JavaScript is disabled in your browser. Please enable JavaScript to view this website.
AB242061

Anti-Proteasome 20S LMP2 抗体 [EPR22042]

Anti-Proteasome 20S LMP2 antibody [EPR22042]

Be the first to review this product! Submit a review

|

(4 Publications)

Rabbit Recombinant Monoclonal Proteasome 20S LMP2 antibody. Suitable for IP, WB, ICC/IF, Flow Cyt (Intra), IHC-P and reacts with Human, Mouse, Rat samples. Cited in 4 publications.

別名を表示する

LMP2, PSMB6i, RING12, PSMB9, Proteasome subunit beta type-9, Low molecular mass protein 2, Macropain chain 7, Multicatalytic endopeptidase complex chain 7, Proteasome chain 7, Proteasome subunit beta-1i, Really interesting new gene 12 protein

13 Images
Flow Cytometry (Intracellular) - Anti-Proteasome 20S LMP2 antibody [EPR22042] (AB242061)
  • Flow Cyt (Intra)

Supplier Data

Flow Cytometry (Intracellular) - Anti-Proteasome 20S LMP2 antibody [EPR22042] (AB242061)

Intracellular flow cytometric analysis of 4% paraformaldehyde-fixed, 90% methanol permeabilized Ramos (Human Burkitt's lymphoma B lymphocyte) cell line labeling Proteasome 20S LMP2 with ab242061 at 1/500 (red) compared with a Rabbit monoclonal IgG (ab172730) (black) and an unlabeled control (cells without incubation with primary antibody and secondary antibody) (blue). Goat anti rabbit IgG (Alexa Fluor® 488, ab150077), at 1/2000 dilution was used as the secondary antibody.

Immunohistochemistry (Formalin/PFA-fixed paraffin-embedded sections) - Anti-Proteasome 20S LMP2 antibody [EPR22042] (AB242061)
  • IHC-P

Supplier Data

Immunohistochemistry (Formalin/PFA-fixed paraffin-embedded sections) - Anti-Proteasome 20S LMP2 antibody [EPR22042] (AB242061)

Immunohistochemical analysis of paraffin-embedded human cerebrum tissue labeling Proteasome 20S LMP2 with ab242061 at 1/2000 dilution, followed by a ready to use Goat Anti-Rabbit IgG H&L (HRP). Cytoplasmic and nuclear staining in human cerebrum (PMID : 20174631) is observed. Counterstained with hematoxylin.
Secondary antibody only control : Used PBS instead of primary antibody, secondary antibody is a ready to use Goat Anti-Rabbit IgG H&L (HRP).
Perform heat mediated antigen retrieval using ab93684 (Tris/EDTA buffer, pH 9.0).

Immunohistochemistry (Formalin/PFA-fixed paraffin-embedded sections) - Anti-Proteasome 20S LMP2 antibody [EPR22042] (AB242061)
  • IHC-P

Supplier Data

Immunohistochemistry (Formalin/PFA-fixed paraffin-embedded sections) - Anti-Proteasome 20S LMP2 antibody [EPR22042] (AB242061)

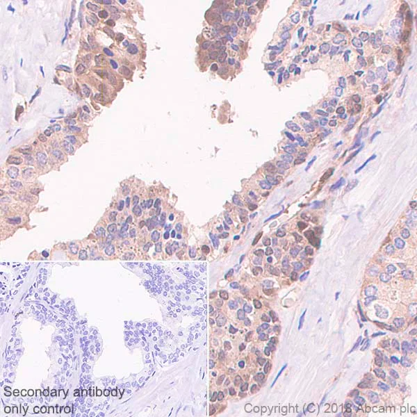
Immunohistochemical analysis of paraffin-embedded human prostatic hyperplasia tissue labeling Proteasome 20S LMP2 with ab242061 at 1/2000 dilution, followed by a ready to use Goat Anti-Rabbit IgG H&L (HRP). Cytoplasmic and nuclear staining in human prostatic hyperplasia (PMID : 22677907) is observed. Counterstained with hematoxylin.
Secondary antibody only control : Used PBS instead of primary antibody, secondary antibody is a ready to use Goat Anti-Rabbit IgG H&L (HRP).
Perform heat mediated antigen retrieval using ab93684 (Tris/EDTA buffer, pH 9.0).

Immunohistochemistry (Formalin/PFA-fixed paraffin-embedded sections) - Anti-Proteasome 20S LMP2 antibody [EPR22042] (AB242061)
  • IHC-P

Supplier Data

Immunohistochemistry (Formalin/PFA-fixed paraffin-embedded sections) - Anti-Proteasome 20S LMP2 antibody [EPR22042] (AB242061)

Immunohistochemical analysis of paraffin-embedded human colon cancer tissue labeling Proteasome 20S LMP2 with ab242061 at 1/2000 dilution, followed by a ready to use Goat Anti-Rabbit IgG H&L (HRP). Cytoplasmic and nuclear staining in human colon cancer (PMID : 24040045) is observed. Counterstained with hematoxylin.
Secondary antibody only control : Used PBS instead of primary antibody, secondary antibody is a ready to use Goat Anti-Rabbit IgG H&L (HRP).
Perform heat mediated antigen retrieval using ab93684 (Tris/EDTA buffer, pH 9.0).

Immunocytochemistry/ Immunofluorescence - Anti-Proteasome 20S LMP2 antibody [EPR22042] (AB242061)
  • ICC/IF

Supplier Data

Immunocytochemistry/ Immunofluorescence - Anti-Proteasome 20S LMP2 antibody [EPR22042] (AB242061)

Immunofluorescent analysis of 4% paraformaldehyde-fixed, 0.1% Triton X-100 permeabilized Ramos (Human Burkitt's lymphoma B lymphocyte) cells labeling Proteasome 20S LMP2 with ab242061 at 1/100 dilution, followed by Goat Anti-Rabbit IgG H&L (Alexa Fluor® 488) (ab150077) secondary antibody at 1/1000 dilution (green). Confocal image showing cytoplasmic and weakly nuclear staining in Ramos cells. The nuclear counter stain is DAPI (blue).
Counterstained with ab195889 Anti-alpha Tubulin antibody [DM1A] - Microtubule Marker (Alexa Fluor® 594) at a 1/200 dilution (red).
The negative control is the secondary antibody only.

Immunoprecipitation - Anti-Proteasome 20S LMP2 antibody [EPR22042] (AB242061)
  • IP

Supplier Data

Immunoprecipitation - Anti-Proteasome 20S LMP2 antibody [EPR22042] (AB242061)

Proteasome 20S LMP2 was immunoprecipitated from 0.35 mg THP-1 (Human monocytic leukemia monocyte) whole cell lysate with ab242061 at 1/30 dilution. Western blot was performed from the immunoprecipitate using ab242061 at 1/1000 dilution. VeriBlot for IP Detection Reagent (HRP) (ab131366), was used for detection at 1/5000 dilution.
Lane 1 : THP-1 whole cell lysate 10 μg (Input).
Lane 2 : ab242061 IP in THP-1 whole cell lysate.
Lane 3 : Rabbit monoclonal IgG (ab172730) instead of ab242061 in THP-1 whole cell lysate.
Blocking/Dilution buffer : 5% NFDM/TBST.
Exposure time : 10 seconds.

All lanes:

Immunoprecipitation - Anti-Proteasome 20S LMP2 antibody [EPR22042] (ab242061)

Predicted band size: 23 kDa

Observed band size: 21 kDa,23 kDa

false

Immunohistochemistry (Formalin/PFA-fixed paraffin-embedded sections) - Anti-Proteasome 20S LMP2 antibody [EPR22042] (AB242061)
  • IHC-P

Supplier Data

Immunohistochemistry (Formalin/PFA-fixed paraffin-embedded sections) - Anti-Proteasome 20S LMP2 antibody [EPR22042] (AB242061)

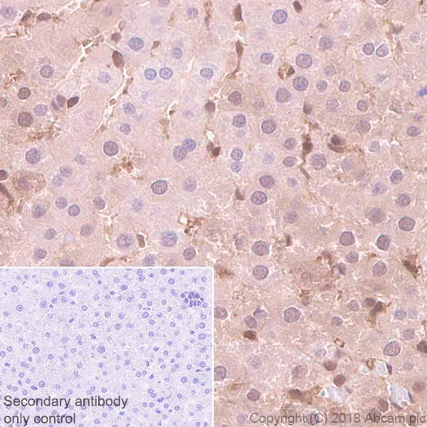
Immunohistochemical analysis of paraffin-embedded mouse liver tissue labeling Proteasome 20S LMP2 with ab242061 at 1/2000 dilution, followed by a ready to use Goat Anti-Rabbit IgG H&L (HRP). Cytoplasmic and nuclear staining in mouse liver (PMID : 8365398) is observed. Counterstained with hematoxylin.
Secondary antibody only control : Used PBS instead of primary antibody, secondary antibody is a ready to use Goat Anti-Rabbit IgG H&L (HRP).
Perform heat mediated antigen retrieval using ab93684 (Tris/EDTA buffer, pH 9.0).

Flow Cytometry (Intracellular) - Anti-Proteasome 20S LMP2 antibody [EPR22042] (AB242061)
  • Flow Cyt (Intra)

Supplier Data

Flow Cytometry (Intracellular) - Anti-Proteasome 20S LMP2 antibody [EPR22042] (AB242061)

Intracellular flow cytometric analysis of 4% paraformaldehyde-fixed, 90% methanol permeabilized RAW264.7 (Mouse Abelson murine leukemia virus-induced tumor macrophage) cell line labeling Proteasome 20S LMP2 with ab242061 at 1/500 (red) compared with a Rabbit monoclonal IgG (ab172730) (black) and an unlabeled control (cells without incubation with primary antibody and secondary antibody) (blue). Goat anti rabbit IgG (Alexa Fluor® 488, ab150077), at 1/2000 dilution was used as the secondary antibody.

Immunohistochemistry (Formalin/PFA-fixed paraffin-embedded sections) - Anti-Proteasome 20S LMP2 antibody [EPR22042] (AB242061)
  • IHC-P

Supplier Data

Immunohistochemistry (Formalin/PFA-fixed paraffin-embedded sections) - Anti-Proteasome 20S LMP2 antibody [EPR22042] (AB242061)

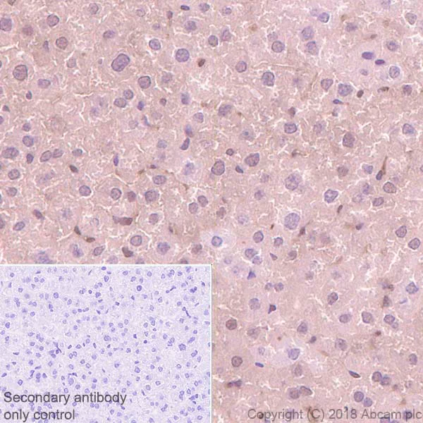
Immunohistochemical analysis of paraffin-embedded rat liver tissue labeling Proteasome 20S LMP2 with ab242061 at 1/2000 dilution, followed by a ready to use Goat Anti-Rabbit IgG H&L (HRP). Cytoplasmic and nuclear staining in rat liver (PMID : 8365398) is observed. Counterstained with hematoxylin.
Secondary antibody only control : Used PBS instead of primary antibody, secondary antibody is a ready to use Goat Anti-Rabbit IgG H&L (HRP).
Perform heat mediated antigen retrieval using ab93684 (Tris/EDTA buffer, pH 9.0).

Immunocytochemistry/ Immunofluorescence - Anti-Proteasome 20S LMP2 antibody [EPR22042] (AB242061)
  • ICC/IF

Supplier Data

Immunocytochemistry/ Immunofluorescence - Anti-Proteasome 20S LMP2 antibody [EPR22042] (AB242061)

Immunofluorescent analysis of 4% paraformaldehyde-fixed, 0.1% Triton X-100 permeabilized RAW 264.7 (mouse Abelson murine leukemia virus-induced tumor macrophage) cells labeling Proteasome 20S LMP2 with ab242061 at 1/100 dilution, followed by Goat Anti-Rabbit IgG H&L (Alexa Fluor® 488) (ab150077) secondary antibody at 1/1000 dilution (green). Confocal image showing cytoplasmic and weakly nuclear staining in RAW 264.7 cells. The nuclear counter stain is DAPI (blue).
Counterstained with ab195889 Anti-alpha Tubulin antibody [DM1A] - Microtubule Marker (Alexa Fluor® 594) at a 1/200 dilution (red).
The negative control is the secondary antibody only.

Western blot - Anti-Proteasome 20S LMP2 antibody [EPR22042] (AB242061)
  • WB

Supplier Data

Western blot - Anti-Proteasome 20S LMP2 antibody [EPR22042] (AB242061)

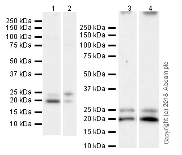
ab242061 was shown to specifically react with Proteasome 20S LMP2 in wild-type HAP1 cells as signal was lost in Proteasome 20S LMP2 knockout cells. Wild-type and Proteasome 20S LMP2 knockout samples were subjected to SDS-PAGE. ab242061 and ab181602 (Rabbit anti-GAPDH loading control) were incubated 1 hour at room temperature at 1/1000 dilution and 1/200,000 dilution respectively. Blots were developed with Goat Anti-Rabbit IgG, (H+L), Peroxidase conjugated (ab97051) secondary antibody at 1/50,000 dilution for 1 hour at room temperature before imaging. The blot was developed on a BIO-RAD® ChemiDoc™ MP instrument using the ECL technique.

The expression profile observed is consistent with what has been described in the literature (PMID : 22355695; PMID : 15284441).

All lanes:

Western blot - Anti-Proteasome 20S LMP2 antibody [EPR22042] (ab242061) at 1/1000 dilution

Lane 1:

Wild-type HAP1 at 40 µg

Lane 2:

Proteasome 20S LMP2 knockout HAP1 whole cell lysate at 40 µg

Lane 3:

Ramos (human Burkitt's lymphoma B lymphocyte), whole cell lysate at 20 µg

Lane 4:

RAW264.7 (mouse Abelson murine leukemia virus-induced tumor macrophage), whole cell lysate at 20 µg

Secondary

All lanes:

Western blot - Goat Anti-Rabbit IgG H&L (HRP) (<a href='/products/secondary-antibodies/goat-rabbit-igg-h-l-hrp-ab97051'>ab97051</a>) at 1/100000 dilution

Predicted band size: 23 kDa

Observed band size: 21 kDa,23 kDa

false

Exposure time: 59s

Western blot - Anti-Proteasome 20S LMP2 antibody [EPR22042] (AB242061)
  • WB

Supplier Data

Western blot - Anti-Proteasome 20S LMP2 antibody [EPR22042] (AB242061)

Blocking/Dilution buffer : 5% NFDM/TBST.

Exposure times : Lanes 1-2 : 15 seconds, Lanes 3 : 3 minutes, Lane 4 : 59 seconds.

The expression profile observed is consistent with what has been described in the literature (PMID : 22355695; PMID : 15284441).

All lanes:

Western blot - Anti-Proteasome 20S LMP2 antibody [EPR22042] (ab242061) at 1/1000 dilution

Lane 1:

C6 (rat glial tumor glial cell), whole cell lysate at 10 µg

Lane 2:

NIH/3T3 (mouse embryonic fibroblast), whole cell lysate at 10 µg

Lane 3:

HL-60 (human Acute Promyelocytic Leukemia promyeloblast), whole cell lysate at 20 µg

Lane 4:

Raji (human Burkitt's lymphoma B lymphocyte), whole cell lysate at 20 µg

Secondary

All lanes:

Western blot - Goat Anti-Rabbit IgG H&L (HRP) (<a href='/products/secondary-antibodies/goat-rabbit-igg-h-l-hrp-ab97051'>ab97051</a>) at 1/100000 dilution

Predicted band size: 23 kDa

Observed band size: 21 kDa,23 kDa

false

Western blot - Anti-Proteasome 20S LMP2 antibody [EPR22042] (AB242061)
  • WB

CiteAb

Western blot - Anti-Proteasome 20S LMP2 antibody [EPR22042] (AB242061)

Proteasome 20S LMP2 western blot using anti-Proteasome 20S LMP2 antibody [EPR22042] ab242061. Publication image and figure legend from Ye, J., Yin, Y., et al., 2020, Aging Cell, PubMed 31668016.

ab242061 was used in this publication in western blot. This may not be the same as the application(s) guaranteed by Abcam. For a full list of applications guaranteed by Abcam for ab242061 please see the product overview.

Overexpressing hTau disrupts PA28γ-20S proteasome complex formation and downregulating PKAR2α or upregulating PA28γ attenuates hTau-induced PKA/CREB inhibition. (a) Overexpressing hTau increases association of PKAR2α with PA28γ. The cultured hippocampal neurons infected with lenti-syn-hTau-mCherry virus for 7 days, and PA28γ was co-immunoprecipitated by anti-PA28γ antibody and detected by Western blot using anti-PKAR2α and anti-PA28γ antibody. For all co-immunoprecipitations, results are received from three independent experiments. (b) Overexpressing hTau decreases association of PKAR2α with 20S proteasome subunit. PKAR2α was co-immunoprecipitated using anti-PKAR2α antibody and detected by Western blot using anti-20S proteasome subunit and anti-PKAR2α antibody. (c) Overexpressing hTau decreases association of PA28γ with 20S proteasome subunit. 20S proteasome subunit was co-immunoprecipitated using anti-20S protease subunit and detected by Western blot using anti-PA28γ antibody and anti-20S proteasome subunit. (d) Tau dose not bind to PA28γ. The cultured hippocampal neuron extract was co-immunoprecipitated using anti-PA28γ, and tau was not detected in the precipitates by Tau5. (e, f) Downregulating PKAR2α by shRNA attenuates hTau-induced CREB dephosphorylation. The primary cultured hippocampal neurons (5 div) were co-infected with hTau and shPKAR2α lentivirus. After 7 days, the indicated proteins were measured by Western blot. (g, h) Upregulating PA28γ attenuates hTau-induced PKAR2α elevation and CREB dephosphorylation. The hTau and PA28γ lentivirus were co-infected in primary cultured hippocampal neurons (5 div) for 7 days, and the indicated proteins were measured by Western blot. Data were expressed as mean ± SEM. For Western blot, the n number was 9 (from nine different batches of cultured hippocampal neurons). *p < .05, **p < .01, versus Vec, &p < .05, versus hTau in (f), #p < .05, ##p < .01, versus hTau in (h)

false

関連する標識済み抗体及び組成の異なる製品 (1)

  • Carrier free

    Anti-Proteasome 20S LMP2 antibody [EPR22042] - BSA and Azide free

Key facts

宿主種

Rabbit

クローン性

Monoclonal

クローン番号

EPR22042

アイソタイプ

IgG

キャリアフリー

No

交差種

Mouse, Rat, Human

アプリケーション

Flow Cyt (Intra), IP, ICC/IF, IHC-P, WB

applications

免疫原

The exact immunogen used to generate this antibody is proprietary information.

Reactivity data

{ "title": "Reactivity Data", "filters": { "stats": ["", "Species", "Dilution Info", "Notes"], "tabs": { "all-applications": {"fullname" : "All Applications", "shortname": "All Applications"}, "IP" : {"fullname" : "Immunoprecipitation", "shortname":"IP"}, "WB" : {"fullname" : "Western blot", "shortname":"WB"}, "ICCIF" : {"fullname" : "Immunocytochemistry/ Immunofluorescence", "shortname":"ICC/IF"}, "FlowCytIntra" : {"fullname" : "Flow Cytometry (Intracellular)", "shortname":"Flow Cyt (Intra)"}, "IHCP" : {"fullname" : "Immunohistochemistry (Formalin/PFA-fixed paraffin-embedded sections)", "shortname":"IHC-P"} }, "product-promise": { "all": "all", "testedAndGuaranteed": "tested", "guaranteed": "expected", "predicted": "predicted", "notRecommended": "not-recommended" } }, "values": { "Human": { "IP-species-checked": "testedAndGuaranteed", "IP-species-dilution-info": "1/30", "IP-species-notes": "<p></p>", "WB-species-checked": "testedAndGuaranteed", "WB-species-dilution-info": "1/1000", "WB-species-notes": "<p></p>", "ICCIF-species-checked": "testedAndGuaranteed", "ICCIF-species-dilution-info": "1/100", "ICCIF-species-notes": "<p></p>", "FlowCytIntra-species-checked": "testedAndGuaranteed", "FlowCytIntra-species-dilution-info": "1/500", "FlowCytIntra-species-notes": "<p></p>", "IHCP-species-checked": "testedAndGuaranteed", "IHCP-species-dilution-info": "1/2000", "IHCP-species-notes": "<p></p>" }, "Mouse": { "IP-species-checked": "guaranteed", "IP-species-dilution-info": "", "IP-species-notes": "", "WB-species-checked": "testedAndGuaranteed", "WB-species-dilution-info": "1/1000", "WB-species-notes": "<p></p>", "ICCIF-species-checked": "testedAndGuaranteed", "ICCIF-species-dilution-info": "1/100", "ICCIF-species-notes": "<p></p>", "FlowCytIntra-species-checked": "testedAndGuaranteed", "FlowCytIntra-species-dilution-info": "1/500", "FlowCytIntra-species-notes": "<p></p>", "IHCP-species-checked": "testedAndGuaranteed", "IHCP-species-dilution-info": "1/2000", "IHCP-species-notes": "<p></p>" }, "Rat": { "IP-species-checked": "guaranteed", "IP-species-dilution-info": "", "IP-species-notes": "", "WB-species-checked": "testedAndGuaranteed", "WB-species-dilution-info": "1/1000", "WB-species-notes": "<p></p>", "ICCIF-species-checked": "guaranteed", "ICCIF-species-dilution-info": "", "ICCIF-species-notes": "", "FlowCytIntra-species-checked": "guaranteed", "FlowCytIntra-species-dilution-info": "", "FlowCytIntra-species-notes": "", "IHCP-species-checked": "testedAndGuaranteed", "IHCP-species-dilution-info": "1/2000", "IHCP-species-notes": "<p></p>" } } }

製品の詳細

Patented technology
Our RabMAb® technology is a patented hybridoma-based technology for making rabbit monoclonal antibodies. For details on our patents, please refer to RabMAb® patents.

What are the advantages of a recombinant monoclonal antibody?
This product is a recombinant monoclonal antibody, which offers several advantages including:

  • - High batch-to-batch consistency and reproducibility
  • - Improved sensitivity and specificity
  • - Long-term security of supply
  • - Animal-free batch production

For more information, read more on recombinant antibodies.

出荷温度及び保存条件

製品の状態
Liquid
精製方法
Affinity purification Protein A
バッファー組成
pH: 7.2 - 7.4 Preservative: 0.01% Sodium azide Constituents: PBS, 40% Glycerol (glycerin, glycerine), 0.05% BSA
出荷温度
Blue Ice
短期保存期間
1-2 weeks
短期保存温度
+4°C
長期保存温度
-20°C
分注に関する情報
Upon delivery aliquot
保管に関する情報
Avoid freeze / thaw cycle

補足情報

This supplementary information is collated from multiple sources and compiled automatically.

The proteasome LMP2 also known as proteasome subunit beta type-1 or PSMB9 is a component important in the functioning of the 20S proteasome complex. This molecular entity with a mass of approximately 23 kDa is predominantly expressed in immune cells including lymphocytes. LMP2 incorporates into the immunoproteasome a specialized variant of the proteasome that participates prominently in the processing of class I MHC peptides enhancing the immune response.
Biological function summary

LMP2 is integral to protein catabolism and regulation of the cellular protein homeostasis. As part of the larger proteasome complex the LMP2 protein functions in degradative pathways that recycle amino acids from ubiquitin-tagged proteins. This proteasome takes part in antigen processing helping convert proteins into peptides that are presented on the surface of cells for immune system recognition.

Pathways

LMP2 is significantly involved in the ubiquitin-proteasome pathway and immune system processes. It interacts with other immunoproteasome subunits like LMP7 and MECL-1 which work together to enhance the proteolytic capacity for antigen presentation. The presence of LMP2 in these pathways demonstrates its role in adaptive immunity contributing to the clearance of misfolded or damaged proteins and therefore maintaining cell health.

LMP2 associates with immune-related conditions and some cancer types. Dysregulation of LMP2 expression or function can impact antigen presentation potentially leading to autoimmune disorders due to inappropriate immune activation. Moreover alterations in LMP2 expression have been observed in certain cancers such as melanoma where it affects proteasome activity and influences tumor progression. In these contexts interactions with proteins like TAP1 and TAP2 which aid in peptide transport mark its relevance in disease pathogenesis.

製品プロトコール

For this product, it's our understanding that no specific protocols are required. You can visit:

ターゲットの情報

The proteasome is a multicatalytic proteinase complex which is characterized by its ability to cleave peptides with Arg, Phe, Tyr, Leu, and Glu adjacent to the leaving group at neutral or slightly basic pH (PubMed : 33727065, PubMed : 34819510). The proteasome has an ATP-dependent proteolytic activity. This subunit is involved in antigen processing to generate class I binding peptides. Replacement of PSMB6 by PSMB9 increases the capacity of the immunoproteasome to cleave model peptides after hydrophobic and basic residues.
See full target information PSMB9

文献 (4)

Recent publications for all applications. Explore the full list and refine your search

Cell reports 44:115096 PubMed39700008

2024

P-cadherin mechanoactivates tumor-mesothelium metabolic coupling to promote ovarian cancer metastasis.

Applications

Unspecified application

Species

Unspecified reactive species

Jing Ma,Sally Kit Yan To,Katie Sze Wai Fung,Kun Wang,Jiangwen Zhang,Alfonso Hing Wan Ngan,Susan Yung,Tak Mao Chan,Carmen Chak Lui Wong,Philip Pun Ching Ip,Ling Peng,Hong-Yan Guo,Chi Bun Chan,Alice Sze Tsai Wong

Advanced science (Weinheim, Baden-Wurttemberg, Germany) 11:e2405318 PubMed39356034

2024

Targeting Immunoproteasome in Polarized Macrophages Ameliorates Experimental Emphysema Via Activating NRF1/2-P62 Axis and Suppressing IRF4 Transcription.

Applications

Unspecified application

Species

Unspecified reactive species

Bingxin Guo,Xing Shi,Qiong Jiang,Yuanwei Pan,Yuqiong Yang,Yuanyuan Liu,Shuyu Chen,Wenjiao Zhu,Laibin Ren,Ruifang Liang,Xue Chen,Haizhao Xu,Laiyou Wei,Yongjian Lin,Jinyong Wang,Chen Qiu,Haibo Zhou,Lang Rao,Lingwei Wang,Rongchang Chen,Shanze Chen

Frontiers in immunology 11:603278 PubMed33552061

2021

Co-Inhibition of the Immunoproteasome Subunits LMP2 and LMP7 Ameliorates Immune Thrombocytopenia.

Applications

Unspecified application

Species

Unspecified reactive species

Sheng-Hong Du,Yu-Jiao Xiang,Lu Liu,Mu Nie,Yu Hou,Ling Wang,Ban-Ban Li,Miao Xu,Qing-Liang Teng,Jun Peng,Ming Hou,Yan Shi

Aging cell 19:e13055 PubMed31668016

2019

Tau inhibits PKA by nuclear proteasome-dependent PKAR2α elevation with suppressed CREB/GluA1 phosphorylation.

Applications

Unspecified application

Species

Unspecified reactive species

Jinwang Ye,Yaling Yin,Huanhuan Liu,Lin Fang,Xiaoqing Tao,Linyu Wei,Yue Zuo,Ying Yin,Dan Ke,Jian-Zhi Wang
View all publications

Abcam product promise

当社は、高品質な試薬を通じてお客様の研究を力強くサポートすることをお約束いたします。ご使用いただく各段階で、常にお客様をサポートできる体制を整えております。万が一、製品が期待通りに機能しない場合は、「Abcam Product Promise」による当社保証制度に基づき、安心してご利用いただけます。
保証に関する詳細については利用規約をご確認ください。

Please note: All products are 'FOR RESEARCH USE ONLY. NOT FOR USE IN DIAGNOSTIC OR THERAPEUTIC PROCEDURES'.

For licensing inquiries, please contact partnerships@abcam.com