JavaScript is disabled in your browser. Please enable JavaScript to view this website.
AB5991

Anti-PHAP1 抗体

Anti-PHAP1 antibody

Be the first to review this product! Submit a review

|

(4 Publications)

Rabbit Polyclonal PHAP1 antibody. Suitable for WB, IHC-P, ICC/IF and reacts with Rat, Mouse, Human samples. Cited in 4 publications. Immunogen corresponding to Synthetic Peptide within Human ANP32A aa 150 to C-terminus.

別名を表示する

C15orf1, LANP, MAPM, PHAP1, ANP32A, Acidic leucine-rich nuclear phosphoprotein 32 family member A, Acidic nuclear phosphoprotein pp32, Leucine-rich acidic nuclear protein, Mapmodulin, Potent heat-stable protein phosphatase 2A inhibitor I1PP2A, Putative HLA-DR-associated protein I, pp32, PHAPI

6 Images
Immunocytochemistry/ Immunofluorescence - Anti-PHAP1 antibody (AB5991)
  • ICC/IF

Unknown

Immunocytochemistry/ Immunofluorescence - Anti-PHAP1 antibody (AB5991)

Immunofluorescence of PHAP I in mouse small intestine cells using ab5991 at 20μg/ml.

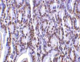
Immunohistochemistry (Formalin/PFA-fixed paraffin-embedded sections) - Anti-PHAP1 antibody (AB5991)
  • IHC-P

Unknown

Immunohistochemistry (Formalin/PFA-fixed paraffin-embedded sections) - Anti-PHAP1 antibody (AB5991)

ab5991 at 2μg/ml staining PHAP1 in mouse small intestine tissue by IHC

Western blot - Anti-PHAP1 antibody (AB5991)
  • WB

Supplier Data

Western blot - Anti-PHAP1 antibody (AB5991)

Incubated with the primary antibody for 1 hour at room temperature in 5% NFDM/TBST.

All lanes:

Western blot - Anti-PHAP1 antibody (ab5991) at 1 µg/mL

Lane 1:

293 cell lysate at 15 µg

Lane 2:

A431 cell lysate at 15 µg

Lane 3:

A549 cell lysate at 15 µg

Lane 4:

CaCo-2 cell lysate at 15 µg

Lane 5:

Daudi cell lysate at 15 µg

Lane 6:

HeLa cell lysate at 15 µg

Lane 7:

HepG2 cell lysate at 15 µg

Lane 8:

K562 cell lysate at 15 µg

Lane 9:

MCF-7 cell lysate at 15 µg

Lane 10:

Jurkat cell lysate at 15 µg

Lane 11:

SK-N-SH cell lysate at 15 µg

Lane 12:

THP-1 cell lysate at 15 µg

Lane 13:

NIH/3T3 cell lysate at 15 µg

Lane 14:

YB2/0 cell lysate at 15 µg

Secondary

All lanes:

HRP-conjugated goat anti-rabbit IgG at 1/10000 dilution

Predicted band size: 28 kDa

false

Western blot - Anti-PHAP1 antibody (AB5991)
  • WB

Supplier Data

Western blot - Anti-PHAP1 antibody (AB5991)

Incubated with the primary antibody for 1 hour at room temperature in 5% NFDM/TBST.

All lanes:

Western blot - Anti-PHAP1 antibody (ab5991) at 1 µg/mL

Lane 1:

Mouse heart tissue lysate at 15 µg/mL

Lane 2:

Mouse pancreas tissue lysate at 15 µg/mL

Lane 3:

Mouse testis tissue lysate at 15 µg/mL

Lane 4:

Mouse liver tissue lysate at 15 µg/mL

Lane 5:

Mouse spleen tissue lysate at 15 µg/mL

Lane 6:

Mouse kidney tissue lysate at 15 µg/mL

Lane 7:

Mouse colon tissue lysate at 15 µg/mL

Lane 8:

Mouse stomach tissue lysate at 15 µg/mL

Lane 9:

Mouse brain tissue lysate at 15 µg/mL

Lane 10:

Mouse skin tissue lysate at 15 µg/mL

Lane 11:

Mouse skeletal muscle tissue lysate at 15 µg/mL

Lane 12:

Mouse bladder tissue lysate at 15 µg/mL

Lane 13:

Mouse lung tissue lysate at 15 µg/mL

Lane 14:

K562 cell lysate at 15 µg/mL

Secondary

All lanes:

HRP-conjugated goat anti-rabbit IgG at 1/10000 dilution

Predicted band size: 28 kDa

false

Western blot - Anti-PHAP1 antibody (AB5991)
  • WB

Lab

Western blot - Anti-PHAP1 antibody (AB5991)

False colour image of Western blot : Anti-PHAP1 antibody staining at 0.5 ug/ml, shown in green; Mouse anti-Alpha Tubulin [DM1A] (ab7291) loading control staining at 1/20000 dilution, shown in red. In Western blot, ab5991 was shown to bind specifically to PHAP1. A band was observed at 33 kDa in wild-type HEK-293T cell lysates with no signal observed at this size in ANP32A knockout cell line ab266148 (knockout cell lysate ab258303). To generate this image, wild-type and ANP32A knockout HEK-293T cell lysates were analysed. First, samples were run on an SDS-PAGE gel then transferred onto a nitrocellulose membrane. Membranes were blocked in 3 % milk in TBS-0.1 % Tween® 20 (TBS-T) before incubation with primary antibodies overnight at 4°C. Blots were washed four times in TBS-T, incubated with secondary antibodies for 1 h at room temperature, washed again four times then imaged. Secondary antibodies used were Goat anti-Rabbit IgG H&L (IRDye® 800CW) preabsorbed (ab216773) and Goat anti-Mouse IgG H&L (IRDye® 680RD) preabsorbed (ab216776) at 1/20000 dilution.

Lanes 1 - 4:

Western blot - Anti-PHAP1 antibody (ab5991) at 0.5 µg/mL

Lanes 1 - 4:

Western blot - Anti-PHAP1 antibody (<a href='/products/primary-antibodies/phap1-antibody-ab5992'>ab5992</a>) at 0.5 µg/mL

Lane 1:

Wild-type HEK-293T cell lysate at 20 µg

Lane 2:

ANP32A knockout HEK-293T cell lysate at 20 µg

Lane 2:

Western blot - Human ANP32A (PHAP1) knockout HEK-293T cell line (<a href='/products/cell-lines/human-anp32a-phap1-knockout-hek-293t-cell-line-ab266148'>ab266148</a>)

Lane 3:

HeLa cell lysate at 20 µg

Lane 4:

THP-1 cell lysate at 20 µg

Predicted band size: 28 kDa

Observed band size: 33 kDa

false

Western blot - Anti-PHAP1 antibody (AB5991)
  • WB

Unknown

Western blot - Anti-PHAP1 antibody (AB5991)

Western blot analysis of PHAP I expression in human Raji cell (A), mouse (B) and rat (C) testis tissue llysates with anti-PHAP I at 1 μg/ml.

All lanes:

Western blot - Anti-PHAP1 antibody (ab5991)

Predicted band size: 28 kDa

false

Key facts

宿主種

Rabbit

クローン性

Polyclonal

アイソタイプ

IgG

キャリアフリー

No

交差種

Mouse, Rat, Human

アプリケーション

WB, IHC-P, ICC/IF

applications

免疫原

Synthetic Peptide within Human ANP32A aa 150 to C-terminus. The exact immunogen used to generate this antibody is proprietary information.

P39687

特異性

This antibody does not cross react with PHAP12a or PHAPIII isoforms.

Reactivity data

{ "title": "Reactivity Data", "filters": { "stats": ["", "Species", "Dilution Info", "Notes"], "tabs": { "all-applications": {"fullname" : "All Applications", "shortname": "All Applications"}, "WB" : {"fullname" : "Western blot", "shortname":"WB"}, "IHCP" : {"fullname" : "Immunohistochemistry (Formalin/PFA-fixed paraffin-embedded sections)", "shortname":"IHC-P"}, "ICCIF" : {"fullname" : "Immunocytochemistry/ Immunofluorescence", "shortname":"ICC/IF"} }, "product-promise": { "all": "all", "testedAndGuaranteed": "tested", "guaranteed": "expected", "predicted": "predicted", "notRecommended": "not-recommended" } }, "values": { "Human": { "WB-species-checked": "testedAndGuaranteed", "WB-species-dilution-info": "0.5-2 µg/mL", "WB-species-notes": "<p></p>", "IHCP-species-checked": "guaranteed", "IHCP-species-dilution-info": "", "IHCP-species-notes": "", "ICCIF-species-checked": "guaranteed", "ICCIF-species-dilution-info": "", "ICCIF-species-notes": "" }, "Mouse": { "WB-species-checked": "testedAndGuaranteed", "WB-species-dilution-info": "0.5-2 µg/mL", "WB-species-notes": "<p></p>", "IHCP-species-checked": "testedAndGuaranteed", "IHCP-species-dilution-info": "2 µg/mL", "IHCP-species-notes": "<p></p>", "ICCIF-species-checked": "testedAndGuaranteed", "ICCIF-species-dilution-info": "20 µg/mL", "ICCIF-species-notes": "<p></p>" }, "Rat": { "WB-species-checked": "testedAndGuaranteed", "WB-species-dilution-info": "0.1-2 µg/mL", "WB-species-notes": "<p></p>", "IHCP-species-checked": "guaranteed", "IHCP-species-dilution-info": "", "IHCP-species-notes": "", "ICCIF-species-checked": "guaranteed", "ICCIF-species-dilution-info": "", "ICCIF-species-notes": "" } } }

出荷温度及び保存条件

製品の状態
Liquid
精製方法
Affinity purification DEAE-C
バッファー組成
pH: 7.2 Preservative: 0.02% Sodium azide Constituents: PBS
出荷温度
Blue Ice
短期保存温度
+4°C
長期保存温度
+4°C

補足情報

This supplementary information is collated from multiple sources and compiled automatically.

PHAP1 also known as putative HLA-associated protein 1 or ANP32A is a multifunctional phosphoprotein with a molecular weight of approximately 32 kDa. It exists within the nucleus and cytoplasm indicating its role in various cellular processes. PHAP1 expression is found across diverse tissues showing its widespread functional requirements in different biological contexts.
Biological function summary

PHAP1 plays an important role in regulating apoptosis and cell proliferation. It interacts with components of the INHAT complex which inhibits histone acetylation impacting chromatin remodeling and gene expression. By doing so it influences many cellular events such as cell cycle progression and differentiation. PHAP1's involvement in regulating cell death makes it a target for studying mechanisms underlying cell survival.

Pathways

PHAP1 is associated with apoptosis and cell signaling processes. It is intricately linked with the p38 MAPK signaling pathway important in stress response and inflammation. In these contexts PHAP1 interacts with proteins such as caspases and protein phosphatase 2A which are important for cellular responses to external and internal stimuli.

PHAP1 shows connections with cancer and neurodegenerative diseases. Altered expression levels of PHAP1 have been observed in certain types of cancers possibly affecting tumor growth and treatment responses. In neurodegeneration relations have been reported with tau proteins suggesting PHAP1's role in tauopathies potentially influencing disease progression and providing insights into therapeutic targets.

製品プロトコール

For this product, it's our understanding that no specific protocols are required. You can visit:

ターゲットの情報

Multifunctional protein that is involved in the regulation of many processes including tumor suppression, apoptosis, cell cycle progression or transcription (PubMed : 10400610, PubMed : 11360199, PubMed : 16341127, PubMed : 18439902). Promotes apoptosis by favouring the activation of caspase-9/CASP9 and allowing apoptosome formation (PubMed : 18439902). In addition, plays a role in the modulation of histone acetylation and transcription as part of the INHAT (inhibitor of histone acetyltransferases) complex. Inhibits the histone-acetyltranferase activity of EP300/CREBBP (CREB-binding protein) and EP300/CREBBP-associated factor by histone masking (PubMed : 11830591). Preferentially binds to unmodified histone H3 and sterically inhibiting its acetylation and phosphorylation leading to cell growth inhibition (PubMed : 16341127). Participates in other biochemical processes such as regulation of mRNA nuclear-to-cytoplasmic translocation and stability by its association with ELAVL1 (Hu-antigen R) (PubMed : 18180367). Plays a role in E4F1-mediated transcriptional repression as well as inhibition of protein phosphatase 2A (PubMed : 15642345, PubMed : 17557114).. (Microbial infection) Plays an essential role in influenza A, B and C viral genome replication (PubMed : 30666459, PubMed : 32694517, PubMed : 33045004, PubMed : 33208942). Mechanistically, mediates the assembly of the viral replicase asymmetric dimers composed of PB1, PB2 and PA via its N-terminal region (PubMed : 33208942). Also plays an essential role in foamy virus mRNA export from the nucleus (PubMed : 21159877).
See full target information ANP32A

文献 (4)

Recent publications for all applications. Explore the full list and refine your search

Nucleic acids research 45:11700-11710 PubMed28977641

2017

PP32 and SET/TAF-Iβ proteins regulate the acetylation of newly synthesized histone H4.

Applications

Unspecified application

Species

Unspecified reactive species

Francisco Saavedra,Carlos Rivera,Elizabeth Rivas,Paola Merino,Daniel Garrido,Sergio Hernández,Ignasi Forné,Isabelle Vassias,Zachary A Gurard-Levin,Iván E Alfaro,Axel Imhof,Geneviève Almouzni,Alejandra Loyola

BioMed research international 2015:207347 PubMed25866766

2015

The expression and distributions of ANP32A in the developing brain.

Applications

Unspecified application

Species

Unspecified reactive species

Shanshan Wang,Yunliang Wang,Qingshan Lu,Xinshan Liu,Fuyu Wang,Xiaodong Ma,Chunping Cui,Chenghe Shi,Jinfeng Li,Dajin Zhang

Cancer research 66:2210-8 PubMed16489023

2006

Enhanced sensitivity to cytochrome c-induced apoptosis mediated by PHAPI in breast cancer cells.

Applications

BL, WB

Species

Human, Human

Zachary T Schafer,Amanda B Parrish,Kevin M Wright,Seth S Margolis,Jeffrey R Marks,Mohanish Deshmukh,Sally Kornbluth

Cancer research 66:1473-80 PubMed16452203

2006

Human lymphoblastoid proteome analysis reveals a role for the inhibitor of acetyltransferases complex in DNA double-strand break response.

Applications

WB

Species

Human

Eef H C Dirksen,Jacqueline Cloos,Boudewijn J M Braakhuis,Ruud H Brakenhoff,Albert J R Heck,Monique Slijper
View all publications

Abcam product promise

当社は、高品質な試薬を通じてお客様の研究を力強くサポートすることをお約束いたします。ご使用いただく各段階で、常にお客様をサポートできる体制を整えております。万が一、製品が期待通りに機能しない場合は、「Abcam Product Promise」による当社保証制度に基づき、安心してご利用いただけます。
保証に関する詳細については利用規約をご確認ください。

Please note: All products are 'FOR RESEARCH USE ONLY. NOT FOR USE IN DIAGNOSTIC OR THERAPEUTIC PROCEDURES'.

For licensing inquiries, please contact partnerships@abcam.com