JavaScript is disabled in your browser. Please enable JavaScript to view this website.
AB227157

Anti-PGP9.5 抗体

Anti-PGP9.5 antibody - Neuronal Marker

Be the first to review this product! Submit a review

|

(1 Publication)

Rabbit Polyclonal PGP9.5 antibody. Suitable for WB, IHC-P, ICC/IF, IHC-Fr and reacts with Mouse, Rat, Human samples. Cited in 1 publication. Immunogen corresponding to Synthetic Peptide within Human UCHL1.

別名を表示する

Ubiquitin carboxyl-terminal hydrolase isozyme L1, UCH-L1, Neuron cytoplasmic protein 9.5, PGP 9.5, Ubiquitin thioesterase L1, PGP9.5, UCHL1

8 Images
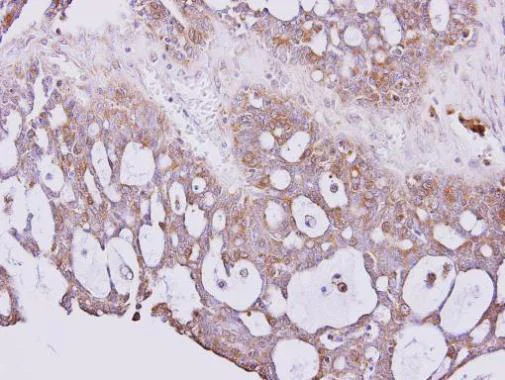
Immunohistochemistry (Formalin/PFA-fixed paraffin-embedded sections) - Anti-PGP9.5 antibody - Neuronal Marker (AB227157)
  • IHC-P

Supplier Data

Immunohistochemistry (Formalin/PFA-fixed paraffin-embedded sections) - Anti-PGP9.5 antibody - Neuronal Marker (AB227157)

Paraffin-embedded SEROUS OVCA (human) xenograft tissue stained for PGP9.5 with ab227157 at 1/300 dilution in immunohistochemical analysis.

Immunocytochemistry/ Immunofluorescence - Anti-PGP9.5 antibody - Neuronal Marker (AB227157)
  • ICC/IF

Supplier Data

Immunocytochemistry/ Immunofluorescence - Anti-PGP9.5 antibody - Neuronal Marker (AB227157)

4% paraformaldehyde-fixed DIV9 rat E18 primary cortical neurons stained for PGP9.5 (green) using ab227157 at 1/500 dilution in ICC/IF.

The nuclear counter stain is Fluoroshield with DAPI. Beta-Tubulin is detected with an anti-beta-Tubulin antibody (red).

Immunohistochemistry (Frozen sections) - Anti-PGP9.5 antibody - Neuronal Marker (AB227157)
  • IHC-Fr

Supplier Data

Immunohistochemistry (Frozen sections) - Anti-PGP9.5 antibody - Neuronal Marker (AB227157)

Frozen section of E13.5 rat brain tissue stained for PGP9.5 using ab227157 at 1/250 dilution in immunohistochemical analysis (green)

The nuclear counter stain is fluoroshield with DAPI (blue). Beta-Tubulin 3 is detected with an anti-beta-Tubulin 3 antibody (red).

Immunohistochemistry (Frozen sections) - Anti-PGP9.5 antibody - Neuronal Marker (AB227157)
  • IHC-Fr

Supplier Data

Immunohistochemistry (Frozen sections) - Anti-PGP9.5 antibody - Neuronal Marker (AB227157)

Frozen section of adult mouse cerebellum tissue stained for PGP9.5 using ab227157 at 1/250 dilution in immunohistochemical analysis (green)

The nuclear counter stain is fluoroshield with DAPI (blue). Beta-Tubulin is detected with an anti-beta-Tubulin antibody (red).

Western blot - Anti-PGP9.5 antibody - Neuronal Marker (AB227157)
  • WB

Supplier Data

Western blot - Anti-PGP9.5 antibody - Neuronal Marker (AB227157)

12% SDS-PAGE

All lanes:

Western blot - Anti-PGP9.5 antibody - Neuronal Marker (ab227157) at 1/3000 dilution

Lane 1:

HEK-293T (human epithelial cell line from embryonic kidney transformed with large T antigen) whole cell extract at 30 µg

Lane 2:

HEK-293T treated with PGP9.5 shRNA, whole cell extract at 30 µg

Predicted band size: 24 kDa

true

Western blot - Anti-PGP9.5 antibody - Neuronal Marker (AB227157)
  • WB

Supplier Data

Western blot - Anti-PGP9.5 antibody - Neuronal Marker (AB227157)

12% SDS PAGE

All lanes:

Western blot - Anti-PGP9.5 antibody - Neuronal Marker (ab227157) at 1/5000 dilution

Lane 1:

A549 (human lung carcinoma cell line) whole cell lysate at 30 µg

Lane 2:

H1299 (human non-small cell lung carcinoma cell line) whole cell lysate at 30 µg

Predicted band size: 24 kDa

true

Western blot - Anti-PGP9.5 antibody - Neuronal Marker (AB227157)
  • WB

Supplier Data

Western blot - Anti-PGP9.5 antibody - Neuronal Marker (AB227157)

12% SDS-PAGE

All lanes:

Western blot - Anti-PGP9.5 antibody - Neuronal Marker (ab227157) at 1/10000 dilution

All lanes:

Rat brain tissue extract at 50 µg

Predicted band size: 24 kDa

true

Western blot - Anti-PGP9.5 antibody - Neuronal Marker (AB227157)
  • WB

Supplier Data

Western blot - Anti-PGP9.5 antibody - Neuronal Marker (AB227157)

12 % SDS-PAGE

All lanes:

Western blot - Anti-PGP9.5 antibody - Neuronal Marker (ab227157) at 1/5000 dilution

All lanes:

Mouse brain tissue extract at 50 µg

Predicted band size: 24 kDa

true

Key facts

宿主種

Rabbit

クローン性

Polyclonal

アイソタイプ

IgG

キャリアフリー

No

交差種

Mouse, Rat, Human

アプリケーション

IHC-Fr, WB, IHC-P, ICC/IF

applications

免疫原

Synthetic Peptide within Human UCHL1. The exact immunogen used to generate this antibody is proprietary information.

P09936

Reactivity data

{ "title": "Reactivity Data", "filters": { "stats": ["", "Species", "Dilution Info", "Notes"], "tabs": { "all-applications": {"fullname" : "All Applications", "shortname": "All Applications"}, "WB" : {"fullname" : "Western blot", "shortname":"WB"}, "IHCP" : {"fullname" : "Immunohistochemistry (Formalin/PFA-fixed paraffin-embedded sections)", "shortname":"IHC-P"}, "ICCIF" : {"fullname" : "Immunocytochemistry/ Immunofluorescence", "shortname":"ICC/IF"}, "IHCFr" : {"fullname" : "Immunohistochemistry (Frozen sections)", "shortname":"IHC-Fr"} }, "product-promise": { "all": "all", "testedAndGuaranteed": "tested", "guaranteed": "expected", "predicted": "predicted", "notRecommended": "not-recommended" } }, "values": { "Human": { "WB-species-checked": "testedAndGuaranteed", "WB-species-dilution-info": "1/500 - 1/10000", "WB-species-notes": "<p></p>", "IHCP-species-checked": "testedAndGuaranteed", "IHCP-species-dilution-info": "1/100 - 1/1000", "IHCP-species-notes": "<p></p>", "ICCIF-species-checked": "guaranteed", "ICCIF-species-dilution-info": "", "ICCIF-species-notes": "", "IHCFr-species-checked": "guaranteed", "IHCFr-species-dilution-info": "", "IHCFr-species-notes": "" }, "Mouse": { "WB-species-checked": "testedAndGuaranteed", "WB-species-dilution-info": "1/500 - 1/10000", "WB-species-notes": "<p></p>", "IHCP-species-checked": "guaranteed", "IHCP-species-dilution-info": "", "IHCP-species-notes": "", "ICCIF-species-checked": "guaranteed", "ICCIF-species-dilution-info": "", "ICCIF-species-notes": "", "IHCFr-species-checked": "testedAndGuaranteed", "IHCFr-species-dilution-info": "1/100 - 1/1000", "IHCFr-species-notes": "<p></p>" }, "Rat": { "WB-species-checked": "testedAndGuaranteed", "WB-species-dilution-info": "1/500 - 1/10000", "WB-species-notes": "<p></p>", "IHCP-species-checked": "guaranteed", "IHCP-species-dilution-info": "", "IHCP-species-notes": "", "ICCIF-species-checked": "testedAndGuaranteed", "ICCIF-species-dilution-info": "1/100 - 1/1000", "ICCIF-species-notes": "<p></p>", "IHCFr-species-checked": "testedAndGuaranteed", "IHCFr-species-dilution-info": "1/100 - 1/1000", "IHCFr-species-notes": "<p></p>" } } }

出荷温度及び保存条件

製品の状態
Liquid
精製方法
Affinity purification Immunogen
バッファー組成
pH: 7 Preservative: 0.01% Thimerosal (merthiolate) Constituents: 10% Glycerol (glycerin, glycerine), 1.21% Tris, 0.75% Glycine
出荷温度
Blue Ice
短期保存期間
1-2 weeks
短期保存温度
+4°C
長期保存温度
-20°C
分注に関する情報
Upon delivery aliquot
保管に関する情報
Avoid freeze / thaw cycle

補足情報

This supplementary information is collated from multiple sources and compiled automatically.

Protein Gene Product 9.5 (PGP9.5) also known as ubiquitin carboxyl-terminal hydrolase L1 (UCH-L1) is an enzyme of approximately 27 kDa mass. PGP9.5 is highly expressed in neurons and neuroendocrine cells and is involved in the processing of ubiquitinated proteins. Ubiquitination and deubiquitination are critical for maintaining cellular protein homeostasis. PGP9.5 is present in the central and peripheral nervous systems. Researchers often utilize PGP9.5 as a neuronal marker due to its strong expression in nerve tissues. Antibody clone 13C4 is commonly used in PGP9.5 immunohistochemistry to visualize this protein in histopathology sections.
Biological function summary

PGP9.5 plays a significant role in the ubiquitin-proteasome pathway where it regulates protein degradation. It functions by cleaving ubiquitin from ubiquitin-protein conjugates which can recycle ubiquitin for reuse impacting protein turnover. This process is important for removing misfolded or damaged proteins maintaining cellular integrity. PGP9.5 has not been documented as a part of any large multimeric complex; its action is rather individual yet vital in cellular processes.

Pathways

PGP9.5 is an important participant in the ubiquitin-dependent proteolysis pathway. This pathway controls the degradation of proteins that regulate cell cycle differentiation and neuromodulation. PGP9.5 works in tandem with other proteins such as the proteasome complex to remove proteins tagged for destruction. Another important pathway linked with PGP9.5 is the neuronal development pathway in which its activity supports neuron growth and repair.

Defective PGP9.5 function associates mainly with neurodegenerative diseases such as Parkinson's disease and Alzheimer's disease. Mutations or dysregulation in PGP9.5 expression are implicated in the pathogenesis of these conditions affecting protein degradation and neuronal health. Other proteins like α-synuclein in Parkinson's disease interact with PGP9.5 pathways indicating their involvement in disease mechanisms. Researchers consider PGP9.5 a potential biomarker for neuronal pathology through methods like PGP9.5 IHC allowing for evaluation of nerve damage and neuroendocrine tumor diagnosis.

製品プロトコール

For this product, it's our understanding that no specific protocols are required. You can visit:

ターゲットの情報

Deubiquitinase that plays a role in the regulation of several processes such as maintenance of synaptic function, cardiac function, inflammatory response or osteoclastogenesis (PubMed : 22212137, PubMed : 23359680). Abrogates the ubiquitination of multiple proteins including WWTR1/TAZ, EGFR, HIF1A and beta-site amyloid precursor protein cleaving enzyme 1/BACE1 (PubMed : 22212137, PubMed : 25615526). In addition, recognizes and hydrolyzes a peptide bond at the C-terminal glycine of ubiquitin to maintain a stable pool of monoubiquitin that is a key requirement for the ubiquitin-proteasome and the autophagy-lysosome pathways (PubMed : 12408865, PubMed : 8639624, PubMed : 9774100). Regulates amyloid precursor protein/APP processing by promoting BACE1 degradation resulting in decreased amyloid beta production (PubMed : 22212137). Plays a role in the immune response by regulating the ability of MHC I molecules to reach cross-presentation compartments competent for generating Ag-MHC I complexes (By similarity). Mediates the 'Lys-48'-linked deubiquitination of the transcriptional coactivator WWTR1/TAZ leading to its stabilization and inhibition of osteoclastogenesis (By similarity). Deubiquitinates and stabilizes epidermal growth factor receptor EGFR to prevent its degradation and to activate its downstream mediators (By similarity). Modulates oxidative activity in skeletal muscle by regulating key mitochondrial oxidative proteins (By similarity). Enhances the activity of hypoxia-inducible factor 1-alpha/HIF1A by abrogateing its VHL E3 ligase-mediated ubiquitination and consequently inhibiting its degradation (PubMed : 25615526).
See full target information UCHL1

文献 (1)

Recent publications for all applications. Explore the full list and refine your search

The Journal of physiology : PubMed32969494

2020

Integrin-associated ILK and PINCH1 protein content are reduced in skeletal muscle of maintenance hemodialysis patients.

Applications

Unspecified application

Species

Unspecified reactive species

Fulvia Draicchio,Stephan van Vliet,Oana Ancu,Scott A Paluska,Kenneth R Wilund,Monika Mickute,Thozhukat Sathyapalan,Derek Renshaw,Peter Watt,Lykke Sylow,Nicholas A Burd,Richard Mackenzie
View all publications

Abcam product promise

当社は、高品質な試薬を通じてお客様の研究を力強くサポートすることをお約束いたします。ご使用いただく各段階で、常にお客様をサポートできる体制を整えております。万が一、製品が期待通りに機能しない場合は、「Abcam Product Promise」による当社保証制度に基づき、安心してご利用いただけます。
保証に関する詳細については利用規約をご確認ください。

Please note: All products are 'FOR RESEARCH USE ONLY. NOT FOR USE IN DIAGNOSTIC OR THERAPEUTIC PROCEDURES'.

For licensing inquiries, please contact partnerships@abcam.com