JavaScript is disabled in your browser. Please enable JavaScript to view this website.
AB219650

Anti-PRAME 抗体 [EPR20330]

Anti-PRAME antibody [EPR20330]

  • BOND RX™ Validated
  • RabMAb
  • Recombinant
  • 20ul selling size
  • 詳細を見る

Be the first to review this product! Submit a review

|

(36 Publications)

Anti-PRAME antibody [EPR20330] (ab219650) is a rabbit monoclonal antibody detecting PRAME in Western Blot, Flow Cytometry (Intra), IP, IHC-P, ICC/IF. Suitable for Human samples.

Enhanced IHC validation data - Download the data
- detailed IHC expression profiling in normal and clinically relevant cancer FFPE TMAs- melanoma, ovary and lung
- protocols for BOND RX™ and Ventana DISCOVERY ULTRA
Most cited clone to PRAME
Over 20 publications
Biophysical QC for unrivalled batch-batch consistency

別名を表示する

MAPE, OIP4, PRAME, Melanoma antigen preferentially expressed in tumors, Opa-interacting protein 4, Preferentially expressed antigen of melanoma, OIP-4

16 Images
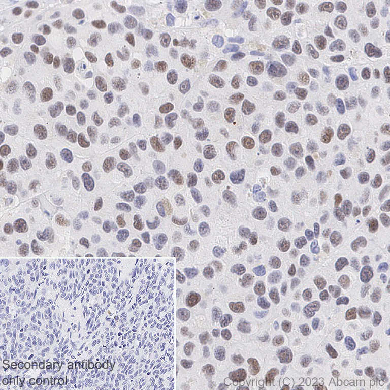
Immunohistochemistry (Formalin/PFA-fixed paraffin-embedded sections) - Anti-PRAME antibody [EPR20330] (AB219650)
  • IHC-P

Lab

Immunohistochemistry (Formalin/PFA-fixed paraffin-embedded sections) - Anti-PRAME antibody [EPR20330] (AB219650)

Immunohistochemical analysis of paraffin-embedded human melanoma tissue labeling PRAME with ab219650 at 1/500 dilution, followed by LeicaDS9800 (Bond™ Polymer Refine Detection). Sections were counter stained with Hematoxylin. Antigen retrieval was heat mediated with Tris/EDTA buffer pH 9.0 before commencing with IHC staining protocol. Nuclear staining on human melanoma. The section was incubated with ab219650 for 30 mins at room temperature. The immunostaining was performed on a Leica Biosystems BOND® RX instrument. Secondary antibody only control : Used PBS instead of primary antibody.

Flow Cytometry (Intracellular) - Anti-PRAME antibody [EPR20330] (AB219650)
  • Flow Cyt (Intra)

Unknown

Flow Cytometry (Intracellular) - Anti-PRAME antibody [EPR20330] (AB219650)

PRAME flow cytometry with PRAME antibody ab219650 of 4% paraformaldehyde-fixed and 90% Methanol-permeabilised MeWo (Human malignant melanoma cell line) cells labeling PRAME with ab219650 at 1/500 dilution (red) compared with a rabbit monoclonal IgG isotype control (ab172730; black) and an unlabeled control (cells without incubation with primary antibody and secondary antibody; blue). Goat anti rabbit IgG (Alexa Fluor® 488) (ab150077) at 1/2000 dilution was used as the secondary antibody.

Immunohistochemistry (Formalin/PFA-fixed paraffin-embedded sections) - Anti-PRAME antibody [EPR20330] (AB219650)
  • IHC-P

Lab

Immunohistochemistry (Formalin/PFA-fixed paraffin-embedded sections) - Anti-PRAME antibody [EPR20330] (AB219650)

Immunohistochemical analysis of paraffin-embedded human tonsil tissue labeling PRAME with ab219650 at 1/500 dilution, followed by LeicaDS9800 (Bond™ Polymer Refine Detection). Sections were counter stained with Hematoxylin. Antigen retrieval was heat mediated with Tris/EDTA buffer pH 9.0 before commencing with IHC staining protocol. Negative control : No staining on human tonsil. The section was incubated with ab219650 for 30 mins at room temperature. The immunostaining was performed on a Leica Biosystems BOND® RX instrument.

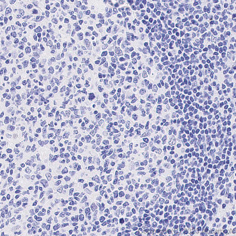
Immunohistochemistry (Formalin/PFA-fixed paraffin-embedded sections) - Anti-PRAME antibody [EPR20330] (AB219650)
  • IHC-P

Lab

Immunohistochemistry (Formalin/PFA-fixed paraffin-embedded sections) - Anti-PRAME antibody [EPR20330] (AB219650)

Tissue microarray (TMA) analysis using PRAME EPR20330 (ab219650).

Click here to view EPR20330 staining performance on human normal and cancer tissue microarray (TMA).

This table provides a detailed overview of positive PRAME staining (tick mark) and negative PRAME staining (cross mark) per sample type tested. PRAME is expressed in metastatic melanoma (PMID : 30045064). PRAME has low or no expression in normal tissues except in testis, ovary, placenta, adrenals and endometrium (PMID : 30045064).

The sections were pre-treated using Heat mediated antigen retrieval using ab93684 (Tris/EDTA buffer, pH 9.0). The sections were incubated with ab219650 at +4°C overnight followed by a ready to use Goat Anti-Rabbit IgG H&L (HRP polymer).

Immunohistochemistry (Formalin/PFA-fixed paraffin-embedded sections) - Anti-PRAME antibody [EPR20330] (AB219650)
  • IHC-P

Lab

Immunohistochemistry (Formalin/PFA-fixed paraffin-embedded sections) - Anti-PRAME antibody [EPR20330] (AB219650)

Immunohistochemical analysis of paraffin-embedded human stomach tissue labeling PRAME with ab219650 at 1/500 dilution, followed by LeicaDS9800 (Bond™ Polymer Refine Detection). Sections were counter stained with Hematoxylin. Antigen retrieval was heat mediated with Tris/EDTA buffer pH 9.0 before commencing with IHC staining protocol. Negative control : No staining on human stomach. The section was incubated with ab219650 for 30 mins at room temperature. The immunostaining was performed on a Leica Biosystems BOND® RX instrument.

Flow Cytometry (Intracellular) - Anti-PRAME antibody [EPR20330] (AB219650)
  • Flow Cyt (Intra)

Lab

Flow Cytometry (Intracellular) - Anti-PRAME antibody [EPR20330] (AB219650)

Flow cytometry overlay histogram showing left K562 positive cells and right negative HEK293 stained with ab219650 (red line). The cells were fixed with 4% formaldehyde (10 min) and then permeabilised with 0.1 % PBS-Triton X-100 for 15 min. The cells were then incubated in 1x PBS containing 10% normal goat serum to block non-specific protein-protein interaction followed by the antibody (ab219650) (1x 106 in 100μl at 0.008μg/ml (1/267500 dilution)) for 30min at 22°C.

The secondary antibody Goat Anti-Rabbit IgG H&L (Alexa Fluor® 488) preadsorbed was incubated at 1/4000 for 30min at 22°C.

Isotype control antibody (black line) was Recombinant Rabbit IgG monoclonal [EPR25A] - Isotype Control used at the same concentration and conditions as the primary antibody. Unlabelled sample (blue line) was also used as a control.

Acquisition of >5000 events were collected using a 50 mW Blue laser (488nm) and 525/40 bandpass filter.

This antibody gave a positive signal in K562 Fixed with 80% methanol (5 min) / permeabilised with 0.1 % PBS-Triton X-100 for 15 min under the same conditions.

Immunocytochemistry/ Immunofluorescence - Anti-PRAME antibody [EPR20330] (AB219650)
  • ICC/IF

Supplier Data

Immunocytochemistry/ Immunofluorescence - Anti-PRAME antibody [EPR20330] (AB219650)

Immunofluorescent analysis of 4% paraformaldehyde-fixed 0.1% Triton X-100 permeabilized MeWo (Human malignant melanoma cell line) cells labeling PRAME with ab219650 at 1/500 dilution followed by Goat anti-rabbit IgG (Alexa Fluor® 488) (ab150077) secondary antibody at 1/1000 dilution (green). Confocal image showing mostly nuclear staining on MeWo cells.

The nuclear counter stain is DAPI (blue). Tubulin is detected with ab195889 (Anti-alpha Tubulin antibody [DM1A] - Microtubule Marker (Alexa Fluor® 594)) at 1/200 dilution (red).

Secondary antibody only control : Used PBS instead of primary antibody secondary antibody is Goat anti-rabbit IgG (Alexa Fluor® 488) (ab150077) at 1/1000 dilution.

Immunohistochemistry (Formalin/PFA-fixed paraffin-embedded sections) - Anti-PRAME antibody [EPR20330] (AB219650)
  • IHC-P

Lab

Immunohistochemistry (Formalin/PFA-fixed paraffin-embedded sections) - Anti-PRAME antibody [EPR20330] (AB219650)

Immunohistochemical analysis of paraffin-embedded human testis tissue labeling PRAME with ab219650 at 1/500 dilution, followed by LeicaDS9800 (Bond™ Polymer Refine Detection). Sections were counter stained with Hematoxylin. Antigen retrieval was heat mediated with Tris/EDTA buffer pH 9.0 before commencing with IHC staining protocol. Nuclear staining on human testis. The section was incubated with ab219650 for 30 mins at room temperature. The immunostaining was performed on a Leica Biosystems BOND® RX instrument. Secondary antibody only control : Used PBS instead of primary antibody.

Immunocytochemistry/ Immunofluorescence - Anti-PRAME antibody [EPR20330] (AB219650)
  • ICC/IF

Lab

Immunocytochemistry/ Immunofluorescence - Anti-PRAME antibody [EPR20330] (AB219650)

PRAME immunofluorescence with PRAME antibody ab219650 in K562 cells with negative expression in Ramos cells. The cells were fixed with 4% formaldehyde (10 min) permeabilised with 0.1% Triton x-100 for 5 minutes and then blocked with 1% BSA/10% normal goat serum/0.3M glycine in 0.1% PBS-Tween for 1h. The cells were then incubated overnight at +4°C with ab219650 at 1 μg/ml and ab7291 Mouse monoclonal [DM1A] to alpha Tubulin at 0.5 μg/ml. Cells were then incubated with ab150081 Goat polyclonal Secondary Antibody to Rabbit IgG - H&L (Alexa Fluor® 488) pre-adsorbed at 1/1000 dilution (shown in green) and ab150119 Goat polyclonal Secondary Antibody to Mouse IgG - H&L (Alexa Fluor® 647) pre-adsorbed at 1/1000 dilution (shown in red). Nuclear DNA was labelled with DAPI (shown in blue).

Image was acquired with a confocal microscope (Leica-Microsystems TCS SP8) and a single confocal section is shown.

This product also work with 100% methanol (5 min) fixation under the same testing conditions.

Immunocytochemistry/ Immunofluorescence - Anti-PRAME antibody [EPR20330] (AB219650)
  • ICC/IF

Supplier Data

Immunocytochemistry/ Immunofluorescence - Anti-PRAME antibody [EPR20330] (AB219650)

Immunofluorescent analysis of 4% paraformaldehyde-fixed 0.1% Triton X-100 permeabilized A-375 (Human malignant melanoma cell line) cells labeling PRAME with ab219650 at 1/500 dilution followed by Goat anti-rabbit IgG (Alexa Fluor® 488) (ab150077) secondary antibody at 1/1000 dilution (green). Confocal image showing mostly nuclear staining on A-375 cells.

The nuclear counter stain is DAPI (blue). Tubulin is detected with ab195889 (Anti-alpha Tubulin antibody [DM1A] - Microtubule Marker (Alexa Fluor® 594)) at 1/200 dilution (red).

Secondary antibody only control : Used PBS instead of primary antibody secondary antibody is Goat anti-rabbit IgG (Alexa Fluor® 488) (ab150077) at 1/1000 dilution.

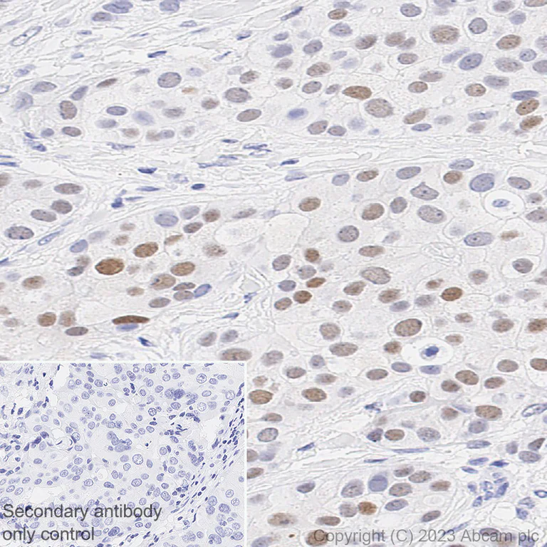
Immunohistochemistry (Formalin/PFA-fixed paraffin-embedded sections) - Anti-PRAME antibody [EPR20330] (AB219650)
  • IHC-P

Lab

Immunohistochemistry (Formalin/PFA-fixed paraffin-embedded sections) - Anti-PRAME antibody [EPR20330] (AB219650)

Immunohistochemical analysis of paraffin-embedded human breast carcinoma tissue labeling PRAME with ab219650 at 1/500 dilution, followed by LeicaDS9800 (Bond™ Polymer Refine Detection). Sections were counter stained with Hematoxylin. Antigen retrieval was heat mediated with Tris/EDTA buffer pH 9.0 before commencing with IHC staining protocol. Nuclear staining on human breast carcinoma. The section was incubated with ab219650 for 30 mins at room temperature. The immunostaining was performed on a Leica Biosystems BOND® RX instrument. Secondary antibody only control : Used PBS instead of primary antibody.

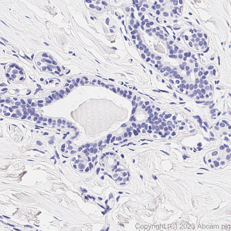
Immunohistochemistry (Formalin/PFA-fixed paraffin-embedded sections) - Anti-PRAME antibody [EPR20330] (AB219650)
  • IHC-P

Lab

Immunohistochemistry (Formalin/PFA-fixed paraffin-embedded sections) - Anti-PRAME antibody [EPR20330] (AB219650)

Immunohistochemical analysis of paraffin-embedded human breast tissue labeling PRAME with ab219650 at 1/500 dilution, followed by LeicaDS9800 (Bond™ Polymer Refine Detection). Sections were counter stained with Hematoxylin. Antigen retrieval was heat mediated with Tris/EDTA buffer pH 9.0 before commencing with IHC staining protocol. Negative control : No staining on human breast. The section was incubated with ab219650 for 30 mins at room temperature. The immunostaining was performed on a Leica Biosystems BOND® RX instrument.

Immunoprecipitation - Anti-PRAME antibody [EPR20330] (AB219650)
  • IP

Supplier Data

Immunoprecipitation - Anti-PRAME antibody [EPR20330] (AB219650)

PRAME was immunoprecipitated from 0.35 mg of MeWo (Human malignant melanoma cell line) whole cell lysate with ab219650 at 1/30 dilution. Western blot was performed from the immunoprecipitate using ab219650 at 1/1000 dilution. VeriBlot for IP Detection Reagent (HRP) (ab131366), was used for detection at 1/10000 dilution.

Lane 1 : MeWo whole cell lysate 10 μg (Input).

Lane 2 : ab219650 IP in MeWo whole cell lysate.

Lane 3 : Rabbit monoclonal IgG (ab172730) instead of ab219650 in MeWo whole cell lysate.

Blocking and dilution buffer and concentration : 5% NFDM/TBST.

Exposure time : 1 second.

All lanes:

Immunoprecipitation - Anti-PRAME antibody [EPR20330] (ab219650)

Predicted band size: 57 kDa

false

Western blot - Anti-PRAME antibody [EPR20330] (AB219650)
  • WB

Lab

Western blot - Anti-PRAME antibody [EPR20330] (AB219650)

PRAME western blot with PRAME antibody ab219650.

Different batches of ab219650 were tested on MeWo (Human malignant melanoma fibroblast) whole cell lysate at 0.1 µg/ml. 15 µg of lysate was loaded in each lane. Bands observed at 50 kDa.

All lanes:

Western blot - Anti-PRAME antibody [EPR20330] (ab219650)

Predicted band size: 57 kDa

false

Western blot - Anti-PRAME antibody [EPR20330] (AB219650)
  • WB

Supplier Data

Western blot - Anti-PRAME antibody [EPR20330] (AB219650)

PRAME western blot with PRAME antibody ab219650.

Blocking/Dilution buffer : 5% NFDM/TBST.

Exposure time : Lane 1 : 3 minutes; Lane 2 : 5 seconds; Lane 3 : 1 minute.

All lanes:

Western blot - Anti-PRAME antibody [EPR20330] (ab219650) at 1/1000 dilution

Lane 1:

Human ovary cancer lysate at 20 µg

Lane 2:

A-375 (Human malignant melanoma cell line) whole cell lysate at 20 µg

Lane 3:

Human testis lysate at 20 µg

Secondary

All lanes:

Western blot - VeriBlot for IP Detection Reagent (HRP) (<a href='/products/reagents/veriblot-for-ip-detection-reagent-hrp-ab131366'>ab131366</a>) at 1/1000 dilution

Predicted band size: 57 kDa

Observed band size: 57 kDa

false

Western blot - Anti-PRAME antibody [EPR20330] (AB219650)
  • WB

Supplier Data

Western blot - Anti-PRAME antibody [EPR20330] (AB219650)

PRAME western blot with PRAME antibody ab219650.

Blocking/Dilution buffer : 5% NFDM/TBST.

All lanes:

Western blot - Anti-PRAME antibody [EPR20330] (ab219650) at 1/1000 dilution

All lanes:

MeWo (Human malignant melanoma cell line) whole cell lysate at 20 µg

Secondary

All lanes:

Goat Anti-Rabbit IgG Peroxidase Conjugate, specific to the non-reduced form of IgG at 1/4000 dilution

Predicted band size: 57 kDa

Observed band size: 57 kDa

false

Exposure time: 15s

関連する標識済み抗体及び組成の異なる製品 (5)

Key facts

宿主種

Rabbit

クローン性

Monoclonal

クローン番号

EPR20330

アイソタイプ

IgG

キャリアフリー

No

交差種

Human

アプリケーション

WB, Flow Cyt (Intra), IP, ICC/IF, IHC-P

applications

免疫原

The exact immunogen used to generate this antibody is proprietary information.

特異性

PRAME is expressed in malignant cells, including leukaemias, Hodgkin's lymphoma, breast cancer, and primary and metastatic melanomas.

Reactivity data

{ "title": "Reactivity Data", "filters": { "stats": ["", "Species", "Dilution Info", "Notes"], "tabs": { "all-applications": {"fullname" : "All Applications", "shortname": "All Applications"}, "IP" : {"fullname" : "Immunoprecipitation", "shortname":"IP"}, "WB" : {"fullname" : "Western blot", "shortname":"WB"}, "ICCIF" : {"fullname" : "Immunocytochemistry/ Immunofluorescence", "shortname":"ICC/IF"}, "FlowCytIntra" : {"fullname" : "Flow Cytometry (Intracellular)", "shortname":"Flow Cyt (Intra)"}, "IHCP" : {"fullname" : "Immunohistochemistry (Formalin/PFA-fixed paraffin-embedded sections)", "shortname":"IHC-P"} }, "product-promise": { "all": "all", "testedAndGuaranteed": "tested", "guaranteed": "expected", "predicted": "predicted", "notRecommended": "not-recommended" } }, "values": { "Human": { "IP-species-checked": "testedAndGuaranteed", "IP-species-dilution-info": "1/30", "IP-species-notes": "<p></p>", "WB-species-checked": "testedAndGuaranteed", "WB-species-dilution-info": "1/1000", "WB-species-notes": "<p></p>", "ICCIF-species-checked": "testedAndGuaranteed", "ICCIF-species-dilution-info": "1/500", "ICCIF-species-notes": "<p></p>", "FlowCytIntra-species-checked": "testedAndGuaranteed", "FlowCytIntra-species-dilution-info": "1/500", "FlowCytIntra-species-notes": "<p></p>", "IHCP-species-checked": "testedAndGuaranteed", "IHCP-species-dilution-info": "1/100 - 1/500", "IHCP-species-notes": "<p>Recommend ab219650 incubation at +4°C overnight.</p> Perform heat-mediated antigen retrieval with Tris/EDTA buffer pH 9.0 before commencing with IHC staining protocol." } } }

製品の詳細

Anti-PRAME antibody [EPR20330] (ab219650) was developed by Abcam using patented rabbit monoclonal antibody technology and is validated for use in Flow Cyt (Intra), ICC/IF, IHC-P, IP and WB.

Abcam's high quality manufacturing and validation processes ensure Anti-PRAME antibody [EPR20330] (ab219650) has high sensitivity and specificity alongside high lot-to-lot consistency and reproducibility.

Anti-PRAME antibody [EPR20330] (ab219650) specifically detects PRAME (UniProt ID: P78395; Molecular weight: 58kDa) and is sold in 100 µL and 1 mL selling sizes.

Conjugation-ready, carrier free format available for antibody clone EPR20330 - ab232571.

Antibody clone EPR20330 is also available pre-conjugated to a variety of labels for your convenience - Alexa Fluor® 555, Alexa Fluor® 647, Alexa Fluor® 488, Alexa Fluor® 594 (ab307626, ab307630, ab307769, ab312896).

This top cited antibody is highly specific for PRAME, a protein that is highly expressed in different types of cancers and is involved in cell proliferation and metastasis, as well as the outcomes of patients with cancer.

Patented technology
Our RabMAb® technology is a patented hybridoma-based technology for making rabbit monoclonal antibodies. For details on our patents, please refer to RabMAb® patents.

What are the advantages of a recombinant monoclonal antibody?
This product is a recombinant monoclonal antibody, which offers several advantages including:

  • - High batch-to-batch consistency and reproducibility
  • - Improved sensitivity and specificity
  • - Long-term security of supply
  • - Animal-free batch production

For more information, read more on recombinant antibodies.

出荷温度及び保存条件

製品の状態
Liquid
精製方法
Affinity purification Protein A
バッファー組成
pH: 7.2 - 7.4 Preservative: 0.01% Sodium azide Constituents: PBS, 40% Glycerol (glycerin, glycerine), 0.05% BSA
出荷温度
Blue Ice
短期保存期間
1-2 weeks
短期保存温度
+4°C
長期保存温度
-20°C
分注に関する情報
Upon delivery aliquot
保管に関する情報
Avoid freeze / thaw cycle

補足情報

This supplementary information is collated from multiple sources and compiled automatically.

PRAME or Preferentially Expressed Antigen in Melanoma is a cancer/testis antigen with a molecular mass of approximately 57 kDa. The PRAME protein is expressed in various tumors including melanoma and shows limited expression in normal adult tissues. Researchers use Monoclonal Antibody EPR20330 to detect PRAME due to its specificity and reliability in applications like PRAME immunohistochemistry (IHC).
Biological function summary

The PRAME protein influences cell proliferation and apoptosis by acting as a repressor of retinoic acid signaling. It is not part of a large complex but interacts with proteins involved in retinoic acid pathways. PRAME inhibits retinoic acid receptor signaling leading to disrupted cell differentiation and survival which is advantageous for cancer cells.

Pathways

Studies show the involvement of PRAME in important cellular processes. It plays a significant role in the retinoic acid pathway and interacts with retinoic acid receptors RAR and RXR. By inhibiting these receptors PRAME affects the transcriptional activity and cellular responses typically mediated by retinoic acid contributing to tumor growth and cancer cell survival.

PRAME expression correlates with aggressive forms of melanoma and various other malignancies such as lung cancer. The presence of PRAME serves as a marker for poor prognosis and can indicate a more invasive cancer phenotype. In melanoma PRAME interacts with proteins related to the disease's progression further emphasizing its importance as a target for therapeutic strategies.

製品プロトコール

For this product, it's our understanding that no specific protocols are required. You can visit:

ターゲットの情報

Substrate-recognition component of a Cul2-RING (CRL2) E3 ubiquitin-protein ligase complex, which mediates ubiquitination of target proteins, leading to their degradation (PubMed : 21822215, PubMed : 26138980). The CRL2(PRAME) complex mediates ubiquitination and degradation of truncated MSRB1/SEPX1 selenoproteins produced by failed UGA/Sec decoding (PubMed : 26138980). In the nucleus, the CRL2(PRAME) complex is recruited to epigenetically and transcriptionally active promoter regions bound by nuclear transcription factor Y (NFY) and probably plays a role in chromstin regulation (PubMed : 21822215). Functions as a transcriptional repressor, inhibiting the signaling of retinoic acid through the retinoic acid receptors RARA, RARB and RARG : prevents retinoic acid-induced cell proliferation arrest, differentiation and apoptosis (PubMed : 16179254).
See full target information PRAME

文献 (36)

Recent publications for all applications. Explore the full list and refine your search

Nature communications 16:1477 PubMed39929832

2025

Multi-omics analyses reveal biological and clinical insights in recurrent stage I non-small cell lung cancer.

Applications

Unspecified application

Species

Unspecified reactive species

Chengdi Wang,Jingwei Li,Jingyao Chen,Zhoufeng Wang,Guonian Zhu,Lujia Song,Jiayang Wu,Changshu Li,Rong Qiu,Xuelan Chen,Li Zhang,Weimin Li

Discover oncology 16:88 PubMed39864021

2025

A panel of cancer testis antigens in squamous cell carcinoma of the lung, head and neck, and esophagus: implication for biomarkers and therapeutic targets.

Applications

Unspecified application

Species

Unspecified reactive species

Lin Li,Xin Zhang,Jiayao Yan,Jingyi Guo,Fangcen Liu,Xiao Wei,Qin Liu,Kongcheng Wang,Baorui Liu

Immunotherapy advances 4:ltae008 PubMed39659431

2024

High-affinity T cell receptor ImmTAC® bispecific efficiently redirects T cells to kill tumor cells expressing the cancer-testis antigen PRAME.

Applications

Unspecified application

Species

Unspecified reactive species

Ana R Ribeiro,Camille Britton-Rivet,Laura Collins,Ricardo J Carreira,Sylvie Moureau,Adel Benlahrech,Sarah Stanhope,Stephen Harper,Nathaniel Liddy,Tara M Mahon,Kristina Petrovic,Mark Fife,David Depoil,Philip Addis,Nicole Bedke,Lucie Bouard,Ronan O'Dwyer,Duncan Gascoyne,Koustubh Ranade

Cell host & microbe 32:2004-2018.e9 PubMed39481388

2024

Longitudinal analysis of the gut microbiota during anti-PD-1 therapy reveals stable microbial features of response in melanoma patients.

Applications

Unspecified application

Species

Unspecified reactive species

Angeli D G Macandog,Carlotta Catozzi,Mariaelena Capone,Amir Nabinejad,Padma P Nanaware,Shujing Liu,Smita Vinjamuri,Johanna A Stunnenberg,Serena Galiè,Maria Giovanna Jodice,Francesca Montani,Federica Armanini,Ester Cassano,Gabriele Madonna,Domenico Mallardo,Benedetta Mazzi,Salvatore Pece,Maria Tagliamonte,Vito Vanella,Massimo Barberis,Pier F Ferrucci,Christian U Blank,Marlene Bouvier,Miles C Andrews,Xiaowei Xu,Laura Santambrogio,Nicola Segata,Luigi Buonaguro,Emilia Cocorocchio,Paolo A Ascierto,Teresa Manzo,Luigi Nezi

Diagnostics (Basel, Switzerland) 14: PubMed39335694

2024

PRAME Immunohistochemistry in Thin Melanomas Compared to Melanocytic Nevi.

Applications

Unspecified application

Species

Unspecified reactive species

Iulia Zboraș,Loredana Ungureanu,Simona Șenilă,Bobe Petrushev,Paula Zamfir,Doinița Crișan,Flaviu Andrei Zaharie,Ștefan Cristian Vesa,Rodica Cosgarea

JEADV clinical practice 3:738-741 PubMed39184932

2024

A comparative study of PRAME expression in sebaceous carcinoma and basal cell carcinoma.

Applications

Unspecified application

Species

Unspecified reactive species

Mohammad Saffari Doost,Maria Fernanda Ortega-Springall,Summer N Meyer,Nick R Love,Thomas Konia,Maxwell A Fung,Maija Kiuru

Heliyon 10:e34094 PubMed39071619

2024

PRAME promotes proliferation of multiple myeloma cells through CTMP/Akt/p21/CCND3 axis by ubiquitinating CTMP and p21.

Applications

Unspecified application

Species

Unspecified reactive species

Kai Sun,Lu Yang,Feng Wang,Ying Liu,Nan Xu,Zong-Yan Shi,Wen-Min Chen,Ke Li,Ya-Zhen Qin

Science advances 10:eadm8206 PubMed38996022

2024

Melanoma progression and prognostic models drawn from single-cell, spatial maps of benign and malignant tumors.

Applications

Unspecified application

Species

Unspecified reactive species

Nick R Love,Claire Williams,Emily E Killingbeck,Alexander Merleev,Mohammad Saffari Doost,Lan Yu,John D McPherson,Hidetoshi Mori,Alexander D Borowsky,Emanual Maverakis,Maija Kiuru

BMB reports 57:299-304 PubMed38835116

2024

Tumor antigen PRAME is a potential therapeutic target of p53 activation in melanoma cells.

Applications

Unspecified application

Species

Unspecified reactive species

Yong-Kyu Lee,Hyeon Ho Heo,Nackhyoung Kim,Ui-Hyun Park,Hyesook Youn,Eun-Yi Moon,Eun-Joo Kim,Soo-Jong Um

Journal of cancer research and clinical oncology 149:15003-15011 PubMed37610673

2023

Expression of four cancer-testis antigens in TNBC indicating potential universal immunotherapeutic targets.

Applications

IHC-P

Species

Human

Jie Xiao,Fengli Huang,Lin Li,Lianru Zhang,Li Xie,Baorui Liu
View all publications
enhancedValidationDataWebsite
en

Abcam product promise

当社は、高品質な試薬を通じてお客様の研究を力強くサポートすることをお約束いたします。ご使用いただく各段階で、常にお客様をサポートできる体制を整えております。万が一、製品が期待通りに機能しない場合は、「Abcam Product Promise」による当社保証制度に基づき、安心してご利用いただけます。
保証に関する詳細については利用規約をご確認ください。

Please note: All products are 'FOR RESEARCH USE ONLY. NOT FOR USE IN DIAGNOSTIC OR THERAPEUTIC PROCEDURES'.

For licensing inquiries, please contact partnerships@abcam.com