JavaScript is disabled in your browser. Please enable JavaScript to view this website.
AB246363

Anti-Proteasome 20S LMP7 抗体 [EPR14482(B)] - BSA and Azide free

Anti-Proteasome 20S LMP7 antibody [EPR14482(B)] - BSA and Azide free

Be the first to review this product! Submit a review

|

(1 Publication)

Rabbit Recombinant Monoclonal Proteasome 20S LMP7 antibody. Carrier free. Suitable for WB, IHC-P, ICC/IF, Flow Cyt (Intra) and reacts with Human samples. Cited in 1 publication.

別名を表示する

LMP7, PSMB5i, RING10, Y2, PSMB8, Proteasome subunit beta type-8, Low molecular mass protein 7, Macropain subunit C13, Multicatalytic endopeptidase complex subunit C13, Proteasome component C13, Proteasome subunit beta-5i, Really interesting new gene 10 protein

9 Images
Flow Cytometry (Intracellular) - Anti-Proteasome 20S LMP7 antibody [EPR14482(B)] - BSA and Azide free (AB246363)
  • Flow Cyt (Intra)

Unknown

Flow Cytometry (Intracellular) - Anti-Proteasome 20S LMP7 antibody [EPR14482(B)] - BSA and Azide free (AB246363)

Intracellular Flow Cytometry analysis of Raji (Human Burkitt's lymphoma B lymphocyte) cells labeling Proteasome 20S LMP7 with purified ab180606 at 1/90 dilution (10 μg/ml) (Red). Cells were fixed with 4% Paraformaldehyde and permeabilised with 90% Methanol. A Goat anti rabbit IgG (Alexa Fluor® 488, ab150077) secondary antibody was used at 1/2000. Isotype control - Rabbit monoclonal IgG (Black). Unlabeled control - Cell without incubation with primary antibody and secondary antibody (Blue). This data was developed using the same antibody clone in a different buffer formulation containing PBS, BSA, glycerol, and sodium azide (ab180606)

Immunocytochemistry/ Immunofluorescence - Anti-Proteasome 20S LMP7 antibody [EPR14482(B)] - BSA and Azide free (AB246363)
  • ICC/IF

Unknown

Immunocytochemistry/ Immunofluorescence - Anti-Proteasome 20S LMP7 antibody [EPR14482(B)] - BSA and Azide free (AB246363)

Immunocytochemistry/ Immunofluorescence analysis of HeLa (Human cervix adenocarcinoma epithelial cell) cells labeling Proteasome 20S LMP7 with purified ab180606 at 1 : 100 dilution (8.9 µg/ml). Cells were fixed in 4% Paraformaldehyde and permeabilized with 0.1% tritonX-100. Cells were counterstained with ab195889 Anti-alpha Tubulin antibody [DM1A] - Microtubule Marker (Alexa Fluor® 594) 1 : 200 (2.5 µg/ml). Goat anti rabbit IgG (Alexa Fluor® 488, ab150077) was used as the secondary antibody at 1 : 1000 (2 µg/ml) dilution. DAPI (blue) was used as nuclear counterstain. PBS instead of the primary antibody was used as the secondary antibody only control.
This data was developed using the same antibody clone in a different buffer formulation containing PBS, BSA, glycerol, and sodium azide (anti proteasome 20s lmp7 antibody epr14482 b immunocytochemistry hela human)

Immunocytochemistry/ Immunofluorescence - Anti-Proteasome 20S LMP7 antibody [EPR14482(B)] - BSA and Azide free (AB246363)
  • ICC/IF

Lab

Immunocytochemistry/ Immunofluorescence - Anti-Proteasome 20S LMP7 antibody [EPR14482(B)] - BSA and Azide free (AB246363)

ab180606 (unpurified) staining Proteasome 20S LMP7 in Jurkat (human acute T cell leukemia) cells by ICC/IF (Immunocytochemistry/immunofluorescence). Cells were fixed with 4% PFA and permeabilized with 0.1% Triton X-100. Samples were incubated with primary antibody at a dilution of 1/500. A goat anti rabbit IgG (Alexa Fluor® 488) (ab150077) was used as the secondary antibody at a dilution of 1/1000. DAPI was used as a nuclear counterstain.

Negative control : PBS only.

This data was developed using the same antibody clone in a different buffer formulation containing PBS, BSA, glycerol and sodium azide (ab180606).

Flow Cytometry (Intracellular) - Anti-Proteasome 20S LMP7 antibody [EPR14482(B)] - BSA and Azide free (AB246363)
  • Flow Cyt (Intra)

Supplier Data

Flow Cytometry (Intracellular) - Anti-Proteasome 20S LMP7 antibody [EPR14482(B)] - BSA and Azide free (AB246363)

Intracellular flow cytometric analysis of 2% paraformaldehyde-fixedJurkat (Human T cell leukemia cell line from peripheral blood) cells labeling Proteasome 20S LMP7 with ab180606 (unpurified at 1/150 dilution (red) compared to a Rabbit monoclonal IgG Isotype control (green), followed byGoat anti rabbit IgG (FITC) secondary antibody at 1/150 dilution.

This data was developed using the same antibody clone in a different buffer formulation containing PBS, BSA, glycerol and sodium azide (ab180606).

Immunocytochemistry/ Immunofluorescence - Anti-Proteasome 20S LMP7 antibody [EPR14482(B)] - BSA and Azide free (AB246363)
  • ICC/IF

Supplier Data

Immunocytochemistry/ Immunofluorescence - Anti-Proteasome 20S LMP7 antibody [EPR14482(B)] - BSA and Azide free (AB246363)

Immunofluorecenct analysis of 4% paraformaldehyde-fixed HeLa (Human epithelial cell line from cervix adenocarcinoma) cells labeling Proteasome 20S LMP7 with ab180606 (unpurified at 1/100 dilution, followed by Goat anti rabbit IgG (Alexa Fluor® 488) secondary antibody at 1/200 dilution (left panel). DAPI staining (right panel).

This data was developed using the same antibody clone in a different buffer formulation containing PBS, BSA, glycerol and sodium azide (ab180606).

Immunohistochemistry (Formalin/PFA-fixed paraffin-embedded sections) - Anti-Proteasome 20S LMP7 antibody [EPR14482(B)] - BSA and Azide free (AB246363)
  • IHC-P

Supplier Data

Immunohistochemistry (Formalin/PFA-fixed paraffin-embedded sections) - Anti-Proteasome 20S LMP7 antibody [EPR14482(B)] - BSA and Azide free (AB246363)

Immunohistochemical analysis of paraffin-embedded human bladder transitional cell carcinoma tissue labeling Proteasome 20S LMP7 with ab180606 (unpurified at 1/500 dilution, followed by prediluted ImmunoHistoprobe (Ready to use) HRP Polymer for Rabbit IgG. Counterstained with hematoxylin.

This data was developed using the same antibody clone in a different buffer formulation containing PBS, BSA, glycerol and sodium azide (ab180606).

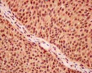
Immunohistochemistry (Formalin/PFA-fixed paraffin-embedded sections) - Anti-Proteasome 20S LMP7 antibody [EPR14482(B)] - BSA and Azide free (AB246363)
  • IHC-P

Unknown

Immunohistochemistry (Formalin/PFA-fixed paraffin-embedded sections) - Anti-Proteasome 20S LMP7 antibody [EPR14482(B)] - BSA and Azide free (AB246363)

Immunohistochemistry (Formalin/PFA-fixed paraffin-embedded sections) analysis of human gastric carcinoma tissue sections labeling Proteasome 20S LMP7 with purified ab180606 at 1/1700 dilution (0.52 μg/ml). Heat mediated antigen retrieval was performed using Bond™ Epitope Retrieval Solution 2 (pH 9.0). Rabbit specific IHC polymer detection kit HRP/DAB (ab209101) was used as the secondary antibody. Negative control : PBS instead of the primary antibody. Hematoxylin was used as a counterstain. This data was developed using the same antibody clone in a different buffer formulation containing PBS, BSA, glycerol, and sodium azide (ab180606)

Western blot - Anti-Proteasome 20S LMP7 antibody [EPR14482(B)] - BSA and Azide free (AB246363)
  • WB

Lab

Western blot - Anti-Proteasome 20S LMP7 antibody [EPR14482(B)] - BSA and Azide free (AB246363)

This data was developed using the same antibody clone in a different buffer formulation (ab180606).

Lanes 1-4 : Merged signal (red and green). Green - ab180606 observed at 23 kDa. Red - loading control ab8245 observed at 36 kDa.

ab180606 Anti-Proteasome 20S LMP7 antibody [EPR14482(B)] was shown to specifically react with Proteasome 20S LMP7 in wild-type A549 cells. Loss of signal was observed when knockout cell line ab267148 (knockout cell lysate ab257129) was used. Wild-type and Proteasome 20S LMP7 knockout samples were subjected to SDS-PAGE. ab180606 and Anti-GAPDH antibody [6C5] - Loading Control (ab8245) were incubated overnight at 4°C at 1 in 1000 dilution and 1 in 20000 dilution respectively. Blots were developed with Goat anti-Rabbit IgG H&L (IRDye® 800CW) preadsorbed (ab216773) and Goat anti-Mouse IgG H&L (IRDye® 680RD) preadsorbed (ab216776) secondary antibodies at 1 in 20000 dilution for 1 hour at room temperature before imaging.

All lanes:

Western blot - Anti-Proteasome 20S LMP7 antibody [EPR14482(B)] (<a href='/products/primary-antibodies/proteasome-20s-lmp7-antibody-epr14482b-ab180606'>ab180606</a>) at 1/1000 dilution

Lane 1:

Wild-type A549 cell lysate at 20 µg

Lane 2:

PSMB8 knockout A549 cell lysate at 20 µg

Lane 2:

Western blot - Human PSMB8 (Proteasome 20S LMP7) knockout A549 cell line (<a href='/products/cell-lines/human-psmb8-proteasome-20s-lmp7-knockout-a549-cell-line-ab267148'>ab267148</a>)

Lane 3:

Raji cell lysate at 20 µg

Lane 4:

HEK-293 cell lysate at 20 µg

Secondary

All lanes:

Western blot - Goat anti-Rabbit IgG H&L (IRDye® 800CW) preadsorbed (<a href='/products/secondary-antibodies/goat-rabbit-igg-h-l-irdye-800cw-preadsorbed-ab216773'>ab216773</a>) at 1/10000 dilution

Predicted band size: 30 kDa

Observed band size: 23 kDa

false

Western blot - Anti-Proteasome 20S LMP7 antibody [EPR14482(B)] - BSA and Azide free (AB246363)
  • WB

Lab

Western blot - Anti-Proteasome 20S LMP7 antibody [EPR14482(B)] - BSA and Azide free (AB246363)

This data was developed using ab180606, the same antibody clone in a different buffer formulation.

Lanes 1-4 : Merged signal (red and green). Green - ab180606 observed at 23 kDa. Red - loading control ab8245 observed at 36 kDa.

ab180606 Anti-Proteasome 20S LMP7 antibody [EPR14482(B)] was shown to specifically react with Proteasome 20S LMP7 in wild-type A549 cells. Loss of signal was observed when knockout cell line ab267149 (knockout cell lysate ab257130) was used. Wild-type and Proteasome 20S LMP7 knockout samples were subjected to SDS-PAGE. ab180606 and Anti-GAPDH antibody [6C5] - Loading Control (ab8245) were incubated at room temperature for 2.5 hours at 1 in 1000 dilution and 1 in 20000 dilution respectively. Blots were developed with Goat anti-Rabbit IgG H&L (IRDye® 800CW) preadsorbed (ab216773) and Goat anti-Mouse IgG H&L (IRDye® 680RD) preadsorbed (ab216776) secondary antibodies at 1 in 20000 dilution for 1 hour at room temperature before imaging.

All lanes:

Western blot - Anti-Proteasome 20S LMP7 antibody [EPR14482(B)] (<a href='/products/primary-antibodies/proteasome-20s-lmp7-antibody-epr14482b-ab180606'>ab180606</a>) at 1/1000 dilution

Lane 1:

Wild-type A549 (Human lung carcinoma cell line) whole cell lysate at 20 µg

Lane 2:

PSMB8 knockout A549 (Human lung carcinoma cell line) whole cell lysate at 20 µg

Lane 2:

Western blot - Human PSMB8 (Proteasome 20S LMP7) knockout A549 cell line (<a href='/products/cell-lines/human-psmb8-proteasome-20s-lmp7-knockout-a549-cell-line-ab267149'>ab267149</a>)

Lane 3:

Raji (Human Burkitt's lymphoma cell line) whole cell lysate at 20 µg

Lane 4:

HEK-293T (Human epithelial cell line from embryonic kidney transformed with large T antigen) whole cell lysate at 20 µg

Secondary

All lanes:

Western blot - Goat anti-Rabbit IgG H&L (IRDye® 800CW) preadsorbed (<a href='/products/secondary-antibodies/goat-rabbit-igg-h-l-irdye-800cw-preadsorbed-ab216773'>ab216773</a>) at 1/10000 dilution

Predicted band size: 30 kDa

Observed band size: 23 kDa

false

関連する標識済み抗体及び組成の異なる製品 (3)

  • Unconjugated

    Anti-Proteasome 20S LMP7 antibody [EPR14482(B)]

  • 519 Alexa Fluor® 488

    Alexa Fluor® 488 Anti-Proteasome 20S LMP7 antibody [EPR14482(B)]

  • 578 PE

    PE Anti-Proteasome 20S LMP7 antibody [EPR14482(B)]

Key facts

宿主種

Rabbit

クローン性

Monoclonal

クローン番号

EPR14482(B)

アイソタイプ

IgG

キャリアフリー

Yes

交差種

Human

アプリケーション

IHC-P, ICC/IF, Flow Cyt (Intra), WB

applications

免疫原

The exact immunogen used to generate this antibody is proprietary information.

Reactivity data

{ "title": "Reactivity Data", "filters": { "stats": ["", "Species", "Dilution Info", "Notes"], "tabs": { "all-applications": {"fullname" : "All Applications", "shortname": "All Applications"}, "IP" : {"fullname" : "Immunoprecipitation", "shortname":"IP"}, "WB" : {"fullname" : "Western blot", "shortname":"WB"}, "IHCP" : {"fullname" : "Immunohistochemistry (Formalin/PFA-fixed paraffin-embedded sections)", "shortname":"IHC-P"}, "ICCIF" : {"fullname" : "Immunocytochemistry/ Immunofluorescence", "shortname":"ICC/IF"}, "FlowCytIntra" : {"fullname" : "Flow Cytometry (Intracellular)", "shortname":"Flow Cyt (Intra)"} }, "product-promise": { "all": "all", "testedAndGuaranteed": "tested", "guaranteed": "expected", "predicted": "predicted", "notRecommended": "not-recommended" } }, "values": { "Human": { "IP-species-checked": "notRecommended", "IP-species-dilution-info": "", "IP-species-notes": "<p></p>", "WB-species-checked": "testedAndGuaranteed", "WB-species-dilution-info": "", "WB-species-notes": "<p></p>", "IHCP-species-checked": "testedAndGuaranteed", "IHCP-species-dilution-info": "", "IHCP-species-notes": "<p>Perform heat mediated antigen retrieval using Bond™ Epitope Retrieval Solution 2 (pH 9.0).</p>", "ICCIF-species-checked": "testedAndGuaranteed", "ICCIF-species-dilution-info": "", "ICCIF-species-notes": "<p></p>", "FlowCytIntra-species-checked": "testedAndGuaranteed", "FlowCytIntra-species-dilution-info": "", "FlowCytIntra-species-notes": "<p></p>" } } }

製品の詳細

ab246363 is the carrier-free version of ab180606.

Patented technology
Our RabMAb® technology is a patented hybridoma-based technology for making rabbit monoclonal antibodies. For details on our patents, please refer to RabMAb® patents.

What are the advantages of a recombinant monoclonal antibody?
This product is a recombinant monoclonal antibody, which offers several advantages including:

  • - High batch-to-batch consistency and reproducibility
  • - Improved sensitivity and specificity
  • - Long-term security of supply
  • - Animal-free batch production

For more information, read more on recombinant antibodies.

Conjugation ready
Our carrier-free antibodies are typically supplied in a PBS-only formulation, purified and free of BSA, sodium azide and glycerol. This conjugation-ready format is designed for use with fluorochromes, metal isotopes, oligonucleotides, and enzymes, which makes them ideal for antibody labelling, functional and cell-based assays, flow-based assays (e.g. mass cytometry) and Multiplex Imaging applications.

Use our conjugation kits for antibody conjugates that are ready-to-use in as little as 20 minutes with 1 minute hands-on-time and 100% antibody recovery: available for fluorescent dyes, HRP, biotin and gold.

Compatibility
This product is compatible with the Maxpar® Antibody Labeling Kit from Fluidigm, without the need for antibody preparation. Maxpar® is a trademark of Fluidigm Canada Inc.

出荷温度及び保存条件

製品の状態
Liquid
精製方法
Affinity purification Protein A
バッファー組成
pH: 7.2 - 7.4 Constituents: PBS
出荷温度
Blue Ice
短期保存温度
+4°C
長期保存温度
+4°C
保管に関する情報
Do Not Freeze

補足情報

This supplementary information is collated from multiple sources and compiled automatically.

Proteasome 20S LMP7 also known as β5i or PSMB8 is a subunit of the immunoproteasome. It weighs about 23 kDa and it is expressed predominantly in immune cells such as lymphocytes and macrophages. LMP7 is part of the proteasome 20S a cylindrical core particle involved in the degradation of ubiquitinated proteins. This process helps maintain protein homeostasis by breaking down misfolded and damaged proteins.
Biological function summary

The immunoproteasome in which LMP7 is an essential component plays an important role in the adaptive immune system. It influences the generation of antigenic peptides that are presented on MHC class I molecules. LMP7's expression is increased during immune responses particularly following gamma interferon (IFN-γ) stimulation contributing to the immune-mediated proteasome conformation. The immunoproteasome enables more efficient peptide processing enhancing antigen presentation to cytotoxic T lymphocytes.

Pathways

LMP7 is involved in the MHC class I antigen presentation pathway. This pathway allows the immune system to detect and respond to intracellular pathogens such as viruses. Additionally LMP7 interacts with TAP (Transporter associated with Antigen Processing) and other proteasome subunits to ensure effective peptide processing for loading onto MHC class I molecules. Through this involvement it closely links to immune signaling and cellular stress responses.

Research shows that LMP7 connects to autoimmune diseases and inflammatory disorders such as lupus and rheumatoid arthritis. Dysregulation of LMP7 expression or activity can lead to improper immune responses contributing to disease pathogenesis. Furthermore LMP7 impacts the degradation of specific proteins relevant to these conditions. For example it works alongside other proteasome subunits like LMP2 and MECL-1 in modulating the inflammatory response which can exacerbate autoimmune disease symptoms.

製品プロトコール

For this product, it's our understanding that no specific protocols are required. You can visit:

ターゲットの情報

The proteasome is a multicatalytic proteinase complex which is characterized by its ability to cleave peptides with Arg, Phe, Tyr, Leu, and Glu adjacent to the leaving group at neutral or slightly basic pH. The proteasome has an ATP-dependent proteolytic activity. This subunit is involved in antigen processing to generate class I binding peptides. Replacement of PSMB5 by PSMB8 increases the capacity of the immunoproteasome to cleave model peptides after hydrophobic and basic residues. Involved in the generation of spliced peptides resulting from the ligation of two separate proteasomal cleavage products that are not contiguous in the parental protein (PubMed : 27049119). Acts as a major component of interferon gamma-induced sensitivity. Plays a key role in apoptosis via the degradation of the apoptotic inhibitor MCL1. May be involved in the inflammatory response pathway. In cancer cells, substitution of isoform 1 (E2) by isoform 2 (E1) results in immunoproteasome deficiency. Required for the differentiation of preadipocytes into adipocytes.
See full target information PSMB8

文献 (1)

Recent publications for all applications. Explore the full list and refine your search

Communications biology 3:611 PubMed33097830

2020

Exogenous L-arginine increases intestinal stem cell function through CD90+ stromal cells producing mTORC1-induced Wnt2b.

Applications

Unspecified application

Species

Unspecified reactive species

Qihang Hou,Yuanyang Dong,Jingxi Huang,Chaoyong Liao,Jiaqi Lei,Youli Wang,Yujiao Lai,Yifei Bian,Yang He,Jingjing Sun,Meng Sun,Qiuyu Jiang,Bo Wang,Zhengquan Yu,Yuming Guo,Bingkun Zhang
View all publications

Abcam product promise

当社は、高品質な試薬を通じてお客様の研究を力強くサポートすることをお約束いたします。ご使用いただく各段階で、常にお客様をサポートできる体制を整えております。万が一、製品が期待通りに機能しない場合は、「Abcam Product Promise」による当社保証制度に基づき、安心してご利用いただけます。
保証に関する詳細については利用規約をご確認ください。

Please note: All products are 'FOR RESEARCH USE ONLY. NOT FOR USE IN DIAGNOSTIC OR THERAPEUTIC PROCEDURES'.

For licensing inquiries, please contact partnerships@abcam.com