JavaScript is disabled in your browser. Please enable JavaScript to view this website.
AB228466

Anti-PTEN 抗体 [SP218] - C-terminal

Anti-PTEN antibody [SP218] - C-terminal

Be the first to review this product! Submit a review

|

(7 Publications)

Anti-PTEN antibody [SP218] - C-terminal (ab228466) is a rabbit monoclonal antibody detecting PTEN in Western Blot, Flow Cytometry (Intra), Flow Cytometry, IHC-P. Suitable for Human.

- Biophysical QC for unrivalled batch-batch consistency

別名を表示する

MMAC1, TEP1, PTEN, Inositol polyphosphate 3-phosphatase, Mutated in multiple advanced cancers 1, Phosphatase and tensin homolog

22 Images
Flow Cytometry (Intracellular) - Anti-PTEN antibody [SP218] - C-terminal (AB228466)
  • Flow Cyt (Intra)

Lab

Flow Cytometry (Intracellular) - Anti-PTEN antibody [SP218] - C-terminal (AB228466)

Flow cytometry overlay histogram showing wild-type Hap1 (green line) and PTEN knockout Hap1 stained with ab228466 (red line). The cells were fixed with 4% formaldehyde (10 min) and then permeabilised with 0.1% PBS-Triton X-100 for 15 min. The cells were then incubated in 1x PBS containing 10% normal goat serum to block non-specific protein-protein interaction followed by the antibody (ab228466) (1x 106 in 100μl at 0.04 μg/ml (1/55500)) for 30min at 22°C.

The secondary antibody Goat Anti-Rabbit IgG H&L (Alexa Fluor® 488) preadsorbed was incubated at 1/4000 for 30min at 22°C

Isotype control antibody Recombinant Rabbit IgG, monoclonal [EPR25A] - Isotype Control was used at the same concentration and conditions as the primary antibody (wild-type Hap1 - black line, PTEN knockout Hap1 - grey line). Unlabelled sample was also used as a control (this line is not shown for the purpose of simplicity).

Acquisition of >5000 events were collected using a 50 mW Blue laser (488nm) and 525/40 bandpass filter.

This antibody gave a positive signal in Hap1 Fixed with 80% methanol (5 min) / permeabilised with 0.1% PBS-Triton X-100 for 15 min under the same conditions.

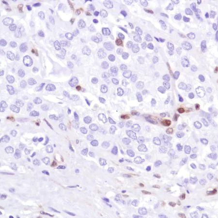
Immunohistochemistry (Formalin/PFA-fixed paraffin-embedded sections) - Anti-PTEN antibody [SP218] - C-terminal (AB228466)
  • IHC-P

Supplier Data

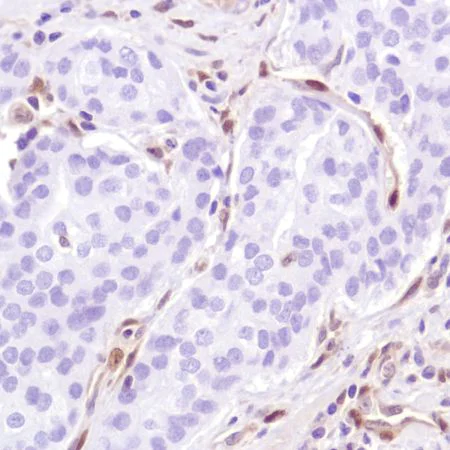
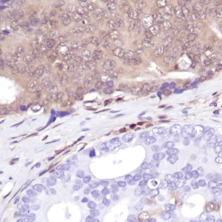
Immunohistochemistry (Formalin/PFA-fixed paraffin-embedded sections) - Anti-PTEN antibody [SP218] - C-terminal (AB228466)

Formalin-fixed, paraffin-embedded human prostate adenocarcinoma tissue stained for PTEN using ab228466 at 1/200 dilution in immunohistochemical analysis.

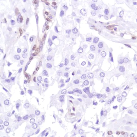
Immunohistochemistry (Formalin/PFA-fixed paraffin-embedded sections) - Anti-PTEN antibody [SP218] - C-terminal (AB228466)
  • IHC-P

Supplier Data

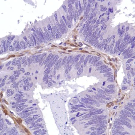
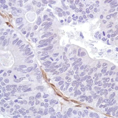
Immunohistochemistry (Formalin/PFA-fixed paraffin-embedded sections) - Anti-PTEN antibody [SP218] - C-terminal (AB228466)

Formalin-fixed, paraffin-embedded human colon adenocarcinoma tissue stained for PTEN using ab228466 at 1/200 dilution in immunohistochemical analysis.

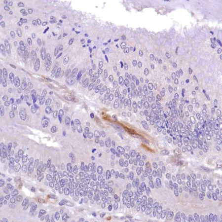
Immunohistochemistry (Formalin/PFA-fixed paraffin-embedded sections) - Anti-PTEN antibody [SP218] - C-terminal (AB228466)
  • IHC-P

Supplier Data

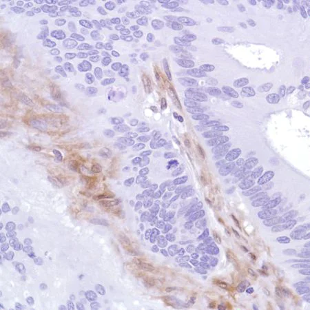
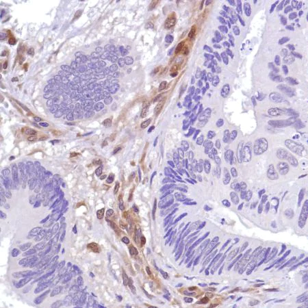
Immunohistochemistry (Formalin/PFA-fixed paraffin-embedded sections) - Anti-PTEN antibody [SP218] - C-terminal (AB228466)

Formalin-fixed, paraffin-embedded human prostate adenocarcinoma tissue stained for PTEN using ab228466 at 1/200 dilution in immunohistochemical analysis.

Immunohistochemistry (Formalin/PFA-fixed paraffin-embedded sections) - Anti-PTEN antibody [SP218] - C-terminal (AB228466)
  • IHC-P

Supplier Data

Immunohistochemistry (Formalin/PFA-fixed paraffin-embedded sections) - Anti-PTEN antibody [SP218] - C-terminal (AB228466)

Formalin-fixed, paraffin-embedded human prostate adenocarcinoma tissue stained for PTEN using ab228466 at 1/200 dilution in immunohistochemical analysis.

Immunohistochemistry (Formalin/PFA-fixed paraffin-embedded sections) - Anti-PTEN antibody [SP218] - C-terminal (AB228466)
  • IHC-P

Supplier Data

Immunohistochemistry (Formalin/PFA-fixed paraffin-embedded sections) - Anti-PTEN antibody [SP218] - C-terminal (AB228466)

Formalin-fixed, paraffin-embedded human prostate adenocarcinoma tissue stained for PTEN using ab228466 at 1/200 dilution in immunohistochemical analysis.

Immunohistochemistry (Formalin/PFA-fixed paraffin-embedded sections) - Anti-PTEN antibody [SP218] - C-terminal (AB228466)
  • IHC-P

Supplier Data

Immunohistochemistry (Formalin/PFA-fixed paraffin-embedded sections) - Anti-PTEN antibody [SP218] - C-terminal (AB228466)

Formalin-fixed, paraffin-embedded human colon adenocarcinoma tissue stained for PTEN using ab228466 at 1/200 dilution in immunohistochemical analysis.

Immunohistochemistry (Formalin/PFA-fixed paraffin-embedded sections) - Anti-PTEN antibody [SP218] - C-terminal (AB228466)
  • IHC-P

Supplier Data

Immunohistochemistry (Formalin/PFA-fixed paraffin-embedded sections) - Anti-PTEN antibody [SP218] - C-terminal (AB228466)

Formalin-fixed, paraffin-embedded human prostate adenocarcinoma tissue stained for PTEN using ab228466 at 1/200 dilution in immunohistochemical analysis.

Immunohistochemistry (Formalin/PFA-fixed paraffin-embedded sections) - Anti-PTEN antibody [SP218] - C-terminal (AB228466)
  • IHC-P

Supplier Data

Immunohistochemistry (Formalin/PFA-fixed paraffin-embedded sections) - Anti-PTEN antibody [SP218] - C-terminal (AB228466)

Formalin-fixed, paraffin-embedded human colon adenocarcinoma tissue stained for PTEN using ab228466 at 1/200 dilution in immunohistochemical analysis.

Immunohistochemistry (Formalin/PFA-fixed paraffin-embedded sections) - Anti-PTEN antibody [SP218] - C-terminal (AB228466)
  • IHC-P

Supplier Data

Immunohistochemistry (Formalin/PFA-fixed paraffin-embedded sections) - Anti-PTEN antibody [SP218] - C-terminal (AB228466)

Formalin-fixed, paraffin-embedded human colon adenocarcinoma tissue stained for PTEN using ab228466 at 1/200 dilution in immunohistochemical analysis.

Immunohistochemistry (Formalin/PFA-fixed paraffin-embedded sections) - Anti-PTEN antibody [SP218] - C-terminal (AB228466)
  • IHC-P

Supplier Data

Immunohistochemistry (Formalin/PFA-fixed paraffin-embedded sections) - Anti-PTEN antibody [SP218] - C-terminal (AB228466)

Formalin-fixed, paraffin-embedded human colon adenocarcinoma tissue stained for PTEN using ab228466 at 1/200 dilution in immunohistochemical analysis.

Immunohistochemistry (Formalin/PFA-fixed paraffin-embedded sections) - Anti-PTEN antibody [SP218] - C-terminal (AB228466)
  • IHC-P

Supplier Data

Immunohistochemistry (Formalin/PFA-fixed paraffin-embedded sections) - Anti-PTEN antibody [SP218] - C-terminal (AB228466)

Formalin-fixed, paraffin-embedded human prostate adenocarcinoma tissue stained for PTEN using ab228466 at 1/200 dilution in immunohistochemical analysis.

Immunohistochemistry (Formalin/PFA-fixed paraffin-embedded sections) - Anti-PTEN antibody [SP218] - C-terminal (AB228466)
  • IHC-P

Supplier Data

Immunohistochemistry (Formalin/PFA-fixed paraffin-embedded sections) - Anti-PTEN antibody [SP218] - C-terminal (AB228466)

Formalin-fixed, paraffin-embedded human prostate adenocarcinoma tissue stained for PTEN using ab228466 at 1/200 dilution in immunohistochemical analysis.

Flow Cytometry (Intracellular) - Anti-PTEN antibody [SP218] - C-terminal (AB228466)
  • Flow Cyt (Intra)

Supplier Data

Flow Cytometry (Intracellular) - Anti-PTEN antibody [SP218] - C-terminal (AB228466)

Flow cytometric analysis of A431 (human epidermoid carcinoma cell line) cells labeling PTEN with ab228466 at 1/200 dilution (green) compared with a negative control rabbit IgG (blue).

Immunohistochemistry (Formalin/PFA-fixed paraffin-embedded sections) - Anti-PTEN antibody [SP218] - C-terminal (AB228466)
  • IHC-P

Supplier Data

Immunohistochemistry (Formalin/PFA-fixed paraffin-embedded sections) - Anti-PTEN antibody [SP218] - C-terminal (AB228466)

Formalin-fixed, paraffin-embedded human colon adenocarcinoma tissue stained for PTEN using ab228466 at 1/200 dilution in immunohistochemical analysis.

Immunohistochemistry (Formalin/PFA-fixed paraffin-embedded sections) - Anti-PTEN antibody [SP218] - C-terminal (AB228466)
  • IHC-P

Unknown

Immunohistochemistry (Formalin/PFA-fixed paraffin-embedded sections) - Anti-PTEN antibody [SP218] - C-terminal (AB228466)

Formalin-fixed, paraffin-embedded human prostate adenocarcinoma tissue stained for PTEN using ab228466 at 1/200 dilution in immunohistochemical analysis.

Immunohistochemistry (Formalin/PFA-fixed paraffin-embedded sections) - Anti-PTEN antibody [SP218] - C-terminal (AB228466)
  • IHC-P

Supplier Data

Immunohistochemistry (Formalin/PFA-fixed paraffin-embedded sections) - Anti-PTEN antibody [SP218] - C-terminal (AB228466)

Formalin-fixed, paraffin-embedded human colon adenocarcinoma tissue stained for PTEN using ab228466 at 1/200 dilution in immunohistochemical analysis.

Immunohistochemistry (Formalin/PFA-fixed paraffin-embedded sections) - Anti-PTEN antibody [SP218] - C-terminal (AB228466)
  • IHC-P

Supplier Data

Immunohistochemistry (Formalin/PFA-fixed paraffin-embedded sections) - Anti-PTEN antibody [SP218] - C-terminal (AB228466)

Formalin-fixed, paraffin-embedded human colon adenocarcinoma tissue stained for PTEN using ab228466 at 1/200 dilution in immunohistochemical analysis.

Immunohistochemistry (Formalin/PFA-fixed paraffin-embedded sections) - Anti-PTEN antibody [SP218] - C-terminal (AB228466)
  • IHC-P

Supplier Data

Immunohistochemistry (Formalin/PFA-fixed paraffin-embedded sections) - Anti-PTEN antibody [SP218] - C-terminal (AB228466)

Formalin-fixed, paraffin-embedded human prostate adenocarcinoma tissue stained for PTEN using ab228466 at 1/200 dilution in immunohistochemical analysis.

Flow Cytometry (Intracellular) - Anti-PTEN antibody [SP218] - C-terminal (AB228466)
  • Flow Cyt (Intra)

Unknown

Flow Cytometry (Intracellular) - Anti-PTEN antibody [SP218] - C-terminal (AB228466)

Flow Cytometry analysis of MCF7 (human breast adenocarcinoma epithelial cell) cells labeling PTEN with purified ab228466 at 1/240 dilution (1.01 μg/ml) (red). Cells were fixed with 4% paraformaldehyde and permeabilised with 90% methanol. A Goat anti rabbit IgG (Alexa Fluor® 488, ab150077) secondary antibody was used at 1/2000 dilution. Isotype control - Rabbit monoclonal IgG (ab172730) / Black. Unlabeled control - Unlabelled cells / blue.

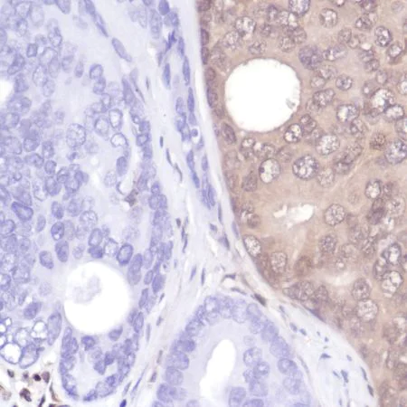
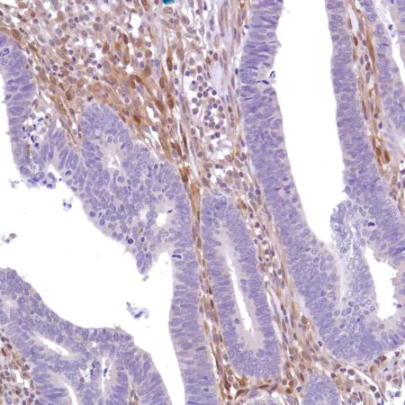
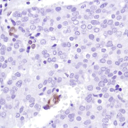
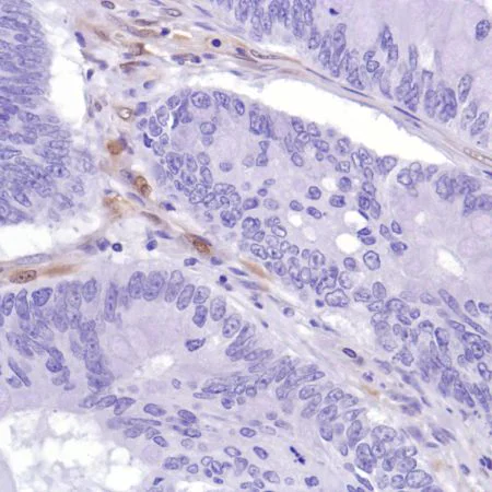
Immunohistochemistry (Formalin/PFA-fixed paraffin-embedded sections) - Anti-PTEN antibody [SP218] - C-terminal (AB228466)
  • IHC-P

Supplier Data

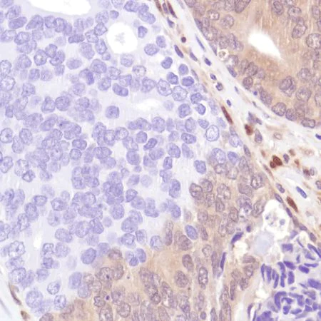
Immunohistochemistry (Formalin/PFA-fixed paraffin-embedded sections) - Anti-PTEN antibody [SP218] - C-terminal (AB228466)

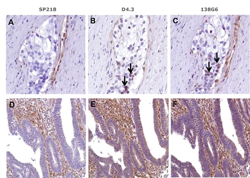
Cancer cells from prostate adenocarcinoma (panel A) and colon adenocarcinoma (panel D) show total loss or diminished expression of PTEN when SP218 is used. In contrast, nuclear staining (panel B and C, arrows) in cancer cells is present for clones D4.3 and 138G6. Diffuse cytoplasmic and stromal staining are prominent for clones D4.3 and 138G6. But interestingly, the stromal cell components (fibroblasts, lymphocytes, and endothelial cells) are stained with similar intensities across all images. This suggests that there is non-specific staining in stromal and cancer area with clones D4.3 and 138G6 when compared with SP218.

Western blot - Anti-PTEN antibody [SP218] - C-terminal (AB228466)
  • WB

Supplier Data

Western blot - Anti-PTEN antibody [SP218] - C-terminal (AB228466)

All lanes:

Western blot - Anti-PTEN antibody [SP218] - C-terminal (ab228466) at 1/400 dilution

All lanes:

HeLa (human epithelial cell line from cervix adenocarcinoma) cell lysate

Predicted band size: 47 kDa

false

関連する標識済み抗体及び組成の異なる製品 (9)

  • Carrier free

    Anti-PTEN antibody [SP218] - BSA and Azide free

  • 565 Alexa Fluor® 555

    Alexa Fluor® 555 Anti-PTEN antibody [SP218] - C-terminal

  • 660 APC

    APC Anti-PTEN antibody [SP218] - C-terminal

  • 578 PE

    PE Anti-PTEN antibody [SP218] - C-terminal

  • 519 Alexa Fluor® 488

    Alexa Fluor® 488 Anti-PTEN antibody [SP218] - C-terminal

  • 665 Alexa Fluor® 647

    Alexa Fluor® 647 Anti-PTEN antibody [SP218] - C-terminal

  • 603 Alexa Fluor® 568

    Alexa Fluor® 568 Anti-PTEN - antibody [SP218] - C-terminal

  • 617 Alexa Fluor® 594

    Alexa Fluor® 594 Anti-PTEN antibody [SP218] - C-terminal

  • 775 Alexa Fluor® 750

    Alexa Fluor® 750 Anti-PTEN antibody [SP218] - C-terminal

Key facts

宿主種

Rabbit

クローン性

Monoclonal

クローン番号

SP218

アイソタイプ

IgG

キャリアフリー

No

交差種

Human

アプリケーション

IHC-P, WB, Flow Cyt (Intra)

applications

免疫原

The exact immunogen used to generate this antibody is proprietary information.

Reactivity data

{ "title": "Reactivity Data", "filters": { "stats": ["", "Species", "Dilution Info", "Notes"], "tabs": { "all-applications": {"fullname" : "All Applications", "shortname": "All Applications"}, "FlowCytIntra" : {"fullname" : "Flow Cytometry (Intracellular)", "shortname":"Flow Cyt (Intra)"}, "WB" : {"fullname" : "Western blot", "shortname":"WB"}, "IHCP" : {"fullname" : "Immunohistochemistry (Formalin/PFA-fixed paraffin-embedded sections)", "shortname":"IHC-P"} }, "product-promise": { "all": "all", "testedAndGuaranteed": "tested", "guaranteed": "expected", "predicted": "predicted", "notRecommended": "not-recommended" } }, "values": { "Human": { "FlowCytIntra-species-checked": "testedAndGuaranteed", "FlowCytIntra-species-dilution-info": "1/200 - 1/240", "FlowCytIntra-species-notes": "<p></p>", "WB-species-checked": "testedAndGuaranteed", "WB-species-dilution-info": "1/400", "WB-species-notes": "<p></p>", "IHCP-species-checked": "testedAndGuaranteed", "IHCP-species-dilution-info": "1/200", "IHCP-species-notes": "<p>Boil tissue section in 10mM citrate buffer, pH 6.0 for 10 min followed by cooling at room temperature for 20 min.</p><p>Primary antibody incubation for 10 minutes at room temperature.</p>" }, "Mouse": { "FlowCytIntra-species-checked": "predicted", "FlowCytIntra-species-dilution-info": "", "FlowCytIntra-species-notes": "", "WB-species-checked": "predicted", "WB-species-dilution-info": "", "WB-species-notes": "", "IHCP-species-checked": "predicted", "IHCP-species-dilution-info": "", "IHCP-species-notes": "" }, "Dog": { "FlowCytIntra-species-checked": "predicted", "FlowCytIntra-species-dilution-info": "", "FlowCytIntra-species-notes": "", "WB-species-checked": "predicted", "WB-species-dilution-info": "", "WB-species-notes": "", "IHCP-species-checked": "predicted", "IHCP-species-dilution-info": "", "IHCP-species-notes": "" } } }

製品の詳細

What is this antibody validated in?
Anti-PTEN antibody [SP218] - C-terminal (ab228466) is a rabbit recombinant monoclonal antibody and is validated for use in Western Blot (WB), Flow Cytometry (Intra), Flow Cytometry (Flow Cyt), Immunohistochemistry (IHC-P) in Human samples.

What is the molecular weight of PTEN?
Anti-PTEN [SP218] - C-terminal (ab228466) specifically detects a band for PTEN (UniProt: P60484) at a molecular weight of 47kDa.

Collaboration
Anti-PTEN [SP218] - C-terminal (ab228466) is a clone from the portfolio of Spring Bioscience (Roche) SP clones which have been optimised for immunohistochemistry (IHC).

Trial sizes available!
Test your antibody or perform pre-screening before committing to a larger quantity. Sold in 20µl. Discover our selection of trial-size antibodies.

Other related products
We have a range of other formats of antibody clone [SP218] also available for your convenience: ab228466, Carrier free - ab243940, ab279615, APC - ab310846, PE - ab310916, Alexa Fluor® 488 - ab310986, Alexa Fluor® 647 - ab311110, Alexa Fluor® 594 - ab311732, Alexa Fluor® 568 - ab313009, Alexa Fluor® 555 - ab313213, Alexa Fluor® 750 - ab321465

出荷温度及び保存条件

製品の状態
Liquid
精製方法
Affinity purification Protein A/G
精製に関する特記事項
Purified from TCS by protein A/G.
バッファー組成
pH: 7.6 Preservative: 0.1% Sodium azide Constituents: PBS, 1% BSA
出荷温度
Blue Ice
短期保存期間
1-2 weeks
短期保存温度
+4°C
長期保存温度
-20°C
分注に関する情報
Upon delivery aliquot
保管に関する情報
Avoid freeze / thaw cycle

補足情報

This supplementary information is collated from multiple sources and compiled automatically.

The PTEN protein also known as phosphatase and tensin homolog is a phosphatase enzyme with a molecular mass of approximately 47 kDa. It acts mechanically by removing phosphate groups from phosphatidylinositol (345)-trisphosphate (PIP3) converting it to phosphatidylinositol (45)-bisphosphate. PTEN is ubiquitously expressed in various tissues with pronounced presence in the brain lung kidney and testis. This enzyme is an important regulator of cellular functions through its impact on signaling pathways.
Biological function summary

PTEN plays important roles in cellular processes like apoptosis cell proliferation and migration. It negatively regulates the PI3K/AKT signaling pathway critical for cell survival and growth. PTEN is not part of a larger protein complex but interacts with various other proteins modulating its activity. It maintains cellular homeostasis by balancing growth-promoting signals with cell cycle arrest and apoptotic pathways.

Pathways

PTEN is an important component in the PI3K/AKT and mTOR signaling pathways. These pathways regulate cell growth metabolism and survival and are interlinked with insulin signaling and cancer progression. PTEN's function directly interacts with proteins such as AKT and mTOR serving as a checkpoint that ensures controlled cellular proliferation. This positions PTEN as a tumor suppressor inhibiting uncontrolled cell growth via modulation of these pathways.

PTEN mutations or deletions are strongly associated with various types of cancers including breast and prostate cancer. PTEN interaction with the PI3K/AKT pathway influences cancer development often through loss-of-function mutations leading to unrestrained cellular growth. Beyond cancer PTEN mutations also relate to neurological disorders like Autism Spectrum Disorder where it affects signaling pathways involving proteins like mTOR. Understanding PTEN's role aids in unravelling the mechanistic underpinnings of these diseases paving the way for targeted therapeutic interventions.

製品プロトコール

For this product, it's our understanding that no specific protocols are required. You can visit:

ターゲットの情報

Dual-specificity protein phosphatase, dephosphorylating tyrosine-, serine- and threonine-phosphorylated proteins (PubMed : 9187108, PubMed : 9256433, PubMed : 9616126). Also functions as a lipid phosphatase, removing the phosphate in the D3 position of the inositol ring of PtdIns(3,4,5)P3/phosphatidylinositol 3,4,5-trisphosphate, PtdIns(3,4)P2/phosphatidylinositol 3,4-diphosphate and PtdIns3P/phosphatidylinositol 3-phosphate with a preference for PtdIns(3,4,5)P3 (PubMed : 16824732, PubMed : 26504226, PubMed : 9593664, PubMed : 9811831). Furthermore, this enzyme can also act as a cytosolic inositol 3-phosphatase acting on Ins(1,3,4,5,6)P5/inositol 1,3,4,5,6 pentakisphosphate and possibly Ins(1,3,4,5)P4/1D-myo-inositol 1,3,4,5-tetrakisphosphate (PubMed : 11418101, PubMed : 15979280). Antagonizes the PI3K-AKT/PKB signaling pathway by dephosphorylating phosphoinositides and thereby modulating cell cycle progression and cell survival (PubMed : 31492966, PubMed : 37279284). The unphosphorylated form cooperates with MAGI2 to suppress AKT1 activation (PubMed : 11707428). In motile cells, suppresses the formation of lateral pseudopods and thereby promotes cell polarization and directed movement (PubMed : 22279049). Dephosphorylates tyrosine-phosphorylated focal adhesion kinase and inhibits cell migration and integrin-mediated cell spreading and focal adhesion formation (PubMed : 22279049). Required for growth factor-induced epithelial cell migration; growth factor stimulation induces PTEN phosphorylation which changes its binding preference from the p85 regulatory subunit of the PI3K kinase complex to DLC1 and results in translocation of the PTEN-DLC1 complex to the posterior of migrating cells to promote RHOA activation (PubMed : 26166433). Meanwhile, TNS3 switches binding preference from DLC1 to p85 and the TNS3-p85 complex translocates to the leading edge of migrating cells to activate RAC1 activation (PubMed : 26166433). Plays a role as a key modulator of the AKT-mTOR signaling pathway controlling the tempo of the process of newborn neurons integration during adult neurogenesis, including correct neuron positioning, dendritic development and synapse formation (By similarity). Involved in the regulation of synaptic function in excitatory hippocampal synapses. Recruited to the postsynaptic membrane upon NMDA receptor activation, is required for the modulation of synaptic activity during plasticity. Enhancement of lipid phosphatase activity is able to drive depression of AMPA receptor-mediated synaptic responses, activity required for NMDA receptor-dependent long-term depression (LTD) (By similarity). May be a negative regulator of insulin signaling and glucose metabolism in adipose tissue. The nuclear monoubiquitinated form possesses greater apoptotic potential, whereas the cytoplasmic nonubiquitinated form induces less tumor suppressive ability (PubMed : 10468583, PubMed : 18716620).. Isoform alpha. Functional kinase, like isoform 1 it antagonizes the PI3K-AKT/PKB signaling pathway. Plays a role in mitochondrial energetic metabolism by promoting COX activity and ATP production, via collaboration with isoform 1 in increasing protein levels of PINK1.
See full target information PTEN

文献 (7)

Recent publications for all applications. Explore the full list and refine your search

Virchows Archiv : an international journal of pathology 487:87-96 PubMed39653828

2024

High interobserver variability of PTEN immunohistochemistry defining PTEN status in low- to intermediate-risk prostate cancer: results of the first German ring trial.

Applications

Unspecified application

Species

Unspecified reactive species

Oliver Hommerding,Marit Bernhardt,Tobias Kreft,Anna Scherping,Mahmoud Abbas,Gustavo Baretton,Jan Hinrich Bräsen,Johannes Breyer,Christopher Darr,Franz Friedrich Dressler,Jörg Ellinger,Ramona Erber,Irene Esposito,Arndt Hartmann,Wolfgang Hartmann,Barbara Heitplatz,Hans Kreipe,Marcel Lafos,Johannes Linxweiler,Cristina Lopez-Cotarelo,Verena Sailer,Henning Reis,Matthias Saar,Hans-Ulrich Schildhaus,Katrin Schlack,Matthias Schmid,Maximilian Seidl,Axel Semjonow,Ulrich Sommer,Phillip Rolf Stahl,Verena Tischler,Florian Weber,Anna-Lena Wulf,Bernd Wullich,Glen Kristiansen

Frontiers in oncology 13:1130048 PubMed37305585

2023

A new tumorgraft panel to accelerate precision medicine in prostate cancer.

Applications

Unspecified application

Species

Unspecified reactive species

Claire Béraud,Nadege Bidan,Myriam Lassalle,Hervé Lang,Véronique Lindner,Clémentine Krucker,Julien Masliah-Planchon,Eric Potiron,Philippe Lluel,Thierry Massfelder,Yves Allory,Yolande Misseri

Molecular therapy. Nucleic acids 17:644-656 PubMed31400607

2019

lncRNA GAS5 Inhibits Cell Migration and Invasion and Promotes Autophagy by Targeting miR-222-3p via the GAS5/PTEN-Signaling Pathway in CRC.

Applications

Unspecified application

Species

Unspecified reactive species

Lin Liu,Hai-Jiang Wang,Tao Meng,Cheng Lei,Xin-Hui Yang,Qi-San Wang,Bo Jin,Jin-Feng Zhu

Journal of molecular neuroscience : MN 69:123-132 PubMed31127537

2019

Potential Roles of miR-374a-5p in Mediating Neuroprotective Effects and Related Molecular Mechanism.

Applications

Unspecified application

Species

Unspecified reactive species

Feng Jiang,Min Yang,Chuyan Wu,Jimei Wang

Oncology reports 41:351-360 PubMed30365133

2018

MicroRNA‑494 promotes the proliferation and migration of human glioma cancer cells through the protein kinase B/mechanistic target of rapamycin pathway by phosphatase and tensin homolog expression.

Applications

Unspecified application

Species

Unspecified reactive species

Kun Han,Zhao Jian Li,Peng Sun

Oncology research 26:869-878 PubMed29212574

2017

Overexpression of Long Noncoding RNA PTENP1 Inhibits Cell Proliferation and Migration via Suppression of miR-19b in Breast Cancer Cells.

Applications

Unspecified application

Species

Unspecified reactive species

Xianbiao Shi,Xiaoqiao Tang,Lei Su

Cancer research 75:1560-6 PubMed25712343

2015

Evaluating patient-derived colorectal cancer xenografts as preclinical models by comparison with patient clinical data.

Applications

Unspecified application

Species

Unspecified reactive species

Manoel Nunes,Patricia Vrignaud,Sophie Vacher,Sophie Richon,Astrid Lièvre,Wulfran Cacheux,Louis-Bastien Weiswald,Gerald Massonnet,Sophie Chateau-Joubert,André Nicolas,Colette Dib,Weidong Zhang,James Watters,Donald Bergstrom,Sergio Roman-Roman,Ivan Bièche,Virginie Dangles-Marie
View all publications
websiteProtocolBooklet
en

Abcam product promise

当社は、高品質な試薬を通じてお客様の研究を力強くサポートすることをお約束いたします。ご使用いただく各段階で、常にお客様をサポートできる体制を整えております。万が一、製品が期待通りに機能しない場合は、「Abcam Product Promise」による当社保証制度に基づき、安心してご利用いただけます。
保証に関する詳細については利用規約をご確認ください。

Please note: All products are 'FOR RESEARCH USE ONLY. NOT FOR USE IN DIAGNOSTIC OR THERAPEUTIC PROCEDURES'.

For licensing inquiries, please contact partnerships@abcam.com