JavaScript is disabled in your browser. Please enable JavaScript to view this website.
AB140426

Anti-Proteasome subunit beta type 2/PSMB2 抗体

Anti-Proteasome subunit beta type 2/PSMB2 antibody

Be the first to review this product! Submit a review

|

(3 Publications)

Rabbit Polyclonal Proteasome subunit beta type 2/PSMB2 antibody. Suitable for IP, WB, IHC-P and reacts with Human samples. Cited in 3 publications. Immunogen corresponding to Synthetic Peptide within Human PSMB2 aa 150 to C-terminus.

別名を表示する

Proteasome subunit beta type-2, Macropain subunit C7-I, Multicatalytic endopeptidase complex subunit C7-I, Proteasome component C7-I, Proteasome subunit beta-4, beta-4, PSMB2

3 Images
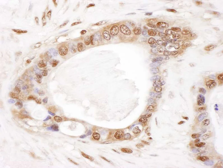
Immunohistochemistry (Formalin/PFA-fixed paraffin-embedded sections) - Anti-Proteasome subunit beta type 2/PSMB2 antibody (AB140426)
  • IHC-P

Supplier Data

Immunohistochemistry (Formalin/PFA-fixed paraffin-embedded sections) - Anti-Proteasome subunit beta type 2/PSMB2 antibody (AB140426)

Immunohistochemistry of human ovarian carcinoma tissue using ab140426 at 1/5000.

Immunoprecipitation - Anti-Proteasome subunit beta type 2/PSMB2 antibody (AB140426)
  • IP

Unknown

Immunoprecipitation - Anti-Proteasome subunit beta type 2/PSMB2 antibody (AB140426)

Detection of Proteasome subunit beta type 2/PSMB2 in Immunoprecipitates of 293T whole cell lysates (1 mg for IP, 20% of IP loaded) using ab140426 at 6 μg/mg lysate for IP (Lane 1). Lane 2 represents control IgG IP.
Detection : Chemiluminescence with an exposure time of 30 seconds.

All lanes:

Immunoprecipitation - Anti-Proteasome subunit beta type 2/PSMB2 antibody (ab140426)

Predicted band size: 23 kDa

false

Western blot - Anti-Proteasome subunit beta type 2/PSMB2 antibody (AB140426)
  • WB

Unknown

Western blot - Anti-Proteasome subunit beta type 2/PSMB2 antibody (AB140426)

All lanes:

Western blot - Anti-Proteasome subunit beta type 2/PSMB2 antibody (ab140426) at 0.1 µg/mL

Lane 1:

293T whole cell lysate at 50 µg

Lane 2:

293T whole cell lysate at 15 µg

Lane 3:

HeLa whole cell lysate at 50 µg

Lane 4:

Jurkat whole cell lysate at 50 µg

Predicted band size: 23 kDa

true

Exposure time: 30s

Key facts

宿主種

Rabbit

クローン性

Polyclonal

アイソタイプ

IgG

キャリアフリー

No

交差種

Human

アプリケーション

IHC-P, WB, IP

applications

免疫原

Synthetic Peptide within Human PSMB2 aa 150 to C-terminus. The exact immunogen used to generate this antibody is proprietary information.

P49721

Reactivity data

{ "title": "Reactivity Data", "filters": { "stats": ["", "Species", "Dilution Info", "Notes"], "tabs": { "all-applications": {"fullname" : "All Applications", "shortname": "All Applications"}, "IP" : {"fullname" : "Immunoprecipitation", "shortname":"IP"}, "WB" : {"fullname" : "Western blot", "shortname":"WB"}, "IHCP" : {"fullname" : "Immunohistochemistry (Formalin/PFA-fixed paraffin-embedded sections)", "shortname":"IHC-P"} }, "product-promise": { "all": "all", "testedAndGuaranteed": "tested", "guaranteed": "expected", "predicted": "predicted", "notRecommended": "not-recommended" } }, "values": { "Human": { "IP-species-checked": "testedAndGuaranteed", "IP-species-dilution-info": "2-10 µg/mg of lysate", "IP-species-notes": "<p></p>", "WB-species-checked": "testedAndGuaranteed", "WB-species-dilution-info": "1/2000 - 1/10000", "WB-species-notes": "<p></p>", "IHCP-species-checked": "testedAndGuaranteed", "IHCP-species-dilution-info": "1/5000", "IHCP-species-notes": "<p></p>" }, "Chimpanzee": { "IP-species-checked": "predicted", "IP-species-dilution-info": "", "IP-species-notes": "", "WB-species-checked": "predicted", "WB-species-dilution-info": "", "WB-species-notes": "", "IHCP-species-checked": "predicted", "IHCP-species-dilution-info": "", "IHCP-species-notes": "" }, "Cow": { "IP-species-checked": "predicted", "IP-species-dilution-info": "", "IP-species-notes": "", "WB-species-checked": "predicted", "WB-species-dilution-info": "", "WB-species-notes": "", "IHCP-species-checked": "predicted", "IHCP-species-dilution-info": "", "IHCP-species-notes": "" }, "Dog": { "IP-species-checked": "predicted", "IP-species-dilution-info": "", "IP-species-notes": "", "WB-species-checked": "predicted", "WB-species-dilution-info": "", "WB-species-notes": "", "IHCP-species-checked": "predicted", "IHCP-species-dilution-info": "", "IHCP-species-notes": "" }, "Gorilla": { "IP-species-checked": "predicted", "IP-species-dilution-info": "", "IP-species-notes": "", "WB-species-checked": "predicted", "WB-species-dilution-info": "", "WB-species-notes": "", "IHCP-species-checked": "predicted", "IHCP-species-dilution-info": "", "IHCP-species-notes": "" }, "Guinea pig": { "IP-species-checked": "predicted", "IP-species-dilution-info": "", "IP-species-notes": "", "WB-species-checked": "predicted", "WB-species-dilution-info": "", "WB-species-notes": "", "IHCP-species-checked": "predicted", "IHCP-species-dilution-info": "", "IHCP-species-notes": "" }, "Orangutan": { "IP-species-checked": "predicted", "IP-species-dilution-info": "", "IP-species-notes": "", "WB-species-checked": "predicted", "WB-species-dilution-info": "", "WB-species-notes": "", "IHCP-species-checked": "predicted", "IHCP-species-dilution-info": "", "IHCP-species-notes": "" }, "Rabbit": { "IP-species-checked": "predicted", "IP-species-dilution-info": "", "IP-species-notes": "", "WB-species-checked": "predicted", "WB-species-dilution-info": "", "WB-species-notes": "", "IHCP-species-checked": "predicted", "IHCP-species-dilution-info": "", "IHCP-species-notes": "" }, "Rhesus monkey": { "IP-species-checked": "predicted", "IP-species-dilution-info": "", "IP-species-notes": "", "WB-species-checked": "predicted", "WB-species-dilution-info": "", "WB-species-notes": "", "IHCP-species-checked": "predicted", "IHCP-species-dilution-info": "", "IHCP-species-notes": "" } } }

出荷温度及び保存条件

製品の状態
Liquid
精製方法
Affinity purification Immunogen
精製に関する特記事項
ab140426 was affinity purified using an epitope specific to Proteasome subunit beta type 2/PSMB2 immobilized on solid support.
バッファー組成
pH: 7 - 8 Preservative: 0.09% Sodium azide Constituents: 99% Tris citrate/phosphate
出荷温度
Blue Ice
短期保存温度
+4°C
長期保存温度
+4°C

補足情報

This supplementary information is collated from multiple sources and compiled automatically.

Proteasome subunit beta type 2 also known as PSMB2 is a part of the proteasome complex which plays an important role in protein degradation. PSMB2 has a mass of about 22 kDa and functions within the multi-catalytic proteinase complex known as the 20S proteasome core particle. This protein is expressed in various tissues with significant activities found in cells that demand high protein turnover. PSMB2 contributes to the proteasome's chymotrypsin-like activity aiding in the breakdown of damaged or unneeded proteins into peptides.
Biological function summary

Proteasome subunit beta type 2 is essential in maintaining protein homeostasis. It functions as a component of the 20S core of the 26S proteasome where it participates in degrading ubiquitin-tagged proteins. This complex also regulates multiple cellular processes including cell cycle progression and signal transduction. Proper function of PSMB2 is necessary for removing misfolded or damaged proteins thereby preventing their accumulation which could be toxic to cells.

Pathways

Proteasome subunit beta type 2 has a role in the ubiquitin-proteasome pathway which is important for protein degradation and turnover. This pathway contributes to important cellular processes such as DNA repair and antigen processing. PSMB2 in this context is linked to other proteins like ubiquitin-ligase that mediate the tagging of proteins for degradation. Another pathway involving PSMB2 is the NF-kB signaling pathway which controls inflammatory responses and immune system regulation.

Proteasome subunit beta type 2 has been implicated in neurodegenerative diseases like Parkinson’s. The dysregulation or malfunctioning of the proteasome complex might result in protein aggregation seen in such disorders. Additionally PSMB2 is associated with certain cancers due to its role in regulating apoptosis and cellular proliferative activities. Proteins like p53 which is important for tumor suppression are related to PSMB2 through these disease mechanisms highlighting its significance in maintaining normal cellular function and preventing disease progression.

製品プロトコール

For this product, it's our understanding that no specific protocols are required. You can visit:

ターゲットの情報

Non-catalytic component of the 20S core proteasome complex involved in the proteolytic degradation of most intracellular proteins. This complex plays numerous essential roles within the cell by associating with different regulatory particles. Associated with two 19S regulatory particles, forms the 26S proteasome and thus participates in the ATP-dependent degradation of ubiquitinated proteins. The 26S proteasome plays a key role in the maintenance of protein homeostasis by removing misfolded or damaged proteins that could impair cellular functions, and by removing proteins whose functions are no longer required. Associated with the PA200 or PA28, the 20S proteasome mediates ubiquitin-independent protein degradation. This type of proteolysis is required in several pathways including spermatogenesis (20S-PA200 complex) or generation of a subset of MHC class I-presented antigenic peptides (20S-PA28 complex).
See full target information PSMB2

文献 (3)

Recent publications for all applications. Explore the full list and refine your search

Pharmacology 108:47-60 PubMed36423586

2022

Luteolin Attenuates Diabetic Myocardial Hypertrophy by Inhibiting Proteasome Activity.

Applications

Unspecified application

Species

Unspecified reactive species

Xiao-Bing Li,Mubarak Rekep,Jia-Hui Tian,Qian Wu,Mei Chen,Shuo Yang,Lu-Xuan Zhang,Gui-Ping Zhang,Yuan Qin,Xi-Yong Yu,Qin Xue,Ying-Hua Liu

Aging 13:364-375 PubMed33290263

2020

Enhancer-bound Nrf2 licenses HIF-1α transcription under hypoxia to promote cisplatin resistance in hepatocellular carcinoma cells.

Applications

Unspecified application

Species

Unspecified reactive species

Xin Jin,Liansheng Gong,Ying Peng,Le Li,Gang Liu

American journal of transplantation : official journal of the American Society of Transplantation and the American Society of Transplant Surgeons 20:399-410 PubMed31595669

2019

Proteasomal adaptations underlying carfilzomib-resistance in human bone marrow plasma cells.

Applications

Unspecified application

Species

Unspecified reactive species

E Steve Woodle,Simon Tremblay,Paul Brailey,Alin Girnita,Rita R Alloway,Bruce Aronow,Nupur Dasgupta,Frederic Ebstein,Peter-Michael Kloetzel,Min Jae Lee,Kyung B Kim,Harinder Singh,James J Driscoll
View all publications

Abcam product promise

当社は、高品質な試薬を通じてお客様の研究を力強くサポートすることをお約束いたします。ご使用いただく各段階で、常にお客様をサポートできる体制を整えております。万が一、製品が期待通りに機能しない場合は、「Abcam Product Promise」による当社保証制度に基づき、安心してご利用いただけます。
保証に関する詳細については利用規約をご確認ください。

Please note: All products are 'FOR RESEARCH USE ONLY. NOT FOR USE IN DIAGNOSTIC OR THERAPEUTIC PROCEDURES'.

For licensing inquiries, please contact partnerships@abcam.com