JavaScript is disabled in your browser. Please enable JavaScript to view this website.
AB307296

Anti-RAB10 抗体 [MJF-R23] - Mouse IgG2a (Chimeric)

Anti-RAB10 antibody [MJF-R23] - Mouse IgG2a (Chimeric)

Be the first to review this product! Submit a review

|

(0 Publication)

Knockout Tested Mouse Recombinant Monoclonal RAB10 antibody. Suitable for ICC/IF, WB, IP and reacts with Human, Mouse, Rat samples.

別名を表示する

Ras-related protein Rab-10, RAB10

6 Images
Immunocytochemistry/ Immunofluorescence - Anti-RAB10 antibody [MJF-R23] - Mouse IgG2a (Chimeric) (AB307296)
  • ICC/IF

Lab

Immunocytochemistry/ Immunofluorescence - Anti-RAB10 antibody [MJF-R23] - Mouse IgG2a (Chimeric) (AB307296)

Immunofluorescent analysis of 4% Paraformaldehyde fixed, 0.1% Saponin/PBS permeabilized wild-type A549 cells and RAB10 KO A549 (RAB10 knockout human lung carcinoma epithelial cell) (ab261868) labelling RAB10 with ab307296 at 1/25000 (0.04 ug/ml) dilution, followed by ab150117 Goat Anti-Mouse IgG H&L (Alexa Fluor® 488) preadsorbed antibody at 1/1000 (2ug/ml) dilution (Green). ab202272 Recombinant Alexa Fluor® 594 Tubulin [EP1332Y] was used to counterstain tubulin at 1/200 (2.5ug/ml) dilution (Red). The Nuclear counterstain was DAPI (Blue). Confocal image showing cytoplasmic staining in wild-type A549 cell line, and no staining in RAB10 KO A549 cell line. Images were acquired on the Perkin Elmer® Operetta HCA and a maximum intensity projection of 7 confocal planes is shown for the representative images.

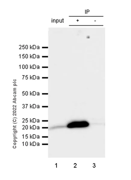
Immunoprecipitation - Anti-RAB10 antibody [MJF-R23] - Mouse IgG2a (Chimeric) (AB307296)
  • IP

Supplier Data

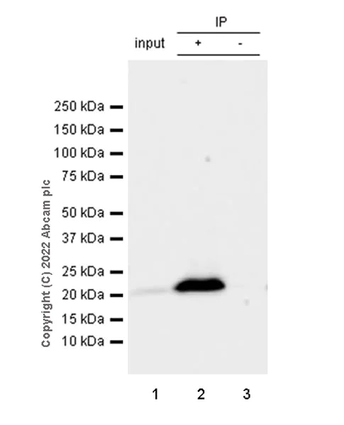
Immunoprecipitation - Anti-RAB10 antibody [MJF-R23] - Mouse IgG2a (Chimeric) (AB307296)

RAB10 was immunoprecipitated from 0.35 mg A549 (human lung carcinoma epithelial cell) whole cell lysate 10 ug with ab307296 at 1/30 dilution (2ug in 0.35mg lysates). Western blot was performed on the immunoprecipitate using ab307296 at 1/1000 dilution. Mouse IgG for IP (HRP) (ab131368) was used at 1/5000 dilution. Lane 1 : A549 (human lung carcinoma epithelial cell) whole cell lysate Lane 2 : ab307296 IP in A549 (human lung carcinoma epithelial cell) whole cell lysate Lane 3 : Mouse IgG2a Isotype control (ab18413) instead of ab307296 in A549 whole cell lysate Blocking and dilution buffer and concentration : 5% NFDM/TBST. Exposure time : 15 seconds.

All lanes:

Immunoprecipitation - Anti-RAB10 antibody [MJF-R23] - Mouse IgG2a (Chimeric) (ab307296) at 1/30 dilution

All lanes:

A549 (human lung carcinoma epithelial cell) whole cell lysate

Secondary

All lanes:

Immunoprecipitation - Anti-mouse IgG for IP (HRP) (<a href='/products/secondary-antibodies/mouse-igg-for-ip-hrp-ab131368'>ab131368</a>) at 1/5000 dilution

false

Exposure time: 15s

Immunoprecipitation - Anti-RAB10 antibody [MJF-R23] - Mouse IgG2a (Chimeric) (AB307296)
  • IP

Supplier Data

Immunoprecipitation - Anti-RAB10 antibody [MJF-R23] - Mouse IgG2a (Chimeric) (AB307296)

RAB10 was immunoprecipitated from 0.35 mg NIH/3T3 (mouse embryonic fibroblast) whole cell lysate 10 ug with ab307296 at 1/30 dilution (2ug in 0.35mg lysates). Western blot was performed on the immunoprecipitate using ab307296 at 1/1000 dilution. Mouse IgG for IP (HRP) (ab131368) was used at 1/5000 dilution. Lane 1 : NIH/3T3 (mouse embryonic fibroblast) whole cell lysate Lane 2 : ab307296 IP in NIH/3T3 (mouse embryonic fibroblast) whole cell lysate Lane 3 : Mouse IgG2a Isotype control (ab18413) instead of ab307296 in NIH/3T3 whole cell lysate Blocking and dilution buffer and concentration : 5% NFDM/TBST. Exposure time : 15 seconds.

All lanes:

Immunoprecipitation - Anti-RAB10 antibody [MJF-R23] - Mouse IgG2a (Chimeric) (ab307296) at 1/30 dilution

All lanes:

NIH/3T3 (mouse embryonic fibroblast) whole cell lysate

Secondary

All lanes:

Immunoprecipitation - Anti-mouse IgG for IP (HRP) (<a href='/products/secondary-antibodies/mouse-igg-for-ip-hrp-ab131368'>ab131368</a>) at 1/5000 dilution

false

Exposure time: 15s

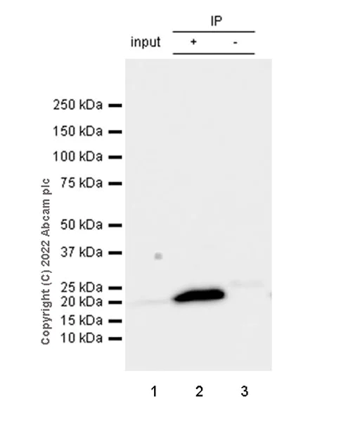
Immunoprecipitation - Anti-RAB10 antibody [MJF-R23] - Mouse IgG2a (Chimeric) (AB307296)
  • IP

Supplier Data

Immunoprecipitation - Anti-RAB10 antibody [MJF-R23] - Mouse IgG2a (Chimeric) (AB307296)

RAB10 was immunoprecipitated from 0.35 mg C6 (rat glial tumor glial cell) whole cell lysate 10 ug with ab307296 at 1/30 dilution (2ug in 0.35mg lysates). Western blot was performed on the immunoprecipitate using ab307296 at 1/1000 dilution. Mouse IgG for IP (HRP) (ab131368) was used at 1/5000 dilution. Lane 1 : C6 (rat glial tumor glial cell) whole cell lysate Lane 2 : ab307296 IP in C6 (rat glial tumor glial cell) whole cell lysate Lane 3 : Mouse IgG2a Isotype control (ab18413) instead of ab307296 in C6 whole cell lysate Blocking and dilution buffer and concentration : 5% NFDM/TBST. Exposure time : 15 seconds.

All lanes:

Immunoprecipitation - Anti-RAB10 antibody [MJF-R23] - Mouse IgG2a (Chimeric) (ab307296) at 1/30 dilution

All lanes:

C6 (rat glial tumor glial cell) whole cell lysate

Secondary

All lanes:

Immunoprecipitation - Anti-mouse IgG for IP (HRP) (<a href='/products/secondary-antibodies/mouse-igg-for-ip-hrp-ab131368'>ab131368</a>) at 1/5000 dilution

false

Exposure time: 15s

Western blot - Anti-RAB10 antibody [MJF-R23] - Mouse IgG2a (Chimeric) (AB307296)
  • WB

Supplier Data

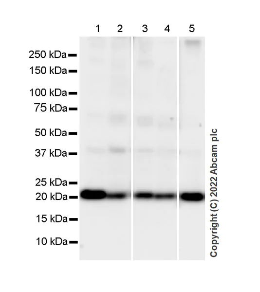
Western blot - Anti-RAB10 antibody [MJF-R23] - Mouse IgG2a (Chimeric) (AB307296)

Blocking and diluting buffer and concentration : 5% NFDM/TBST Exposure time : 15 seconds

All lanes:

Western blot - Anti-RAB10 antibody [MJF-R23] - Mouse IgG2a (Chimeric) (ab307296) at 1/1000 dilution

Lane 1:

A549 (human lung carcinoma epithelial cell) whole cell lysate at 20 µg

Lane 2:

HeLa (human epithelial cell line from cervix adenocarcinoma) whole cell lysate at 20 µg

Lane 3:

HCT116 (human colorectal carcinoma epithelial cell) whole cell lysate at 20 µg

Lane 4:

NIH/3T3 (mouse embryonic fibroblast) whole cell lysate at 20 µg

Lane 5:

C6 (rat glial tumor glial cell) whole cell lysate at 20 µg

Secondary

All lanes:

Western blot - Goat Anti-Mouse IgG Fc (HRP) preadsorbed (<a href='/products/secondary-antibodies/goat-mouse-igg-fc-hrp-preadsorbed-ab98717'>ab98717</a>) at 1/20000 dilution

Observed band size: 22 kDa

false

Exposure time: 15s

Western blot - Anti-RAB10 antibody [MJF-R23] - Mouse IgG2a (Chimeric) (AB307296)
  • WB

Supplier Data

Western blot - Anti-RAB10 antibody [MJF-R23] - Mouse IgG2a (Chimeric) (AB307296)

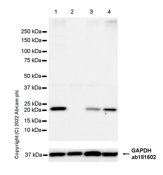
Blocking and diluting buffer and concentration : 5% NFDM/TBST In Western blot, ab307296 was shown to bind specifically to RAB10. A band was observed at 22 kDa in wild-type A549 cell lysates with whereas no signal observed at this size in RAB10 knockout cell line. In Western blot, anti-GAPDH antibody (ab181602) loading control staining at 1/200000 dilution. Exposure time : 10 seconds

All lanes:

Western blot - Anti-RAB10 antibody [MJF-R23] - Mouse IgG2a (Chimeric) (ab307296) at 1/1000 dilution

Lane 1:

Wild-type A549 (human lung carcinoma epithelial cell) whole cell lysate at 20 µg

Lane 2:

RAB10 knockout A549 whole cell lysate at 20 µg

Lane 3:

HeLa (human cervix adenocarcinoma epithelial cell) whole cell lysate at 20 µg

Lane 4:

MCF7 (human breast adenocarcinoma epithelial cell) whole cell lysate at 20 µg

Secondary

All lanes:

Western blot - Goat Anti-Mouse IgG Fc (HRP) preadsorbed (<a href='/products/secondary-antibodies/goat-mouse-igg-fc-hrp-preadsorbed-ab98717'>ab98717</a>) at 1/20000 dilution

Observed band size: 22 kDa

false

Exposure time: 10s

Key facts

宿主種

Mouse

クローン性

Monoclonal

クローン番号

MJF-R23

アイソタイプ

IgG2a

キャリアフリー

No

交差種

Human, Mouse, Rat

アプリケーション

IP, WB, ICC/IF

applications

免疫原

The exact immunogen used to generate this antibody is proprietary information.

Reactivity data

{ "title": "Reactivity Data", "filters": { "stats": ["", "Species", "Dilution Info", "Notes"], "tabs": { "all-applications": {"fullname" : "All Applications", "shortname": "All Applications"}, "ICCIF" : {"fullname" : "Immunocytochemistry/ Immunofluorescence", "shortname":"ICC/IF"}, "WB" : {"fullname" : "Western blot", "shortname":"WB"}, "IP" : {"fullname" : "Immunoprecipitation", "shortname":"IP"} }, "product-promise": { "all": "all", "testedAndGuaranteed": "tested", "guaranteed": "expected", "predicted": "predicted", "notRecommended": "not-recommended" } }, "values": { "Human": { "ICCIF-species-checked": "testedAndGuaranteed", "ICCIF-species-dilution-info": "", "ICCIF-species-notes": "<p></p>", "WB-species-checked": "testedAndGuaranteed", "WB-species-dilution-info": "1/1000", "WB-species-notes": "<p></p>", "IP-species-checked": "testedAndGuaranteed", "IP-species-dilution-info": "1/30", "IP-species-notes": "<p></p>" }, "Mouse": { "ICCIF-species-checked": "notRecommended", "ICCIF-species-dilution-info": "", "ICCIF-species-notes": "<p></p>", "WB-species-checked": "testedAndGuaranteed", "WB-species-dilution-info": "1/1000", "WB-species-notes": "<p></p>", "IP-species-checked": "testedAndGuaranteed", "IP-species-dilution-info": "1/30", "IP-species-notes": "<p></p>" }, "Rat": { "ICCIF-species-checked": "notRecommended", "ICCIF-species-dilution-info": "", "ICCIF-species-notes": "<p></p>", "WB-species-checked": "testedAndGuaranteed", "WB-species-dilution-info": "1/1000", "WB-species-notes": "<p></p>", "IP-species-checked": "testedAndGuaranteed", "IP-species-dilution-info": "1/30", "IP-species-notes": "<p></p>" } } }

製品の詳細

This mouse antibody has been engineered from a RabMAb parent antibody (ab237703). By necessity, some rabbit sequence is retained as part of the variable domain. When multiplexing with other rabbit-derived antibodies, using cross absorbed Fc-reactive secondary antibodies are recommended.

What are the advantages of a recombinant monoclonal antibody?
This product is a recombinant monoclonal antibody, which offers several advantages including:

  • - High batch-to-batch consistency and reproducibility
  • - Improved sensitivity and specificity
  • - Long-term security of supply
  • - Animal-free batch production

For more information, read more on recombinant antibodies.

Collaborations
This antibody was developed with support from The Michael J. Fox Foundation.

Want a custom formulation?
This antibody clone is manufactured by Abcam. If you require a custom buffer formulation or conjugation for your experiments, please contact orders@abcam.com

出荷温度及び保存条件

製品の状態
Liquid
バッファー組成
pH: 7.2 - 7.4 Preservative: 0.01% Sodium azide Constituents: PBS, 40% Glycerol (glycerin, glycerine), 0.05% BSA
出荷温度
Blue Ice
短期保存期間
1-2 weeks
短期保存温度
+4°C
長期保存温度
-20°C
分注に関する情報
Upon delivery aliquot
保管に関する情報
Avoid freeze / thaw cycle

補足情報

This supplementary information is collated from multiple sources and compiled automatically.

RAB10 also known as RAB10 member RAS oncogene family is a small GTPase belonging to the RAB protein family. It has a molecular weight of approximately 24 kDa. RAB10 is ubiquitously expressed with higher levels observed in brain liver and lung tissues. It cycles between an active GTP-bound state and an inactive GDP-bound state regulating various membrane trafficking events within the cell. Its role extends to modulating the transport of proteins from the Golgi apparatus to the plasma membrane therefore influencing cellular logistics and function.
Biological function summary

RAB10 participates in vesicular trafficking and transport processes. It is part of the endosomal and exocytic complexes contributing to the sorting and delivery of cellular cargo. RAB10's activity affects the delivery of glucose transporter type 4 (GLUT4) to the plasma membrane impacting glucose uptake and metabolism. It also plays a critical role in the polarized transport of cargo in neuronal cells influencing neuronal signaling and function.

Pathways

RAB10 integrates into the insulin signaling and polarized epithelial cell transport pathways. Within these RAB10 cooperates with proteins like GLUT4 and the TBC1D4 a RAB GAP protein essential for GLUT4 vesicle translocation. These interactions ensure efficient response and coordination of cellular trafficking required for metabolic regulation and cellular growth processes.

RAB10 shows connections to metabolic disorders and neurodegenerative diseases. Its role in glucose transporter trafficking links it to type 2 diabetes as improper GLUT4 trafficking disrupts glucose homeostasis. In the realm of neurodegenerative diseases proteins involved in neuronal transport and function such as APP and Tau may be influenced by RAB10-mediated pathways impacting diseases like Alzheimer's disease. The ability of RAB10 to interact with numerous cellular partners places it as a significant contributor to cellular dysfunction observed in these conditions.

製品プロトコール

For this product, it's our understanding that no specific protocols are required. You can visit:

ターゲットの情報

The small GTPases Rab are key regulators of intracellular membrane trafficking, from the formation of transport vesicles to their fusion with membranes (PubMed : 21248164). Rabs cycle between an inactive GDP-bound form and an active GTP-bound form that is able to recruit to membranes different set of downstream effectors directly responsible for vesicle formation, movement, tethering and fusion (PubMed : 21248164). RAB10 is mainly involved in the biosynthetic transport of proteins from the Golgi to the plasma membrane (PubMed : 21248164). Regulates, for instance, SLC2A4/GLUT4 glucose transporter-enriched vesicles delivery to the plasma membrane (By similarity). In parallel, RAB10 regulates the transport of TLR4, a toll-like receptor to the plasma membrane and therefore may be important for innate immune response (By similarity). Also plays a specific role in asymmetric protein transport to the plasma membrane (PubMed : 16641372). In neurons, involved in axonogenesis through regulation of vesicular membrane trafficking toward the axonal plasma membrane (By similarity). In epithelial cells, regulates transport from the Golgi to the basolateral membrane (PubMed : 16641372). May play a role in the basolateral recycling pathway and in phagosome maturation (By similarity). May play a role in endoplasmic reticulum dynamics and morphology controlling tubulation along microtubules and tubules fusion (PubMed : 23263280). Together with LRRK2, RAB8A, and RILPL1, regulates ciliogenesis (PubMed : 30398148). When phosphorylated by LRRK2 on Thr-73, binds RILPL1 and inhibits ciliogenesis (PubMed : 30398148). Participates in the export of a subset of neosynthesized proteins through a Rab8-Rab10-Rab11-dependent endososomal export route (PubMed : 32344433). Targeted to and stabilized on stressed lysosomes through LRRK2 phosphorylation where it promotes the extracellular release of lysosomal content through EHBP1 and EHNP1L1 effector proteins (PubMed : 30209220).. (Microbial infection) Upon Legionella pneumophila infection promotes endoplasmic reticulum recruitment and bacterial replication. Plays a role in remodeling the Legionella-containing vacuole (LCV) into an endoplasmic reticulum-like vacuole.
See full target information RAB10

Abcam product promise

当社は、高品質な試薬を通じてお客様の研究を力強くサポートすることをお約束いたします。ご使用いただく各段階で、常にお客様をサポートできる体制を整えております。万が一、製品が期待通りに機能しない場合は、「Abcam Product Promise」による当社保証制度に基づき、安心してご利用いただけます。
保証に関する詳細については利用規約をご確認ください。

Please note: All products are 'FOR RESEARCH USE ONLY. NOT FOR USE IN DIAGNOSTIC OR THERAPEUTIC PROCEDURES'.

For licensing inquiries, please contact partnerships@abcam.com