JavaScript is disabled in your browser. Please enable JavaScript to view this website.
AB167396

Anti-PSMG1 抗体 [EPR10223]

Anti-PSMG1 antibody [EPR10223]

Be the first to review this product! Submit a review

|

(1 Publication)

Rabbit Recombinant Monoclonal PSMG1 antibody. Suitable for IHC-P, IP, WB, ICC/IF and reacts with Human samples. Cited in 1 publication.

別名を表示する

C21LRP, DSCR2, PAC1, PSMG1, Proteasome assembly chaperone 1, PAC-1, Chromosome 21 leucine-rich protein, Down syndrome critical region protein 2, Proteasome chaperone homolog 1, C21-LRP, Pba1

5 Images
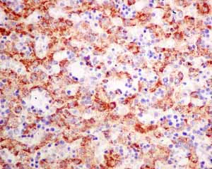
Immunohistochemistry (Formalin/PFA-fixed paraffin-embedded sections) - Anti-PSMG1 antibody [EPR10223] (AB167396)
  • IHC-P

Unknown

Immunohistochemistry (Formalin/PFA-fixed paraffin-embedded sections) - Anti-PSMG1 antibody [EPR10223] (AB167396)

Immunohistochemical analysis of paraffin-embedded Human testis tissue labeing PSMG1 with ab167396 at 1/250 dilution.

Perform heat mediated antigen retrieval with citrate buffer pH 6 before commencing with IHC staining protocol.

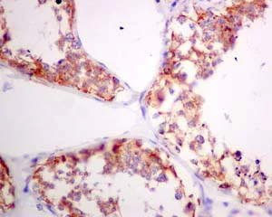
Immunohistochemistry (Formalin/PFA-fixed paraffin-embedded sections) - Anti-PSMG1 antibody [EPR10223] (AB167396)
  • IHC-P

Unknown

Immunohistochemistry (Formalin/PFA-fixed paraffin-embedded sections) - Anti-PSMG1 antibody [EPR10223] (AB167396)

Immunohistochemical analysis of paraffin-embedded Human brain tissue labeling PSMG1 with ab167396 at 1/250 dilution.

Perform heat mediated antigen retrieval with citrate buffer pH 6 before commencing with IHC staining protocol.

Immunocytochemistry/ Immunofluorescence - Anti-PSMG1 antibody [EPR10223] (AB167396)
  • ICC/IF

Unknown

Immunocytochemistry/ Immunofluorescence - Anti-PSMG1 antibody [EPR10223] (AB167396)

Immunofluorescent analysis of HepG2 cells, labeling PSMG1 with ab167396 at 1/250 dilution.

Immunoprecipitation - Anti-PSMG1 antibody [EPR10223] (AB167396)
  • IP

Unknown

Immunoprecipitation - Anti-PSMG1 antibody [EPR10223] (AB167396)

Detection of PSMG1 by Western Blot of Immunprecipitate. HepG2 cell lysate immunoprecipitated using ab167396 at 1/10 dilution.

All lanes:

Immunoprecipitation - Anti-PSMG1 antibody [EPR10223] (ab167396) at 1/10000 dilution

All lanes:

Immunoprecipitation pellet from HepG2 cell lysate at 10 µg

Predicted band size: 33 kDa

false

Western blot - Anti-PSMG1 antibody [EPR10223] (AB167396)
  • WB

Unknown

Western blot - Anti-PSMG1 antibody [EPR10223] (AB167396)

All lanes:

Western blot - Anti-PSMG1 antibody [EPR10223] (ab167396) at 1/10000 dilution

Lane 1:

U-87 MG cell lysate at 10 µg

Lane 2:

Jurkat cell lysate at 10 µg

Lane 3:

293T cell lysate at 10 µg

Lane 4:

HepG2 cell lysate at 10 µg

Secondary

All lanes:

Goat anti-rabbit HRP at 1/2000 dilution

Predicted band size: 33 kDa

false

関連する標識済み抗体及び組成の異なる製品 (1)

  • Carrier free

    Anti-PSMG1 antibody [EPR10223] - BSA and Azide free

Key facts

宿主種

Rabbit

クローン性

Monoclonal

クローン番号

EPR10223

アイソタイプ

IgG

キャリアフリー

No

交差種

Human

アプリケーション

WB, ICC/IF, IP, IHC-P

applications

免疫原

The exact immunogen used to generate this antibody is proprietary information.

Reactivity data

{ "title": "Reactivity Data", "filters": { "stats": ["", "Species", "Dilution Info", "Notes"], "tabs": { "all-applications": {"fullname" : "All Applications", "shortname": "All Applications"}, "IHCP" : {"fullname" : "Immunohistochemistry (Formalin/PFA-fixed paraffin-embedded sections)", "shortname":"IHC-P"}, "IP" : {"fullname" : "Immunoprecipitation", "shortname":"IP"}, "FlowCyt" : {"fullname" : "Flow Cytometry", "shortname":"Flow Cyt"}, "WB" : {"fullname" : "Western blot", "shortname":"WB"}, "ICCIF" : {"fullname" : "Immunocytochemistry/ Immunofluorescence", "shortname":"ICC/IF"} }, "product-promise": { "all": "all", "testedAndGuaranteed": "tested", "guaranteed": "expected", "predicted": "predicted", "notRecommended": "not-recommended" } }, "values": { "Human": { "IHCP-species-checked": "testedAndGuaranteed", "IHCP-species-dilution-info": "1/250 - 1/500", "IHCP-species-notes": "<p></p> Perform heat-mediated antigen retrieval with citrate buffer pH 6 before commencing with IHC staining protocol.", "IP-species-checked": "testedAndGuaranteed", "IP-species-dilution-info": "1/10 - 1/100", "IP-species-notes": "<p></p>", "FlowCyt-species-checked": "notRecommended", "FlowCyt-species-dilution-info": "", "FlowCyt-species-notes": "<p></p>", "WB-species-checked": "testedAndGuaranteed", "WB-species-dilution-info": "1/10000 - 1/50000", "WB-species-notes": "<p></p>", "ICCIF-species-checked": "testedAndGuaranteed", "ICCIF-species-dilution-info": "1/250 - 1/500", "ICCIF-species-notes": "<p></p>" }, "Mouse": { "IHCP-species-checked": "predicted", "IHCP-species-dilution-info": "", "IHCP-species-notes": "", "IP-species-checked": "predicted", "IP-species-dilution-info": "", "IP-species-notes": "", "FlowCyt-species-checked": "notRecommended", "FlowCyt-species-dilution-info": "", "FlowCyt-species-notes": "", "WB-species-checked": "predicted", "WB-species-dilution-info": "", "WB-species-notes": "", "ICCIF-species-checked": "predicted", "ICCIF-species-dilution-info": "", "ICCIF-species-notes": "" }, "Rat": { "IHCP-species-checked": "predicted", "IHCP-species-dilution-info": "", "IHCP-species-notes": "", "IP-species-checked": "predicted", "IP-species-dilution-info": "", "IP-species-notes": "", "FlowCyt-species-checked": "notRecommended", "FlowCyt-species-dilution-info": "", "FlowCyt-species-notes": "", "WB-species-checked": "predicted", "WB-species-dilution-info": "", "WB-species-notes": "", "ICCIF-species-checked": "predicted", "ICCIF-species-dilution-info": "", "ICCIF-species-notes": "" } } }

製品の詳細

Patented technology
Our RabMAb® technology is a patented hybridoma-based technology for making rabbit monoclonal antibodies. For details on our patents, please refer to RabMAb® patents.

What are the advantages of a recombinant monoclonal antibody?
This product is a recombinant monoclonal antibody, which offers several advantages including:

  • - High batch-to-batch consistency and reproducibility
  • - Improved sensitivity and specificity
  • - Long-term security of supply
  • - Animal-free batch production

For more information, read more on recombinant antibodies.

出荷温度及び保存条件

製品の状態
Liquid
精製方法
Affinity purification Protein A
バッファー組成
pH: 7.2 - 7.4 Preservative: 0.01% Sodium azide Constituents: PBS, 50% Tissue culture supernatant, 40% Glycerol (glycerin, glycerine), 0.05% BSA
出荷温度
Blue Ice
短期保存期間
1-2 weeks
短期保存温度
+4°C
長期保存温度
-20°C
分注に関する情報
Upon delivery aliquot

補足情報

This supplementary information is collated from multiple sources and compiled automatically.

PSMG1 also known as Proteasome Assembly Chaperone 1 or PAC1 is involved in the assembly of the 20S proteasome complex which is essential for protein degradation. This protein has a mass of approximately 36 kDa. Researchers have identified its expression primarily in the cytoplasm and nucleus of various cell types across different human tissues suggesting a broad functional role.
Biological function summary

PSMG1 participates as a chaperone that guides the proper assembly of the proteasome complex. It partners with other chaperones such as PSMG2 to help ensure that the proteasome particles achieve their correct configuration. By doing so it maintains protein homeostasis within cells which is essential for cellular function and survival. Its activity is critical for regulating the protein quality control system.

Pathways

PSMG1 plays a role in the ubiquitin-proteasome pathway which is responsible for protein degradation and turnover. This protein also interacts with other components of the pathway such as ubiquitin and various proteasome subunits. PSMG1's function within these pathways highlights its interaction with proteins involved in regulating the cell cycle and apoptosis ensuring cells respond properly to stress and damage.

PSMG1 has been linked to conditions such as cancer and neurodegenerative diseases. Abnormalities in its function can lead to disruptions in the proteasome pathway affecting proteins like p53 an important regulator of cell cycle and apoptosis. These links point to the importance of PSMG1 in maintaining cellular integrity and underline its significance in disease progression offering potential insights for therapeutic targets.

製品プロトコール

For this product, it's our understanding that no specific protocols are required. You can visit:

ターゲットの情報

Chaperone protein which promotes assembly of the 20S proteasome as part of a heterodimer with PSMG2. The PSMG1-PSMG2 heterodimer binds to the PSMA5 and PSMA7 proteasome subunits, promotes assembly of the proteasome alpha subunits into the heteroheptameric alpha ring and prevents alpha ring dimerization.
See full target information PSMG1

文献 (1)

Recent publications for all applications. Explore the full list and refine your search

Scientific reports 7:9365 PubMed28839214

2017

The role of the immunoproteasome in interferon-γ-mediated microglial activation.

Applications

Unspecified application

Species

Unspecified reactive species

Kasey E Moritz,Nikki M McCormack,Mahlet B Abera,Coralie Viollet,Young J Yauger,Gauthaman Sukumar,Clifton L Dalgard,Barrington G Burnett
View all publications

Abcam product promise

当社は、高品質な試薬を通じてお客様の研究を力強くサポートすることをお約束いたします。ご使用いただく各段階で、常にお客様をサポートできる体制を整えております。万が一、製品が期待通りに機能しない場合は、「Abcam Product Promise」による当社保証制度に基づき、安心してご利用いただけます。
保証に関する詳細については利用規約をご確認ください。

Please note: All products are 'FOR RESEARCH USE ONLY. NOT FOR USE IN DIAGNOSTIC OR THERAPEUTIC PROCEDURES'.

For licensing inquiries, please contact partnerships@abcam.com