JavaScript is disabled in your browser. Please enable JavaScript to view this website.
AB228462

Anti-PD-L1 抗体 [SP142] - C-terminal

Anti-PD-L1 antibody [SP142] - C-terminal

  • BOND RX™ Validated
  • 20ul selling size
  • RabMAb
  • Advanced Validation
  • Recombinant
  • 詳細を見る

5

(2 Reviews)

|

(108 Publications)

Anti-PD-L1 antibody [SP142] - C-terminal (ab228462) is a rabbit monoclonal antibody detecting PD-L1 in IHC-P, ICC/IF, mIHC. Suitable for Human.

- Multiplex IHC validated on the Leica BOND® MAX using Opal reagents
- Biophysical QC for unrivalled batch-batch consistency
- Over 90 publications

別名を表示する

CD274, B7H1, PDCD1L1, PDCD1LG1, PDL1, Programmed cell death 1 ligand 1, PD-L1, PDCD1 ligand 1, Programmed death ligand 1, hPD-L1, B7 homolog 1, B7-H1

15 Images
Immunohistochemistry (Formalin/PFA-fixed paraffin-embedded sections) - Anti-PD-L1 antibody [SP142] - C-terminal (AB228462)
  • IHC-P

Supplier Data

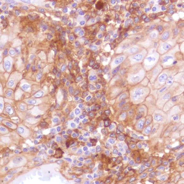
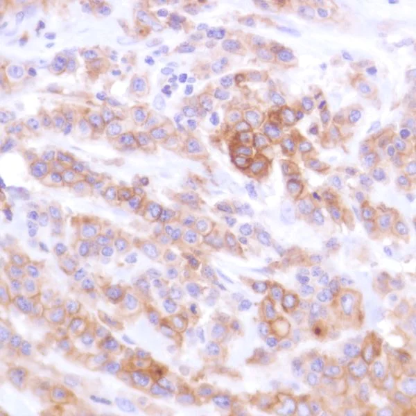
Immunohistochemistry (Formalin/PFA-fixed paraffin-embedded sections) - Anti-PD-L1 antibody [SP142] - C-terminal (AB228462)

Formalin-fixed, paraffin-embedded human lung squamous cell carcinoma tissue stained for PD-L1 using ab228462 at 1/100 dilution in immunohistochemical analysis.

Perform heat mediated antigen retrieval with Tris/EDTA buffer pH 9.0 before commencing with IHC staining protocol.

Multiplex immunohistochemistry - Anti-PD-L1 antibody [SP142] - C-terminal (AB228462)
  • mIHC

Supplier Data

Multiplex immunohistochemistry - Anti-PD-L1 antibody [SP142] - C-terminal (AB228462)

Multiplex immunohistochemistry analysis of formalin/PFA-fixed paraffin-embedded human tonsil tissue staining PD1 with ab309363 at a 1/4000 dilution ( 0.125 μg/ml), ab228462 anti-PD-L1 used at 1/100 dilution (0.52 μg/ml) and ab213363 anti-CD68 used at a 1/500 dilution (1.26 μg/ml).

Panel A : merged staining of anti-CD68 (gray; Opal™690), anti-PD1 (green; Opal™520) and anti-PD-L1 (red; Opal™570) on human tonsil.
Panel B : anti-PD1 stained on antigen-stimulated T cells.
Panel C : anti-PD-L1 stained on cells involved in T cell inhibition.
Panel D : anti-CD68 stained on macrophages.

The section was incubated in three rounds of staining : in the order of ab213363 and ab309363 for 30 mins, then ab228462 for 10 mins at room temperature.

Heat mediated antigen retrieval with Tris-EDTA buffer (pH 9.0, epitope retrieval solution2) for 20 mins. Each round was followed by a separate fluorescent tyramide signal amplification system.

The immunostaining was performed on a Leica Biosystems BOND® RX instrument with an Opal™ 4-color kit. Image acquisition was performed with Leica SP8 confocal microscope.

Immunohistochemistry (Formalin/PFA-fixed paraffin-embedded sections) - Anti-PD-L1 antibody [SP142] - C-terminal (AB228462)
  • IHC-P

Supplier Data

Immunohistochemistry (Formalin/PFA-fixed paraffin-embedded sections) - Anti-PD-L1 antibody [SP142] - C-terminal (AB228462)

Formalin-fixed, paraffin-embedded human skin squamous cell carcinoma tissue stained for PD-L1 using ab228462 at 1/100 dilution in immunohistochemical analysis.

Perform heat mediated antigen retrieval with Tris/EDTA buffer pH 9.0 before commencing with IHC staining protocol.

Immunohistochemistry (Formalin/PFA-fixed paraffin-embedded sections) - Anti-PD-L1 antibody [SP142] - C-terminal (AB228462)
  • IHC-P

Lab

Immunohistochemistry (Formalin/PFA-fixed paraffin-embedded sections) - Anti-PD-L1 antibody [SP142] - C-terminal (AB228462)

IHC image of ab228462 staining PD-L1 in PD-L1 Dynamic Range Analyte Control formalin fixed paraffin embedded human cell lines (HistoCyte Laboratories), performed on a Leica BOND RX (standard Protocol F, Polymer Refine kit). The section was pre-treated using heat mediated antigen retrieval with EDTA buffer (pH9, epitope retrieval solution 2) for 30 mins at 98°C. The section was then incubated with ab228462, 1/400 working dilution, for 15 mins at room temperature and detected using an HRP conjugated compact polymer system for 8 minutes at room temperature. DAB was used as the chromogen for 10 minutes at room temperature. The section was then counterstained with hematoxylin, blued, dehydrated, cleared and mounted with DPX.

For other IHC staining systems (automated and non-automated) customers should optimize variable parameters such as antigen retrieval conditions, primary antibody concentration and antibody incubation times.

Immunohistochemistry (Formalin/PFA-fixed paraffin-embedded sections) - Anti-PD-L1 antibody [SP142] - C-terminal (AB228462)
  • IHC-P

Supplier Data

Immunohistochemistry (Formalin/PFA-fixed paraffin-embedded sections) - Anti-PD-L1 antibody [SP142] - C-terminal (AB228462)

Formalin-fixed, paraffin-embedded human Hodgkin's lymphoma tissue stained for PD-L1 using ab228462 at 1/100 dilution in immunohistochemical analysis.

Perform heat mediated antigen retrieval with Tris/EDTA buffer pH 9.0 before commencing with IHC staining protocol.

Immunohistochemistry (Formalin/PFA-fixed paraffin-embedded sections) - Anti-PD-L1 antibody [SP142] - C-terminal (AB228462)
  • IHC-P

Supplier Data

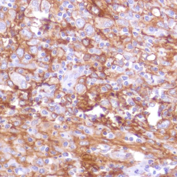
Immunohistochemistry (Formalin/PFA-fixed paraffin-embedded sections) - Anti-PD-L1 antibody [SP142] - C-terminal (AB228462)

Formalin-fixed paraffin-embedded human pancreatic adenocarcinoma tissue stained for PD-L1 using ab228462 at 1/100 dilution in immunohistochemical analysis.

Perform heat mediated antigen retrieval with Tris/EDTA buffer pH 9.0 before commencing with IHC staining protocol.

Immunohistochemistry (Formalin/PFA-fixed paraffin-embedded sections) - Anti-PD-L1 antibody [SP142] - C-terminal (AB228462)
  • IHC-P

Supplier Data

Immunohistochemistry (Formalin/PFA-fixed paraffin-embedded sections) - Anti-PD-L1 antibody [SP142] - C-terminal (AB228462)

Formalin-fixed paraffin-embedded human prostate adenocarcinoma tissue stained for PD-L1 using ab228462 at 1/100 dilution in immunohistochemical analysis.

Perform heat mediated antigen retrieval with Tris/EDTA buffer pH 9.0 before commencing with IHC staining protocol.

Immunohistochemistry (Formalin/PFA-fixed paraffin-embedded sections) - Anti-PD-L1 antibody [SP142] - C-terminal (AB228462)
  • IHC-P

Supplier Data

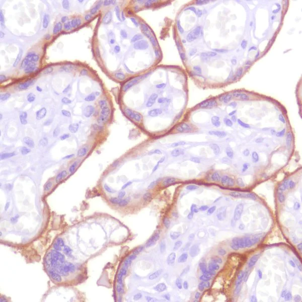
Immunohistochemistry (Formalin/PFA-fixed paraffin-embedded sections) - Anti-PD-L1 antibody [SP142] - C-terminal (AB228462)

Formalin-fixed paraffin-embedded human placenta tissue stained for PD-L1 using ab228462 at 1/100 dilution in immunohistochemical analysis.

Perform heat mediated antigen retrieval with Tris/EDTA buffer pH 9.0 before commencing with IHC staining protocol.

Immunohistochemistry (Formalin/PFA-fixed paraffin-embedded sections) - Anti-PD-L1 antibody [SP142] - C-terminal (AB228462)
  • IHC-P

Supplier Data

Immunohistochemistry (Formalin/PFA-fixed paraffin-embedded sections) - Anti-PD-L1 antibody [SP142] - C-terminal (AB228462)

Formalin-fixed paraffin-embedded human tonsil tissue stained for PD-L1 using ab228462 at 1/100 dilution in immunohistochemical analysis.

Perform heat mediated antigen retrieval with Tris/EDTA buffer pH 9.0 before commencing with IHC staining protocol.

Multiplex immunohistochemistry - Anti-PD-L1 antibody [SP142] - C-terminal (AB228462)
  • mIHC

Lab

Multiplex immunohistochemistry - Anti-PD-L1 antibody [SP142] - C-terminal (AB228462)

Immunohistochemistry (Formalin/PFA-fixed paraffin-embedded sections) analysis of Human tonsil labelling PD1 with ab243644 at 1/500 dilution (1.02 µg/mL) (D), Ki67 with ab16667 at 1/200 dilution (0.15 μg/ml) (B) and PD-L1 with ab228462 at 1/100 dilution (0.52 μg/ml) (C). Opal Polymer HRP Ms + Rb was used as a secondary antibody, and DAPI was used for a nuclear counter stain. Heat mediated antigen retrieval with Citrate buffer (pH 6.0, epitope retrieval solution 1) for 20 mins. Panel A : merged staining of anti-Ki67 (magenta; Opal™690), anti-PD-L1 (red; Opal™570) and anti-PD1 (green; Opal™520) on human tonsil. Panel B : anti-Ki67 stained on nucleus of proliferating cells. Panel C : anti-PD-L1 stained on membrane of cells involved in T cell inhibition. Panel D : anti-PD1 stained on antigen-stimulated T cells. The section was incubated in three rounds of staining : in the order of ab16667 for 10 mins, ab243644 for 30 mins and ab228462 for 10 mins at room temperature. Each round was followed by a separate fluorescent tyramide signal amplification system. The immunostaining was performed on a Leica Biosystems BOND® RX instrument with an Opal™ 4-color kit. Image acquisition was performed with Leica SP8 confocal microscope.

Immunohistochemistry (Formalin/PFA-fixed paraffin-embedded sections) - Anti-PD-L1 antibody [SP142] - C-terminal (AB228462)
  • IHC-P

Supplier Data

Immunohistochemistry (Formalin/PFA-fixed paraffin-embedded sections) - Anti-PD-L1 antibody [SP142] - C-terminal (AB228462)

Formalin-fixed, paraffin-embedded human cervical squamous cell carcinoma tissue stained for PD-L1 using ab228462 at 1/100 dilution in immunohistochemical analysis.

Perform heat mediated antigen retrieval with Tris/EDTA buffer pH 9.0 before commencing with IHC staining protocol.

Immunohistochemistry (Formalin/PFA-fixed paraffin-embedded sections) - Anti-PD-L1 antibody [SP142] - C-terminal (AB228462)
  • IHC-P

Lab

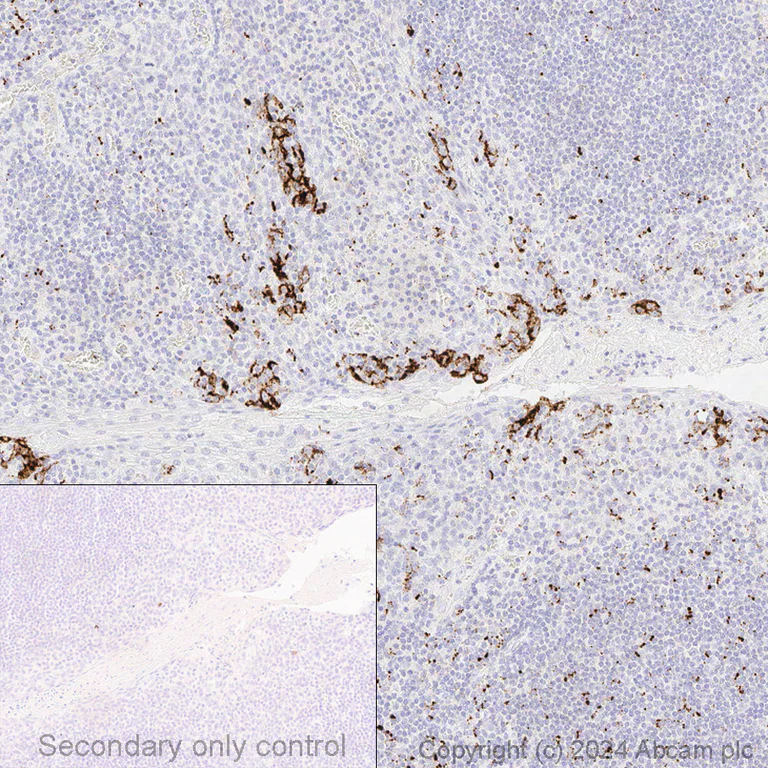
Immunohistochemistry (Formalin/PFA-fixed paraffin-embedded sections) - Anti-PD-L1 antibody [SP142] - C-terminal (AB228462)

Immunohistochemical analysis of formalin fixed paraffin (FFPE) embedded tonsil labelling PD-L1 with ab228462 at a dilution of 1/200. The immunostaining was performed on a Ventana DISCOVERY ULTRA (Roche Tissue Diagnostics) instrument with an OptiView DAB IHC Detection Kit followed by OptiView Amplification kit . Heat mediated antigen retrieval was conducted for 32min with DISCOVERY cell conditioning solution (CC1)  100°C, pH 8.5. ab228462 was incubated at 37°C for 16 min. Sections were counterstained is with Hematoxylin II. Image inset shows absence of staining in secondary antibody only control

Immunohistochemistry (Formalin/PFA-fixed paraffin-embedded sections) - Anti-PD-L1 antibody [SP142] - C-terminal (AB228462)
  • IHC-P

Lab

Immunohistochemistry (Formalin/PFA-fixed paraffin-embedded sections) - Anti-PD-L1 antibody [SP142] - C-terminal (AB228462)

IHC image of ab228462 staining PD-L1 in human tonsil formalin fixed paraffin embedded tissue sections*, performed on a Leica BOND RX (standard Protocol F, Polymer Refine kit). The section was pre-treated using heat mediated antigen retrieval with EDTA buffer (pH9, epitope retrieval solution 2) for 30 mins at 98°C. The section was then incubated with ab228462, 1/400 working dilution, for 15 mins at room temperature and detected using an HRP conjugated compact polymer system for 8 minutes at room temperature. DAB was used as the chromogen for 10 minutes at room temperature. The section was then counterstained with hematoxylin, blued, dehydrated, cleared and mounted with DPX.

For other IHC staining systems (automated and non-automated) customers should optimize variable parameters such as antigen retrieval conditions, primary antibody concentration and antibody incubation times.

*Tissue obtained from the Human Research Tissue Bank, supported by the NIHR Cambridge Biomedical Research Centre

Immunohistochemistry (Formalin/PFA-fixed paraffin-embedded sections) - Anti-PD-L1 antibody [SP142] - C-terminal (AB228462)
  • IHC-P

Lab

Immunohistochemistry (Formalin/PFA-fixed paraffin-embedded sections) - Anti-PD-L1 antibody [SP142] - C-terminal (AB228462)

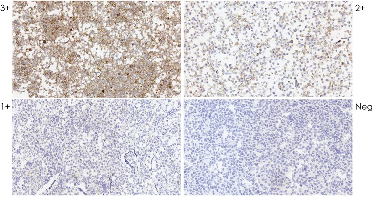
Tissue Microarrays stained for "Anti-PD-L1 antibody [SP142] - C-terminal" using "ab228462"in immunohistochemical analysis. This table provides a detailed overview of positive (tick mark) and negative (cross mark) staining per sample type tested. The sections were pre-treated using Heat mediated antigen retrieval using Bond™ Epitope Retrieval Solution 2 (pH 9.0) for 20 minutes. The sections were incubated with ab228462 for 10 mins at room temperature followed by a ready to use Rabbit specific IHC polymer detection kit HRP/DAB (ab209101). The immunostaining was performed on a Leica Biosystems BOND® RX instrument.

Immunocytochemistry/ Immunofluorescence - Anti-PD-L1 antibody [SP142] - C-terminal (AB228462)
  • ICC/IF

Lab

Immunocytochemistry/ Immunofluorescence - Anti-PD-L1 antibody [SP142] - C-terminal (AB228462)

Immunocytochemistry/ Immunofluorescence analysis of CHO-PD-L1 (PD-L1 stably expessed Chinese hamster ovary epithelial cell) cells labeling PD-L1 with purified ab228462 at 1/50 dilution (2 μg/ml). Cells were fixed in 4% paraformaldehyde and permeabilized with 0.1% Triton X-100. Cells were counterstained with ab195889 Anti-alpha Tubulin antibody [DM1A] - Microtubule Marker (Alexa Fluor® 594) at 1/200 dilution (2.5 μg/ml). Goat anti rabbit IgG (Alexa Fluor® 488 ab150077) was used as the secondary antibody at 1/1000 (2 μg/ml) dilution. DAPI was used as nuclear counterstain. PBS instead of the primary antibody was used as the secondary antibody only control.

関連する標識済み抗体及び組成の異なる製品 (8)

Key facts

宿主種

Rabbit

クローン性

Monoclonal

クローン番号

SP142

アイソタイプ

IgG

キャリアフリー

No

交差種

Human

アプリケーション

IHC-P, mIHC, ICC/IF

applications

免疫原

The exact immunogen used to generate this antibody is proprietary information.

Reactivity data

{ "title": "Reactivity Data", "filters": { "stats": ["", "Species", "Dilution Info", "Notes"], "tabs": { "all-applications": {"fullname" : "All Applications", "shortname": "All Applications"}, "ICCIF" : {"fullname" : "Immunocytochemistry/ Immunofluorescence", "shortname":"ICC/IF"}, "IHCP" : {"fullname" : "Immunohistochemistry (Formalin/PFA-fixed paraffin-embedded sections)", "shortname":"IHC-P"}, "mIHC" : {"fullname" : "Multiplex immunohistochemistry", "shortname":"mIHC"} }, "product-promise": { "all": "all", "testedAndGuaranteed": "tested", "guaranteed": "expected", "predicted": "predicted", "notRecommended": "not-recommended" } }, "values": { "Human": { "ICCIF-species-checked": "guaranteed", "ICCIF-species-dilution-info": "", "ICCIF-species-notes": "", "IHCP-species-checked": "testedAndGuaranteed", "IHCP-species-dilution-info": "1/100", "IHCP-species-notes": "<p>Primary antibody incubation for 10 minutes at room temperature.</p><p>This antibody is not suitable for detection in IHC-P using a conventional fluorescent secondary antibody. We recommend using a fluorescent tyramide signal amplification system to help enhance signal intensity.</p> Perform heat-mediated antigen retrieval with Tris/EDTA buffer pH 9.0 before commencing with IHC staining protocol.", "mIHC-species-checked": "testedAndGuaranteed", "mIHC-species-dilution-info": "1/500", "mIHC-species-notes": "<p></p>" }, "Transfected cell line - Human": { "ICCIF-species-checked": "testedAndGuaranteed", "ICCIF-species-dilution-info": "1/50", "ICCIF-species-notes": "<p></p>", "IHCP-species-checked": "notRecommended", "IHCP-species-dilution-info": "", "IHCP-species-notes": "", "mIHC-species-checked": "notRecommended", "mIHC-species-dilution-info": "", "mIHC-species-notes": "" } } }

製品の詳細

Anti-PD-L1 antibody [SP142] - C-terminal (ab228462) was developed by Abcam using patented rabbit monoclonal antibody technology and is validated for use in ICC/IF, IHC-P and mIHC.

Anti-PD-L1 antibody [SP142] - C-terminal (ab228462) was first used in a scientific publication in 2016 and has been cited over 95 times in peer reviewed journals. It's performance in IHC in human and mouse samples is trusted by the scientific community.

Abcam's high quality manufacturing and validation processes ensure Anti-PD-L1 antibody [SP142] - C-terminal (ab228462) has high sensitivity and specificity alongside high lot-to-lot consistency and reproducibility.

Anti-PD-L1 antibody [SP142] - C-terminal (ab228462) specifically detects PD-L1 (UniProt ID: Q9NZQ7; Molecular weight: 32kDa) and is sold in a convenient trial size to enable initial testing (20 µL) and larger sizes for subsequent scaling up experiments (100 µL, 500 µL and 1 mL).

Conjugation-ready, carrier free format available for antibody clone SP142 - ab236238.

Antibody clone SP142 is also available pre-conjugated to a variety of labels for your convenience - Alexa Fluor® 647, Alexa Fluor® 488, Alexa Fluor® 594, Alexa Fluor® 568, Alexa Fluor® 555, Alexa Fluor® 750 (ab267563, ab310995, ab311750, ab313030, ab313231, ab321463).

Anti-PD-L1 antibody [SP142] - C-terminal (ab228462) is a clone from the portfolio of Spring Bioscience (Roche) SP clones which have been optimised for immunohistochemistry (IHC).

PD-L1 allows tumors to escape immune detection by binding to the PD-1 receptor on T-cells, suppressing their function. Blocking this interaction with immune checkpoint inhibitors reactivates T-cells, enabling them to attack cancer cells.

Patented technology
Our RabMAb® technology is a patented hybridoma-based technology for making rabbit monoclonal antibodies. For details on our patents, please refer to RabMAb® patents.

What are the advantages of a recombinant monoclonal antibody?
This product is a recombinant monoclonal antibody, which offers several advantages including:

  • - High batch-to-batch consistency and reproducibility
  • - Improved sensitivity and specificity
  • - Long-term security of supply
  • - Animal-free batch production

For more information, read more on recombinant antibodies.

出荷温度及び保存条件

製品の状態
Liquid
精製方法
Affinity purification Protein A/G
精製に関する特記事項
Purified from TCS by protein A/G.
バッファー組成
pH: 7.6 Preservative: 0.1% Sodium azide Constituents: PBS, 1% BSA
出荷温度
Blue Ice
短期保存期間
1-2 weeks
短期保存温度
+4°C
長期保存温度
-20°C
分注に関する情報
Upon delivery aliquot
保管に関する情報
Avoid freeze / thaw cycle

補足情報

This supplementary information is collated from multiple sources and compiled automatically.

PD-L1 also known as programmed death-ligand 1 or CD274 plays an important role in the immune system. It is a protein expressed on antigen-presenting cells and some tumor cells helping them interact with T-cells. The molecular weight of PD-L1 is approximately 33 kDa. PD-L1 expression can occur in various tissues and is often upregulated in tumor microenvironments. This increased expression helps tumors evade the immune response.
Biological function summary

PD-L1 modulates the immune response by interacting with its receptor PD-1 on T-cells and other immune cells leading to immune suppression. It is part of the PD-1/PD-L1 complex an important regulator of T-cell activity and immune tolerance. The binding of PD-L1 to PD-1 inhibits T-cell proliferation and cytokine production reducing the ability of the immune system to attack cancer cells.

Pathways

PD-L1 is involved in the immune checkpoint pathway and the cancer immunity cycle. Its interaction with PD-1 influences important signaling cascades within these pathways affecting the immune system's capacity to target tumor cells effectively. Another protein important in this context is CTLA-4 another immune checkpoint regulator which along with PD-1 modulates immune system activity against cancer.

PD-L1 has strong connections to cancer and autoimmune diseases. Many cancers including melanoma and non-small cell lung cancer exploit PD-L1 to protect themselves from the immune system. Increased PD-L1 expression can also impact autoimmune disorders where the immune system reacts against healthy body tissues. This interaction further involves PD-1 and CTLA-4 illustrating their shared roles in these disease contexts.

製品プロトコール

For this product, it's our understanding that no specific protocols are required. You can visit:

ターゲットの情報

Plays a critical role in induction and maintenance of immune tolerance to self (PubMed : 11015443, PubMed : 28813410, PubMed : 28813417, PubMed : 31399419). As a ligand for the inhibitory receptor PDCD1/PD-1, modulates the activation threshold of T-cells and limits T-cell effector response (PubMed : 11015443, PubMed : 28813410, PubMed : 28813417, PubMed : 36727298). Through a yet unknown activating receptor, may costimulate T-cell subsets that predominantly produce interleukin-10 (IL10) (PubMed : 10581077). Can also act as a transcription coactivator : in response to hypoxia, translocates into the nucleus via its interaction with phosphorylated STAT3 and promotes transcription of GSDMC, leading to pyroptosis (PubMed : 32929201).. The PDCD1-mediated inhibitory pathway is exploited by tumors to attenuate anti-tumor immunity and escape destruction by the immune system, thereby facilitating tumor survival (PubMed : 28813410, PubMed : 28813417). The interaction with PDCD1/PD-1 inhibits cytotoxic T lymphocytes (CTLs) effector function (By similarity). The blockage of the PDCD1-mediated pathway results in the reversal of the exhausted T-cell phenotype and the normalization of the anti-tumor response, providing a rationale for cancer immunotherapy (By similarity).
See full target information CD274

文献 (108)

Recent publications for all applications. Explore the full list and refine your search

Journal of ovarian research 18:175 PubMed40775650

2025

The efficacy and peripheral blood predictors in recurrent platinum-resistant ovarian cancer patients treated with immune checkpoint inhibitors.

Applications

Unspecified application

Species

Unspecified reactive species

Baoyue Pan,Xiaojing Zheng,Yongwen Huang,Wei Wei,Shije Xu,Siyu Chen,Jiaxin Yin,Yu Zhang,Jundong Li,Min Zheng

BMC cancer 25:1183 PubMed40676600

2025

Alterations and correlation between DNA damage and repair response and PD-L1 expression in non-small cell lung cancers.

Applications

Unspecified application

Species

Unspecified reactive species

Jiali Peng,Jiayu Zhou,Gang Liu,Poming Kang,Xi Tang,Ziyue Luo,Yu Jiang

Journal for immunotherapy of cancer 13: PubMed40484644

2025

Preclinical and clinical evaluation of intratumoral injection of an IL-12 expressing SKV-012 oncolytic virus for advanced solid tumors.

Applications

Unspecified application

Species

Unspecified reactive species

Zheng Jiang,Nian Yang,Jing Jin,Zongliang Zhang,Huaqing Lu,Long Xu,Yongdong Chen,Liyuan Jin,Liangxue Zhou,Hui Yang,Jun Liu,Weiwei Zhang,Aiping Tong,Xingchen Peng

Current oncology (Toronto, Ont.) 32: PubMed40422521

2025

The Spatial Proximity of CD8 FoxP3PD-1 Cells to Tumor Cells: A More Accurate Predictor of Immunotherapy Outcomes in Advanced Non-Small-Cell Lung Cancer.

Applications

Unspecified application

Species

Unspecified reactive species

Zijuan Hu,Zhihuang Hu,Keji Chen,Huixia Huang,Xinyang Zhong,Yaxian Wang,Jiayu Chen,Xuefeng He,Di Shi,Yupeng Zeng,Jiwei Li,Xiaoyan Zhou,Ping Wei

Cell death & disease 16:129 PubMed40000620

2025

Tumor vascular endothelial cells promote immune escape by upregulating PD-L1 expression via crosstalk between NF-κB and STAT3 signaling pathways in nasopharyngeal carcinoma.

Applications

Unspecified application

Species

Unspecified reactive species

Yan Wang,Yuanyuan Chen,Yuanyuan Liu,Jingjing Zhao,Gongming Wang,Hao Chen,Yan Tang,Dijun Ouyang,Songzuo Xie,Jinqi You,Xinyi Yang,Minxing Li,Jianchuan Xia,Tong Xiang,Desheng Weng

Scientific reports 15:6618 PubMed39994268

2025

Development and validation of an Immune-related Gene-based model for predicting prognosis and immunotherapy outcomes in hepatocellular carcinoma patients.

Applications

Unspecified application

Species

Unspecified reactive species

Penghui You,Xiaoling Liu,Min Wang,Yanbing Zhan,Lihong Chen,Yi Chen

Journal for immunotherapy of cancer 12: PubMed39448202

2024

Targeting CD93 on monocytes revitalizes antitumor immunity by enhancing the function and infiltration of CD8 T cells.

Applications

Unspecified application

Species

Unspecified reactive species

Da Jiang,Aiqi Huang,Bai-Xi Zhu,Jiangling Gong,Yong-Hao Ruan,Xing-Chen Liu,Limin Zheng,Yan Wu

Nature communications 15:7928 PubMed39256403

2024

Genomic and immune heterogeneity of multiple synchronous lung adenocarcinoma at different developmental stages.

Applications

Unspecified application

Species

Unspecified reactive species

Yue Zhao,Jian Gao,Jun Wang,Fanfan Fan,Chao Cheng,Danwen Qian,Ran Guo,Yang Zhang,Ting Ye,Marcellus Augustine,Yicong Lin,Jun Shang,Hang Li,Yunjian Pan,Qingyuan Huang,Haiqing Chen,Han Han,Zhendong Gao,Qiming Wang,Shiyue Zhang,Mou Zhang,Fangqiu Fu,Yueren Yan,Shanila Fernandez Patel,Roberto Vendramin,Hui Yuan,Yawei Zhang,Jiaqing Xiang,Hong Hu,Yihua Sun,Yuan Li,Kevin Litchfield,Zhiwei Cao,Haiquan Chen

Nature medicine 30:1636-1644 PubMed38867077

2024

PSCA-CAR T cell therapy in metastatic castration-resistant prostate cancer: a phase 1 trial.

Applications

Unspecified application

Species

Unspecified reactive species

Tanya B Dorff,M Suzette Blanchard,Lauren N Adkins,Laura Luebbert,Neena Leggett,Stephanie N Shishido,Alan Macias,Marissa M Del Real,Gaurav Dhapola,Colt Egelston,John P Murad,Reginaldo Rosa,Jinny Paul,Ammar Chaudhry,Hripsime Martirosyan,Ethan Gerdts,Jamie R Wagner,Tracey Stiller,Dileshni Tilakawardane,Sumanta Pal,Catalina Martinez,Robert E Reiter,Lihua E Budde,Massimo D'Apuzzo,Peter Kuhn,Lior Pachter,Stephen J Forman,Saul J Priceman

Cancer medicine 13:e7212 PubMed38686626

2024

Enhanced CTLA-4 blockade anti-tumor immunity with APG-157 combination in a murine head and neck cancer.

Applications

Unspecified application

Species

Unspecified reactive species

Daniel Sanghoon Shin,Saroj Basak,Mysore S Veena,Begoña Comin-Anduix,Arjun Bhattacharya,Tien S Dong,Albert Ko,Philip Han,Jonathan Jacobs,Neda A Moatamed,Luis Avila,Matteo Pellegrini,Marilene Wang,Eri S Srivatsan
View all publications
websiteProtocolBooklet
en

Abcam product promise

当社は、高品質な試薬を通じてお客様の研究を力強くサポートすることをお約束いたします。ご使用いただく各段階で、常にお客様をサポートできる体制を整えております。万が一、製品が期待通りに機能しない場合は、「Abcam Product Promise」による当社保証制度に基づき、安心してご利用いただけます。
保証に関する詳細については利用規約をご確認ください。

Please note: All products are 'FOR RESEARCH USE ONLY. NOT FOR USE IN DIAGNOSTIC OR THERAPEUTIC PROCEDURES'.

For licensing inquiries, please contact partnerships@abcam.com