JavaScript is disabled in your browser. Please enable JavaScript to view this website.
AB228477

Anti-PYK2 抗体 [YE353] - BSA and Azide free

Anti-PYK2 antibody [YE353] - BSA and Azide free

Be the first to review this product! Submit a review

|

(1 Publication)

Rabbit Recombinant Monoclonal PYK2 antibody. Carrier free. Suitable for WB, ICC/IF, IHC-P and reacts with Human, Rat, Mouse samples. Cited in 1 publication.

別名を表示する

FAK2, PYK2, RAFTK, PTK2B, Protein-tyrosine kinase 2-beta, Calcium-dependent tyrosine kinase, Calcium-regulated non-receptor proline-rich tyrosine kinase, Cell adhesion kinase beta, Focal adhesion kinase 2, Proline-rich tyrosine kinase 2, Related adhesion focal tyrosine kinase, CADTK, CAK-beta, CAKB, FADK 2

9 Images
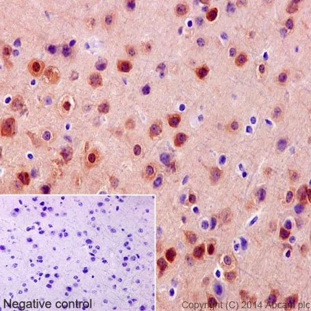
Immunohistochemistry (Formalin/PFA-fixed paraffin-embedded sections) - Anti-PYK2 antibody [YE353] - BSA and Azide free (AB228477)
  • IHC-P

Unknown

Immunohistochemistry (Formalin/PFA-fixed paraffin-embedded sections) - Anti-PYK2 antibody [YE353] - BSA and Azide free (AB228477)

Immunohistochemistry (Formalin/PFA-fixed paraffin-embedded sections) analysis of human cerebral cortex tissue labelling PYK2 with purified ab32571 at 1/300. Heat mediated antigen retrieval was performed using Tris/EDTA buffer pH 9. ab97051, a HRP-conjugated goat anti-rabbit IgG (H+L) was used as the secondary antibody (1/500). Negative control using PBS instead of primary antibody. Counterstained with hematoxylin.

This data was developed using the same antibody clone in a different buffer formulation containing PBS, BSA, glycerol, and sodium azide (ab32571).

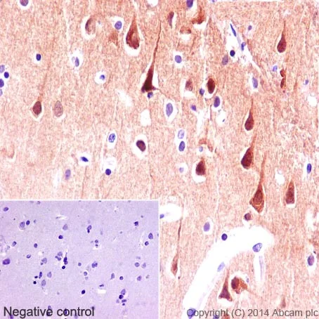
Immunohistochemistry (Formalin/PFA-fixed paraffin-embedded sections) - Anti-PYK2 antibody [YE353] - BSA and Azide free (AB228477)
  • IHC-P

Unknown

Immunohistochemistry (Formalin/PFA-fixed paraffin-embedded sections) - Anti-PYK2 antibody [YE353] - BSA and Azide free (AB228477)

This IHC data was generated using the same anti-PYK2 antibody clone, YE353, in a different buffer formulation (cat# ab32571).

Immunohistochemistry (Formalin/PFA-fixed paraffin-embedded sections) analysis of normal human brain tissue labelling PYK2 with unpurified ab32571 at a 1/250 dilution.

Immunocytochemistry/ Immunofluorescence - Anti-PYK2 antibody [YE353] - BSA and Azide free (AB228477)
  • ICC/IF

Unknown

Immunocytochemistry/ Immunofluorescence - Anti-PYK2 antibody [YE353] - BSA and Azide free (AB228477)

Immunocytochemistry/Immunofluorescence analysis of HeLa cells labelling PYK2 with purified ab32571 at 1/60. Cells were fixed with 4% paraformaldehyde and permeabilized with 0.1% Triton X-100. ab150077, an Alexa Fluor® 488-conjugated goat anti-rabbit IgG (1/500) was used as the secondary antibody. DAPI (blue) was used as the nuclear counterstain.

Control : primary antibody (1/100) and secondary antibody, ab150120, an Alexa Fluor® 594-conjugated goat anti-mouse IgG (1/500).

This data was developed using the same antibody clone in a different buffer formulation containing PBS, BSA, glycerol, and sodium azide (ab32571).

Immunohistochemistry (Formalin/PFA-fixed paraffin-embedded sections) - Anti-PYK2 antibody [YE353] - BSA and Azide free (AB228477)
  • IHC-P

Unknown

Immunohistochemistry (Formalin/PFA-fixed paraffin-embedded sections) - Anti-PYK2 antibody [YE353] - BSA and Azide free (AB228477)

Immunohistochemistry (Formalin/PFA-fixed paraffin-embedded sections) analysis of mouse cerebral cortex tissue labelling PYK2 with purified ab32571 at 1/300. Heat mediated antigen retrieval was performed using Tris/EDTA buffer pH 9. ab97051, a HRP-conjugated goat anti-rabbit IgG (H+L) was used as the secondary antibody (1/500). Negative control using PBS instead of primary antibody. Counterstained with hematoxylin.

This data was developed using the same antibody clone in a different buffer formulation containing PBS, BSA, glycerol, and sodium azide (ab32571).

Immunohistochemistry (Formalin/PFA-fixed paraffin-embedded sections) - Anti-PYK2 antibody [YE353] - BSA and Azide free (AB228477)
  • IHC-P

Unknown

Immunohistochemistry (Formalin/PFA-fixed paraffin-embedded sections) - Anti-PYK2 antibody [YE353] - BSA and Azide free (AB228477)

Immunohistochemistry (Formalin/PFA-fixed paraffin-embedded sections) analysis of rat cerebral cortex tissue labelling PYK2 with purified ab32571 at 1/300. Heat mediated antigen retrieval was performed using Tris/EDTA buffer pH 9. ab97051, a HRP-conjugated goat anti-rabbit IgG (H+L) was used as the secondary antibody (1/500). Negative control using PBS instead of primary antibody. Counterstained with hematoxylin.

This data was developed using the same antibody clone in a different buffer formulation containing PBS, BSA, glycerol, and sodium azide (ab32571).

Immunocytochemistry/ Immunofluorescence - Anti-PYK2 antibody [YE353] - BSA and Azide free (AB228477)
  • ICC/IF

Unknown

Immunocytochemistry/ Immunofluorescence - Anti-PYK2 antibody [YE353] - BSA and Azide free (AB228477)

Immunocytochemistry/Immunofluorescence analysis of PC12 cells labelling PYK2 with unpurified ab32571 at a 1/100 dilution.

This data was developed using the same antibody clone in a different buffer formulation containing PBS, BSA, glycerol, and sodium azide (ab32571).

Western blot - Anti-PYK2 antibody [YE353] - BSA and Azide free (AB228477)
  • WB

Lab

Western blot - Anti-PYK2 antibody [YE353] - BSA and Azide free (AB228477)

This data was developed using ab32571, the same antibody clone in a different buffer formulation.

Western blot : Rabbit Monoclonal[YE353] to PYK2 ab32571 staining at 1/2000 dilution, shown in green; Mouse anti GAPDH (ab8245) loading control staining at 1/20,000 dilution, shown in magenta.

A band was observed at 120 kDa in Wild-type HCT 116 cell lysates with no signal observed at this size in PTK2B knockout HCT 116 cell line.

To generate this image, samples were run on an SDS-PAGE gel then transferred onto a nitrocellulose membrane. Membranes were blocked in 3pc Milk in TBS-0.1 % Tween® 20 (TBS-T) before incubation with primary antibodies overnight at 4 °C. Blots were washed four times in TBS-T, incubated with secondary antibodies for 1 h at room temperature, washed again four times then imaged.

Secondary antibodies used were Goat anti-Rabbit 800CW & Goat anti-Mouse 680RD at 1/20,000 dilution.

All lanes:

Western blot - Anti-PYK2 antibody [YE353] (<a href='/products/primary-antibodies/pyk2-antibody-ye353-ab32571'>ab32571</a>) at 1/1000 dilution

Lane 1:

Wild-type HCT 116 at 20 µg

Lane 2:

PTK2B knockout HCT 116 at 20 µg

Lane 3:

Wild-type A549 at 20 µg

Lane 4:

PTK2B knockout A549 at 20 µg

Secondary

All lanes:

Goat anti-Rabbit 800CW & Goat anti-Mouse 680RD at 1/20000 dilution

Predicted band size: 116 kDa

Observed band size: 120 kDa

false

Western blot - Anti-PYK2 antibody [YE353] - BSA and Azide free (AB228477)
  • WB

Lab

Western blot - Anti-PYK2 antibody [YE353] - BSA and Azide free (AB228477)

This data was developed using the same antibody clone in a different buffer formulation (ab32571).

Western blot : Anti-PTK2B antibody [YE353] (ab32571) staining at 1/2000 dilution, shown in green; Mouse anti-GAPDH antibody [6C5] (ab8245) loading control staining at 1/20000 dilution, shown in magenta. In Western blot, ab32571 was shown to bind specifically to PTK2B. A band was observed at 130 kDa in wild-type A549 cell lysates with no signal observed at this size in PTK2B knockout cell line. To generate this image, wild-type and PTK2B knockout A549 cell lysates were analysed. First, samples were run on an SDS-PAGE gel then transferred onto a nitrocellulose membrane. Membranes were blocked in 3 % milk in TBS-0.1 % Tween® 20 (TBS-T) before incubation with primary antibodies overnight at 4 °C. Blots were washed four times in TBS-T, incubated with secondary antibodies for 1 h at room temperature, washed again four times then imaged. Secondary antibodies used were Goat anti-Rabbit IgG H&L 800CW and Goat anti-Mouse IgG H&L 680RD at 1/20000 dilution.

All lanes:

Western blot - Anti-PYK2 antibody [YE353] (<a href='/products/primary-antibodies/pyk2-antibody-ye353-ab32571'>ab32571</a>) at 1/2000 dilution

Lane 1:

Wild-type A549 cell lysate at 20 µg

Lane 2:

PTK2B knockout A549 cell lysate at 20 µg

Lane 3:

Wild-type HAP1 cell lysate at 20 µg

Lane 4:

PTK2B knockout HAP1 cell lysate at 20 µg

Secondary

All lanes:

Goat anti-Rabbit IgG H&L 800CW and Goat anti-Mouse IgG H&L 680RD at 1/20000 dilution

Observed band size: 130 kDa

false

Western blot - Anti-PYK2 antibody [YE353] - BSA and Azide free (AB228477)
  • WB

Unknown

Western blot - Anti-PYK2 antibody [YE353] - BSA and Azide free (AB228477)

This WB data was generated using the same anti-PYK2 antibody clone, YE353, in a different buffer formulation (cat# ab32571).

Lane 1 : Wild type HAP1 whole cell lysate (20 μg)
Lane 2 : PYK2 knockout HAP1 whole cell lysate (20 μg)
Lane 3 : Jurkat whole cell lysate (20 μg)
Lane 4 : Hu brain whole cell lysate (20 μg)

Lanes 1 - 4 : Merged signal (red and green). Green - ab32571 observed at 125 kDa. Red - loading control, ab8245, observed at 37 kDa.

ab32571 was shown to recognize PYK2 when PYK2 knockout samples were used, along with additional cross-reactive bands. Wild-type and PYK2 knockout samples were subjected to SDS-PAGE. ab32571 and ab8245 (Mouse anti GAPDH loading control) were incubated overnight at 4°C at 1000 dilution and 1/10000 dilution respectively. Blots were developed with Goat anti-Rabbit IgG H&L (IRDye® 800CW) preabsorbed ab216773 and Goat anti-Mouse IgG H&L (IRDye® 680RD) preabsorbed ab216776 secondary antibodies at 1/10000 dilution for 1 hour at room temperature before imaging.

All lanes:

Western blot - Anti-PYK2 antibody [YE353] (<a href='/products/primary-antibodies/pyk2-antibody-ye353-ab32571'>ab32571</a>)

Predicted band size: 116 kDa

false

関連する標識済み抗体及び組成の異なる製品 (4)

Key facts

宿主種

Rabbit

クローン性

Monoclonal

クローン番号

YE353

アイソタイプ

IgG

キャリアフリー

Yes

交差種

Mouse, Rat, Human

アプリケーション

WB, ICC/IF, IHC-P

applications

免疫原

The exact immunogen used to generate this antibody is proprietary information.

特異性

This antibody recognizes PYK2. It does not cross react with other FAK family members.

Reactivity data

{ "title": "Reactivity Data", "filters": { "stats": ["", "Species", "Dilution Info", "Notes"], "tabs": { "all-applications": {"fullname" : "All Applications", "shortname": "All Applications"}, "IP" : {"fullname" : "Immunoprecipitation", "shortname":"IP"}, "WB" : {"fullname" : "Western blot", "shortname":"WB"}, "ICCIF" : {"fullname" : "Immunocytochemistry/ Immunofluorescence", "shortname":"ICC/IF"}, "IHCP" : {"fullname" : "Immunohistochemistry (Formalin/PFA-fixed paraffin-embedded sections)", "shortname":"IHC-P"} }, "product-promise": { "all": "all", "testedAndGuaranteed": "tested", "guaranteed": "expected", "predicted": "predicted", "notRecommended": "not-recommended" } }, "values": { "Human": { "IP-species-checked": "notRecommended", "IP-species-dilution-info": "", "IP-species-notes": "<p></p>", "WB-species-checked": "testedAndGuaranteed", "WB-species-dilution-info": "", "WB-species-notes": "<p></p>", "ICCIF-species-checked": "testedAndGuaranteed", "ICCIF-species-dilution-info": "", "ICCIF-species-notes": "<p></p>", "IHCP-species-checked": "testedAndGuaranteed", "IHCP-species-dilution-info": "", "IHCP-species-notes": "<p></p>" }, "Mouse": { "IP-species-checked": "notRecommended", "IP-species-dilution-info": "", "IP-species-notes": "<p></p>", "WB-species-checked": "guaranteed", "WB-species-dilution-info": "", "WB-species-notes": "", "ICCIF-species-checked": "guaranteed", "ICCIF-species-dilution-info": "", "ICCIF-species-notes": "", "IHCP-species-checked": "testedAndGuaranteed", "IHCP-species-dilution-info": "", "IHCP-species-notes": "<p></p>" }, "Rat": { "IP-species-checked": "notRecommended", "IP-species-dilution-info": "", "IP-species-notes": "<p></p>", "WB-species-checked": "guaranteed", "WB-species-dilution-info": "", "WB-species-notes": "", "ICCIF-species-checked": "testedAndGuaranteed", "ICCIF-species-dilution-info": "", "ICCIF-species-notes": "<p></p>", "IHCP-species-checked": "testedAndGuaranteed", "IHCP-species-dilution-info": "", "IHCP-species-notes": "<p></p>" } } }

製品の詳細

ab228477 is the carrier-free version of ab32571.

Conjugation ready
Our carrier-free antibodies are typically supplied in a PBS-only formulation, purified and free of BSA, sodium azide and glycerol. This conjugation-ready format is designed for use with fluorochromes, metal isotopes, oligonucleotides, and enzymes, which makes them ideal for antibody labelling, functional and cell-based assays, flow-based assays (e.g. mass cytometry) and Multiplex Imaging applications.

Use our conjugation kits for antibody conjugates that are ready-to-use in as little as 20 minutes with 1 minute hands-on-time and 100% antibody recovery: available for fluorescent dyes, HRP, biotin and gold.

Compatibility
This product is compatible with the Maxpar® Antibody Labeling Kit from Fluidigm, without the need for antibody preparation. Maxpar® is a trademark of Fluidigm Canada Inc.

出荷温度及び保存条件

製品の状態
Liquid
精製方法
Affinity purification Protein A
バッファー組成
pH: 7.2 - 7.4 Constituents: PBS
出荷温度
Blue Ice
短期保存温度
+4°C
長期保存温度
+4°C
保管に関する情報
Do Not Freeze

補足情報

This supplementary information is collated from multiple sources and compiled automatically.

PYK2 also known as Protein Tyrosine Kinase 2 Beta (PTK2B) is a protein with a mass of approximately 116 kDa. This enzyme belongs to the focal adhesion kinase (FAK) family and functions as a non-receptor protein tyrosine kinase. Mechanically PYK2 is involved in calcium-dependent signaling and is activated by increases in intracellular calcium levels. It plays a critical role in cell proliferation migration and survival. PYK2 expresses widely in neuronal tissues hematopoietic cells and various epithelial cells.
Biological function summary

PYK2 interacts with integrins and G-protein-coupled receptors (GPCRs) linking extracellular signals to intracellular pathways. It forms complexes with other signaling molecules including Rac1 and c-Src facilitating downstream signaling. These interactions contribute to cellular communication and adhesion processes especially in the central nervous system and immune cells. Through its involvement in signal transduction PYK2 supports cellular responses to environmental changes.

Pathways

PYK2 participates in the MAPK and JNK signaling pathways. These pathways are critical for transmitting signals from the cell surface to the nucleus influencing cellular growth and stress responses. PYK2 interacts closely with other proteins such as Src and FAK which help coordinate signals that regulate cellular dynamics. Through these pathways PYK2 modulates processes involved in the structural reorganization of cells and tissues.

PYK2 has been linked to neurodegenerative diseases and certain types of cancers. In Alzheimer's disease PYK2 may contribute to synaptic dysfunction and cognitive decline as it interacts with amyloid-beta peptides and tau proteins. In cancer PYK2 overexpression can promote cancer cell invasion metastasis and resistance to apoptosis often in coordination with proteins like FAK. Therefore understanding the role of PYK2 in these conditions provides insights for therapeutic developments.

製品プロトコール

For this product, it's our understanding that no specific protocols are required. You can visit:

ターゲットの情報

Non-receptor protein-tyrosine kinase that regulates reorganization of the actin cytoskeleton, cell polarization, cell migration, adhesion, spreading and bone remodeling. Plays a role in the regulation of the humoral immune response, and is required for normal levels of marginal B-cells in the spleen and normal migration of splenic B-cells. Required for normal macrophage polarization and migration towards sites of inflammation. Regulates cytoskeleton rearrangement and cell spreading in T-cells, and contributes to the regulation of T-cell responses. Promotes osteoclastic bone resorption; this requires both PTK2B/PYK2 and SRC. May inhibit differentiation and activity of osteoprogenitor cells. Functions in signaling downstream of integrin and collagen receptors, immune receptors, G-protein coupled receptors (GPCR), cytokine, chemokine and growth factor receptors, and mediates responses to cellular stress. Forms multisubunit signaling complexes with SRC and SRC family members upon activation; this leads to the phosphorylation of additional tyrosine residues, creating binding sites for scaffold proteins, effectors and substrates. Regulates numerous signaling pathways. Promotes activation of phosphatidylinositol 3-kinase and of the AKT1 signaling cascade. Promotes activation of NOS3. Regulates production of the cellular messenger cGMP. Promotes activation of the MAP kinase signaling cascade, including activation of MAPK1/ERK2, MAPK3/ERK1 and MAPK8/JNK1. Promotes activation of Rho family GTPases, such as RHOA and RAC1. Recruits the ubiquitin ligase MDM2 to P53/TP53 in the nucleus, and thereby regulates P53/TP53 activity, P53/TP53 ubiquitination and proteasomal degradation. Acts as a scaffold, binding to both PDPK1 and SRC, thereby allowing SRC to phosphorylate PDPK1 at 'Tyr-9, 'Tyr-373', and 'Tyr-376'. Promotes phosphorylation of NMDA receptors by SRC family members, and thereby contributes to the regulation of NMDA receptor ion channel activity and intracellular Ca(2+) levels. May also regulate potassium ion transport by phosphorylation of potassium channel subunits. Phosphorylates SRC; this increases SRC kinase activity. Phosphorylates ASAP1, NPHP1, KCNA2 and SHC1. Promotes phosphorylation of ASAP2, RHOU and PXN; this requires both SRC and PTK2/PYK2.
See full target information PTK2B

文献 (1)

Recent publications for all applications. Explore the full list and refine your search

Analytical cellular pathology (Amsterdam) 2021:3198555 PubMed34336552

2021

Evaluation of the Prognostic Value of Solute Carrier Family 34 Member 2 "SLC34A2" in Papillary Thyroid Carcinoma: An Immunohistochemical Study.

Applications

Unspecified application

Species

Unspecified reactive species

Sarah Adel Hakim,Rasha Mohamed Abd El Atti,Reham Mohamed Faheim,Hoda Hassan Abou Gabal
View all publications

Abcam product promise

当社は、高品質な試薬を通じてお客様の研究を力強くサポートすることをお約束いたします。ご使用いただく各段階で、常にお客様をサポートできる体制を整えております。万が一、製品が期待通りに機能しない場合は、「Abcam Product Promise」による当社保証制度に基づき、安心してご利用いただけます。
保証に関する詳細については利用規約をご確認ください。

Please note: All products are 'FOR RESEARCH USE ONLY. NOT FOR USE IN DIAGNOSTIC OR THERAPEUTIC PROCEDURES'.

For licensing inquiries, please contact partnerships@abcam.com