JavaScript is disabled in your browser. Please enable JavaScript to view this website.
AB228935

Anti-Rad50 抗体 - N-terminal

Anti-Rad50 antibody - N-terminal

  • JP Deleterious:医薬用外劇物

Be the first to review this product! Submit a review

|

(2 Publications)

Rabbit Polyclonal RAD50 antibody. N-terminal. Suitable for IP, WB, IHC-P and reacts with Human, Mouse, Rat samples. Cited in 2 publications. Immunogen corresponding to Recombinant Fragment Protein within Human RAD50.

別名を表示する

DNA repair protein RAD50, hRAD50, RAD50

7 Images
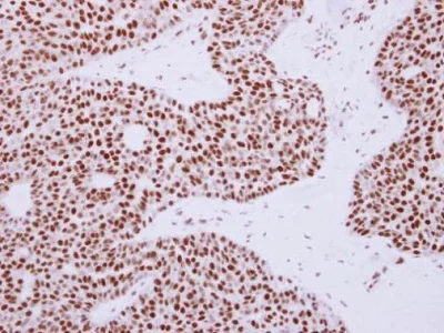
Immunohistochemistry (Formalin/PFA-fixed paraffin-embedded sections) - Anti-Rad50 antibody - N-terminal (AB228935)
  • IHC-P

Supplier Data

Immunohistochemistry (Formalin/PFA-fixed paraffin-embedded sections) - Anti-Rad50 antibody - N-terminal (AB228935)

Paraffin-embedded human lung carcinoma tissue stained for Rad50 with ab228935 at a 1/250 dilution in immunohistochemical analysis.

Immunoprecipitation - Anti-Rad50 antibody - N-terminal (AB228935)
  • IP

Supplier Data

Immunoprecipitation - Anti-Rad50 antibody - N-terminal (AB228935)

Rad50 was immunoprecipitated from NT2/D1 (human embryonal testis carcinoma cell line) whole cell lysate with 4 μg ab228935. Western blot was performed from the immunoprecipitate using ab228935 at a 1/500 dilution.

Lane 1 : 50 μg NT2/D1 whole cell lysate.

Lane 2 : Control with 4 μg preimmune Rabbit IgG.

Lane 3 : ab228935 in NT2/D1 whole cell lysate.

5% SDS-PAGE

All lanes:

Immunoprecipitation - Anti-Rad50 antibody - N-terminal (ab228935)

Predicted band size: 153 kDa

false

Western blot - Anti-Rad50 antibody - N-terminal (AB228935)
  • WB

Supplier Data

Western blot - Anti-Rad50 antibody - N-terminal (AB228935)

5% SDS-PAGE

All lanes:

Western blot - Anti-Rad50 antibody - N-terminal (ab228935) at 1/500 dilution

Lane 1:

HeLa (human epithelial cell line from cervix adenocarcinoma) whole cell extracts at 30 µg

Lane 2:

HeLa (human epithelial cell line from cervix adenocarcinoma) nuclear extracts at 30 µg

Secondary

All lanes:

HRP-conjugated anti-rabbit IgG

Predicted band size: 153 kDa

true

Western blot - Anti-Rad50 antibody - N-terminal (AB228935)
  • WB

Supplier Data

Western blot - Anti-Rad50 antibody - N-terminal (AB228935)

5% SDS-PAGE

All lanes:

Western blot - Anti-Rad50 antibody - N-terminal (ab228935) at 1/4000 dilution

Lane 1:

Non-transfected HeLa (human epithelial cell line from cervix adenocarcinoma) whole cell extracts at 30 µg

Lane 2:

Rad50 shRNA transfected HeLa (human epithelial cell line from cervix adenocarcinoma) whole cell extracts at 30 µg

Secondary

All lanes:

HRP-conjugated anti-rabbit IgG

Predicted band size: 153 kDa

true

Western blot - Anti-Rad50 antibody - N-terminal (AB228935)
  • WB

Supplier Data

Western blot - Anti-Rad50 antibody - N-terminal (AB228935)

5% SDS-PAGE

All lanes:

Western blot - Anti-Rad50 antibody - N-terminal (ab228935) at 1/5000 dilution

All lanes:

NT2/D1 (human embryonal testis carcinoma cell line) whole cell lysate at 30 µg

Secondary

All lanes:

HRP-conjugated anti-rabbit IgG

Predicted band size: 153 kDa

true

Western blot - Anti-Rad50 antibody - N-terminal (AB228935)
  • WB

Supplier Data

Western blot - Anti-Rad50 antibody - N-terminal (AB228935)

5% SDS-PAGE

All lanes:

Western blot - Anti-Rad50 antibody - N-terminal (ab228935) at 1/1000 dilution

Lane 1:

Neuro-2a (mouse neuroblastoma cell line) whole cell lysate at 30 µg

Lane 2:

GL261 whole cell lysate at 30 µg

Secondary

All lanes:

HRP-conjugated anti-rabbit IgG

Predicted band size: 153 kDa

true

Western blot - Anti-Rad50 antibody - N-terminal (AB228935)
  • WB

Supplier Data

Western blot - Anti-Rad50 antibody - N-terminal (AB228935)

5% SDS-PAGE

All lanes:

Western blot - Anti-Rad50 antibody - N-terminal (ab228935) at 1/1000 dilution

All lanes:

PC-12 (rat adrenal gland pheochromocytoma cell line) whole cell extracts at 30 µg

Secondary

All lanes:

HRP-conjugated anti-rabbit IgG

Predicted band size: 153 kDa

true

Key facts

宿主種

Rabbit

クローン性

Polyclonal

アイソタイプ

IgG

キャリアフリー

No

交差種

Mouse, Rat, Human

アプリケーション

IP, WB, IHC-P

applications

免疫原

Recombinant Fragment Protein within Human RAD50. The exact immunogen used to generate this antibody is proprietary information.

Q92878

Reactivity data

{ "title": "Reactivity Data", "filters": { "stats": ["", "Species", "Dilution Info", "Notes"], "tabs": { "all-applications": {"fullname" : "All Applications", "shortname": "All Applications"}, "IP" : {"fullname" : "Immunoprecipitation", "shortname":"IP"}, "WB" : {"fullname" : "Western blot", "shortname":"WB"}, "IHCP" : {"fullname" : "Immunohistochemistry (Formalin/PFA-fixed paraffin-embedded sections)", "shortname":"IHC-P"} }, "product-promise": { "all": "all", "testedAndGuaranteed": "tested", "guaranteed": "expected", "predicted": "predicted", "notRecommended": "not-recommended" } }, "values": { "Human": { "IP-species-checked": "testedAndGuaranteed", "IP-species-dilution-info": "1/100 - 1/500", "IP-species-notes": "<p></p>", "WB-species-checked": "testedAndGuaranteed", "WB-species-dilution-info": "1/500 - 1/10000", "WB-species-notes": "<p></p>", "IHCP-species-checked": "testedAndGuaranteed", "IHCP-species-dilution-info": "1/100 - 1/1000", "IHCP-species-notes": "<p></p>" }, "Mouse": { "IP-species-checked": "guaranteed", "IP-species-dilution-info": "", "IP-species-notes": "", "WB-species-checked": "testedAndGuaranteed", "WB-species-dilution-info": "1/500 - 1/10000", "WB-species-notes": "<p></p>", "IHCP-species-checked": "guaranteed", "IHCP-species-dilution-info": "", "IHCP-species-notes": "" }, "Rat": { "IP-species-checked": "guaranteed", "IP-species-dilution-info": "", "IP-species-notes": "", "WB-species-checked": "testedAndGuaranteed", "WB-species-dilution-info": "1/500 - 1/10000", "WB-species-notes": "<p></p>", "IHCP-species-checked": "guaranteed", "IHCP-species-dilution-info": "", "IHCP-species-notes": "" }, "Cow": { "IP-species-checked": "predicted", "IP-species-dilution-info": "", "IP-species-notes": "", "WB-species-checked": "predicted", "WB-species-dilution-info": "", "WB-species-notes": "", "IHCP-species-checked": "predicted", "IHCP-species-dilution-info": "", "IHCP-species-notes": "" }, "Rabbit": { "IP-species-checked": "predicted", "IP-species-dilution-info": "", "IP-species-notes": "", "WB-species-checked": "predicted", "WB-species-dilution-info": "", "WB-species-notes": "", "IHCP-species-checked": "predicted", "IHCP-species-dilution-info": "", "IHCP-species-notes": "" } } }

出荷温度及び保存条件

製品の状態
Liquid
精製方法
Affinity purification Immunogen
バッファー組成
pH: 7 Preservative: 0.01% Thimerosal (merthiolate) Constituents: 20% Glycerol (glycerin, glycerine), 1.21% Tris, 0.75% Glycine
出荷温度
Blue Ice
短期保存期間
1-2 weeks
短期保存温度
+4°C
長期保存温度
-20°C
分注に関する情報
Upon delivery aliquot
保管に関する情報
Avoid freeze / thaw cycle

補足情報

This supplementary information is collated from multiple sources and compiled automatically.

Rad50 is an important component of the MRN complex with its partners MRE11 and NBS1. This protein plays an important role in DNA double-strand break repair and telomere maintenance. Rad50 also known by its molecular weight of approximately 153 kDa possesses ATPase activity that facilitates the bridging of DNA ends during repair processes. It is expressed in a variety of tissues with higher levels observed in rapidly dividing cells such as those found in testes and lymphoid organs.
Biological function summary

Rad50 contributes to genomic stability by participating in non-homologous end joining (NHEJ) and homologous recombination (HR) both of which are DNA repair mechanisms. It is part of the MRN complex a multi-protein assembly that detects DNA breaks and aids in processing and signaling them for repair. This complex acts at the early stages of DNA damage response assisting in the recruitment of other repair enzymes and proteins to the site of DNA lesions.

Pathways

Rad50 is integral to DNA damage response signaling and repair pathways like Ataxia Telangiectasia Mutated (ATM) signaling. The MRN complex activates ATM a kinase that phosphorylates key substrates involved in controlling cell cycle checkpoints and promoting repair of damaged DNA. This relationship positions Rad50 and its complex members as significant participants in maintaining cellular integrity by preventing the accumulation of genetic mutations.

Rad50 mutations have links to cancer development due to their effect on genomic instability. Deficiencies in Rad50 or the MRN complex can impair DNA repair leading to an increased risk for neoplastic transformations. Additionally Rad50 interactions with proteins such as p53 a tumor suppressor underline its potential role in the mechanisms behind cancers like breast and ovarian cancer. These connections highlight the importance of Rad50 in understanding disease progression and developing therapeutic strategies.

製品プロトコール

For this product, it's our understanding that no specific protocols are required. You can visit:

ターゲットの情報

Component of the MRN complex, which plays a central role in double-strand break (DSB) repair, DNA recombination, maintenance of telomere integrity and meiosis (PubMed : 15064416, PubMed : 21757780, PubMed : 27889449, PubMed : 28134932, PubMed : 28867292, PubMed : 9590181, PubMed : 9651580, PubMed : 9705271). The MRN complex is involved in the repair of DNA double-strand breaks (DSBs) via homologous recombination (HR), an error-free mechanism which primarily occurs during S and G2 phases (PubMed : 15064416, PubMed : 21757780, PubMed : 27889449, PubMed : 28867292, PubMed : 9590181, PubMed : 9651580, PubMed : 9705271). The complex (1) mediates the end resection of damaged DNA, which generates proper single-stranded DNA, a key initial steps in HR, and is (2) required for the recruitment of other repair factors and efficient activation of ATM and ATR upon DNA damage (PubMed : 15064416, PubMed : 27889449, PubMed : 28867292, PubMed : 9590181, PubMed : 9651580, PubMed : 9705271). The MRN complex possesses single-strand endonuclease activity and double-strand-specific 3'-5' exonuclease activity, which are provided by MRE11, to initiate end resection, which is required for single-strand invasion and recombination (PubMed : 11741547, PubMed : 9590181, PubMed : 9651580, PubMed : 9705271). Within the complex, RAD50 is both required to bind DNA ends and hold them in close proximity and regulate the activity of MRE11 (PubMed : 11741547, PubMed : 12805565, PubMed : 28134932). RAD50 provides an ATP-dependent control of MRE11 by positioning DNA ends into the MRE11 active site : ATP-binding induces a large structural change from an open form with accessible MRE11 nuclease sites into a closed form (By similarity). The MRN complex is also required for DNA damage signaling via activation of the ATM and ATR kinases : the nuclease activity of MRE11 is not required to activate ATM and ATR (PubMed : 15064416, PubMed : 15790808, PubMed : 16622404). The MRN complex is also required for the processing of R-loops (PubMed : 31537797). In telomeres the MRN complex may modulate t-loop formation (PubMed : 10888888).
See full target information RAD50

文献 (2)

Recent publications for all applications. Explore the full list and refine your search

Nature communications 13:6707 PubMed36344525

2022

SAMHD1 deacetylation by SIRT1 promotes DNA end resection by facilitating DNA binding at double-strand breaks.

Applications

Unspecified application

Species

Unspecified reactive species

Priya Kapoor-Vazirani,Sandip K Rath,Xu Liu,Zhen Shu,Nicole E Bowen,Yitong Chen,Ramona Haji-Seyed-Javadi,Waaqo Daddacha,Elizabeth V Minten,Diana Danelia,Daniela Farchi,Duc M Duong,Nicholas T Seyfried,Xingming Deng,Eric A Ortlund,Baek Kim,David S Yu

Molecular cell 80:699-711.e7 PubMed33091336

2020

Opposing Effects of Cohesin and Transcription on CTCF Organization Revealed by Super-resolution Imaging.

Applications

Unspecified application

Species

Unspecified reactive species

Bo Gu,Colin J Comerci,Dannielle G McCarthy,Saumya Saurabh,W E Moerner,Joanna Wysocka
View all publications

Abcam product promise

当社は、高品質な試薬を通じてお客様の研究を力強くサポートすることをお約束いたします。ご使用いただく各段階で、常にお客様をサポートできる体制を整えております。万が一、製品が期待通りに機能しない場合は、「Abcam Product Promise」による当社保証制度に基づき、安心してご利用いただけます。
保証に関する詳細については利用規約をご確認ください。

Please note: All products are 'FOR RESEARCH USE ONLY. NOT FOR USE IN DIAGNOSTIC OR THERAPEUTIC PROCEDURES'.

For licensing inquiries, please contact partnerships@abcam.com