JavaScript is disabled in your browser. Please enable JavaScript to view this website.
AB182126

Anti-PKC delta 抗体 [EPR17075]

Anti-PKC delta antibody [EPR17075]

4

(7 Reviews)

|

(76 Publications)

Anti-PKC delta antibody [EPR17075] (ab182126) is a rabbit monoclonal antibody detecting PKC delta in Western Blot, Flow Cytometry (Intra), IHC-P, ICC/IF. Suitable for Human, Mouse, Rat.

- KO validated for confirmed specificity
- Biophysical QC for unrivalled batch-batch consistency
- Over 50 publications

別名を表示する

PKCD, PRKCD, Protein kinase C delta type, Tyrosine-protein kinase PRKCD, nPKC-delta

17 Images
Immunohistochemistry (Formalin/PFA-fixed paraffin-embedded sections) - Anti-PKC delta antibody [EPR17075] (AB182126)
  • IHC-P

Supplier Data

Immunohistochemistry (Formalin/PFA-fixed paraffin-embedded sections) - Anti-PKC delta antibody [EPR17075] (AB182126)

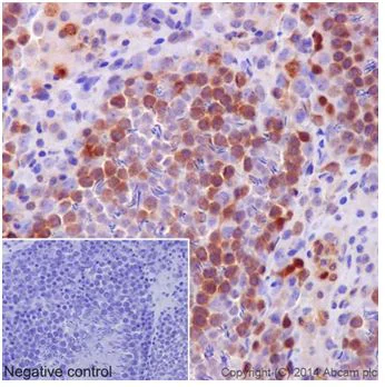
Immunohistochemical analysis of paraffin-embedded Human spleen tissue labeling PKC delta with ab182126 at 1/2000 dilution, followed by Anti-Rabbit HRP (ab97051) at 1/500 dilution. Cytoplasmic and nucleus staining on lymphocytes of Human spleen is detected. The negative control utilised PBS instead of primary antibody. Counter stained with Hematoxylin.

Perform heat mediated antigen retrieval with Tris/EDTA buffer pH 9.0 before commencing with IHC staining protocol.

Immunocytochemistry/ Immunofluorescence - Anti-PKC delta antibody [EPR17075] (AB182126)
  • ICC/IF

Lab

Immunocytochemistry/ Immunofluorescence - Anti-PKC delta antibody [EPR17075] (AB182126)

ab182126 staining PKCδ in 10nM PMA-treated wild-type HAP1 cells (top panel) and PKCδ in 10nM PMA-treated knockout HAP1 cells (bottom panel). The cells were treated with 10nM PMA for 10 minutes to induce translocation of PKCδ to the cell membrane. The cells were then fixed with 4% formaldehyde (10min), permeabilized with 0.1% Triton X-100 for 5 minutes and then blocked with 1% BSA/10% normal goat serum/0.3M glycine in 0.1% PBS-Tween for 1h. The cells were then incubated with ab182126 at 1/200 dilution and ab7291 at 1ug/ml concentration overnight at +4°C, followed by a further incubation at room temperature for 1h with a goat secondary antibody to Rabbit IgG (Alexa Fluor® 488) (ab150081) at 2 μg/ml (shown in green) and a goat secondary antibody to Mouse IgG (Alexa Fluor® 594) (ab150117) at 2ug/ml (shown in pseudo-color red). Nuclear DNA was labelled in blue with DAPI.

This product also gave a positive signal under the same testing conditions in HAP1 cells fixed with 100% methanol (5 min).

Image was taken with a confocal microscope (Leica-Microsystems, TCS SP8).

Flow Cytometry (Intracellular) - Anti-PKC delta antibody [EPR17075] (AB182126)
  • Flow Cyt (Intra)

Lab

Flow Cytometry (Intracellular) - Anti-PKC delta antibody [EPR17075] (AB182126)

Intracellular Flow Cytometry analysis of HeLa (human cervix adenocarcinoma) cells labeling PKC delta with purified ab182126 at 1/250 dilution (10ug/mL) (red). Cells were fixed with 4% paraformaldehyde and permeabilised with 90% methanol. A Goat anti rabbit IgG (Alexa Fluor® 488) (1/2000 dilution) was used as the secondary antibody. Rabbit monoclonal IgG (Black) was used as the isotype control, cellswithout incubation with primary antibody and secondary antibody (Blue) were used as the unlabeled control.

Immunocytochemistry/ Immunofluorescence - Anti-PKC delta antibody [EPR17075] (AB182126)
  • ICC/IF

Supplier Data

Immunocytochemistry/ Immunofluorescence - Anti-PKC delta antibody [EPR17075] (AB182126)

Immunofluorescent analysis of 4% paraformaldehyde-fixed HeLa (Human epithelial cells from cervix adenocarcinoma) cells labeling PKC delta with ab182126 at 1/100 dilution. The cells were permeabilised with 0.1% Triton X-100. Goat anti-rabbit IAlexa Fluor® 488 (IgG) (ab150077) at 1/400 dilution was used as the secondary antibody (green). The confocal image shows both cytoplasmic and nuclear staining on HeLa cells. The nuclear counter stain is DAPI (blue). Tubulin is detected with ab7291 (anti-Tubulin mouse mAb) at 1/500 and ab150120 (goat anti-mouse AlexaFluor® 594 secondary antibody) at 1/500 dilution (red).
The negative controls are as follows;
1. ab182126 at 1/100 dilution followed by ab150120 (Alexa Fluor® 594 Goat anti-Mouse secondary) at 1/500 dilution.
2. ab7291 (anti-Tubulin mouse mAb) at 1/500 dilution followed by ab150077 (Alexa Fluor® 488 Goat Anti-Rabbit IgG H&L) at 1/400 dilution.

Immunohistochemistry (Formalin/PFA-fixed paraffin-embedded sections) - Anti-PKC delta antibody [EPR17075] (AB182126)
  • IHC-P

Supplier Data

Immunohistochemistry (Formalin/PFA-fixed paraffin-embedded sections) - Anti-PKC delta antibody [EPR17075] (AB182126)

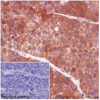
Immunohistochemical analysis of paraffin-embedded Human transitional cell carcinoma of bladder tissue labeling PKC delta with ab182126 at 1/2000 dilution, followed by Anti-Rabbit HRP (ab97051) at 1/500 dilution. Cytoplasmic and weak nuclear staining on cancer cells of bladder transitional cell carcinoma is detected. The negative control utilised PBS instead of primary antibody. Counter stained with Hematoxylin.

Perform heat mediated antigen retrieval with Tris/EDTA buffer pH 9.0 before commencing with IHC staining protocol.

Immunocytochemistry/ Immunofluorescence - Anti-PKC delta antibody [EPR17075] (AB182126)
  • ICC/IF

Lab

Immunocytochemistry/ Immunofluorescence - Anti-PKC delta antibody [EPR17075] (AB182126)

ab182126 staining PKCδ in untreated wild-type HAP1 cells (top panel) and PKCδ untreated knockout HAP1 cells (bottom panel). Untreated cells show PKCδ being expressed in the cytoplasm. The cells were fixed with 4% formaldehyde (10min), permeabilized with 0.1% Triton X-100 for 5 minutes and then blocked with 1% BSA/10% normal goat serum/0.3M glycine in 0.1% PBS-Tween for 1h. The cells were then incubated with ab182126 at 1/200 dilution and ab7291 at 1ug/ml concentration overnight at +4°C, followed by a further incubation at room temperature for 1h with a goat secondary antibody to Rabbit IgG (Alexa Fluor® 488) (ab150081) at 2 μg/ml (shown in green) and a goat secondary antibody to Mouse IgG (Alexa Fluor® 594) (ab150117) at 2ug/ml (shown in pseudo-color red). Nuclear DNA was labelled in blue with DAPI.

This product also gave a positive signal under the same testing conditions in HAP1 cells fixed with 100% methanol (5 min).

Image was taken with a confocal microscope (Leica-Microsystems, TCS SP8).

Immunohistochemistry (Formalin/PFA-fixed paraffin-embedded sections) - Anti-PKC delta antibody [EPR17075] (AB182126)
  • IHC-P

Supplier Data

Immunohistochemistry (Formalin/PFA-fixed paraffin-embedded sections) - Anti-PKC delta antibody [EPR17075] (AB182126)

Immunohistochemical analysis of paraffin-embedded rat testis tissue labeling PKC delta with ab182126 at 1/2000 dilution, followed by Anti-Rabbit HRP (ab97051) at 1/500 dilution. Cytoplasmic and weak nuclear staining on cells in the seminiferous tubule of rat testis is detected. The negative control utilised PBS instead of primary antibody. Counter stained with Hematoxylin.

Perform heat mediated antigen retrieval with Tris/EDTA buffer pH 9.0 before commencing with IHC staining protocol.

Immunohistochemistry (Formalin/PFA-fixed paraffin-embedded sections) - Anti-PKC delta antibody [EPR17075] (AB182126)
  • IHC-P

Supplier Data

Immunohistochemistry (Formalin/PFA-fixed paraffin-embedded sections) - Anti-PKC delta antibody [EPR17075] (AB182126)

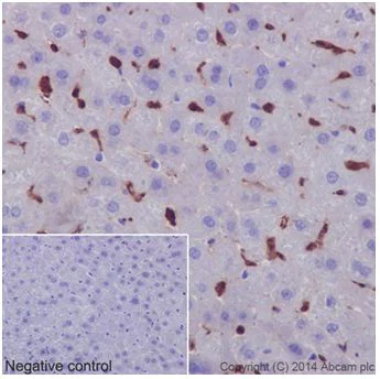
Immunohistochemical analysis of paraffin-embedded Mouse liver tissue labeling PKC delta with ab182126 at 1/2000 dilution, followed by Anti-Rabbit HRP (ab97051) at 1/500 dilution. Cytoplasmic and nuclear staining on kupffer cells of Mouse liver is detected. The negative control utilised PBS instead of primary antibody. Counter stained with Hematoxylin.

Perform heat mediated antigen retrieval with Tris/EDTA buffer pH 9.0 before commencing with IHC staining protocol.

Western blot - Anti-PKC delta antibody [EPR17075] (AB182126)
  • WB

Lab

Western blot - Anti-PKC delta antibody [EPR17075] (AB182126)

Western blot : Anti-PRKCD antibody [EPR17075] (ab182126) staining at 1/5000 dilution, shown in green; Mouse anti-GAPDH antibody [6C5] (ab8245) loading control staining at 1/20000 dilution, shown in magenta. In Western blot, ab182126 was shown to bind specifically to PRKCD. A band was observed at 75-80 kDa in wild-type U-87 MG cell lysates with no signal observed at this size in PRKCD knockout cell line. To generate this image, wild-type and PRKCD knockout U-87 MG cell lysates were analysed. First, samples were run on an SDS-PAGE gel then transferred onto a nitrocellulose membrane. Membranes were blocked in 3 % milk in TBS-0.1 % Tween® 20 (TBS-T) before incubation with primary antibodies overnight at 4 °C. Blots were washed four times in TBS-T, incubated with secondary antibodies for 1 h at room temperature, washed again four times then imaged. Secondary antibodies used were Goat anti-Rabbit IgG H&L 800CW and Goat anti-Mouse IgG H&L 680RD at 1/20000 dilution.

All lanes:

Western blot - Anti-PKC delta antibody [EPR17075] (ab182126) at 1/5000 dilution

Lane 1:

Wild-type U-87 MG cell lysate at 20 µg

Lane 2:

Western blot - Human PRKCD knockout U-87 MG cell line (<a href='/products/cell-lines/human-prkcd-knockout-u-87-mg-cell-line-ab306756'>ab306756</a>)

Lane 2:

PRKCD knockout U-87 MG cell lysate at 20 µg

Secondary

Lanes 1 - 2:

Goat anti-Rabbit IgG H&L 800CW at 1/20000 dilution

Lanes 1 - 2:

Goat anti-Mouse IgG H&L 680RD at 1/20000 dilution

Observed band size: 75-80 kDa

false

Western blot - Anti-PKC delta antibody [EPR17075] (AB182126)
  • WB

Supplier Data

Western blot - Anti-PKC delta antibody [EPR17075] (AB182126)

The 40kDa band represents the cleaved kinase domain.

Blocking/dilution buffer : 5% NFDM/TBST.

All lanes:

Western blot - Anti-PKC delta antibody [EPR17075] (ab182126) at 1/10000 dilution

Lane 1:

A431 (Human epidermoid carcinoma) whole cell lysates at 10 µg

Lane 2:

HeLa (Human epithelial cells from cervix adenocarcinoma) whole cell lysates at 20 µg

Secondary

All lanes:

Goat Anti-Rabbit IgG, (H+L),Peroxidase conjugated at 1/1000 dilution

Predicted band size: 113 kDa,28 kDa,35 kDa,37 kDa,39 kDa,42 kDa,50 kDa,58 kDa,63 kDa,70 kDa,76 kDa,77 kDa,78 kDa

Observed band size: 22 kDa,27 kDa,37 kDa,51 kDa,65 kDa

false

Western blot - Anti-PKC delta antibody [EPR17075] (AB182126)
  • WB

Lab

Western blot - Anti-PKC delta antibody [EPR17075] (AB182126)

Lanes 1 - 2 : Merged signal (red and green). Green - ab182126 observed at 78 kDa. Red - loading control, ab8245 (Mouse anti-GAPDH antibody [6C5]) observed at 37kDa.

ab182126 was shown to react with PKC in wild-type HEK-293T cells in western blot. The bands observed in PRKCD knockout cell line ab266143 (PRKCD knockout cell lysate ab257042) below 78kDa may represent truncated forms and cleaved fragments. This has not been investigated further. Wild-type and PRKCD knockout HEK-293T cell lysates were subjected to SDS-PAGE. Membranes were blocked in 3% milk in TBS-T (0.1% Tween®) before incubation with ab182126 and ab8245 (Mouse anti-GAPDH antibody [6C5]) overnight at 4<sup>&

176;</sup>C at a 1 in 5000 dilution and a 1 in 20000 dilution respectively. Blots were incubated with Goat anti-Rabbit IgG H&L (IRDye® 800CW) preabsorbed (ab216773) and Goat anti-Mouse IgG H&L (IRDye® 680RD) preabsorbed (ab216776) secondary antibodies at 1 in 20000 dilution for 1 hour at room temperature before imaging.

All lanes:

Western blot - Anti-PKC delta antibody [EPR17075] (ab182126) at 1/5000 dilution

Lane 1:

Wild-type HEK-293T cell lysate at 20 µg

Lane 2:

PRKCD knockout HEK-293T cell lysate at 20 µg

Predicted band size: 78 kDa

Observed band size: 78 kDa

false

Western blot - Anti-PKC delta antibody [EPR17075] (AB182126)
  • WB

Lab

Western blot - Anti-PKC delta antibody [EPR17075] (AB182126)

Lanes 1- 2 : Merged signal (red and green). Green - ab182126 observed at 80 kDa. Red - Anti-GAPDH antibody [6C5] - Loading Control (ab8245) observed at 37 kDa.

ab182126 was shown to react with PKC delta in wild-type HeLa cells in western blot. Loss of signal was observed when knockout cell line ab265721 (knockout cell lysate ab257043) was used. Wild-type HeLa and PRKCD knockout HeLa cell lysates were subjected to SDS-PAGE. Membrane was blocked for 1 hour at room temperature in 0.1% TBST with 3% non-fat dried milk. ab182126 and Anti-GAPDH antibody [6C5] - Loading Control (ab8245) overnight at 4°C at a 1 in 5000 dilution and a 1 in 20000 dilution respectively. Blots were developed with Goat anti-Rabbit IgG H&L (IRDye®800CW) preadsorbed (ab216773) and Goat anti-Mouse IgG H&L (IRDye®680RD) preadsorbed (ab216776) secondary antibodies at 1 in 20000 dilution for 1 hour at room temperature before imaging.

All lanes:

Western blot - Anti-PKC delta antibody [EPR17075] (ab182126) at 1/5000 dilution

Lane 1:

Wild-type HeLa cell lysate at 20 µg

Lane 2:

PRKCD knockout HeLa cell lysate at 20 µg

Predicted band size: 78 kDa

Observed band size: 80 kDa

false

Western blot - Anti-PKC delta antibody [EPR17075] (AB182126)
  • WB

Supplier Data

Western blot - Anti-PKC delta antibody [EPR17075] (AB182126)

The 40kDa band represents the cleaved kinase domain.

Blocking/dilution buffer : 5% NFDM/TBST.

All lanes:

Western blot - Anti-PKC delta antibody [EPR17075] (ab182126) at 1/5000 dilution

Lane 1:

Human fetal brain lysates at 10 µg

Lane 2:

Human fetal heart lysates at 10 µg

Secondary

All lanes:

Anti-Rabbit IgG (HRP), specific to the non-reduced form of IgG at 1/1000 dilution

Predicted band size: 78 kDa

false

Western blot - Anti-PKC delta antibody [EPR17075] (AB182126)
  • WB

Lab

Western blot - Anti-PKC delta antibody [EPR17075] (AB182126)

Lanes 1 - 4 : Merged signal (red and green). Green - ab182126 observed at 78 kDa. Red - loading control, ab8226, observed at 42 kDa.

ab182126 was shown to specifically react with PKC delta when PKC delta knockout samples were used. Wild-type and PKC delta knockout samples were subjected to SDS-PAGE. ab182126 and ab8226 (loading control to beta Actin) were diluted to 1/5000 and 1/1000 respectively and incubated overnight at 4°C. Blots were developed with Goat anti-Rabbit IgG H&L (IRDye® 800CW) preadsorbed (ab216773) and Goat anti-Mouse IgG H&L (IRDye® 680RD) preadsorbed (ab216776) secondary antibodies at 1/10 000 dilution for 1 h at room temperature before imaging.

All lanes:

Western blot - Anti-PKC delta antibody [EPR17075] (ab182126) at 1/5000 dilution

Lane 1:

Wild-type HAP1 cell lysate at 20 µg

Lane 2:

PKC delta knockout HAP1 cell lysate at 20 µg

Lane 3:

Jurkat cell lysate at 20 µg

Lane 4:

HeLa cell lysate at 20 µg

Predicted band size: 78 kDa

false

Western blot - Anti-PKC delta antibody [EPR17075] (AB182126)
  • WB

Lab

Western blot - Anti-PKC delta antibody [EPR17075] (AB182126)

Lanes 1 - 2 : Merged signal (red and green). Green - ab182126 observed at 78 kDa. Red - loading control, ab8245 (Mouse anti-GAPDH antibody [6C5]) observed at 37kDa.

ab182126 was shown to react with PKC in wild-type HEK-293T cells in western blot. The bands observed in PRKCD CRISPR/Cas9 edited cell line ab266143 (PRKCD CRISPR/Cas9 edited cell lysate ab257042) below 78kDa may represent truncated forms and cleaved fragments. This has not been investigated further. Wild-type and PRKCD CRISPR/Cas9 edited HEK-293T cell lysates were subjected to SDS-PAGE. Membranes were blocked in 3% milk in TBS-T (0.1% Tween®) before incubation with ab182126 and ab8245 (Mouse anti-GAPDH antibody [6C5]) overnight at 4<sup>&

176;</sup>C at a 1 in 5000 dilution and a 1 in 20000 dilution respectively. Blots were incubated with Goat anti-Rabbit IgG H&L (IRDye® 800CW) preabsorbed (ab216773) and Goat anti-Mouse IgG H&L (IRDye® 680RD) preabsorbed (ab216776) secondary antibodies at 1 in 20000 dilution for 1 hour at room temperature before imaging.

All lanes:

Western blot - Anti-PKC delta antibody [EPR17075] (ab182126) at 1/5000 dilution

Lane 1:

Wild-type HEK-293T cell lysate at 20 µg

Lane 2:

PRKCD CRISPR/Cas9 edited HEK-293T cell lysate at 20 µg

Lane 2:

Western blot - Human PRKCD (PKC delta) knockout HEK-293T cell line (<a href='/products/cell-lines/human-prkcd-pkc-delta-knockout-hek-293t-cell-line-ab266143'>ab266143</a>)

Predicted band size: 78 kDa

Observed band size: 78 kDa

false

Western blot - Anti-PKC delta antibody [EPR17075] (AB182126)
  • WB

Supplier Data

Western blot - Anti-PKC delta antibody [EPR17075] (AB182126)

The 40kDa band represents the cleaved kinase domain.

Blocking/dilution buffer : 5% NFDM/TBST.

All lanes:

Western blot - Anti-PKC delta antibody [EPR17075] (ab182126) at 1/5000 dilution

Lane 1:

Mouse brain lysates at 10 µg

Lane 2:

Rat brain lysates at 10 µg

Lane 3:

Rat spleen lysates at 10 µg

Lane 4:

C6 (Rat glial tumor cells) whole cell lysates at 10 µg

Lane 5:

NIH/3T3 (Mouse embyro fibroblast cells) whole cell lysates at 10 µg

Secondary

All lanes:

Goat Anti-Rabbit IgG, (H+L),Peroxidase conjugated at 1/1000 dilution

Predicted band size: 78 kDa

false

Western blot - Anti-PKC delta antibody [EPR17075] (AB182126)
  • WB

Supplier Data

Western blot - Anti-PKC delta antibody [EPR17075] (AB182126)

The 40kDa band represents the cleaved kinase domain.

Blocking/dilution buffer : 5% NFDM/TBST.

All lanes:

Western blot - Anti-PKC delta antibody [EPR17075] (ab182126) at 1/100000 dilution

Lane 1:

Mouse thymus lysates at 10 mg/mL

Lane 2:

Rat thymus lysates at 10 mg/mL

Secondary

All lanes:

Goat Anti-Rabbit IgG, (H+L),Peroxidase conjugated at 1/1000 dilution

Predicted band size: 78 kDa

false

関連する標識済み抗体及び組成の異なる製品 (5)

  • Carrier free

    Anti-PKC delta antibody [EPR17075] - BSA and Azide free

  • 660 APC

    APC Anti-PKC delta antibody [EPR17075]

  • 519 Alexa Fluor® 488

    Alexa Fluor® 488 Anti-PKC delta antibody [EPR17075]

  • 665 Alexa Fluor® 647

    Alexa Fluor® 647 Anti-PKC delta antibody [EPR17075]

  • 578 PE

    PE Anti-PKC delta antibody [EPR17075]

Key facts

宿主種

Rabbit

クローン性

Monoclonal

クローン番号

EPR17075

アイソタイプ

IgG

キャリアフリー

No

交差種

Mouse, Rat, Human

アプリケーション

IHC-P, Flow Cyt (Intra), WB, ICC/IF

applications

免疫原

The exact immunogen used to generate this antibody is proprietary information.

Reactivity data

{ "title": "Reactivity Data", "filters": { "stats": ["", "Species", "Dilution Info", "Notes"], "tabs": { "all-applications": {"fullname" : "All Applications", "shortname": "All Applications"}, "WB" : {"fullname" : "Western blot", "shortname":"WB"}, "ICCIF" : {"fullname" : "Immunocytochemistry/ Immunofluorescence", "shortname":"ICC/IF"}, "FlowCytIntra" : {"fullname" : "Flow Cytometry (Intracellular)", "shortname":"Flow Cyt (Intra)"}, "IHCP" : {"fullname" : "Immunohistochemistry (Formalin/PFA-fixed paraffin-embedded sections)", "shortname":"IHC-P"} }, "product-promise": { "all": "all", "testedAndGuaranteed": "tested", "guaranteed": "expected", "predicted": "predicted", "notRecommended": "not-recommended" } }, "values": { "Human": { "WB-species-checked": "testedAndGuaranteed", "WB-species-dilution-info": "1/5000", "WB-species-notes": "<p></p>", "ICCIF-species-checked": "testedAndGuaranteed", "ICCIF-species-dilution-info": "5 µg/mL", "ICCIF-species-notes": "<p>Treatment with 10nM PMA for 10 min induces translocation of PKCδ to the membrane.</p>", "FlowCytIntra-species-checked": "testedAndGuaranteed", "FlowCytIntra-species-dilution-info": "1/250", "FlowCytIntra-species-notes": "<p><a href='/products/primary-antibodies/rabbit-igg-monoclonal-epr25a-isotype-control-ab172730'>ab172730</a> - Rabbit monoclonal IgG, is suitable for use as an isotype control with this antibody.</p>", "IHCP-species-checked": "testedAndGuaranteed", "IHCP-species-dilution-info": "1/2000", "IHCP-species-notes": "<p></p> Perform heat-mediated antigen retrieval with Tris/EDTA buffer pH 9.0 before commencing with IHC staining protocol." }, "Mouse": { "WB-species-checked": "testedAndGuaranteed", "WB-species-dilution-info": "1/5000", "WB-species-notes": "<p></p>", "ICCIF-species-checked": "guaranteed", "ICCIF-species-dilution-info": "", "ICCIF-species-notes": "", "FlowCytIntra-species-checked": "guaranteed", "FlowCytIntra-species-dilution-info": "", "FlowCytIntra-species-notes": "", "IHCP-species-checked": "testedAndGuaranteed", "IHCP-species-dilution-info": "1/2000", "IHCP-species-notes": "<p></p> Perform heat-mediated antigen retrieval with Tris/EDTA buffer pH 9.0 before commencing with IHC staining protocol." }, "Rat": { "WB-species-checked": "testedAndGuaranteed", "WB-species-dilution-info": "1/5000", "WB-species-notes": "<p></p>", "ICCIF-species-checked": "guaranteed", "ICCIF-species-dilution-info": "", "ICCIF-species-notes": "", "FlowCytIntra-species-checked": "guaranteed", "FlowCytIntra-species-dilution-info": "", "FlowCytIntra-species-notes": "", "IHCP-species-checked": "testedAndGuaranteed", "IHCP-species-dilution-info": "1/2000", "IHCP-species-notes": "<p></p> Perform heat-mediated antigen retrieval with Tris/EDTA buffer pH 9.0 before commencing with IHC staining protocol." } } }

製品の詳細

What is this antibody validated in?
Anti-PKC delta antibody [EPR17075] (ab182126) is a rabbit recombinant monoclonal antibody and is validated for use in Western Blot (WB), Flow Cytometry (Intra), Flow Cytometry (Flow Cyt), Immunohistochemistry (IHC-P), Immunocytochemistry/immunofluorescence (ICC/IF) in Human, Mouse, Rat samples.

What is the molecular weight of PKC delta?
Anti-PKC delta [EPR17075] (ab182126) specifically detects a band for PKC delta (UniProt: P28867) at a molecular weight of 78kDa.

Trusted by the scientific community
Anti-PKC delta [EPR17075] (ab182126) was first used in a scientific publication in 2014 and has been cited over 50 times in peer-reviewed journals.

Reviewed by scientists
Anti-PKC delta [EPR17075] (ab182126) has over 5 independent reviews from customers.

Trial sizes available!
Test your antibody or perform pre-screening before committing to a larger quantity. Sold in 10µl. Discover our selection of trial-size antibodies.

Specificity confirmed
The specificity of Anti-PKC delta antibody [EPR17075] (ab182126) has been confirmed by Western blot testing in PRKCD Knockout HAP1 cells.

Other related products
We have a range of other formats of antibody clone [EPR17075] also available for your convenience: ab182126, Alexa Fluor® 488 - ab206282, Alexa Fluor® 647 - ab206283, Carrier free - ab222229, APC - ab225292, PE - ab225293

Patented technology
Our RabMAb® technology is a patented hybridoma-based technology for making rabbit monoclonal antibodies. For details on our patents, please refer to RabMAb® patents.

What are the advantages of a recombinant monoclonal antibody?
This product is a recombinant monoclonal antibody, which offers several advantages including:

  • - High batch-to-batch consistency and reproducibility
  • - Improved sensitivity and specificity
  • - Long-term security of supply
  • - Animal-free batch production

For more information, read more on recombinant antibodies.

出荷温度及び保存条件

製品の状態
Liquid
精製方法
Affinity purification Protein A
バッファー組成
Preservative: 0.01% Sodium azide Constituents: PBS, 40% Glycerol (glycerin, glycerine), 0.05% BSA
出荷温度
Blue Ice
短期保存期間
1-2 weeks
短期保存温度
+4°C
長期保存温度
-20°C
分注に関する情報
Upon delivery aliquot
保管に関する情報
Avoid freeze / thaw cycle

補足情報

This supplementary information is collated from multiple sources and compiled automatically.

Protein kinase C delta (PKC delta) often called PKCΔ belongs to the novel PKC subfamily. It weighs approximately 78 kDa and functions in various cellular processes. This enzyme exhibits serine/threonine kinase activity and is expressed across numerous tissues including the brain heart and lymphoid organs. PKC delta activation mainly relies on diacylglycerol and phospholipids though it does not require calcium for activation. This target has multiple known phosphorylation sites such as delta 1485 and delta 647 that modulate its enzymatic activity and localization.
Biological function summary

PKC delta influences cell growth apoptosis and differentiation through its kinase activity. It acts as an important regulator in the signaling pathways that control these processes. PKC delta is not a part of a traditional complex but interacts with several proteins influencing signaling cascades. In cellular contexts PKC delta positively influences tumor necrosis factor-related pathways and also initiates apoptosis in response to DNA damage.

Pathways

PKC delta plays an essential role in the regulation of mitogen-activated protein kinase (MAPK) and Janus kinase (JAK) pathways. Within the MAPK pathway PKC delta interacts with proteins like c-Jun N-terminal kinase (JNK) facilitating stress-responsive pathways related to cell death and survival. In the JAK pathway its regulation can impact cytokine signaling and immune responses. PKC delta's function within these pathways positions it as an important mediator and influencer of diverse cellular responses.

PKC delta has significant implications for cancer and cardiovascular diseases. PKC delta promotes tumor cell proliferation in some cancers by altering cell cycle regulation and resist apoptosis. In cardiovascular disorders this protein mediates cardiac hypertrophy and heart failure through its influence on myocyte apoptosis and fibrosis. PKC delta's interaction with specific proteins like Bcl-2 in cancer and troponin in cardiac conditions highlights its role in pathophysiological processes making it a significant target for therapeutic intervention.

製品プロトコール

For this product, it's our understanding that no specific protocols are required. You can visit:

ターゲットの情報

Calcium-independent, phospholipid- and diacylglycerol (DAG)-dependent serine/threonine-protein kinase that plays contrasting roles in cell death and cell survival by functioning as a pro-apoptotic protein during DNA damage-induced apoptosis, but acting as an anti-apoptotic protein during cytokine receptor-initiated cell death, is involved in tumor suppression as well as survival of several cancers, is required for oxygen radical production by NADPH oxidase and acts as positive or negative regulator in platelet functional responses (PubMed : 21406692, PubMed : 21810427). Negatively regulates B cell proliferation and also has an important function in self-antigen induced B cell tolerance induction (By similarity). Upon DNA damage, activates the promoter of the death-promoting transcription factor BCLAF1/Btf to trigger BCLAF1-mediated p53/TP53 gene transcription and apoptosis (PubMed : 21406692, PubMed : 21810427). In response to oxidative stress, interact with and activate CHUK/IKKA in the nucleus, causing the phosphorylation of p53/TP53 (PubMed : 21406692, PubMed : 21810427). In the case of ER stress or DNA damage-induced apoptosis, can form a complex with the tyrosine-protein kinase ABL1 which trigger apoptosis independently of p53/TP53 (PubMed : 21406692, PubMed : 21810427). In cytosol can trigger apoptosis by activating MAPK11 or MAPK14, inhibiting AKT1 and decreasing the level of X-linked inhibitor of apoptosis protein (XIAP), whereas in nucleus induces apoptosis via the activation of MAPK8 or MAPK9. Upon ionizing radiation treatment, is required for the activation of the apoptosis regulators BAX and BAK, which trigger the mitochondrial cell death pathway. Can phosphorylate MCL1 and target it for degradation which is sufficient to trigger for BAX activation and apoptosis. Is required for the control of cell cycle progression both at G1/S and G2/M phases. Mediates phorbol 12-myristate 13-acetate (PMA)-induced inhibition of cell cycle progression at G1/S phase by up-regulating the CDK inhibitor CDKN1A/p21 and inhibiting the cyclin CCNA2 promoter activity. In response to UV irradiation can phosphorylate CDK1, which is important for the G2/M DNA damage checkpoint activation (By similarity). Can protect glioma cells from the apoptosis induced by TNFSF10/TRAIL, probably by inducing increased phosphorylation and subsequent activation of AKT1 (PubMed : 15774464). Is highly expressed in a number of cancer cells and promotes cell survival and resistance against chemotherapeutic drugs by inducing cyclin D1 (CCND1) and hyperphosphorylation of RB1, and via several pro-survival pathways, including NF-kappa-B, AKT1 and MAPK1/3 (ERK1/2). Involved in antifungal immunity by mediating phosphorylation and activation of CARD9 downstream of C-type lectin receptors activation, promoting interaction between CARD9 and BCL10, followed by activation of NF-kappa-B and MAP kinase p38 pathways (By similarity). Can also act as tumor suppressor upon mitogenic stimulation with PMA or TPA. In N-formyl-methionyl-leucyl-phenylalanine (fMLP)-treated cells, is required for NCF1 (p47-phox) phosphorylation and activation of NADPH oxidase activity, and regulates TNF-elicited superoxide anion production in neutrophils, by direct phosphorylation and activation of NCF1 or indirectly through MAPK1/3 (ERK1/2) signaling pathways (PubMed : 19801500). May also play a role in the regulation of NADPH oxidase activity in eosinophil after stimulation with IL5, leukotriene B4 or PMA (PubMed : 11748588). In collagen-induced platelet aggregation, acts a negative regulator of filopodia formation and actin polymerization by interacting with and negatively regulating VASP phosphorylation (PubMed : 16940418). Downstream of PAR1, PAR4 and CD36/GP4 receptors, regulates differentially platelet dense granule secretion; acts as a positive regulator in PAR-mediated granule secretion, whereas it negatively regulates CD36/GP4-mediated granule release (PubMed : 19587372). Phosphorylates MUC1 in the C-terminal and regulates the interaction between MUC1 and beta-catenin (PubMed : 11877440). The catalytic subunit phosphorylates 14-3-3 proteins (YWHAB, YWHAZ and YWHAH) in a sphingosine-dependent fashion (By similarity). Phosphorylates ELAVL1 in response to angiotensin-2 treatment (PubMed : 18285462). Phosphorylates mitochondrial phospholipid scramblase 3 (PLSCR3), resulting in increased cardiolipin expression on the mitochondrial outer membrane which facilitates apoptosis (PubMed : 12649167). Phosphorylates SMPD1 which induces SMPD1 secretion (PubMed : 17303575).
See full target information PRKCD

文献 (76)

Recent publications for all applications. Explore the full list and refine your search

Stem cell research & therapy 16:447 PubMed40841922

2025

Constraint-induced movement therapy combined with mesenchymal stem cell transplantation promotes myelination and functional recovery by inhibiting PRKCD/MEK/ERK pathway in hemiplegic cerebral palsy rats.

Applications

Unspecified application

Species

Unspecified reactive species

Xiaolin Guo,Liru Liu,Jie Luo,Tingting Peng,You Wang,Shiya Huang,Xiaoli Zeng,Tingting Peng,Aihua Chen,Mengru Zhong,Yage Zhang,Kaishou Xu,Lu He

iScience 28:113001 PubMed40792033

2025

The posterior capsular central amygdala showing synaptic coactivation with nociplastic pain-associated parabrachial neurons in mice.

Applications

Unspecified application

Species

Unspecified reactive species

Takao Okuda,Sawako Uchiyama,Naoko Sato,Yae K Sugimura,Yukari Takahashi,Makoto Tsuda,Fusao Kato

Proceedings of the National Academy of Sciences of the United States of America 122:e2411174122 PubMed40663610

2025

A genetically defined pontine nucleus essential for ingestion in mice.

Applications

Unspecified application

Species

Unspecified reactive species

Selvee Sungeelee,Caroline Mailhes-Hamon,Zoubida Chettouh,Phillip Bokiniec,Annaliese Eymael,Simon McMullan,Clément Léna,Bowen Dempsey,Jean-François Brunet

Nature communications 16:3417 PubMed40210897

2025

A cell-type-specific circuit of somatostatin neurons in the habenula encodes antidepressant action in male mice.

Applications

Unspecified application

Species

Unspecified reactive species

Lingli Luo,Wei Jing,Yiqing Guo,Dan Liu,Aodi He,Youming Lu

The European journal of neuroscience 60:6799-6811 PubMed39498665

2024

Central amygdala-to-pre-Bötzinger complex neurotransmission is direct and inhibitory.

Applications

Unspecified application

Species

Unspecified reactive species

Jeffrey Gu,Yae K Sugimura,Fusao Kato,Christopher A Del Negro

Cell reports methods 4:100837 PubMed39127043

2024

Defining spatial nonuniformities of all ipRGC types using an improved Opn4 recombinase mouse line.

Applications

Unspecified application

Species

Unspecified reactive species

Brannen Dyer,Sue O Yu,R Lane Brown,Richard A Lang,Shane P D'Souza

The Journal of biological chemistry 300:107611 PubMed39074637

2024

Cleavage of protein kinase c δ by caspase-3 mediates proinflammatory cytokine-induced apoptosis in pancreatic islets.

Applications

Unspecified application

Species

Unspecified reactive species

Jillian Collins,Robert A Piscopio,Mary E Reyland,Chelsea G Johansen,Richard K P Benninger,Nikki L Farnsworth

Cancers 16: PubMed39001513

2024

The LDHC-STAT3 Signaling Network Is a Key Regulator of Basal-like Breast Cancer Cell Survival.

Applications

Unspecified application

Species

Unspecified reactive species

Adviti Naik,Remy Thomas,Martin Sikhondze,Abeer Babiker,Boucif Lattab,Hanan Qasem,Umar Jafar,Julie Decock

Alzheimer's & dementia : the journal of the Alzheimer's Association 20:5511-5527 PubMed38938161

2024

PKCδ serves as a potential biomarker and therapeutic target for microglia-mediated neuroinflammation in Alzheimer's disease.

Applications

Unspecified application

Species

Unspecified reactive species

Ying Du,Tiantian Guo,Yunfeng Hao,Chuan Li,Linghui Tang,Xia Li,Xiaoxiao Zhang,Lin Li,Dan Yao,Xia Xu,Huaxing Si,Jinghan Zhang,Nana Zhao,Tong Yu,Yingjun Zhao,Wei Zhang,Huaxi Xu

International journal of molecular sciences 25: PubMed38474189

2024

Phosphorylated CPI-17 and MLC2 as Biomarkers of Coronary Artery Spasm-Induced Sudden Cardiac Death.

Applications

Unspecified application

Species

Unspecified reactive species

Yiming Dong,Jianfeng Wang,Chenteng Yang,Junxia Bao,Xia Liu,Hao Chen,Xiaojing Zhang,Weibo Shi,Lihua Zhang,Qian Qi,Yingmin Li,Songjun Wang,Rufei Ma,Bin Cong,Guozhong Zhang
View all publications

Abcam product promise

当社は、高品質な試薬を通じてお客様の研究を力強くサポートすることをお約束いたします。ご使用いただく各段階で、常にお客様をサポートできる体制を整えております。万が一、製品が期待通りに機能しない場合は、「Abcam Product Promise」による当社保証制度に基づき、安心してご利用いただけます。
保証に関する詳細については利用規約をご確認ください。

Please note: All products are 'FOR RESEARCH USE ONLY. NOT FOR USE IN DIAGNOSTIC OR THERAPEUTIC PROCEDURES'.

For licensing inquiries, please contact partnerships@abcam.com