JavaScript is disabled in your browser. Please enable JavaScript to view this website.
AB179521

Anti-PKC 抗体 [EPR16794]

Anti-PKC antibody [EPR16794]

Be the first to review this product! Submit a review

|

(9 Publications)

Rabbit Recombinant Monoclonal KPCB antibody. Suitable for IP, WB, ICC/IF, IHC-P and reacts with Mouse, Rat, Human, Recombinant full length protein - Human samples. Cited in 9 publications.

別名を表示する

PKCB, PRKCB1, PRKCB, Protein kinase C beta type, PKC-B, PKC-beta

10 Images
Immunocytochemistry/ Immunofluorescence - Anti-PKC antibody [EPR16794] (AB179521)
  • ICC/IF

Supplier Data

Immunocytochemistry/ Immunofluorescence - Anti-PKC antibody [EPR16794] (AB179521)

Immunofluorescent analysis of 4% paraformaldehyde-fixed 0.1% Triton X-100 permeabilized HeLa (Human epithelial cell line from cervix adenocarcinoma) cells labeling PKC alpha+beta1+beta2 with ab179521 at 1/100 dilution followed by Goat anti-rabbit IgG (Alexa Fluor® 488) (ab150077) secondary antibody at 1/500 dilution (green). Confocal image showing nuclear and cytoplasm staining on HeLa cell line. The nuclear counter stain is DAPI (blue). Tubulin is detected with ab7291 (anti-Tubulin mouse mAb) at 1/1000 dilution and ab150120 (AlexaFluor®594 Goat anti-Mouse secondary) at 1/500 dilution (red).

The negative controls are as follows :
-ve control 1 : ab179521 at 1/100 dilution followed by ab150120 (AlexaFluor®594 Goat anti-Mouse secondary) at 1/500 dilution.
-ve control 2 : ab7291 (anti-Tubulin mouse mAb) at 1/1000 dilution followed by ab150077 (Alexa Fluor®488 Goat Anti-Rabbit IgG H&L) at 1/500 dilution.

Immunohistochemistry (Formalin/PFA-fixed paraffin-embedded sections) - Anti-PKC antibody [EPR16794] (AB179521)
  • IHC-P

Supplier Data

Immunohistochemistry (Formalin/PFA-fixed paraffin-embedded sections) - Anti-PKC antibody [EPR16794] (AB179521)

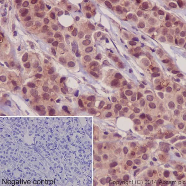
Immunohistochemical analysis of paraffin-embedded Human breast cancer tissue labeling PKC alpha+beta1+beta2 with ab179521 at 1/500 dilution followed by Goat Anti-Rabbit IgG H&L (HRP) (ab97051) at 1/500 dilution. Nuclear and cytoplasmic staining on Human breast cancer is observed. Counter stained with Hematoxylin.

Negative control : Used PBS instead of primary antibody secondary antibody is Goat Anti-Rabbit IgG H&L (HRP) (ab97051) at 1/500 dilution.

Perform heat mediated antigen retrieval with Tris/EDTA buffer pH 9.0 before commencing with IHC staining protocol.

Immunohistochemistry (Formalin/PFA-fixed paraffin-embedded sections) - Anti-PKC antibody [EPR16794] (AB179521)
  • IHC-P

Supplier Data

Immunohistochemistry (Formalin/PFA-fixed paraffin-embedded sections) - Anti-PKC antibody [EPR16794] (AB179521)

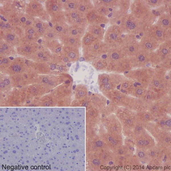
Immunohistochemical analysis of paraffin-embedded mouse liver tissue labeling PKC alpha+beta1+beta2 with ab179521 at 1/500 dilution followed by Goat Anti-Rabbit IgG H&L (HRP) (ab97051) at 1/500 dilution. Cytoplasmic staining on mouse liver is observed. Counter stained with Hematoxylin.

Negative control : Used PBS instead of primary antibody secondary antibody is Goat Anti-Rabbit IgG H&L (HRP) (ab97051) at 1/500 dilution.

Perform heat mediated antigen retrieval with Tris/EDTA buffer pH 9.0 before commencing with IHC staining protocol.

Immunohistochemistry (Formalin/PFA-fixed paraffin-embedded sections) - Anti-PKC antibody [EPR16794] (AB179521)
  • IHC-P

Supplier Data

Immunohistochemistry (Formalin/PFA-fixed paraffin-embedded sections) - Anti-PKC antibody [EPR16794] (AB179521)

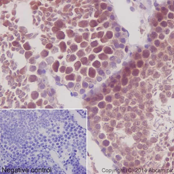
Immunohistochemical analysis of paraffin-embedded Rat testis tissue labeling PKC alpha+beta1+beta2 with ab179521 at 1/500 dilution followed by Goat Anti-Rabbit IgG H&L (HRP) (ab97051) at 1/500 dilution. Nuclear and cytoplasmic staining on rat testis is observed. Counter stained with Hematoxylin.

Negative control : Used PBS instead of primary antibody secondary antibody is Goat Anti-Rabbit IgG H&L (HRP) (ab97051) at 1/500 dilution.

Perform heat mediated antigen retrieval with Tris/EDTA buffer pH 9.0 before commencing with IHC staining protocol.

Immunoprecipitation - Anti-PKC antibody [EPR16794] (AB179521)
  • IP

Supplier Data

Immunoprecipitation - Anti-PKC antibody [EPR16794] (AB179521)

PKC alpha+beta1+beta2 was immunoprecipitated from 1mg of Mouse brain whole cell lysate with ab179521 at 1/80 dilution. Western blot was performed from the immunoprecipitate using ab179521 at 1/1000 dilution. VeriBlot for IP Detection Reagent (HRP) (ab131366), was used for detection at 1/10000 dilution.
Lane 1 : Mouse brain whole cell lysate 10μg (Input).
Lane 2 : ab179521 IP in Mouse brain whole cell lysate.
Lane 3 : Rabbit monoclonal IgG (ab172730) instead of ab179521 in Mouse brain whole cell lysate.
Blocking and dilution buffer and concentration : 5% NFDM/TBST.
Exposure time : 1 second.

All lanes:

Immunoprecipitation - Anti-PKC antibody [EPR16794] (ab179521)

Predicted band size: 77 kDa

false

Western blot - Anti-PKC antibody [EPR16794] (AB179521)
  • WB

Supplier Data

Western blot - Anti-PKC antibody [EPR16794] (AB179521)

Blocking/Dilution buffer : 5% NFDM/TBST.

Active human PKC gamma full length protein (Catalog # ab60842) contains aa1-677 with GST-tag.

ab179521 weakly recognizes PKC gamma, and is only evident at long exposure times.

All lanes:

Western blot - Anti-PKC antibody [EPR16794] (ab179521) at 1/2000 dilution

All lanes:

Active human PKC gamma full length protein at 0.02 µg

Secondary

All lanes:

Western blot - Goat Anti-Rabbit IgG H&L (HRP) (<a href='/products/secondary-antibodies/goat-rabbit-igg-h-l-hrp-ab97051'>ab97051</a>) at 1/50000 dilution

Predicted band size: 77 kDa

false

Exposure time: 3min

Western blot - Anti-PKC antibody [EPR16794] (AB179521)
  • WB

Supplier Data

Western blot - Anti-PKC antibody [EPR16794] (AB179521)

Blocking/Dilution buffer : 5% NFDM/TBST.

All lanes:

Western blot - Anti-PKC antibody [EPR16794] (ab179521) at 1/5000 dilution

Lane 1:

Human fetal brain lysate at 20 µg

Lane 2:

Human fetal kidney lysate at 20 µg

Lane 3:

Jurkat (Human T cell leukemia cell line from peripheral blood) whole cell lysate at 20 µg

Lane 4:

SH-SY5Y (Human neuroblastoma cell line from bone marrow) whole cell lysate at 20 µg

Secondary

All lanes:

Anti-Rabbit IgG (HRP), specific to the non-reduced form of IgG at 1/1000 dilution

Predicted band size: 77 kDa

Observed band size: 78 kDa

false

Western blot - Anti-PKC antibody [EPR16794] (AB179521)
  • WB

Supplier Data

Western blot - Anti-PKC antibody [EPR16794] (AB179521)

Blocking/Dilution buffer : 5% NFDM/TBST.

Active human PKC alpha full length protein (Catalog#ab55672) contains aa1-672 with GST-tag; Active human PKC beta 1 full length protein (Catalog#ab60840) contains aa1-671 with GST-tag; Active human PKC beta 2 full length protein (Catalog#ab60841) contains aa1-673 with GST-tag; Active human PKC gamma full length protein (Catalog#ab60842) contains aa1-677 with GST-tag; Active human PKC delta full length protein (Catalog#ab60844) contains aa1-676 with GST-tag; Active human PKC eta full length protein (Catalog#ab60849) contains aa1-683 with GST-tag; Active human PKC epsilon full length protein (Catalog#ab60847) contains aa1-737 with GST-tag; Active human PKC theta full length protein (Catalog#ab56641) contains aa1-706 with GST-tag; Active human PKC mu full length protein (Catalog#ab60873) contains aa1-912 with GST-tag.

All lanes:

Western blot - Anti-PKC antibody [EPR16794] (ab179521) at 1/2000 dilution

Lane 1:

Active human PKC alpha full length protein at 0.02 µg

Lane 2:

Active human PKC beta 1 full length protein at 0.02 µg

Lane 3:

Active human PKC beta 2 full length protein at 0.02 µg

Lane 4:

Active human PKC gamma full length protein at 0.02 µg

Lane 5:

Active human PKC delta full length protein at 0.02 µg

Lane 6:

Active human PKC eta full length protein at 0.02 µg

Lane 7:

Active human PKC epsilon full length protein at 0.02 µg

Lane 8:

Active human PKC theta full length protein at 0.02 µg

Lane 9:

Active human PKC mu full length protein at 0.02 µg

Secondary

All lanes:

Western blot - Goat Anti-Rabbit IgG H&L (HRP) (<a href='/products/secondary-antibodies/goat-rabbit-igg-h-l-hrp-ab97051'>ab97051</a>) at 1/50000 dilution

Predicted band size: 77 kDa

false

Exposure time: 5s

Western blot - Anti-PKC antibody [EPR16794] (AB179521)
  • WB

Supplier Data

Western blot - Anti-PKC antibody [EPR16794] (AB179521)

Blocking/Dilution buffer : 5% NFDM/TBST.

All lanes:

Western blot - Anti-PKC antibody [EPR16794] (ab179521) at 1/5000 dilution

Lane 1:

L-929 (Mouse connective tissue fibroblast cell line) whole cell lysate at 10 µg

Lane 2:

Rat thymus lysate at 10 µg

Lane 3:

Mouse thymus lysate at 10 µg

Secondary

All lanes:

Goat Anti-Rabbit IgG, (H+L),Peroxidase conjugated at 1/1000 dilution

Predicted band size: 27 kDa,77 kDa

Observed band size: 27 kDa,78 kDa

false

Western blot - Anti-PKC antibody [EPR16794] (AB179521)
  • WB

Unknown

Western blot - Anti-PKC antibody [EPR16794] (AB179521)

Recombinant PKC isoforms were tested for reactivity by western blot, and are marked as positive (+) or negative (-).

All lanes:

Western blot - Anti-PKC antibody [EPR16794] (ab179521)

Predicted band size: 77 kDa

false

関連する標識済み抗体及び組成の異なる製品 (1)

  • Carrier free

    Anti-PKC antibody [EPR16794] - BSA and Azide free

Key facts

宿主種

Rabbit

クローン性

Monoclonal

クローン番号

EPR16794

アイソタイプ

IgG

キャリアフリー

No

交差種

Mouse, Rat, Human

アプリケーション

ICC/IF, WB, IHC-P, IP

applications

免疫原

The exact immunogen used to generate this antibody is proprietary information.

Reactivity data

{ "title": "Reactivity Data", "filters": { "stats": ["", "Species", "Dilution Info", "Notes"], "tabs": { "all-applications": {"fullname" : "All Applications", "shortname": "All Applications"}, "IP" : {"fullname" : "Immunoprecipitation", "shortname":"IP"}, "WB" : {"fullname" : "Western blot", "shortname":"WB"}, "ICCIF" : {"fullname" : "Immunocytochemistry/ Immunofluorescence", "shortname":"ICC/IF"}, "IHCP" : {"fullname" : "Immunohistochemistry (Formalin/PFA-fixed paraffin-embedded sections)", "shortname":"IHC-P"} }, "product-promise": { "all": "all", "testedAndGuaranteed": "tested", "guaranteed": "expected", "predicted": "predicted", "notRecommended": "not-recommended" } }, "values": { "Human": { "IP-species-checked": "guaranteed", "IP-species-dilution-info": "", "IP-species-notes": "", "WB-species-checked": "testedAndGuaranteed", "WB-species-dilution-info": "1/2000", "WB-species-notes": "<p></p>", "ICCIF-species-checked": "testedAndGuaranteed", "ICCIF-species-dilution-info": "1/100", "ICCIF-species-notes": "<p></p>", "IHCP-species-checked": "testedAndGuaranteed", "IHCP-species-dilution-info": "1/500", "IHCP-species-notes": "<p></p>" }, "Mouse": { "IP-species-checked": "testedAndGuaranteed", "IP-species-dilution-info": "1/80", "IP-species-notes": "<p></p>", "WB-species-checked": "testedAndGuaranteed", "WB-species-dilution-info": "1/2000", "WB-species-notes": "<p></p>", "ICCIF-species-checked": "guaranteed", "ICCIF-species-dilution-info": "", "ICCIF-species-notes": "", "IHCP-species-checked": "testedAndGuaranteed", "IHCP-species-dilution-info": "1/500", "IHCP-species-notes": "<p></p>" }, "Rat": { "IP-species-checked": "guaranteed", "IP-species-dilution-info": "", "IP-species-notes": "", "WB-species-checked": "testedAndGuaranteed", "WB-species-dilution-info": "1/2000", "WB-species-notes": "<p></p>", "ICCIF-species-checked": "guaranteed", "ICCIF-species-dilution-info": "", "ICCIF-species-notes": "", "IHCP-species-checked": "testedAndGuaranteed", "IHCP-species-dilution-info": "1/500", "IHCP-species-notes": "<p></p>" }, "Recombinant full length protein - Human": { "IP-species-checked": "notRecommended", "IP-species-dilution-info": "", "IP-species-notes": "", "WB-species-checked": "testedAndGuaranteed", "WB-species-dilution-info": "1/2000", "WB-species-notes": "<p></p>", "ICCIF-species-checked": "notRecommended", "ICCIF-species-dilution-info": "", "ICCIF-species-notes": "", "IHCP-species-checked": "notRecommended", "IHCP-species-dilution-info": "", "IHCP-species-notes": "" } } }

製品の詳細

<img src="https://www.abcam.com/ps/Products/179/ab179521/Images/ab179521-263037-anti-pkc-antibody-epr16794.jpg"/>

Recombinant PKC isoforms were tested for reactivity to ab179521 by western blot, and are marked as positive (+) or negative (-).

Patented technology
Our RabMAb® technology is a patented hybridoma-based technology for making rabbit monoclonal antibodies. For details on our patents, please refer to RabMAb® patents.

What are the advantages of a recombinant monoclonal antibody?
This product is a recombinant monoclonal antibody, which offers several advantages including:

  • - High batch-to-batch consistency and reproducibility
  • - Improved sensitivity and specificity
  • - Long-term security of supply
  • - Animal-free batch production

For more information, read more on recombinant antibodies.

出荷温度及び保存条件

製品の状態
Liquid
精製方法
Affinity purification Protein A
バッファー組成
Preservative: 0.01% Sodium azide Constituents: PBS, 40% Glycerol (glycerin, glycerine), 0.05% BSA
出荷温度
Blue Ice
短期保存期間
1-2 weeks
短期保存温度
+4°C
長期保存温度
-20°C
分注に関する情報
Upon delivery aliquot
保管に関する情報
Avoid freeze / thaw cycle

補足情報

This supplementary information is collated from multiple sources and compiled automatically.

Protein kinase C (PKC) comprises a family of serine/threonine kinases with several isoforms such as PKC alpha beta and gamma among others. PKC enzymes play key roles in intracellular signaling particularly in mediating responses to growth factors hormones and other signals. PKC exhibits a molecular weight generally ranging around 77 to 97 kDa depending on the isoform. These enzymes show expression in many tissues but have high concentrations in the brain heart and lung. PKC activation often involves translocation to cellular membranes which is important for their signaling roles.
Biological function summary

PKC influences various cellular processes such as cell proliferation differentiation apoptosis and immune responses. It acts within larger protein complexes serving as a modulator of cellular functions. The activation of PKC leads to its association with different scaffolding proteins impacting a wide array of cell activities. PKC notably affects the function of other kinases and transcription factors demonstrating its integral role in managing cellular behavior and homeostasis.

Pathways

PKC participates in the phosphoinositide signaling pathway and the mitogen-activated protein kinase (MAPK) pathway. In these contexts PKC activation impacts proteins like Ras and Raf kinases which play roles in cellular growth and differentiation. By modulating these pathways PKC becomes an important component in signal transduction cascades influencing cell fate decisions. Understanding the interaction between PKC and these pathways helps in elucidating its role in maintaining normal cellular activities and responses to external stimuli.

PKC is linked to cancer and cardiovascular diseases. In cancer dysregulation of PKC activity often contributes to tumor growth and progression by altering pathways that control cell division and survival. PKC abnormally interacts with proteins like Bcl-2 promoting cell survival. In cardiovascular diseases changes in PKC signaling can impact heart function contributing to conditions like heart failure through interactions with proteins such as troponin. Research on PKC and these diseases can provide insights into developing targeted therapies.

製品プロトコール

For this product, it's our understanding that no specific protocols are required. You can visit:

ターゲットの情報

Calcium-activated, phospholipid- and diacylglycerol (DAG)-dependent serine/threonine-protein kinase involved in various cellular processes such as regulation of the B-cell receptor (BCR) signalosome, oxidative stress-induced apoptosis, androgen receptor-dependent transcription regulation, insulin signaling and endothelial cells proliferation. Plays a key role in B-cell activation by regulating BCR-induced NF-kappa-B activation. Mediates the activation of the canonical NF-kappa-B pathway (NFKB1) by direct phosphorylation of CARD11/CARMA1 at 'Ser-559', 'Ser-644' and 'Ser-652'. Phosphorylation induces CARD11/CARMA1 association with lipid rafts and recruitment of the BCL10-MALT1 complex as well as MAP3K7/TAK1, which then activates IKK complex, resulting in nuclear translocation and activation of NFKB1. Plays a direct role in the negative feedback regulation of the BCR signaling, by down-modulating BTK function via direct phosphorylation of BTK at 'Ser-180', which results in the alteration of BTK plasma membrane localization and in turn inhibition of BTK activity (PubMed : 11598012). Involved in apoptosis following oxidative damage : in case of oxidative conditions, specifically phosphorylates 'Ser-36' of isoform p66Shc of SHC1, leading to mitochondrial accumulation of p66Shc, where p66Shc acts as a reactive oxygen species producer. Acts as a coactivator of androgen receptor (AR)-dependent transcription, by being recruited to AR target genes and specifically mediating phosphorylation of 'Thr-6' of histone H3 (H3T6ph), a specific tag for epigenetic transcriptional activation that prevents demethylation of histone H3 'Lys-4' (H3K4me) by LSD1/KDM1A (PubMed : 20228790). In insulin signaling, may function downstream of IRS1 in muscle cells and mediate insulin-dependent DNA synthesis through the RAF1-MAPK/ERK signaling cascade. Participates in the regulation of glucose transport in adipocytes by negatively modulating the insulin-stimulated translocation of the glucose transporter SLC2A4/GLUT4. Phosphorylates SLC2A1/GLUT1, promoting glucose uptake by SLC2A1/GLUT1 (PubMed : 25982116). Under high glucose in pancreatic beta-cells, is probably involved in the inhibition of the insulin gene transcription, via regulation of MYC expression. In endothelial cells, activation of PRKCB induces increased phosphorylation of RB1, increased VEGFA-induced cell proliferation, and inhibits PI3K/AKT-dependent nitric oxide synthase (NOS3/eNOS) regulation by insulin, which causes endothelial dysfunction. Also involved in triglyceride homeostasis (By similarity). Phosphorylates ATF2 which promotes cooperation between ATF2 and JUN, activating transcription (PubMed : 19176525). Phosphorylates KLHL3 in response to angiotensin II signaling, decreasing the interaction between KLHL3 and WNK4 (PubMed : 25313067). Phosphorylates and activates LRRK1, which phosphorylates RAB proteins involved in intracellular trafficking (PubMed : 36040231).. Isoform Beta-II. Acts as an activator of ferroptosis by mediating phosphorylation and activation of ACSL4 (PubMed : 35027735). Also stimulates ferroptosis propagation by catalyzing phosphorylation of FOXK1, thereby promoting LGALS13 secretion (PubMed : 40246981).
See full target information PRKCB

文献 (9)

Recent publications for all applications. Explore the full list and refine your search

Drug development research 85:e70032 PubMed39670965

2024

AEBP1 Silencing Protects Against Cerebral Ischemia/Reperfusion Injury by Regulating Neuron Ferroptosis and Microglia M2 Polarization Through PRKCA-PI3K-Akt Axis.

Applications

Unspecified application

Species

Unspecified reactive species

Yafen Zhang,Yan Li,Fengli Liu

Environmental toxicology 39:357-366 PubMed37755144

2023

MiRNA-26a-5p inhibits preterm labor initiation by targeting and regulating TRPC3 ion channel protein expression.

Applications

Unspecified application

Species

Unspecified reactive species

Jing Chen,Tong Liu,Hong Cui,Quan Na,Sishi Liu

Translational cancer research 11:2050-2060 PubMed36249885

2022

Effect of IL-8 on hepatocellular carcinoma-associated metastasis by targeting MMP9 in mice.

Applications

Unspecified application

Species

Unspecified reactive species

Jun-Chao Xue,Han-Yu Zhou,Liu-Shen-Yan Yu,Yan-Yan Wu

Folia histochemica et cytobiologica 60:271-279 PubMed36177743

2022

Wnt5a/Ror2 promotes vascular smooth muscle cells proliferation via activating PKC.

Applications

Unspecified application

Species

Unspecified reactive species

Yaning Shi,Hongfang Li,Jia Gu,Yongzhen Gong,Xuejiao Xie,Duanfang Liao,Li Qin

Cell death & disease 13:253 PubMed35306512

2022

Amyloid β / PKC-dependent alterations in NMDA receptor composition are detected in early stages of Alzheimer´s disease.

Applications

Unspecified application

Species

Unspecified reactive species

Carolina Ortiz-Sanz,Uxue Balantzategi,Tania Quintela-López,Asier Ruiz,Celia Luchena,Jone Zuazo-Ibarra,Estibaliz Capetillo-Zarate,Carlos Matute,José L Zugaza,Elena Alberdi

International journal of biological sciences 17:2561-2575 PubMed34326694

2021

Celastrol ameliorates vascular neointimal hyperplasia through Wnt5a-involved autophagy.

Applications

Unspecified application

Species

Unspecified reactive species

Ya-Ning Shi,Le-Ping Liu,Chang-Feng Deng,Tan-Jun Zhao,Zhe Shi,Jian-Ye Yan,Yong-Zhen Gong,Duan-Fang Liao,Li Qin

Experimental and therapeutic medicine 20:1385-1396 PubMed32742373

2020

Treatment with (L.) Less. leaf ethanol extract alleviates liver injury in multiple low-dose streptozotocin-induced diabetic BALB/c mice.

Applications

Unspecified application

Species

Unspecified reactive species

Jongdee Nopparat,Aekkaraj Nualla-Ong,Amornrat Phongdara

Nutrients 11: PubMed30871060

2019

Glycyrrhetinic Acid Improves Insulin-Response Pathway by Regulating the Balance between the Ras/MAPK and PI3K/Akt Pathways.

Applications

Unspecified application

Species

Unspecified reactive species

Yuan Zhang,Shengnan Yang,Man Zhang,Zhihua Wang,Xin He,Yuanyuan Hou,Gang Bai

Molecular pharmacology 93:297-308 PubMed29367259

2018

Pharmacogenomics of Chemically Distinct Classes of Keap1-Nrf2 Activators Identify Common and Unique Gene, Protein, and Pathway Responses In Vivo.

Applications

Unspecified application

Species

Unspecified reactive species

Ryan S Wible,Quynh T Tran,Samreen Fathima,Carrie H Sutter,Thomas W Kensler,Thomas R Sutter
View all publications

Abcam product promise

当社は、高品質な試薬を通じてお客様の研究を力強くサポートすることをお約束いたします。ご使用いただく各段階で、常にお客様をサポートできる体制を整えております。万が一、製品が期待通りに機能しない場合は、「Abcam Product Promise」による当社保証制度に基づき、安心してご利用いただけます。
保証に関する詳細については利用規約をご確認ください。

Please note: All products are 'FOR RESEARCH USE ONLY. NOT FOR USE IN DIAGNOSTIC OR THERAPEUTIC PROCEDURES'.

For licensing inquiries, please contact partnerships@abcam.com