JavaScript is disabled in your browser. Please enable JavaScript to view this website.
AB282574

Anti-Proenkephalin-B 抗体 [EPR24508-29]

Anti-Proenkephalin-B antibody [EPR24508-29]

  • BOND RX™ Validated
  • 20ul selling size
  • RabMAb
  • Recombinant
  • 詳細を見る

Be the first to review this product! Submit a review

|

(0 Publication)

Rabbit Recombinant Monoclonal ProDynorphin antibody. Suitable for IHC-P, Dot and reacts with Rat samples.

別名を表示する

Proenkephalin-B, Beta-neoendorphin-dynorphin, Preprodynorphin, Pdyn

5 Images
Immunohistochemistry (Formalin/PFA-fixed paraffin-embedded sections) - Anti-Proenkephalin-B antibody [EPR24508-29] (AB282574)
  • IHC-P

Supplier Data

Immunohistochemistry (Formalin/PFA-fixed paraffin-embedded sections) - Anti-Proenkephalin-B antibody [EPR24508-29] (AB282574)

Immunohistochemical analysis of paraffin-embedded Rat lung tissue labelling ProDynorphin with ab282574 at 1/4000 (0.146 ug/ml) followed by a ready to use Rabbit specific IHC polymer detection kit HRP/DAB (ab209101). Negative control : no staining on rat lung. The section was incubated with ab282574 for 30 mins at room temperature. The immunostaining was performed on a Leica Biosystems BOND® RX instrument Counterstained with Hematoxylin.

Secondary antibody only control : Secondary antibody is a ready to use Rabbit specific IHC polymer detection kit HRP/DAB (ab209101).

Heat mediated antigen retrieval with Tris-EDTA buffer (pH 9.0, epitope retrieval solution2) for 20 mins

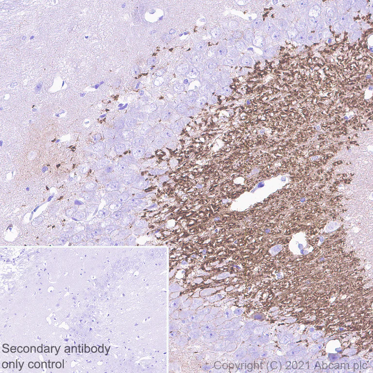
Immunohistochemistry (Formalin/PFA-fixed paraffin-embedded sections) - Anti-Proenkephalin-B antibody [EPR24508-29] (AB282574)
  • IHC-P

Supplier Data

Immunohistochemistry (Formalin/PFA-fixed paraffin-embedded sections) - Anti-Proenkephalin-B antibody [EPR24508-29] (AB282574)

Immunohistochemical analysis of paraffin-embedded Rat hippocampus tissue labelling ProDynorphin with ab282574 at 1/4000 (0.146 ug/ml) followed by a ready to use Rabbit specific IHC polymer detection kit HRP/DAB (ab209101). Cytoplasmic staining on rat hippocampus. The section was incubated with ab282574 for 30 mins at room temperature. The immunostaining was performed on a Leica Biosystems BOND® RX instrument. Counterstained with Hematoxylin.

Secondary antibody only control : Secondary antibody is a ready to use Rabbit specific IHC polymer detection kit HRP/DAB (ab209101).

Heat mediated antigen retrieval with Tris-EDTA buffer (pH 9.0, epitope retrieval solution2) for 20 mins

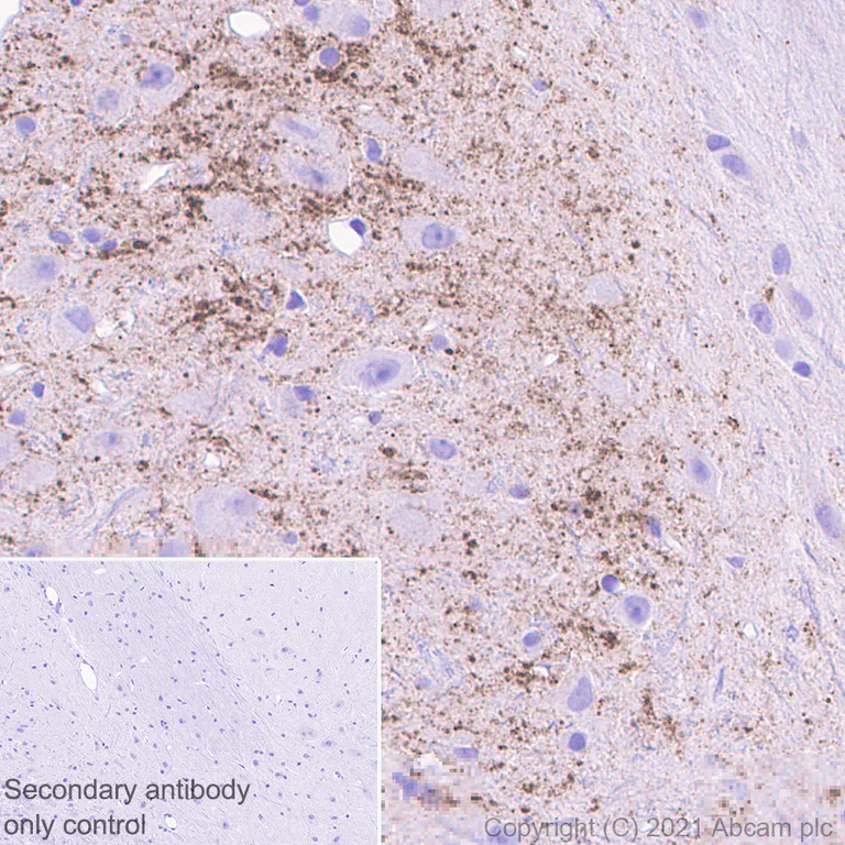
Immunohistochemistry (Formalin/PFA-fixed paraffin-embedded sections) - Anti-Proenkephalin-B antibody [EPR24508-29] (AB282574)
  • IHC-P

Supplier Data

Immunohistochemistry (Formalin/PFA-fixed paraffin-embedded sections) - Anti-Proenkephalin-B antibody [EPR24508-29] (AB282574)

Immunohistochemical analysis of paraffin-embedded Rat hypothalamus tissue labelling ProDynorphin with ab282574 at 1/4000 (0.146 ug/ml) followed by a ready to use Rabbit specific IHC polymer detection kit HRP/DAB (ab209101). Cytoplasmic staining on part of rat hypothalamus. The section was incubated with ab282574 for 30 mins at room temperature. The immunostaining was performed on a Leica Biosystems BOND® RX instrument Counterstained with Hematoxylin.

Secondary antibody only control : Secondary antibody is a ready to use Rabbit specific IHC polymer detection kit HRP/DAB (ab209101).

Heat mediated antigen retrieval with Tris-EDTA buffer (pH 9.0, epitope retrieval solution2) for 20 mins

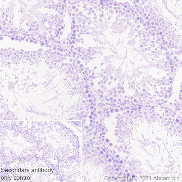
Immunohistochemistry (Formalin/PFA-fixed paraffin-embedded sections) - Anti-Proenkephalin-B antibody [EPR24508-29] (AB282574)
  • IHC-P

Supplier Data

Immunohistochemistry (Formalin/PFA-fixed paraffin-embedded sections) - Anti-Proenkephalin-B antibody [EPR24508-29] (AB282574)

Immunohistochemical analysis of paraffin-embedded Rat testis tissue labelling ProDynorphin with ab282574 at 1/4000 (0.146 ug/ml) followed by a ready to use Rabbit specific IHC polymer detection kit HRP/DAB (ab209101). Negative control : no staining on rat testis. The section was incubated with ab282574 for 30 mins at room temperature. The immunostaining was performed on a Leica Biosystems BOND® RX instrument Counterstained with Hematoxylin.

Secondary antibody only control : Secondary antibody is a ready to use Rabbit specific IHC polymer detection kit HRP/DAB (ab209101).

Heat mediated antigen retrieval with Tris-EDTA buffer (pH 9.0, epitope retrieval solution2) for 20 mins

Dot Blot - Anti-Proenkephalin-B antibody [EPR24508-29] (AB282574)
  • Dot

Supplier Data

Dot Blot - Anti-Proenkephalin-B antibody [EPR24508-29] (AB282574)

Dot blot analysis of ProDynorphin using ab282574 at 1/1000 (0.583 ug/ml) followed by a Goat Anti-Rabbit IgG, (H+L), Peroxidase conjugated (ab97051) at 1/100,000 dilution.

Lane 1 : Rat ProDynorphin full-length protein

Lane 2 : Rat ProDynorphin pro-peptide

Lane 3 : Rat ProDynorphin (Alpha-neoendorphin) peptide

Lane 4 : Rat ProDynorphin (Dynorphin A) peptide

Lane 5 : Rat ProDynorphin (Leu-enkephalin) peptide

Lane 6 : Rat ProDynorphin peptide

Lane 7 : Bovine serum albumin (BSA)

Exposure time : 3 minutes

Blocking and diluting buffer and concentration : 5% NFDM/TBST

Key facts

宿主種

Rabbit

クローン性

Monoclonal

クローン番号

EPR24508-29

アイソタイプ

IgG

キャリアフリー

No

交差種

Rat

アプリケーション

Dot, IHC-P

applications

免疫原

The exact immunogen used to generate this antibody is proprietary information.

Reactivity data

{ "title": "Reactivity Data", "filters": { "stats": ["", "Species", "Dilution Info", "Notes"], "tabs": { "all-applications": {"fullname" : "All Applications", "shortname": "All Applications"}, "WB" : {"fullname" : "Western blot", "shortname":"WB"}, "IHCP" : {"fullname" : "Immunohistochemistry (Formalin/PFA-fixed paraffin-embedded sections)", "shortname":"IHC-P"}, "IHCFr" : {"fullname" : "Immunohistochemistry (Frozen sections)", "shortname":"IHC-Fr"}, "FlowCytIntra" : {"fullname" : "Flow Cytometry (Intracellular)", "shortname":"Flow Cyt (Intra)"}, "ICCIF" : {"fullname" : "Immunocytochemistry/ Immunofluorescence", "shortname":"ICC/IF"}, "IP" : {"fullname" : "Immunoprecipitation", "shortname":"IP"}, "Dot" : {"fullname" : "Dot Blot", "shortname":"Dot"} }, "product-promise": { "all": "all", "testedAndGuaranteed": "tested", "guaranteed": "expected", "predicted": "predicted", "notRecommended": "not-recommended" } }, "values": { "Human": { "WB-species-checked": "notRecommended", "WB-species-dilution-info": "", "WB-species-notes": "<p></p>", "IHCP-species-checked": "notRecommended", "IHCP-species-dilution-info": "1/4000", "IHCP-species-notes": "<p></p>", "IHCFr-species-checked": "notRecommended", "IHCFr-species-dilution-info": "", "IHCFr-species-notes": "", "FlowCytIntra-species-checked": "notRecommended", "FlowCytIntra-species-dilution-info": "", "FlowCytIntra-species-notes": "", "ICCIF-species-checked": "notRecommended", "ICCIF-species-dilution-info": "", "ICCIF-species-notes": "", "IP-species-checked": "notRecommended", "IP-species-dilution-info": "", "IP-species-notes": "", "Dot-species-checked": "notRecommended", "Dot-species-dilution-info": "", "Dot-species-notes": "" }, "Mouse": { "WB-species-checked": "notRecommended", "WB-species-dilution-info": "", "WB-species-notes": "<p></p>", "IHCP-species-checked": "notRecommended", "IHCP-species-dilution-info": "1/4000", "IHCP-species-notes": "<p></p>", "IHCFr-species-checked": "notRecommended", "IHCFr-species-dilution-info": "", "IHCFr-species-notes": "<p></p>", "FlowCytIntra-species-checked": "notRecommended", "FlowCytIntra-species-dilution-info": "", "FlowCytIntra-species-notes": "<p></p>", "ICCIF-species-checked": "notRecommended", "ICCIF-species-dilution-info": "", "ICCIF-species-notes": "<p></p>", "IP-species-checked": "notRecommended", "IP-species-dilution-info": "", "IP-species-notes": "<p></p>", "Dot-species-checked": "notRecommended", "Dot-species-dilution-info": "", "Dot-species-notes": "" }, "Rat": { "WB-species-checked": "notRecommended", "WB-species-dilution-info": "", "WB-species-notes": "<p></p>", "IHCP-species-checked": "testedAndGuaranteed", "IHCP-species-dilution-info": "1/4000", "IHCP-species-notes": "<p></p>", "IHCFr-species-checked": "notRecommended", "IHCFr-species-dilution-info": "", "IHCFr-species-notes": "<p></p>", "FlowCytIntra-species-checked": "notRecommended", "FlowCytIntra-species-dilution-info": "", "FlowCytIntra-species-notes": "<p></p>", "ICCIF-species-checked": "notRecommended", "ICCIF-species-dilution-info": "", "ICCIF-species-notes": "<p></p>", "IP-species-checked": "notRecommended", "IP-species-dilution-info": "", "IP-species-notes": "<p></p>", "Dot-species-checked": "testedAndGuaranteed", "Dot-species-dilution-info": "1/1000", "Dot-species-notes": "<p></p>" } } }

製品の詳細

Patented technology
Our RabMAb® technology is a patented hybridoma-based technology for making rabbit monoclonal antibodies. For details on our patents, please refer to RabMAb® patents.

What are the advantages of a recombinant monoclonal antibody?
This product is a recombinant monoclonal antibody, which offers several advantages including:

  • - High batch-to-batch consistency and reproducibility
  • - Improved sensitivity and specificity
  • - Long-term security of supply
  • - Animal-free batch production

For more information, read more on recombinant antibodies.

出荷温度及び保存条件

製品の状態
Liquid
精製方法
Affinity purification Protein A
バッファー組成
pH: 7.2 - 7.4 Preservative: 0.01% Sodium azide Constituents: PBS, 40% Glycerol (glycerin, glycerine), 0.05% BSA
出荷温度
Blue Ice
短期保存期間
1-2 weeks
短期保存温度
+4°C
長期保存温度
-20°C
分注に関する情報
Upon delivery aliquot
保管に関する情報
Avoid freeze / thaw cycle

補足情報

This supplementary information is collated from multiple sources and compiled automatically.

ProDynorphin also known as PDYN or preproenkephalin B serves as a precursor protein for the dynorphins. Dynorphins are class of opioid peptides that the body uses for modulating pain response and tailored hormone release. ProDynorphin appears with a mass of around 25 kDa and is expressed widely in the brain including areas such as the hippocampus and hypothalamus. Localization in the pituitary gland also occurs where it significantly contributes to the regulation of neuroendocrine systems.
Biological function summary

This protein influences a variety of physiological processes. Neurons express ProDynorphin in abundant amounts reflecting its importance in neurotransmission where it acts through specific receptors like the kappa opioid receptor. ProDynorphin is not known to function as part of a larger multiprotein complex but its role in signal pathways clearly impacts pain perception emotional response and addiction mechanisms in the central nervous system by releasing dynorphin A peptides among others.

Pathways

Researchers link ProDynorphin to significant opioid receptor pathways and stress response mechanisms. The protein interacts with key molecules such as the kappa opioid receptor influencing the opioid receptor signaling pathway. Another pathway influenced by ProDynorphin involves the dopamine system which connects it through shared roles with the peptide proenkephalin leading to potential impacts on reward and mood regulations due to dopamine's activity in these contexts.

ProDynorphin holds significance in conditions like chronic pain and mood disorders. Dysregulation or mutation in the gene encoding this protein associates with altered pain sensitivity and susceptibility to depressive disorders. Its direct connection to the kappa opioid receptor further ties it to addiction-related disorders as kappa receptor signaling commonly impacts withdrawal and relapse behaviors. The study of ProDynorphin within these diseases offers potential therapeutic targets for managing pain and mood dysregulation.

製品プロトコール

For this product, it's our understanding that no specific protocols are required. You can visit:

ターゲットの情報

Leu-enkephalins compete with and mimic the effects of opiate drugs. They play a role in a number of physiologic functions, including pain perception and responses to stress (By similarity).. Dynorphin peptides differentially regulate the kappa opioid receptor. Dynorphin A(1-13) has a typical opioid activity, it is 700 times more potent than Leu-enkephalin (By similarity).. Leumorphin has a typical opioid activity and may have anti-apoptotic effect.
See full target information Pdyn

Abcam product promise

当社は、高品質な試薬を通じてお客様の研究を力強くサポートすることをお約束いたします。ご使用いただく各段階で、常にお客様をサポートできる体制を整えております。万が一、製品が期待通りに機能しない場合は、「Abcam Product Promise」による当社保証制度に基づき、安心してご利用いただけます。
保証に関する詳細については利用規約をご確認ください。

Please note: All products are 'FOR RESEARCH USE ONLY. NOT FOR USE IN DIAGNOSTIC OR THERAPEUTIC PROCEDURES'.

For licensing inquiries, please contact partnerships@abcam.com