JavaScript is disabled in your browser. Please enable JavaScript to view this website.
AB109441

Anti-Plakophilin 3 抗体 [EPR5560]

Anti-Plakophilin 3 antibody [EPR5560]

Be the first to review this product! Submit a review

|

(2 Publications)

Rabbit Recombinant Monoclonal Plakophilin 3 antibody. Suitable for IHC-P, WB and reacts with Human, Mouse, Rat samples. Cited in 2 publications.

別名を表示する

Plakophilin-3, PKP3

5 Images
Western blot - Anti-Plakophilin 3 antibody [EPR5560] (AB109441)
  • WB

Unknown

Western blot - Anti-Plakophilin 3 antibody [EPR5560] (AB109441)

False colour image of Western blot : Anti-Plakophilin 3 antibody [EPR5560] staining at 1/10000 dilution, shown in green; Mouse anti-GAPDH antibody [6C5] (ab8245) loading control staining at 1/20000 dilution, shown in red. In Western blot, ab109441 was shown to bind specifically to Plakophilin 3. A band was observed at 70 and 80 kDa in wild-type HeLa cell lysates with no signal observed at this size in PKP3 CRISPR-Cas9 edited cell line ab265539 (CRISPR-Cas9 edited cell lysate ab258120). The band observed in the CRISPR-Cas9 edited lysate lane below 70 and 80 kDa is likely to represent a truncated form of Plakophilin 3. This has not been investigated further and the functional properties of the gene product have not been determined. To generate this image, wild-type and PKP3 CRISPR-Cas9 edited HeLa cell lysates were analysed. First, samples were run on an SDS-PAGE gel then transferred onto a nitrocellulose membrane. Membranes were blocked in 3 % milk in TBS-0.1 % Tween® 20 (TBS-T) before incubation with primary antibodies overnight at 4 °C. Blots were washed four times in TBS-T, incubated with secondary antibodies for 1 h at room temperature, washed again four times then imaged.Secondary antibodies used were Goat anti-Rabbit IgG H&L (IRDye® 800CW) preabsorbed (ab216773) and Goat anti-Mouse IgG H&L (IRDye® 680RD) preabsorbed (ab216776) at 1/20000 dilution.

All lanes:

Western blot - Anti-Plakophilin 3 antibody [EPR5560] (ab109441) at 1/10000 dilution

Lane 1:

Wild-type HeLa cell lysate at 20 µg

Lane 2:

PKP3 CRISPR-Cas9 edited HeLa cell lysate at 20 µg

Lane 2:

Western blot - Human PKP3 (Plakophilin 3) knockout HeLa cell lysate (ab258120)

Lane 2:

Western blot - Human PKP3 (Plakophilin 3) knockout HeLa cell line (ab265539)

Lane 3:

A431 cell lysate at 20 µg

Lane 4:

Jurkat cell lysate at 20 µg

Predicted band size: 87 kDa

Observed band size: 70 kDa,80 kDa

false

Western blot - Anti-Plakophilin 3 antibody [EPR5560] (AB109441)
  • WB

Unknown

Western blot - Anti-Plakophilin 3 antibody [EPR5560] (AB109441)

All lanes:

Western blot - Anti-Plakophilin 3 antibody [EPR5560] (ab109441) at 1/10000 dilution

Lane 1:

Caco-2 cell lysate at 10 µg

Lane 2:

HACAT cell lysate at 10 µg

Predicted band size: 87 kDa

Observed band size: 87 kDa

false

Immunohistochemistry (Formalin/PFA-fixed paraffin-embedded sections) - Anti-Plakophilin 3 antibody [EPR5560] (AB109441)
  • IHC-P

Unknown

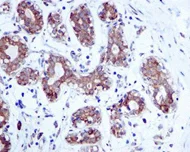
Immunohistochemistry (Formalin/PFA-fixed paraffin-embedded sections) - Anti-Plakophilin 3 antibody [EPR5560] (AB109441)

ab109441 at 1/100 dilution staining Human paraffin-embedded breast tissue.

Perform heat mediated antigen retrieval via the pressure cooker method before commencing with IHC staining protocol.

Immunohistochemistry (Formalin/PFA-fixed paraffin-embedded sections) - Anti-Plakophilin 3 antibody [EPR5560] (AB109441)
  • IHC-P

Unknown

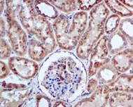
Immunohistochemistry (Formalin/PFA-fixed paraffin-embedded sections) - Anti-Plakophilin 3 antibody [EPR5560] (AB109441)

ab109441 at 1/100 dilution staining paraffin-embedded Human kidney tissue.

Perform heat mediated antigen retrieval via the pressure cooker method before commencing with IHC staining protocol.

OI-RD Scanning - Anti-Plakophilin 3 antibody [EPR5560] (AB109441)
  • OI-RD Scanning

Unknown

OI-RD Scanning - Anti-Plakophilin 3 antibody [EPR5560] (AB109441)

We have systematically measured KD (the equilibrium dissociation constant between the antibody and its antigen), of more than 840 recombinant antibodies to assess not only their individual KD values but also to see the average affinity of antibody. Based on the comparison with published literature values for mouse monoclonal antibodies, Recombinant antibodies appear to be on average 1-2 order of magnitude higher affinity.

関連する標識済み抗体及び組成の異なる製品 (1)

  • Carrier free

    Anti-Plakophilin 3 antibody [EPR5560] - BSA and Azide free

Key facts

宿主種

Rabbit

クローン性

Monoclonal

クローン番号

EPR5560

アイソタイプ

IgG

キャリアフリー

No

交差種

Human

アプリケーション

WB, IHC-P

applications

免疫原

The exact immunogen used to generate this antibody is proprietary information.

Reactivity data

{ "title": "Reactivity Data", "filters": { "stats": ["", "Species", "Dilution Info", "Notes"], "tabs": { "all-applications": {"fullname" : "All Applications", "shortname": "All Applications"}, "IHCP" : {"fullname" : "Immunohistochemistry (Formalin/PFA-fixed paraffin-embedded sections)", "shortname":"IHC-P"}, "ICCIF" : {"fullname" : "Immunocytochemistry/ Immunofluorescence", "shortname":"ICC/IF"}, "IP" : {"fullname" : "Immunoprecipitation", "shortname":"IP"}, "FlowCyt" : {"fullname" : "Flow Cytometry", "shortname":"Flow Cyt"}, "WB" : {"fullname" : "Western blot", "shortname":"WB"} }, "product-promise": { "all": "all", "testedAndGuaranteed": "tested", "guaranteed": "expected", "predicted": "predicted", "notRecommended": "not-recommended" } }, "values": { "Human": { "IHCP-species-checked": "testedAndGuaranteed", "IHCP-species-dilution-info": "1/100 - 1/250", "IHCP-species-notes": "<p></p> Perform heat-mediated antigen retrieval via the pressure cooker method before commencing with IHC staining protocol.", "ICCIF-species-checked": "notRecommended", "ICCIF-species-dilution-info": "", "ICCIF-species-notes": "<p></p>", "IP-species-checked": "notRecommended", "IP-species-dilution-info": "", "IP-species-notes": "<p></p>", "FlowCyt-species-checked": "notRecommended", "FlowCyt-species-dilution-info": "", "FlowCyt-species-notes": "<p></p>", "WB-species-checked": "testedAndGuaranteed", "WB-species-dilution-info": "1/10000 - 1/50000", "WB-species-notes": "<p></p>" }, "Mouse": { "IHCP-species-checked": "predicted", "IHCP-species-dilution-info": "", "IHCP-species-notes": "", "ICCIF-species-checked": "notRecommended", "ICCIF-species-dilution-info": "", "ICCIF-species-notes": "", "IP-species-checked": "notRecommended", "IP-species-dilution-info": "", "IP-species-notes": "", "FlowCyt-species-checked": "notRecommended", "FlowCyt-species-dilution-info": "", "FlowCyt-species-notes": "", "WB-species-checked": "guaranteed", "WB-species-dilution-info": "", "WB-species-notes": "<p></p>" }, "Rat": { "IHCP-species-checked": "predicted", "IHCP-species-dilution-info": "", "IHCP-species-notes": "", "ICCIF-species-checked": "notRecommended", "ICCIF-species-dilution-info": "", "ICCIF-species-notes": "", "IP-species-checked": "notRecommended", "IP-species-dilution-info": "", "IP-species-notes": "", "FlowCyt-species-checked": "notRecommended", "FlowCyt-species-dilution-info": "", "FlowCyt-species-notes": "", "WB-species-checked": "guaranteed", "WB-species-dilution-info": "", "WB-species-notes": "<p></p>" } } }

製品の詳細

出荷温度及び保存条件

製品の状態
Liquid
精製方法
Affinity purification Protein A
バッファー組成
pH: 7.2 - 7.4 Preservative: 0.05% Sodium azide Constituents: 50% Tissue culture supernatant, 40% Glycerol (glycerin, glycerine), 9.85% Tris glycine, 0.1% BSA
出荷温度
Blue Ice
短期保存温度
+4°C
長期保存温度
-20°C
保管に関する情報
Stable for 12 months at -20°C

補足情報

This supplementary information is collated from multiple sources and compiled automatically.

Plakophilin 3 often referred to as PKP3 is a member of the Armadillo family of proteins. PKP3 is a desmosomal plaque protein with a known molecular mass of approximately 84 kDa. It localizes primarily to desmosomes and the nucleus where it contributes to cell-cell adhesion. PKP3 is commonly expressed in epithelial tissues where it helps maintain the structural integrity of epithelial sheets by binding to desmosomal cadherins.
Biological function summary

Plakophilin 3 plays a vital role in stabilizing junctional complexes by anchoring desmosomal components to the cytoskeleton. It usually forms a part of the desmosome a cellular structure composed of desmogleins desmocollins and plakoglobin. Through these interactions PKP3 contributes to the robust mechanical strength of tissue architecture and participates in signaling pathways that regulate cell proliferation and differentiation.

Pathways

Plakophilin 3 integrates into desmosome-related signaling pathways notably the intercellular adhesion pathways and the Wnt signaling pathway. PKP3 associates with proteins such as plakoglobin and β-catenin which are also involved in Wnt signaling influencing cell-cell contact and transcriptional regulation. These pathways are important for maintaining the balance between cell adhesion and cellular signaling ensuring appropriate responses to developmental and environmental cues.

Plakophilin 3 shows a connection to certain forms of cancer including prostate cancer and squamous cell carcinoma. PKP3 expression levels have an association with tumor progression and metastasis. In prostate cancer for instance altered expression of desmosomal components such as PKP3 can influence cancer cell adhesion and mobility. PKP3 interacts with proteins like E-cadherin in these pathological states which can affect adhesion properties and promote malignancy.

製品プロトコール

For this product, it's our understanding that no specific protocols are required. You can visit:

ターゲットの情報

A component of desmosome cell-cell junctions which are required for positive regulation of cellular adhesion (PubMed : 24124604). Required for the localization of DSG2, DSP and PKP2 to mature desmosome junctions (PubMed : 20859650). May also play a role in the maintenance of DSG3 protein abundance in keratinocytes (By similarity). Required for the formation of DSP-containing desmosome precursors in the cytoplasm during desmosome assembly (PubMed : 25208567). Also regulates the accumulation of CDH1 to mature desmosome junctions, via cAMP-dependent signaling and its interaction with activated RAP1A (PubMed : 25208567). Positively regulates the stabilization of PKP2 mRNA and therefore protein abundance, via its interaction with FXR1, may also regulate the protein abundance of DSP via the same mechanism (PubMed : 25225333). May also regulate the protein abundance of the desmosome component PKP1 (By similarity). Required for the organization of desmosome junctions at intercellular borders between basal keratinocytes of the epidermis, as a result plays a role in maintenance of the dermal barrier and regulation of the dermal inflammatory response (By similarity). Required during epidermal keratinocyte differentiation for cell adherence at tricellular cell-cell contacts, via regulation of the timely formation of adherens junctions and desmosomes in a calcium-dependent manner, and may also play a role in the organization of the intracellular actin fiber belt (By similarity). Acts as a negative regulator of the inflammatory response in hematopoietic cells of the skin and intestine, via modulation of proinflammatory cytokine production (By similarity). Important for epithelial barrier maintenance in the intestine to reduce intestinal permeability, thereby plays a role in protection from intestinal-derived endotoxemia (By similarity). Required for the development of hair follicles, via a role in the regulation of inner root sheaf length, correct alignment and anterior-posterior polarity of hair follicles (By similarity). Promotes proliferation and cell-cycle G1/S phase transition of keratinocytes (By similarity). Promotes E2F1-driven transcription of G1/S phase promoting genes by acting to release E2F1 from its inhibitory interaction with RB1, via sequestering RB1 and CDKN1A to the cytoplasm and thereby increasing CDK4- and CDK6-driven phosphorylation of RB1 (By similarity). May act as a scaffold protein to facilitate MAPK phosphorylation of RPS6KA protein family members and subsequently promote downstream EGFR signaling (By similarity). May play a role in the positive regulation of transcription of Wnt-mediated TCF-responsive target genes (PubMed : 34058472).
See full target information PKP3

文献 (2)

Recent publications for all applications. Explore the full list and refine your search

Biochemical and biophysical research communications 586:14-19 PubMed34823217

2021

Plakophilin3 loss leads to increased adenoma formation and rectal prolapse in APC mice.

Applications

Unspecified application

Species

Unspecified reactive species

Rahul Raghavan,Navami Koyande,Rohit Beher,Neha Chetlangia,Mukda Ramadwar,Shital Pawade,Rahul Thorat,Jolanda van Hengel,Tetyana Sklyarova,Frans van Roy,Sorab N Dalal

The American journal of pathology 185:3274-89 PubMed26485505

2015

Mice with Hepatic Loss of the Desmosomal Protein γ-Catenin Are Prone to Cholestatic Injury and Chemical Carcinogenesis.

Applications

Unspecified application

Species

Unspecified reactive species

Lili Zhou,Tirthadipa Pradhan-Sundd,Minakshi Poddar,Sucha Singh,Alex Kikuchi,Donna B Stolz,Weinian Shou,Zongfang Li,Kari N Nejak-Bowen,Satdarshan P Monga
View all publications

Abcam product promise

当社は、高品質な試薬を通じてお客様の研究を力強くサポートすることをお約束いたします。ご使用いただく各段階で、常にお客様をサポートできる体制を整えております。万が一、製品が期待通りに機能しない場合は、「Abcam Product Promise」による当社保証制度に基づき、安心してご利用いただけます。
保証に関する詳細については利用規約をご確認ください。

関連製品

Select an associated product type
Alternative Product
Primary Antibodies

AB151401

Anti-Plakophilin 3 antibody [7F6]

primary-antibodies

plakophilin-3-antibody-7f6-ab151401

0

(0 reviews)

Please note: All products are 'FOR RESEARCH USE ONLY. NOT FOR USE IN DIAGNOSTIC OR THERAPEUTIC PROCEDURES'.

For licensing inquiries, please contact partnerships@abcam.com