JavaScript is disabled in your browser. Please enable JavaScript to view this website.
AB167424

Anti-PHKG2 抗体 [EPR9727]

Anti-PHKG2 antibody [EPR9727]

Be the first to review this product! Submit a review

|

(2 Publications)

Rabbit Recombinant Monoclonal PHKG2 antibody. Suitable for WB, ICC/IF, Flow Cyt (Intra) and reacts with Human samples. Cited in 2 publications.

別名を表示する

PHK-gamma-LT, PHK-gamma-T, PSK-C3, Phosphorylase kinase subunit gamma-2, PHKG2

4 Images
Flow Cytometry (Intracellular) - Anti-PHKG2 antibody [EPR9727] (AB167424)
  • Flow Cyt (Intra)

Unknown

Flow Cytometry (Intracellular) - Anti-PHKG2 antibody [EPR9727] (AB167424)

Intracellular flow cytometric analysis of permeabilized 293T cells labeling PHKG2 with ab167424 at 1/100 (red) or a rabbit IgG negative (green).

Immunocytochemistry/ Immunofluorescence - Anti-PHKG2 antibody [EPR9727] (AB167424)
  • ICC/IF

Unknown

Immunocytochemistry/ Immunofluorescence - Anti-PHKG2 antibody [EPR9727] (AB167424)

Immunofluorescent staining of HepG2 cells labeling PHKG2 with ab167424 at 1/100 dilution.

Western blot - Anti-PHKG2 antibody [EPR9727] (AB167424)
  • WB

Unknown

Western blot - Anti-PHKG2 antibody [EPR9727] (AB167424)

All lanes:

Western blot - Anti-PHKG2 antibody [EPR9727] (ab167424) at 1/1000 dilution

Lane 1:

Human fetal lung tissue lysate at 10 µg

Lane 2:

HepG2 cell lysate at 10 µg

Lane 3:

Ramos cell lysate at 10 µg

Lane 4:

293T (Human embryonic kidney epithelial cell) cell lysate at 10 µg

Lane 5:

HeLa cell lysate at 10 µg

Secondary

All lanes:

Goat anti-rabbit HRP antibody at 1/2000 dilution

Predicted band size: 46 kDa

false

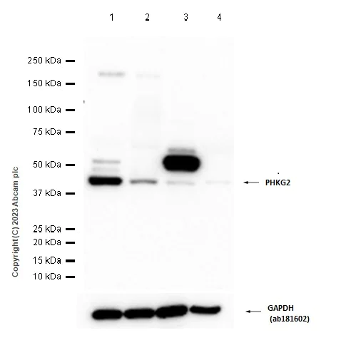
Western blot - Anti-PHKG2 antibody [EPR9727] (AB167424)
  • WB

Lab

Western blot - Anti-PHKG2 antibody [EPR9727] (AB167424)

PHKG2 is a liver/testis isoform of the phosphorylase kinase gamma subunit enriched in testis (PMID : 8896567). Blocking and diluting buffer : 5% NFDM /TBST

Lanes 1 - 4:

Western blot - Anti-PHKG2 antibody [EPR9727] (ab167424) at 1/1000 dilution

Lanes 1 - 4:

Western blot - Anti-PHKG2 antibody [EPR9727] - BSA and Azide free (<a href='/products/primary-antibodies/phkg2-antibody-epr9727-bsa-and-azide-free-ab249435'>ab249435</a>)

Lane 1:

Human testis tissue lysate at 20 µg

Lane 2:

Human lung tissue lysate at 20 µg

Lane 3:

Human brain tissue lysate at 20 µg

Lane 4:

Human breast tissue lysate at 20 µg

Secondary

All lanes:

Goat Anti-Rabbit IgG (HRP) with minimal cross-reactivity with human IgG at 1/2000 dilution

Observed band size: 43 kDa

false

Exposure time: 80s

関連する標識済み抗体及び組成の異なる製品 (1)

  • Carrier free

    Anti-PHKG2 antibody [EPR9727] - BSA and Azide free

Key facts

宿主種

Rabbit

クローン性

Monoclonal

クローン番号

EPR9727

アイソタイプ

IgG

キャリアフリー

No

交差種

Human

アプリケーション

Flow Cyt (Intra), WB, ICC/IF

applications

免疫原

The exact immunogen used to generate this antibody is proprietary information.

Reactivity data

{ "title": "Reactivity Data", "filters": { "stats": ["", "Species", "Dilution Info", "Notes"], "tabs": { "all-applications": {"fullname" : "All Applications", "shortname": "All Applications"}, "IP" : {"fullname" : "Immunoprecipitation", "shortname":"IP"}, "WB" : {"fullname" : "Western blot", "shortname":"WB"}, "IHCP" : {"fullname" : "Immunohistochemistry (Formalin/PFA-fixed paraffin-embedded sections)", "shortname":"IHC-P"}, "ICCIF" : {"fullname" : "Immunocytochemistry/ Immunofluorescence", "shortname":"ICC/IF"}, "FlowCytIntra" : {"fullname" : "Flow Cytometry (Intracellular)", "shortname":"Flow Cyt (Intra)"} }, "product-promise": { "all": "all", "testedAndGuaranteed": "tested", "guaranteed": "expected", "predicted": "predicted", "notRecommended": "not-recommended" } }, "values": { "Human": { "IP-species-checked": "notRecommended", "IP-species-dilution-info": "", "IP-species-notes": "<p></p>", "WB-species-checked": "testedAndGuaranteed", "WB-species-dilution-info": "1/1000 - 1/10000", "WB-species-notes": "<p></p>", "IHCP-species-checked": "notRecommended", "IHCP-species-dilution-info": "", "IHCP-species-notes": "<p></p>", "ICCIF-species-checked": "testedAndGuaranteed", "ICCIF-species-dilution-info": "1/100 - 1/250", "ICCIF-species-notes": "<p></p>", "FlowCytIntra-species-checked": "testedAndGuaranteed", "FlowCytIntra-species-dilution-info": "1/100 - 1/500", "FlowCytIntra-species-notes": "<p><a href='/products/primary-antibodies/rabbit-igg-monoclonal-epr25a-isotype-control-ab172730'>ab172730</a> - Rabbit monoclonal IgG, is suitable for use as an isotype control with this antibody.</p>" } } }

製品の詳細

Species reactivity
Mouse, Rat: We have preliminary internal testing data to indicate this antibody may not react with these species.
Please contact us for more information.

Patented technology
Our RabMAb® technology is a patented hybridoma-based technology for making rabbit monoclonal antibodies. For details on our patents, please refer to RabMAb® patents.

What are the advantages of a recombinant monoclonal antibody?
This product is a recombinant monoclonal antibody, which offers several advantages including:

  • - High batch-to-batch consistency and reproducibility
  • - Improved sensitivity and specificity
  • - Long-term security of supply
  • - Animal-free batch production

For more information, read more on recombinant antibodies.

出荷温度及び保存条件

製品の状態
Liquid
精製度
Tissue culture supernatant
バッファー組成
pH: 7.2 - 7.4 Preservative: 0.01% Sodium azide Constituents: PBS, 50% Tissue culture supernatant, 40% Glycerol (glycerin, glycerine), 0.05% BSA
出荷温度
Blue Ice
短期保存期間
1-2 weeks
短期保存温度
+4°C
長期保存温度
-20°C
分注に関する情報
Upon delivery aliquot

補足情報

This supplementary information is collated from multiple sources and compiled automatically.

PHKG2 also known as phosphorylase kinase gamma 2 is a catalytic subunit of the phosphorylase kinase (PhK) enzyme. PHKG2 has a molecular weight of approximately 44 kDa. This enzyme is responsible for the phosphorylation of serine residues in glycogen phosphorylase which is necessary for glycogen breakdown. PHKG2 is expressed mainly in muscle and liver tissues where it plays a role in the regulation of glycogen metabolism.
Biological function summary

Phosphorylase kinase involving PHKG2 is critical for the regulation of glycogenolysis. It forms a complex with other subunits including alpha beta and delta contributing to the full enzymatic activity of PhK. As part of this multi-subunit complex PHKG2 facilitates the conversion of glycogen to glucose-1-phosphate ensuring that energy production meets cellular demands during physical activity or fasting.

Pathways

The glycogenolysis process involving PHKG2 is tightly linked with the cAMP-dependent protein kinase (PKA) signaling pathway. Phosphorylase kinase gets activated by PKA under hormonal control prompting glycogen breakdown and maintaining glucose homeostasis. Additionally PHKG2's activity is connected with the insulin signaling pathway which integrates with its function to regulate carbohydrate metabolism especially relating to its interaction with proteins such as glycogen synthase and protein phosphatase 1.

Mutations in PHKG2 associate with Glycogen Storage Disease Type IX (GSD IX) a disorder characterized by an inability to properly break down glycogen leading to muscle weakness and hepatomegaly. PHKG2's interaction with proteins like alpha-glucosidase also links it to conditions like Pompe disease where glycogen buildup occurs due to deficient enzyme activity. Monitoring and understanding PHKG2's role in these contexts is important for developing therapeutic strategies.

製品プロトコール

For this product, it's our understanding that no specific protocols are required. You can visit:

ターゲットの情報

Catalytic subunit of the phosphorylase b kinase (PHK), which mediates the neural and hormonal regulation of glycogen breakdown (glycogenolysis) by phosphorylating and thereby activating glycogen phosphorylase. May regulate glycogeneolysis in the testis. In vitro, phosphorylates PYGM (PubMed : 35549678).
See full target information PHKG2

文献 (2)

Recent publications for all applications. Explore the full list and refine your search

Theranostics 11:5650-5674 PubMed33897873

2021

Endogenous glutamate determines ferroptosis sensitivity via ADCY10-dependent YAP suppression in lung adenocarcinoma.

Applications

Unspecified application

Species

Unspecified reactive species

Xiao Zhang,Keke Yu,Lifang Ma,Zijun Qian,Xiaoting Tian,Yayou Miao,Yongjie Niu,Xin Xu,Susu Guo,Yueyue Yang,Zhixian Wang,Xiangfei Xue,Chuanjia Gu,Wentao Fang,Jiayuan Sun,Yongchun Yu,Jiayi Wang

Cell reports 34:108869 PubMed33730581

2021

The mitochondrial carrier SFXN1 is critical for complex III integrity and cellular metabolism.

Applications

Unspecified application

Species

Unspecified reactive species

Michelle Grace Acoba,Ebru S Selen Alpergin,Santosh Renuse,Lucía Fernández-Del-Río,Ya-Wen Lu,Oleh Khalimonchuk,Catherine F Clarke,Akhilesh Pandey,Michael J Wolfgang,Steven M Claypool
View all publications

Abcam product promise

当社は、高品質な試薬を通じてお客様の研究を力強くサポートすることをお約束いたします。ご使用いただく各段階で、常にお客様をサポートできる体制を整えております。万が一、製品が期待通りに機能しない場合は、「Abcam Product Promise」による当社保証制度に基づき、安心してご利用いただけます。
保証に関する詳細については利用規約をご確認ください。

Please note: All products are 'FOR RESEARCH USE ONLY. NOT FOR USE IN DIAGNOSTIC OR THERAPEUTIC PROCEDURES'.

For licensing inquiries, please contact partnerships@abcam.com