rabbit IgG H&L (HRP) (<a href='/products/secondary-antibodies/goat-rabbit-igg-h-l-hrp-ab97051'>ab97051</a>) at 1/20000 dilution

Predicted band size: 42 kDa

Observed band size: 43 kDa

false

Exposure time: 3s

Flow Cytometry - Anti-RAGE antibody [EPR21171] (AB216329)
  • Flow Cyt

Supplier Data

Flow Cytometry - Anti-RAGE antibody [EPR21171] (AB216329)

Flow cytometric analysis of 4% paraformaldehyde-fixed HEK-293T (human epithelial cell line from embryonic kidney transformed with large T antigen) cells transfected with Myc-tagged RAGE expression vector labeling RAGE with ab216329 at 1/500 dilution (right panel) compared with a Rabbit IgG, monoclonal [EPR25A] - Isotype Control (ab172730) (left panel). Goat Anti-Rabbit IgG H&L (Alexa Fluor® 488) (ab150077) at 1/2000 dilution was used as the secondary antibody.

Fresh cells were surface-stained with ab172730 and ab216329 respectively. Then fixed with 2% PFA for 15min and intracellular stained with anti-Myc tag antibody (Y axis). Only Myc+ population give positive signal.

Immunohistochemistry (Formalin/PFA-fixed paraffin-embedded sections) - Anti-RAGE antibody [EPR21171] (AB216329)
  • IHC-P

Lab

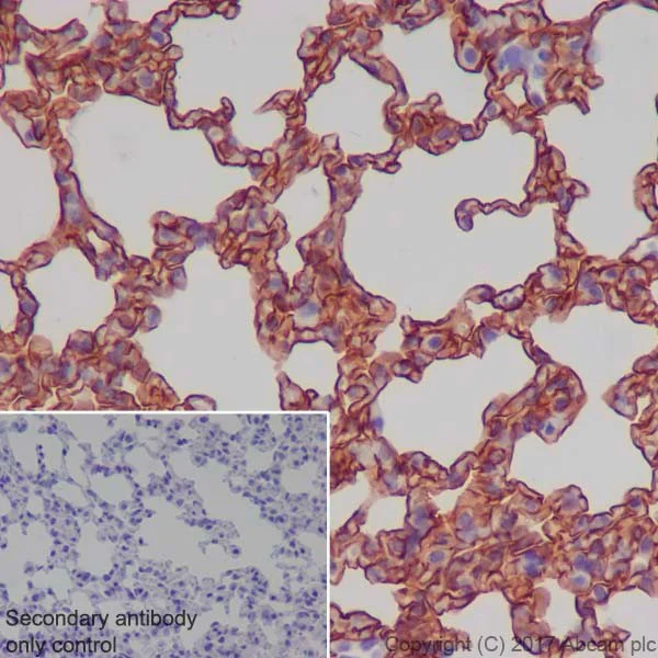
Immunohistochemistry (Formalin/PFA-fixed paraffin-embedded sections) - Anti-RAGE antibody [EPR21171] (AB216329)

Immunohistochemical analysis of formalin fixed paraffin embedded human lung labelling RAGE with ab216329 at a concentration of 0.05µg/ml. The immunostaining was performed on a Ventana DISCOVERY ULTRA (Roche Tissue Diagnostics) instrument with a OptiView DAB IHC Detection Kit. Heat mediated antigen retrieval was performed with DISCOVERY cell conditioning solution (CC1) 100°C, pH8.5 for 32mins.

ab216329 anti-RAGE antibody [EPR21171] was incubated for 16mins at 37°C. Sections were counterstained with Hematoxylin II. Image inset shows absence of staining in secondary antibody only control.

Customers are encouraged to optimise antigen retrieval conditions, antibody concentration, incubation times and temperature for best results in their own IHC assay workflow (automated and manual)

Immunohistochemistry (Formalin/PFA-fixed paraffin-embedded sections) - Anti-RAGE antibody [EPR21171] (AB216329)
  • IHC-P

Supplier Data

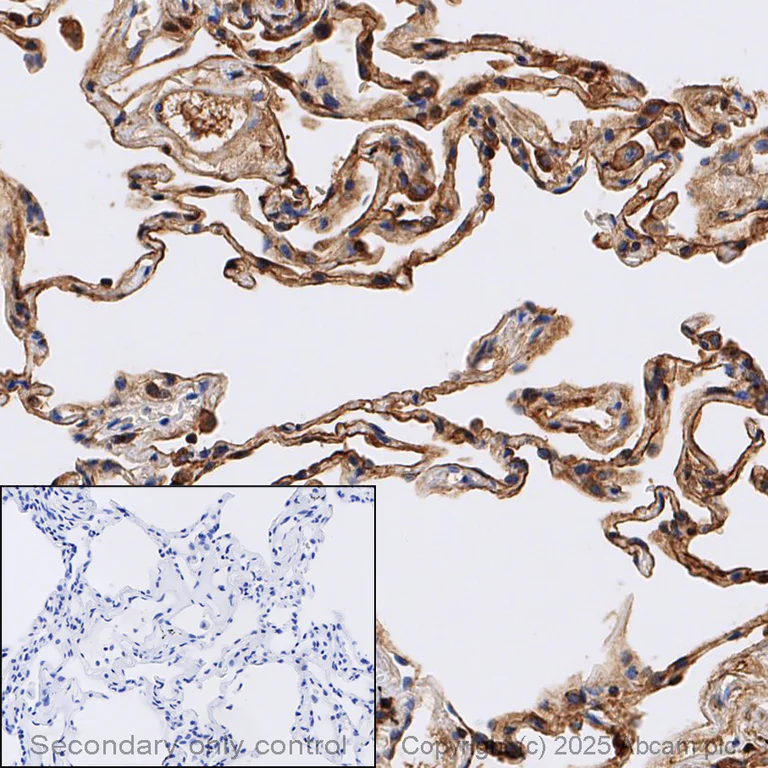
Immunohistochemistry (Formalin/PFA-fixed paraffin-embedded sections) - Anti-RAGE antibody [EPR21171] (AB216329)

Immunohistochemical analysis of paraffin-embedded human lung tissue labeling RAGE with ab216329 at 1/4000 dilution, followed by Goat Anti-Rabbit IgG H&L (HRP) Ready to use. Membranous staining on epithelial cells of human lung (PMID : 19592063; PMID : 26472810) is observed. Counter stained with Hematoxylin.

Secondary antibody only control : Used PBS instead of primary antibody, secondary antibody is Goat Anti-Rabbit IgG H&L (HRP) Ready to use.

Perform heat mediated antigen retrieval with Tris/EDTA buffer pH 9.0 before commencing with IHC staining protocol.

Immunocytochemistry/ Immunofluorescence - Anti-RAGE antibody [EPR21171] (AB216329)
  • ICC/IF

Supplier Data

Immunocytochemistry/ Immunofluorescence - Anti-RAGE antibody [EPR21171] (AB216329)

Immunofluorescent analysis of 4% paraformaldehyde-fixed, 0.1% Triton X-100-permeabilized HEK-293T (human epithelial cell line from embryonic kidney transformed with large T antigen) cells transfected with Myc-tagged RAGE expression vector labeling RAGE with ab216329 at 1/100 dilution, followed by Goat Anti-Rabbit IgG H&L (Alexa Fluor® 488) (ab150077) secondary antibody at 1/1000 dilution (green). Confocal image showing positive staining in HEK-293T cells transfected with Myc-tagged RAGE expression vector.

The nuclear counter stain is DAPI (blue). Myc-Tag is detected with Myc-Tag (9B11) Mouse mAb (Alexa Fluor® 647 Conjugate) (red) at 1/1000 dilution.

Secondary antibody only control : Used PBS instead of primary antibody, secondary antibody is Goat Anti-Rabbit IgG H&L (Alexa Fluor® 488) (ab150077) secondary antibody at 1/1000 dilution.

Negative control : Myc-transfected HEK-293T cells.

Immunohistochemistry (Formalin/PFA-fixed paraffin-embedded sections) - Anti-RAGE antibody [EPR21171] (AB216329)
  • IHC-P

Supplier Data

Immunohistochemistry (Formalin/PFA-fixed paraffin-embedded sections) - Anti-RAGE antibody [EPR21171] (AB216329)

Immunohistochemical analysis of paraffin-embedded rat lung tissue labeling RAGE with ab216329 at 1/4000 dilution, followed by Goat Anti-Rabbit IgG H&L (HRP) Ready to use. Mainly membranous staining on epithelial cells of rat lung (PMID : 19592063; PMID : 26472810) is observed. Counter stained with Hematoxylin.

Secondary antibody only control : Used PBS instead of primary antibody, secondary antibody is Goat Anti-Rabbit IgG H&L (HRP) Ready to use.

Perform heat mediated antigen retrieval with Tris/EDTA buffer pH 9.0 before commencing with IHC staining protocol.

Immunohistochemistry (Formalin/PFA-fixed paraffin-embedded sections) - Anti-RAGE antibody [EPR21171] (AB216329)
  • IHC-P

Supplier Data

Immunohistochemistry (Formalin/PFA-fixed paraffin-embedded sections) - Anti-RAGE antibody [EPR21171] (AB216329)

Immunohistochemical analysis of paraffin-embedded mouse lung tissue labeling RAGE with ab216329 at 1/4000 dilution, followed by Goat Anti-Rabbit IgG H&L (HRP) Ready to use. Mainly membranous staining on epithelial cells of mouse lung (PMID : 19592063; PMID : 26472810) is observed. Counter stained with Hematoxylin.

Secondary antibody only control : Used PBS instead of primary antibody, secondary antibody is Goat Anti-Rabbit IgG H&L (HRP) Ready to use.

Perform heat mediated antigen retrieval with Tris/EDTA buffer pH 9.0 before commencing with IHC staining protocol.

Immunohistochemistry (Frozen sections) - Anti-RAGE antibody [EPR21171] (AB216329)
  • IHC-Fr

Supplier Data

Immunohistochemistry (Frozen sections) - Anti-RAGE antibody [EPR21171] (AB216329)

Immunohistochemical analysis of 4% paraformaldehyde-fixed, 0.2% Triton X-100 permeabilized frozen rat lung tissue labeling RAGE with ab216329 at 1/500 dilution, followed by Goat Anti-Rabbit IgG H&L (Alexa Fluor® 488) (ab150077) secondary antibody at 1/1000 dilution (green). Positive membrane staining on alveolar epithelial cells, negative on the bronchial epithelial cells on rat lung tissue section is observed (PMID : 15173891).

The nuclear counter stain is DAPI (blue).

Secondary antibody only control : Used PBS instead of primary antibody, secondary antibody is Goat Anti-Rabbit IgG H&L (Alexa Fluor® 488) (ab150077) at 1/1000 dilution.

Immunohistochemistry (Frozen sections) - Anti-RAGE antibody [EPR21171] (AB216329)
  • IHC-Fr

Supplier Data

Immunohistochemistry (Frozen sections) - Anti-RAGE antibody [EPR21171] (AB216329)

Immunohistochemical analysis of 4% paraformaldehyde-fixed, 0.2% Triton X-100 permeabilized frozen mouse lung tissue labeling RAGE with ab216329 at 1/500 dilution, followed by Goat Anti-Rabbit IgG H&L (Alexa Fluor® 488) (ab150077) secondary antibody at 1/1000 dilution (green). Positive membrane staining on alveolar epithelial cells, negative on the bronchial epithelial cells on mouse lung tissue section is observed (PMID : 15173891).

The nuclear counter stain is DAPI (blue).

Secondary antibody only control : Used PBS instead of primary antibody, secondary antibody is Goat Anti-Rabbit IgG H&L (Alexa Fluor® 488) (ab150077) at 1/1000 dilution.

Immunoprecipitation - Anti-RAGE antibody [EPR21171] (AB216329)
  • IP

Supplier Data

Immunoprecipitation - Anti-RAGE antibody [EPR21171] (AB216329)

RAGE was immunoprecipitated from 0.35 mg of mouse lung lysate with ab216329 at 1/30 dilution. Western blot was performed from the immunoprecipitate using ab216329 at 1/1000 dilution. VeriBlot for IP Detection Reagent (HRP) (ab131366), was used for detection at 1/10,000 dilution

Lane 1 : Mouse lung lysate 10 μg (Input).
Lane 2 : ab216329 IP in mouse lung lysate.
Lane 3 : Rabbit monoclonal IgG (ab172730) instead of ab216329 in mouse lung lysate.

Exposure time : 10 seconds.

Blocking and dilution buffer and concentration : 5% NFDM/TBST.

All lanes:

Immunoprecipitation - Anti-RAGE antibody [EPR21171] (ab216329)

Predicted band size: 42 kDa

Observed band size: 45 kDa,55 kDa

true

Western blot - Anti-RAGE antibody [EPR21171] (AB216329)
  • WB

Supplier Data

Western blot - Anti-RAGE antibody [EPR21171] (AB216329)

Exposure times : Lane 1 : 5 seconds; Lane 2 : 10 seconds; Lane 3 : 3 minutes.

Blocking/Dilution buffer : 5% NFDM/TBST.

The blot was developed on a BIO-RAD® ChemiDoc™ MP instrument.

The expression profile and molecular mass observed is consistent with what has been described in the literature (PMID : 16315007; PMID : 18355449; PMID : 18245812). Full-length RAGE is not detected in rat and human lysates.

All lanes:

Western blot - Anti-RAGE antibody [EPR21171] (ab216329) at 1/1000 dilution

Lane 1:

Mouse lung lysate at 10 µg

Lane 2:

Rat lung lysate at 10 µg

Lane 3:

Human fetal lung lysate at 10 µg

Secondary

Lanes 1 - 2:

Western blot - Goat Anti-Rabbit IgG H&L (HRP) (<a href='/products/secondary-antibodies/goat-rabbit-igg-h-l-hrp-ab97051'>ab97051</a>) at 1/100000 dilution

Lane 3:

Western blot - VeriBlot for IP Detection Reagent (HRP) (<a href='/products/reagents/veriblot-for-ip-detection-reagent-hrp-ab131366'>ab131366</a>) at 1/4000 dilution

Predicted band size: 42 kDa

Observed band size: 45 kDa,55 kDa

true

関連する標識済み抗体及び組成の異なる製品 (4)

  • 519 Alexa Fluor® 488

    Alexa Fluor® 488 Anti-RAGE antibody [EPR21171]

  • 578 PE

    PE Anti-RAGE antibody [EPR21171]

  • Carrier free

    Anti-RAGE antibody [EPR21171] - BSA and Azide free

  • 665 Alexa Fluor® 647

    Alexa Fluor® 647 Anti-RAGE antibody [EPR21171]

Key facts

宿主種

Rabbit

クローン性

Monoclonal

クローン番号

EPR21171

アイソタイプ

IgG

キャリアフリー

No

交差種

Mouse, Rat, Human

アプリケーション

IP, Flow Cyt, ICC/IF, IHC-P, WB, IHC-Fr

applications

免疫原

The exact immunogen used to generate this antibody is proprietary information.

特異性

RAGE is typically expressed at low levels under normal physiological conditions in majority of tissues except normal lung tissue. When testing other tissues, please use lung tissue as a positive control.

FURTHER INFORMATION ON SPECIFICITY (Chinese Version) available under the product protocols section. This file includes key technical notes of experience when using this product.

Reactivity data

{ "title": "Reactivity Data", "filters": { "stats": ["", "Species", "Dilution Info", "Notes"], "tabs": { "all-applications": {"fullname" : "All Applications", "shortname": "All Applications"}, "IP" : {"fullname" : "Immunoprecipitation", "shortname":"IP"}, "FlowCyt" : {"fullname" : "Flow Cytometry", "shortname":"Flow Cyt"}, "WB" : {"fullname" : "Western blot", "shortname":"WB"}, "ICCIF" : {"fullname" : "Immunocytochemistry/ Immunofluorescence", "shortname":"ICC/IF"}, "IHCFr" : {"fullname" : "Immunohistochemistry (Frozen sections)", "shortname":"IHC-Fr"}, "IHCP" : {"fullname" : "Immunohistochemistry (Formalin/PFA-fixed paraffin-embedded sections)", "shortname":"IHC-P"} }, "product-promise": { "all": "all", "testedAndGuaranteed": "tested", "guaranteed": "expected", "predicted": "predicted", "notRecommended": "not-recommended" } }, "values": { "Human": { "IP-species-checked": "guaranteed", "IP-species-dilution-info": "", "IP-species-notes": "", "FlowCyt-species-checked": "testedAndGuaranteed", "FlowCyt-species-dilution-info": "1/500", "FlowCyt-species-notes": "<p></p>", "WB-species-checked": "testedAndGuaranteed", "WB-species-dilution-info": "1/1000", "WB-species-notes": "<p></p>", "ICCIF-species-checked": "testedAndGuaranteed", "ICCIF-species-dilution-info": "1/100", "ICCIF-species-notes": "<p></p>", "IHCFr-species-checked": "guaranteed", "IHCFr-species-dilution-info": "", "IHCFr-species-notes": "", "IHCP-species-checked": "testedAndGuaranteed", "IHCP-species-dilution-info": "1/4000", "IHCP-species-notes": "<p></p> Perform heat-mediated antigen retrieval with Tris/EDTA buffer pH 9.0 before commencing with IHC staining protocol." }, "Mouse": { "IP-species-checked": "testedAndGuaranteed", "IP-species-dilution-info": "1/30", "IP-species-notes": "<p></p>", "FlowCyt-species-checked": "guaranteed", "FlowCyt-species-dilution-info": "", "FlowCyt-species-notes": "", "WB-species-checked": "testedAndGuaranteed", "WB-species-dilution-info": "1/1000", "WB-species-notes": "<p></p>", "ICCIF-species-checked": "guaranteed", "ICCIF-species-dilution-info": "", "ICCIF-species-notes": "", "IHCFr-species-checked": "testedAndGuaranteed", "IHCFr-species-dilution-info": "1/500", "IHCFr-species-notes": "<p>Perform heat mediated antigen retrieval by using sodium citrate buffer (10mM citrate pH 6.0 + 0.05% Tween-20) before commencing with IHC staining protocol.</p>", "IHCP-species-checked": "testedAndGuaranteed", "IHCP-species-dilution-info": "1/4000", "IHCP-species-notes": "<p></p> Perform heat-mediated antigen retrieval with Tris/EDTA buffer pH 9.0 before commencing with IHC staining protocol." }, "Rat": { "IP-species-checked": "guaranteed", "IP-species-dilution-info": "", "IP-species-notes": "", "FlowCyt-species-checked": "guaranteed", "FlowCyt-species-dilution-info": "", "FlowCyt-species-notes": "", "WB-species-checked": "testedAndGuaranteed", "WB-species-dilution-info": "1/1000", "WB-species-notes": "<p></p>", "ICCIF-species-checked": "guaranteed", "ICCIF-species-dilution-info": "", "ICCIF-species-notes": "", "IHCFr-species-checked": "testedAndGuaranteed", "IHCFr-species-dilution-info": "1/500", "IHCFr-species-notes": "<p>Perform heat mediated antigen retrieval by using sodium citrate buffer (10mM citrate pH 6.0 + 0.05% Tween-20) before commencing with IHC staining protocol.</p>", "IHCP-species-checked": "testedAndGuaranteed", "IHCP-species-dilution-info": "1/4000", "IHCP-species-notes": "<p></p> Perform heat-mediated antigen retrieval with Tris/EDTA buffer pH 9.0 before commencing with IHC staining protocol." } } }

製品の詳細

Product Specifications
Anti-RAGE antibody [EPR21171] (ab216329) was developed by Abcam using patented rabbit monoclonal antibody technology and is validated for use in Flow Cyt, ICC/IF, IHC-Fr, IHC-P, IP, WB in human, mouse, rat samples.
Anti-RAGE antibody [EPR21171] (ab216329) specifically detects RAGE (UniProt ID: Q15109; Molecular weight: 41kDa) and is sold in a convenient trial size to enable initial testing (20 µL) and larger sizes for subsequent scaling up experiments (100 µL and 1 mL).

Quality and Validation
Abcam's high quality manufacturing and validation processes ensure Anti-RAGE antibody [EPR21171] (ab216329) has high sensitivity and specificity alongside high lot-to-lot consistency and reproducibility.
Anti-RAGE antibody [EPR21171] (ab216329) has been cited over 31 times in peer reviewed journals and is trusted by the scientific community.

Related Products
Antibody clone EPR21171 is also available pre-conjugated to a variety of labels for your convenience - Alexa Fluor® 488, Alexa Fluor® 647, PE (ab237361, ab237362, ab237363).

Patented technology
Our RabMAb® technology is a patented hybridoma-based technology for making rabbit monoclonal antibodies. For details on our patents, please refer to RabMAb® patents.

What are the advantages of a recombinant monoclonal antibody?
This product is a recombinant monoclonal antibody, which offers several advantages including:

  • - High batch-to-batch consistency and reproducibility
  • - Improved sensitivity and specificity
  • - Long-term security of supply
  • - Animal-free batch production

For more information, read more on recombinant antibodies.

出荷温度及び保存条件

製品の状態
Liquid
精製方法
Affinity purification Protein A
バッファー組成
pH: 7.2 - 7.4 Preservative: 0.01% Sodium azide Constituents: PBS, 40% Glycerol (glycerin, glycerine), 0.05% BSA
出荷温度
Blue Ice
短期保存期間
1-2 weeks
短期保存温度
+4°C
長期保存温度
-20°C
分注に関する情報
Upon delivery aliquot
保管に関する情報
Avoid freeze / thaw cycle

補足情報

This supplementary information is collated from multiple sources and compiled automatically.

RAGE also known as Receptor for Advanced Glycation End-products is a multi-ligand cell surface receptor with a molecular weight of approximately 45 kDa. It belongs to the immunoglobulin superfamily consisting of three extracellular immunoglobulin-like domains a transmembrane domain and a cytoplasmic tail. RAGE is widely expressed in various tissues throughout the body with high expression levels in the lungs heart and cells of the nervous system. The receptor can interact with several ligands such as advanced glycation end-products (AGEs) amyloid beta and S100/calgranulin proteins facilitating signal transduction into the cells.
Biological function summary

RAGE functions in the immune and inflammatory response where it mediates cell signaling that leads to cellular activation and the release of pro-inflammatory cytokines. It acts as part of complexes with different proteins contributing to cellular processes such as proliferation and migration. RAGE also plays roles in the regulation of oxidative stress and apoptosis impacting cellular health and survival. Researchers employ tools like 'anti-RAGE' antibodies and 'RAGER ELISA' assays to measure and study RAGE expression levels and its interactions in various experimental setups.

Pathways

RAGE is significantly involved in the NF-kB pathway and the MAPK signaling cascade. Its activation can lead to the release of NF-kB a transcription factor that plays an essential role in immune and inflammatory responses. RAGE interacts with proteins such as p38 MAPK leading to a cascade of events that regulate inflammation and stress responses. The signaling pathways involving RAGE are important in maintaining cell homeostasis and responding to cellular stressors and tools like 'anti-RAGE' and 'mouse RAGE' antibodies serve to elucidate these complex pathways further.

RAGE has strong associations with chronic diseases like diabetes and Alzheimer's disease. In diabetes RAGE binds to AGEs contributing to inflammation and vascular complications where it often interacts with proteins like iNOS and VEGF. In Alzheimer's disease RAGE is implicated in the accumulation and toxicity of amyloid-beta peptides interacting with proteins such as APP and tau. Understanding RAGE's role in these diseases can aid in developing therapeutic strategies employing reagents such as 'phen RAGE' and 'anti-RAGE' for targeted treatment approaches.

製品プロトコール

For this product, it's our understanding that no specific protocols are required. You can visit:

ターゲットの情報

Cell surface pattern recognition receptor that senses endogenous stress signals with a broad ligand repertoire including advanced glycation end products, S100 proteins, high-mobility group box 1 protein/HMGB1, amyloid beta/APP oligomers, nucleic acids, phospholipids and glycosaminoglycans (PubMed : 27572515, PubMed : 28515150, PubMed : 34743181). Advanced glycosylation end products are nonenzymatically glycosylated proteins which accumulate in vascular tissue in aging and at an accelerated rate in diabetes (PubMed : 21565706). These ligands accumulate at inflammatory sites during the pathogenesis of various diseases, including diabetes, vascular complications, neurodegenerative disorders, and cancers and RAGE transduces their binding into pro-inflammatory responses. Upon ligand binding, uses TIRAP and MYD88 as adapters to transduce the signal ultimately leading to the induction or inflammatory cytokines IL6, IL8 and TNFalpha through activation of NF-kappa-B (PubMed : 21829704, PubMed : 33436632). Interaction with S100A12 on endothelium, mononuclear phagocytes, and lymphocytes triggers cellular activation, with generation of key pro-inflammatory mediators (PubMed : 19386136). Interaction with S100B after myocardial infarction may play a role in myocyte apoptosis by activating ERK1/2 and p53/TP53 signaling (By similarity). Contributes to the translocation of amyloid-beta peptide (ABPP) across the cell membrane from the extracellular to the intracellular space in cortical neurons (PubMed : 19906677). ABPP-initiated RAGE signaling, especially stimulation of p38 mitogen-activated protein kinase (MAPK), has the capacity to drive a transport system delivering ABPP as a complex with RAGE to the intraneuronal space. Participates in endothelial albumin transcytosis together with HMGB1 through the RAGE/SRC/Caveolin-1 pathway, leading to endothelial hyperpermeability (PubMed : 27572515). Mediates the loading of HMGB1 in extracellular vesicles (EVs) that shuttle HMGB1 to hepatocytes by transferrin-mediated endocytosis and subsequently promote hepatocyte pyroptosis by activating the NLRP3 inflammasome (PubMed : 34743181). Promotes also extracellular hypomethylated DNA (CpG DNA) uptake by cells via the endosomal route to activate inflammatory responses (PubMed : 24081950, PubMed : 28515150).
See full target information AGER

文献 (68)

Recent publications for all applications. Explore the full list and refine your search

Alzheimer's research & therapy 17:193 PubMed40830501

2025

Endothelial delivery of simvastatin by LRP1-targeted nanoparticles ameliorates pathogenesis of alzheimer's disease in a mouse model.

Applications

Unspecified application

Species

Unspecified reactive species

Ting-Ting Pan,Yan-Yun Sun,Yi-Fan Shi,Mei Zhao,Naveed Ullah Khan,Hai-Yan Chen,Wen-Li Ji,Jie Li,Liang Han,Quan-Hong Ma

The Journal of clinical investigation 135: PubMed40454481

2025

PIEZO1 mediates periostin+ myofibroblast activation and pulmonary fibrosis in mice.

Applications

Unspecified application

Species

Unspecified reactive species

Liran Xu,Ting Li,Yapeng Cao,Yu He,Zehua Shao,Siyu Liu,Bianbian Wang,Ailing Su,Huijing Tian,Yongxin Li,Guozheng Liang,Changhe Wang,John Shyy,Ying Xiong,Fangyuan Chen,Jason Xj Yuan,Junjun Liu,Bin Zhou,Nina Wettschureck,Stefan Offermanns,Yang Yan,Zuyi Yuan,Shengpeng Wang

Archives of medical science : AMS 21:538-554 PubMed40395889

2025

Celastrol attenuates Alzheimer's disease-mediated learning and memory impairment by inhibiting endoplasmic reticulum stress-induced inflammation and oxidative stress.

Applications

Unspecified application

Species

Unspecified reactive species

Fanfan Cao,Limin Xu,Xiaoxue He,Yongbin Chi,Ying Wang,Qiuyun Liu,Denghai Zhang

Journal of cosmetic dermatology 24:e70240 PubMed40387285

2025

Anti-Glycation and Anti-Aging Efficacy of Newly Synthesized Antioxidant With Autophagy Stimulating Activity.

Applications

Unspecified application

Species

Unspecified reactive species

Kayoung Shin,Yeonjae Kim,Sungwoo Kim,Hyun Jung Kim,Sekyoo Jeong,Mi Jang,Jeong Ho Park,Gaewon Nam

Circulation journal : official journal of the Japanese Circulation Society 89:1245-1255 PubMed40368806

2025

Circulating HMGB2 Is Associated With Angiographic Coronary Collateralization in Diabetic Patients With Chronic Total Occlusion and Impairs Vessel Growth via NLRP3.

Applications

Unspecified application

Species

Unspecified reactive species

Zhi Ming Wu,Shuai Chen,Yang Dai,Ke Huang,Xiao Qun Wang,Lin Shuang Mao,Chen Die Yang,Fei Fei Li,Le Ying Li,Jing Meng Liu,Yi Xuan Wang,Wen Jia Li,Ruo Sen Yuan,Lin Lu,Rui Yan Zhang,Wei Feng Shen,Ying Shen,Feng Hua Ding

PLoS pathogens 21:e1013184 PubMed40367285

2025

Virus and cell specific HMGB1 secretion and subepithelial infiltrate formation in adenovirus keratitis.

Applications

Unspecified application

Species

Unspecified reactive species

Amrita Saha,Mohammad Mirazul Islam,Rahul Kumar,Ashrafali Mohamed Ismail,Emanuel Garcia,Rama R Gullapali,James Chodosh,Jaya Rajaiya

Cells 14: PubMed40277915

2025

Metformin Inhibits Cell Motility and Proliferation of Triple-Negative Breast Cancer Cells by Blocking HMGB1/RAGE Signaling.

Applications

Unspecified application

Species

Unspecified reactive species

Shazie Yusein-Myashkova,Desislava Vladimirova,Anastas Gospodinov,Iva Ugrinova,Jordana Todorova

Acta biochimica et biophysica Sinica 57:1115-1124 PubMed40109091

2025

Atrial APD prolongation caused by the upregulation of RAGE and subsequent increase in diabetic patients.

Applications

Unspecified application

Species

Unspecified reactive species

Yingchun Luo,Wenbo Ma,Qi Kang,Han Pan,Ling Shi,Jiudong Ma,Jiahui Song,Dongmei Gong,Kai Kang,Xuexin Jin

Journal of cell communication and signaling 19:e12059 PubMed39975983

2025

Moscatilin alleviates oxidative stress and inflammatory response of Müller cells in diabetic retinopathy through suppressing the p38 mitogen-activated protein kinase/c-Jun N-terminal kinase and nuclear factor kappa-B signaling pathways.

Applications

Unspecified application

Species

Unspecified reactive species

Suhua Zhu,Man Zhang,Zhen Qu,Shengqiu Xu,Jie Peng,Fanjing Jiang

Nature communications 16:1303 PubMed39900892

2025

Cloned airway basal progenitor cells to repair fibrotic lung through re-epithelialization.

Applications

Unspecified application

Species

Unspecified reactive species

Yu Zhao,Yueqing Zhou,Weipan Zhang,Mingzhe Liu,Jun Duan,Xiaopeng Zhang,Qiwang Ma,Yujia Wang,Yuzhen Zhang,Zhongliang Guo,Ting Zhang,Wei Zuo
View all publications
websiteProtocolBooklet
zh

Abcam product promise

当社は、高品質な試薬を通じてお客様の研究を力強くサポートすることをお約束いたします。ご使用いただく各段階で、常にお客様をサポートできる体制を整えております。万が一、製品が期待通りに機能しない場合は、「Abcam Product Promise」による当社保証制度に基づき、安心してご利用いただけます。
保証に関する詳細については利用規約をご確認ください。

Please note: All products are 'FOR RESEARCH USE ONLY. NOT FOR USE IN DIAGNOSTIC OR THERAPEUTIC PROCEDURES'.

For licensing inquiries, please contact partnerships@abcam.com