JavaScript is disabled in your browser. Please enable JavaScript to view this website.
AB224616

Anti-PDE2A 抗体

Anti-PDE2A antibody

Be the first to review this product! Submit a review

|

(3 Publications)

Rabbit Polyclonal PDE2A antibody. Suitable for WB, IHC-P, ICC/IF and reacts with Human samples. Cited in 3 publications. Immunogen corresponding to Recombinant Fragment Protein within Human PDE2A aa 1-250.

別名を表示する

Cyclic GMP-stimulated phosphodiesterase, CGS-PDE, cGSPDE, PDE2A

4 Images
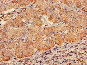
Immunohistochemistry (Formalin/PFA-fixed paraffin-embedded sections) - Anti-PDE2A antibody (AB224616)
  • IHC-P

Supplier Data

Immunohistochemistry (Formalin/PFA-fixed paraffin-embedded sections) - Anti-PDE2A antibody (AB224616)

Paraffin-embedded human adrenal gland tissue stained for PDE2A using ab224616 at 1/100 dilution in immunohistochemical analysis.

Immunohistochemistry (Formalin/PFA-fixed paraffin-embedded sections) - Anti-PDE2A antibody (AB224616)
  • IHC-P

Supplier Data

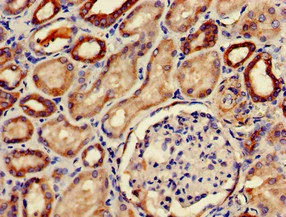
Immunohistochemistry (Formalin/PFA-fixed paraffin-embedded sections) - Anti-PDE2A antibody (AB224616)

Paraffin-embedded human kidney tissue stained for PDE2A using ab224616 at 1/100 dilution in immunohistochemical analysis.

Immunocytochemistry/ Immunofluorescence - Anti-PDE2A antibody (AB224616)
  • ICC/IF

Supplier Data

Immunocytochemistry/ Immunofluorescence - Anti-PDE2A antibody (AB224616)

HepG2 (human liver hepatocellular carcinoma cell line) cells stained for PDE2A (green) using ab224616 at 1/100 dilution in ICC/IF, followed by Alexa Fluor 488® conjugated Goat Anti-Rabbit IgG (H+L).

Western blot - Anti-PDE2A antibody (AB224616)
  • WB

Supplier Data

Western blot - Anti-PDE2A antibody (AB224616)

All lanes:

Western blot - Anti-PDE2A antibody (ab224616) at 1/500 dilution

All lanes:

HeLa (human epithelial cell line from cervix adenocarcinoma) cell lysate

Secondary

All lanes:

Goat polyclonal to rabbit IgG at 1/50000 dilution

Predicted band size: 106 kDa

Observed band size: 106 kDa

false

Key facts

宿主種

Rabbit

クローン性

Polyclonal

アイソタイプ

IgG

キャリアフリー

No

交差種

Human

アプリケーション

IHC-P, WB, ICC/IF

applications

免疫原

Recombinant Fragment Protein within Human PDE2A aa 1-250. The exact immunogen used to generate this antibody is proprietary information.

O00408

Reactivity data

{ "title": "Reactivity Data", "filters": { "stats": ["", "Species", "Dilution Info", "Notes"], "tabs": { "all-applications": {"fullname" : "All Applications", "shortname": "All Applications"}, "WB" : {"fullname" : "Western blot", "shortname":"WB"}, "IHCP" : {"fullname" : "Immunohistochemistry (Formalin/PFA-fixed paraffin-embedded sections)", "shortname":"IHC-P"}, "ICCIF" : {"fullname" : "Immunocytochemistry/ Immunofluorescence", "shortname":"ICC/IF"} }, "product-promise": { "all": "all", "testedAndGuaranteed": "tested", "guaranteed": "expected", "predicted": "predicted", "notRecommended": "not-recommended" } }, "values": { "Human": { "WB-species-checked": "testedAndGuaranteed", "WB-species-dilution-info": "1/500 - 1/5000", "WB-species-notes": "<p></p>", "IHCP-species-checked": "testedAndGuaranteed", "IHCP-species-dilution-info": "1/20 - 1/200", "IHCP-species-notes": "<p></p>", "ICCIF-species-checked": "testedAndGuaranteed", "ICCIF-species-dilution-info": "1/50 - 1/200", "ICCIF-species-notes": "<p></p>" } } }

出荷温度及び保存条件

製品の状態
Liquid
精製方法
Affinity purification Protein G
精製に関する特記事項
Purity >95%.
バッファー組成
pH: 7.4 Preservative: 0.03% Proclin 300 Constituents: PBS, 50% Glycerol (glycerin, glycerine)
出荷温度
Blue Ice
短期保存期間
1-2 weeks
短期保存温度
+4°C
長期保存温度
-20°C
分注に関する情報
Upon delivery aliquot
保管に関する情報
Avoid freeze / thaw cycle

補足情報

This supplementary information is collated from multiple sources and compiled automatically.

PDE2A or phosphodiesterase 2A is an enzyme involved in the breakdown of cyclic nucleotides specifically cAMP and cGMP through its phosphodiesterase activity. This protein has a mass of approximately 105 kDa and is also known as cGMP-stimulated phosphodiesterase. PDE2A is expressed in various tissues with the highest levels found in the brain heart and adrenal gland. It is essential in regulating intracellular signals making it an important player in cellular communication.
Biological function summary

PDE2A plays a significant role in modulating signaling pathways by controlling the levels of cyclic nucleotides. It does not form part of a larger complex but interacts with other proteins to exert its function. Its activity impacts processes such as smooth muscle contraction neurotransmission and cardiac function. By hydrolyzing cAMP and cGMP PDE2A influences the cellular response to external stimuli and maintains homeostasis within cells.

Pathways

Phosphodiesterase 2A significantly contributes to the cyclic nucleotide signaling pathway and the MAPK signaling pathway. By regulating cAMP and cGMP levels PDE2A influences signal transduction mechanisms linked to these pathways. It interfaces with proteins such as protein kinase A (PKA) and guanylyl cyclase affecting downstream responses that involve cell growth differentiation and apoptosis.

Abnormal PDE2A activity has implications in neurological and cardiovascular conditions. Dysregulation of PDE2A has been associated with depressive disorders and heart failure. Its relationship with other proteins such as PKA can alter neurotransmitter release in depression and affect cardiac muscle contractility in heart failure. These connections highlight PDE2A as a potential therapeutic target for managing such conditions.

製品プロトコール

For this product, it's our understanding that no specific protocols are required. You can visit:

ターゲットの情報

cGMP-activated cyclic nucleotide phosphodiesterase with a dual-specificity for the second messengers cAMP and cGMP, which are key regulators of many important physiological processes (PubMed : 15938621, PubMed : 29392776, PubMed : 9210593). Has a higher efficiency with cGMP compared to cAMP (PubMed : 15938621). Plays a role in cell growth and migration (PubMed : 24705027).. Isoform PDE2A2. Regulates mitochondrial cAMP levels and respiration (By similarity). Involved in the regulation of mitochondria morphology/dynamics and apoptotic cell death via local modulation of cAMP/PKA signaling in the mitochondrion, including the monitoring of local cAMP levels at the outer mitochondrial membrane and of PKA-dependent phosphorylation of DNM1L (PubMed : 28463107).
See full target information PDE2A

文献 (3)

Recent publications for all applications. Explore the full list and refine your search

Aging 16:7578-7595 PubMed38568089

2024

Establishment and verification of a prognostic model based on coagulation and fibrinolysis-related genes in hepatocellular carcinoma.

Applications

Unspecified application

Species

Unspecified reactive species

Meng Fan,Le Lu,Hao Shang,Yuxuan Lu,Yi Yang,Xiuyan Wang,Hongwei Lu

Neoplasma 69:1349-1358 PubMed36305691

2022

PHF21A expression as a biomarker of hepatocellular carcinoma progression and prognosis.

Applications

Unspecified application

Species

Unspecified reactive species

Jia-Qing Huang,Li-Chen Ji,Qiang-An Jing,Yi-Chen He,Ying-Yu Ma,Xiang-Min Tong

International journal of biological sciences 17:3508-3521 PubMed34512162

2021

miR-139/PDE2A-Notch1 feedback circuit represses stemness of gliomas by inhibiting Wnt/β-catenin signaling.

Applications

Unspecified application

Species

Unspecified reactive species

San-Zhong Li,Kai-Xi Ren,Jing Zhao,Shuang Wu,Juan Li,Jian Zang,Zhou Fei,Jun-Long Zhao
View all publications

Abcam product promise

当社は、高品質な試薬を通じてお客様の研究を力強くサポートすることをお約束いたします。ご使用いただく各段階で、常にお客様をサポートできる体制を整えております。万が一、製品が期待通りに機能しない場合は、「Abcam Product Promise」による当社保証制度に基づき、安心してご利用いただけます。
保証に関する詳細については利用規約をご確認ください。

Please note: All products are 'FOR RESEARCH USE ONLY. NOT FOR USE IN DIAGNOSTIC OR THERAPEUTIC PROCEDURES'.

For licensing inquiries, please contact partnerships@abcam.com