JavaScript is disabled in your browser. Please enable JavaScript to view this website.
AB3328

Anti-Proteasome 20S LMP2 抗体

Anti-Proteasome 20S LMP2 antibody

4

(5 Reviews)

|

(50 Publications)

Rabbit Polyclonal Proteasome 20S LMP2 antibody. Suitable for WB and reacts with Mouse, Human samples. Cited in 50 publications. Immunogen corresponding to Synthetic Peptide within Human PSMB9 aa 200 to C-terminus.

別名を表示する

LMP2, PSMB6i, RING12, PSMB9, Proteasome subunit beta type-9, Low molecular mass protein 2, Macropain chain 7, Multicatalytic endopeptidase complex chain 7, Proteasome chain 7, Proteasome subunit beta-1i, Really interesting new gene 12 protein

2 Images
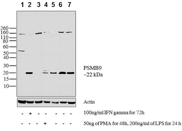
Western blot - Anti-Proteasome 20S LMP2 antibody (AB3328)
  • WB

Supplier Data

Western blot - Anti-Proteasome 20S LMP2 antibody (AB3328)

All lanes:

Western blot - Anti-Proteasome 20S LMP2 antibody (ab3328) at 2 µg/mL

Lane 1:

HeLa (human epithelial cell line from cervix adenocarcinoma) whole cell lysate at 30 µg

Lane 2:

HeLa (human epithelial cell line from cervix adenocarcinoma) treated with 100 ng/mL IFN gamma for 72 hours, whole cell lysate at 30 µg

Lane 3:

THP-1 (human monocytic leukemia cell line) whole cell lysate at 30 µg

Lane 4:

THP-1 (human monocytic leukemia cell line) treated with 50 ng/mL PMA for 48 hours and 200 ng/mL LPS for 24 hours, whole cell lysate at 30 µg

Lane 5:

U937 (human histiocytic lymphoma cell line) whole cell lysate at 30 µg

Lane 6:

Raji (human Burkitt's lymphoma cell line) whole cell lysate at 30 µg

Lane 7:

Ramos (human Burkitt's lymphoma cell line) whole cell lysate at 30 µg

Secondary

All lanes:

Goat anti-Rabbit IgG (H+L) HRP conjugate at 0.4 µg/mL

Predicted band size: 23 kDa

true

Western blot - Anti-Proteasome 20S LMP2 antibody (AB3328)
  • WB

Unknown

Western blot - Anti-Proteasome 20S LMP2 antibody (AB3328)

Western blot of proteasome 20S LMP2 in 50 ug mouse embryo fibroblast cell extract using ab3328.

All lanes:

Western blot - Anti-Proteasome 20S LMP2 antibody (ab3328)

Predicted band size: 23 kDa

false

Key facts

宿主種

Rabbit

クローン性

Polyclonal

アイソタイプ

IgG

キャリアフリー

No

交差種

Mouse, Human

アプリケーション

WB

applications

免疫原

Synthetic Peptide within Human PSMB9 aa 200 to C-terminus. The exact immunogen used to generate this antibody is proprietary information.

P28065

Reactivity data

{ "title": "Reactivity Data", "filters": { "stats": ["", "Species", "Dilution Info", "Notes"], "tabs": { "all-applications": {"fullname" : "All Applications", "shortname": "All Applications"}, "WB" : {"fullname" : "Western blot", "shortname":"WB"} }, "product-promise": { "all": "all", "testedAndGuaranteed": "tested", "guaranteed": "expected", "predicted": "predicted", "notRecommended": "not-recommended" } }, "values": { "Human": { "WB-species-checked": "testedAndGuaranteed", "WB-species-dilution-info": "1 µg/mL", "WB-species-notes": "<p>(worked at 1/2000 (PMID 17114438))</p>" }, "Mouse": { "WB-species-checked": "testedAndGuaranteed", "WB-species-dilution-info": "1 µg/mL", "WB-species-notes": "<p>(worked at 1/2000 (PMID 17114438))</p>" }, "Rat": { "WB-species-checked": "predicted", "WB-species-dilution-info": "", "WB-species-notes": "" }, "Cow": { "WB-species-checked": "predicted", "WB-species-dilution-info": "", "WB-species-notes": "" } } }

出荷温度及び保存条件

製品の状態
Liquid
精製方法
Affinity purification Immunogen
バッファー組成
Constituents: PBS, 0.1% BSA
出荷温度
Blue Ice
短期保存期間
1-2 weeks
短期保存温度
+4°C
長期保存温度
-20°C
分注に関する情報
Upon delivery aliquot
保管に関する情報
Avoid freeze / thaw cycle

補足情報

This supplementary information is collated from multiple sources and compiled automatically.

The proteasome LMP2 also known as proteasome subunit beta type-1 or PSMB9 is a component important in the functioning of the 20S proteasome complex. This molecular entity with a mass of approximately 23 kDa is predominantly expressed in immune cells including lymphocytes. LMP2 incorporates into the immunoproteasome a specialized variant of the proteasome that participates prominently in the processing of class I MHC peptides enhancing the immune response.
Biological function summary

LMP2 is integral to protein catabolism and regulation of the cellular protein homeostasis. As part of the larger proteasome complex the LMP2 protein functions in degradative pathways that recycle amino acids from ubiquitin-tagged proteins. This proteasome takes part in antigen processing helping convert proteins into peptides that are presented on the surface of cells for immune system recognition.

Pathways

LMP2 is significantly involved in the ubiquitin-proteasome pathway and immune system processes. It interacts with other immunoproteasome subunits like LMP7 and MECL-1 which work together to enhance the proteolytic capacity for antigen presentation. The presence of LMP2 in these pathways demonstrates its role in adaptive immunity contributing to the clearance of misfolded or damaged proteins and therefore maintaining cell health.

LMP2 associates with immune-related conditions and some cancer types. Dysregulation of LMP2 expression or function can impact antigen presentation potentially leading to autoimmune disorders due to inappropriate immune activation. Moreover alterations in LMP2 expression have been observed in certain cancers such as melanoma where it affects proteasome activity and influences tumor progression. In these contexts interactions with proteins like TAP1 and TAP2 which aid in peptide transport mark its relevance in disease pathogenesis.

製品プロトコール

For this product, it's our understanding that no specific protocols are required. You can visit:

ターゲットの情報

The proteasome is a multicatalytic proteinase complex which is characterized by its ability to cleave peptides with Arg, Phe, Tyr, Leu, and Glu adjacent to the leaving group at neutral or slightly basic pH (PubMed : 33727065, PubMed : 34819510). The proteasome has an ATP-dependent proteolytic activity. This subunit is involved in antigen processing to generate class I binding peptides. Replacement of PSMB6 by PSMB9 increases the capacity of the immunoproteasome to cleave model peptides after hydrophobic and basic residues.
See full target information PSMB9

文献 (50)

Recent publications for all applications. Explore the full list and refine your search

iScience 28:111873 PubMed40060909

2025

Mutational pressure promotes release of public CD8 T cell epitopes by proteasome from SARS-CoV-2 RBD of Omicron and its current lineages.

Applications

Unspecified application

Species

Unspecified reactive species

Anna A Kudriaeva,Ivan O Butenko,George A Saratov,Maxim Т Ri,Yuliana A Mokrushina,Alexey A Bondarev,Alena S Evpak,Ivan V Smirnov,Daria S Matyushkina,Alexander G Gabibov,Vadim M Govorun,Alexey A Belogurov

Autophagy 21:1212-1227 PubMed39878121

2025

Limiting cap-dependent translation increases 20S proteasomal degradation and protects the proteomic integrity in autophagy-deficient skeletal muscle.

Applications

Unspecified application

Species

Unspecified reactive species

Han Dong,Yifan Lyu,Chien-Yung Huang,Shih-Yin Tsai

The EMBO journal 44:903-922 PubMed39753950

2025

Hypoxia promotes tumor immune evasion by suppressing MHC-I expression and antigen presentation.

Applications

Unspecified application

Species

Unspecified reactive species

Hala Estephan,Arun Tailor,Robert Parker,McKenzie Kreamer,Ioanna Papandreou,Leticia Campo,Alistair Easton,Eui Jung Moon,Nicholas C Denko,Nicola Ternette,Ester M Hammond,Amato J Giaccia

International journal of molecular sciences 24: PubMed37895057

2023

Ubiquitin Proteasome System Role in Diabetes-Induced Cardiomyopathy.

Applications

Unspecified application

Species

Unspecified reactive species

Ortal Nahum-Ankonina,Efrat Kurtzwald-Josefson,Aaron Ciechanover,Maayan Waldman,Orna Shwartz-Rohaker,Edith Hochhauser,Sam J Meyer,Dan Aravot,Moshe Phillip,Yaron D Barac

Nature communications 14:4092 PubMed37433777

2023

Immunoproteasome-specific subunit PSMB9 induction is required to regulate cellular proteostasis upon mitochondrial dysfunction.

Applications

Unspecified application

Species

Unspecified reactive species

Minji Kim,Remigiusz A Serwa,Lukasz Samluk,Ida Suppanz,Agata Kodroń,Tomasz M Stępkowski,Praveenraj Elancheliyan,Biniyam Tsegaye,Silke Oeljeklaus,Michal Wasilewski,Bettina Warscheid,Agnieszka Chacinska

iScience 26:106909 PubMed37332674

2023

Integrative systems biology characterizes immune-mediated neurodevelopmental changes in murine Zika virus microcephaly.

Applications

Unspecified application

Species

Unspecified reactive species

Kimino Fujimura,Amanda J Guise,Tojo Nakayama,Christoph N Schlaffner,Anais Meziani,Mukesh Kumar,Long Cheng,Dylan J Vaughan,Andrew Kodani,Simon Van Haren,Kenneth Parker,Ofer Levy,Ann F Durbin,Irene Bosch,Lee Gehrke,Hanno Steen,Ganeshwaran H Mochida,Judith A Steen

Aging 15:3295-3330 PubMed37179123

2023

Proteostatic modulation in brain aging without associated Alzheimer's disease-and age-related neuropathological changes.

Applications

Unspecified application

Species

Unspecified reactive species

Pol Andrés-Benito,Ignacio Íñigo-Marco,Marta Brullas,Margarita Carmona,José Antonio Del Rio,Joaquín Fernández-Irigoyen,Enrique Santamaría,Mónica Povedano,Isidro Ferrer

Nature communications 14:1573 PubMed36949064

2023

Epigenetic state determines the in vivo efficacy of STING agonist therapy.

Applications

Unspecified application

Species

Unspecified reactive species

Rana Falahat,Anders Berglund,Patricio Perez-Villarroel,Ryan M Putney,Imene Hamaidi,Sungjune Kim,Shari Pilon-Thomas,Glen N Barber,James J Mulé

The EMBO journal 42:e110597 PubMed36912165

2023

DNA sensing via the cGAS/STING pathway activates the immunoproteasome and adaptive T-cell immunity.

Applications

Unspecified application

Species

Unspecified reactive species

Xinyuan Wang,Huabin Zhang,Yuqin Wang,Laylan Bramasole,Kai Guo,Fatima Mourtada,Thomas Meul,Qianjiang Hu,Valeria Viteri,Ilona Kammerl,Melanie Konigshoff,Mareike Lehmann,Thomas Magg,Fabian Hauck,Isis E Fernandez,Silke Meiners

Scientific reports 13:2129 PubMed36746983

2023

Increased expression of the immunoproteasome subunits PSMB8 and PSMB9 by cancer cells correlate with better outcomes for triple-negative breast cancers.

Applications

Unspecified application

Species

Unspecified reactive species

Karen Geoffroy,Bruna Araripe Saraiva,Melissa Viens,Delphine Béland,Marie-Claude Bourgeois-Daigneault
View all publications

Abcam product promise

当社は、高品質な試薬を通じてお客様の研究を力強くサポートすることをお約束いたします。ご使用いただく各段階で、常にお客様をサポートできる体制を整えております。万が一、製品が期待通りに機能しない場合は、「Abcam Product Promise」による当社保証制度に基づき、安心してご利用いただけます。
保証に関する詳細については利用規約をご確認ください。

Please note: All products are 'FOR RESEARCH USE ONLY. NOT FOR USE IN DIAGNOSTIC OR THERAPEUTIC PROCEDURES'.

For licensing inquiries, please contact partnerships@abcam.com