JavaScript is disabled in your browser. Please enable JavaScript to view this website.
AB219626

Anti-Phospholamban 抗体 [EPR21897]

Anti-Phospholamban antibody [EPR21897]

4

(1 Review)

|

(1 Publication)

Rabbit Recombinant Monoclonal Phospholamban antibody. Suitable for IP, WB, IHC-P and reacts with Human, Mouse, Rat samples. Cited in 1 publication.

別名を表示する

PLB, PLN, Phospholamban

6 Images
Immunohistochemistry (Formalin/PFA-fixed paraffin-embedded sections) - Anti-Phospholamban antibody [EPR21897] (AB219626)
  • IHC-P

Supplier Data

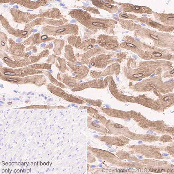
Immunohistochemistry (Formalin/PFA-fixed paraffin-embedded sections) - Anti-Phospholamban antibody [EPR21897] (AB219626)

Immunohistochemical analysis of paraffin embedded mouse cardiac muscle tissue labeling Phospholamban with ab219626 at 1/2000 dilution, followed by Goat Anti-Rabbit IgG H&L (HRP) ready to use. Positive staining on mouse cardiac muscle (PMID : 28759816, PMID : 27642167) is observed. Counter stained with Hematoxylin.

Secondary antibody only control : Used PBS instead of primary antibody, secondary antibody is Goat Anti-Rabbit IgG H&L (HRP) ready to use.

Heat mediated antigen retrieval using ab93684 (Tris/EDTA buffer, pH 9.0).

Immunohistochemistry (Formalin/PFA-fixed paraffin-embedded sections) - Anti-Phospholamban antibody [EPR21897] (AB219626)
  • IHC-P

Supplier Data

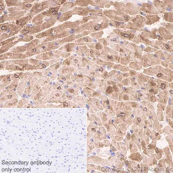
Immunohistochemistry (Formalin/PFA-fixed paraffin-embedded sections) - Anti-Phospholamban antibody [EPR21897] (AB219626)

Immunohistochemical analysis of paraffin embedded human cardiac muscle tissue labeling Phospholamban with ab219626 at 1/2000 dilution, followed by Goat Anti-Rabbit IgG H&L (HRP) ready to use. Positive staining on human cardiac muscle (PMID : 28759816, PMID : 27642167) is observed. Counter stained with Hematoxylin.

Secondary antibody only control : Used PBS instead of primary antibody, secondary antibody is Goat Anti-Rabbit IgG H&L (HRP) ready to use.

Heat mediated antigen retrieval using ab93684 (Tris/EDTA buffer, pH 9.0).

Immunohistochemistry (Formalin/PFA-fixed paraffin-embedded sections) - Anti-Phospholamban antibody [EPR21897] (AB219626)
  • IHC-P

Supplier Data

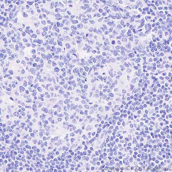
Immunohistochemistry (Formalin/PFA-fixed paraffin-embedded sections) - Anti-Phospholamban antibody [EPR21897] (AB219626)

Negative control : No staining shown in human tonsil tissue.

Immunohistochemical analysis of paraffin embedded human tonsil tissue labeling Phospholamban with ab219626 at 1/2000 dilution, followed by Goat Anti-Rabbit IgG H&L (HRP) ready to use. No staining on human tonsil is observed. Counter stained with Hematoxylin.

Secondary antibody only control : Used PBS instead of primary antibody, secondary antibody is Goat Anti-Rabbit IgG H&L (HRP) ready to use.

Heat mediated antigen retrieval using ab93684 (Tris/EDTA buffer, pH 9.0).

Immunohistochemistry (Formalin/PFA-fixed paraffin-embedded sections) - Anti-Phospholamban antibody [EPR21897] (AB219626)
  • IHC-P

Supplier Data

Immunohistochemistry (Formalin/PFA-fixed paraffin-embedded sections) - Anti-Phospholamban antibody [EPR21897] (AB219626)

Immunohistochemical analysis of paraffin embedded rat cardiac muscle tissue labeling Phospholamban with ab219626 at 1/2000 dilution, followed by Goat Anti-Rabbit IgG H&L (HRP) ready to use. Positive staining on human cardiac muscle (PMID : 28759816, PMID : 27642167) is observed. Counter stained with Hematoxylin.

Secondary antibody only control : Used PBS instead of primary antibody, secondary antibody is Goat Anti-Rabbit IgG H&L (HRP) ready to use.

Heat mediated antigen retrieval using ab93684 (Tris/EDTA buffer, pH 9.0).

Immunoprecipitation - Anti-Phospholamban antibody [EPR21897] (AB219626)
  • IP

Supplier Data

Immunoprecipitation - Anti-Phospholamban antibody [EPR21897] (AB219626)

Phospholamban was immunoprecipitated from 0.35 mg of human fetal heart tissue lysate with ab219626 at 1/30 dilution. Western blot was performed from the immunoprecipitate using ab219626 at 1/1000 dilution. VeriBlot for IP Detection Reagent (HRP) (ab131366), was used for detection at 1/1000 dilution.

Lane 1 : Human fetal heart tissue lysate 10 μg (Input).
Lane 2 : ab219626 IP in human fetal heart tissue lysate.
Lane 3 : Rabbit monoclonal IgG (ab172730) instead of ab219626 in human fetal heart tissue lysate.

Blocking and dilution buffer and concentration : 5% NFDM/TBST.
Exposure time : 30 seconds.

All lanes:

Immunoprecipitation - Anti-Phospholamban antibody [EPR21897] (ab219626)

Predicted band size: 6 kDa

Observed band size: 10 kDa

true

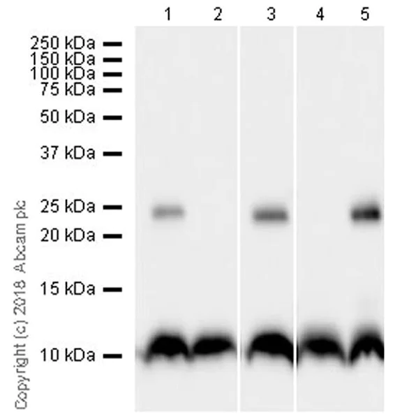
Western blot - Anti-Phospholamban antibody [EPR21897] (AB219626)
  • WB

Supplier Data

Western blot - Anti-Phospholamban antibody [EPR21897] (AB219626)

Blocking and dilution buffer : 5% NFDM/TBST.

WB bands are consistent with reference (PMID 20696159; PMID 22144574)

All lanes:

Western blot - Anti-Phospholamban antibody [EPR21897] (ab219626) at 1/2000 dilution

Lane 1:

Human heart tissue lysate at 20 µg

Lane 2:

Human fetal heart tissue lysate at 20 µg

Lane 3:

Mouse heart tissue lysate at 20 µg

Lanes 4 - 5:

Rat heart tissue lysate at 20 µg

Secondary

All lanes:

Western blot - Goat Anti-Rabbit IgG H&L (HRP) (<a href='/products/secondary-antibodies/goat-rabbit-igg-h-l-hrp-ab97051'>ab97051</a>) at 1/100000 dilution

Predicted band size: 6 kDa

Observed band size: 10 kDa,25 kDa

true

Exposure time: 15s

関連する標識済み抗体及び組成の異なる製品 (1)

  • Carrier free

    Anti-Phospholamban antibody [EPR21897] - BSA and Azide free

Key facts

宿主種

Rabbit

クローン性

Monoclonal

クローン番号

EPR21897

アイソタイプ

IgG

キャリアフリー

No

交差種

Mouse, Rat, Human

アプリケーション

IP, WB, IHC-P

applications

免疫原

The exact immunogen used to generate this antibody is proprietary information.

Reactivity data

{ "title": "Reactivity Data", "filters": { "stats": ["", "Species", "Dilution Info", "Notes"], "tabs": { "all-applications": {"fullname" : "All Applications", "shortname": "All Applications"}, "IP" : {"fullname" : "Immunoprecipitation", "shortname":"IP"}, "WB" : {"fullname" : "Western blot", "shortname":"WB"}, "IHCP" : {"fullname" : "Immunohistochemistry (Formalin/PFA-fixed paraffin-embedded sections)", "shortname":"IHC-P"} }, "product-promise": { "all": "all", "testedAndGuaranteed": "tested", "guaranteed": "expected", "predicted": "predicted", "notRecommended": "not-recommended" } }, "values": { "Human": { "IP-species-checked": "testedAndGuaranteed", "IP-species-dilution-info": "1/30", "IP-species-notes": "<p></p>", "WB-species-checked": "testedAndGuaranteed", "WB-species-dilution-info": "1/2000", "WB-species-notes": "<p></p>", "IHCP-species-checked": "testedAndGuaranteed", "IHCP-species-dilution-info": "1/2000", "IHCP-species-notes": "<p></p>" }, "Mouse": { "IP-species-checked": "guaranteed", "IP-species-dilution-info": "", "IP-species-notes": "", "WB-species-checked": "testedAndGuaranteed", "WB-species-dilution-info": "1/2000", "WB-species-notes": "<p></p>", "IHCP-species-checked": "testedAndGuaranteed", "IHCP-species-dilution-info": "1/2000", "IHCP-species-notes": "<p></p>" }, "Rat": { "IP-species-checked": "guaranteed", "IP-species-dilution-info": "", "IP-species-notes": "", "WB-species-checked": "testedAndGuaranteed", "WB-species-dilution-info": "1/2000", "WB-species-notes": "<p></p>", "IHCP-species-checked": "testedAndGuaranteed", "IHCP-species-dilution-info": "1/2000", "IHCP-species-notes": "<p></p>" } } }

製品の詳細

Patented technology
Our RabMAb® technology is a patented hybridoma-based technology for making rabbit monoclonal antibodies. For details on our patents, please refer to RabMAb® patents.

What are the advantages of a recombinant monoclonal antibody?
This product is a recombinant monoclonal antibody, which offers several advantages including:

  • - High batch-to-batch consistency and reproducibility
  • - Improved sensitivity and specificity
  • - Long-term security of supply
  • - Animal-free batch production

For more information, read more on recombinant antibodies.

出荷温度及び保存条件

製品の状態
Liquid
精製方法
Affinity purification Protein A
バッファー組成
pH: 7.2 - 7.4 Preservative: 0.01% Sodium azide Constituents: PBS, 40% Glycerol (glycerin, glycerine), 0.05% BSA
出荷温度
Blue Ice
短期保存期間
1-2 weeks
短期保存温度
+4°C
長期保存温度
-20°C
分注に関する情報
Upon delivery aliquot
保管に関する情報
Avoid freeze / thaw cycle

補足情報

This supplementary information is collated from multiple sources and compiled automatically.

Phospholamban abbreviated as PLN is an important regulatory protein in cardiac muscle cells often referred to interchangeably with its phosphorylated form phospho-phospholamban. This protein with a molecular mass of about 6 kDa is primarily expressed in cardiac and skeletal muscles. It functions mechanically by regulating the calcium pump (SERCA2a) in the sarcoplasmic reticulum modulating calcium uptake during muscle relaxation. In its unphosphorylated state phospholamban inhibits the activity of SERCA2a reducing calcium uptake and affecting muscle contractility.
Biological function summary

Phospholamban serves as an important mediator in the control of cardiac muscle contraction and relaxation. It is a component of the calcium cycling process within heart cells and associates directly with SERCA2a to form a regulatory complex. This association allows phospholamban to influence calcium homeostasis significantly affecting myocardial contractility and relaxation. Phosphorylation of phospholamban typically induced by beta-adrenergic signaling results in diminished interaction with SERCA2a enhancing calcium uptake into the sarcoplasmic reticulum.

Pathways

Several important pathways involve phospholamban including the adrenergic signaling pathway in cardiomyocytes and calcium signaling pathways. Phospholamban's role in these pathways is linked with proteins like SERCA2a and Protein Kinase A (PKA). PKA phosphorylates phospholamban an important step in the beta-adrenergic cascade that leads to increased heart muscle contractility. This phosphorylation event highlights phospholamban's participation in modulating cardiac output under sympathetic nervous system influence.

Phospholamban's regulation of calcium homeostasis connects it directly to conditions like heart failure and cardiomyopathy. In heart failure the dysregulation of phospholamban phosphorylation can lead to impaired cardiac function due to disrupted calcium cycling reducing cardiac output. Mutations in the phospholamban gene can lead to dilated cardiomyopathy a condition characterized by the enlargement and weakening of the heart muscle. These mutations affect the interaction with SERCA2a highlighting the role of phospholamban in maintaining cardiac muscle health.

製品プロトコール

For this product, it's our understanding that no specific protocols are required. You can visit:

ターゲットの情報

Reversibly inhibits the activity of ATP2A2/SERCA2 in cardiac sarcoplasmic reticulum by decreasing the apparent affinity of the ATPase for Ca(2+) (PubMed : 28890335). Binds preferentially to the ATP-bound E1 conformational form of ATP2A2 which predominates at low Ca(2+) concentrations during the diastolic phase of the cardiac cycle (By similarity). Inhibits ATP2A2 Ca(2+) affinity by disrupting its allosteric activation by ATP (By similarity). Modulates the contractility of the heart muscle in response to physiological stimuli via its effects on ATP2A2. Modulates calcium re-uptake during muscle relaxation and plays an important role in calcium homeostasis in the heart muscle. The degree of ATP2A2 inhibition depends on the oligomeric state of PLN. ATP2A2 inhibition is alleviated by PLN phosphorylation (By similarity). Also inhibits the activity of ATP2A3/SERCA3 (By similarity). Controls intracellular Ca(2+) levels in elongated spermatids and may play a role in germ cell differentiation (By similarity). In the thalamic reticular nucleus of the brain, plays a role in the regulation of sleep patterns and executive functioning (By similarity).
See full target information PLN

文献 (1)

Recent publications for all applications. Explore the full list and refine your search

Aging and disease 13:298-312 PubMed35111375

2022

Atrial Fibrillation Underlies Cardiomyocyte Senescence and Contributes to Deleterious Atrial Remodeling during Disease Progression.

Applications

Unspecified application

Species

Unspecified reactive species

Ailiya Adili,Xiyu Zhu,Hailong Cao,Xinlong Tang,Yali Wang,Junxia Wang,Jian Shi,Qing Zhou,Dongjin Wang
View all publications

Abcam product promise

当社は、高品質な試薬を通じてお客様の研究を力強くサポートすることをお約束いたします。ご使用いただく各段階で、常にお客様をサポートできる体制を整えております。万が一、製品が期待通りに機能しない場合は、「Abcam Product Promise」による当社保証制度に基づき、安心してご利用いただけます。
保証に関する詳細については利用規約をご確認ください。

関連製品

Select an associated product type
Alternative Product
Primary Antibodies

AB126174

Anti-Phospholamban antibody

primary-antibodies

phospholamban-antibody-ab126174

4

(1 reviews)

Alternative Product
Primary Antibodies

AB92697

Anti-Phospholamban (phospho S16) antibody [EPR1911]

primary-antibodies

phospholamban-phospho-s16-antibody-epr1911-ab92697

0

(0 reviews)

Alternative Product
Primary Antibodies

AB62170

Anti-Phospholamban (phospho S16 + T17) antibody

primary-antibodies

phospholamban-phospho-s16-t17-antibody-ab62170

0

(0 reviews)

Alternative Product
Primary Antibodies

AB86930

Anti-Phospholamban antibody

primary-antibodies

phospholamban-antibody-ab86930

0

(0 reviews)

Please note: All products are 'FOR RESEARCH USE ONLY. NOT FOR USE IN DIAGNOSTIC OR THERAPEUTIC PROCEDURES'.

For licensing inquiries, please contact partnerships@abcam.com