JavaScript is disabled in your browser. Please enable JavaScript to view this website.
AB10705

Anti-RAD54 抗体

Anti-RAD54 antibody

1

(2 Reviews)

|

(4 Publications)

Rabbit Polyclonal RAD54 antibody. Suitable for IHC-P, IP, WB and reacts with Human samples. Cited in 4 publications.

別名を表示する

RAD54A, RAD54L, DNA repair and recombination protein RAD54-like, RAD54 homolog, hHR54, hRAD54

3 Images
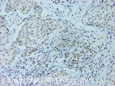
Immunohistochemistry (Formalin/PFA-fixed paraffin-embedded sections) - Anti-RAD54 antibody (AB10705)
  • IHC-P

Lab

Immunohistochemistry (Formalin/PFA-fixed paraffin-embedded sections) - Anti-RAD54 antibody (AB10705)

IHC image of ab10705 staining in Human breast adenocarcinoma formalin fixed paraffin embedded tissue section, performed on a Leica BondTM system using the standard protocol F. The section was pre-treated using heat mediated antigen retrieval with sodium citrate buffer (pH6, epitope retrieval solution 1) for 20 mins. The section was then incubated with ab10705, 5µg/ml, for 15 mins at room temperature and detected using an HRP conjugated compact polymer system. DAB was used as the chromogen. The section was then counterstained with haematoxylin and mounted with DPX.

For other IHC staining systems (automated and non-automated) customers should optimize variable parameters such as antigen retrieval conditions, primary antibody concentration and antibody incubation times.

Immunoprecipitation - Anti-RAD54 antibody (AB10705)
  • IP

Unknown

Immunoprecipitation - Anti-RAD54 antibody (AB10705)

RAD54 was immunoprecipitated using 0.5mg Hela whole cell extract, 5μg of Rabbit polyclonal to RAD54 and 50μl of protein G magnetic beads (+). No antibody was added to the control (-).
The antibody was incubated under agitation with Protein G beads for 10min, Hela whole cell extract lysate diluted in RIPA buffer was added to each sample and incubated for a further 10min under agitation.
Proteins were eluted by addition of 40μl SDS loading buffer and incubated for 10min at 70oC; 10μl of each sample was separated on a SDS PAGE gel, transferred to a nitrocellulose membrane, blocked with 5% BSA and probed with ab10705.
Secondary : Mouse monoclonal [SB62a] Secondary Antibody to Rabbit IgG light chain (HRP) (ab99697).
Band : 70kDa; RAD54, non specific band : 75 kDa, We are unsure as to the identity of this extra band. 99kDa band : due to background seen in No ab control lane (2).

All lanes:

Immunoprecipitation - Anti-RAD54 antibody (ab10705)

Predicted band size: 84 kDa

false

Western blot - Anti-RAD54 antibody (AB10705)
  • WB

Unknown

Western blot - Anti-RAD54 antibody (AB10705)

Rabbit polyclonal to RAD54 (ab10705) at 1/500.

Lane 1 Marker
Lane 2 HeLa nuclear extract
Lane 3 HeLa cell lysate
Lane 4 A432 cell lysate
Lane 5 MCF7 cell lysate
Lane 6 HEK 293 cell lysate

Secondary antibody - Goat polyclonal to rabbit IgG (HRP) - ab6721.

Lane 1:

Western blot - Anti-RAD54 antibody (ab10705)

Lanes 2 - 6:

Western blot - Anti-RAD54 antibody (ab10705) at 1/500 dilution

Lane 1:

Marker

Lane 2:

HeLa nuclear cell lysate

Lane 3:

HeLa cell lysate

Lane 4:

A432 cell lysate

Lane 5:

MCF7 cell lysate

Lane 6:

Hek 293 cell lysate

Secondary

All lanes:

Western blot - Goat Anti-Rabbit IgG H&L (HRP) (<a href='/products/secondary-antibodies/goat-rabbit-igg-h-l-hrp-ab6721'>ab6721</a>)

Predicted band size: 84 kDa

Observed band size: 70 kDa

false

Key facts

宿主種

Rabbit

クローン性

Polyclonal

アイソタイプ

IgG

キャリアフリー

No

交差種

Human

アプリケーション

IP, IHC-P, WB

applications

免疫原

The exact immunogen used to generate this antibody is proprietary information.

Reactivity data

{ "title": "Reactivity Data", "filters": { "stats": ["", "Species", "Dilution Info", "Notes"], "tabs": { "all-applications": {"fullname" : "All Applications", "shortname": "All Applications"}, "IHCP" : {"fullname" : "Immunohistochemistry (Formalin/PFA-fixed paraffin-embedded sections)", "shortname":"IHC-P"}, "IP" : {"fullname" : "Immunoprecipitation", "shortname":"IP"}, "WB" : {"fullname" : "Western blot", "shortname":"WB"}, "ICCIF" : {"fullname" : "Immunocytochemistry/ Immunofluorescence", "shortname":"ICC/IF"} }, "product-promise": { "all": "all", "testedAndGuaranteed": "tested", "guaranteed": "expected", "predicted": "predicted", "notRecommended": "not-recommended" } }, "values": { "Human": { "IHCP-species-checked": "testedAndGuaranteed", "IHCP-species-dilution-info": "5 µg/mL", "IHCP-species-notes": "<p></p> Perform heat-mediated antigen retrieval before commencing with IHC staining protocol.", "IP-species-checked": "testedAndGuaranteed", "IP-species-dilution-info": "5 µg/mL", "IP-species-notes": "<p></p>", "WB-species-checked": "testedAndGuaranteed", "WB-species-dilution-info": "1/500 - 1/1000", "WB-species-notes": "<p></p>", "ICCIF-species-checked": "notRecommended", "ICCIF-species-dilution-info": "", "ICCIF-species-notes": "<p>This antibody does not seem to work in ICC/IF (please see Abreview).</p>" } } }

出荷温度及び保存条件

補足情報

This supplementary information is collated from multiple sources and compiled automatically.

RAD54 also known as DNA repair and recombination protein RAD54-like (Swiss-Prot Q9Y620) plays a mechanical role in DNA repair processes. It is part of the RAD52 epistasis group and shows DNA-dependent ATPase activity. RAD54 belongs to the DEAD-like helicase superfamily. It is approximately 82 kDa in mass and gets expressed in normal human tissues with higher levels in the testis. RAD54 has an ATPase activity modulating chromatin architecture making the DNA more accessible for repair enzymes.
Biological function summary

RAD54 contributes to homologous recombination an important mechanism for repairing double-strand breaks in DNA. It forms a complex with RAD51 facilitating RAD51-mediated homologous pairing and strand exchange. Through this interaction RAD54 promotes efficient DNA synapsis stabilizing the formation of joint molecules and protecting the DNA from further damage. RAD54 also unwinds DNA and removes RAD51 from dsDNA thereby resolving recombination intermediates.

Pathways

RAD54 functions in the homologous recombination repair pathway. This pathway involves several key proteins including BRCA1 and RAD51 which collaborate to repair double-strand DNA breaks and maintain genome stability. RAD54's work with these molecules ensures the accurate repair of damaged DNA. RAD54 also links to the Fanconi anemia pathway contributing to DNA damage response and crosslink repair.

RAD54 associates with increased cancer susceptibility due to its role in DNA repair. Mutations or dysregulation of RAD54 can lead to genomic instability resulting in cancer types like breast cancer. RAD54 links to BRCA1 in this context highlighting its importance in preserving DNA integrity. Studies also show connections between RAD54 and developmental disorders resulting from impaired DNA repair mechanisms that affect cell growth and division.

製品プロトコール

For this product, it's our understanding that no specific protocols are required. You can visit:

ターゲットの情報

Plays an essential role in homologous recombination (HR) which is a major pathway for repairing DNA double-strand breaks (DSBs), single-stranded DNA (ssDNA) gaps, and stalled or collapsed replication forks (PubMed : 11459989, PubMed : 12205100, PubMed : 24798879, PubMed : 27264870, PubMed : 32457312, PubMed : 9774452). Acts as a molecular motor during the homology search and guides RAD51 ssDNA along a donor dsDNA thereby changing the homology search from the diffusion-based mechanism to a motor-guided mechanism. Also plays an essential role in RAD51-mediated synaptic complex formation which consists of three strands encased in a protein filament formed once homology is recognized. Once DNA strand exchange occured, dissociates RAD51 from nucleoprotein filaments formed on dsDNA (By similarity).
See full target information RAD54L

文献 (4)

Recent publications for all applications. Explore the full list and refine your search

The EMBO journal 44:2279-2297 PubMed40038454

2025

p53 regulates DREAM complex-mediated repression in a p21-independent manner.

Applications

Unspecified application

Species

Unspecified reactive species

Ritu Agrawal,Sagar Sengupta

International journal of molecular sciences 21: PubMed33261027

2020

E2F1 Promotes Progression of Bladder Cancer by Modulating RAD54L Involved in Homologous Recombination Repair.

Applications

Unspecified application

Species

Unspecified reactive species

Jeong-Yeon Mun,Seung-Woo Baek,Won Young Park,Won-Tae Kim,Seon-Kyu Kim,Yun-Gil Roh,Mi-So Jeong,Gi-Eun Yang,Jong-Ho Lee,Jin Woong Chung,Yung Hyun Choi,In-Sun Chu,Sun-Hee Leem

Nature communications 9:1016 PubMed29523790

2018

MRN complex-dependent recruitment of ubiquitylated BLM helicase to DSBs negatively regulates DNA repair pathways.

Applications

Unspecified application

Species

Unspecified reactive species

Vivek Tripathi,Himanshi Agarwal,Swati Priya,Harish Batra,Priyanka Modi,Monica Pandey,Dhurjhoti Saha,Sathees C Raghavan,Sagar Sengupta

Molecular carcinogenesis 54:1758-71 PubMed25418835

2014

Wilms' tumor gene WT1 promotes homologous recombination-mediated DNA damage repair.

Applications

Unspecified application

Species

Unspecified reactive species

Yusuke Oji,Naoya Tatsumi,Junya Kobayashi,Mari Fukuda,Tazu Ueda,Eri Nakano,Chisae Saito,Syohei Shibata,Mihoko Sumikawa,Hisashi Fukushima,Akari Saito,Nozomi Hojo,Miyu Suzuki,Tomoko Hoshikawa,Tsutomu Shimura,Eiichi Morii,Yoshihiro Oka,Naoki Hosen,Kenshi Komatsu,Haruo Sugiyama
View all publications

Abcam product promise

当社は、高品質な試薬を通じてお客様の研究を力強くサポートすることをお約束いたします。ご使用いただく各段階で、常にお客様をサポートできる体制を整えております。万が一、製品が期待通りに機能しない場合は、「Abcam Product Promise」による当社保証制度に基づき、安心してご利用いただけます。
保証に関する詳細については利用規約をご確認ください。

Please note: All products are 'FOR RESEARCH USE ONLY. NOT FOR USE IN DIAGNOSTIC OR THERAPEUTIC PROCEDURES'.

For licensing inquiries, please contact partnerships@abcam.com