JavaScript is disabled in your browser. Please enable JavaScript to view this website.
AB227847

Anti-PDK2 抗体 [EPR1948Y] - BSA and Azide free

Anti-PDK2 antibody [EPR1948Y] - BSA and Azide free

Be the first to review this product! Submit a review

|

(6 Publications)

Rabbit Recombinant Monoclonal PDK2 antibody. Carrier free. Suitable for IHC-P, IP, WB and reacts with Human, Rat, Mouse samples. Cited in 6 publications.

別名を表示する

PDHK2, PDK2, Pyruvate dehydrogenase kinase isoform 2, PDH kinase 2, PDKII

6 Images
Immunohistochemistry (Formalin/PFA-fixed paraffin-embedded sections) - Anti-PDK2 antibody [EPR1948Y] - BSA and Azide free (AB227847)
  • IHC-P

Lab

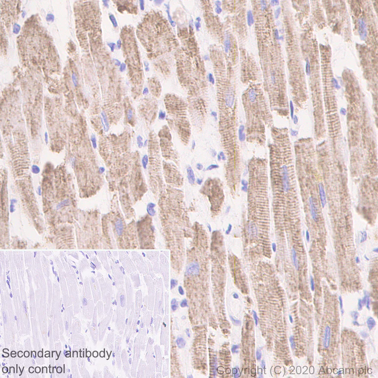
Immunohistochemistry (Formalin/PFA-fixed paraffin-embedded sections) - Anti-PDK2 antibody [EPR1948Y] - BSA and Azide free (AB227847)

This data was developed using ab68164, the same antibody clone in a different buffer formulation.
Immunohistochemistry (Formalin/PFA-fixed paraffin-embedded sections) analysis of human cardiac muscle tissue sections labeling PDK2 with Purified ab68164 at 1/1000 dilution (0.12 µg/mL). Heat mediated antigen retrieval using Bond™ Epitope Retrieval Solution 2 (pH 9.0). Rabbit specific IHC polymer detection kit HRP/DAB (ab209101) was used as the secondary antibody. Negative control : PBS instead of the primary antibody. Hematoxylin was used as a counterstain.

Immunohistochemistry (Formalin/PFA-fixed paraffin-embedded sections) - Anti-PDK2 antibody [EPR1948Y] - BSA and Azide free (AB227847)
  • IHC-P

Lab

Immunohistochemistry (Formalin/PFA-fixed paraffin-embedded sections) - Anti-PDK2 antibody [EPR1948Y] - BSA and Azide free (AB227847)

This data was developed using ab68164, the same antibody clone in a different buffer formulation.
Immunohistochemistry (Formalin/PFA-fixed paraffin-embedded sections) analysis of human bladder carcinoma tissue sections labeling PDK2 with Purified ab68164 at 1/1000 dilution (0.12 µg/mL). Heat mediated antigen retrieval using Bond™ Epitope Retrieval Solution 2 (pH 9.0). Rabbit specific IHC polymer detection kit HRP/DAB (ab209101) was used as the secondary antibody. Negative control : PBS instead of the primary antibody. Hematoxylin was used as a counterstain.

Immunoprecipitation - Anti-PDK2 antibody [EPR1948Y] - BSA and Azide free (AB227847)
  • IP

Lab

Immunoprecipitation - Anti-PDK2 antibody [EPR1948Y] - BSA and Azide free (AB227847)

This data was developed using ab68164, the same antibody clone in a different buffer formulation.
Purified ab68164 at 1/20 dilution (0.6µg) immunoprecipitating PDK2 in Rat heart lysate.
Lane 1 (input) : Rat heart lysate 10µg
Lane 2 (+) : ab68164 + Rat heart lysate.
Lane 3 (-) : Rabbit monoclonal IgG (ab172730) instead of ab68164 in Rat heart lysate.
VeriBlot for IP Detection Reagent (HRP) (ab131366) (1/1000 dilution) was used for Western blotting.
Blocking Buffer and concentration : 5% NFDM/TBST.
Diluting buffer and concentration : 5% NFDM/TBST.
Observed band size : 48 kDa

All lanes:

Immunoprecipitation - Anti-PDK2 antibody [EPR1948Y] (<a href='/products/primary-antibodies/pdk2-antibody-epr1948y-ab68164'>ab68164</a>)

Predicted band size: 106 kDa,46 kDa

false

Western blot - Anti-PDK2 antibody [EPR1948Y] - BSA and Azide free (AB227847)
  • WB

Lab

Western blot - Anti-PDK2 antibody [EPR1948Y] - BSA and Azide free (AB227847)

Western blot : Rabbit Monoclonal[EPR1948Y] to PDK2 ab227847 staining at 1/1000 dilution, shown in green; Mouse anti GAPDH ab8245 loading control staining at 1/20000 dilution, shown in magenta. A band was observed at 45 kDa in Wild-type U-87 MG cell lysates with no signal observed at this size in PDK2 knockout U-87 MG cell line. To generate this image, samples were run on an SDS-PAGE gel then transferred onto a nitrocellulose membrane. Membranes were blocked in 3pc Milk in TBS-0.1 % Tween® 20 (TBS-T) before incubation with primary antibodies overnight at 4 °C. Blots were washed four times in TBS-T, incubated with secondary antibodies for 1 h at room temperature, washed again four times then imaged. Secondary antibodies used were Goat anti-Rabbit 800CW and Goat anti-Mouse 680RD at 1/20,000 dilution.

All lanes:

Western blot - Anti-PDK2 antibody [EPR1948Y] - BSA and Azide free (ab227847) at 1/1000 dilution

Lane 1:

Wild-type U-87 MG at 20 µg

Lane 2:

PDK2 knockout U-87 MG at 20 µg

Lane 3:

SH-SY5Y at 20 µg

Lane 4:

HL-60 at 20 µg

Secondary

All lanes:

Goat anti-Rabbit 800CW & Goat anti-Mouse 680RD at 1/20000 dilution

Predicted band size: 45 kDa

Observed band size: 46 kDa,36 kDa

false

Western blot - Anti-PDK2 antibody [EPR1948Y] - BSA and Azide free (AB227847)
  • WB

Unknown

Western blot - Anti-PDK2 antibody [EPR1948Y] - BSA and Azide free (AB227847)

All lanes:

Western blot - Anti-PDK2 antibody [EPR1948Y] (<a href='/products/primary-antibodies/pdk2-antibody-epr1948y-ab68164'>ab68164</a>) at 1/200 dilution

All lanes:

Human heart lysate

Secondary

All lanes:

Goat Anti-Rabbit IgG (HRP) with minimal cross-reactivity with human IgG at 1/2000 dilution

Predicted band size: 46 kDa

false

Western blot - Anti-PDK2 antibody [EPR1948Y] - BSA and Azide free (AB227847)
  • WB

Unknown

Western blot - Anti-PDK2 antibody [EPR1948Y] - BSA and Azide free (AB227847)

All lanes:

Western blot - Anti-PDK2 antibody [EPR1948Y] (<a href='/products/primary-antibodies/pdk2-antibody-epr1948y-ab68164'>ab68164</a>) at 1/1000 dilution

Lane 1:

Mouse heart lysate at 20 µg

Lane 2:

Rat heart lysate at 20 µg

Lane 3:

Rat skeletal muscle lysate at 20 µg

Secondary

All lanes:

Goat Anti-Rabbit IgG (HRP) with minimal cross-reactivity with human IgG at 1/2000 dilution

Predicted band size: 46 kDa

false

関連する標識済み抗体及び組成の異なる製品 (1)

Key facts

宿主種

Rabbit

クローン性

Monoclonal

クローン番号

EPR1948Y

アイソタイプ

IgG

キャリアフリー

Yes

交差種

Mouse, Rat, Human

アプリケーション

IP, IHC-P, WB

applications

免疫原

The exact immunogen used to generate this antibody is proprietary information.

特異性

The mouse and rat recommendation is based on the WB results. We do not guarantee IHC-P for mouse and rat.

Reactivity data

{ "title": "Reactivity Data", "filters": { "stats": ["", "Species", "Dilution Info", "Notes"], "tabs": { "all-applications": {"fullname" : "All Applications", "shortname": "All Applications"}, "IHCP" : {"fullname" : "Immunohistochemistry (Formalin/PFA-fixed paraffin-embedded sections)", "shortname":"IHC-P"}, "IP" : {"fullname" : "Immunoprecipitation", "shortname":"IP"}, "WB" : {"fullname" : "Western blot", "shortname":"WB"} }, "product-promise": { "all": "all", "testedAndGuaranteed": "tested", "guaranteed": "expected", "predicted": "predicted", "notRecommended": "not-recommended" } }, "values": { "Human": { "IHCP-species-checked": "testedAndGuaranteed", "IHCP-species-dilution-info": "", "IHCP-species-notes": "<p></p>", "IP-species-checked": "guaranteed", "IP-species-dilution-info": "", "IP-species-notes": "", "WB-species-checked": "testedAndGuaranteed", "WB-species-dilution-info": "", "WB-species-notes": "<p></p>" }, "Mouse": { "IHCP-species-checked": "guaranteed", "IHCP-species-dilution-info": "", "IHCP-species-notes": "", "IP-species-checked": "guaranteed", "IP-species-dilution-info": "", "IP-species-notes": "", "WB-species-checked": "testedAndGuaranteed", "WB-species-dilution-info": "", "WB-species-notes": "<p></p>" }, "Rat": { "IHCP-species-checked": "guaranteed", "IHCP-species-dilution-info": "", "IHCP-species-notes": "", "IP-species-checked": "testedAndGuaranteed", "IP-species-dilution-info": "", "IP-species-notes": "<p></p>", "WB-species-checked": "testedAndGuaranteed", "WB-species-dilution-info": "", "WB-species-notes": "<p></p>" } } }

製品の詳細

ab227847 is the carrier-free version of ab68164.

Patented technology
Our RabMAb® technology is a patented hybridoma-based technology for making rabbit monoclonal antibodies. For details on our patents, please refer to RabMAb® patents.

What are the advantages of a recombinant monoclonal antibody?
This product is a recombinant monoclonal antibody, which offers several advantages including:

  • - High batch-to-batch consistency and reproducibility
  • - Improved sensitivity and specificity
  • - Long-term security of supply
  • - Animal-free batch production

For more information, read more on recombinant antibodies.

Conjugation ready
Our carrier-free antibodies are typically supplied in a PBS-only formulation, purified and free of BSA, sodium azide and glycerol. This conjugation-ready format is designed for use with fluorochromes, metal isotopes, oligonucleotides, and enzymes, which makes them ideal for antibody labelling, functional and cell-based assays, flow-based assays (e.g. mass cytometry) and Multiplex Imaging applications.

Use our conjugation kits for antibody conjugates that are ready-to-use in as little as 20 minutes with 1 minute hands-on-time and 100% antibody recovery: available for fluorescent dyes, HRP, biotin and gold.

Compatibility
This product is compatible with the Maxpar® Antibody Labeling Kit from Fluidigm, without the need for antibody preparation. Maxpar® is a trademark of Fluidigm Canada Inc.

出荷温度及び保存条件

製品の状態
Liquid
精製方法
Affinity purification Protein A
バッファー組成
pH: 7.2 - 7.4 Constituents: PBS
出荷温度
Blue Ice
短期保存温度
+4°C
長期保存温度
+4°C
保管に関する情報
Do Not Freeze

補足情報

This supplementary information is collated from multiple sources and compiled automatically.

PDK2 also known as Pyruvate Dehydrogenase Kinase 2 is a mitochondrial protein involved in the regulation of glucose metabolism. It phosphorylates and inactivates the pyruvate dehydrogenase complex (PDC) which plays an important role in controlling the conversion of pyruvate to acetyl-CoA. PDK2 has a molecular mass of approximately 46 kDa and shows expression in various tissues including the heart liver and kidneys. The expression pattern indicates its significance in tissues with high metabolic demands.
Biological function summary

PDK2 regulates cellular energy metabolism by phosphorylating the E1 component of PDC resulting in lowered acetyl-CoA production. PDK2 often acts as part of a regulatory complex with PDC influencing metabolic flux within the mitochondria. Its activity can alter ATP production and fatty acid synthesis impacting overall cellular function and energy homeostasis. In response to different metabolic needs the availability and activity of PDK2 modulate the balance between carbohydrate utilization and lipid oxidation.

Pathways

PDK2 has an important role in the glucose and lipid metabolic pathways by interacting with PDC. The pathways where PDK2 is active are essential for maintaining energy homeostasis and are sensitive to different physiological conditions. PDK2's regulation of pyruvate oxidation influences the tricarboxylic acid (TCA) cycle affecting key metabolic enzymes such as pyruvate dehydrogenase phosphatase 1 (PDP1) and PDK1. Its activity is often fine-tuned by factors impacting energy needs insulin signaling and nutrient availability.

Abnormal PDK2 activity associates with metabolic conditions like diabetes and cancer. In diabetes the dysregulation of PDK2 alters the metabolic processing of carbohydrates leading to increased reliance on lipid oxidation and contributing to hyperglycemia. In cancer PDK2's role in promoting aerobic glycolysis also known as the Warburg effect supports rapid cell growth and survival. The link between PDK2 and these diseases highlights its involvement alongside other proteins such as hypoxia-inducible factor 1-alpha (HIF-1α) in promoting altered energy metabolism in pathological states.

製品プロトコール

For this product, it's our understanding that no specific protocols are required. You can visit:

ターゲットの情報

Kinase that plays a key role in the regulation of glucose and fatty acid metabolism and homeostasis via phosphorylation of the pyruvate dehydrogenase subunits PDHA1 and PDHA2. This inhibits pyruvate dehydrogenase activity, and thereby regulates metabolite flux through the tricarboxylic acid cycle, down-regulates aerobic respiration and inhibits the formation of acetyl-coenzyme A from pyruvate. Inhibition of pyruvate dehydrogenase decreases glucose utilization and increases fat metabolism. Mediates cellular responses to insulin. Plays an important role in maintaining normal blood glucose levels and in metabolic adaptation to nutrient availability. Via its regulation of pyruvate dehydrogenase activity, plays an important role in maintaining normal blood pH and in preventing the accumulation of ketone bodies under starvation. Plays a role in the regulation of cell proliferation and in resistance to apoptosis under oxidative stress. Plays a role in p53/TP53-mediated apoptosis.
See full target information PDK2

文献 (6)

Recent publications for all applications. Explore the full list and refine your search

The Biochemical journal 474:2489-2508 PubMed28341808

2017

Protein CoAlation: a redox-regulated protein modification by coenzyme A in mammalian cells.

Applications

Unspecified application

Species

Human

Yugo Tsuchiya,Sew Yeu Peak-Chew,Clare Newell,Sheritta Miller-Aidoo,Sriyash Mangal,Alexander Zhyvoloup,Jovana Bakovic,Oksana Malanchuk,Gonçalo C Pereira,Vassilios Kotiadis,Gyorgy Szabadkai,Michael R Duchen,Mark Campbell,Sergio Rodriguez Cuenca,Antonio Vidal-Puig,Andrew M James,Michael P Murphy,Valeriy Filonenko,Mark Skehel,Ivan Gout

Brazilian journal of medical and biological resear 50:e5988 PubMed28225870

2017

PDK2 promotes chondrogenic differentiation of mesenchymal stem cells by upregulation of Sox6 and activation of JNK/MAPK/ERK pathway.

Applications

WB

Species

Rat

H Wang,X B Shan,Y J Qiao

PloS one 11:e0150454 PubMed26930489

2016

Induction of Posttranslational Modifications of Mitochondrial Proteins by ATP Contributes to Negative Regulation of Mitochondrial Function.

Applications

Unspecified application

Species

Mouse

Yong Zhang,Zhiyun Zhao,Bilun Ke,Lin Wan,Hui Wang,Jianping Ye

American journal of physiology. Endocrinology and metabolism 310:E148-59 PubMed26487010

2015

Impact of maternal undernutrition around the time of conception on factors regulating hepatic lipid metabolism and microRNAs in singleton and twin fetuses.

Applications

Unspecified application

Species

Unspecified reactive species

Shervi Lie,Janna L Morrison,Olivia Williams-Wyss,Catherine M Suter,David T Humphreys,Susan E Ozanne,Song Zhang,Severence M MacLaughlin,David O Kleemann,Simon K Walker,Claire T Roberts,I Caroline McMillen

American journal of physiology. Endocrinology and 306:E658-67 PubMed24425766

2014

Early mitochondrial dysfunction in glycolytic muscle, but not oxidative muscle, of the fructose-fed insulin-resistant rat.

Applications

Unspecified application

Species

Unspecified reactive species

Blair E Warren,Phing-How Lou,Eliana Lucchinetti,Liyan Zhang,Alexander S Clanachan,Andreas Affolter,Martin Hersberger,Michael Zaugg,Hélène Lemieux

American journal of physiology. Heart and circulat 304:H861-73 PubMed23335793

2013

Impaired contractile recovery after low-flow myocardial ischemia in a porcine model of metabolic syndrome.

Applications

WB

Species

Pig

Janice V Huang,Li Lu,Shuyu Ye,Bryan C Bergman,Genevieve C Sparagna,Mohammad Sarraf,Jane E B Reusch,Clifford R Greyson,Gregory G Schwartz
View all publications

Abcam product promise

当社は、高品質な試薬を通じてお客様の研究を力強くサポートすることをお約束いたします。ご使用いただく各段階で、常にお客様をサポートできる体制を整えております。万が一、製品が期待通りに機能しない場合は、「Abcam Product Promise」による当社保証制度に基づき、安心してご利用いただけます。
保証に関する詳細については利用規約をご確認ください。

Please note: All products are 'FOR RESEARCH USE ONLY. NOT FOR USE IN DIAGNOSTIC OR THERAPEUTIC PROCEDURES'.

For licensing inquiries, please contact partnerships@abcam.com