JavaScript is disabled in your browser. Please enable JavaScript to view this website.
AB184746

Anti-PKC alpha + beta 2 + gamma 抗体 [EPR18104]

Anti-PKC alpha + beta 2 + gamma antibody [EPR18104]

Be the first to review this product! Submit a review

|

(3 Publications)

Rabbit Recombinant Monoclonal KPCA antibody. Suitable for WB, ICC/IF, Flow Cyt (Intra), IHC-P and reacts with Mouse, Rat, Human samples. Cited in 3 publications.

別名を表示する

PKCA, PRKACA, PRKCA, Protein kinase C alpha type, PKC-A, PKC-alpha

14 Images
Immunocytochemistry/ Immunofluorescence - Anti-PKC alpha + beta 2 + gamma antibody [EPR18104] (AB184746)
  • ICC/IF

Supplier Data

Immunocytochemistry/ Immunofluorescence - Anti-PKC alpha + beta 2 + gamma antibody [EPR18104] (AB184746)

Immunofluorescent analysis of 4% paraformaldehyde-fixed 0.1% Triton X-100 permeabilized SH-SY5Y (Human neuroblastoma cell line from bone marrow) cells labeling PKC gamma with ab184746 at 1/100 dilution followed by Goat anti-rabbit IgG (Alexa Fluor® 488) (ab150077) secondary antibody at 1/1000 dilution (green).

Confocal image showing cytoplasmic and nuclear staining on SH-SY5Y cell line.

The nuclear counterstain is DAPI (blue). Tubulin is detected with ab7291 (anti-Tubulin mouse mAb) at 1/1000 dilution and ab150120 (AlexaFluor®594 Goat anti-Mouse secondary) at 1/1000 dilution (red).

The negative controls are as follows : -

-ve control 1 : ab184746 at 1/100 dilution followed by ab150120 (AlexaFluor®594 Goat anti-Mouse secondary) at 1/1000 dilution.

-ve control 2 : ab7291 (anti-Tubulin mouse mAb) at 1/1000 dilution followed by ab150077 (Alexa Fluor®488 Goat Anti-Rabbit IgG H&L) at 1/1000 dilution.

Immunocytochemistry/ Immunofluorescence - Anti-PKC alpha + beta 2 + gamma antibody [EPR18104] (AB184746)
  • ICC/IF

Supplier Data

Immunocytochemistry/ Immunofluorescence - Anti-PKC alpha + beta 2 + gamma antibody [EPR18104] (AB184746)

Immunofluorescent analysis of 4% paraformaldehyde-fixed 0.1% Triton X-100 permeabilized HeLa (Human epithelial cell line from cervix adenocarcinoma) cells labeling PKC gamma with ab184746 at 1/100 dilution followed by Goat anti-rabbit IgG (Alexa Fluor® 488) (ab150077) secondary antibody at 1/1000 dilution (green).

Confocal image showing cytoplasmic and nuclear staining on HeLa cell line.

The nuclear counterstain is DAPI (blue).

Tubulin is detected with ab7291 (anti-Tubulin mouse mAb) at 1/1000 dilution and ab150120 (AlexaFluor®594 Goat anti-Mouse secondary) at 1/1000 dilution (red).

The negative controls are as follows : -

-ve control 1 : ab184746 at 1/100 dilution followed by ab150120 (AlexaFluor®594 Goat anti-Mouse secondary) at 1/1000 dilution.

-ve control 2 : ab7291 (anti-Tubulin mouse mAb) at 1/1000 dilution followed by ab150077 (Alexa Fluor®488 Goat Anti-Rabbit IgG H&L) at 1/1000 dilution.

Immunohistochemistry (Formalin/PFA-fixed paraffin-embedded sections) - Anti-PKC alpha + beta 2 + gamma antibody [EPR18104] (AB184746)
  • IHC-P

Supplier Data

Immunohistochemistry (Formalin/PFA-fixed paraffin-embedded sections) - Anti-PKC alpha + beta 2 + gamma antibody [EPR18104] (AB184746)

Immunohistochemical analysis of paraffin-embedded human cerebral cortex tissue labeling PKC gamma with ab184746 at 1/400 dilution followed by Goat Anti-Rabbit IgG H&L (HRP) (ab97051) at 1/500 dilution.

Weak cytoplasmic staining on neuron of Human cerebral cortex is observed.

Counter stained with Hematoxylin.

Secondary antibody only control : Used PBS instead of primary antibody secondary antibody is Goat Anti-Rabbit IgG H&L (HRP) (ab97051) at 1/500 dilution.

Perform heat mediated antigen retrieval with Tris/EDTA buffer pH 9.0 before commencing with IHC staining protocol.

Immunohistochemistry (Formalin/PFA-fixed paraffin-embedded sections) - Anti-PKC alpha + beta 2 + gamma antibody [EPR18104] (AB184746)
  • IHC-P

Supplier Data

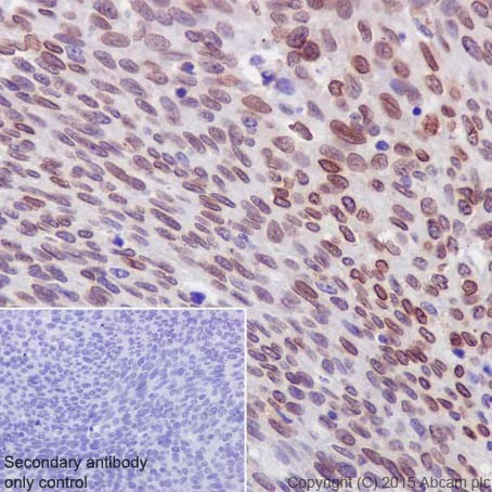
Immunohistochemistry (Formalin/PFA-fixed paraffin-embedded sections) - Anti-PKC alpha + beta 2 + gamma antibody [EPR18104] (AB184746)

Immunohistochemical analysis of paraffin-embedded cervical cancer tissue labeling PKC gamma with ab184746 at 1/400 dilution followed by Goat Anti-Rabbit IgG H&L (HRP) (ab97051) at 1/500 dilution.

Nucleus and weak cytoplasmic staining on cancer cells of cervix cancer is observed.

Counter stained with Hematoxylin.

Secondary antibody only control : Used PBS instead of primary antibody secondary antibody is ab97051 at 1/500 dilution.

Perform heat mediated antigen retrieval with Tris/EDTA buffer pH 9.0 before commencing with IHC staining protocol.

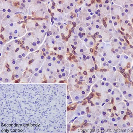
Immunohistochemistry (Formalin/PFA-fixed paraffin-embedded sections) - Anti-PKC alpha + beta 2 + gamma antibody [EPR18104] (AB184746)
  • IHC-P

Supplier Data

Immunohistochemistry (Formalin/PFA-fixed paraffin-embedded sections) - Anti-PKC alpha + beta 2 + gamma antibody [EPR18104] (AB184746)

Immunohistochemical analysis of paraffin-embedded human pancreas tissue labeling PKC gamma with ab184746 at 1/400 dilution followed by Goat Anti-Rabbit IgG H&L (HRP) (ab97051) at 1/500 dilution.

Nucleus and weak cytoplasmic staining on Human pancreatic acinar cells is observed.

Counter stained with Hematoxylin.

Secondary antibody only control : Used PBS instead of primary antibody secondary antibody is ab97051 at 1/500 dilution.

Perform heat mediated antigen retrieval with Tris/EDTA buffer pH 9.0 before commencing with IHC staining protocol.

Flow Cytometry (Intracellular) - Anti-PKC alpha + beta 2 + gamma antibody [EPR18104] (AB184746)
  • Flow Cyt (Intra)

Supplier Data

Flow Cytometry (Intracellular) - Anti-PKC alpha + beta 2 + gamma antibody [EPR18104] (AB184746)

Intracellular flow cytometric analysis of 4% paraformaldehyde-fixed HeLa (Human epithelial cell line from cervix adenocarcinoma) cells labeling PKC gamma with ab184746 at 1/60 dilution (red) compared with a rabbit monoclonal IgG isotype control (ab172730; black) and an unlabelled control (cells without incubation with primary antibody and secondary antibody; blue). Goat anti rabbit IgG (FITC) at 1/500 dilution was used as the secondary antibody.

Immunohistochemistry (Formalin/PFA-fixed paraffin-embedded sections) - Anti-PKC alpha + beta 2 + gamma antibody [EPR18104] (AB184746)
  • IHC-P

Supplier Data

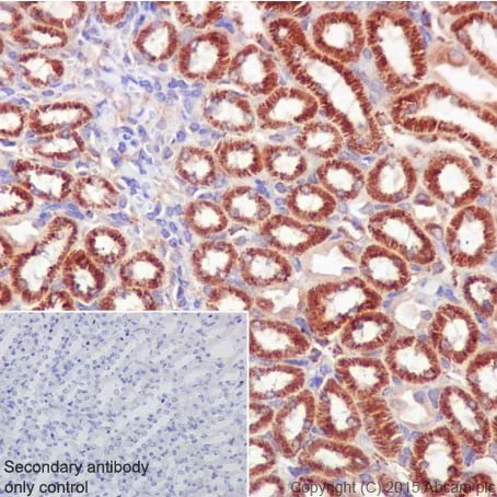
Immunohistochemistry (Formalin/PFA-fixed paraffin-embedded sections) - Anti-PKC alpha + beta 2 + gamma antibody [EPR18104] (AB184746)

Immunohistochemical analysis of paraffin-embedded mouse kidney tissue labeling PKC gamma with ab184746 at 1/400 dilution followed by Goat Anti-Rabbit IgG H&L (HRP) (ab97051) at 1/500 dilution.

Cytoplasmic staining on epithelial cells of mouse kidney is observed.

Counter stained with Hematoxylin.

Secondary antibody only control : Used PBS instead of primary antibody secondary antibody is ab97051 at 1/500 dilution.

Perform heat mediated antigen retrieval with Tris/EDTA buffer pH 9.0 before commencing with IHC staining protocol.

Immunohistochemistry (Formalin/PFA-fixed paraffin-embedded sections) - Anti-PKC alpha + beta 2 + gamma antibody [EPR18104] (AB184746)
  • IHC-P

Supplier Data

Immunohistochemistry (Formalin/PFA-fixed paraffin-embedded sections) - Anti-PKC alpha + beta 2 + gamma antibody [EPR18104] (AB184746)

Immunohistochemical analysis of paraffin-embedded rat kidney tissue labeling PKC gamma with ab184746 at 1/400 dilution followed by Goat Anti-Rabbit IgG H&L (HRP) (ab97051) at 1/500 dilution.

Nucleus and cytoplasmic staining on epithelial cells of rat kidney is observed.

Counter stained with Hematoxylin.

Secondary antibody only control : Used PBS instead of primary antibody secondary antibody is ab97051 at 1/500 dilution.

Perform heat mediated antigen retrieval with Tris/EDTA buffer pH 9.0 before commencing with IHC staining protocol.

Western blot - Anti-PKC alpha + beta 2 + gamma antibody [EPR18104] (AB184746)
  • WB

Unknown

Western blot - Anti-PKC alpha + beta 2 + gamma antibody [EPR18104] (AB184746)

Blocking/Dilution buffer : 5% NFDM/TBST.

All lanes:

Western blot - Anti-PKC alpha + beta 2 + gamma antibody [EPR18104] (ab184746) at 1/1000 dilution

Lane 1:

HeLa (Human epithelial cell line from cervix adenocarcinoma) whole cell lysate at 10 µg

Lane 2:

Jurkat (Human T cell leukemia cell line from peripheral blood) whole cell lysate at 10 µg

Lane 3:

K562 (Human chronic myelogenous leukemia cell line from bone marrow) whole cell lysate at 10 µg

Secondary

All lanes:

Western blot - Goat Anti-Rabbit IgG H&L (HRP) (<a href='/products/secondary-antibodies/goat-rabbit-igg-h-l-hrp-ab97051'>ab97051</a>) at 1/10000 dilution

Predicted band size: 77 kDa,78 kDa

Observed band size: 78 kDa

false

Exposure time: 2s

Western blot - Anti-PKC alpha + beta 2 + gamma antibody [EPR18104] (AB184746)
  • WB

Supplier Data

Western blot - Anti-PKC alpha + beta 2 + gamma antibody [EPR18104] (AB184746)

Blocking/Dilution buffer : 5% NFDM/TBST.

Active human PKC alpha full length protein (Catalog#ab55672) contains aa1-672 with GST-tag; Active human PKC gamma full length protein (Catalog#ab60842) contains aa1-677 with GST-tag.

All lanes:

Western blot - Anti-PKC alpha + beta 2 + gamma antibody [EPR18104] (ab184746) at 1/1000 dilution

Lane 1:

Active human PKC alpha full length protein at 0.02 µg

Lane 2:

Active human PKC gamma full length protein at 0.02 µg

Secondary

All lanes:

Western blot - Goat Anti-Rabbit IgG H&L (HRP) (<a href='/products/secondary-antibodies/goat-rabbit-igg-h-l-hrp-ab97051'>ab97051</a>) at 1/50000 dilution

Predicted band size: 77 kDa,78 kDa

false

Exposure time: 1s

Western blot - Anti-PKC alpha + beta 2 + gamma antibody [EPR18104] (AB184746)
  • WB

Supplier Data

Western blot - Anti-PKC alpha + beta 2 + gamma antibody [EPR18104] (AB184746)

Blocking/Dilution buffer : 5% NFDM/TBST.

Active human PKC beta 1 full length protein (Catalog #ab60840) contains aa1-671 with GST-tag.

All lanes:

Western blot - Anti-PKC alpha + beta 2 + gamma antibody [EPR18104] (ab184746) at 1/1000 dilution

All lanes:

Active human PKC beta 1 full length protein at 0.02 µg

Secondary

All lanes:

Western blot - Goat Anti-Rabbit IgG H&L (HRP) (<a href='/products/secondary-antibodies/goat-rabbit-igg-h-l-hrp-ab97051'>ab97051</a>) at 1/50000 dilution

Predicted band size: 77 kDa,78 kDa

false

Exposure time: 3min

Western blot - Anti-PKC alpha + beta 2 + gamma antibody [EPR18104] (AB184746)
  • WB

Supplier Data

Western blot - Anti-PKC alpha + beta 2 + gamma antibody [EPR18104] (AB184746)

Blocking/Dilution buffer : 5% NFDM/TBST.

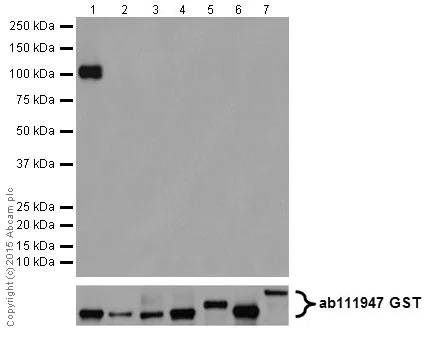
Active human PKC beta 1 full length protein(Catalog#ab60840) contains aa1-671 with GST-tag; Active human PKC beta 2 full length protein(Catalog#ab60841) contains aa1-673 with GST-tag; Active human PKC delta full length protein(Catalog#ab60844) contains aa1-676 with GST-tag; Active human PKC eta full length protein(Catalog#ab60849) contains aa1-683 with GST-tag; Active human PKC epsilon full length protein(Catalog#ab60847) contains aa1-737 with GST-tag; Active human PKC theta full length protein(Catalog#ab56641) contains aa1-706 with GST-tag; Active human PKC mu full length protein(Catalog#ab60873) contains aa1-912 with GST-tag.

All lanes:

Western blot - Anti-PKC alpha + beta 2 + gamma antibody [EPR18104] (ab184746) at 1/1000 dilution

Lane 1:

Active human PKC beta 2 full length protein at 0.02 µg

Lane 2:

Active human PKC beta 1 full length protein at 0.02 µg

Lane 3:

Active human PKC delta full length protein at 0.02 µg

Lane 4:

Active human PKC eta full length protein at 0.02 µg

Lane 5:

Active human PKC epsilon full length protein at 0.02 µg

Lane 6:

Active human PKC theta full length protein at 0.02 µg

Lane 7:

Active human PKC mu full length protein at 0.02 µg

Secondary

All lanes:

Western blot - Goat Anti-Rabbit IgG H&L (HRP) (<a href='/products/secondary-antibodies/goat-rabbit-igg-h-l-hrp-ab97051'>ab97051</a>) at 1/50000 dilution

Predicted band size: 77 kDa,78 kDa

false

Exposure time: 3min

Western blot - Anti-PKC alpha + beta 2 + gamma antibody [EPR18104] (AB184746)
  • WB

Supplier Data

Western blot - Anti-PKC alpha + beta 2 + gamma antibody [EPR18104] (AB184746)

Blocking/Dilution buffer : 5% NFDM/TBST.

All lanes:

Western blot - Anti-PKC alpha + beta 2 + gamma antibody [EPR18104] (ab184746) at 1/1000 dilution

All lanes:

Human fetal brain lysate at 10 µg

Secondary

All lanes:

Anti-Rabbit IgG (HRP), specific to the non-reduced form of IgG at 1/10000 dilution

Predicted band size: 77 kDa,78 kDa

Observed band size: 78 kDa

false

Exposure time: 1s

Western blot - Anti-PKC alpha + beta 2 + gamma antibody [EPR18104] (AB184746)
  • WB

Supplier Data

Western blot - Anti-PKC alpha + beta 2 + gamma antibody [EPR18104] (AB184746)

Blocking/Dilution buffer : 5% NFDM/TBST.

All lanes:

Western blot - Anti-PKC alpha + beta 2 + gamma antibody [EPR18104] (ab184746) at 1/1000 dilution

Lane 1:

Mouse brain lysate at 10 µg

Lane 2:

Rat brain lysate at 10 µg

Lane 3:

C6 (Rat glial tumor cell line) whole cell lysate at 10 µg

Lane 4:

RAW 264.7 (Mouse macrophage cell line transformed with Abelson murine leukemia virus) whole cell lysate at 10 µg

Lane 5:

PC-12 (Rat adrenal gland pheochromocytoma cell line) whole cell lysate at 10 µg

Lane 6:

NIH/3T3 (Mouse embryonic fibroblast cell line) whole cell lysate at 10 µg

Secondary

All lanes:

Western blot - Goat Anti-Rabbit IgG H&L (HRP) (<a href='/products/secondary-antibodies/goat-rabbit-igg-h-l-hrp-ab97051'>ab97051</a>) at 1/10000 dilution

Predicted band size: 77 kDa,78 kDa

Observed band size: 78 kDa

false

Exposure time: 1s

関連する標識済み抗体及び組成の異なる製品 (1)

  • Carrier free

    Anti-PKC alpha + beta 2 + gamma antibody [EPR18104] - BSA and Azide free

Key facts

宿主種

Rabbit

クローン性

Monoclonal

クローン番号

EPR18104

アイソタイプ

IgG

キャリアフリー

No

交差種

Mouse, Rat, Human

アプリケーション

IHC-P, Flow Cyt (Intra), ICC/IF, WB

applications

免疫原

The exact immunogen used to generate this antibody is proprietary information.

Reactivity data

{ "title": "Reactivity Data", "filters": { "stats": ["", "Species", "Dilution Info", "Notes"], "tabs": { "all-applications": {"fullname" : "All Applications", "shortname": "All Applications"}, "WB" : {"fullname" : "Western blot", "shortname":"WB"}, "ICCIF" : {"fullname" : "Immunocytochemistry/ Immunofluorescence", "shortname":"ICC/IF"}, "FlowCytIntra" : {"fullname" : "Flow Cytometry (Intracellular)", "shortname":"Flow Cyt (Intra)"}, "IHCP" : {"fullname" : "Immunohistochemistry (Formalin/PFA-fixed paraffin-embedded sections)", "shortname":"IHC-P"} }, "product-promise": { "all": "all", "testedAndGuaranteed": "tested", "guaranteed": "expected", "predicted": "predicted", "notRecommended": "not-recommended" } }, "values": { "Human": { "WB-species-checked": "testedAndGuaranteed", "WB-species-dilution-info": "1/1000", "WB-species-notes": "<p></p>", "ICCIF-species-checked": "testedAndGuaranteed", "ICCIF-species-dilution-info": "1/100", "ICCIF-species-notes": "<p></p>", "FlowCytIntra-species-checked": "testedAndGuaranteed", "FlowCytIntra-species-dilution-info": "1/60", "FlowCytIntra-species-notes": "<p></p>", "IHCP-species-checked": "testedAndGuaranteed", "IHCP-species-dilution-info": "1/400", "IHCP-species-notes": "<p></p>" }, "Mouse": { "WB-species-checked": "testedAndGuaranteed", "WB-species-dilution-info": "1/1000", "WB-species-notes": "<p></p>", "ICCIF-species-checked": "guaranteed", "ICCIF-species-dilution-info": "", "ICCIF-species-notes": "", "FlowCytIntra-species-checked": "guaranteed", "FlowCytIntra-species-dilution-info": "", "FlowCytIntra-species-notes": "", "IHCP-species-checked": "testedAndGuaranteed", "IHCP-species-dilution-info": "1/400", "IHCP-species-notes": "<p></p>" }, "Rat": { "WB-species-checked": "testedAndGuaranteed", "WB-species-dilution-info": "1/1000", "WB-species-notes": "<p></p>", "ICCIF-species-checked": "guaranteed", "ICCIF-species-dilution-info": "", "ICCIF-species-notes": "", "FlowCytIntra-species-checked": "guaranteed", "FlowCytIntra-species-dilution-info": "", "FlowCytIntra-species-notes": "", "IHCP-species-checked": "testedAndGuaranteed", "IHCP-species-dilution-info": "1/400", "IHCP-species-notes": "<p></p>" } } }

製品の詳細

Patented technology
Our RabMAb® technology is a patented hybridoma-based technology for making rabbit monoclonal antibodies. For details on our patents, please refer to RabMAb® patents.

What are the advantages of a recombinant monoclonal antibody?
This product is a recombinant monoclonal antibody, which offers several advantages including:

  • - High batch-to-batch consistency and reproducibility
  • - Improved sensitivity and specificity
  • - Long-term security of supply
  • - Animal-free batch production

For more information, read more on recombinant antibodies.

出荷温度及び保存条件

製品の状態
Liquid
精製方法
Affinity purification Protein A
バッファー組成
pH: 7.2 Preservative: 0.01% Sodium azide Constituents: PBS, 40% Glycerol (glycerin, glycerine), 0.05% BSA
出荷温度
Blue Ice
短期保存期間
1-2 weeks
短期保存温度
+4°C
長期保存温度
-20°C
分注に関する情報
Upon delivery aliquot
保管に関する情報
Avoid freeze / thaw cycle

補足情報

This supplementary information is collated from multiple sources and compiled automatically.

Protein kinase C (PKC) isozymes alpha beta 2 and gamma are serine/threonine kinases that play a pivotal role in signal transduction processes. PKC isozymes have alternate common names such as PRKCA for PKC alpha PRKCB for PKC beta 2 and PRKCG for PKC gamma. These proteins have variable molecular masses with PKC alpha around 79 kDa PKC beta 2 approximately 80 kDa and PKC gamma also about 81 kDa. PKC alpha is expressed ubiquitously PKC beta 2 shows high expression in hematopoietic cells and PKC gamma is primarily found in the brain and spinal cord.
Biological function summary

PKC alpha beta 2 and gamma participate in cellular processes like proliferation differentiation and apoptosis. These isozymes do not typically form a part of large protein complexes but operate through direct interactions with other proteins and lipids to convey signals. They modulate cytoskeletal proteins and transcription factors altering the cell's behavior in response to extracellular cues. Their activation occurs via phospholipid-mediated signals and is calcium and diacylglycerol dependent.

Pathways

PKC alpha beta 2 and gamma are integral to the phosphoinositide signaling pathway and the MAPK/ERK pathway. By phosphorylating various proteins these isozymes influence the downstream activation of key factors within these pathways. For instance PKC alpha interrupts glycogen synthase kinase 3 beta (GSK-3β) while PKC gamma connects to synaptic plasticity processes. Their specific actions coordinate signaling cascades that orchestrate diverse cellular responses.

PKC isozymes are associated with cancer and neurological disorders. PKC alpha and beta 2 display aberrant activity in several cancer types often influencing tumor growth and survival. Meanwhile PKC gamma mutations commonly relate to the development of neuropathic conditions like spinocerebellar ataxia. Furthermore PKC alpha's interaction with tumor suppressor p53 implies a role in oncogenesis. Understanding these relationships helps in targeting PKC isozymes for therapeutic interventions.

製品プロトコール

For this product, it's our understanding that no specific protocols are required. You can visit:

ターゲットの情報

Calcium-activated, phospholipid- and diacylglycerol (DAG)-dependent serine/threonine-protein kinase that is involved in positive and negative regulation of cell proliferation, apoptosis, differentiation, migration and adhesion, tumorigenesis, cardiac hypertrophy, angiogenesis, platelet function and inflammation, by directly phosphorylating targets such as RAF1, BCL2, CSPG4, TNNT2/CTNT, or activating signaling cascade involving MAPK1/3 (ERK1/2) and RAP1GAP. Involved in cell proliferation and cell growth arrest by positive and negative regulation of the cell cycle. Can promote cell growth by phosphorylating and activating RAF1, which mediates the activation of the MAPK/ERK signaling cascade, and/or by up-regulating CDKN1A, which facilitates active cyclin-dependent kinase (CDK) complex formation in glioma cells. In intestinal cells stimulated by the phorbol ester PMA, can trigger a cell cycle arrest program which is associated with the accumulation of the hyper-phosphorylated growth-suppressive form of RB1 and induction of the CDK inhibitors CDKN1A and CDKN1B. Exhibits anti-apoptotic function in glioma cells and protects them from apoptosis by suppressing the p53/TP53-mediated activation of IGFBP3, and in leukemia cells mediates anti-apoptotic action by phosphorylating BCL2. During macrophage differentiation induced by macrophage colony-stimulating factor (CSF1), is translocated to the nucleus and is associated with macrophage development. After wounding, translocates from focal contacts to lamellipodia and participates in the modulation of desmosomal adhesion. Plays a role in cell motility by phosphorylating CSPG4, which induces association of CSPG4 with extensive lamellipodia at the cell periphery and polarization of the cell accompanied by increases in cell motility. During chemokine-induced CD4(+) T cell migration, phosphorylates CDC42-guanine exchange factor DOCK8 resulting in its dissociation from LRCH1 and the activation of GTPase CDC42 (PubMed : 28028151). Is highly expressed in a number of cancer cells where it can act as a tumor promoter and is implicated in malignant phenotypes of several tumors such as gliomas and breast cancers. Negatively regulates myocardial contractility and positively regulates angiogenesis, platelet aggregation and thrombus formation in arteries. Mediates hypertrophic growth of neonatal cardiomyocytes, in part through a MAPK1/3 (ERK1/2)-dependent signaling pathway, and upon PMA treatment, is required to induce cardiomyocyte hypertrophy up to heart failure and death, by increasing protein synthesis, protein-DNA ratio and cell surface area. Regulates cardiomyocyte function by phosphorylating cardiac troponin T (TNNT2/CTNT), which induces significant reduction in actomyosin ATPase activity, myofilament calcium sensitivity and myocardial contractility. In angiogenesis, is required for full endothelial cell migration, adhesion to vitronectin (VTN), and vascular endothelial growth factor A (VEGFA)-dependent regulation of kinase activation and vascular tube formation. Involved in the stabilization of VEGFA mRNA at post-transcriptional level and mediates VEGFA-induced cell proliferation. In the regulation of calcium-induced platelet aggregation, mediates signals from the CD36/GP4 receptor for granule release, and activates the integrin heterodimer ITGA2B-ITGB3 through the RAP1GAP pathway for adhesion. During response to lipopolysaccharides (LPS), may regulate selective LPS-induced macrophage functions involved in host defense and inflammation. But in some inflammatory responses, may negatively regulate NF-kappa-B-induced genes, through IL1A-dependent induction of NF-kappa-B inhibitor alpha (NFKBIA/IKBA). Upon stimulation with 12-O-tetradecanoylphorbol-13-acetate (TPA), phosphorylates EIF4G1, which modulates EIF4G1 binding to MKNK1 and may be involved in the regulation of EIF4E phosphorylation. Phosphorylates KIT, leading to inhibition of KIT activity. Phosphorylates ATF2 which promotes cooperation between ATF2 and JUN, activating transcription. Phosphorylates SOCS2 at 'Ser-52' facilitating its ubiquitination and proteasomal degradation (By similarity). Phosphorylates KLHL3 in response to angiotensin II signaling, decreasing the interaction between KLHL3 and WNK4 (PubMed : 25313067). Phosphorylates and activates LRRK1, which phosphorylates RAB proteins involved in intracellular trafficking (PubMed : 36040231).
See full target information PRKCA

追加のターゲット

PRKCB,PRKCG

文献 (3)

Recent publications for all applications. Explore the full list and refine your search

PloS one 19:e0294169 PubMed38206948

2024

Propolis alleviates ulcerative colitis injury by inhibiting the protein kinase C - transient receptor potential cation channel subfamily V member 1 - calcitonin gene-related peptide/substance P (PKC-TRPV1-CGRP/SP) signaling axis.

Applications

Unspecified application

Species

Unspecified reactive species

Zhen Qian,Mengjie Zhang,Taiyu Lu,Jiayi Yu,Siyuan Yin,Haihua Wang,Jing Wang

Phytotherapy research : PTR 37:4236-4250 PubMed37329155

2023

Anti-inflammatory effect of dictamnine on allergic rhinitis via suppression of the LYN kinase-mediated molecular signaling pathway during mast cell activation.

Applications

Unspecified application

Species

Unspecified reactive species

Rui Liu,Yonghui Zhang,Yuejin Wang,Yihan Huang,Jiapan Gao,Xi Tian,Tianyou Ma,Tao Zhang

Journal of cellular physiology 234:7675-7682 PubMed30478916

2018

Isolation and culture of vascular smooth muscle cells from rat placenta.

Applications

Unspecified application

Species

Unspecified reactive species

Chunyu He,Meili Wang,Zi Yan,Suli Zhang,Huirong Liu
View all publications

Abcam product promise

当社は、高品質な試薬を通じてお客様の研究を力強くサポートすることをお約束いたします。ご使用いただく各段階で、常にお客様をサポートできる体制を整えております。万が一、製品が期待通りに機能しない場合は、「Abcam Product Promise」による当社保証制度に基づき、安心してご利用いただけます。
保証に関する詳細については利用規約をご確認ください。

Please note: All products are 'FOR RESEARCH USE ONLY. NOT FOR USE IN DIAGNOSTIC OR THERAPEUTIC PROCEDURES'.

For licensing inquiries, please contact partnerships@abcam.com