JavaScript is disabled in your browser. Please enable JavaScript to view this website.
AB13680

Anti-Psoriasin 抗体 [47C1068]

Anti-Psoriasin antibody [47C1068]

5

(2 Reviews)

|

(27 Publications)

Mouse Monoclonal Psoriasin antibody. Suitable for IHC-P, IP, Flow Cyt, WB, ICC/IF, IHC-Fr, Flow Cyt (Intra) and reacts with Human samples. Cited in 27 publications. Immunogen corresponding to Recombinant Full Length Protein corresponding to Human S100A7.

別名を表示する

PSOR1, S100A7C, S100A7, Protein S100-A7, Psoriasin, S100 calcium-binding protein A7

5 Images
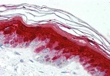
Immunohistochemistry (Formalin/PFA-fixed paraffin-embedded sections) - Anti-Psoriasin antibody [47C1068] (AB13680)
  • IHC-P

Supplier Data

Immunohistochemistry (Formalin/PFA-fixed paraffin-embedded sections) - Anti-Psoriasin antibody [47C1068] (AB13680)

Immunohistochemistry analysis of formalin-fixed paraffin-embedded human skin tissue after heat-induced antigen retrieval, staining psoriasin with ab13680 in 10 μg/mL concentration.

Immunohistochemistry (Formalin/PFA-fixed paraffin-embedded sections) - Anti-Psoriasin antibody [47C1068] (AB13680)
  • IHC-P

Supplier Data

Immunohistochemistry (Formalin/PFA-fixed paraffin-embedded sections) - Anti-Psoriasin antibody [47C1068] (AB13680)

Immunohistochemistry analysis of human esophageal squamous cell carcinoma (SCC) staining psoriasin with ab13680 in 5 μg/mL concentration.

Immunocytochemistry/ Immunofluorescence - Anti-Psoriasin antibody [47C1068] (AB13680)
  • ICC/IF

Unknown

Immunocytochemistry/ Immunofluorescence - Anti-Psoriasin antibody [47C1068] (AB13680)

ICC/IF image of ab13680 stained HeLa cells. The cells were 4% formaldehyde fixed (10 min) and then incubated in 1%BSA / 10% normal goat serum / 0.3M glycine in 0.1% PBS-Tween for 1h to permeabilise the cells and block non-specific protein-protein interactions. The cells were then incubated with the antibody (ab13680, 5µg/ml) overnight at +4°C. The secondary antibody (green) was Alexa Fluor® 488 goat anti-mouse IgG (H+L) used at a 1/1000 dilution for 1h. Alexa Fluor® 594 WGA was used to label plasma membranes (red) at a 1/200 dilution for 1h. DAPI was used to stain the cell nuclei (blue) at a concentration of 1.43µM.

Western blot - Anti-Psoriasin antibody [47C1068] (AB13680)
  • WB

Unknown

Western blot - Anti-Psoriasin antibody [47C1068] (AB13680)

Western blot analysis of Psoriasin in confluent MCF10A cells using ab13680 at 1 μg/ml.

Western blot analysis of Psoriasin in confluent MCF10A cells using ab13680 at 1 µg/ml.

All lanes:

Western blot - Anti-Psoriasin antibody [47C1068] (ab13680)

Predicted band size: 11 kDa

false

Western blot - Anti-Psoriasin antibody [47C1068] (AB13680)
  • WB

Supplier Data

Western blot - Anti-Psoriasin antibody [47C1068] (AB13680)

All lanes:

Western blot - Anti-Psoriasin antibody [47C1068] (ab13680) at 1 µg/mL

Lane 1:

MCF10A cell lysate

Lane 2:

MCF7 cell lysate

Predicted band size: 11 kDa

false

Key facts

宿主種

Mouse

クローン性

Monoclonal

クローン番号

47C1068

アイソタイプ

IgG1

軽鎖のタイプ

kappa

キャリアフリー

No

交差種

Human

アプリケーション

Flow Cyt, IHC-Fr, IHC-P, IP, Flow Cyt (Intra), ICC/IF, WB

applications

免疫原

Recombinant Full Length Protein corresponding to Human S100A7.

P31151

Reactivity data

{ "title": "Reactivity Data", "filters": { "stats": ["", "Species", "Dilution Info", "Notes"], "tabs": { "all-applications": {"fullname" : "All Applications", "shortname": "All Applications"}, "IHCP" : {"fullname" : "Immunohistochemistry (Formalin/PFA-fixed paraffin-embedded sections)", "shortname":"IHC-P"}, "IP" : {"fullname" : "Immunoprecipitation", "shortname":"IP"}, "FlowCyt" : {"fullname" : "Flow Cytometry", "shortname":"Flow Cyt"}, "WB" : {"fullname" : "Western blot", "shortname":"WB"}, "ICCIF" : {"fullname" : "Immunocytochemistry/ Immunofluorescence", "shortname":"ICC/IF"}, "IHCFr" : {"fullname" : "Immunohistochemistry (Frozen sections)", "shortname":"IHC-Fr"}, "FlowCytIntra" : {"fullname" : "Flow Cytometry (Intracellular)", "shortname":"Flow Cyt (Intra)"} }, "product-promise": { "all": "all", "testedAndGuaranteed": "tested", "guaranteed": "expected", "predicted": "predicted", "notRecommended": "not-recommended" } }, "values": { "Human": { "IHCP-species-checked": "testedAndGuaranteed", "IHCP-species-dilution-info": "", "IHCP-species-notes": "<p></p> Perform heat-mediated antigen retrieval before commencing with IHC staining protocol.", "IP-species-checked": "guaranteed", "IP-species-dilution-info": "", "IP-species-notes": "<p></p>", "FlowCyt-species-checked": "guaranteed", "FlowCyt-species-dilution-info": "", "FlowCyt-species-notes": "<p><a href='/products/primary-antibodies/mouse-igg1-kappa-monoclonal-15-6e10a7-isotype-control-ab170190'>ab170190</a> - Mouse monoclonal IgG1, is suitable for use as an isotype control with this antibody.</p>", "WB-species-checked": "testedAndGuaranteed", "WB-species-dilution-info": "1-3 µg/mL", "WB-species-notes": "<p></p>", "ICCIF-species-checked": "testedAndGuaranteed", "ICCIF-species-dilution-info": "5 µg/mL", "ICCIF-species-notes": "<p></p>", "IHCFr-species-checked": "guaranteed", "IHCFr-species-dilution-info": "", "IHCFr-species-notes": "<p>(PMID 18606705).</p>", "FlowCytIntra-species-checked": "guaranteed", "FlowCytIntra-species-dilution-info": "", "FlowCytIntra-species-notes": "<p></p>" } } }

出荷温度及び保存条件

製品の状態
Liquid
精製方法
Affinity purification Protein G
精製に関する特記事項
This antibody is affinity purified.
バッファー組成
pH: 7.4 Preservative: 0.05% Sodium azide Constituents: PBS, 0.05% BSA
出荷温度
Blue Ice
短期保存期間
1-2 weeks
短期保存温度
+4°C
長期保存温度
-20°C
分注に関する情報
Upon delivery aliquot
保管に関する情報
Avoid freeze / thaw cycle

補足情報

This supplementary information is collated from multiple sources and compiled automatically.

Psoriasin also known as S100A7 is a member of the S100 protein family. It has a molecular mass of approximately 11.4 kDa. This protein exhibits calcium binding properties that influence its function. Psoriasin primarily expresses in keratinocytes which are predominant in the epidermis of the skin. Additionally it appears in various epithelia like mucous membranes. The expression levels rise in certain skin conditions suggesting it has a role in skin physiology.
Biological function summary

Psoriasin acts as an antimicrobial peptide contributing to the skin’s defense system against microbial invasion. It helps in controlling the growth of bacteria like E. coli and fungi. The protein does not function as part of a larger complex. Instead it operates independently to maintain the integrity of the skin barrier. Psoriasin also shows involvement in the inflammatory response of the skin where it interact with other immune system players.

Pathways

Several biological systems involve psoriasin including inflammation and skin homeostasis pathways. It interacts closely with other S100 proteins such as S100A8 and S100A9 which are part of the inflammatory process. These interactions can regulate immune cell migration and cytokine production highlighting its active role in modulating skin immune responses. Psoriasin serves as an important component in maintaining the balance between immune protection and inflammation within these pathways.

Psoriasin associates with psoriasis and breast cancer. In psoriasis it significantly increases aligning with its role in inflammation and skin barrier maintenance. The upregulation of psoriasin in psoriasis has been linked to overexpression of related proteins like S100A8 contributing to the chronic inflammatory state. In breast cancer particularly in certain carcinoma contexts its presence suggests a role in cancer cell survival. Researchers study its interaction with proteins in the cancer microenvironment to better understand its influence on tumor progression.

製品プロトコール

For this product, it's our understanding that no specific protocols are required. You can visit:

ターゲットの情報

See full target information S100A7

文献 (27)

Recent publications for all applications. Explore the full list and refine your search

Postepy dermatologii i alergologii 41:364-371 PubMed39290897

2024

Increased expression of psoriasin (S100A7) and interleukin 17 (IL-17) in lesional skin in lichen planopilaris.

Applications

Unspecified application

Species

Unspecified reactive species

Agnieszka Otlewska-Szpotowicz,Wojciech Baran,Zdzisław Woźniak,Jacek Szepietowski,Aleksandra Batycka-Baran

Postepy dermatologii i alergologii 41:220-225 PubMed38784924

2024

IL-17: a novel player in the pathogenesis of vulvar lichen sclerosus.

Applications

Unspecified application

Species

Unspecified reactive species

Wojciech Baran,Zdzisław Woźniak,Aleksandra Batycka-Baran

PLoS pathogens 18:e1010775 PubMed35976902

2022

Single-cell analysis of Kaposi's sarcoma-associated herpesvirus infection in three-dimensional air-liquid interface culture model.

Applications

Unspecified application

Species

Unspecified reactive species

Kyle L Jung,Un Yung Choi,Angela Park,Suan-Sin Foo,Stephanie Kim,Shin-Ae Lee,Jae U Jung

Cell death & disease 12:86 PubMed33452236

2021

Weighted gene coexpression network and experimental analyses identify lncRNA SPRR2C as a regulator of the IL-22-stimulated HaCaT cell phenotype through the miR-330/STAT1/S100A7 axis.

Applications

Unspecified application

Species

Unspecified reactive species

Meijunzi Luo,Pan Huang,Yi Pan,Zhu Zhu,Rong Zhou,Zhibo Yang,Chang Wang

Journal of the European Academy of Dermatology and Venereology : JEADV 34 Suppl 6:3-9 PubMed32783265

2020

Effective inhibition of Th17/Th22 pathway in 2D and 3D human models of psoriasis by Celastrol enriched plant cell culture extract.

Applications

Unspecified application

Species

Unspecified reactive species

T Nguyen,F Lestienne,A Cousy,V Mengeaud,N Castex-Rizzi

Journal of autoimmunity 89:30-40 PubMed29167025

2017

Decrease of galectin-3 in keratinocytes: A potential diagnostic marker and a critical contributor to the pathogenesis of psoriasis.

Applications

WB

Species

Human

Zhen-Rui Shi,Guo-Zhen Tan,Cui-Xiang Cao,Yan-Fang Han,Zhen Meng,Xiao-Yong Man,Ze-Xin Jiang,Yu-Ping Zhang,Ning-Ning Dang,Kai-Hua Wei,Ding-Fang Bu,Fu-Tong Liu,Liangchun Wang

Scientific reports 7:15631 PubMed29142248

2017

The psoriasis-associated IL-17A induces and cooperates with IL-36 cytokines to control keratinocyte differentiation and function.

Applications

Unspecified application

Species

Unspecified reactive species

Carolina M Pfaff,Yvonne Marquardt,Katharina Fietkau,Jens M Baron,Bernhard Lüscher

Molecular cancer research : MCR 15:1752-1763 PubMed28923839

2017

YAP Expression and Activity Are Suppressed by S100A7 via p65/NFκB-mediated Repression of ΔNp63.

Applications

Unspecified application

Species

Unspecified reactive species

Yunguang Li,Fei Kong,Qirui Shao,Rui Wang,Enze Hu,Jin Liu,Chang Jin,Dacheng He,Xueyuan Xiao

Experimental and therapeutic medicine 13:2151-2160 PubMed28565822

2017

Molecular and cellular impact of Psoriasin (S100A7) on the healing of human wounds.

Applications

Unspecified application

Species

Unspecified reactive species

Aravindan Rangaraj,Lin Ye,Andrew James Sanders,Patricia Elaine Price,Keith Gordon Harding,Wen Guo Jiang

Oncotarget 8:24804-24814 PubMed28177901

2017

S100A7 promotes lung adenocarcinoma to squamous carcinoma transdifferentiation, and its expression is differentially regulated by the Hippo-YAP pathway in lung cancer cells.

Applications

WB

Species

Human

Rui Wang,Yunguang Li,Enze Hu,Fei Kong,Junhao Wang,Jin Liu,Qirui Shao,Ying Hao,Dacheng He,Xueyuan Xiao
View all publications

Abcam product promise

当社は、高品質な試薬を通じてお客様の研究を力強くサポートすることをお約束いたします。ご使用いただく各段階で、常にお客様をサポートできる体制を整えております。万が一、製品が期待通りに機能しない場合は、「Abcam Product Promise」による当社保証制度に基づき、安心してご利用いただけます。
保証に関する詳細については利用規約をご確認ください。

Please note: All products are 'FOR RESEARCH USE ONLY. NOT FOR USE IN DIAGNOSTIC OR THERAPEUTIC PROCEDURES'.

For licensing inquiries, please contact partnerships@abcam.com