JavaScript is disabled in your browser. Please enable JavaScript to view this website.
AB32067

Anti-pro Caspase-7 抗体 [Y33]

Anti-pro Caspase-7 antibody [Y33]

Be the first to review this product! Submit a review

|

(2 Publications)

Rabbit Recombinant Monoclonal Caspase-7 antibody. Suitable for IHC-P, WB and reacts with Human samples. Cited in 2 publications.

別名を表示する

MCH3, CASP7, Caspase-7, CASP-7, Apoptotic protease Mch-3, CMH-1, ICE-like apoptotic protease 3, ICE-LAP3

3 Images
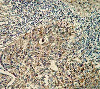
Immunohistochemistry (Formalin/PFA-fixed paraffin-embedded sections) - Anti-pro Caspase-7 antibody [Y33] (AB32067)
  • IHC-P

Unknown

Immunohistochemistry (Formalin/PFA-fixed paraffin-embedded sections) - Anti-pro Caspase-7 antibody [Y33] (AB32067)

Immunohistochemical analysis of paraffin-embedded human lung squamous carcinoma using ab32067 at 1/50 dilution.

Perform heat mediated antigen retrieval with citrate buffer pH 6 before commencing with IHC staining protocol.

Western blot - Anti-pro Caspase-7 antibody [Y33] (AB32067)
  • WB

Lab

Western blot - Anti-pro Caspase-7 antibody [Y33] (AB32067)

Lane 1 : Wild type HAP1 whole cell lysate (20 μg)
Lane 2 : Staurosporin treated HAP1 whole cell lysate (20 μg)
Lane 3 : CASP7 knockout HAP1 whole cell lysate (20 μg)
Lane 4 : Staurosporin treated CASP7 knockout HAP1 whole cell lysate (20 μg)
Lane 5 : HeLa whole cell lysate (20 μg)
Lane 6 : Staurosporin treated HeLa whole cell lysate (20 μg)

Lanes 1 - 6 : Merged signal (red and green). Green - ab32067 observed at 38 kDa. Red - loading control, ab18058, observed at 130 kDa.

ab32067 was shown to recognize pro Caspase 7 when HAP1 + pro Caspase 7 knockout samples were used, along with additional cross-reactive bands. Wild-type and the pro Caspase 7 knockout samples were subjected to SDS-PAGE. ab32067 and ab18058 (Mouse anti-Vinculin loading control) were incubated overnight at 4°C at 1/1000 dilution and 1/10000 dilution respectively. Blots were developed with Goat anti-Rabbit IgG H&L (IRDye® 800CW) preabsorbed ab216773 and Goat anti-Mouse IgG H&L (IRDye® 680RD) preabsorbed ab216776 secondary antibodies at 1/20000 dilution for 1 hour at room temperature before imaging.

All lanes:

Western blot - Anti-pro Caspase-7 antibody [Y33] (ab32067)

Predicted band size: 34 kDa

false

Western blot - Anti-pro Caspase-7 antibody [Y33] (AB32067)
  • WB

Unknown

Western blot - Anti-pro Caspase-7 antibody [Y33] (AB32067)

All lanes:

Western blot - Anti-pro Caspase-7 antibody [Y33] (ab32067) at 1/1000 dilution

All lanes:

Jurkat cell lysate

Predicted band size: 34 kDa

Observed band size: 34 kDa

false

関連する標識済み抗体及び組成の異なる製品 (1)

  • Carrier free

    Anti-pro Caspase-7 antibody [Y33] - BSA and Azide free

Key facts

宿主種

Rabbit

クローン性

Monoclonal

クローン番号

Y33

アイソタイプ

IgG

キャリアフリー

No

交差種

Human

アプリケーション

WB, IHC-P

applications

免疫原

The exact immunogen used to generate this antibody is proprietary information.

特異性

The antibody only recognizes the pro-form of Caspase-7. It does not react with the cleaved forms (active enzyme) of Caspase-7.

Reactivity data

{ "title": "Reactivity Data", "filters": { "stats": ["", "Species", "Dilution Info", "Notes"], "tabs": { "all-applications": {"fullname" : "All Applications", "shortname": "All Applications"}, "IHCP" : {"fullname" : "Immunohistochemistry (Formalin/PFA-fixed paraffin-embedded sections)", "shortname":"IHC-P"}, "IP" : {"fullname" : "Immunoprecipitation", "shortname":"IP"}, "FlowCyt" : {"fullname" : "Flow Cytometry", "shortname":"Flow Cyt"}, "WB" : {"fullname" : "Western blot", "shortname":"WB"} }, "product-promise": { "all": "all", "testedAndGuaranteed": "tested", "guaranteed": "expected", "predicted": "predicted", "notRecommended": "not-recommended" } }, "values": { "Human": { "IHCP-species-checked": "testedAndGuaranteed", "IHCP-species-dilution-info": "1/50", "IHCP-species-notes": "<p></p>", "IP-species-checked": "notRecommended", "IP-species-dilution-info": "", "IP-species-notes": "<p></p>", "FlowCyt-species-checked": "notRecommended", "FlowCyt-species-dilution-info": "", "FlowCyt-species-notes": "<p></p>", "WB-species-checked": "testedAndGuaranteed", "WB-species-dilution-info": "1/1000", "WB-species-notes": "<p></p>" } } }

下記製品にもご興味をお持ちいただけるかもしれません:

AB275900

Human Cleaved Caspase-7 (Asp198) ELISA Kit

0

0 Reviews

製品ページを見る
こちらの製品も推奨する理由

この製品は、同様の実験や関連する研究で広く使用されていることから推奨させていただいております。

お客様の実験に適するかご確認いただくため、必ず製品データシートをご確認いただくことをお勧めいたします。ご不明点等ございましたら、テクニカルサポートチームまでお問い合わせください。

製品の詳細

出荷温度及び保存条件

製品の状態
Liquid
精製方法
Affinity purification Protein A
バッファー組成
pH: 7.2 - 7.4 Preservative: 0.01% Sodium azide Constituents: 50% Glycerol (glycerin, glycerine), 49% PBS, 0.05% BSA
出荷温度
Blue Ice
短期保存温度
+4°C
長期保存温度
-20°C
分注に関する情報
Upon delivery aliquot
保管に関する情報
Avoid freeze / thaw cycle

補足情報

This supplementary information is collated from multiple sources and compiled automatically.

Pro Caspase-7 also known as CASP-7 is an important component in the apoptotic machinery functioning as an inactive precursor of the enzyme caspase-7. This zymogen has a molecular mass of approximately 34 kDa and is primarily expressed in the cytosol of cells. It undergoes proteolytic cleavage to become active caspase-7 an important step for executing apoptosis. This conversion allows it to cleave specific substrates leading to cell dismantling. Researchers often refer to it by its other names such as CMH-1 or ICE-LAP3 in scientific literature.
Biological function summary

Pro Caspase-7 is intricately involved in the execution phase of apoptosis. It is a component of a multiprotein complex known as the apoptosome which assembles in response to apoptotic signals. Within this complex pro Caspase-7 undergoes activation and subsequently cleaves various cellular proteins. This action results in the characteristic apoptotic changes like DNA fragmentation and membrane blebbing. Its activity is important in maintaining tissue homeostasis and ensuring the removal of damaged cells.

Pathways

Pro Caspase-7 is deeply integrated into the intrinsic and extrinsic apoptotic pathways. In the intrinsic pathway it operates downstream of mitochondrial signals alongside caspase-3 another executioner caspase. The extrinsic pathway involves the death receptor-mediated signals where caspase-8 can indirectly activate pro Caspase-7. These pathways illustrate interconnectivity often involving cross-activation of caspases guaranteeing efficient cell death regulation.

Dysregulation of pro Caspase-7 activity links to cancer and neurodegenerative diseases. In cancer underactive pro Caspase-7 results in reduced apoptosis aiding in uncontrolled cell proliferation. Conversely overactivation of pro Caspase-7 is implicated in neurodegenerative disorders like Alzheimer's disease due to excessive apoptosis. Its interactions with proteins such as BCL-2 in cancer and Tau in Alzheimer's illustrate its role in disease pathology.

製品プロトコール

For this product, it's our understanding that no specific protocols are required. You can visit:

ターゲットの情報

Thiol protease involved in different programmed cell death processes, such as apoptosis, pyroptosis or granzyme-mediated programmed cell death, by proteolytically cleaving target proteins (PubMed : 11257230, PubMed : 11257231, PubMed : 11701129, PubMed : 15314233, PubMed : 16916640, PubMed : 17646170, PubMed : 18723680, PubMed : 19581639, PubMed : 8521391, PubMed : 8567622, PubMed : 8576161, PubMed : 9070923). Has a marked preference for Asp-Glu-Val-Asp (DEVD) consensus sequences, with some plasticity for alternate non-canonical sequences (PubMed : 12824163, PubMed : 15314233, PubMed : 17697120, PubMed : 19581639, PubMed : 20566630, PubMed : 23650375, PubMed : 23897474, PubMed : 27032039). Its involvement in the different programmed cell death processes is probably determined by upstream proteases that activate CASP7 (By similarity). Acts as an effector caspase involved in the execution phase of apoptosis : following cleavage and activation by initiator caspases (CASP8, CASP9 and/or CASP10), mediates execution of apoptosis by catalyzing cleavage of proteins, such as CLSPN, PARP1, PTGES3 and YY1 (PubMed : 10497198, PubMed : 16123041, PubMed : 16374543, PubMed : 16916640, PubMed : 18723680, PubMed : 20566630, PubMed : 21555521, PubMed : 22184066, PubMed : 22451931, PubMed : 27889207, PubMed : 28863261, PubMed : 31586028, PubMed : 34156061, PubMed : 35338844, PubMed : 35446120). Compared to CASP3, acts as a minor executioner caspase and cleaves a limited set of target proteins (PubMed : 18723680). Acts as a key regulator of the inflammatory response in response to bacterial infection by catalyzing cleavage and activation of the sphingomyelin phosphodiesterase SMPD1 in the extracellular milieu, thereby promoting membrane repair (PubMed : 21157428). Regulates pyroptosis in intestinal epithelial cells : cleaved and activated by CASP1 in response to S.typhimurium infection, promoting its secretion to the extracellular milieu, where it catalyzes activation of SMPD1, generating ceramides that repair membranes and counteract the action of gasdermin-D (GSDMD) pores (By similarity). Regulates granzyme-mediated programmed cell death in hepatocytes : cleaved and activated by granzyme B (GZMB) in response to bacterial infection, promoting its secretion to the extracellular milieu, where it catalyzes activation of SMPD1, generating ceramides that repair membranes and counteract the action of perforin (PRF1) pores (By similarity). Following cleavage by CASP1 in response to inflammasome activation, catalyzes processing and inactivation of PARP1, alleviating the transcription repressor activity of PARP1 (PubMed : 22464733). Acts as an inhibitor of type I interferon production during virus-induced apoptosis by mediating cleavage of antiviral proteins CGAS, IRF3 and MAVS, thereby preventing cytokine overproduction (By similarity). Cleaves and activates sterol regulatory element binding proteins (SREBPs) (PubMed : 8643593). Cleaves phospholipid scramblase proteins XKR4, XKR8 and XKR9 (By similarity). In case of infection, catalyzes cleavage of Kaposi sarcoma-associated herpesvirus protein ORF57, thereby preventing expression of viral lytic genes (PubMed : 20159985). Cleaves BIRC6 following inhibition of BIRC6-caspase binding by DIABLO/SMAC (PubMed : 36758104, PubMed : 36758106).. Isoform Beta. Lacks enzymatic activity.
See full target information CASP7

文献 (2)

Recent publications for all applications. Explore the full list and refine your search

Chinese medical journal 135:606-618 PubMed35191417

2022

Paired box 5 increases the chemosensitivity of esophageal squamous cell cancer cells by promoting p53 signaling activity.

Applications

Unspecified application

Species

Unspecified reactive species

Weiwei Zhang,Wenji Yan,Niansong Qian,Quanli Han,Weitao Zhang,Guanghai Dai

Oncology letters 15:8536-8544 PubMed29805590

2018

Suppression of tumor cell proliferation and migration by human umbilical cord mesenchymal stem cells: A possible role for apoptosis and Wnt signaling.

Applications

Unspecified application

Species

Unspecified reactive species

Yin Yuan,Chang Zhou,Xuan Chen,Changli Tao,Huiqing Cheng,Xin Lu
View all publications

Abcam product promise

当社は、高品質な試薬を通じてお客様の研究を力強くサポートすることをお約束いたします。ご使用いただく各段階で、常にお客様をサポートできる体制を整えております。万が一、製品が期待通りに機能しない場合は、「Abcam Product Promise」による当社保証制度に基づき、安心してご利用いただけます。
保証に関する詳細については利用規約をご確認ください。

Please note: All products are 'FOR RESEARCH USE ONLY. NOT FOR USE IN DIAGNOSTIC OR THERAPEUTIC PROCEDURES'.

For licensing inquiries, please contact partnerships@abcam.com