JavaScript is disabled in your browser. Please enable JavaScript to view this website.
AB271094

Anti-Rab 6A + Rab 6D + Ral-A 抗体 [EPR24472-24]

Anti-Rab 6A + Rab 6D + Ral-A antibody [EPR24472-24]

  • BOND RX™ Validated
  • 20ul selling size
  • RabMAb
  • Recombinant
  • 詳細を見る

5

(1 Review)

|

(1 Publication)

Rabbit Recombinant Monoclonal RAB6A antibody. Suitable for WB, ICC/IF, IP, Flow Cyt (Intra), IHC-P and reacts with Transfected cell lysate - Human, Mouse, Rat, Human samples. Cited in 1 publication.

別名を表示する

RAB6, RAB6A, Ras-related protein Rab-6A, Rab-6

17 Images
Immunocytochemistry/ Immunofluorescence - Anti-Rab 6A + Rab 6D + Ral-A antibody [EPR24472-24] (AB271094)
  • ICC/IF

Supplier Data

Immunocytochemistry/ Immunofluorescence - Anti-Rab 6A + Rab 6D + Ral-A antibody [EPR24472-24] (AB271094)

Immunofluorescent analysis of 100% methanol-fixed, 0.1% TritonX-100 permeabilized A549 cells labelling Rab 6A + Rab 6D + Ral-A with ab271094 at 1/50 (11.84 ug/ml) dilution, followed by ab150077 Goat Anti-Rabbit IgG H&L (Alexa Fluor® 488) antibody at 1/1000 dilution (Green). Confocal image showing golgi staining in A549 cell line. ab169276 Anti-GM130 mouse polyclonal antibody - cis-Golgi Marker was used to counterstain the GM-130 at 1/200 dilution (Red). The Nuclear counterstain was DAPI (Blue).

Secondary antibody only control : Secondary antibody is ab150077 Goat Anti-Rabbit IgG H&L (Alexa Fluor® 488) at 1/1000 dilution.

Multiplex immunohistochemistry - Anti-Rab 6A + Rab 6D + Ral-A antibody [EPR24472-24] (AB271094)
  • mIHC

Supplier Data

Multiplex immunohistochemistry - Anti-Rab 6A + Rab 6D + Ral-A antibody [EPR24472-24] (AB271094)

Multiplex immunohistochemistry analysis of formalin/PFA-fixed paraffin-embedded human stomach tissue staining FUT8 with ab322558 at a 1 : 500 (1.026 ug/ml) dilution, ab271094 anti-Rab 6A + Rab 6D + Ral-A used at 1 : 2000 (0.296 ug/ml) dilution.

Panel A : merged staining of anti-FUT8 (green; Opal™520) and anti-Rab 6A + Rab 6D + Ral-A (magenta; Opal™570) on human stomach.
Panel B : anti-GUT8 showed granular staining in human stomach.
Panel C : ant-Rab 6A + Rab 6D + Ral-A showed granular staining in human stomach.
Panel D : Nuclear DNA was labeled with DAPI (shown in blue).

The section was incubated in three rounds of staining : in the order of ab322558 and ab271094 for 30 mins at room temperature. Each round was followed by a separate fluorescent tyramide signal amplification system.

Nuclear counter stain with DAPI.

Heat mediated antigen retrieval with Tris-EDTA buffer (pH 9.0, epitope retrieval solution2) for 20 mins.

Flow Cytometry (Intracellular) - Anti-Rab 6A + Rab 6D + Ral-A antibody [EPR24472-24] (AB271094)
  • Flow Cyt (Intra)

Supplier Data

Flow Cytometry (Intracellular) - Anti-Rab 6A + Rab 6D + Ral-A antibody [EPR24472-24] (AB271094)

Flow cytometric analysis of 4% paraformaldehyde-fixed, 90% methanol-permeabilized A549 (Human lung carcinoma epithelial cell) cells labelling Rab 6A + Rab 6D + Ral-A with ab271094 at 1/50 dilution (1ug) (Red) compared with a Rabbit monoclonal IgG (ab172730) (Black) isotype control and an unlabelled control (cells without incubation with primary antibody and secondary antibody) (Blue). A Goat anti rabbit IgG (Alexa Fluor® 488, ab150077) at 1/2000 dilution was used as the secondary antibody.

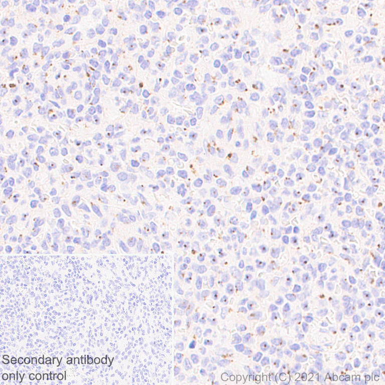
Immunohistochemistry (Formalin/PFA-fixed paraffin-embedded sections) - Anti-Rab 6A + Rab 6D + Ral-A antibody [EPR24472-24] (AB271094)
  • IHC-P

Supplier Data

Immunohistochemistry (Formalin/PFA-fixed paraffin-embedded sections) - Anti-Rab 6A + Rab 6D + Ral-A antibody [EPR24472-24] (AB271094)

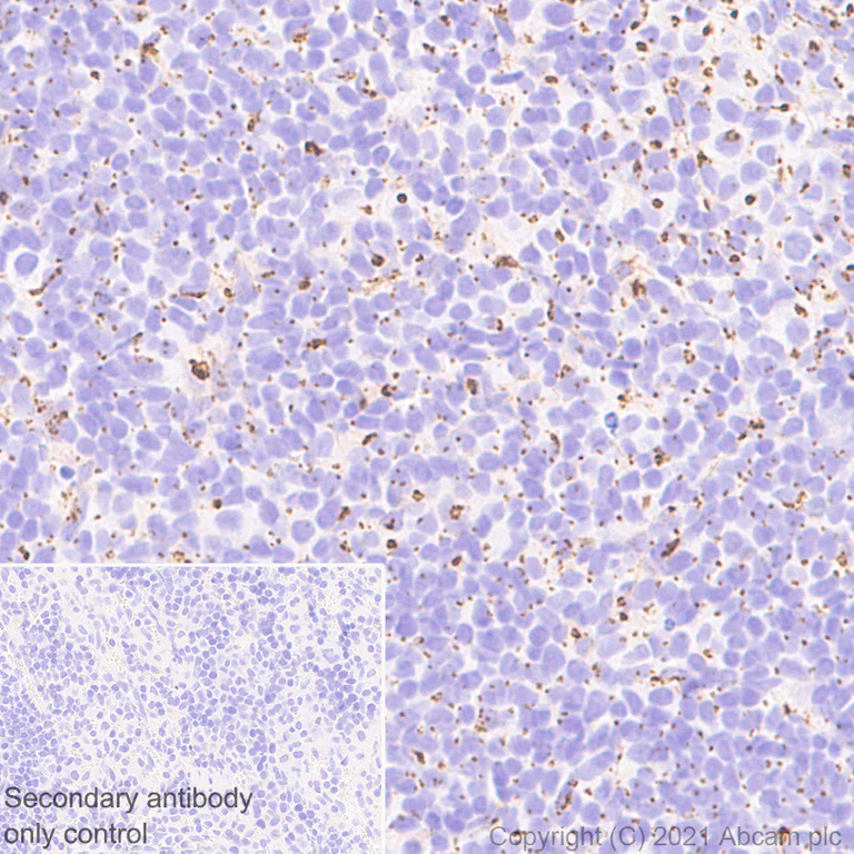
Immunohistochemical analysis of paraffin-embedded Human spleen tissue labelling Rab 6A + Rab 6D + Ral-A with ab271094 at 1/2000 (0.296 ug/ml) dilution followed by a ready to use LeicaDS9800 (Bond™ Polymer Refine Detection). Granular cytoplasmic staining on human spleen. The section was incubated with ab271094 for 30 mins at room temperature. The immunostaining was performed on a Leica Biosystems BOND® RX instrument. Counterstained with Hematoxylin.

Secondary antibody only control : Secondary antibody is a ready to use LeicaDS9800 (Bond™ Polymer Refine Detection).

Heat mediated antigen retrieval with Tris-EDTA buffer (pH 9.0, epitope retrieval solution2) for 20 mins.

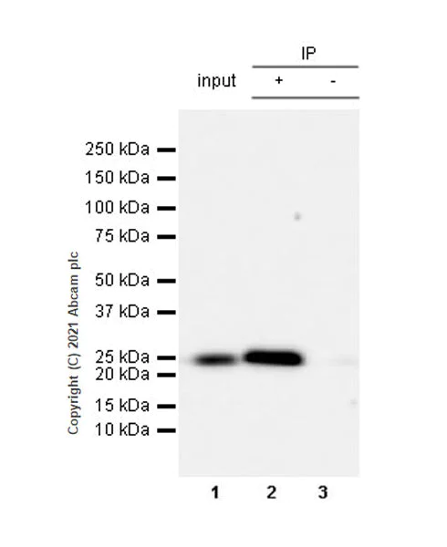
Immunoprecipitation - Anti-Rab 6A + Rab 6D + Ral-A antibody [EPR24472-24] (AB271094)
  • IP

Supplier Data

Immunoprecipitation - Anti-Rab 6A + Rab 6D + Ral-A antibody [EPR24472-24] (AB271094)

Rab 6A was immunoprecipitated from 0.35 mg A549 (human lung carcinoma epithelial cell) whole cell lysate with ab271094 at 1/30 dilution (2ug in 0.35mg lysates). Western blot was performed on the immunoprecipitate using ab271094 at 1/1000 dilution. VeriBlot for IP Detection Reagent (HRP)(ab131366) was used at 1/5000 dilution.

Lane 1 : A549 (human lung carcinoma epithelial cell) whole cell lysate 10 ug

Lane 2 : ab271094 IP in A549 whole cell lysate

Lane 3 : Rabbit monoclonal IgG (ab172730) instead of ab271094 in A549 whole cell lysate

Blocking and dilution buffer and concentration : 5% NFDM/TBST.

Exposure time : 10 seconds.

All lanes:

Immunoprecipitation - Anti-Rab 6A + Rab 6D + Ral-A antibody [EPR24472-24] (ab271094)

Predicted band size: 24 kDa

Observed band size: 24 kDa

false

Flow Cytometry (Intracellular) - Anti-Rab 6A + Rab 6D + Ral-A antibody [EPR24472-24] (AB271094)
  • Flow Cyt (Intra)

Supplier Data

Flow Cytometry (Intracellular) - Anti-Rab 6A + Rab 6D + Ral-A antibody [EPR24472-24] (AB271094)

Flow cytometric analysis of 4% paraformaldehyde fixed 90% methanol permeabilized Neuro-2a (Mouse neuroblastoma neuroblast) cells labelling Rab 6A + Rab 6D + Ral-A with ab271094 at 1/50 dilution (1ug) (Red) compared with a Rabbit monoclonal IgG (ab172730) (Black) isotype control and an unlabelled control (cells without incubation with primary antibody and secondary antibody) (Blue). A Goat anti rabbit IgG (Alexa Fluor® 488, ab150077) at 1/2000 dilution was used as the secondary antibody.

Multiplex immunohistochemistry - Anti-Rab 6A + Rab 6D + Ral-A antibody [EPR24472-24] (AB271094)
  • mIHC

Supplier Data

Multiplex immunohistochemistry - Anti-Rab 6A + Rab 6D + Ral-A antibody [EPR24472-24] (AB271094)

Multiplex immunohistochemistry analysis of formalin/PFA-fixed paraffin-embedded mouse colon tissue staining FUT8 with ab322558 at a 1 : 500 (1.026 ug/ml) dilution, ab271094 anti-Rab 6A + Rab 6D + Ral-A used at 1 : 2000 (0.296 ug/ml) dilution.

Panel A : merged staining of anti-FUT8 (green; Opal™520) and anti-Rab 6A + Rab 6D + Ral-A (magenta; Opal™570) on mouse colon.
Panel B : anti-GUT8 showed granular staining in mouse colon.
Panel C : ant-Rab 6A + Rab 6D + Ral-A showed granular staining in mouse colon.
Panel D : Nuclear DNA was labeled with DAPI (shown in blue).

The section was incubated in three rounds of staining : in the order of ab322558 and ab271094 for 30 mins at room temperature. Each round was followed by a separate fluorescent tyramide signal amplification system.

Nuclear counter stain with DAPI.

Heat mediated antigen retrieval with Tris-EDTA buffer (pH 9.0, epitope retrieval solution2) for 20 mins.

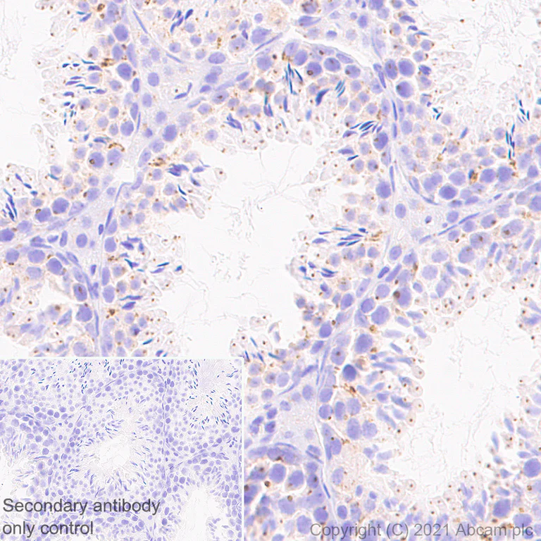
Immunohistochemistry (Formalin/PFA-fixed paraffin-embedded sections) - Anti-Rab 6A + Rab 6D + Ral-A antibody [EPR24472-24] (AB271094)
  • IHC-P

Supplier Data

Immunohistochemistry (Formalin/PFA-fixed paraffin-embedded sections) - Anti-Rab 6A + Rab 6D + Ral-A antibody [EPR24472-24] (AB271094)

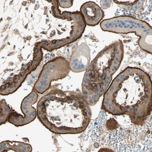
Immunohistochemical analysis of paraffin-embedded Mouse testis tissue labelling Rab 6A + Rab 6D + Ral-A with ab271094 at 1/2000 (0.296 ug/ml) dilution followed by a ready to use LeicaDS9800 (Bond™ Polymer Refine Detection). Granular cytoplasmic staining on mouse testis. The section was incubated with ab271094 for 30 mins at room temperature. The immunostaining was performed on a Leica Biosystems BOND® RX instrument. Counterstained with Hematoxylin.

Secondary antibody only control : Secondary antibody is a ready to use LeicaDS9800 (Bond™ Polymer Refine Detection).

Heat mediated antigen retrieval with Tris-EDTA buffer (pH 9.0, epitope retrieval solution2) for 20 mins.

Multiplex immunohistochemistry - Anti-Rab 6A + Rab 6D + Ral-A antibody [EPR24472-24] (AB271094)
  • mIHC

Supplier Data

Multiplex immunohistochemistry - Anti-Rab 6A + Rab 6D + Ral-A antibody [EPR24472-24] (AB271094)

Multiplex immunohistochemistry analysis of formalin/PFA-fixed paraffin-embedded rat colon tissue staining FUT8 with ab322558 at a 1 : 500 (1.026 ug/ml) dilution, ab271094 anti-Rab 6A + Rab 6D + Ral-A used at 1 : 2000 (0.296 ug/ml) dilution.

Panel A : merged staining of anti-FUT8 (green; Opal™520) and anti-Rab 6A + Rab 6D + Ral-A (magenta; Opal™570) on rat colon.
Panel B : anti-GUT8 showed granular staining in rat colon.
Panel C : ant-Rab 6A + Rab 6D + Ral-A showed granular staining in rat colon.
Panel D : Nuclear DNA was labeled with DAPI (shown in blue).

The section was incubated in three rounds of staining : in the order of ab322558 and ab271094 for 30 mins at room temperature. Each round was followed by a separate fluorescent tyramide signal amplification system.

Nuclear counter stain with DAPI.

Heat mediated antigen retrieval with Tris-EDTA buffer (pH 9.0, epitope retrieval solution2) for 20 mins.

Immunocytochemistry/ Immunofluorescence - Anti-Rab 6A + Rab 6D + Ral-A antibody [EPR24472-24] (AB271094)
  • ICC/IF

Supplier Data

Immunocytochemistry/ Immunofluorescence - Anti-Rab 6A + Rab 6D + Ral-A antibody [EPR24472-24] (AB271094)

Immunofluorescent analysis of 100% methanol-fixed, 0.1% Triton X-100 permeabilized Neuro-2a cells labelling Rab 6A + Rab 6D + Ral-A with ab271094 at 1/50 (11.84 ug/ml) dilution, followed by ab150077 Goat Anti-Rabbit IgG H&L (Alexa Fluor® 488) antibody at 1/1000 dilution (Green). Confocal image showing golgi staining in Neuro-2a cell line. ab169276 Anti-GM130 mouse polyclonal antibody - cis-Golgi Marker was used to counterstain GM130 at 1/200 dilution (Red). The Nuclear counterstain was DAPI (Blue).

Secondary antibody only control : Secondary antibody is ab150077 Goat Anti-Rabbit IgG H&L (Alexa Fluor® 488) at 1/1000 dilution.

Immunohistochemistry (Formalin/PFA-fixed paraffin-embedded sections) - Anti-Rab 6A + Rab 6D + Ral-A antibody [EPR24472-24] (AB271094)
  • IHC-P

Supplier Data

Immunohistochemistry (Formalin/PFA-fixed paraffin-embedded sections) - Anti-Rab 6A + Rab 6D + Ral-A antibody [EPR24472-24] (AB271094)

Immunohistochemical analysis of paraffin-embedded Rat spleen tissue labelling Rab 6A + Rab 6D + Ral-A with ab271094 at 1/2000 (0.296 ug/ml) dilution followed by a ready to use LeicaDS9800 (Bond™ Polymer Refine Detection). Granular cytoplasmic staining on rat spleen. The section was incubated with ab271094 for 30 mins at room temperature. The immunostaining was performed on a Leica Biosystems BOND® RX instrument .Counterstained with Hematoxylin.

Secondary antibody only control : Secondary antibody is a ready to use LeicaDS9800 (Bond™ Polymer Refine Detection).

Heat mediated antigen retrieval with Tris-EDTA buffer (pH 9.0, epitope retrieval solution2) for 20 mins.

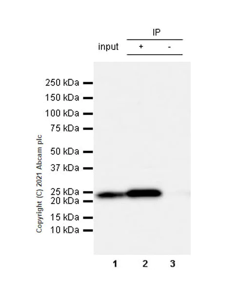
Immunoprecipitation - Anti-Rab 6A + Rab 6D + Ral-A antibody [EPR24472-24] (AB271094)
  • IP

Supplier Data

Immunoprecipitation - Anti-Rab 6A + Rab 6D + Ral-A antibody [EPR24472-24] (AB271094)

Rab 6A was immunoprecipitated from 0.35 mg Neuro-2a (mouse neuroblastoma neuroblast) whole cell lysate with ab271094 at 1/30 dilution (2ug in 0.35mg lysates). Western blot was performed on the immunoprecipitate using ab271094 at 1/1000 dilution. VeriBlot for IP Detection Reagent (HRP)(ab131366) was used at 1/5000 dilution.

Lane 1 : Neuro-2a (mouse neuroblastoma neuroblast) whole cell lysate 10 ug

Lane 2 : ab271094 IP in Neuro-2a whole cell lysate

Lane 3 : Rabbit monoclonal IgG (ab172730) instead of ab271094 in Neuro-2a whole cell lysate

Blocking and dilution buffer and concentration : 5% NFDM/TBST.

Exposure time : 10 seconds.

All lanes:

Immunoprecipitation - Anti-Rab 6A + Rab 6D + Ral-A antibody [EPR24472-24] (ab271094)

Predicted band size: 24 kDa

Observed band size: 24 kDa

false

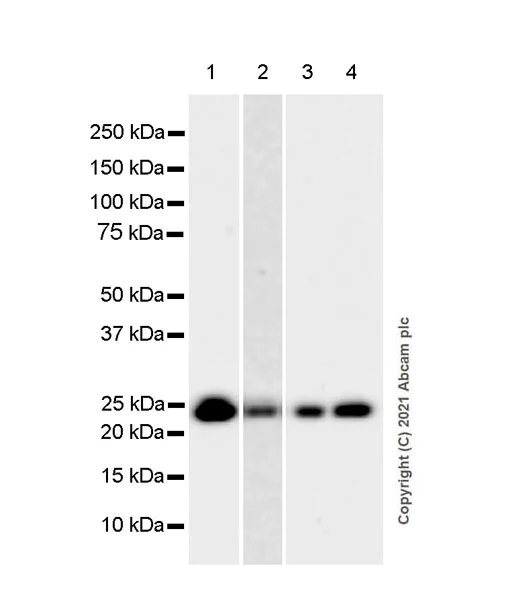
Western blot - Anti-Rab 6A + Rab 6D + Ral-A antibody [EPR24472-24] (AB271094)
  • WB

Lab

Western blot - Anti-Rab 6A + Rab 6D + Ral-A antibody [EPR24472-24] (AB271094)

Blocking and diluting buffer and concentration : 5% NFDM/TBST.

Exposure time : Lane 1-2 : 15 secondsLane 3 : 48 seconds.

All lanes:

Western blot - Anti-Rab 6A + Rab 6D + Ral-A antibody [EPR24472-24] (ab271094) at 1/1000 dilution

Lane 1:

Human brain tissue lysate at 20 µg

Lane 2:

Human heart tissue lysate at 20 µg

Lane 3:

Human kidney tissue lysate at 20 µg

Secondary

All lanes:

Goat Anti-Rabbit IgG (HRP) with minimal cross-reactivity with human IgG at 1/2000 dilution

Predicted band size: 24 kDa

Observed band size: 24 kDa

false

Western blot - Anti-Rab 6A + Rab 6D + Ral-A antibody [EPR24472-24] (AB271094)
  • WB

Lab

Western blot - Anti-Rab 6A + Rab 6D + Ral-A antibody [EPR24472-24] (AB271094)

Blocking and diluting buffer and concentration : 5% NFDM/TBST.

Exposure time : 26 seconds.

All lanes:

Western blot - Anti-Rab 6A + Rab 6D + Ral-A antibody [EPR24472-24] (ab271094) at 1/1000 dilution

Lane 1:

PC-3 (human prostate adenocarcinoma epithelial cell) whole cell lysate at 20 µg

Lane 2:

HT-29 (human colorectal adenocarcinoma epithelial cell) whole cell lysate at 20 µg

Lane 3:

HCT116 (human colorectal carcinoma epithelial cell) whole cell lysate at 20 µg

Lane 4:

HEK-293T (human embryonic kidney epithelial cell) whole cell lysate at 20 µg

Lane 5:

A549 (human lung carcinoma epithelial cell) whole cell lysate at 20 µg

Lane 6:

Neuro-2a (mouse neuroblastoma neuroblast) whole cell lysate at 20 µg

Lane 7:

NIH/3T3 (mouse embryonic fibroblast) whole cell lysate at 20 µg

Lane 8:

PC-12 (rat adrenal gland pheochromocytoma) whole cell lysate at 20 µg

Lane 9:

C6 (rat glial tumor glial cell) whole cell lysate at 20 µg

Secondary

All lanes:

Western blot - Goat Anti-Rabbit IgG H&L (HRP) (<a href='/products/secondary-antibodies/goat-rabbit-igg-h-l-hrp-ab97051'>ab97051</a>) at 1/100000 dilution

Predicted band size: 24 kDa

Observed band size: 24 kDa

false

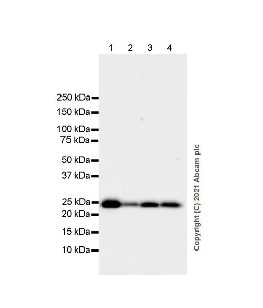
Western blot - Anti-Rab 6A + Rab 6D + Ral-A antibody [EPR24472-24] (AB271094)
  • WB

Lab

Western blot - Anti-Rab 6A + Rab 6D + Ral-A antibody [EPR24472-24] (AB271094)

Blocking and diluting buffer and concentration : 5% NFDM/TBST.

Exposure time : Lane 1, 3, 4 : 48 secondsLane 2 : 3 minutes.

All lanes:

Western blot - Anti-Rab 6A + Rab 6D + Ral-A antibody [EPR24472-24] (ab271094) at 1/1000 dilution

Lane 1:

Rat brain tissue lysate at 20 µg

Lane 2:

Rat heart tissue lysate at 20 µg

Lane 3:

Rat kidney tissue lysate at 20 µg

Lane 4:

Rat spleen tissue lysate at 20 µg

Secondary

All lanes:

Western blot - Goat Anti-Rabbit IgG H&L (HRP) (<a href='/products/secondary-antibodies/goat-rabbit-igg-h-l-hrp-ab97051'>ab97051</a>) at 1/100000 dilution

Predicted band size: 24 kDa

Observed band size: 24 kDa

false

Western blot - Anti-Rab 6A + Rab 6D + Ral-A antibody [EPR24472-24] (AB271094)
  • WB

Lab

Western blot - Anti-Rab 6A + Rab 6D + Ral-A antibody [EPR24472-24] (AB271094)

Blocking and diluting buffer and concentration : 5% NFDM/TBST.

Exposure time : 48 seconds.

All lanes:

Western blot - Anti-Rab 6A + Rab 6D + Ral-A antibody [EPR24472-24] (ab271094) at 1/1000 dilution

Lane 1:

Mouse brain tissue lysate at 20 µg

Lane 2:

Mouse heart tissue lysate at 20 µg

Lane 3:

Mouse kidney tissue lysate at 20 µg

Lane 4:

Mouse spleen tissue lysate at 20 µg

Secondary

All lanes:

Western blot - Goat Anti-Rabbit IgG H&L (HRP) (<a href='/products/secondary-antibodies/goat-rabbit-igg-h-l-hrp-ab97051'>ab97051</a>) at 1/100000 dilution

Predicted band size: 24 kDa

Observed band size: 24 kDa

false

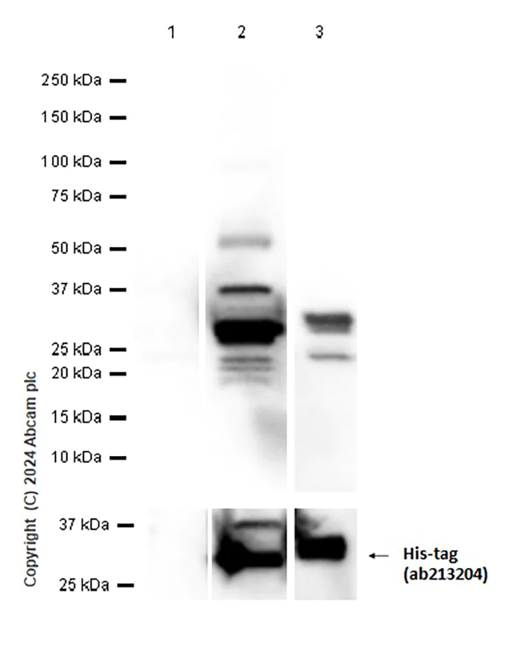
Western blot - Anti-Rab 6A + Rab 6D + Ral-A antibody [EPR24472-24] (AB271094)
  • WB

Lab

Western blot - Anti-Rab 6A + Rab 6D + Ral-A antibody [EPR24472-24] (AB271094)

Blocking and diluting buffer and concentration : 5% NFDM /TBST

All lanes:

Western blot - Anti-Rab 6A + Rab 6D + Ral-A antibody [EPR24472-24] (ab271094) at 1/1000 dilution

Lane 1:

293T cells transfected with an empty vector containing a His tag whole cell lysate at 20 µg

Lane 2:

293T cells transfected with a human Rab6A expression vector containing a His-tag whole cell lysate at 20 µg

Lane 3:

293T cells transfected with a human Ral-A expression vector containing a His-tag whole cell lysate at 20 µg

Secondary

All lanes:

Western blot - Goat Anti-Rabbit IgG H&L (HRP) (<a href='/products/secondary-antibodies/goat-rabbit-igg-h-l-hrp-ab97051'>ab97051</a>) at 1/20000 dilution

Observed band size: 26 kDa

false

Exposure time: 1s

関連する標識済み抗体及び組成の異なる製品 (1)

  • Carrier free

    Anti-Rab 6A + Rab 6D + Ral-A antibody [EPR24472-24] - BSA and Azide free

Key facts

宿主種

Rabbit

クローン性

Monoclonal

クローン番号

EPR24472-24

アイソタイプ

IgG

キャリアフリー

No

交差種

Mouse, Rat, Human

アプリケーション

IP, Flow Cyt (Intra), WB, IHC-P, ICC/IF

applications

免疫原

The exact immunogen used to generate this antibody is proprietary information.

Reactivity data

{ "title": "Reactivity Data", "filters": { "stats": ["", "Species", "Dilution Info", "Notes"], "tabs": { "all-applications": {"fullname" : "All Applications", "shortname": "All Applications"}, "WB" : {"fullname" : "Western blot", "shortname":"WB"}, "ICCIF" : {"fullname" : "Immunocytochemistry/ Immunofluorescence", "shortname":"ICC/IF"}, "IP" : {"fullname" : "Immunoprecipitation", "shortname":"IP"}, "IHCFr" : {"fullname" : "Immunohistochemistry (Frozen sections)", "shortname":"IHC-Fr"}, "FlowCytIntra" : {"fullname" : "Flow Cytometry (Intracellular)", "shortname":"Flow Cyt (Intra)"}, "IHCP" : {"fullname" : "Immunohistochemistry (Formalin/PFA-fixed paraffin-embedded sections)", "shortname":"IHC-P"} }, "product-promise": { "all": "all", "testedAndGuaranteed": "tested", "guaranteed": "expected", "predicted": "predicted", "notRecommended": "not-recommended" } }, "values": { "Human": { "WB-species-checked": "testedAndGuaranteed", "WB-species-dilution-info": "1/1000", "WB-species-notes": "<p></p>", "ICCIF-species-checked": "testedAndGuaranteed", "ICCIF-species-dilution-info": "1/50", "ICCIF-species-notes": "<p></p>", "IP-species-checked": "testedAndGuaranteed", "IP-species-dilution-info": "1/30", "IP-species-notes": "<p></p>", "IHCFr-species-checked": "notRecommended", "IHCFr-species-dilution-info": "", "IHCFr-species-notes": "", "FlowCytIntra-species-checked": "testedAndGuaranteed", "FlowCytIntra-species-dilution-info": "1/50", "FlowCytIntra-species-notes": "<p></p>", "IHCP-species-checked": "testedAndGuaranteed", "IHCP-species-dilution-info": "1/2000", "IHCP-species-notes": "<p></p>" }, "Mouse": { "WB-species-checked": "testedAndGuaranteed", "WB-species-dilution-info": "1/1000", "WB-species-notes": "<p></p>", "ICCIF-species-checked": "testedAndGuaranteed", "ICCIF-species-dilution-info": "1/50", "ICCIF-species-notes": "<p></p>", "IP-species-checked": "testedAndGuaranteed", "IP-species-dilution-info": "1/30", "IP-species-notes": "<p></p>", "IHCFr-species-checked": "notRecommended", "IHCFr-species-dilution-info": "", "IHCFr-species-notes": "<p></p>", "FlowCytIntra-species-checked": "testedAndGuaranteed", "FlowCytIntra-species-dilution-info": "1/50", "FlowCytIntra-species-notes": "<p></p>", "IHCP-species-checked": "testedAndGuaranteed", "IHCP-species-dilution-info": "1/2000", "IHCP-species-notes": "<p></p>" }, "Rat": { "WB-species-checked": "testedAndGuaranteed", "WB-species-dilution-info": "1/1000", "WB-species-notes": "<p></p>", "ICCIF-species-checked": "guaranteed", "ICCIF-species-dilution-info": "", "ICCIF-species-notes": "", "IP-species-checked": "guaranteed", "IP-species-dilution-info": "", "IP-species-notes": "", "IHCFr-species-checked": "notRecommended", "IHCFr-species-dilution-info": "", "IHCFr-species-notes": "<p></p>", "FlowCytIntra-species-checked": "guaranteed", "FlowCytIntra-species-dilution-info": "", "FlowCytIntra-species-notes": "", "IHCP-species-checked": "testedAndGuaranteed", "IHCP-species-dilution-info": "1/2000", "IHCP-species-notes": "<p></p>" }, "Transfected cell lysate - Human": { "WB-species-checked": "testedAndGuaranteed", "WB-species-dilution-info": "1/1000", "WB-species-notes": "<p></p>", "ICCIF-species-checked": "notRecommended", "ICCIF-species-dilution-info": "", "ICCIF-species-notes": "", "IP-species-checked": "notRecommended", "IP-species-dilution-info": "", "IP-species-notes": "", "IHCFr-species-checked": "notRecommended", "IHCFr-species-dilution-info": "", "IHCFr-species-notes": "", "FlowCytIntra-species-checked": "notRecommended", "FlowCytIntra-species-dilution-info": "", "FlowCytIntra-species-notes": "", "IHCP-species-checked": "notRecommended", "IHCP-species-dilution-info": "", "IHCP-species-notes": "" } } }

製品の詳細

Patented technology
Our RabMAb® technology is a patented hybridoma-based technology for making rabbit monoclonal antibodies. For details on our patents, please refer to RabMAb® patents.

What are the advantages of a recombinant monoclonal antibody?
This product is a recombinant monoclonal antibody, which offers several advantages including:

  • - High batch-to-batch consistency and reproducibility
  • - Improved sensitivity and specificity
  • - Long-term security of supply
  • - Animal-free batch production

For more information, read more on recombinant antibodies.

出荷温度及び保存条件

製品の状態
Liquid
精製方法
Affinity purification Protein A
バッファー組成
Preservative: 0.01% Sodium azide Constituents: PBS, 40% Glycerol (glycerin, glycerine), 0.05% BSA
出荷温度
Blue Ice
短期保存期間
1-2 weeks
短期保存温度
+4°C
長期保存温度
-20°C
分注に関する情報
Upon delivery aliquot
保管に関する情報
Avoid freeze / thaw cycle

補足情報

This supplementary information is collated from multiple sources and compiled automatically.

Rab 6A also known as Ras-related protein Rab-6A is a member of the Rab family of small GTPases and has a molecular weight of approximately 24 kDa. This protein plays an essential role in intracellular transport mechanisms particularly overseeing the trafficking of proteins and lipids between the Golgi apparatus and the endoplasmic reticulum. Rab 6A is expressed in various tissues but is found predominantly in neuronal tissues where it has vital functions.
Biological function summary

This protein is involved in regulating membrane trafficking and maintains Golgi apparatus structure. Rab 6A engages with several other proteins to form complexes necessary for the vesicular transport processes. It aids in coordinating the interactions between transport vesicles and their target membranes directly impacting cellular homeostasis and protein export.

Pathways

Rab 6A operates significantly in the secretory pathway as well as the Golgi retrograde transport pathway. Within the secretory pathway it directly affects protein sorting and recycling. Additionally Rab 6A interacts with proteins such as Bicaudal-D and dynactin which link it to the recruitment and movement of vesicular cargo along the microtubules integrating it into the broader network of intracellular pathway regulation.

Rab 6A has connections with neurological conditions. Its dysfunction or misregulation can impact neurodegenerative diseases such as Alzheimer's disease by disrupting protein processing and transport. Rab 6A interacts with amyloid precursor protein-processing pathways emphasizing its role in disease pathways. Also Rab 6A is linked to disorders affecting the Golgi apparatus a critical site for protein post-translational modification and trafficking within cells.

製品プロトコール

For this product, it's our understanding that no specific protocols are required. You can visit:

ターゲットの情報

Regulator of COPI-independent retrograde transport from the Golgi apparatus towards the endoplasmic reticulum (ER) (PubMed : 25962623). Has a low GTPase activity (PubMed : 25962623). Recruits VPS13B to the Golgi membrane (PubMed : 25492866). Plays a role in neuron projection development (Probable).
See full target information RAB6A

追加のターゲット

RALA,

文献 (1)

Recent publications for all applications. Explore the full list and refine your search

mBio 15:e0281124 PubMed39431827

2024

Rab6a enables BICD2/dynein-mediated trafficking of human papillomavirus from the Golgi network during virus entry.

Applications

Unspecified application

Species

Unspecified reactive species

Jeongjoon Choi,Kaitlyn Speckhart,Billy Tsai,Daniel DiMaio
View all publications

Abcam product promise

当社は、高品質な試薬を通じてお客様の研究を力強くサポートすることをお約束いたします。ご使用いただく各段階で、常にお客様をサポートできる体制を整えております。万が一、製品が期待通りに機能しない場合は、「Abcam Product Promise」による当社保証制度に基づき、安心してご利用いただけます。
保証に関する詳細については利用規約をご確認ください。

Please note: All products are 'FOR RESEARCH USE ONLY. NOT FOR USE IN DIAGNOSTIC OR THERAPEUTIC PROCEDURES'.

For licensing inquiries, please contact partnerships@abcam.com