JavaScript is disabled in your browser. Please enable JavaScript to view this website.
AB232571

Anti-PRAME 抗体 [EPR20330] - BSA and Azide free

Anti-PRAME antibody [EPR20330] - BSA and Azide free

Be the first to review this product! Submit a review

|

(0 Publication)

Anti-PRAME antibody [EPR20330] - BSA and Azide free (ab232571) is a rabbit recombinant monoclonal antibody provided in a PBS only buffer for easy conjugation detecting PRAME in Western Blot, Flow Cytometry, IP, IHC-P, ICC/IF. Suitable for Human.

- Clone EPR20330 is the most cited clone to PRAME
- BSA, sodium azide, and glycerol-free for easy conjugation
- Biophysical QC for unrivalled batch-batch consistency

別名を表示する

MAPE, OIP4, PRAME, Melanoma antigen preferentially expressed in tumors, Opa-interacting protein 4, Preferentially expressed antigen of melanoma, OIP-4

14 Images
Immunohistochemistry (Formalin/PFA-fixed paraffin-embedded sections) - Anti-PRAME antibody [EPR20330] - BSA and Azide free (AB232571)
  • IHC-P

Lab

Immunohistochemistry (Formalin/PFA-fixed paraffin-embedded sections) - Anti-PRAME antibody [EPR20330] - BSA and Azide free (AB232571)

This data was developed using the same antibody clone in a different buffer formulation containing PBS, BSA, glycerol, and sodium azide (ab219650). Immunohistochemical analysis of paraffin-embedded human stomach tissue labeling PRAME with ab219650 at 1/500 dilution, followed by LeicaDS9800 (Bond™ Polymer Refine Detection). Sections were counter stained with Hematoxylin. Antigen retrieval was heat mediated with Tris/EDTA buffer pH 9.0 before commencing with IHC staining protocol. Negative control : No staining on human stomach. The section was incubated with ab219650 for 30 mins at room temperature. The immunostaining was performed on a Leica Biosystems BOND® RX instrument.

Flow Cytometry (Intracellular) - Anti-PRAME antibody [EPR20330] - BSA and Azide free (AB232571)
  • Flow Cyt (Intra)

Unknown

Flow Cytometry (Intracellular) - Anti-PRAME antibody [EPR20330] - BSA and Azide free (AB232571)

PRAME flow cytometry with PRAME antibody ab219650 of 4% paraformaldehyde-fixed and 90% Methanol-permeabilised MeWo (Human malignant melanoma cell line) cells labeling PRAME with ab219650 at 1/500 dilution (red) compared with a rabbit monoclonal IgG isotype control (ab172730; black) and an unlabeled control (cells without incubation with primary antibody and secondary antibody; blue). Goat anti rabbit IgG (Alexa Fluor® 488) (ab150077) at 1/2000 dilution was used as the secondary antibody.

This data was developed using the same antibody clone in a different buffer formulation containing PBS, BSA, glycerol, and sodium azide (ab219650).

Flow Cytometry (Intracellular) - Anti-PRAME antibody [EPR20330] - BSA and Azide free (AB232571)
  • Flow Cyt (Intra)

Lab

Flow Cytometry (Intracellular) - Anti-PRAME antibody [EPR20330] - BSA and Azide free (AB232571)

Flow cytometry overlay histogram showing left K562 positive cells and right negative HEK293 stained with ab219650 (red line). The cells were fixed with 4% formaldehyde (10 min) and then permeabilised with 0.1 % PBS-Triton X-100 for 15 min. The cells were then incubated in 1x PBS containing 10% normal goat serum to block non-specific protein-protein interaction followed by the antibody (ab219650) (1x 106 in 100μl at 0.008μg/ml (1/267500 dilution)) for 30min at 22°C.

The secondary antibody Goat Anti-Rabbit IgG H&L (Alexa Fluor® 488) preadsorbed was incubated at 1/4000 for 30min at 22°C.

Isotype control antibody (black line) was Recombinant Rabbit IgG monoclonal [EPR25A] - Isotype Control used at the same concentration and conditions as the primary antibody. Unlabelled sample (blue line) was also used as a control.

Acquisition of >5000 events were collected using a 50 mW Blue laser (488nm) and 525/40 bandpass filter.

This antibody gave a positive signal in K562 Fixed with 80% methanol (5 min) / permeabilised with 0.1 % PBS-Triton X-100 for 15 min under the same conditions.

This data was developed using the same antibody clone in a different buffer formulation containing PBS, BSA, glycerol, and sodium azide (ab219650).

Immunohistochemistry (Formalin/PFA-fixed paraffin-embedded sections) - Anti-PRAME antibody [EPR20330] - BSA and Azide free (AB232571)
  • IHC-P

Lab

Immunohistochemistry (Formalin/PFA-fixed paraffin-embedded sections) - Anti-PRAME antibody [EPR20330] - BSA and Azide free (AB232571)

Tissue microarray (TMA) analysis using PRAME EPR20330 (ab219650).

Click here to view EPR20330 staining performance on human normal and cancer tissue microarray (TMA).

This table provides a detailed overview of positive PRAME staining (tick mark) and negative PRAME staining (cross mark) per sample type tested. PRAME is expressed in metastatic melanoma (PMID : 30045064). PRAME has low or no expression in normal tissues except in testis, ovary, placenta, adrenals and endometrium (PMID : 30045064).

The sections were pre-treated using Heat mediated antigen retrieval using ab93684 (Tris/EDTA buffer, pH 9.0). The sections were incubated with ab219650 at +4°C overnight followed by a ready to use Goat Anti-Rabbit IgG H&L (HRP polymer).

Immunohistochemistry (Formalin/PFA-fixed paraffin-embedded sections) - Anti-PRAME antibody [EPR20330] - BSA and Azide free (AB232571)
  • IHC-P

Lab

Immunohistochemistry (Formalin/PFA-fixed paraffin-embedded sections) - Anti-PRAME antibody [EPR20330] - BSA and Azide free (AB232571)

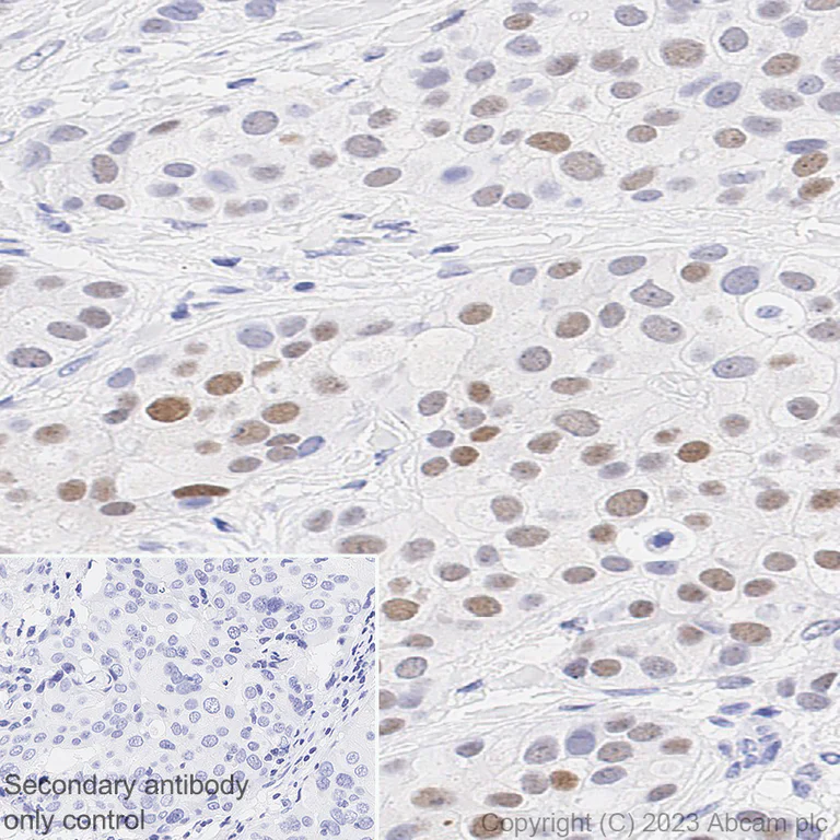
This data was developed using the same antibody clone in a different buffer formulation containing PBS, BSA, glycerol, and sodium azide (ab219650). Immunohistochemical analysis of paraffin-embedded human breast carcinoma tissue labeling PRAME with ab219650 at 1/500 dilution, followed by LeicaDS9800 (Bond™ Polymer Refine Detection). Sections were counter stained with Hematoxylin. Antigen retrieval was heat mediated with Tris/EDTA buffer pH 9.0 before commencing with IHC staining protocol. Nuclear staining on human breast carcinoma. The section was incubated with ab219650 for 30 mins at room temperature. The immunostaining was performed on a Leica Biosystems BOND® RX instrument. Secondary antibody only control : Used PBS instead of primary antibody.

Immunocytochemistry/ Immunofluorescence - Anti-PRAME antibody [EPR20330] - BSA and Azide free (AB232571)
  • ICC/IF

Supplier Data

Immunocytochemistry/ Immunofluorescence - Anti-PRAME antibody [EPR20330] - BSA and Azide free (AB232571)

Immunofluorescent analysis of 4% paraformaldehyde-fixed 0.1% Triton X-100 permeabilized MeWo (Human malignant melanoma cell line) cells labeling PRAME with ab219650 at 1/500 dilution followed by Goat anti-rabbit IgG (Alexa Fluor® 488) (ab150077) secondary antibody at 1/1000 dilution (green). Confocal image showing mostly nuclear staining on MeWo cells.

The nuclear counter stain is DAPI (blue). Tubulin is detected with ab195889 (Anti-alpha Tubulin antibody [DM1A] - Microtubule Marker (Alexa Fluor® 594)) at 1/200 dilution (red).

Secondary antibody only control : Used PBS instead of primary antibody secondary antibody is Goat anti-rabbit IgG (Alexa Fluor® 488) (ab150077) at 1/1000 dilution.

This data was developed using the same antibody clone in a different buffer formulation containing PBS, BSA, glycerol, and sodium azide (ab219650).

Immunohistochemistry (Formalin/PFA-fixed paraffin-embedded sections) - Anti-PRAME antibody [EPR20330] - BSA and Azide free (AB232571)
  • IHC-P

Lab

Immunohistochemistry (Formalin/PFA-fixed paraffin-embedded sections) - Anti-PRAME antibody [EPR20330] - BSA and Azide free (AB232571)

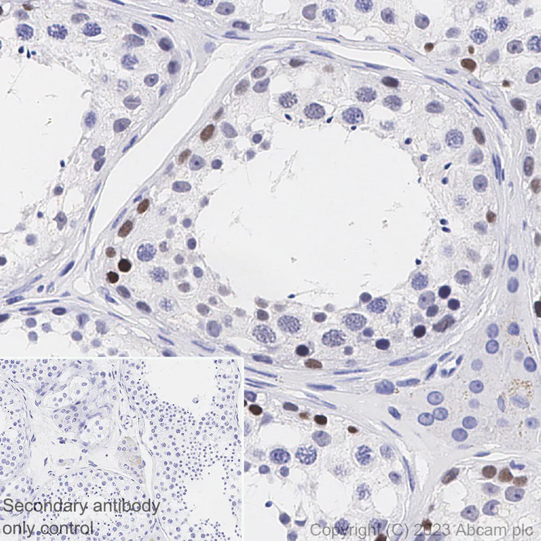
This data was developed using the same antibody clone in a different buffer formulation containing PBS, BSA, glycerol, and sodium azide (ab219650). Immunohistochemical analysis of paraffin-embedded human testis tissue labeling PRAME with ab219650 at 1/500 dilution, followed by LeicaDS9800 (Bond™ Polymer Refine Detection). Sections were counter stained with Hematoxylin. Antigen retrieval was heat mediated with Tris/EDTA buffer pH 9.0 before commencing with IHC staining protocol. Nuclear staining on human testis. The section was incubated with ab219650 for 30 mins at room temperature. The immunostaining was performed on a Leica Biosystems BOND® RX instrument. Secondary antibody only control : Used PBS instead of primary antibody.

Immunohistochemistry (Formalin/PFA-fixed paraffin-embedded sections) - Anti-PRAME antibody [EPR20330] - BSA and Azide free (AB232571)
  • IHC-P

Lab

Immunohistochemistry (Formalin/PFA-fixed paraffin-embedded sections) - Anti-PRAME antibody [EPR20330] - BSA and Azide free (AB232571)

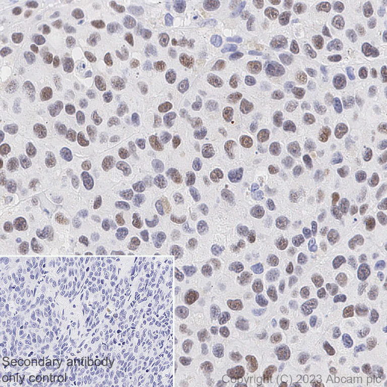
This data was developed using the same antibody clone in a different buffer formulation containing PBS, BSA, glycerol, and sodium azide (ab219650). Immunohistochemical analysis of paraffin-embedded human melanoma tissue labeling PRAME with ab219650 at 1/500 dilution, followed by LeicaDS9800 (Bond™ Polymer Refine Detection). Sections were counter stained with Hematoxylin. Antigen retrieval was heat mediated with Tris/EDTA buffer pH 9.0 before commencing with IHC staining protocol. Nuclear staining on human melanoma. The section was incubated with ab219650 for 30 mins at room temperature. The immunostaining was performed on a Leica Biosystems BOND® RX instrument. Secondary antibody only control : Used PBS instead of primary antibody.

Immunohistochemistry (Formalin/PFA-fixed paraffin-embedded sections) - Anti-PRAME antibody [EPR20330] - BSA and Azide free (AB232571)
  • IHC-P

Lab

Immunohistochemistry (Formalin/PFA-fixed paraffin-embedded sections) - Anti-PRAME antibody [EPR20330] - BSA and Azide free (AB232571)

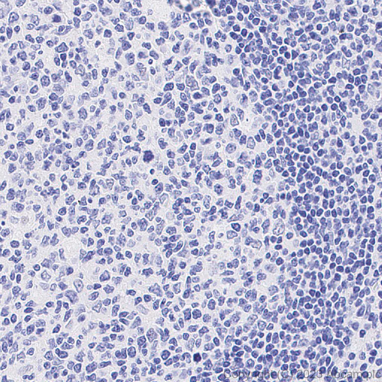
This data was developed using the same antibody clone in a different buffer formulation containing PBS, BSA, glycerol, and sodium azide (ab219650). Immunohistochemical analysis of paraffin-embedded human tonsil tissue labeling PRAME with ab219650 at 1/500 dilution, followed by LeicaDS9800 (Bond™ Polymer Refine Detection). Sections were counter stained with Hematoxylin. Antigen retrieval was heat mediated with Tris/EDTA buffer pH 9.0 before commencing with IHC staining protocol. Negative control : No staining on human tonsil. The section was incubated with ab219650 for 30 mins at room temperature. The immunostaining was performed on a Leica Biosystems BOND® RX instrument.

Immunocytochemistry/ Immunofluorescence - Anti-PRAME antibody [EPR20330] - BSA and Azide free (AB232571)
  • ICC/IF

Supplier Data

Immunocytochemistry/ Immunofluorescence - Anti-PRAME antibody [EPR20330] - BSA and Azide free (AB232571)

Immunofluorescent analysis of 4% paraformaldehyde-fixed 0.1% Triton X-100 permeabilized A-375 (Human malignant melanoma cell line) cells labeling PRAME with ab219650 at 1/500 dilution followed by Goat anti-rabbit IgG (Alexa Fluor® 488) (ab150077) secondary antibody at 1/1000 dilution (green). Confocal image showing mostly nuclear staining on A-375 cells.

The nuclear counter stain is DAPI (blue). Tubulin is detected with ab195889 (Anti-alpha Tubulin antibody [DM1A] - Microtubule Marker (Alexa Fluor® 594)) at 1/200 dilution (red).

Secondary antibody only control : Used PBS instead of primary antibody secondary antibody is Goat anti-rabbit IgG (Alexa Fluor® 488) (ab150077) at 1/1000 dilution.

This data was developed using the same antibody clone in a different buffer formulation containing PBS, BSA, glycerol, and sodium azide (ab219650).

Immunohistochemistry (Formalin/PFA-fixed paraffin-embedded sections) - Anti-PRAME antibody [EPR20330] - BSA and Azide free (AB232571)
  • IHC-P

Lab

Immunohistochemistry (Formalin/PFA-fixed paraffin-embedded sections) - Anti-PRAME antibody [EPR20330] - BSA and Azide free (AB232571)

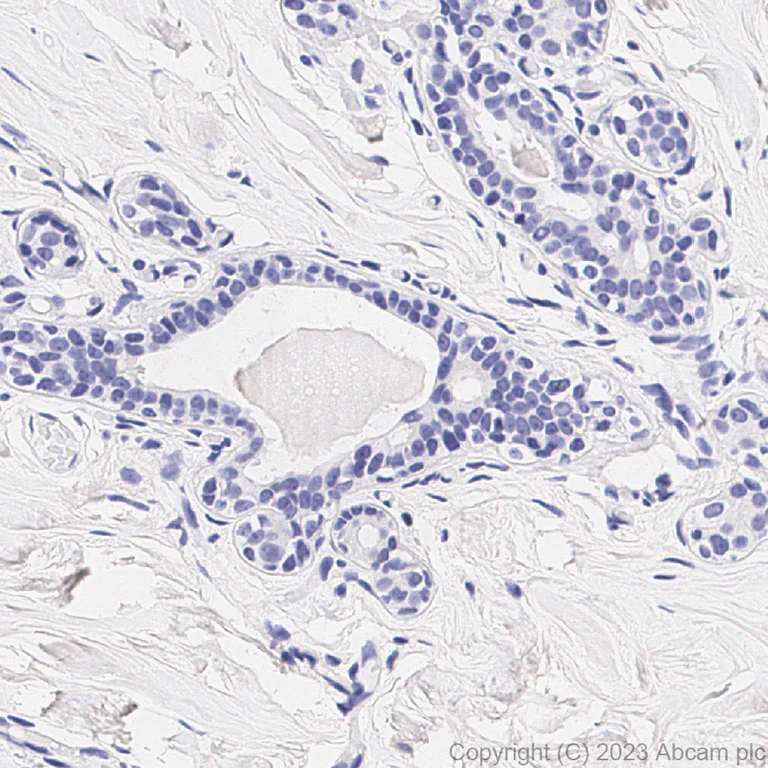
This data was developed using the same antibody clone in a different buffer formulation containing PBS, BSA, glycerol, and sodium azide (ab219650). Immunohistochemical analysis of paraffin-embedded human breast tissue labeling PRAME with ab219650 at 1/500 dilution, followed by LeicaDS9800 (Bond™ Polymer Refine Detection). Sections were counter stained with Hematoxylin. Antigen retrieval was heat mediated with Tris/EDTA buffer pH 9.0 before commencing with IHC staining protocol. Negative control : No staining on human breast. The section was incubated with ab219650 for 30 mins at room temperature. The immunostaining was performed on a Leica Biosystems BOND® RX instrument.

Immunocytochemistry/ Immunofluorescence - Anti-PRAME antibody [EPR20330] - BSA and Azide free (AB232571)
  • ICC/IF

Lab

Immunocytochemistry/ Immunofluorescence - Anti-PRAME antibody [EPR20330] - BSA and Azide free (AB232571)

PRAME immunofluorescence with PRAME antibody ab219650 in K562 cells with negative expression in Ramos cells. The cells were fixed with 4% formaldehyde (10 min) permeabilised with 0.1% Triton x-100 for 5 minutes and then blocked with 1% BSA/10% normal goat serum/0.3M glycine in 0.1% PBS-Tween for 1h. The cells were then incubated overnight at +4°C with ab219650 at 1 μg/ml and ab7291 Mouse monoclonal [DM1A] to alpha Tubulin at 0.5 μg/ml. Cells were then incubated with ab150081 Goat polyclonal Secondary Antibody to Rabbit IgG - H&L (Alexa Fluor® 488) pre-adsorbed at 1/1000 dilution (shown in green) and ab150119 Goat polyclonal Secondary Antibody to Mouse IgG - H&L (Alexa Fluor® 647) pre-adsorbed at 1/1000 dilution (shown in red). Nuclear DNA was labelled with DAPI (shown in blue).

Image was acquired with a confocal microscope (Leica-Microsystems TCS SP8) and a single confocal section is shown.

This product also work with 100% methanol (5 min) fixation under the same testing conditions.

This data was developed using the same antibody clone in a different buffer formulation containing PBS, BSA, glycerol, and sodium azide (ab219650).

Immunoprecipitation - Anti-PRAME antibody [EPR20330] - BSA and Azide free (AB232571)
  • IP

Unknown

Immunoprecipitation - Anti-PRAME antibody [EPR20330] - BSA and Azide free (AB232571)

PRAME was immunoprecipitated from 0.35 mg of MeWo (Human malignant melanoma cell line) whole cell lysate with ab219650 at 1/30 dilution. Western blot was performed from the immunoprecipitate using ab219650 at 1/1000 dilution. VeriBlot for IP Detection Reagent (HRP) (ab131366), was used for detection at 1/10000 dilution.

Lane 1 : MeWo whole cell lysate 10 μg (Input).

Lane 2 : ab219650 IP in MeWo whole cell lysate.

Lane 3 : Rabbit monoclonal IgG (ab172730) instead of ab219650 in MeWo whole cell lysate.

Blocking and dilution buffer and concentration : 5% NFDM/TBST.

Exposure time : 1 second.

This data was developed using the same antibody clone in a different buffer formulation containing PBS, BSA, glycerol, and sodium azide (ab219650).

All lanes:

Immunoprecipitation - Anti-PRAME antibody [EPR20330] - BSA and Azide free (ab232571)

Predicted band size: 57 kDa

false

Western blot - Anti-PRAME antibody [EPR20330] - BSA and Azide free (AB232571)
  • WB

Lab

Western blot - Anti-PRAME antibody [EPR20330] - BSA and Azide free (AB232571)

This data was developed using ab219650, the same antibody clone in a different buffer formulation.

PRAME western blot with PRAME antibody ab219650.

Different batches of ab219650 were tested on MeWo (Human malignant melanoma fibroblast) whole cell lysate at 0.1 µg/ml. 15 µg of lysate was loaded in each lane. Bands observed at 50 kDa.

All lanes:

Western blot - Anti-PRAME antibody [EPR20330] (ab219650)

Predicted band size: 57 kDa

false

関連する標識済み抗体及び組成の異なる製品 (5)

Key facts

宿主種

Rabbit

クローン性

Monoclonal

クローン番号

EPR20330

アイソタイプ

IgG

キャリアフリー

Yes

交差種

Human

アプリケーション

ICC/IF, Flow Cyt (Intra), WB, IP, IHC-P

applications

免疫原

The exact immunogen used to generate this antibody is proprietary information.

特異性

PRAME is expressed in malignant cells, including leukaemias, Hodgkin's lymphoma, breast cancer, and primary and metastatic melanomas.

Reactivity data

{ "title": "Reactivity Data", "filters": { "stats": ["", "Species", "Dilution Info", "Notes"], "tabs": { "all-applications": {"fullname" : "All Applications", "shortname": "All Applications"}, "IP" : {"fullname" : "Immunoprecipitation", "shortname":"IP"}, "WB" : {"fullname" : "Western blot", "shortname":"WB"}, "ICCIF" : {"fullname" : "Immunocytochemistry/ Immunofluorescence", "shortname":"ICC/IF"}, "FlowCytIntra" : {"fullname" : "Flow Cytometry (Intracellular)", "shortname":"Flow Cyt (Intra)"}, "IHCP" : {"fullname" : "Immunohistochemistry (Formalin/PFA-fixed paraffin-embedded sections)", "shortname":"IHC-P"} }, "product-promise": { "all": "all", "testedAndGuaranteed": "tested", "guaranteed": "expected", "predicted": "predicted", "notRecommended": "not-recommended" } }, "values": { "Human": { "IP-species-checked": "testedAndGuaranteed", "IP-species-dilution-info": "", "IP-species-notes": "<p></p>", "WB-species-checked": "testedAndGuaranteed", "WB-species-dilution-info": "", "WB-species-notes": "<p></p>", "ICCIF-species-checked": "testedAndGuaranteed", "ICCIF-species-dilution-info": "", "ICCIF-species-notes": "<p></p>", "FlowCytIntra-species-checked": "testedAndGuaranteed", "FlowCytIntra-species-dilution-info": "", "FlowCytIntra-species-notes": "<p></p>", "IHCP-species-checked": "testedAndGuaranteed", "IHCP-species-dilution-info": "", "IHCP-species-notes": "<p>Recommend ab219650 incubation at +4°C overnight.</p>" } } }

下記製品にもご興味をお持ちいただけるかもしれません:

AB234561

Human PRAME ELISA Kit

0

0 Reviews

製品ページを見る
こちらの製品も推奨する理由

この製品は、同様の実験や関連する研究で広く使用されていることから推奨させていただいております。

お客様の実験に適するかご確認いただくため、必ず製品データシートをご確認いただくことをお勧めいたします。ご不明点等ございましたら、テクニカルサポートチームまでお問い合わせください。

製品の詳細

出荷温度及び保存条件

製品の状態
Liquid
精製方法
Affinity purification Protein A
バッファー組成
pH: 7.2 - 7.4 Constituents: PBS
出荷温度
Blue Ice
短期保存温度
+4°C
長期保存温度
+4°C
保管に関する情報
Do Not Freeze

補足情報

This supplementary information is collated from multiple sources and compiled automatically.

PRAME also known as Preferentially Expressed Antigen in Melanoma is a protein typically weighing around 50 kDa. It is found mostly in testis tissue but also appears in several types of tumors including melanoma and some leukemias. PRAME does not show significant expression in most normal tissues making it a potential target for cancer therapies. Immunohistochemistry (IHC) techniques such as PRAME IHC and PRAME staining often use monoclonal antibodies like mAb EPR20330 to detect PRAME protein presence in various samples.
Biological function summary

PRAME acts as a repressor of retinoic acid signaling a process important for cell differentiation and growth. It does not directly form part of a complex but interacts with components involved in retinoic acid pathways. By binding to retinoic acid receptor complexes PRAME prevents activation of genes involved in cell cycle arrest and apoptosis contributing to unchecked cellular proliferation seen in certain cancers.

Pathways

PRAME participates in the retinoic acid and various oncogenic signaling processes. It influences the retinoic acid pathway by interfering with the retinoic acid receptor (RAR) signaling. This interference with key proteins like RAR disrupts the normal regulatory processes that typically inhibit cancer progression. PRAME's modulation of these pathways highlights its role in promoting tumor growth and survival.

PRAME has significant relevance to cancer particularly melanoma. It is often used as a biomarker for melanoma identification due to its overexpression in such tumors. Additionally PRAME's connection to acute myeloid leukemia (AML) emerges from its ability to act similarly in diverse malignant cells. In these diseases the overexpression of PRAME interferes with normal differentiation processes and allows for sustained proliferation of malignant cells suggesting its potential role as a therapeutic target or diagnostic marker in oncology.

製品プロトコール

For this product, it's our understanding that no specific protocols are required. You can visit:

ターゲットの情報

The protein expressed by gene PRAME functions as a transcriptional repressor, inhibiting retinoic acid signaling through retinoic acid receptors RARA, RARB, and RARG. It prevents retinoic acid-induced cell proliferation arrest, differentiation, and apoptosis. This supplementary information is collated from multiple sources and compiled automatically.
See full target information PRAME

Abcam product promise

当社は、高品質な試薬を通じてお客様の研究を力強くサポートすることをお約束いたします。ご使用いただく各段階で、常にお客様をサポートできる体制を整えております。万が一、製品が期待通りに機能しない場合は、「Abcam Product Promise」による当社保証制度に基づき、安心してご利用いただけます。
保証に関する詳細については利用規約をご確認ください。

関連製品

Select an associated product type
Alternative Product
Primary Antibodies

AB89097

Anti-PRAME antibody

primary-antibodies

prame-antibody-ab89097

4

(1 reviews)

Alternative Version
Primary Antibodies

AB307769

Alexa Fluor® 488 Anti-PRAME antibody [EPR20330]

primary-antibodies

alexa-fluor-488-prame-antibody-epr20330-ab307769

0

(0 reviews)

Alternative Version
Primary Antibodies

AB307626

Alexa Fluor® 555 Anti-PRAME antibody [EPR20330]

primary-antibodies

alexa-fluor-555-prame-antibody-epr20330-ab307626

0

(0 reviews)

Alternative Version
Primary Antibodies

AB307630

Alexa Fluor® 647 Anti-PRAME antibody [EPR20330]

primary-antibodies

alexa-fluor-647-prame-antibody-epr20330-ab307630

0

(0 reviews)

Alternative Version
Primary Antibodies

AB312896

Alexa Fluor® 594 Anti-PRAME antibody [EPR20330]

primary-antibodies

alexa-fluor-594-prame-antibody-epr20330-ab312896

0

(0 reviews)

Please note: All products are 'FOR RESEARCH USE ONLY. NOT FOR USE IN DIAGNOSTIC OR THERAPEUTIC PROCEDURES'.

For licensing inquiries, please contact partnerships@abcam.com