JavaScript is disabled in your browser. Please enable JavaScript to view this website.
AB232979

Anti-PDIA5 抗体

Anti-PDIA5 antibody

Be the first to review this product! Submit a review

|

(1 Publication)

Rabbit Polyclonal PDIA5 antibody. Suitable for WB, IHC-P and reacts with Pig, Human samples. Cited in 1 publication. Immunogen corresponding to Recombinant Fragment Protein within Human PDIA5 aa 350 to C-terminus.

別名を表示する

PDIR, PDIA5, Protein disulfide-isomerase A5, Protein disulfide isomerase-related protein

5 Images
Immunohistochemistry (Formalin/PFA-fixed paraffin-embedded sections) - Anti-PDIA5 antibody (AB232979)
  • IHC-P

Supplier Data

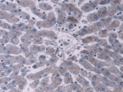
Immunohistochemistry (Formalin/PFA-fixed paraffin-embedded sections) - Anti-PDIA5 antibody (AB232979)

Formalin-fixed, paraffin-embedded human liver tissue stained for PDIA5 using ab232979 at 30 μg/ml in immunohistochemical analysis. DAB staining.

Western blot - Anti-PDIA5 antibody (AB232979)
  • WB

Supplier Data

Western blot - Anti-PDIA5 antibody (AB232979)

All lanes:

Western blot - Anti-PDIA5 antibody (ab232979) at 2 µg/mL

All lanes:

HeLa (human epithelial cell line from cervix adenocarcinoma) cell lysate

Predicted band size: 60 kDa

false

Western blot - Anti-PDIA5 antibody (AB232979)
  • WB

Supplier Data

Western blot - Anti-PDIA5 antibody (AB232979)

All lanes:

Western blot - Anti-PDIA5 antibody (ab232979) at 2 µg/mL

All lanes:

A431 (human epidermoid carcinoma cell line) cell lysate

Predicted band size: 60 kDa

false

Western blot - Anti-PDIA5 antibody (AB232979)
  • WB

Supplier Data

Western blot - Anti-PDIA5 antibody (AB232979)

All lanes:

Western blot - Anti-PDIA5 antibody (ab232979) at 2 µg/mL

All lanes:

Pig liver lysate

Predicted band size: 60 kDa

false

Western blot - Anti-PDIA5 antibody (AB232979)
  • WB

Supplier Data

Western blot - Anti-PDIA5 antibody (AB232979)

All lanes:

Western blot - Anti-PDIA5 antibody (ab232979) at 2 µg/mL

All lanes:

Recombinant human PDIA5 protein

Predicted band size: 60 kDa

false

Key facts

宿主種

Rabbit

クローン性

Polyclonal

アイソタイプ

IgG

キャリアフリー

No

交差種

Human, Pig

アプリケーション

WB, IHC-P

applications

免疫原

Recombinant Fragment Protein within Human PDIA5 aa 350 to C-terminus. The exact immunogen used to generate this antibody is proprietary information.

Q14554

Reactivity data

{ "title": "Reactivity Data", "filters": { "stats": ["", "Species", "Dilution Info", "Notes"], "tabs": { "all-applications": {"fullname" : "All Applications", "shortname": "All Applications"}, "WB" : {"fullname" : "Western blot", "shortname":"WB"}, "IHCP" : {"fullname" : "Immunohistochemistry (Formalin/PFA-fixed paraffin-embedded sections)", "shortname":"IHC-P"} }, "product-promise": { "all": "all", "testedAndGuaranteed": "tested", "guaranteed": "expected", "predicted": "predicted", "notRecommended": "not-recommended" } }, "values": { "Human": { "WB-species-checked": "testedAndGuaranteed", "WB-species-dilution-info": "0.2-2 µg/mL", "WB-species-notes": "<p></p>", "IHCP-species-checked": "testedAndGuaranteed", "IHCP-species-dilution-info": "5-20 µg/mL", "IHCP-species-notes": "<p></p>" }, "Mouse": { "WB-species-checked": "predicted", "WB-species-dilution-info": "", "WB-species-notes": "", "IHCP-species-checked": "predicted", "IHCP-species-dilution-info": "", "IHCP-species-notes": "" }, "Rat": { "WB-species-checked": "predicted", "WB-species-dilution-info": "", "WB-species-notes": "", "IHCP-species-checked": "predicted", "IHCP-species-dilution-info": "", "IHCP-species-notes": "" }, "Pig": { "WB-species-checked": "testedAndGuaranteed", "WB-species-dilution-info": "0.2-2 µg/mL", "WB-species-notes": "<p></p>", "IHCP-species-checked": "guaranteed", "IHCP-species-dilution-info": "", "IHCP-species-notes": "" } } }

出荷温度及び保存条件

製品の状態
Liquid
精製方法
Affinity purification Immunogen
精製に関する特記事項
Antigen-specific affinity chromatography followed by Protein A affinity chromatography.
バッファー組成
pH: 7.4 Preservative: 0.02% Sodium azide Constituents: PBS, 55.77% Glycerol (glycerin, glycerine)
出荷温度
Blue Ice
短期保存期間
1-2 weeks
短期保存温度
+4°C
長期保存温度
-20°C
分注に関する情報
Upon delivery aliquot
保管に関する情報
Avoid freeze / thaw cycle

補足情報

This supplementary information is collated from multiple sources and compiled automatically.

The protein disulfide-isomerase A5 (PDIA5) also known as PDIR serves as an enzyme that catalyzes the formation breakage and rearrangement of disulfide bonds. It weighs approximately 58 kDa. Researchers find PDIA5 expressed in the endoplasmic reticulum especially in tissues with high secretory activity like the pancreas and liver. It participates in protein folding and maintaining cell function by ensuring proper protein structure through disulfide bond formation.
Biological function summary

PDIA5 has important roles in regulating redox homeostasis and protein quality control within the endoplasmic reticulum. It does not operate alone; it functions as part of multi-protein complexes engaging with other chaperones to assist in folding newly synthesized proteins. These interactions prevent protein aggregation and accumulation of misfolded proteins protecting cells from stress.

Pathways

PDIA5 integrates into the unfolded protein response (UPR) and endoplasmic reticulum-associated degradation (ERAD) pathways. It interfaces with other proteins like BiP/GRP78 which enhances its chaperone activity during cellular stress and EDEM1 a protein involved in recognizing misfolded glycoproteins. These pathways work together to maintain cellular homeostasis by managing protein load and degradation processes.

Research associates PDIA5 with various conditions including neurodegenerative diseases and cancer. Misfolding and aggregation of proteins linked to PDIA5 malfunction can contribute to disorders like Alzheimer's disease. Moreover PDIA5 may influence cancer progression by interacting with proteins like CALR which also participates in cell stress responses. Understanding PDIA5 functions helps in developing potential therapeutic strategies for these conditions.

製品プロトコール

For this product, it's our understanding that no specific protocols are required. You can visit:

ターゲットの情報

See full target information PDIA5

文献 (1)

Recent publications for all applications. Explore the full list and refine your search

Molecular therapy. Nucleic acids 35:102380 PubMed39640012

2024

A lipid nanoparticle-based oligodendrocyte-specific mRNA therapy.

Applications

Unspecified application

Species

Unspecified reactive species

Masanori Sawamura,Kiyoshi Tachikawa,Rie Hikawa,Hisako Akiyama,Seiji Kaji,Ken Yasuda,Angel I Leu,Hyojung Hong,Rajesh Mukthavaram,Pad Chivukula,Hodaka Yamakado,Yoshio Hirabayashi,Ryosuke Takahashi,Shu-Ichi Matsuzawa
View all publications

Abcam product promise

当社は、高品質な試薬を通じてお客様の研究を力強くサポートすることをお約束いたします。ご使用いただく各段階で、常にお客様をサポートできる体制を整えております。万が一、製品が期待通りに機能しない場合は、「Abcam Product Promise」による当社保証制度に基づき、安心してご利用いただけます。
保証に関する詳細については利用規約をご確認ください。

Please note: All products are 'FOR RESEARCH USE ONLY. NOT FOR USE IN DIAGNOSTIC OR THERAPEUTIC PROCEDURES'.

For licensing inquiries, please contact partnerships@abcam.com