JavaScript is disabled in your browser. Please enable JavaScript to view this website.
AB109534

Anti-Rab5 抗体 [EPR5438] - Early Endosome Marker

Anti-Rab5 antibody [EPR5438] - Early Endosome Marker

4

(9 Reviews)

|

(16 Publications)

Rabbit Recombinant Monoclonal RAB5A antibody. Early Endosome marker. Suitable for IHC-P, WB and reacts with Rat, Human, Mouse samples. Cited in 16 publications.

別名を表示する

RAB5, RAB5A, Ras-related protein Rab-5A

8 Images
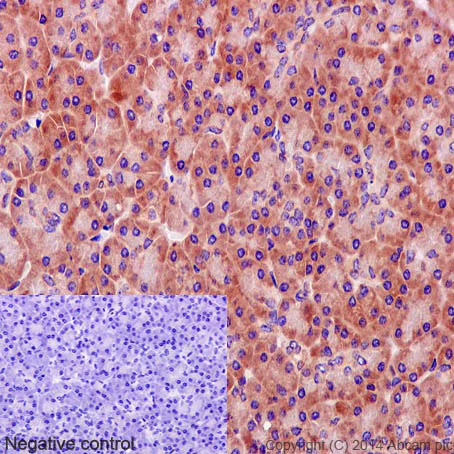
Immunohistochemistry (Formalin/PFA-fixed paraffin-embedded sections) - Anti-Rab5 antibody [EPR5438] - Early Endosome Marker (AB109534)
  • IHC-P

Lab

Immunohistochemistry (Formalin/PFA-fixed paraffin-embedded sections) - Anti-Rab5 antibody [EPR5438] - Early Endosome Marker (AB109534)

Immunohistochemical staining of paraffin embedded human pancreas with purified ab109534 at a working dilution of 1 in 1000. The secondary antibody used is a HRP polymer for rabbit IgG. The sample is counter-stained with hematoxylin. Antigen retrieval was perfomed using Tris-EDTA buffer, pH 9.0. PBS was used instead of the primary antibody as the negative control, and is shown in the inset.

Western blot - Anti-Rab5 antibody [EPR5438] - Early Endosome Marker (AB109534)
  • WB

Unknown

Western blot - Anti-Rab5 antibody [EPR5438] - Early Endosome Marker (AB109534)

All lanes:

Western blot - Anti-Rab5 antibody [EPR5438] - Early Endosome Marker (ab109534) at 1/1000 dilution

Lane 1:

293T cell lysate at 10 µg

Lane 2:

HeLa cell lysate at 10 µg

Lane 3:

Jurkat cell lysate at 10 µg

Predicted band size: 24 kDa

false

Western blot - Anti-Rab5 antibody [EPR5438] - Early Endosome Marker (AB109534)
  • WB

Lab

Western blot - Anti-Rab5 antibody [EPR5438] - Early Endosome Marker (AB109534)

ab109534 was shown to react with RAB5A in wild-type HAP1 cells in Western blot with loss of signal observed in a RAB5A knockout cell line. Wild-type HAP1 and RAB5A knockout cell lysates were subjected to SDS-PAGE. Membranes were blocked in 5% milk in TBST for 1 hr before incubation with ab109534 overnight at 4 °C at a 1000 dilution. Blots were incubated with secondary antibodies at 0.2ug/mL before imaging.

These data were provided by YCharOS Inc., an open science company with the mission of characterizing commercially available antibody reagents for all human proteins. Abcam and YCharOS are working together to help address the reproducibility crisis by enabling the life science community to better evaluate commercially available antibodies.

All lanes:

Western blot - Anti-Rab5 antibody [EPR5438] - Early Endosome Marker (ab109534) at 1/1000 dilution

Lane 1:

Wild-type HAP1 lysate at 20 µg

Lane 2:

RAB5A Knockout HAP1 lysate at 20 µg

Observed band size: 24 kDa

false

Western blot - Anti-Rab5 antibody [EPR5438] - Early Endosome Marker (AB109534)
  • WB

Lab

Western blot - Anti-Rab5 antibody [EPR5438] - Early Endosome Marker (AB109534)

Blocking buffer : 5% NFDM/TBST

Dilution buffer : 5% NFDM/TBST

All lanes:

Western blot - Anti-Rab5 antibody [EPR5438] - Early Endosome Marker (ab109534) at 1/5000 dilution

Lane 1:

Mouse brain at 10 µg

Lane 2:

Rat brain at 10 µg

Secondary

All lanes:

HRP goat anti-rabbit (H+L) at 1/1000 dilution

Predicted band size: 24 kDa

Observed band size: 24 kDa

false

Immunohistochemistry (Formalin/PFA-fixed paraffin-embedded sections) - Anti-Rab5 antibody [EPR5438] - Early Endosome Marker (AB109534)
  • IHC-P

AbReview57502****

Immunohistochemistry (Formalin/PFA-fixed paraffin-embedded sections) - Anti-Rab5 antibody [EPR5438] - Early Endosome Marker (AB109534)

Immunohistochemistry (Formalin/PFA-fixed paraffin-embedded sections) analysis of Pancreas tissue sections (with ADM and PanIN lesions) from KC mice labeling Rab5 with ab109534 at 1/200 dilution. Tissue was fixed with paraformaldehyde and permeabilized with TritonX100 0.1% for 10 min at room temperature. Heat-mediated antigen retrieval was performed using TRIS-EDTA pH9 buffer. Tissue sections were blocked with 10% goat serum for 1 hour at 20°C. A polyclonal goat anti-rabbit Alexa Fluor 488 secondary antibody was used at 1/500 dilution.

This image is courtesy of an anonymous abreview.

Immunohistochemistry (Formalin/PFA-fixed paraffin-embedded sections) - Anti-Rab5 antibody [EPR5438] - Early Endosome Marker (AB109534)
  • IHC-P

Unknown

Immunohistochemistry (Formalin/PFA-fixed paraffin-embedded sections) - Anti-Rab5 antibody [EPR5438] - Early Endosome Marker (AB109534)

Immunohistochemical staining of Rab5 in paraffin embedded human brain tissue with unpurified ab109534, at 1/100 dilution.

Perform heat mediated antigen retrieval via the pressure cooker method before commencing with IHC staining protocol.

Western blot - Anti-Rab5 antibody [EPR5438] - Early Endosome Marker (AB109534)
  • WB

Lab

Western blot - Anti-Rab5 antibody [EPR5438] - Early Endosome Marker (AB109534)

Blocking buffer : 5% NFDM/TBST

Dilution buffer : 5% NFDM/TBST

All lanes:

Western blot - Anti-Rab5 antibody [EPR5438] - Early Endosome Marker (ab109534) at 1/5000 dilution

Lane 1:

MCF7 cell lysate at 10 µg

Lane 2:

HEK293 cell lysate at 10 µg

Secondary

All lanes:

HRP goat anti-rabbit (H+L) at 1/1000 dilution

Predicted band size: 24 kDa

Observed band size: 24 kDa

false

Western blot - Anti-Rab5 antibody [EPR5438] - Early Endosome Marker (AB109534)
  • WB

Lab

Western blot - Anti-Rab5 antibody [EPR5438] - Early Endosome Marker (AB109534)

Lane 1 : Wild type HAP1 whole cell lysate (20 μg)
Lane 2 : Rab5 knockout HAP1 whole cell lysate (20 μg)
Lane 3 : Hu brain whole cell lysate (20 μg)
Lane 4 : Ms brain whole cell lysate (20 μg)
Lanes 1 - 4 : Merged signal (red and green). Green - ab109534 observed at 25 kDa. Red - loading control, ab8245, observed at 37 kDa.

All lanes:

Western blot - Anti-Rab5 antibody [EPR5438] - Early Endosome Marker (ab109534)

Predicted band size: 24 kDa

false

関連する標識済み抗体及び組成の異なる製品 (1)

  • Carrier free

    Anti-Rab5 antibody [EPR5438] - BSA and Azide free

Key facts

宿主種

Rabbit

クローン性

Monoclonal

クローン番号

EPR5438

アイソタイプ

IgG

キャリアフリー

No

交差種

Mouse, Rat, Human

アプリケーション

WB, IHC-P

applications

免疫原

The exact immunogen used to generate this antibody is proprietary information.

Reactivity data

{ "title": "Reactivity Data", "filters": { "stats": ["", "Species", "Dilution Info", "Notes"], "tabs": { "all-applications": {"fullname" : "All Applications", "shortname": "All Applications"}, "IHCP" : {"fullname" : "Immunohistochemistry (Formalin/PFA-fixed paraffin-embedded sections)", "shortname":"IHC-P"}, "IP" : {"fullname" : "Immunoprecipitation", "shortname":"IP"}, "FlowCyt" : {"fullname" : "Flow Cytometry", "shortname":"Flow Cyt"}, "WB" : {"fullname" : "Western blot", "shortname":"WB"}, "ICCIF" : {"fullname" : "Immunocytochemistry/ Immunofluorescence", "shortname":"ICC/IF"} }, "product-promise": { "all": "all", "testedAndGuaranteed": "tested", "guaranteed": "expected", "predicted": "predicted", "notRecommended": "not-recommended" } }, "values": { "Human": { "IHCP-species-checked": "testedAndGuaranteed", "IHCP-species-dilution-info": "1/100 - 1/250", "IHCP-species-notes": "<p></p> Perform heat-mediated antigen retrieval via the pressure cooker method before commencing with IHC staining protocol.", "IP-species-checked": "notRecommended", "IP-species-dilution-info": "", "IP-species-notes": "<p></p>", "FlowCyt-species-checked": "notRecommended", "FlowCyt-species-dilution-info": "", "FlowCyt-species-notes": "<p><a href='/products/primary-antibodies/rabbit-igg-monoclonal-epr25a-isotype-control-ab172730'>ab172730</a> - Rabbit monoclonal IgG, is suitable for use as an isotype control with this antibody.</p>", "WB-species-checked": "testedAndGuaranteed", "WB-species-dilution-info": "1/1000 - 1/10000", "WB-species-notes": "<p></p>", "ICCIF-species-checked": "notRecommended", "ICCIF-species-dilution-info": "", "ICCIF-species-notes": "<p></p>" }, "Mouse": { "IHCP-species-checked": "guaranteed", "IHCP-species-dilution-info": "", "IHCP-species-notes": "", "IP-species-checked": "notRecommended", "IP-species-dilution-info": "", "IP-species-notes": "<p></p>", "FlowCyt-species-checked": "notRecommended", "FlowCyt-species-dilution-info": "", "FlowCyt-species-notes": "<p><a href='/products/primary-antibodies/rabbit-igg-monoclonal-epr25a-isotype-control-ab172730'>ab172730</a> - Rabbit monoclonal IgG, is suitable for use as an isotype control with this antibody.</p>", "WB-species-checked": "testedAndGuaranteed", "WB-species-dilution-info": "1/1000 - 1/10000", "WB-species-notes": "<p></p>", "ICCIF-species-checked": "notRecommended", "ICCIF-species-dilution-info": "", "ICCIF-species-notes": "<p></p>" }, "Rat": { "IHCP-species-checked": "testedAndGuaranteed", "IHCP-species-dilution-info": "1/100 - 1/250", "IHCP-species-notes": "<p></p> Perform heat-mediated antigen retrieval via the pressure cooker method before commencing with IHC staining protocol.", "IP-species-checked": "notRecommended", "IP-species-dilution-info": "", "IP-species-notes": "<p></p>", "FlowCyt-species-checked": "notRecommended", "FlowCyt-species-dilution-info": "", "FlowCyt-species-notes": "<p><a href='/products/primary-antibodies/rabbit-igg-monoclonal-epr25a-isotype-control-ab172730'>ab172730</a> - Rabbit monoclonal IgG, is suitable for use as an isotype control with this antibody.</p>", "WB-species-checked": "testedAndGuaranteed", "WB-species-dilution-info": "1/1000 - 1/10000", "WB-species-notes": "<p></p>", "ICCIF-species-checked": "notRecommended", "ICCIF-species-dilution-info": "", "ICCIF-species-notes": "<p></p>" } } }

製品の詳細

Patented technology
Our RabMAb® technology is a patented hybridoma-based technology for making rabbit monoclonal antibodies. For details on our patents, please refer to RabMAb® patents.

What are the advantages of a recombinant monoclonal antibody?
This product is a recombinant monoclonal antibody, which offers several advantages including:

  • - High batch-to-batch consistency and reproducibility
  • - Improved sensitivity and specificity
  • - Long-term security of supply
  • - Animal-free batch production

For more information, read more on recombinant antibodies.

出荷温度及び保存条件

製品の状態
Liquid
精製方法
Affinity purification Protein A
バッファー組成
pH: 7.2 - 7.4 Preservative: 0.01% Sodium azide Constituents: 59% PBS, 40% Glycerol (glycerin, glycerine), 0.05% BSA
出荷温度
Blue Ice
短期保存温度
+4°C
長期保存温度
-20°C
保管に関する情報
Stable for 12 months at -20°C

補足情報

This supplementary information is collated from multiple sources and compiled automatically.

Rab5 also known as Ras-related protein Rab-5A is a small GTPase of approximately 24 kDa. It is part of the Rab family of proteins and functions as an endosomal marker in cells. Rab5 is ubiquitously expressed but shows enriched expression in tissues with a high rate of endocytosis like the brain and liver. This protein plays a significant role in early endosome fusion and trafficking acting as an essential regulator of vesicular transport processes within the cell.
Biological function summary

Rab5 regulates the early endocytic pathway by mediating vesicle docking and fusion processes. It is not a part of a large complex but interacts with a range of effector proteins that facilitate endosome maturation. Rab5's role as an endosomal marker makes it important for membrane trafficking receptor recycling and signal transduction. Researchers often identify Rab5 in cellular studies using endosome staining techniques or specific antibodies like Drosophila antibodies to visualize its function and distribution.

Pathways

The endocytic network heavily involves Rab5 particularly influencing the endocytosis and endosomal signaling pathways. It frequently interacts with proteins such as EEA1 (Early Endosome Antigen 1) and Rabaptin-5 which are critical for endosomal membrane fusion. This mechanistic involvement ensures the correct transfer and processing of endocytic vesicles facilitating the continual cycle of membrane and receptor turnover in cells.

Rab5 dysfunction associates with neurological conditions such as Alzheimer's disease and cancer. Alterations in Rab5 levels or function can disrupt normal endosomal trafficking leading to amyloid beta peptide accumulation in Alzheimer's. Additionally Rab5's role in cancer relates to its regulation of growth factor receptors where its interaction with proteins like the PE marker influences tumor progression. Understanding Rab5 pathways and interactions paves the way for developing targeted therapeutics in these disorders.

製品プロトコール

For this product, it's our understanding that no specific protocols are required. You can visit:

ターゲットの情報

Small GTPase which cycles between active GTP-bound and inactive GDP-bound states. In its active state, binds to a variety of effector proteins to regulate cellular responses such as of intracellular membrane trafficking, from the formation of transport vesicles to their fusion with membranes. Active GTP-bound form is able to recruit to membranes different sets of downstream effectors directly responsible for vesicle formation, movement, tethering and fusion. RAB5A is required for the fusion of plasma membranes and early endosomes (PubMed : 10818110, PubMed : 14617813, PubMed : 15378032, PubMed : 16410077). Contributes to the regulation of filopodia extension (PubMed : 14978216). Required for the exosomal release of SDCBP, CD63, PDCD6IP and syndecan (PubMed : 22660413). Regulates maturation of apoptotic cell-containing phagosomes, probably downstream of DYN2 and PIK3C3 (By similarity).
See full target information RAB5A

文献 (16)

Recent publications for all applications. Explore the full list and refine your search

Nature materials 22:644-655 PubMed36581770

2022

Tissue fluidification promotes a cGAS-STING cytosolic DNA response in invasive breast cancer.

Applications

Unspecified application

Species

Unspecified reactive species

Emanuela Frittoli,Andrea Palamidessi,Fabio Iannelli,Federica Zanardi,Stefano Villa,Leonardo Barzaghi,Hind Abdo,Valeria Cancila,Galina V Beznoussenko,Giulia Della Chiara,Massimiliano Pagani,Chiara Malinverno,Dipanjan Bhattacharya,Federica Pisati,Weimiao Yu,Viviana Galimberti,Giuseppina Bonizzi,Emanuele Martini,Alexander A Mironov,Ubaldo Gioia,Flora Ascione,Qingsen Li,Kristina Havas,Serena Magni,Zeno Lavagnino,Fabrizio Andrea Pennacchio,Paolo Maiuri,Silvia Caponi,Maurizio Mattarelli,Sabata Martino,Fabrizio d'Adda di Fagagna,Chiara Rossi,Marco Lucioni,Richard Tancredi,Paolo Pedrazzoli,Andrea Vecchione,Cristiano Petrini,Francesco Ferrari,Chiara Lanzuolo,Giovanni Bertalot,Guilherme Nader,Marco Foiani,Matthieu Piel,Roberto Cerbino,Fabio Giavazzi,Claudio Tripodo,Giorgio Scita

Cell reports. Medicine 3:100740 PubMed36099918

2022

A genetically modified minipig model for Alzheimer's disease with SORL1 haploinsufficiency.

Applications

Unspecified application

Species

Unspecified reactive species

Olav M Andersen,Nikolaj Bøgh,Anne M Landau,Gro G Pløen,Anne Mette G Jensen,Giulia Monti,Benedicte P Ulhøi,Jens R Nyengaard,Kirsten R Jacobsen,Margarita M Jørgensen,Ida E Holm,Marianne L Kristensen,Aage Kristian O Alstrup,Esben S S Hansen,Charlotte E Teunissen,Laura Breidenbach,Mathias Droescher,Ying Liu,Hanne S Pedersen,Henrik Callesen,Yonglun Luo,Lars Bolund,David J Brooks,Christoffer Laustsen,Scott A Small,Lars F Mikkelsen,Charlotte B Sørensen

Frontiers in medicine 9:810761 PubMed35592860

2022

Exosome Mediated Cytosolic Cisplatin Delivery Through Clathrin-Independent Endocytosis and Enhanced Anti-cancer Effect Avoiding Endosome Trapping in Cisplatin-Resistant Ovarian Cancer.

Applications

Unspecified application

Species

Unspecified reactive species

Guannan Zhou,Yuanyuan Gu,Zhongyi Zhu,Hongdao Zhang,Wei Liu,Beiying Xu,Fangyue Zhou,Menglei Zhang,Keqin Hua,Ligang Wu,Jingxin Ding

Molecular metabolism 54:101335 PubMed34530175

2021

High fat / high cholesterol diet does not provoke atherosclerosis in the ω3-and ω6-polyunsaturated fatty acid synthesis-inactivated Δ6-fatty acid desaturase-deficient mouse.

Applications

Unspecified application

Species

Unspecified reactive species

Wilhelm Stoffel,Erika Binczek,Inga Schmidt-Soltau,Susanne Brodesser,Ina Wegner

Molecular neurodegeneration 16:45 PubMed34215298

2021

Accumulation of saposin in dystrophic neurites is linked to impaired lysosomal functions in Alzheimer's disease brains.

Applications

Unspecified application

Species

Unspecified reactive species

Md Golam Sharoar,Sarah Palko,Yingying Ge,Takaomi C Saido,Riqiang Yan

Nature immunology 22:312-321 PubMed33510463

2021

IRGM1 links mitochondrial quality control to autoimmunity.

Applications

Unspecified application

Species

Unspecified reactive species

Prashant Rai,Kyathanahalli S Janardhan,Julie Meacham,Jennifer H Madenspacher,Wan-Chi Lin,Peer W F Karmaus,Jennifer Martinez,Quan-Zhen Li,Mei Yan,Jialiu Zeng,Mark W Grinstaff,Orian S Shirihai,Gregory A Taylor,Michael B Fessler

Cell reports 33:108420 PubMed33238112

2020

Endosomal Dysfunction Induced by Directly Overactivating Rab5 Recapitulates Prodromal and Neurodegenerative Features of Alzheimer's Disease.

Applications

Unspecified application

Species

Unspecified reactive species

Anna Pensalfini,Seonil Kim,Shivakumar Subbanna,Cynthia Bleiwas,Chris N Goulbourne,Philip H Stavrides,Ying Jiang,Ju-Hyun Lee,Sandipkumar Darji,Monika Pawlik,Chunfeng Huo,James Peddy,Martin J Berg,John F Smiley,Balapal S Basavarajappa,Ralph A Nixon

The Journal of biological chemistry 295:8005-8016 PubMed32350025

2020

The GTPase Rab27b regulates the release, autophagic clearance, and toxicity of α-synuclein.

Applications

Unspecified application

Species

Unspecified reactive species

Rachel Underwood,Bing Wang,Christine Carico,Robert H Whitaker,William J Placzek,Talene A Yacoubian

Neurobiology of disease 134:104626 PubMed31618685

2019

LRRK2 inhibition prevents endolysosomal deficits seen in human Parkinson's disease.

Applications

Unspecified application

Species

Unspecified reactive species

Emily M Rocha,Briana R De Miranda,Sandra Castro,Robert Drolet,Nathan G Hatcher,Lihang Yao,Sean M Smith,Matthew T Keeney,Roberto Di Maio,Julia Kofler,Teresa G Hastings,J Timothy Greenamyre

Nature materials 18:1252-1263 PubMed31332337

2019

Unjamming overcomes kinetic and proliferation arrest in terminally differentiated cells and promotes collective motility of carcinoma.

Applications

Unspecified application

Species

Unspecified reactive species

Andrea Palamidessi,Chiara Malinverno,Emanuela Frittoli,Salvatore Corallino,Elisa Barbieri,Sara Sigismund,Galina V Beznoussenko,Emanuele Martini,Massimiliano Garre,Ines Ferrara,Claudio Tripodo,Flora Ascione,Elisabetta A Cavalcanti-Adam,Qingsen Li,Pier Paolo Di Fiore,Dario Parazzoli,Fabio Giavazzi,Roberto Cerbino,Giorgio Scita
View all publications

Abcam product promise

当社は、高品質な試薬を通じてお客様の研究を力強くサポートすることをお約束いたします。ご使用いただく各段階で、常にお客様をサポートできる体制を整えております。万が一、製品が期待通りに機能しない場合は、「Abcam Product Promise」による当社保証制度に基づき、安心してご利用いただけます。
保証に関する詳細については利用規約をご確認ください。

関連製品

Select an associated product type
Alternative Product
Primary Antibodies

AB13253

Anti-Rab5 antibody - Early Endosome Marker

primary-antibodies

rab5-antibody-early-endosome-marker-ab13253

3

(3 reviews)

Alternative Product
Primary Antibodies

AB31261

Anti-Rab5 antibody - Drosophila Early Endosome Marker

primary-antibodies

rab5-antibody-drosophila-early-endosome-marker-ab31261

5

(7 reviews)

Alternative Product
Primary Antibodies

AB18211

Anti-Rab5 antibody - Early Endosome Marker

primary-antibodies

rab5-antibody-early-endosome-marker-ab18211

4

(26 reviews)

Alternative Product
Primary Antibodies

AB218624

Anti-Rab5 antibody [EPR21801] - Early Endosome Marker

primary-antibodies

rab5-antibody-epr21801-early-endosome-marker-ab218624

4

(2 reviews)

Alternative Product
Primary Antibodies

AB231095

Anti-Rab5 antibody [EPR21801] - BSA and Azide free

primary-antibodies

rab5-antibody-epr21801-bsa-and-azide-free-ab231095

0

(0 reviews)

Alternative Product
Primary Antibodies

AB66746

Anti-Rab5A antibody [3A4] - Early Endosome Marker

primary-antibodies

rab5a-antibody-3a4-early-endosome-marker-ab66746

4

(1 reviews)

Please note: All products are 'FOR RESEARCH USE ONLY. NOT FOR USE IN DIAGNOSTIC OR THERAPEUTIC PROCEDURES'.

For licensing inquiries, please contact partnerships@abcam.com