JavaScript is disabled in your browser. Please enable JavaScript to view this website.
AB5796

Anti-PKC gamma (phospho T655) 抗体

Anti-PKC gamma (phospho T655) antibody

Be the first to review this product! Submit a review

|

(4 Publications)

Rabbit Polyclonal KPCG phospho T655 antibody. Suitable for WB, IHC-P and reacts with Human, Mouse samples. Cited in 4 publications. Immunogen corresponding to Synthetic Peptide within Human PRKCG phospho T655.

別名を表示する

PKCG, PRKCG, Protein kinase C gamma type, PKC-gamma

3 Images
Immunohistochemistry (Formalin/PFA-fixed paraffin-embedded sections) - Anti-PKC gamma (phospho T655) antibody (AB5796)
  • IHC-P

Supplier Data

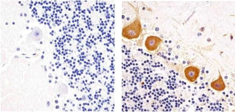
Immunohistochemistry (Formalin/PFA-fixed paraffin-embedded sections) - Anti-PKC gamma (phospho T655) antibody (AB5796)

Paraffin embedded human cerebellum tissue (right) stained for PKC gamma using ab5796 at 1/20 dilution in immunohistochemical analysis. Negative control without primary antibody (left).

Immunohistochemistry (Formalin/PFA-fixed paraffin-embedded sections) - Anti-PKC gamma (phospho T655) antibody (AB5796)
  • IHC-P

Supplier Data

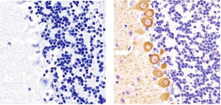
Immunohistochemistry (Formalin/PFA-fixed paraffin-embedded sections) - Anti-PKC gamma (phospho T655) antibody (AB5796)

Paraffin embedded mouse cerebellum tissue (right) stained for PKC gamma using ab5796 at 1/100 dilution in immunohistochemical analysis. Negative control without primary antibody (left).

Western blot - Anti-PKC gamma (phospho T655) antibody (AB5796)
  • WB

Unknown

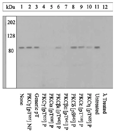
Western blot - Anti-PKC gamma (phospho T655) antibody (AB5796)

Peptide Competition and Phosphatase treatment : Lysates prepared from HeLa cells stimulated with PMA were resolved by SDS-PAGE on a 10% polyacrylamide gel and transferred to PVDF. Membranes were either left untreated (1-11) or treated with lambda (ë) phosphatase (12), blocked with a 3% low-fat milk-TBST buffer overnight at 4°C, and incubated with 0.50 μg/mL ab5796 antibody for two hours at room temperature in a 3% BSA TBST buffer, following prior incubation with : no peptide (1, 11, 12), the non-phosphopeptide corresponding to the immunogen (2), a generic phosphothreonine containing peptide (3), the phosphopeptide immunogen (4), or, the phosphopeptide corresponding to the immunogen from other PKC isoforms (5-10). After washing, membranes were incubated with goat F(ab’)2 anti-rabbit IgG alkaline phosphatase and signals were detected using the Tropix WesternStarTM method. The data show that the peptide corresponding to PKC gamma [pT655] blocks the an

All lanes:

Western blot - Anti-PKC gamma (phospho T655) antibody (ab5796)

Predicted band size: 78 kDa

false

Key facts

宿主種

Rabbit

クローン性

Polyclonal

アイソタイプ

IgG

キャリアフリー

No

交差種

Human, Mouse

アプリケーション

IHC-P, WB

applications

免疫原

Synthetic Peptide within Human PRKCG phospho T655. The exact immunogen used to generate this antibody is proprietary information.

P05129

特異性

PKC alpha (69%) and beta 2 (62%) may cross-react in cells expressing high levels of these proteins.

Reactivity data

{ "title": "Reactivity Data", "filters": { "stats": ["", "Species", "Dilution Info", "Notes"], "tabs": { "all-applications": {"fullname" : "All Applications", "shortname": "All Applications"}, "WB" : {"fullname" : "Western blot", "shortname":"WB"}, "IHCP" : {"fullname" : "Immunohistochemistry (Formalin/PFA-fixed paraffin-embedded sections)", "shortname":"IHC-P"} }, "product-promise": { "all": "all", "testedAndGuaranteed": "tested", "guaranteed": "expected", "predicted": "predicted", "notRecommended": "not-recommended" } }, "values": { "Human": { "WB-species-checked": "testedAndGuaranteed", "WB-species-dilution-info": "0.5-1 µg/mL", "WB-species-notes": "<p></p>", "IHCP-species-checked": "guaranteed", "IHCP-species-dilution-info": "", "IHCP-species-notes": "" }, "Mouse": { "WB-species-checked": "guaranteed", "WB-species-dilution-info": "", "WB-species-notes": "", "IHCP-species-checked": "testedAndGuaranteed", "IHCP-species-dilution-info": "1/10 - 1/50", "IHCP-species-notes": "<p></p>" }, "Rat": { "WB-species-checked": "predicted", "WB-species-dilution-info": "", "WB-species-notes": "", "IHCP-species-checked": "predicted", "IHCP-species-dilution-info": "", "IHCP-species-notes": "" } } }

製品の詳細

PKC gamma is an 80 kDa member of the conventional group (cPKCs: sensitive to calcium, diacylglycerol and phorbol esters) of the PKC family of serine/threonine family kinases that are involved in a wide range of physiological processes including mitogenesis, cell survival and transcriptional regulation. PKC gamma plays a key role in neuronal signal transduction and is translocated from the nucleus to the cytoplasm upon activation by phorbol ester, where in epithelial cells it has been implicated in regulating intracellular communication. The activation loop threonine (threonine 514 in PKC gamma) of conventional PKCs is phosphorylated by phosphoinositide-dependent kinase-1 (PDK1), which is necessary for their autophosphorylation, a critical step in the generation of a catalytically mature enzyme. Threonine 655 is an autophosphorylation site in the carboxy-terminus of PKC gamma.

出荷温度及び保存条件

製品の状態
Liquid
精製方法
Affinity purification Immunogen
精製に関する特記事項
The antibody has been negatively preadsorbed using a non-phosphopeptide corresponding to the site of phosphorylation to remove antibody that is reactive with non-phosphorylated PKC gamma. The final product is generated by affinity chromatography using a PKC gamma-derived peptide that is phosphorylated at threonine 655.
バッファー組成
pH: 7.3 Preservative: 0.05% Sodium azide Constituents: PBS, 0.1% BSA
出荷温度
Blue Ice
短期保存温度
+4°C
長期保存温度
-20°C
分注に関する情報
Upon delivery aliquot
保管に関する情報
Avoid freeze / thaw cycle

補足情報

This supplementary information is collated from multiple sources and compiled automatically.

Protein kinase C gamma (PKC gamma) also known as PKCγ is a member of the protein kinase C (PKC) family. This protein has a molecular weight of approximately 78 kDa. Expressed mainly in the central nervous system PKC gamma participates in various signaling pathways. It exists as a serine/threonine kinase and plays a fundamental role in modulating cellular functions in neurons.
Biological function summary

PKC gamma acts in the regulation of neuronal signaling processes and is a component of the synaptic transmission machinery. It associates with other proteins to form complex structures that influence physiological processes. PKC gamma contributes significantly to the functions of the central nervous system by modulating synaptic plasticity which is essential for learning and memory.

Pathways

PKC gamma participates in the MAPK and PI3K signaling pathways which are critical in cell growth and survival. The protein interacts with other PKC isozymes and signaling molecules within these pathways playing a role in phosphorylating specific target proteins. These interactions facilitate the regulation of cell cycle progression and apoptosis indicating its importance in cellular homeostasis.

Abnormal PKC gamma activity associates with spinocerebellar ataxia type 14 and addiction-related behavior. Spinocerebellar ataxia results from mutations affecting PKC gamma which disrupts its normal function and leads to neurodegeneration. Additionally PKC gamma’s interaction with other proteins such as GABAA receptors in addiction highlights potential therapeutic targets for treatment.

製品プロトコール

For this product, it's our understanding that no specific protocols are required. You can visit:

ターゲットの情報

Calcium-activated, phospholipid- and diacylglycerol (DAG)-dependent serine/threonine-protein kinase that plays diverse roles in neuronal cells and eye tissues, such as regulation of the neuronal receptors GRIA4/GLUR4 and GRIN1/NMDAR1, modulation of receptors and neuronal functions related to sensitivity to opiates, pain and alcohol, mediation of synaptic function and cell survival after ischemia, and inhibition of gap junction activity after oxidative stress. Binds and phosphorylates GRIA4/GLUR4 glutamate receptor and regulates its function by increasing plasma membrane-associated GRIA4 expression. In primary cerebellar neurons treated with the agonist 3,5-dihyidroxyphenylglycine, functions downstream of the metabotropic glutamate receptor GRM5/MGLUR5 and phosphorylates GRIN1/NMDAR1 receptor which plays a key role in synaptic plasticity, synaptogenesis, excitotoxicity, memory acquisition and learning. May be involved in the regulation of hippocampal long-term potentiation (LTP), but may be not necessary for the process of synaptic plasticity. May be involved in desensitization of mu-type opioid receptor-mediated G-protein activation in the spinal cord, and may be critical for the development and/or maintenance of morphine-induced reinforcing effects in the limbic forebrain. May modulate the functionality of mu-type-opioid receptors by participating in a signaling pathway which leads to the phosphorylation and degradation of opioid receptors. May also contributes to chronic morphine-induced changes in nociceptive processing. Plays a role in neuropathic pain mechanisms and contributes to the maintenance of the allodynia pain produced by peripheral inflammation. Plays an important role in initial sensitivity and tolerance to ethanol, by mediating the behavioral effects of ethanol as well as the effects of this drug on the GABA(A) receptors. During and after cerebral ischemia modulate neurotransmission and cell survival in synaptic membranes, and is involved in insulin-induced inhibition of necrosis, an important mechanism for minimizing ischemic injury. Required for the elimination of multiple climbing fibers during innervation of Purkinje cells in developing cerebellum. Is activated in lens epithelial cells upon hydrogen peroxide treatment, and phosphorylates connexin-43 (GJA1/CX43), resulting in disassembly of GJA1 gap junction plaques and inhibition of gap junction activity which could provide a protective effect against oxidative stress (By similarity). Phosphorylates p53/TP53 and promotes p53/TP53-dependent apoptosis in response to DNA damage. Involved in the phase resetting of the cerebral cortex circadian clock during temporally restricted feeding. Stabilizes the core clock component BMAL1 by interfering with its ubiquitination, thus suppressing its degradation, resulting in phase resetting of the cerebral cortex clock (By similarity). Phosphorylates and activates LRRK1, which phosphorylates RAB proteins involved in intracellular trafficking (PubMed : 36040231).
See full target information PRKCG phospho T655

文献 (4)

Recent publications for all applications. Explore the full list and refine your search

Journal of neuroinflammation 22:121 PubMed40281563

2025

Dynamic phosphorylation of Fascin-1 orchestrates microglial phagocytosis and neurological recovery after spinal cord injury.

Applications

Unspecified application

Species

Unspecified reactive species

Yanchang Liu,Fei Yao,Ziyu Li,Yan Jiang,Jianjian Li,Shuisheng Yu,Xuyang Hu,Fangru Ouyang,Meige Zheng,Li Cheng,Juehua Jing

Molecular medicine (Cambridge, Mass.) 28:4 PubMed35062863

2022

Dendritic cell-mediated chronic low-grade inflammation is regulated by the RAGE-TLR4-PKCβ signaling pathway in diabetic atherosclerosis.

Applications

Unspecified application

Species

Unspecified reactive species

Liding Zhao,Ya Li,Tian Xu,Qingbo Lv,Xukun Bi,Xianglan Liu,Guosheng Fu,Yunzeng Zou,Junbo Ge,Zhaoyang Chen,Wenbin Zhang

Communications biology 4:961 PubMed34385591

2021

Prediction and verification of the AD-FTLD common pathomechanism based on dynamic molecular network analysis.

Applications

Unspecified application

Species

Unspecified reactive species

Meihua Jin,Xiaocen Jin,Hidenori Homma,Kyota Fujita,Hikari Tanaka,Shigeo Murayama,Hiroyasu Akatsu,Kazuhiko Tagawa,Hitoshi Okazawa

Nature communications 9:433 PubMed29382817

2018

Targeting Tyro3 ameliorates a model of PGRN-mutant FTLD-TDP via tau-mediated synaptic pathology.

Applications

Unspecified application

Species

Unspecified reactive species

Kyota Fujita,Xigui Chen,Hidenori Homma,Kazuhiko Tagawa,Mutsuki Amano,Ayumu Saito,Seiya Imoto,Hiroyasu Akatsu,Yoshio Hashizume,Kozo Kaibuchi,Satoru Miyano,Hitoshi Okazawa
View all publications

Abcam product promise

当社は、高品質な試薬を通じてお客様の研究を力強くサポートすることをお約束いたします。ご使用いただく各段階で、常にお客様をサポートできる体制を整えております。万が一、製品が期待通りに機能しない場合は、「Abcam Product Promise」による当社保証制度に基づき、安心してご利用いただけます。
保証に関する詳細については利用規約をご確認ください。

Please note: All products are 'FOR RESEARCH USE ONLY. NOT FOR USE IN DIAGNOSTIC OR THERAPEUTIC PROCEDURES'.

For licensing inquiries, please contact partnerships@abcam.com