JavaScript is disabled in your browser. Please enable JavaScript to view this website.
AB321805

Anti-Plexin A1 antibody [EPR29121-94]

Anti-Plexin A1 antibody [EPR29121-94]

Be the first to review this product! Submit a review

|

(0 Publication)

Rabbit Recombinant Monoclonal Plexin A1 antibody. Suitable for WB and reacts with Transfected cell lysate - Mouse, Human, Mouse samples.

別名を表示する

Kiaa4053, Plxna1, Plexin-A1, Plex 1, Plexin-1

4 Images
Western blot - Anti-Plexin A1 antibody [EPR29121-94] (AB321805)
  • WB

Supplier Data

Western blot - Anti-Plexin A1 antibody [EPR29121-94] (AB321805)

Blocking and diluting buffer and concentration : 5% NFDM/TBST.

Low expression : liver (PMID : 8806667, PMID : 12559962).

The expression profile/ molecular weight observed is consistent with what has been described in the literature (PMID : 16715077, PMID : 12559962, PMID : 25485759, PMID : 35508542).

The identity of the lower MW bands at approximately 180 kDa and 190 kDa (in lane 1) are unknown.

In Western blot, Anti-Vinculin antibody [EPR8185] (ab129002) staining at 1/10000 dilution.

This blot was developed using a high sensitivity ECL substrate. The high-sensitivity ECL substrate used allows for the detection of proteins in the mid-femtogram range.

All lanes:

Western blot - Anti-Plexin A1 antibody [EPR29121-94] (ab321805) at 1/1000 dilution

Lane 1:

Human hippocampus tissue lysate at 20 µg

Lane 2:

Human liver tissue lysate at 20 µg

Secondary

All lanes:

Goat Anti-Rabbit IgG (HRP) with minimal cross-reactivity with human IgG at 1/2000 dilution

Observed band size: 250 kDa,124 kDa

true

Exposure time: 180s

Western blot - Anti-Plexin A1 antibody [EPR29121-94] (AB321805)
  • WB

Supplier Data

Western blot - Anti-Plexin A1 antibody [EPR29121-94] (AB321805)

Blocking and diluting buffer and concentration : 5% NFDM/TBST.

Low expression : P815.

The expression profile/ molecular weight observed is consistent with what has been described in the literature (PMID : 16715077, PMID : 12559962, PMID : 25485759, PMID : 35508542).

In Western blot, Anti-Vinculin antibody [EPR8185] (ab129002) staining at 1/10000 dilution.

This blot was developed using a high sensitivity ECL substrate. The high-sensitivity ECL substrate used allows for the detection of proteins in the mid-femtogram range.

All lanes:

Western blot - Anti-Plexin A1 antibody [EPR29121-94] (ab321805) at 1/1000 dilution

Lane 1:

Neuro-2a (mouse neuroblastoma neuroblast) whole cell lysate at 50 µg

Lane 2:

NIH/3T3 (mouse embryonic fibroblast) whole cell lysate at 50 µg

Lane 3:

P815 (mouse mastocytoma mast cell) whole cell lysate at 50 µg

Secondary

All lanes:

Western blot - Goat Anti-Rabbit IgG H&L (HRP) (<a href='/products/secondary-antibodies/goat-rabbit-igg-h-l-hrp-ab97051'>ab97051</a>) at 1/100000 dilution

Observed band size: 250 kDa,124 kDa

true

Exposure time: 180s

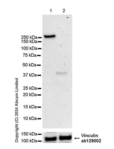
Western blot - Anti-Plexin A1 antibody [EPR29121-94] (AB321805)
  • WB

Supplier Data

Western blot - Anti-Plexin A1 antibody [EPR29121-94] (AB321805)

Blocking and diluting buffer and concentration : 5% NFDM/TBST.

Low expression : liver (PMID : 8806667, PMID : 12559962).

The expression profile/ molecular weight observed is consistent with what has been described in the literature (PMID : 16715077, PMID : 12559962, PMID : 25485759, PMID : 35508542).

To minimize protein degradation, tissues were lysed immediately after harvest and then applied to a gel and transfer membrane for Western blotting as soon as possible.

The identity of the lower MW band at approximately 37 kDa (in lane 2) is unknown.

In Western blot, Anti-Vinculin antibody [EPR8185] (ab129002) staining at 1/10000 dilution.

All lanes:

Western blot - Anti-Plexin A1 antibody [EPR29121-94] (ab321805) at 1/1000 dilution

Lane 1:

Mouse brain tissue lysate at 20 µg

Lane 2:

Mouse liver tissue lysate at 20 µg

Secondary

All lanes:

Western blot - Goat Anti-Rabbit IgG H&L (HRP) (<a href='/products/secondary-antibodies/goat-rabbit-igg-h-l-hrp-ab97051'>ab97051</a>) at 1/100000 dilution

Observed band size: 250 kDa,124 kDa

false

Exposure time: 180s

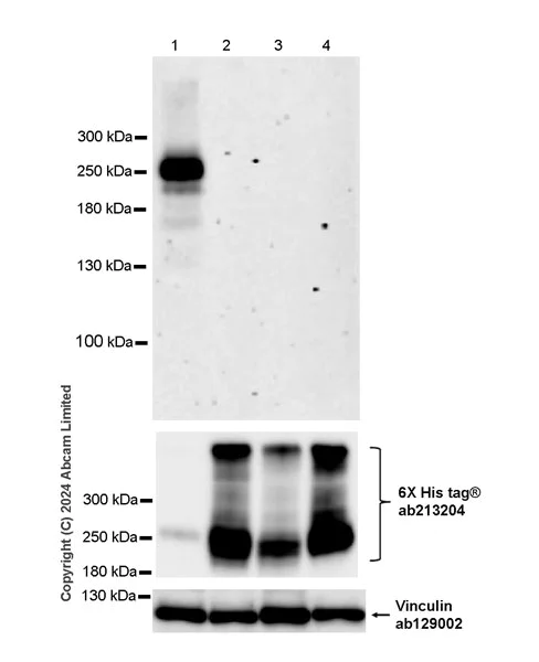
Western blot - Anti-Plexin A1 antibody [EPR29121-94] (AB321805)
  • WB

Supplier Data

Western blot - Anti-Plexin A1 antibody [EPR29121-94] (AB321805)

Blocking and diluting buffer and concentration : 5% NFDM/TBST.

This antibody does not cross-react with mouse PLXNA2, PLXNA3 and PLXNA4.

Samples are non-boiled as boiling may cause protein aggregation.

In Western blot, Anti-Vinculin antibody [EPR8185] (ab129002) staining at 1/10000 dilution.

In Western blot, Anti-6X His tag® antibody [EPR20547] - ChIP Grade (ab213204) staining at 1/5000 dilution.

All lanes:

Western blot - Anti-Plexin A1 antibody [EPR29121-94] (ab321805) at 1/1000 dilution

Lane 1:

293T cells transfected with a mouse PLXNA1 expression vector containing a myc-His-tag®, whole cell lysate at 20 µg

Lane 2:

293T cells transfected with a mouse PLXNA2 expression vector containing a myc-His-tag®, whole cell lysate at 20 µg

Lane 3:

293T cells transfected with a mouse PLXNA3 expression vector containing a myc-His-tag®, whole cell lysate at 20 µg

Lane 4:

293T cells transfected with a mouse PLXNA4 expression vector containing a myc-His-tag®, whole cell lysate at 20 µg

Secondary

All lanes:

Western blot - Goat Anti-Rabbit IgG H&L (HRP) (<a href='/products/secondary-antibodies/goat-rabbit-igg-h-l-hrp-ab97051'>ab97051</a>) at 1/100000 dilution

Observed band size: 250 kDa,124 kDa

false

Exposure time: 180s

Key facts

宿主種

Rabbit

クローン性

Monoclonal

クローン番号

EPR29121-94

アイソタイプ

IgG

キャリアフリー

No

交差種

Human, Mouse

アプリケーション

WB

applications

免疫原

The exact immunogen used to generate this antibody is proprietary information.

特異性

Unsuitable for WB in human cell lines.

Reactivity data

{ "title": "Reactivity Data", "filters": { "stats": ["", "Species", "Dilution Info", "Notes"], "tabs": { "all-applications": {"fullname" : "All Applications", "shortname": "All Applications"}, "WB" : {"fullname" : "Western blot", "shortname":"WB"}, "IHCFr" : {"fullname" : "Immunohistochemistry (Frozen sections)", "shortname":"IHC-Fr"}, "ICCIF" : {"fullname" : "Immunocytochemistry/ Immunofluorescence", "shortname":"ICC/IF"}, "IHCP" : {"fullname" : "Immunohistochemistry (Formalin/PFA-fixed paraffin-embedded sections)", "shortname":"IHC-P"} }, "product-promise": { "all": "all", "testedAndGuaranteed": "tested", "guaranteed": "expected", "predicted": "predicted", "notRecommended": "not-recommended" } }, "values": { "Human": { "WB-species-checked": "testedAndGuaranteed", "WB-species-dilution-info": "1/1000", "WB-species-notes": "<p></p>", "IHCFr-species-checked": "notRecommended", "IHCFr-species-dilution-info": "", "IHCFr-species-notes": "", "ICCIF-species-checked": "notRecommended", "ICCIF-species-dilution-info": "", "ICCIF-species-notes": "<p></p>", "IHCP-species-checked": "notRecommended", "IHCP-species-dilution-info": "", "IHCP-species-notes": "<p></p>" }, "Mouse": { "WB-species-checked": "testedAndGuaranteed", "WB-species-dilution-info": "1/1000", "WB-species-notes": "<p></p>", "IHCFr-species-checked": "notRecommended", "IHCFr-species-dilution-info": "", "IHCFr-species-notes": "<p></p>", "ICCIF-species-checked": "notRecommended", "ICCIF-species-dilution-info": "", "ICCIF-species-notes": "<p></p>", "IHCP-species-checked": "notRecommended", "IHCP-species-dilution-info": "", "IHCP-species-notes": "<p></p>" }, "Transfected cell lysate - Mouse": { "WB-species-checked": "testedAndGuaranteed", "WB-species-dilution-info": "1/1000", "WB-species-notes": "<p></p>", "IHCFr-species-checked": "notRecommended", "IHCFr-species-dilution-info": "", "IHCFr-species-notes": "", "ICCIF-species-checked": "notRecommended", "ICCIF-species-dilution-info": "", "ICCIF-species-notes": "", "IHCP-species-checked": "notRecommended", "IHCP-species-dilution-info": "", "IHCP-species-notes": "" } } }

製品の詳細

Patented technology
Our RabMAb® technology is a patented hybridoma-based technology for making rabbit monoclonal antibodies. For details on our patents, please refer to RabMAb® patents.

What are the advantages of a recombinant monoclonal antibody?
This product is a recombinant monoclonal antibody, which offers several advantages including:

  • - High batch-to-batch consistency and reproducibility
  • - Improved sensitivity and specificity
  • - Long-term security of supply
  • - Animal-free batch production

For more information, read more on recombinant antibodies.

出荷温度及び保存条件

製品の状態
Liquid
精製方法
Affinity purification Protein A
バッファー組成
pH: 7.2 - 7.4 Preservative: 0.01% Sodium azide Constituents: PBS, 40% Glycerol (glycerin, glycerine), 0.05% BSA
出荷温度
Blue Ice
短期保存期間
1-2 weeks
短期保存温度
+4°C
長期保存温度
-20°C
分注に関する情報
Upon delivery aliquot
保管に関する情報
Avoid freeze / thaw cycle

補足情報

This supplementary information is collated from multiple sources and compiled automatically.

Plexin A1 also known as PLXNA1 is a transmembrane protein that acts as a receptor for semaphorin proteins. It is involved in signaling pathways that guide cell migration and axonal growth. This protein has a molecular mass of around 220 kDa. Plexin A1 is expressed in several tissues including the nervous system where it plays a significant role in neural development. The expression levels can vary depending on the tissue type indicating its diverse functions across different biological contexts.
Biological function summary

Plexin A1 functions in neural patterning and the immune response. It is a part of semaphorin signaling complexes that include neuropilins and other plexins. These complexes are critical in translating extracellular cues into intracellular responses impacting cellular dynamics such as motility and adhesion. Plexin A1 also interacts with various intracellular signaling molecules influencing actin cytoskeleton reorganization which is essential for proper neural development.

Pathways

Plexin A1 participates in semaphorin signaling and cytoskeletal dynamics pathways. It interacts with Sema3A and Sema4D proteins which are key signaling semaphorins. These interactions regulate cellular movement by influencing the activity of downstream effectors like Rho and Rac GTPases. The involvement of Plexin A1 in these pathways is important for processes like axon guidance and neuronal connectivity.

Plexin A1 has association with cancer progression and neurodevelopmental disorders. Altered expression levels of Plexin A1 can lead to dysfunction in semaphorin-mediated signaling contributing to conditions such as autism spectrum disorders and tumor metastasis. The protein interacts with Met a receptor tyrosine kinase known to be involved in cancer linking Plexin A1 with oncogenic pathways and providing insights into its role in pathological conditions.

製品プロトコール

For this product, it's our understanding that no specific protocols are required. You can visit:

ターゲットの情報

Coreceptor for SEMA3A, SEMA3C, SEMA3F and SEMA6D. Necessary for signaling by class 3 semaphorins and subsequent remodeling of the cytoskeleton. Plays a role in axon guidance, invasive growth and cell migration. Class 3 semaphorins bind to a complex composed of a neuropilin and a plexin. The plexin modulates the affinity of the complex for specific semaphorins, and its cytoplasmic domain is required for the activation of down-stream signaling events in the cytoplasm. Acts as coreceptor of TREM2 for SEMA6D in dendritic cells and is involved in the generation of immune responses and skeletal homeostasis (PubMed : 16715077).
See full target information Plxna1

Abcam product promise

当社は、高品質な試薬を通じてお客様の研究を力強くサポートすることをお約束いたします。ご使用いただく各段階で、常にお客様をサポートできる体制を整えております。万が一、製品が期待通りに機能しない場合は、「Abcam Product Promise」による当社保証制度に基づき、安心してご利用いただけます。
保証に関する詳細については利用規約をご確認ください。

Please note: All products are 'FOR RESEARCH USE ONLY. NOT FOR USE IN DIAGNOSTIC OR THERAPEUTIC PROCEDURES'.

For licensing inquiries, please contact partnerships@abcam.com