JavaScript is disabled in your browser. Please enable JavaScript to view this website.
AB307688

Anti-Poliovirus Receptor/PVR 抗体 [EPR22672-151] - Rat IgG1 (Chimeric) - BSA and Azide free

Anti-Poliovirus Receptor/PVR antibody [EPR22672-151] - Rat IgG1 (Chimeric) - BSA and Azide free

Be the first to review this product! Submit a review

|

(0 Publication)

Rat Recombinant Monoclonal Poliovirus Receptor/PVR antibody. Carrier free. Suitable for IHC-P, WB and reacts with Human samples.

別名を表示する

CD155, PVS, PVR, Poliovirus receptor, Nectin-like protein 5, NECL-5

4 Images
Immunohistochemistry - Anti-Poliovirus Receptor/PVR antibody [EPR22672-151] - Rat IgG1 (Chimeric) - BSA and Azide free (AB307688)
  • IHC

Supplier Data

Immunohistochemistry - Anti-Poliovirus Receptor/PVR antibody [EPR22672-151] - Rat IgG1 (Chimeric) - BSA and Azide free (AB307688)

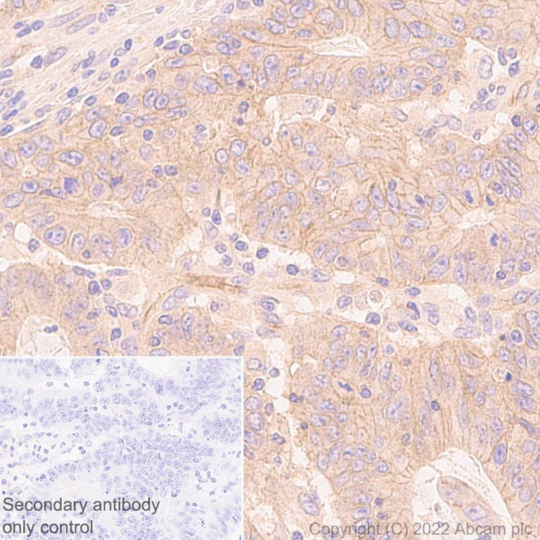
This data was developed using ab307687, the same antibody clone in a different buffer formulation. Immunohistochemical analysis of paraffin-embedded human bladder cancer tissue labeling Poliovirus Receptor/PVR with ab307687 at 1/100 dilution (10.27 μg/ml) followed by ready to use LeicaDS9800 (Bond™ Polymer Refine Detection). Positive staining on human bladder cancer. The section was incubated with ab307687 for 30 mins at room temperature, followed by anti-rat IgG antibody (ab102248) for 8 mins during the LeicaDS9800 kit staining procedure. The immunostaining was performed on a Leica Biosystems BOND® RX instrument. Counterstained with Hematoxylin. Secondary antibody only control : Secondary antibody is ready to use LeicaDS9800 (Bond™ Polymer Refine Detection). Heat mediated antigen retrieval was performed with Tris-EDTA buffer (pH 9.0, Epitope Retrieval Solution2) for 20 mins.

Immunohistochemistry - Anti-Poliovirus Receptor/PVR antibody [EPR22672-151] - Rat IgG1 (Chimeric) - BSA and Azide free (AB307688)
  • IHC

Supplier Data

Immunohistochemistry - Anti-Poliovirus Receptor/PVR antibody [EPR22672-151] - Rat IgG1 (Chimeric) - BSA and Azide free (AB307688)

This data was developed using ab307687, the same antibody clone in a different buffer formulation. Immunohistochemical analysis of paraffin-embedded human colon cancer tissue labeling Poliovirus Receptor/PVR with ab307687 at 1/100 dilution (10.27 μg/ml) followed by ready to use LeicaDS9800 (Bond™ Polymer Refine Detection). Positive staining on human colon cancer. The section was incubated with ab307687 for 30 mins at room temperature, followed by anti-rat IgG antibody (ab102248) for 8 mins during the LeicaDS9800 kit staining procedure. The immunostaining was performed on a Leica Biosystems BOND® RX instrument. Counterstained with Hematoxylin. Secondary antibody only control : Secondary antibody is ready to use LeicaDS9800 (Bond™ Polymer Refine Detection). Heat mediated antigen retrieval was performed with Tris-EDTA buffer (pH 9.0, Epitope Retrieval Solution2) for 20 mins.

Western blot - Anti-Poliovirus Receptor/PVR antibody [EPR22672-151] - Rat IgG1 (Chimeric) - BSA and Azide free (AB307688)
  • WB

Supplier Data

Western blot - Anti-Poliovirus Receptor/PVR antibody [EPR22672-151] - Rat IgG1 (Chimeric) - BSA and Azide free (AB307688)

This data was developed using ab307687, the same antibody clone in a different buffer formulation. Blocking and diluting buffer and concentration : 5% NFDM/TBST. Negative control : Raji (PMID : 10915595;PMID : 9880562).                                                           PVR/CD155 is a glycoprotein. The molecular weight observed is consistent with what has been described in the literature (PMID : 17893876, 11454801). Exposure time : 26 seconds.

All lanes:

Western blot - Anti-Poliovirus Receptor/PVR antibody [EPR22672-151] - Rat IgG1 (Chimeric) (<a href='/products/primary-antibodies/poliovirus-receptor-pvr-antibody-epr22672-151-rat-igg1-chimeric-ab307687'>ab307687</a>) at 1/1000 dilution

Lane 1:

A549 (human lung carcinoma epithelial cell) whole cell lysate 20 μg

Lane 2:

WI-38 (human fetal lung fibroblast) whole cell lysate 20 μg

Lane 3:

HT-1080 (human fibrosarcoma epithelial cell) whole cell lysate 20 μg

Lane 4:

HUVEC (human umbilical vein endothelial cell) whole cell lysate 20 μg

Lane 5:

Raji (human Burkitts lymphoma B lymphocyte) whole cell lysate 20 μg

Observed band size: 70 kDa

false

Exposure time: 26s

Western blot - Anti-Poliovirus Receptor/PVR antibody [EPR22672-151] - Rat IgG1 (Chimeric) - BSA and Azide free (AB307688)
  • WB

Supplier Data

Western blot - Anti-Poliovirus Receptor/PVR antibody [EPR22672-151] - Rat IgG1 (Chimeric) - BSA and Azide free (AB307688)

This data was developed using ab307687, the same antibody clone in a different buffer formulation. Blocking and diluting buffer and concentration : 5% NFDM/TBST. PVR/CD155 is a glycoprotein. The molecular weight observed is consistent with what has been described in the literature (PMID : 17893876, 11454801). Exposure times : Lanes 1-5 : 15 seconds Lanes 6-7 : 81 seconds

All lanes:

Western blot - Anti-Poliovirus Receptor/PVR antibody [EPR22672-151] - Rat IgG1 (Chimeric) (<a href='/products/primary-antibodies/poliovirus-receptor-pvr-antibody-epr22672-151-rat-igg1-chimeric-ab307687'>ab307687</a>) at 1/1000 dilution

Lane 1:

U-87 MG (human glioblastoma-astrocytoma epithelial cell) whole cell lysate 20 μg

Lane 2:

MCF7 (human breast adenocarcinoma epithelial cell) whole cell lysate 20 μg

Observed band size: 70 kDa

false

Exposure time: 180s

関連する標識済み抗体及び組成の異なる製品 (1)

  • Unconjugated

    Anti-Poliovirus Receptor/PVR antibody [EPR22672-151] - Rat IgG1 (Chimeric)

Key facts

宿主種

Rat

クローン性

Monoclonal

クローン番号

EPR22672-151

アイソタイプ

IgG1

キャリアフリー

Yes

交差種

Human

アプリケーション

WB, IHC-P

applications

免疫原

The exact immunogen used to generate this antibody is proprietary information.

Reactivity data

{ "title": "Reactivity Data", "filters": { "stats": ["", "Species", "Dilution Info", "Notes"], "tabs": { "all-applications": {"fullname" : "All Applications", "shortname": "All Applications"}, "FlowCyt" : {"fullname" : "Flow Cytometry", "shortname":"Flow Cyt"}, "IHCP" : {"fullname" : "Immunohistochemistry (Formalin/PFA-fixed paraffin-embedded sections)", "shortname":"IHC-P"}, "WB" : {"fullname" : "Western blot", "shortname":"WB"} }, "product-promise": { "all": "all", "testedAndGuaranteed": "tested", "guaranteed": "expected", "predicted": "predicted", "notRecommended": "not-recommended" } }, "values": { "Human": { "FlowCyt-species-checked": "notRecommended", "FlowCyt-species-dilution-info": "", "FlowCyt-species-notes": "<p></p>", "IHCP-species-checked": "testedAndGuaranteed", "IHCP-species-dilution-info": "", "IHCP-species-notes": "<p></p>", "WB-species-checked": "testedAndGuaranteed", "WB-species-dilution-info": "", "WB-species-notes": "<p></p>" }, "Mouse": { "FlowCyt-species-checked": "notRecommended", "FlowCyt-species-dilution-info": "", "FlowCyt-species-notes": "", "IHCP-species-checked": "notRecommended", "IHCP-species-dilution-info": "", "IHCP-species-notes": "<p></p>", "WB-species-checked": "notRecommended", "WB-species-dilution-info": "", "WB-species-notes": "<p></p>" }, "Rat": { "FlowCyt-species-checked": "notRecommended", "FlowCyt-species-dilution-info": "", "FlowCyt-species-notes": "", "IHCP-species-checked": "notRecommended", "IHCP-species-dilution-info": "", "IHCP-species-notes": "<p></p>", "WB-species-checked": "notRecommended", "WB-species-dilution-info": "", "WB-species-notes": "<p></p>" } } }

製品の詳細

This rat monoclonal chimeric antibody (ab307688) is a carrier free version of ab307687

What are the advantages of a recombinant monoclonal antibody?
This product is a recombinant monoclonal antibody, which offers several advantages including:

  • - High batch-to-batch consistency and reproducibility
  • - Improved sensitivity and specificity
  • - Long-term security of supply
  • - Animal-free batch production

For more information, read more on recombinant antibodies.

Conjugation ready
Our carrier-free antibodies are typically supplied in a PBS-only formulation, purified and free of BSA, sodium azide and glycerol. This conjugation-ready format is designed for use with fluorochromes, metal isotopes, oligonucleotides, and enzymes, which makes them ideal for antibody labelling, functional and cell-based assays, flow-based assays (e.g. mass cytometry) and Multiplex Imaging applications.

Use our conjugation kits for antibody conjugates that are ready-to-use in as little as 20 minutes with 1 minute hands-on-time and 100% antibody recovery: available for fluorescent dyes, HRP, biotin and gold.

Compatibility
This product is compatible with the Maxpar® Antibody Labeling Kit from Fluidigm, without the need for antibody preparation. Maxpar® is a trademark of Fluidigm Canada Inc.

出荷温度及び保存条件

製品の状態
Liquid
精製方法
Affinity purification Protein A
バッファー組成
pH: 7.2 - 7.4 Constituents: PBS
出荷温度
Blue Ice
短期保存温度
+4°C
長期保存温度
+4°C

補足情報

This supplementary information is collated from multiple sources and compiled automatically.

The Poliovirus Receptor (PVR) also known as CD155 is a cell surface glycoprotein with a molecular mass of approximately 70 kDa. This receptor is expressed on a variety of cell types including epithelial and endothelial cells immune cells and fibroblasts. Another name for PVR is Necl-5 which falls under the nectin-like molecule family. It acts as an adhesion molecule and contributes to cellular signaling and junctional complexes. The expression of PVR is widespread across multiple tissues but it exhibits stronger expression in areas such as the skin and the gastrointestinal tract.
Biological function summary

The Poliovirus Receptor plays meaningful roles in immune response modulation and cell-cell adhesion. PVR interacts with components of the immune system and forms complexes with other proteins like CD226 and TIGIT. These interactions help regulate immune cell activities especially in the context of natural killer (NK) cells and T-cells. The CD155 protein also links to migration and proliferation processes which are essential for tissue formation and repair.

Pathways

PVR is involved in the regulation of immune and signaling pathways. It fits into pathways like NK cell activation and T-cell inhibitory signaling which are important for maintaining immune tolerance and preventing autoimmunity. In these pathways PVR interacts closely with other immunoregulatory proteins including CD226 and TIGIT. The partnership of PVR with these proteins shapes the delicate balance between immune activation and suppression demonstrating a clear role in immune homeostasis.

PVR relates to conditions such as cancer and viral infection. Its overexpression or altered signaling has been observed in several cancers where it may contribute to tumor growth and immune evasion. The interaction between PVR and its related protein TIGIT can affect antitumor immune responses complicating cancer progression. Additionally as its name suggests PVR binds to the poliovirus facilitating viral entry and spread during infection. This highlights the importance of PVR not only in pathogenic interactions but also in broader immune response contexts.

製品プロトコール

For this product, it's our understanding that no specific protocols are required. You can visit:

ターゲットの情報

Mediates NK cell adhesion and triggers NK cell effector functions. Binds two different NK cell receptors : CD96 and CD226. These interactions accumulates at the cell-cell contact site, leading to the formation of a mature immunological synapse between NK cell and target cell. This may trigger adhesion and secretion of lytic granules and IFN-gamma and activate cytotoxicity of activated NK cells. May also promote NK cell-target cell modular exchange, and PVR transfer to the NK cell. This transfer is more important in some tumor cells expressing a lot of PVR, and may trigger fratricide NK cell activation, providing tumors with a mechanism of immunoevasion. Plays a role in mediating tumor cell invasion and migration.. (Microbial infection) Acts as a receptor for poliovirus. May play a role in axonal transport of poliovirus, by targeting virion-PVR-containing endocytic vesicles to the microtubular network through interaction with DYNLT1. This interaction would drive the virus-containing vesicle to the axonal retrograde transport.. (Microbial infection) Acts as a receptor for Pseudorabies virus.. (Microbial infection) Is prevented to reach cell surface upon infection by Human cytomegalovirus /HHV-5, presumably to escape immune recognition of infected cell by NK cells.
See full target information PVR

Abcam product promise

当社は、高品質な試薬を通じてお客様の研究を力強くサポートすることをお約束いたします。ご使用いただく各段階で、常にお客様をサポートできる体制を整えております。万が一、製品が期待通りに機能しない場合は、「Abcam Product Promise」による当社保証制度に基づき、安心してご利用いただけます。
保証に関する詳細については利用規約をご確認ください。

Please note: All products are 'FOR RESEARCH USE ONLY. NOT FOR USE IN DIAGNOSTIC OR THERAPEUTIC PROCEDURES'.

For licensing inquiries, please contact partnerships@abcam.com