JavaScript is disabled in your browser. Please enable JavaScript to view this website.
AB313777

Anti-PDGFR beta 抗体 [EPR26830-84]

Anti-PDGFR beta antibody [EPR26830-84]

  • BOND RX™ Validated
  • 20ul selling size
  • RabMAb
  • Recombinant
  • KO Validated
  • 詳細を見る

Be the first to review this product! Submit a review

|

(0 Publication)

Knockout Tested Rabbit Recombinant Monoclonal PDGFR beta antibody. Suitable for IHC-P, WB and reacts with Human, Recombinant fragment - Human samples.

別名を表示する

CD140b, PDGFR, PDGFR1, PDGFRB, Platelet-derived growth factor receptor beta, PDGF-R-beta, PDGFR-beta, Beta platelet-derived growth factor receptor, Beta-type platelet-derived growth factor receptor, CD140 antigen-like family member B, Platelet-derived growth factor receptor 1, PDGFR-1

7 Images
Immunohistochemistry (Formalin/PFA-fixed paraffin-embedded sections) - Anti-PDGFR beta antibody [EPR26830-84] (AB313777)
  • IHC-P

Supplier Data

Immunohistochemistry (Formalin/PFA-fixed paraffin-embedded sections) - Anti-PDGFR beta antibody [EPR26830-84] (AB313777)

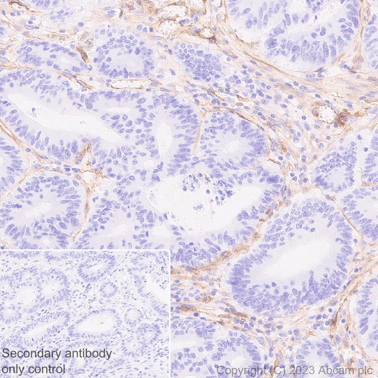
Immunohistochemical analysis of paraffin-embedded Human colorectal car tissue labeling PDGFR beta with ab313777 at 1/100 (4.98 ug/ml) followed by a ready to use LeicaDS9800 (Bond™ Polymer Refine Detection). Positive staining on stromal cells of human colorectal carcinoma (PMID : 23441134).The section was incubated with ab313777 for 30 mins at room temperature.The immunostaining was performed on a Leica Biosystems BOND® RX instrumentIncubate slides with 3% Hydrogen Peroxide for 10 mins at room temperature after secondary antibody incubation to reduce the background Counterstained with Hematoxylin. Secondary antibody only control : Secondary antibody is a ready to use LeicaDS9800 (Bond™ Polymer Refine Detection). Heat mediated antigen retrieval was performed with Tris-EDTA buffer (pH 9.0, Epitope Retrieval Solution2) for 20 mins

Immunohistochemistry (Formalin/PFA-fixed paraffin-embedded sections) - Anti-PDGFR beta antibody [EPR26830-84] (AB313777)
  • IHC-P

Supplier Data

Immunohistochemistry (Formalin/PFA-fixed paraffin-embedded sections) - Anti-PDGFR beta antibody [EPR26830-84] (AB313777)

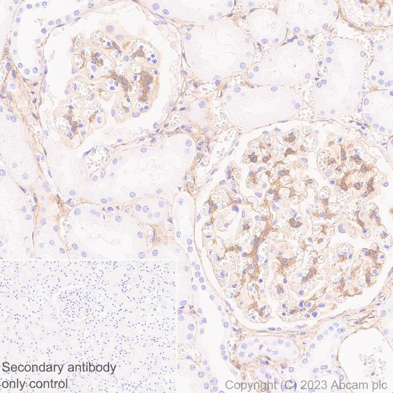
Immunohistochemical analysis of paraffin-embedded Human kidney tissue labeling PDGFR beta with ab313777 at 1/100 (4.98 ug/ml) followed by a ready to use LeicaDS9800 (Bond™ Polymer Refine Detection). Positive staining on human kidney (PMID : 15067514).The section was incubated with ab313777 for 30 mins at room temperature.The immunostaining was performed on a Leica Biosystems BOND® RX instrumentIncubate slides with 3% Hydrogen Peroxide for 10 mins at room temperature after secondary antibody incubation to reduce the background Counterstained with Hematoxylin. Secondary antibody only control : Secondary antibody is a ready to use LeicaDS9800 (Bond™ Polymer Refine Detection). Heat mediated antigen retrieval was performed with Tris-EDTA buffer (pH 9.0, Epitope Retrieval Solution2) for 20 mins

Immunohistochemistry (Formalin/PFA-fixed paraffin-embedded sections) - Anti-PDGFR beta antibody [EPR26830-84] (AB313777)
  • IHC-P

Supplier Data

Immunohistochemistry (Formalin/PFA-fixed paraffin-embedded sections) - Anti-PDGFR beta antibody [EPR26830-84] (AB313777)

Immunohistochemical analysis of paraffin-embedded Human cerebrum tissue labeling PDGFR beta with ab313777 at 1/100 (4.98 ug/ml) followed by a ready to use LeicaDS9800 (Bond™ Polymer Refine Detection). Positive staining on human cerebrum endothelium (PMID : 9211853).The section was incubated with ab313777 for 30 mins at room temperature.The immunostaining was performed on a Leica Biosystems BOND® RX instrumentIncubate slides with 3% Hydrogen Peroxide for 10 mins at room temperature after secondary antibody incubation to reduce the background Counterstained with Hematoxylin. Secondary antibody only control : Secondary antibody is a ready to use LeicaDS9800 (Bond™ Polymer Refine Detection). Heat mediated antigen retrieval was performed with Tris-EDTA buffer (pH 9.0, Epitope Retrieval Solution2) for 20 mins

Immunohistochemistry (Formalin/PFA-fixed paraffin-embedded sections) - Anti-PDGFR beta antibody [EPR26830-84] (AB313777)
  • IHC-P

Supplier Data

Immunohistochemistry (Formalin/PFA-fixed paraffin-embedded sections) - Anti-PDGFR beta antibody [EPR26830-84] (AB313777)

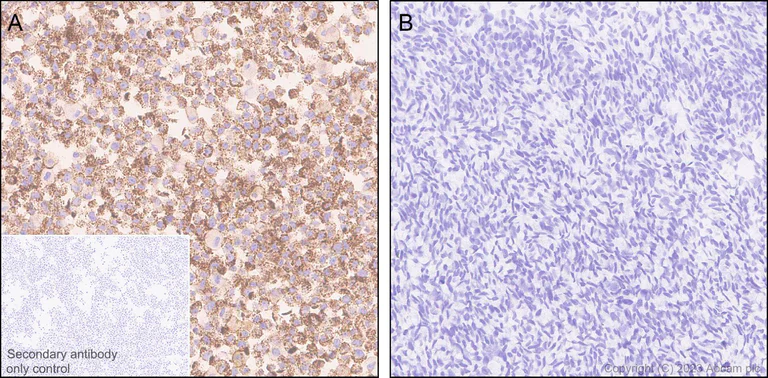
Immunohistochemical analysis of paraffin-embedded (A) Wild-type SH-SY5 tissue labeling PDGFR beta with ab313777 at 1/100 (4.98 ug/ml) followed by a ready to use LeicaDS9800 (Bond™ Polymer Refine Detection). Positive staining on (A) Wild-type SH-SY5Y cell pellet, no staining on (B) PDGFRB knockout SH-SY5Y cell pellet. The section was incubated with ab313777 for 30 mins at room temperature.The immunostaining was performed on a Leica Biosystems BOND® RX instrumentIncubate slides with 3% Hydrogen Peroxide for 10 mins at room temperature after secondary antibody incubation to reduce the background Counterstained with Hematoxylin. Secondary antibody only control : Secondary antibody is a ready to use LeicaDS9800 (Bond™ Polymer Refine Detection). Heat mediated antigen retrieval was performed with Tris-EDTA buffer (pH 9.0, Epitope Retrieval Solution2) for 20 mins

Western blot - Anti-PDGFR beta antibody [EPR26830-84] (AB313777)
  • WB

Supplier Data

Western blot - Anti-PDGFR beta antibody [EPR26830-84] (AB313777)

Blocking and diluting buffer and concentration : 5% NFDM/TBST.

All lanes:

Western blot - Anti-PDGFR beta antibody [EPR26830-84] (ab313777) at 1/1000 dilution

All lanes:

Human kidney tissue lysate at 20 µg

Secondary

All lanes:

Goat Anti-Rabbit IgG (HRP) with minimal cross-reactivity with human IgG at 1/2000 dilution

Observed band size: 200 kDa,150 kDa

false

Exposure time: 114s

Western blot - Anti-PDGFR beta antibody [EPR26830-84] (AB313777)
  • WB

Supplier Data

Western blot - Anti-PDGFR beta antibody [EPR26830-84] (AB313777)

Blocking and diluting buffer and concentration : 5% NFDM/TBST.

The expression profile/ molecular weight observed is consistent with what has been described in the literature (PMID : 28334876, 19246520, 11346654).

In Western blot, ab313777 was shown to bind specifically to PDGFR beta. Two bands were observed at 200 kDa and 150 kDa in wild-type SH-SY5Y cell lysates ( (lane 1) whereas no signal was observed at this size in PDGFRB knockout cell line (lane 2, knockout cell line ab273749/ knockout cell lysate ab275523).

This blot was developed using a high sensitivity ECL substrate. The high-sensitivity ECL substrate used allows for the detection of proteins in the mid-femtogram range.

In Western blot, anti-GAPDH antibody (ab181602) loading control staining at 1/200000 dilution.

All lanes:

Western blot - Anti-PDGFR beta antibody [EPR26830-84] (ab313777) at 1/1000 dilution

Lane 1:

Wild-type SH-SY5Y (human neuroblastoma epithelial cell) whole cell lysate at 20 µg

Lane 2:

Western blot - Human PDGFRB knockout SH-SY5Y cell lysate (<a href='/products/cell-lysates/human-pdgfrb-knockout-sh-sy5y-cell-lysate-ab275523'>ab275523</a>) at 20 µg

Lane 3:

MG-63 (human osteosarcoma fibroblast) whole cell lysate at 20 µg

Lane 4:

U-87 MG (human glioblastoma-astrocytoma epithelial cell) whole cell lysate at 20 µg

Secondary

All lanes:

Western blot - Goat Anti-Rabbit IgG H&L (HRP) (<a href='/products/secondary-antibodies/goat-rabbit-igg-h-l-hrp-ab97051'>ab97051</a>) at 1/100000 dilution

Observed band size: 200 kDa,150 kDa

true

Exposure time: 180s

Western blot - Anti-PDGFR beta antibody [EPR26830-84] (AB313777)
  • WB

Supplier Data

Western blot - Anti-PDGFR beta antibody [EPR26830-84] (AB313777)

Blocking and diluting buffer and concentration : 5% NFDM/TBST This antibody does not cross-react with human PDGFR alpha. In Western blot, anti-His antibody (ab213204) staining at 1/5000 dilution. Exposure time : 10 seconds

All lanes:

Western blot - Anti-PDGFR beta antibody [EPR26830-84] (ab313777) at 1/1000 dilution

Lane 1:

His-tagged human PDGFR beta recombinant fragment at 20 ng

Lane 2:

His-tagged human PDGFR alpha recombinant fragment at 20 ng

Secondary

All lanes:

Western blot - Goat Anti-Rabbit IgG H&L (HRP) (<a href='/products/secondary-antibodies/goat-rabbit-igg-h-l-hrp-ab97051'>ab97051</a>) at 1/100000 dilution

Observed band size: 60 kDa

false

Exposure time: 10s

Key facts

宿主種

Rabbit

クローン性

Monoclonal

クローン番号

EPR26830-84

アイソタイプ

IgG

キャリアフリー

No

交差種

Human

アプリケーション

IHC-P, WB

applications

免疫原

The exact immunogen used to generate this antibody is proprietary information.

Reactivity data

{ "title": "Reactivity Data", "filters": { "stats": ["", "Species", "Dilution Info", "Notes"], "tabs": { "all-applications": {"fullname" : "All Applications", "shortname": "All Applications"}, "IHCP" : {"fullname" : "Immunohistochemistry (Formalin/PFA-fixed paraffin-embedded sections)", "shortname":"IHC-P"}, "WB" : {"fullname" : "Western blot", "shortname":"WB"}, "IP" : {"fullname" : "Immunoprecipitation", "shortname":"IP"}, "FlowCyt" : {"fullname" : "Flow Cytometry", "shortname":"Flow Cyt"}, "ICCIF" : {"fullname" : "Immunocytochemistry/ Immunofluorescence", "shortname":"ICC/IF"} }, "product-promise": { "all": "all", "testedAndGuaranteed": "tested", "guaranteed": "expected", "predicted": "predicted", "notRecommended": "not-recommended" } }, "values": { "Human": { "IHCP-species-checked": "testedAndGuaranteed", "IHCP-species-dilution-info": "1/100", "IHCP-species-notes": "<p></p> Perform heat-mediated antigen retrieval with Tris/EDTA buffer pH 9.0 before commencing with IHC staining protocol.", "WB-species-checked": "testedAndGuaranteed", "WB-species-dilution-info": "1/1000", "WB-species-notes": "<p></p>", "IP-species-checked": "notRecommended", "IP-species-dilution-info": "", "IP-species-notes": "<p></p>", "FlowCyt-species-checked": "notRecommended", "FlowCyt-species-dilution-info": "", "FlowCyt-species-notes": "<p></p>", "ICCIF-species-checked": "notRecommended", "ICCIF-species-dilution-info": "", "ICCIF-species-notes": "<p></p>" }, "Mouse": { "IHCP-species-checked": "notRecommended", "IHCP-species-dilution-info": "", "IHCP-species-notes": "<p></p>", "WB-species-checked": "notRecommended", "WB-species-dilution-info": "", "WB-species-notes": "<p></p>", "IP-species-checked": "notRecommended", "IP-species-dilution-info": "", "IP-species-notes": "<p></p>", "FlowCyt-species-checked": "notRecommended", "FlowCyt-species-dilution-info": "", "FlowCyt-species-notes": "<p></p>", "ICCIF-species-checked": "notRecommended", "ICCIF-species-dilution-info": "", "ICCIF-species-notes": "<p></p>" }, "Rat": { "IHCP-species-checked": "notRecommended", "IHCP-species-dilution-info": "", "IHCP-species-notes": "<p></p>", "WB-species-checked": "notRecommended", "WB-species-dilution-info": "", "WB-species-notes": "<p></p>", "IP-species-checked": "notRecommended", "IP-species-dilution-info": "", "IP-species-notes": "<p></p>", "FlowCyt-species-checked": "notRecommended", "FlowCyt-species-dilution-info": "", "FlowCyt-species-notes": "<p></p>", "ICCIF-species-checked": "notRecommended", "ICCIF-species-dilution-info": "", "ICCIF-species-notes": "<p></p>" }, "Recombinant fragment - Human": { "IHCP-species-checked": "notRecommended", "IHCP-species-dilution-info": "", "IHCP-species-notes": "", "WB-species-checked": "testedAndGuaranteed", "WB-species-dilution-info": "1/1000", "WB-species-notes": "<p></p>", "IP-species-checked": "notRecommended", "IP-species-dilution-info": "", "IP-species-notes": "", "FlowCyt-species-checked": "notRecommended", "FlowCyt-species-dilution-info": "", "FlowCyt-species-notes": "", "ICCIF-species-checked": "notRecommended", "ICCIF-species-dilution-info": "", "ICCIF-species-notes": "" } } }

下記製品にもご興味をお持ちいただけるかもしれません:

AB252357

Human PDGFRB ELISA Kit

0

0 Reviews

製品ページを見る
こちらの製品も推奨する理由

この製品は、同様の実験や関連する研究で広く使用されていることから推奨させていただいております。

お客様の実験に適するかご確認いただくため、必ず製品データシートをご確認いただくことをお勧めいたします。ご不明点等ございましたら、テクニカルサポートチームまでお問い合わせください。

製品の詳細

出荷温度及び保存条件

製品の状態
Liquid
精製方法
Affinity purification Protein A
バッファー組成
pH: 7.2 - 7.4 Preservative: 0.01% Sodium azide Constituents: PBS, 40% Glycerol (glycerin, glycerine), 0.05% BSA
出荷温度
Blue Ice
短期保存期間
1-2 weeks
短期保存温度
+4°C
長期保存温度
-20°C
分注に関する情報
Upon delivery aliquot
保管に関する情報
Avoid freeze / thaw cycle

補足情報

This supplementary information is collated from multiple sources and compiled automatically.

PDGFR beta also known as PDGFR-b or PDGFRB is a cell surface tyrosine kinase receptor with a molecular mass of about 180 kDa. It binds the PDGF (platelet-derived growth factor) family of ligands. PDGFR beta is commonly found in various tissues including blood vessels and connective tissues and is highly expressed in cells like pericytes and fibroblasts. The receptor plays a critical role in cell signaling mechanisms involving proliferation chemotaxis and survival.
Biological function summary

The receptor plays an essential role in the regulation of cell growth and development. PDGFR beta undergoes dimerization and autophosphorylation upon ligand binding initiating a series of downstream signaling cascades. This receptor is often part of a complex with other receptor proteins promoting interactions necessary for signal propagation. Its main biological functions include mediating cellular responses to environmental signals that contribute to tissue repair and angiogenesis.

Pathways

PDGFR beta is an important player within the PI3K-Akt and MAPK signaling pathways. It works alongside proteins such as PI3K and Ras to regulate cellular responses related to growth and survival. These pathways facilitate cross-talk with other cellular processes influencing various cellular outcomes. This receptor's activity regulates critical physiological functions by providing signals that maintain cellular homeostasis under various physiological conditions.

PDGFR beta has significant implications in the progression of cancer and fibrotic diseases. Its overexpression or mutation can lead to anomalous signaling that contributes to tumorigenesis particularly in connective tissue tumors known as sarcomas. Additionally PDGFR beta's role in promoting fibroblast activity makes it relevant in fibrotic diseases such as pulmonary fibrosis. Abnormal activation of PDGFR beta can interact with related proteins like VEGF receptors enhancing pathogenic responses and contributing to disease severity.

製品プロトコール

For this product, it's our understanding that no specific protocols are required. You can visit:

ターゲットの情報

The protein expressed by the PDGFRB gene is a tyrosine-protein kinase that functions as a cell-surface receptor for various PDGF homodimers and heterodimers, playing an essential role in embryonic development, cell proliferation, survival, differentiation, chemotaxis, and migration. It is crucial for blood vessel development by promoting the proliferation and migration of, as well as recruitment of, pericytes and smooth muscle cells to endothelial cells. It has a role in vascular smooth muscle cell migration and neointima formation at injury sites, and is necessary for normal cardiovascular development and pericyte recruitment in kidney glomeruli. The protein facilitates actin cytoskeleton rearrangement and membrane ruffle formation. Ligand binding activates signaling cascades depending on the ligand bound and interactions with PDGFRA, leading to phosphorylation of several substrates, activation of signaling pathways such as AKT1, MAPK, and SRC family kinases, and production of molecules like diacylglycerol and inositol trisphosphate. Receptor signaling is downregulated by protein phosphatases and receptor internalization. This supplementary information is collated from multiple sources and compiled automatically.
See full target information PDGFRB

Abcam product promise

当社は、高品質な試薬を通じてお客様の研究を力強くサポートすることをお約束いたします。ご使用いただく各段階で、常にお客様をサポートできる体制を整えております。万が一、製品が期待通りに機能しない場合は、「Abcam Product Promise」による当社保証制度に基づき、安心してご利用いただけます。
保証に関する詳細については利用規約をご確認ください。

関連製品

Select an associated product type
Alternative Version
Primary Antibodies

AB313778

Anti-PDGFR beta antibody [EPR26830-84] - BSA and Azide free

primary-antibodies

pdgfr-beta-antibody-epr26830-84-bsa-and-azide-free-ab313778

0

(0 reviews)

Please note: All products are 'FOR RESEARCH USE ONLY. NOT FOR USE IN DIAGNOSTIC OR THERAPEUTIC PROCEDURES'.

For licensing inquiries, please contact partnerships@abcam.com