JavaScript is disabled in your browser. Please enable JavaScript to view this website.
AB183968

Anti-Prolactin/PRL 抗体 [EPR19372]

Anti-Prolactin/PRL antibody [EPR19372]

Be the first to review this product! Submit a review

|

(1 Publication)

Rabbit Recombinant Monoclonal Prolactin/PRL antibody. Suitable for IHC-Fr, IP, WB and reacts with Mouse, Rat samples. Cited in 1 publication.

別名を表示する

Prolactin, PRL, Prl

4 Images
Immunohistochemistry (Frozen sections) - Anti-Prolactin/PRL antibody [EPR19372] (AB183968)
  • IHC-Fr

Supplier Data

Immunohistochemistry (Frozen sections) - Anti-Prolactin/PRL antibody [EPR19372] (AB183968)

Immunohistochemical analysis of 4% paraformaldehyde-fixed 0.2% Triton X-100 permeabilized frozen Mouse pituitary tissue labeling Prolactin/PRL with ab183968 at 1/200 dilution followed by Goat Anti-Rabbit IgG (Alexa Fluor® 488) (ab150077) secondary antibody at 1/1000 dilution (green).

The result showed cytoplasmic staining on mouse anterior pituitary.

The nuclear counterstain is DAPI (blue).

Secondary antibody only control : Used PBS instead of primary antibody secondary antibody is ab150077 at 1/1000 dilution.

Immunohistochemistry (Frozen sections) - Anti-Prolactin/PRL antibody [EPR19372] (AB183968)
  • IHC-Fr

Supplier Data

Immunohistochemistry (Frozen sections) - Anti-Prolactin/PRL antibody [EPR19372] (AB183968)

Immunohistochemical analysis of 4% paraformaldehyde-fixed 0.2% Triton X-100 permeabilized frozen Mouse kidney tissue labeling Prolactin/PRL with ab183968 at 1/200 dilution followed by Goat Anti-Rabbit IgG (Alexa Fluor® 488) (ab150077) secondary antibody at 1/1000 dilution (green).

The result showed negative staining on mouse kidney.

The nuclear counterstain is DAPI (blue).

Secondary antibody only control : Used PBS instead of primary antibody secondary antibody is ab150077 at 1/1000 dilution.

Immunoprecipitation - Anti-Prolactin/PRL antibody [EPR19372] (AB183968)
  • IP

Supplier Data

Immunoprecipitation - Anti-Prolactin/PRL antibody [EPR19372] (AB183968)

Prolactin/PRL was immunoprecipitated from 0.35 mg of mouse pituitary whole cell lysate with ab183968 at 1/30 dilution. Western blot was performed from the immunoprecipitate using ab183968 at 1/5000 dilution. VeriBlot for IP Detection Reagent (HRP) (ab131366), was used for detection at 1/10000 dilution.

Lane 1 : Mouse pituitary whole cell lysate, 10μg (Input).

Lane 2 : ab183968 IP in Mouse pituitary whole cell lysate.

Lane 3 : Rabbit IgG,monoclonal [EPR25A]-Isotype Control (ab172730) instead of ab183968 in Mouse pituitary whole cell lysate.

Blocking and dilution buffer and concentration : 5% NFDM/TBST.

Exposure time : 10 seconds.

All lanes:

Immunoprecipitation - Anti-Prolactin/PRL antibody [EPR19372] (ab183968)

Predicted band size: 26 kDa

false

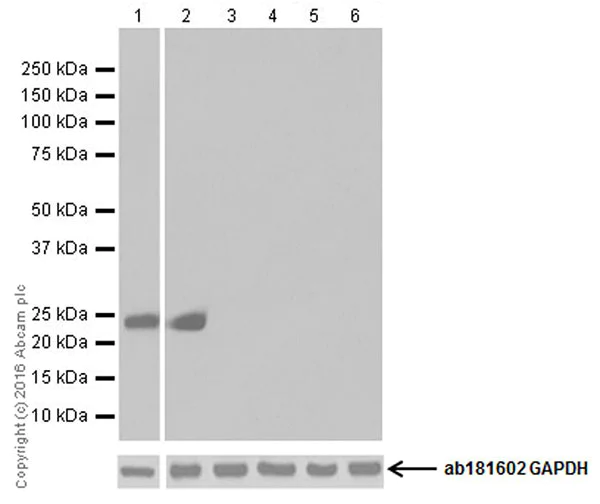
Western blot - Anti-Prolactin/PRL antibody [EPR19372] (AB183968)
  • WB

Supplier Data

Western blot - Anti-Prolactin/PRL antibody [EPR19372] (AB183968)

Blocking/Dilution buffer : 5% NFDM/TBST.

Exposure time : Lane 1 : 8 seconds; Lane 2,3,4,5 and 6 : 3 second.

All lanes:

Western blot - Anti-Prolactin/PRL antibody [EPR19372] (ab183968) at 1/5000 dilution

Lane 1:

Mouse pituitary lysate at 20 µg

Lane 2:

Rat pituitary lysate at 20 µg

Lane 3:

Mouse uterus tissue lysate at 20 µg

Lane 4:

Rat kidney tissue lysate at 20 µg

Lane 5:

C6 (Rat glial tumor cell line) whole cell lysate at 20 µg

Lane 6:

NIH/3T3 (Mouse embryonic fibroblast cell line) whole cell lysate at 20 µg

Secondary

All lanes:

Western blot - Goat Anti-Rabbit IgG H&L (HRP) (<a href='/products/secondary-antibodies/goat-rabbit-igg-h-l-hrp-ab97051'>ab97051</a>) at 1/100000 dilution

Predicted band size: 26 kDa

Observed band size: 25 kDa

false

関連する標識済み抗体及び組成の異なる製品 (1)

  • Carrier free

    Anti-Prolactin/PRL antibody [EPR19372] - BSA and Azide free

Key facts

宿主種

Rabbit

クローン性

Monoclonal

クローン番号

EPR19372

アイソタイプ

IgG

キャリアフリー

No

交差種

Mouse, Rat

アプリケーション

WB, IP, IHC-Fr

applications

免疫原

The exact immunogen used to generate this antibody is proprietary information.

Reactivity data

{ "title": "Reactivity Data", "filters": { "stats": ["", "Species", "Dilution Info", "Notes"], "tabs": { "all-applications": {"fullname" : "All Applications", "shortname": "All Applications"}, "IHCFr" : {"fullname" : "Immunohistochemistry (Frozen sections)", "shortname":"IHC-Fr"}, "IP" : {"fullname" : "Immunoprecipitation", "shortname":"IP"}, "WB" : {"fullname" : "Western blot", "shortname":"WB"} }, "product-promise": { "all": "all", "testedAndGuaranteed": "tested", "guaranteed": "expected", "predicted": "predicted", "notRecommended": "not-recommended" } }, "values": { "Mouse": { "IHCFr-species-checked": "testedAndGuaranteed", "IHCFr-species-dilution-info": "1/200", "IHCFr-species-notes": "<p>Antigen retrieval: Heated citrate solution (10mM citrate pH 6.0 + 0.05% Tween-20).</p><p>This application is recommended for mouse only.</p>", "IP-species-checked": "testedAndGuaranteed", "IP-species-dilution-info": "1/30", "IP-species-notes": "<p></p>", "WB-species-checked": "testedAndGuaranteed", "WB-species-dilution-info": "1/5000", "WB-species-notes": "<p></p>" }, "Rat": { "IHCFr-species-checked": "guaranteed", "IHCFr-species-dilution-info": "", "IHCFr-species-notes": "", "IP-species-checked": "testedAndGuaranteed", "IP-species-dilution-info": "1/30", "IP-species-notes": "<p></p>", "WB-species-checked": "testedAndGuaranteed", "WB-species-dilution-info": "1/5000", "WB-species-notes": "<p></p>" } } }

製品の詳細

Patented technology
Our RabMAb® technology is a patented hybridoma-based technology for making rabbit monoclonal antibodies. For details on our patents, please refer to RabMAb® patents.

What are the advantages of a recombinant monoclonal antibody?
This product is a recombinant monoclonal antibody, which offers several advantages including:

  • - High batch-to-batch consistency and reproducibility
  • - Improved sensitivity and specificity
  • - Long-term security of supply
  • - Animal-free batch production

For more information, read more on recombinant antibodies.

出荷温度及び保存条件

製品の状態
Liquid
精製方法
Affinity purification Protein A
バッファー組成
pH: 7.2 Preservative: 0.01% Sodium azide Constituents: PBS, 40% Glycerol (glycerin, glycerine), 0.05% BSA
出荷温度
Blue Ice
短期保存期間
1-2 weeks
短期保存温度
+4°C
長期保存温度
-20°C
分注に関する情報
Upon delivery aliquot
保管に関する情報
Avoid freeze / thaw cycle

補足情報

This supplementary information is collated from multiple sources and compiled automatically.

Prolactin (PRL) also known as mammotropin is a peptide hormone with a molecular mass of approximately 23 kDa. PRL is primarily expressed in the anterior pituitary gland but can also be found in other tissues such as the mammary glands brain and immune system. PRL plays an important role in lactation stimulating milk production in mammals. The PRL protein functions by binding to the prolactin receptor a member of the cytokine receptor family initiating signal transduction pathways.
Biological function summary

PRL influences a variety of physiological processes including reproduction metabolism and osmoregulation. It acts as a single entity rather than part of a larger protein complex affecting development and growth through its regulatory activities. In addition to lactation PRL also plays roles in the immune system cell proliferation and the production of surfactant in the lungs.

Pathways

Prolactin is deeply involved in the JAK-STAT signaling pathway and the MAPK/ERK pathway which are pivotal for transmitting signals from the prolactin receptor to the nucleus. Through these pathways PRL interacts with proteins like Janus kinase (JAK) and Signal Transducer and Activator of Transcription (STAT) proteins facilitating its wide range of biological effects. This interplay helps regulate gene expression critical for various physiological conditions.

PRL is linked to conditions such as hyperprolactinemia and prolactinoma. Hyperprolactinemia characterized by elevated levels of prolactin in the blood can lead to symptoms such as galactorrhea and infertility. In the context of prolactinoma an adenoma of the pituitary gland PRL's overproduction is common. These disorders often relate to proteins like dopamine which typically acts to inhibit PRL secretion from the pituitary gland and any disruption in this regulation can result in the aforementioned conditions.

製品プロトコール

For this product, it's our understanding that no specific protocols are required. You can visit:

ターゲットの情報

Prolactin acts primarily on the mammary gland by promoting lactation.
See full target information Prl

追加のターゲット

Prolactin/PRL

文献 (1)

Recent publications for all applications. Explore the full list and refine your search

Neuroendocrinology 114:517-537 PubMed38071956

2023

Oxytocin Receptor-Expressing Neurons in the Medial Preoptic Area Are Essential for Lactation, whereas Those in the Lateral Septum Are Not Critical for Maternal Behavior.

Applications

Unspecified application

Species

Unspecified reactive species

Shizu Hidema,Keisuke Sato,Hiroaki Mizukami,Yumi Takahashi,Yuko Maejima,Kenju Shimomura,Katsuhiko Nishimori
View all publications

Abcam product promise

当社は、高品質な試薬を通じてお客様の研究を力強くサポートすることをお約束いたします。ご使用いただく各段階で、常にお客様をサポートできる体制を整えております。万が一、製品が期待通りに機能しない場合は、「Abcam Product Promise」による当社保証制度に基づき、安心してご利用いただけます。
保証に関する詳細については利用規約をご確認ください。

Please note: All products are 'FOR RESEARCH USE ONLY. NOT FOR USE IN DIAGNOSTIC OR THERAPEUTIC PROCEDURES'.

For licensing inquiries, please contact partnerships@abcam.com