JavaScript is disabled in your browser. Please enable JavaScript to view this website.
AB133456

Anti-PKC delta (phospho S299) 抗体 [EPNCI119]

Anti-PKC delta (phospho S299) antibody [EPNCI119]

3

(3 Reviews)

|

(5 Publications)

Rabbit Monoclonal PKC delta phospho S299 antibody. Suitable for WB, IHC-P and reacts with Human samples. Cited in 5 publications.

別名を表示する

PKCD, PRKCD, Protein kinase C delta type, Tyrosine-protein kinase PRKCD, nPKC-delta

2 Images
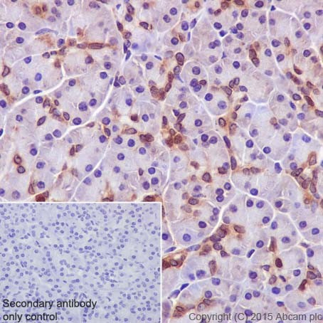
Immunohistochemistry (Formalin/PFA-fixed paraffin-embedded sections) - Anti-PKC delta (phospho S299) antibody [EPNCI119] (AB133456)
  • IHC-P

Supplier Data

Immunohistochemistry (Formalin/PFA-fixed paraffin-embedded sections) - Anti-PKC delta (phospho S299) antibody [EPNCI119] (AB133456)

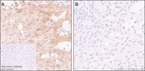
Immunohistochemical analysis of paraffin-embedded Human bladder cancer tissue labeling PKC delta with ab133456 at 1/5000 (0.077 μg/ml) followed by a ready to use LeicaDS9800 (Bond™ Polymer Refine Detection). Positive staining on human bladder cancer without alkaline phosphatase treatment (image A). No signal was detected when tissues were treated with alkaline phosphatase (image B). The human bladder cancer sections were performed by Rabbit specific IHC polymer detection kit HRP/DAB (ab209101). The sections were using heat mediated antigen retrieval with Tris-EDTA buffer (pH 9.0 epitope retrieval solution 2) for 20 mins then labeling ab133456 at 1/5000 dilution for 30 mins at room temperature. Counterstained with hematoxylin. The immunostaining was performed on a Leica Biosystems BOND® RX instrument.

Western blot - Anti-PKC delta (phospho S299) antibody [EPNCI119] (AB133456)
  • WB

Supplier Data

Western blot - Anti-PKC delta (phospho S299) antibody [EPNCI119] (AB133456)

All lanes:

Western blot - Anti-PKC delta (phospho S299) antibody [EPNCI119] (ab133456) at 1/5000 dilution

Lane 1:

Untreated MCF7 (Human breast adenocarcinoma epithelial cell) whole cell lysate at 15 µg

Lane 2:

MCF7 treated with 100nM Calyculin A for 30min whole cell lysate at 15 µg

Lane 3:

MCF7 treated with 100nM Calyculin A for 30min whole cell lysate, then the membrane was incubated with phosphatase at 15 µg

Secondary

All lanes:

Western blot - Goat Anti-Rabbit IgG H&L (HRP) (<a href='/products/secondary-antibodies/goat-rabbit-igg-h-l-hrp-ab97051'>ab97051</a>) at 1/20000 dilution

Predicted band size: 78 kDa

Observed band size: 78 kDa

false

Key facts

宿主種

Rabbit

クローン性

Monoclonal

クローン番号

EPNCI119

アイソタイプ

IgG

キャリアフリー

No

交差種

Human

アプリケーション

IHC-P, WB

applications

免疫原

The exact immunogen used to generate this antibody is proprietary information.

Reactivity data

{ "title": "Reactivity Data", "filters": { "stats": ["", "Species", "Dilution Info", "Notes"], "tabs": { "all-applications": {"fullname" : "All Applications", "shortname": "All Applications"}, "WB" : {"fullname" : "Western blot", "shortname":"WB"}, "IHCP" : {"fullname" : "Immunohistochemistry (Formalin/PFA-fixed paraffin-embedded sections)", "shortname":"IHC-P"}, "FlowCyt" : {"fullname" : "Flow Cytometry", "shortname":"Flow Cyt"}, "ICCIF" : {"fullname" : "Immunocytochemistry/ Immunofluorescence", "shortname":"ICC/IF"} }, "product-promise": { "all": "all", "testedAndGuaranteed": "tested", "guaranteed": "expected", "predicted": "predicted", "notRecommended": "not-recommended" } }, "values": { "Human": { "WB-species-checked": "testedAndGuaranteed", "WB-species-dilution-info": "1/5000", "WB-species-notes": "<p></p>", "IHCP-species-checked": "testedAndGuaranteed", "IHCP-species-dilution-info": "1/5000", "IHCP-species-notes": "<p></p> Perform heat-mediated antigen retrieval with citrate buffer pH 6 before commencing with IHC staining protocol.", "FlowCyt-species-checked": "notRecommended", "FlowCyt-species-dilution-info": "", "FlowCyt-species-notes": "<p></p>", "ICCIF-species-checked": "notRecommended", "ICCIF-species-dilution-info": "", "ICCIF-species-notes": "<p></p>" } } }

製品の詳細

This product has switched from a hybridoma to recombinant production method on 29th January 2024.

This antibody was developed as part of a collaboration between Epitomics, the National Cancer Institutes Center for Cancer Research and the lab of Peter Blumberg. View antibodies from NCI Center for Cancer Research Collaboration.

The auto-phosphorylation of PKC delta at pS299 targeted by ab133456 was identified in the following paper: FEBS Lett. 2007 Jul 24;581(18):3377-81. Novel phosphorylation site markers of protein kinase C delta activation. Durgan J1, Michael N, Totty N, Parker PJ.

Patented technology
Our RabMAb® technology is a patented hybridoma-based technology for making rabbit monoclonal antibodies. For details on our patents, please refer to RabMAb® patents.

Species reactivity
Rat: We have preliminary internal testing data to indicate this antibody may not react with this species.
Please contact us for more information.

What are the advantages of a recombinant monoclonal antibody?
This product is a recombinant monoclonal antibody, which offers several advantages including:

  • - High batch-to-batch consistency and reproducibility
  • - Improved sensitivity and specificity
  • - Long-term security of supply
  • - Animal-free batch production

For more information, read more on recombinant antibodies.

出荷温度及び保存条件

製品の状態
Liquid
精製方法
Affinity purification Protein A
バッファー組成
pH: 7.2 - 7.4 Preservative: 0.01% Sodium azide Constituents: PBS, 40% Glycerol (glycerin, glycerine), 0.05% BSA
出荷温度
Blue Ice
短期保存温度
+4°C
長期保存温度
-20°C
保管に関する情報
Stable for 12 months at -20°C

補足情報

This supplementary information is collated from multiple sources and compiled automatically.

Protein kinase C delta (PKC delta) often called PKCδ belongs to the novel PKC subfamily. It weighs approximately 78 kDa and functions in various cellular processes. This enzyme exhibits serine/threonine kinase activity and is expressed across numerous tissues including the brain heart and lymphoid organs. PKC delta activation mainly relies on diacylglycerol and phospholipids though it does not require calcium for activation. This target has multiple known phosphorylation sites such as delta 1485 and delta 647 that modulate its enzymatic activity and localization.
Biological function summary

PKC delta influences cell growth apoptosis and differentiation through its kinase activity. It acts as an important regulator in the signaling pathways that control these processes. PKC delta is not a part of a traditional complex but interacts with several proteins influencing signaling cascades. In cellular contexts PKC delta positively influences tumor necrosis factor-related pathways and also initiates apoptosis in response to DNA damage.

Pathways

PKC delta plays an essential role in the regulation of mitogen-activated protein kinase (MAPK) and Janus kinase (JAK) pathways. Within the MAPK pathway PKC delta interacts with proteins like c-Jun N-terminal kinase (JNK) facilitating stress-responsive pathways related to cell death and survival. In the JAK pathway its regulation can impact cytokine signaling and immune responses. PKC delta's function within these pathways positions it as an important mediator and influencer of diverse cellular responses.

PKC delta has significant implications for cancer and cardiovascular diseases. PKC delta promotes tumor cell proliferation in some cancers by altering cell cycle regulation and resist apoptosis. In cardiovascular disorders this protein mediates cardiac hypertrophy and heart failure through its influence on myocyte apoptosis and fibrosis. PKC delta’s interaction with specific proteins like Bcl-2 in cancer and troponin in cardiac conditions highlights its role in pathophysiological processes making it a significant target for therapeutic intervention.

製品プロトコール

For this product, it's our understanding that no specific protocols are required. You can visit:

ターゲットの情報

Calcium-independent, phospholipid- and diacylglycerol (DAG)-dependent serine/threonine-protein kinase that plays contrasting roles in cell death and cell survival by functioning as a pro-apoptotic protein during DNA damage-induced apoptosis, but acting as an anti-apoptotic protein during cytokine receptor-initiated cell death, is involved in tumor suppression as well as survival of several cancers, is required for oxygen radical production by NADPH oxidase and acts as positive or negative regulator in platelet functional responses (PubMed : 21406692, PubMed : 21810427). Negatively regulates B cell proliferation and also has an important function in self-antigen induced B cell tolerance induction (By similarity). Upon DNA damage, activates the promoter of the death-promoting transcription factor BCLAF1/Btf to trigger BCLAF1-mediated p53/TP53 gene transcription and apoptosis (PubMed : 21406692, PubMed : 21810427). In response to oxidative stress, interact with and activate CHUK/IKKA in the nucleus, causing the phosphorylation of p53/TP53 (PubMed : 21406692, PubMed : 21810427). In the case of ER stress or DNA damage-induced apoptosis, can form a complex with the tyrosine-protein kinase ABL1 which trigger apoptosis independently of p53/TP53 (PubMed : 21406692, PubMed : 21810427). In cytosol can trigger apoptosis by activating MAPK11 or MAPK14, inhibiting AKT1 and decreasing the level of X-linked inhibitor of apoptosis protein (XIAP), whereas in nucleus induces apoptosis via the activation of MAPK8 or MAPK9. Upon ionizing radiation treatment, is required for the activation of the apoptosis regulators BAX and BAK, which trigger the mitochondrial cell death pathway. Can phosphorylate MCL1 and target it for degradation which is sufficient to trigger for BAX activation and apoptosis. Is required for the control of cell cycle progression both at G1/S and G2/M phases. Mediates phorbol 12-myristate 13-acetate (PMA)-induced inhibition of cell cycle progression at G1/S phase by up-regulating the CDK inhibitor CDKN1A/p21 and inhibiting the cyclin CCNA2 promoter activity. In response to UV irradiation can phosphorylate CDK1, which is important for the G2/M DNA damage checkpoint activation (By similarity). Can protect glioma cells from the apoptosis induced by TNFSF10/TRAIL, probably by inducing increased phosphorylation and subsequent activation of AKT1 (PubMed : 15774464). Is highly expressed in a number of cancer cells and promotes cell survival and resistance against chemotherapeutic drugs by inducing cyclin D1 (CCND1) and hyperphosphorylation of RB1, and via several pro-survival pathways, including NF-kappa-B, AKT1 and MAPK1/3 (ERK1/2). Involved in antifungal immunity by mediating phosphorylation and activation of CARD9 downstream of C-type lectin receptors activation, promoting interaction between CARD9 and BCL10, followed by activation of NF-kappa-B and MAP kinase p38 pathways (By similarity). Can also act as tumor suppressor upon mitogenic stimulation with PMA or TPA. In N-formyl-methionyl-leucyl-phenylalanine (fMLP)-treated cells, is required for NCF1 (p47-phox) phosphorylation and activation of NADPH oxidase activity, and regulates TNF-elicited superoxide anion production in neutrophils, by direct phosphorylation and activation of NCF1 or indirectly through MAPK1/3 (ERK1/2) signaling pathways (PubMed : 19801500). May also play a role in the regulation of NADPH oxidase activity in eosinophil after stimulation with IL5, leukotriene B4 or PMA (PubMed : 11748588). In collagen-induced platelet aggregation, acts a negative regulator of filopodia formation and actin polymerization by interacting with and negatively regulating VASP phosphorylation (PubMed : 16940418). Downstream of PAR1, PAR4 and CD36/GP4 receptors, regulates differentially platelet dense granule secretion; acts as a positive regulator in PAR-mediated granule secretion, whereas it negatively regulates CD36/GP4-mediated granule release (PubMed : 19587372). Phosphorylates MUC1 in the C-terminal and regulates the interaction between MUC1 and beta-catenin (PubMed : 11877440). The catalytic subunit phosphorylates 14-3-3 proteins (YWHAB, YWHAZ and YWHAH) in a sphingosine-dependent fashion (By similarity). Phosphorylates ELAVL1 in response to angiotensin-2 treatment (PubMed : 18285462). Phosphorylates mitochondrial phospholipid scramblase 3 (PLSCR3), resulting in increased cardiolipin expression on the mitochondrial outer membrane which facilitates apoptosis (PubMed : 12649167). Phosphorylates SMPD1 which induces SMPD1 secretion (PubMed : 17303575).
See full target information PRKCD phospho S299

文献 (5)

Recent publications for all applications. Explore the full list and refine your search

Cancer cell international 22:147 PubMed35410218

2022

B7-H4 expression is upregulated by PKCδ activation and contributes to PKCδ-induced cell motility in colorectal cancer.

Applications

Unspecified application

Species

Unspecified reactive species

Bin Zhou,Youwei Lu,Zhiming Zhao,Tongguo Shi,Hongya Wu,Weichang Chen,Liang Zhang,Xueguang Zhang

BMC cancer 19:764 PubMed31375085

2019

Selective ERK1/2 agonists isolated from Melia azedarach with potent anti-leukemic activity.

Applications

Unspecified application

Species

Unspecified reactive species

Ning Wang,Yanhua Fan,Chun-Mao Yuan,Jialei Song,Yao Yao,Wuling Liu,Babu Gajendran,Eldad Zacksenhaus,Yanmei Li,Jielin Liu,Xiao Jiang Hao,Yaacov Ben-David

Integrative cancer therapies 17:511-523 PubMed28627240

2017

Quercetin Has Antimetastatic Effects on Gastric Cancer Cells via the Interruption of uPA/uPAR Function by Modulating NF-κb, PKC-δ, ERK1/2, and AMPKα.

Applications

Unspecified application

Species

Unspecified reactive species

Hai Li,Chen Chen

Molecular carcinogenesis 55:2183-2195 PubMed26859836

2016

Biological activity of the bryostatin analog Merle 23 on mouse epidermal cells and mouse skin.

Applications

Unspecified application

Species

Unspecified reactive species

Jessica S Kelsey,Christophe Cataisson,Jinqiu Chen,Michelle A Herrmann,Mark E Petersen,David O Baumann,Kevin M McGowan,Stuart H Yuspa,Gary E Keck,Peter M Blumberg

PloS one 8:e72331 PubMed23991094

2013

RasGRPs are targets of the anti-cancer agent ingenol-3-angelate.

Applications

WB

Species

Human

Xiaohua Song,Ana Lopez-Campistrous,Lucy Sun,Nancy A Dower,Noemi Kedei,Jing Yang,Jessica S Kelsey,Nancy E Lewin,Tim E Esch,Peter M Blumberg,James C Stone
View all publications

Abcam product promise

当社は、高品質な試薬を通じてお客様の研究を力強くサポートすることをお約束いたします。ご使用いただく各段階で、常にお客様をサポートできる体制を整えております。万が一、製品が期待通りに機能しない場合は、「Abcam Product Promise」による当社保証制度に基づき、安心してご利用いただけます。
保証に関する詳細については利用規約をご確認ください。

Please note: All products are 'FOR RESEARCH USE ONLY. NOT FOR USE IN DIAGNOSTIC OR THERAPEUTIC PROCEDURES'.

For licensing inquiries, please contact partnerships@abcam.com