JavaScript is disabled in your browser. Please enable JavaScript to view this website.
AB181119

Anti-PKC (phospho S729) 抗体 [EPR1483(N)]

Anti-PKC (phospho S729) antibody [EPR1483(N)]

4

(3 Reviews)

|

(2 Publications)

Rabbit Recombinant Monoclonal KPCE phospho S729 antibody. Suitable for Dot, WB and reacts with Synthetic peptide - Human, Human, Recombinant full length protein - Human samples. Cited in 2 publications.

別名を表示する

PKCE, PRKCE, Protein kinase C epsilon type, nPKC-epsilon

4 Images
Western blot - Anti-PKC (phospho S729) antibody [EPR1483(N)] (AB181119)
  • WB

Supplier Data

Western blot - Anti-PKC (phospho S729) antibody [EPR1483(N)] (AB181119)

All lanes:

Western blot - Anti-PKC (phospho S729) antibody [EPR1483(N)] (ab181119) at 1/2000 dilution

Lane 1:

Lysate of SH-SY5Y cells treated with Okadaic Acid and Calyculin A at 10 µg

Lane 2:

Lysate of SH-SY5Y cells at 10 µg

Secondary

All lanes:

Goat Anti-Rabbit IgG, (H+L), Peroxidase conjugated antibody at 1/1000 dilution

Predicted band size: 77 kDa

false

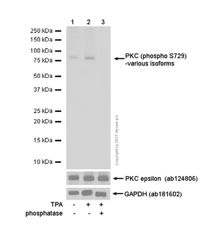
Western blot - Anti-PKC (phospho S729) antibody [EPR1483(N)] (AB181119)
  • WB

Unknown

Western blot - Anti-PKC (phospho S729) antibody [EPR1483(N)] (AB181119)

Blocking/dilution buffer : 5% NFDM/TSBT

All lanes:

Western blot - Anti-PKC (phospho S729) antibody [EPR1483(N)] (ab181119) at 1/2000 dilution

Lane 1:

THP-1 (human monocytic leukemia cell line) whole cell lysate at 15 µg

Lane 2:

THP-1 whole cell lysate treated with Phorbol-12-myristate-13-acetate at 100ng/ml for 24 hours at 15 µg

Lane 3:

THP-1 whole cell lysate treated with Phorbol-12-myristate-13-acetate at 100ng/ml for 24 hours. Then the membrane was incubated with phosphatase at 15 µg

Secondary

All lanes:

Western blot - Goat Anti-Rabbit IgG H&L (HRP) (<a href='/products/secondary-antibodies/goat-rabbit-igg-h-l-hrp-ab97051'>ab97051</a>) at 1/20000 dilution

Predicted band size: 63 kDa,77 kDa

Observed band size: 84 kDa

false

Exposure time: 3s

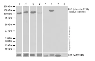
Western blot - Anti-PKC (phospho S729) antibody [EPR1483(N)] (AB181119)
  • WB

Unknown

Western blot - Anti-PKC (phospho S729) antibody [EPR1483(N)] (AB181119)

Blocking/dilution buffer : 5% NFDM/TBST

Exposure time :

Lanes 1, 3, 5-8 : 10 seconds

Lanes 2, 4 : 3 minutes

All lanes:

Western blot - Anti-PKC (phospho S729) antibody [EPR1483(N)] (ab181119) at 1/1000 dilution

Lane 1:

Active human PKC alpha full length protein (<a href='/products/proteins-peptides/recombinant-human-pkc-alpha-protein-active-ab55672'>ab55672</a>) contains aa1-672 with GST-tag at 0.02 µg

Lane 2:

Active human PKC beta 1 full length protein (<a href='/products/proteins-peptides/recombinant-human-pkc-beta-1-protein-ab60840'>ab60840</a>) contains aa1-671 with GST-tag at 0.06 µg

Lane 3:

Active human PKC beta 2 full length protein (<a href='/products/proteins-peptides/recombinant-human-pkc-beta-2-protein-ab60841'>ab60841</a>) contains aa1-673 with GST-tag at 0.02 µg

Lane 4:

Active human PKC delta full length protein (<a href='/products/proteins-peptides/recombinant-human-pkc-delta-protein-ab60844'>ab60844</a>) contains aa1-676 with GST-tag at 0.06 µg

Lane 5:

Active human PKC eta full length protein (<a href='/products/proteins-peptides/recombinant-human-pkc-eta-protein-ab60849'>ab60849</a>) contains aa1-683 with GST-tag at 0.02 µg

Lane 6:

Active human PKC epsilon full length protein (<a href='/products/proteins-peptides/recombinant-human-pkc-epsilon-protein-ab60847'>ab60847</a>) contains aa1-737 with GST-tag at 0.02 µg

Lane 7:

Active human PKC theta full length protein (<a href='/products/proteins-peptides/recombinant-human-pkc-theta-prkcq-protein-ab56641'>ab56641</a>) contains aa1-706 with GST-tag at 0.02 µg

Lane 8:

Active human PKC mu full length protein (<a href='/products/proteins-peptides/recombinant-human-pkc-mu-pkd-protein-ab60873'>ab60873</a>) contains aa1-912 with GST-tag at 0.02 µg

Secondary

All lanes:

Western blot - Goat Anti-Rabbit IgG H&L (HRP) (<a href='/products/secondary-antibodies/goat-rabbit-igg-h-l-hrp-ab97051'>ab97051</a>) at 1/20000 dilution

Predicted band size: 77 kDa

Observed band size: 100-150 kDa

false

Dot Blot - Anti-PKC (phospho S729) antibody [EPR1483(N)] (AB181119)
  • Dot

Unknown

Dot Blot - Anti-PKC (phospho S729) antibody [EPR1483(N)] (AB181119)

Dot blot analysis of PKC epsilon (pS729) phospho peptide (Lane 1) PKC epsilon non-phospho peptide (Lane 2) labelling PKC (pS729) with purified ab181119 at a dilution of 1/1000. ab97051 (Peroxidase conjugated goat anti-rabbit IgG (H+L)) was used as the secondary antibody at a dilution of 1/100000.

Blocking and dilution buffer : 5% NFDM/TBST.

Exposure time : 3 minutes.

関連する標識済み抗体及び組成の異なる製品 (1)

  • Carrier free

    Anti-PKC (phospho S729) antibody [EPR1483(N)] - BSA and Azide free

Key facts

宿主種

Rabbit

クローン性

Monoclonal

クローン番号

EPR1483(N)

アイソタイプ

IgG

キャリアフリー

No

交差種

Human

アプリケーション

Dot, WB

applications

免疫原

The exact immunogen used to generate this antibody is proprietary information.

特異性

This antibody cross-reacts with several isoforms of PKC.

Reactivity data

{ "title": "Reactivity Data", "filters": { "stats": ["", "Species", "Dilution Info", "Notes"], "tabs": { "all-applications": {"fullname" : "All Applications", "shortname": "All Applications"}, "Dot" : {"fullname" : "Dot Blot", "shortname":"Dot"}, "WB" : {"fullname" : "Western blot", "shortname":"WB"} }, "product-promise": { "all": "all", "testedAndGuaranteed": "tested", "guaranteed": "expected", "predicted": "predicted", "notRecommended": "not-recommended" } }, "values": { "Human": { "Dot-species-checked": "guaranteed", "Dot-species-dilution-info": "", "Dot-species-notes": "", "WB-species-checked": "testedAndGuaranteed", "WB-species-dilution-info": "1/1000 - 1/2000", "WB-species-notes": "<p></p>" }, "Rat": { "Dot-species-checked": "predicted", "Dot-species-dilution-info": "", "Dot-species-notes": "", "WB-species-checked": "predicted", "WB-species-dilution-info": "", "WB-species-notes": "" }, "Recombinant full length protein - Human": { "Dot-species-checked": "notRecommended", "Dot-species-dilution-info": "", "Dot-species-notes": "", "WB-species-checked": "testedAndGuaranteed", "WB-species-dilution-info": "", "WB-species-notes": "<p></p>" }, "Synthetic peptide - Human": { "Dot-species-checked": "testedAndGuaranteed", "Dot-species-dilution-info": "1/1000", "Dot-species-notes": "<p></p>", "WB-species-checked": "notRecommended", "WB-species-dilution-info": "", "WB-species-notes": "" } } }

製品の詳細

Patented technology
Our RabMAb® technology is a patented hybridoma-based technology for making rabbit monoclonal antibodies. For details on our patents, please refer to RabMAb® patents.

What are the advantages of a recombinant monoclonal antibody?
This product is a recombinant monoclonal antibody, which offers several advantages including:

  • - High batch-to-batch consistency and reproducibility
  • - Improved sensitivity and specificity
  • - Long-term security of supply
  • - Animal-free batch production

For more information, read more on recombinant antibodies.

出荷温度及び保存条件

製品の状態
Liquid
精製度
Tissue culture supernatant
バッファー組成
Preservative: 0.01% Sodium azide Constituents: PBS, 40% Glycerol (glycerin, glycerine), 0.05% BSA
出荷温度
Blue Ice
短期保存期間
1-2 weeks
短期保存温度
+4°C
長期保存温度
-20°C
分注に関する情報
Upon delivery aliquot
保管に関する情報
Avoid freeze / thaw cycle

補足情報

This supplementary information is collated from multiple sources and compiled automatically.

Protein kinase C (PKC) comprises a family of serine/threonine kinases with several isoforms such as PKC alpha beta and gamma among others. PKC enzymes play key roles in intracellular signaling particularly in mediating responses to growth factors hormones and other signals. PKC exhibits a molecular weight generally ranging around 77 to 97 kDa depending on the isoform. These enzymes show expression in many tissues but have high concentrations in the brain heart and lung. PKC activation often involves translocation to cellular membranes which is important for their signaling roles.
Biological function summary

PKC influences various cellular processes such as cell proliferation differentiation apoptosis and immune responses. It acts within larger protein complexes serving as a modulator of cellular functions. The activation of PKC leads to its association with different scaffolding proteins impacting a wide array of cell activities. PKC notably affects the function of other kinases and transcription factors demonstrating its integral role in managing cellular behavior and homeostasis.

Pathways

PKC participates in the phosphoinositide signaling pathway and the mitogen-activated protein kinase (MAPK) pathway. In these contexts PKC activation impacts proteins like Ras and Raf kinases which play roles in cellular growth and differentiation. By modulating these pathways PKC becomes an important component in signal transduction cascades influencing cell fate decisions. Understanding the interaction between PKC and these pathways helps in elucidating its role in maintaining normal cellular activities and responses to external stimuli.

PKC is linked to cancer and cardiovascular diseases. In cancer dysregulation of PKC activity often contributes to tumor growth and progression by altering pathways that control cell division and survival. PKC abnormally interacts with proteins like Bcl-2 promoting cell survival. In cardiovascular diseases changes in PKC signaling can impact heart function contributing to conditions like heart failure through interactions with proteins such as troponin. Research on PKC and these diseases can provide insights into developing targeted therapies.

製品プロトコール

For this product, it's our understanding that no specific protocols are required. You can visit:

ターゲットの情報

Calcium-independent, phospholipid- and diacylglycerol (DAG)-dependent serine/threonine-protein kinase that plays essential roles in the regulation of multiple cellular processes linked to cytoskeletal proteins, such as cell adhesion, motility, migration and cell cycle, functions in neuron growth and ion channel regulation, and is involved in immune response, cancer cell invasion and regulation of apoptosis. Mediates cell adhesion to the extracellular matrix via integrin-dependent signaling, by mediating angiotensin-2-induced activation of integrin beta-1 (ITGB1) in cardiac fibroblasts. Phosphorylates MARCKS, which phosphorylates and activates PTK2/FAK, leading to the spread of cardiomyocytes. Involved in the control of the directional transport of ITGB1 in mesenchymal cells by phosphorylating vimentin (VIM), an intermediate filament (IF) protein. In epithelial cells, associates with and phosphorylates keratin-8 (KRT8), which induces targeting of desmoplakin at desmosomes and regulates cell-cell contact. Phosphorylates IQGAP1, which binds to CDC42, mediating epithelial cell-cell detachment prior to migration. In HeLa cells, contributes to hepatocyte growth factor (HGF)-induced cell migration, and in human corneal epithelial cells, plays a critical role in wound healing after activation by HGF. During cytokinesis, forms a complex with YWHAB, which is crucial for daughter cell separation, and facilitates abscission by a mechanism which may implicate the regulation of RHOA. In cardiac myocytes, regulates myofilament function and excitation coupling at the Z-lines, where it is indirectly associated with F-actin via interaction with COPB1. During endothelin-induced cardiomyocyte hypertrophy, mediates activation of PTK2/FAK, which is critical for cardiomyocyte survival and regulation of sarcomere length. Plays a role in the pathogenesis of dilated cardiomyopathy via persistent phosphorylation of troponin I (TNNI3). Involved in nerve growth factor (NFG)-induced neurite outgrowth and neuron morphological change independently of its kinase activity, by inhibition of RHOA pathway, activation of CDC42 and cytoskeletal rearrangement. May be involved in presynaptic facilitation by mediating phorbol ester-induced synaptic potentiation. Phosphorylates gamma-aminobutyric acid receptor subunit gamma-2 (GABRG2), which reduces the response of GABA receptors to ethanol and benzodiazepines and may mediate acute tolerance to the intoxicating effects of ethanol. Upon PMA treatment, phosphorylates the capsaicin- and heat-activated cation channel TRPV1, which is required for bradykinin-induced sensitization of the heat response in nociceptive neurons. Is able to form a complex with PDLIM5 and N-type calcium channel, and may enhance channel activities and potentiates fast synaptic transmission by phosphorylating the pore-forming alpha subunit CACNA1B (CaV2.2). In prostate cancer cells, interacts with and phosphorylates STAT3, which increases DNA-binding and transcriptional activity of STAT3 and seems to be essential for prostate cancer cell invasion. Downstream of TLR4, plays an important role in the lipopolysaccharide (LPS)-induced immune response by phosphorylating and activating TICAM2/TRAM, which in turn activates the transcription factor IRF3 and subsequent cytokines production. In differentiating erythroid progenitors, is regulated by EPO and controls the protection against the TNFSF10/TRAIL-mediated apoptosis, via BCL2. May be involved in the regulation of the insulin-induced phosphorylation and activation of AKT1. Phosphorylates NLRP5/MATER and may thereby modulate AKT pathway activation in cumulus cells (PubMed : 19542546). Phosphorylates and activates LRRK1, which phosphorylates RAB proteins involved in intracellular trafficking (PubMed : 36040231).
See full target information PRKCE phospho S729

文献 (2)

Recent publications for all applications. Explore the full list and refine your search

Communications biology 8:829 PubMed40442479

2025

RBAP48 facilitates the oral squamous cell carcinoma process in an androgen receptor-dependent and independent manners.

Applications

Unspecified application

Species

Unspecified reactive species

Xue Wang,Guangqi Yan,Hao Li,Chunyu Wang,Ye Kang,Shengli Wang,Wei Liu,Lin Lin,Renlong Zou,Kai Zeng,Manlin Wang,Ruina Luan,Baosheng Zhou,Yu Bai,Dongjun Yang,Bolin Ning,Ge Sun,Yue Zhao

American journal of physiology. Renal physiology 318:F457-F467 PubMed31760768

2019

Nitro-oleic acid inhibits the high glucose-induced epithelial-mesenchymal transition in peritoneal mesothelial cells and attenuates peritoneal fibrosis.

Applications

Unspecified application

Species

Unspecified reactive species

Wenyan Su,Haiping Wang,ZiYan Feng,Jing Sun
View all publications

Abcam product promise

当社は、高品質な試薬を通じてお客様の研究を力強くサポートすることをお約束いたします。ご使用いただく各段階で、常にお客様をサポートできる体制を整えております。万が一、製品が期待通りに機能しない場合は、「Abcam Product Promise」による当社保証制度に基づき、安心してご利用いただけます。
保証に関する詳細については利用規約をご確認ください。

Please note: All products are 'FOR RESEARCH USE ONLY. NOT FOR USE IN DIAGNOSTIC OR THERAPEUTIC PROCEDURES'.

For licensing inquiries, please contact partnerships@abcam.com