JavaScript is disabled in your browser. Please enable JavaScript to view this website.
AB221612

Anti-PD-L1 抗体 [EPR19759] - BSA and Azide free

Anti-PD-L1 antibody [EPR19759] - BSA and Azide free

4

(2 Reviews)

|

(2 Publications)

Rabbit Recombinant Monoclonal PD-L1 antibody. Carrier free. Suitable for IHC-P, ICC/IF, IP, WB, Flow Cyt (Intra) and reacts with Human, Transfected cell line, Transfected cell lysate, Transfected cell line - Chinese hamster samples. Cited in 2 publications.

別名を表示する

CD274, B7H1, PDCD1L1, PDCD1LG1, PDL1, Programmed cell death 1 ligand 1, PD-L1, PDCD1 ligand 1, Programmed death ligand 1, hPD-L1, B7 homolog 1, B7-H1

15 Images
Immunohistochemistry (Formalin/PFA-fixed paraffin-embedded sections) - Anti-PD-L1 antibody [EPR19759] - BSA and Azide free (AB221612)
  • IHC-P

Lab

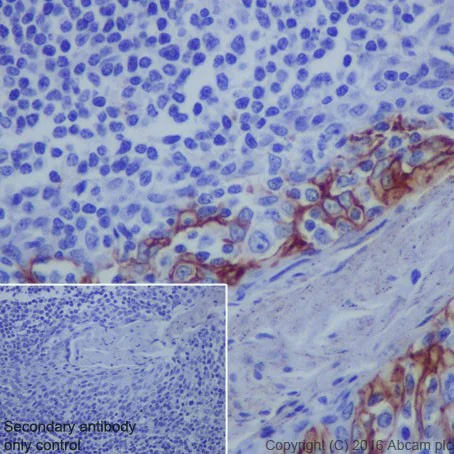
Immunohistochemistry (Formalin/PFA-fixed paraffin-embedded sections) - Anti-PD-L1 antibody [EPR19759] - BSA and Azide free (AB221612)

This data was developed using the same antibody clone in a different buffer formulation containing PBS, BSA, glycerol, and sodium azide (ab213524).

Immunohistochemical analysis of formalin fixed paraffin embedded Human tonsil labelling PD L1 with ab213524 at a concentration of 0.5 µg/ml. The immunostaining was performed on a Ventana DISCOVERY ULTRA (Roche Tissue Diagnostics) instrument with a OptiView DAB IHC Detection Kit. Heat mediated antigen retrieval was performed with DISCOVERY cell conditioning solution (CC1) 100°C, pH8.5 for 32mins.

ab213524 anti PD L1 antibody EPR19759 was incubated for 16mins at 37°C. Sections were counterstained with Hematoxylin II. Image inset shows absence of staining in secondary antibody only control.

Customers are encouraged to optimise antigen retrieval conditions, antibody concentration, incubation times and temperature for best results in their own IHC assay workflow (automated and manual)

Immunohistochemistry (Formalin/PFA-fixed paraffin-embedded sections) - Anti-PD-L1 antibody [EPR19759] - BSA and Azide free (AB221612)
  • IHC-P

Lab

Immunohistochemistry (Formalin/PFA-fixed paraffin-embedded sections) - Anti-PD-L1 antibody [EPR19759] - BSA and Azide free (AB221612)

Tissue Microarrays stained for "Anti-PD-L1 antibody [EPR19759]" using "ab213524"in immunohistochemical analysis. This table provides a detailed overview of positive (tick mark) and negative (cross mark) staining per sample type tested. The sections were perform heat mediated antigen retrieval before commencing with IHC staining protocol. The sections were incubated with ab213524 at +4°C overnight. The secondary antibody is rabbit specific IHC polymer detection kit HRP/DAB (ab209101).

Immunocytochemistry/ Immunofluorescence - Anti-PD-L1 antibody [EPR19759] - BSA and Azide free (AB221612)
  • ICC/IF

Supplier Data

Immunocytochemistry/ Immunofluorescence - Anti-PD-L1 antibody [EPR19759] - BSA and Azide free (AB221612)

Immunofluorescent analysis of 4% paraformaldehyde-fixed, 0.1% Triton X-100 permeabilized NCI-H1975 (Human lung non small cell carcinoma cell line) cells labeling PD-L1 with ab213524 at 1/100 dilution, followed by Goat Anti-Rabbit IgG (Alexa Fluor® 488) (ab150077) secondary antibody at 1/1000 dilution (green).

Confocal image showing weakly membrane and cytoplasmic staining on NCI-H1975 cells.

The nuclear counterstain is DAPI (blue).

Tubulin is detected with Anti-alpha Tubulin mouse MAb (ab7291) at 1/1000 dilution, followed by Goat Anti-Mouse IgG H&L (Alexa Fluor® 594) (ab150120) secondary antibody at 1/1000 dilution (red).

The negative controls are as follows : -

-ve control 1 : ab213524 at 1/100 dilution followed by Goat Anti-Mouse IgG H&L (Alexa Fluor® 594) (ab150120) secondary antibody at 1/1000 dilution.

-ve control 2 : Anti-alpha Tubulin mouse MAb (ab7291) at 1/1000 dilution followed by Goat Anti-Rabbit IgG H&L (Alexa Fluor® 488) (ab150077) secondary antibody at 1/1000 dilution.

This data was developed using the same antibody clone in a different buffer formulation containing PBS, BSA, glycerol, and sodium azide (ab213524).

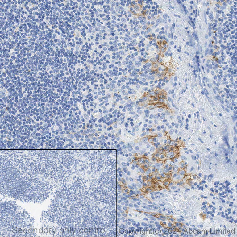
Immunohistochemistry (Formalin/PFA-fixed paraffin-embedded sections) - Anti-PD-L1 antibody [EPR19759] - BSA and Azide free (AB221612)
  • IHC-P

Supplier Data

Immunohistochemistry (Formalin/PFA-fixed paraffin-embedded sections) - Anti-PD-L1 antibody [EPR19759] - BSA and Azide free (AB221612)

This IHC data was generated using the same anti-PDL1 antibody clone, EPR19759, in a different buffer formulation (cat# ab213524).

Immunohistochemical analysis of paraffin-embedded human tonsil tissue labeling PD-L1 with ab213524 at 1/250 dilution, followed by Rabbit specific IHC polymer detection kit HRP/DAB (ab209101).

Membrane staining on the human tonsil crypt epithelium is observed.

Counter stained with Hematoxylin.

Secondary antibody only control : Used PBS instead of primary antibody, secondary antibody is rabbit specific IHC polymer detection kit HRP/DAB (ab209101).

Heat mediated antigen retrieval was performed before commencing with IHC staining protocol.

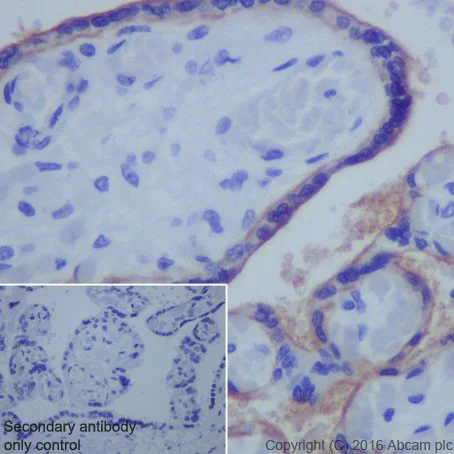
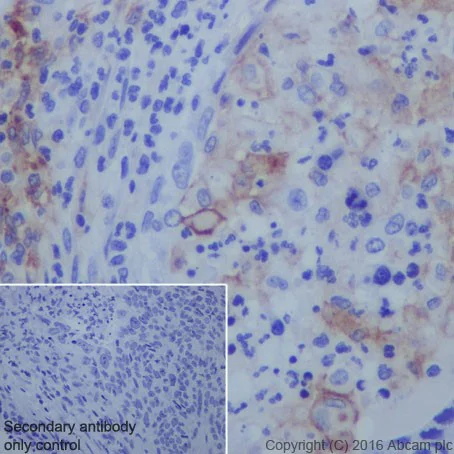
Immunohistochemistry (Formalin/PFA-fixed paraffin-embedded sections) - Anti-PD-L1 antibody [EPR19759] - BSA and Azide free (AB221612)
  • IHC-P

Supplier Data

Immunohistochemistry (Formalin/PFA-fixed paraffin-embedded sections) - Anti-PD-L1 antibody [EPR19759] - BSA and Azide free (AB221612)

Immunohistochemical analysis of paraffin-embedded human stomach cancer tissue labeling PD-L1 with ab213524 at 1/250 dilution, followed by Rabbit specific IHC polymer detection kit HRP/DAB (ab209101).

Membrane staining on the human stomach cancer is observed.

Counter stained with Hematoxylin.

Secondary antibody only control : Used PBS instead of primary antibody, secondary antibody is rabbit specific IHC polymer detection kit HRP/DAB (ab209101).

This data was developed using the same antibody clone in a different buffer formulation containing PBS, BSA, glycerol, and sodium azide (ab213524).

Heat mediated antigen retrieval was performed before commencing with IHC staining protocol.

Immunohistochemistry (Formalin/PFA-fixed paraffin-embedded sections) - Anti-PD-L1 antibody [EPR19759] - BSA and Azide free (AB221612)
  • IHC-P

Supplier Data

Immunohistochemistry (Formalin/PFA-fixed paraffin-embedded sections) - Anti-PD-L1 antibody [EPR19759] - BSA and Azide free (AB221612)

Immunohistochemical analysis of paraffin-embedded human placenta tissue labeling PD-L1 with ab213524 at 1/250 dilution, followed by Rabbit specific IHC polymer detection kit HRP/DAB (ab209101).

Membrane staining on the human placenta is observed.

Counter stained with Hematoxylin.

Secondary antibody only control : Used PBS instead of primary antibody, secondary antibody is rabbit specific IHC polymer detection kit HRP/DAB (ab209101)

This data was developed using the same antibody clone in a different buffer formulation containing PBS, BSA, glycerol, and sodium azide (ab213524).

Heat mediated antigen retrieval was performed before commencing with IHC staining protocol.

Immunohistochemistry (Formalin/PFA-fixed paraffin-embedded sections) - Anti-PD-L1 antibody [EPR19759] - BSA and Azide free (AB221612)
  • IHC-P

Unknown

Immunohistochemistry (Formalin/PFA-fixed paraffin-embedded sections) - Anti-PD-L1 antibody [EPR19759] - BSA and Azide free (AB221612)

Anti-PD-L1 antibody [EPR19759] (ab213524)
Immunohistochemistry (Formalin/PFA-fixed paraffin-embedded sections) analysis of human tonsil tissue labelling PD-L1 with ab213524 at a dilution of 1 : 250. Heat mediated antigen retrieval was performed using AR9 antigen retrieval solution, and microwave treatment for 15 min at 20% power. Anti-Rabbit/Mouse HRP polymer (PerkinElmer Opal Polymer HRP Ms Plus Rb) was used as secondary antibody. Opal tyramide amplification was performed using Opal 520 fluorophore. Counterstained with DAPI stain. Image scanned with Vectra 3.0 and analyzed via Phenochart software.
This image was courteously provided by Dr. Houssein Abdul Sater, Georgia Cancer Center.

Immunoprecipitation - Anti-PD-L1 antibody [EPR19759] - BSA and Azide free (AB221612)
  • IP

Supplier Data

Immunoprecipitation - Anti-PD-L1 antibody [EPR19759] - BSA and Azide free (AB221612)

PD-L1 was immunoprecipitated from 0.35 mg of NCI-H1975 (Human non-small cell lung cancer cell line) whole cell lysate with ab213524 at 1/30 dilution.

Western blot was performed from the immunoprecipitate using ab213524 at 1/1000 dilution.

VeriBlot for IP Detection Reagent (HRP) (ab131366), was used for detection at 1/10000 dilution.

Lane 1 : NCI-H1975 whole cell lysate 10μg (Input).

Lane 2 : ab213524 IP in NCI-H1975 whole cell lysate.

Lane 3 : Rabbit monoclonal IgG (ab172730) instead of ab213524 in NCI-H1975 whole cell lysate.

Blocking and dilution buffer and concentration : 5% NFDM/TBST.

Exposure time : 3 minutes.

This data was developed using the same antibody clone in a different buffer formulation containing PBS, BSA, glycerol, and sodium azide (ab213524).

All lanes:

Immunoprecipitation - Anti-PD-L1 antibody [EPR19759] (<a href='/products/primary-antibodies/pd-l1-antibody-epr19759-ab213524'>ab213524</a>)

Predicted band size: 33 kDa

false

Western blot - Anti-PD-L1 antibody [EPR19759] - BSA and Azide free (AB221612)
  • WB

Lab

Western blot - Anti-PD-L1 antibody [EPR19759] - BSA and Azide free (AB221612)

This data was developed using the same antibody clone in a different buffer formulation (ab213524).

Lanes 1 - 6 : Merged signal (red and green). Green - ab213524 observed at 50 kDa. Red - loading control, ab8245 observed at 37 kDa.

ab213524 Recombinant Anti-PD-L1 antibody [EPR19759] was shown to specifically react with PD-L1 in wild-type A549 treated with 100 ng/mL IFN gamma for 48 h cells in western blot. Loss of signal was observed when both treated and untreated knockout cell line ab267054 (treated and untreated knockout cell lysates ab256831) were used. Wild-type and PD-L1 knockout samples were subjected to SDS-PAGE. Membrane was blocked for 1 hour at room temperature in 0.1% TBST with 3% non-fat dried milk. ab213524 and Anti-GAPDH antibody [6C5] - Loading Control (ab8245) were incubated overnight at 4°C at 1 in 1000 and 1 in 20000 dilution respectively. Blots were developed with Goat anti-Rabbit IgG H&L (IRDye® 800CW) preadsorbed (ab216773) and Goat anti-Mouse IgG H&L (IRDye® 680RD) preadsorbed (ab216776) secondary antibodies at 1 in 20000 dilution for 1 hour at room temperature before imaging.

Lane 1:

Wild-type A549 treated with 100 ng/ml IFN gamma (<a href='/products/proteins-peptides/recombinant-human-interferon-gamma-protein-active-ab259377'>ab259377</a>) for 48 h cell lysate at 20 µg

Lanes 2 and 6:

CD274 knockout A549 treated with 100 ng/ml IFN gamma (<a href='/products/proteins-peptides/recombinant-human-interferon-gamma-protein-active-ab259377'>ab259377</a>) for 48 h cell lysate at 20 µg

Lane 2:

Western blot - Human CD274 (PD-L1) knockout A549 cell line (<a href='/products/cell-lines/human-cd274-pd-l1-knockout-a549-cell-line-ab267054'>ab267054</a>)

Lane 3:

U-87 MG cell lysate at 20 µg

Lane 4:

MCF7 cell lysate at 20 µg

Lane 5:

Wild-type A549 untreated cell lysate at 20 µg

Predicted band size: 33 kDa

Observed band size: 50 kDa

false

Western blot - Anti-PD-L1 antibody [EPR19759] - BSA and Azide free (AB221612)
  • WB

Lab

Western blot - Anti-PD-L1 antibody [EPR19759] - BSA and Azide free (AB221612)

This data was developed using the same antibody clone in a different buffer formulation (ab213524).

Lanes 1 - 6 : Merged signal (red and green). Green - ab213524 observed at 50 kDa. Red - loading control, ab8245 observed at 37 kDa.

ab213524 Recombinant Anti-PD-L1 antibody [EPR19759] was shown to specifically react with PD-L1 in wild-type A549 treated with 100 ng/mL IFN gamma for 48 h cells in western blot. Loss of signal was observed when both treated and untreated knockout cell line ab267055 (treated and untreated knockout cell lysates ab256866) were used. Wild-type and PD-L1 knockout samples were subjected to SDS-PAGE. Membrane was blocked for 1 hour at room temperature in 0.1% TBST with 3% non-fat dried milk. ab213524 and Anti-GAPDH antibody [6C5] - Loading Control (ab8245) were incubated overnight at 4°C at 1 in 1000 and 1 in 20000 dilution respectively. Blots were developed with Goat anti-Rabbit IgG H&L (IRDye® 800CW) preadsorbed (ab216773) and Goat anti-Mouse IgG H&L (IRDye® 680RD) preadsorbed (ab216776) secondary antibodies at 1 in 20000 dilution for 1 hour at room temperature before imaging.

All lanes:

Western blot - Anti-PD-L1 antibody [EPR19759] - BSA and Azide free (ab221612) at 1/1000 dilution

Lane 1:

Wild-type A549 treated with 100 ng/mL IFN gamma (<a href='/products/proteins-peptides/recombinant-human-interferon-gamma-protein-active-ab259377'>ab259377</a>) for 48 h cell lysate at 20 µg

Lane 2:

CD274 knockout A549 treated with 100 ng/mL IFN gamma (<a href='/products/proteins-peptides/recombinant-human-interferon-gamma-protein-active-ab259377'>ab259377</a>) for 48 h cell lysate at 20 µg

Lane 3:

U-87 MG cell lysate at 20 µg

Lane 4:

MCF7 cell lysate at 20 µg

Lane 5:

Wild-type A549 untreated cell lysate at 20 µg

Lane 6:

CD274 knockout A549 untreated cell lysate at 20 µg

Predicted band size: 33 kDa

Observed band size: 50 kDa

false

Western blot - Anti-PD-L1 antibody [EPR19759] - BSA and Azide free (AB221612)
  • WB

Lab

Western blot - Anti-PD-L1 antibody [EPR19759] - BSA and Azide free (AB221612)

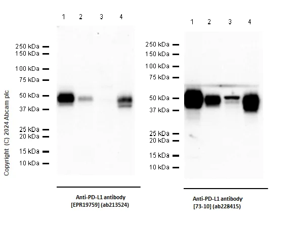
ab228415 works better than ab213524 in western blot testing. We suggest optimizing experimental protocols (increasing lysate amount, using lower dilution or higher sensitivity ECL substrate) to improve results. Blocking/Diluting buffer and concentration : 5% NFDM/TBST This data was developed using the same antibody clone in a different buffer formulation containing PBS, BSA, glycerol, and sodium azide (ab213524).

All lanes:

Western blot - Anti-PD-L1 antibody [EPR19759] (<a href='/products/primary-antibodies/pd-l1-antibody-epr19759-ab213524'>ab213524</a>) at 1/1000 dilution

Lane 1:

PC-3 (human prostate adenocarcinoma epithelial cell) whole cell lysate at 20 µg

Lane 2:

A375 (human malignant melanoma epithelial cell) whole cell lysate at 20 µg

Lane 3:

HeLa (human cervix adenocarcinoma epithelial cell) whole cell lysate at 20 µg

Lane 4:

A549 (human lung carcinoma epithelial cell) whole cell lysate at 20 µg

Secondary

All lanes:

Western blot - Goat Anti-Rabbit IgG H&L (HRP) (<a href='/products/secondary-antibodies/goat-rabbit-igg-h-l-hrp-ab97051'>ab97051</a>) at 1/20000 dilution

Observed band size: 40-60 kDa

false

Exposure time: 100s

Flow Cytometry (Intracellular) - Anti-PD-L1 antibody [EPR19759] - BSA and Azide free (AB221612)
  • Flow Cyt (Intra)

Lab

Flow Cytometry (Intracellular) - Anti-PD-L1 antibody [EPR19759] - BSA and Azide free (AB221612)

Intracellular Flow Cytometry analysis of CHO-PD-L1 (red) and CHO-S (blue) cells labelling PD-L1 with ab213524 at 1/500. Cells were fixed with 4% paraformaldehyde, permeabilized with 0.1% tween-20-PBS and blocked with 10% goat serum. An Alexa Fluor® 488-conjugated goat anti-rabbit IgG (1/2000) was used as the secondary antibody.

This data was developed using the same antibody clone in a different buffer formulation containing PBS, BSA, glycerol, and sodium azide (ab213524).

Immunocytochemistry/ Immunofluorescence - Anti-PD-L1 antibody [EPR19759] - BSA and Azide free (AB221612)
  • ICC/IF

Supplier Data

Immunocytochemistry/ Immunofluorescence - Anti-PD-L1 antibody [EPR19759] - BSA and Azide free (AB221612)

Immunofluorescent analysis of 4% paraformaldehyde-fixed, 0.1% Triton X-100 permeabilized CHO (Chinese hamster ovary cell line) cells labeling PD-L1 with ab213524 at 1/100 dilution, followed by Goat Anti-Rabbit IgG (Alexa Fluor® 488) (ab150077) secondary antibody at 1/1000 dilution (green).

Confocal image showing membrane and cytoplasmic staining on CHO-PDL1 cells.

The nuclear counterstain is DAPI (blue).

Tubulin is detected with Anti-alpha Tubulin mouse MAb (ab7291) at 1/1000 dilution, followed by Goat Anti-Mouse IgG H&L (Alexa Fluor® 594) (ab150120) secondary antibody at 1/1000 dilution (red).

The negative controls are as follows : -

-ve control 1 : ab213524 at 1/100 dilution, followed by Goat Anti-Mouse IgG H&L (Alexa Fluor® 594) (ab150120) secondary antibody at 1/1000 dilution.

-ve control 2 : Anti-alpha Tubulin mouse MAb (ab7291) at 1/1000 dilution, followed by Goat Anti-Rabbit IgG H&L (Alexa Fluor® 488) (ab150077) secondary antibody at 1/1000 dilution.

This data was developed using the same antibody clone in a different buffer formulation containing PBS, BSA, glycerol, and sodium azide (ab213524).

Immunocytochemistry/ Immunofluorescence - Anti-PD-L1 antibody [EPR19759] - BSA and Azide free (AB221612)
  • ICC/IF

Lab

Immunocytochemistry/ Immunofluorescence - Anti-PD-L1 antibody [EPR19759] - BSA and Azide free (AB221612)

Clone EPR19759 (ab221612) has been successfully conjugated by Abcam. This image was generated using Anti-PD-L1 antibody [EPR19759] (Alexa Fluor® 647). Please refer to ab215251 for protocol details.

ab215251 staining PDL1 in CHO-PDL1 cells. The lower panels demonstrate that ab215251 does not cross react with un-transfected CHO cells.

The cells were fixed with 4% formaldehyde (10 min), permeabilized with 0.1% Triton X-100 for 5 minutes and then blocked with 1% BSA/10% normal goat serum/0.3M glycine in 0.1% PBS-Tween for 1h. The cells were then incubated overnight at +4°C with ab215251 at 1/200 dilution (shown in red) and ab195887, Mouse monoclonal to alpha Tubulin (Alexa Fluor® 488), at 1/250 dilution (shown in green). Nuclear DNA was labelled with DAPI (shown in blue).

Image was taken with a confocal microscope (Leica-Microsystems, TCS SP8).

Immunocytochemistry/ Immunofluorescence - Anti-PD-L1 antibody [EPR19759] - BSA and Azide free (AB221612)
  • ICC/IF

Lab

Immunocytochemistry/ Immunofluorescence - Anti-PD-L1 antibody [EPR19759] - BSA and Azide free (AB221612)

Clone EPR19759 (ab221612) has been successfully conjugated by Abcam. This image was generated using Anti-PD-L1 antibody [EPR19759] (Alexa Fluor® 488). Please refer to ab214958 for protocol details.

ab214958 staining PDL1 in CHO-PDL1 cells. The lower panels demonstrate that ab214958 does not cross react with un-transfected CHO cells.

The cells were fixed with 4% formaldehyde (10 min), permeabilized with 0.1% Triton X-100 for 5 minutes and then blocked with 1% BSA/10% normal goat serum/0.3M glycine in 0.1% PBS-Tween for 1h. The cells were then incubated overnight at +4°C with ab214958 at 1/200 dilution (shown in green) and ab195889, Mouse monoclonal to alpha Tubulin (Alexa Fluor® 594), at 1/250 dilution (shown in red). Nuclear DNA was labelled with DAPI (shown in blue).

Image was taken with a confocal microscope (Leica-Microsystems, TCS SP8).

関連する標識済み抗体及び組成の異なる製品 (7)

Key facts

宿主種

Rabbit

クローン性

Monoclonal

クローン番号

EPR19759

アイソタイプ

IgG

キャリアフリー

Yes

交差種

Human

アプリケーション

IP, Flow Cyt (Intra), WB, ICC/IF, IHC-P

applications

免疫原

The exact immunogen used to generate this antibody is proprietary information.

特異性

FURTHER INFORMATION ON SPECIFICITY (Chinese Version) available under the product protocols section. This file includes key technical notes of experience when using this product.

Reactivity data

{ "title": "Reactivity Data", "filters": { "stats": ["", "Species", "Dilution Info", "Notes"], "tabs": { "all-applications": {"fullname" : "All Applications", "shortname": "All Applications"}, "IHCP" : {"fullname" : "Immunohistochemistry (Formalin/PFA-fixed paraffin-embedded sections)", "shortname":"IHC-P"}, "ICCIF" : {"fullname" : "Immunocytochemistry/ Immunofluorescence", "shortname":"ICC/IF"}, "IP" : {"fullname" : "Immunoprecipitation", "shortname":"IP"}, "WB" : {"fullname" : "Western blot", "shortname":"WB"}, "FlowCytIntra" : {"fullname" : "Flow Cytometry (Intracellular)", "shortname":"Flow Cyt (Intra)"} }, "product-promise": { "all": "all", "testedAndGuaranteed": "tested", "guaranteed": "expected", "predicted": "predicted", "notRecommended": "not-recommended" } }, "values": { "Human": { "IHCP-species-checked": "testedAndGuaranteed", "IHCP-species-dilution-info": "", "IHCP-species-notes": "<p>Antigen retrieval: Universal HIER antigen retrieval reagent (<a href='/products/ihc-kits/universal-hier-antigen-retrieval-reagent-10x-ab208572'>ab208572</a>).</p> Perform heat-mediated antigen retrieval before commencing with IHC staining protocol.", "ICCIF-species-checked": "testedAndGuaranteed", "ICCIF-species-dilution-info": "", "ICCIF-species-notes": "<p></p>", "IP-species-checked": "testedAndGuaranteed", "IP-species-dilution-info": "", "IP-species-notes": "<p></p>", "WB-species-checked": "testedAndGuaranteed", "WB-species-dilution-info": "", "WB-species-notes": "<p><a href='/products/primary-antibodies/pd-l1-antibody-73-10-ab228415'>ab228415</a> works better than this product in western blot testing.</p>", "FlowCytIntra-species-checked": "guaranteed", "FlowCytIntra-species-dilution-info": "", "FlowCytIntra-species-notes": "" }, "Transfected cell line": { "IHCP-species-checked": "notRecommended", "IHCP-species-dilution-info": "", "IHCP-species-notes": "", "ICCIF-species-checked": "testedAndGuaranteed", "ICCIF-species-dilution-info": "", "ICCIF-species-notes": "<p></p>", "IP-species-checked": "notRecommended", "IP-species-dilution-info": "", "IP-species-notes": "", "WB-species-checked": "notRecommended", "WB-species-dilution-info": "", "WB-species-notes": "", "FlowCytIntra-species-checked": "notRecommended", "FlowCytIntra-species-dilution-info": "", "FlowCytIntra-species-notes": "" }, "Transfected cell line - Chinese hamster": { "IHCP-species-checked": "notRecommended", "IHCP-species-dilution-info": "", "IHCP-species-notes": "", "ICCIF-species-checked": "notRecommended", "ICCIF-species-dilution-info": "", "ICCIF-species-notes": "", "IP-species-checked": "notRecommended", "IP-species-dilution-info": "", "IP-species-notes": "", "WB-species-checked": "notRecommended", "WB-species-dilution-info": "", "WB-species-notes": "", "FlowCytIntra-species-checked": "testedAndGuaranteed", "FlowCytIntra-species-dilution-info": "", "FlowCytIntra-species-notes": "<p></p>" }, "Transfected cell lysate": { "IHCP-species-checked": "notRecommended", "IHCP-species-dilution-info": "", "IHCP-species-notes": "", "ICCIF-species-checked": "notRecommended", "ICCIF-species-dilution-info": "", "ICCIF-species-notes": "", "IP-species-checked": "notRecommended", "IP-species-dilution-info": "", "IP-species-notes": "", "WB-species-checked": "testedAndGuaranteed", "WB-species-dilution-info": "", "WB-species-notes": "<p><a href='/products/primary-antibodies/pd-l1-antibody-73-10-ab228415'>ab228415</a> works better than this product in western blot testing.</p>", "FlowCytIntra-species-checked": "notRecommended", "FlowCytIntra-species-dilution-info": "", "FlowCytIntra-species-notes": "" } } }

製品の詳細

ab221612 is the carrier-free version of ab213524.

Patented technology
Our RabMAb® technology is a patented hybridoma-based technology for making rabbit monoclonal antibodies. For details on our patents, please refer to RabMAb® patents.

What are the advantages of a recombinant monoclonal antibody?
This product is a recombinant monoclonal antibody, which offers several advantages including:

  • - High batch-to-batch consistency and reproducibility
  • - Improved sensitivity and specificity
  • - Long-term security of supply
  • - Animal-free batch production

For more information, read more on recombinant antibodies.

Conjugation ready
Our carrier-free antibodies are typically supplied in a PBS-only formulation, purified and free of BSA, sodium azide and glycerol. This conjugation-ready format is designed for use with fluorochromes, metal isotopes, oligonucleotides, and enzymes, which makes them ideal for antibody labelling, functional and cell-based assays, flow-based assays (e.g. mass cytometry) and Multiplex Imaging applications.

Use our conjugation kits for antibody conjugates that are ready-to-use in as little as 20 minutes with 1 minute hands-on-time and 100% antibody recovery: available for fluorescent dyes, HRP, biotin and gold.

Compatibility
This product is compatible with the Maxpar® Antibody Labeling Kit from Fluidigm, without the need for antibody preparation. Maxpar® is a trademark of Fluidigm Canada Inc.

出荷温度及び保存条件

製品の状態
Liquid
精製方法
Affinity purification Protein A
バッファー組成
pH: 7.2 - 7.4 Constituents: PBS
出荷温度
Blue Ice
短期保存温度
+4°C
長期保存温度
+4°C
保管に関する情報
Do Not Freeze

補足情報

This supplementary information is collated from multiple sources and compiled automatically.

PD-L1 also known as Programmed Death-Ligand 1 or CD274 is a protein involved in immune modulation. Mechanically PD-L1 interacts with its receptors particularly PD-1 to regulate cellular immune responses. This transmembrane protein has a calculated molecular weight of approximately 33 kDa. PD-L1 is expressed on various cell types including tumor cells and immune cells such as dendritic cells macrophages and B cells. Its expression is often upregulated in response to inflammatory cytokines.
Biological function summary

PD-L1 plays a central role in immune evasion mechanisms utilized by tumors. It is not part of a larger protein complex but directly interacts with PD-1 and CD80. When PD-L1 binds to PD-1 it sends inhibitory signals leading to decreased T cell activation and proliferation allowing cancer cells to avoid immune destruction. PD-L1 expression provides a mechanism for tumors to suppress immune surveillance facilitating tumor progression.

Pathways

PD-L1 is integral to the immune checkpoint pathway which is an important regulator of immune response. The interaction between PD-L1 and PD-1 provides a mechanism for immune tolerance which is part of the broader adaptive immune system pathway. PD-L1 is related to other immune checkpoint proteins such as CTLA-4 in its function to limit autoreactivity and promote immune homeostasis.

PD-L1 is most associated with cancer particularly in tumors such as melanoma and non-small cell lung cancer. PD-L1 expression on tumor cells often correlates with poor prognosis. PD-L1 directly interacts with PD-1 in these cancers a target for immunotherapies such as checkpoint inhibitors which aim to block this interaction and restore immune activity against tumors. PD-L1 involvement extends to autoimmune disorders where altered expression can impact tolerance and lead to immune-related tissue damage.

製品プロトコール

For this product, it's our understanding that no specific protocols are required. You can visit:

ターゲットの情報

Plays a critical role in induction and maintenance of immune tolerance to self (PubMed : 11015443, PubMed : 28813410, PubMed : 28813417, PubMed : 31399419). As a ligand for the inhibitory receptor PDCD1/PD-1, modulates the activation threshold of T-cells and limits T-cell effector response (PubMed : 11015443, PubMed : 28813410, PubMed : 28813417, PubMed : 36727298). Through a yet unknown activating receptor, may costimulate T-cell subsets that predominantly produce interleukin-10 (IL10) (PubMed : 10581077). Can also act as a transcription coactivator : in response to hypoxia, translocates into the nucleus via its interaction with phosphorylated STAT3 and promotes transcription of GSDMC, leading to pyroptosis (PubMed : 32929201).. The PDCD1-mediated inhibitory pathway is exploited by tumors to attenuate anti-tumor immunity and escape destruction by the immune system, thereby facilitating tumor survival (PubMed : 28813410, PubMed : 28813417). The interaction with PDCD1/PD-1 inhibits cytotoxic T lymphocytes (CTLs) effector function (By similarity). The blockage of the PDCD1-mediated pathway results in the reversal of the exhausted T-cell phenotype and the normalization of the anti-tumor response, providing a rationale for cancer immunotherapy (By similarity).
See full target information CD274

文献 (2)

Recent publications for all applications. Explore the full list and refine your search

Neoplasia (New York, N.Y.) 19:346-353 PubMed28319808

2017

Identifying Regulatory Posttranslational Modifications of PD-L1: A Focus on Monoubiquitinaton.

Applications

Unspecified application

Species

Unspecified reactive species

Henrick Horita,Andy Law,Soonjin Hong,Kim Middleton

Journal of cancer research and clinical oncology 143:883-894 PubMed28180998

2017

The prognostic value and pathobiological significance of Glasgow microenvironment score in gastric cancer.

Applications

Unspecified application

Species

Unspecified reactive species

Zhi-Hua Zhou,Cheng-Dong Ji,Jiang Zhu,Hua-Liang Xiao,Hai-Bin Zhao,You-Hong Cui,Xiu-Wu Bian
View all publications
websiteProtocolBooklet
zh

Abcam product promise

当社は、高品質な試薬を通じてお客様の研究を力強くサポートすることをお約束いたします。ご使用いただく各段階で、常にお客様をサポートできる体制を整えております。万が一、製品が期待通りに機能しない場合は、「Abcam Product Promise」による当社保証制度に基づき、安心してご利用いただけます。
保証に関する詳細については利用規約をご確認ください。

Please note: All products are 'FOR RESEARCH USE ONLY. NOT FOR USE IN DIAGNOSTIC OR THERAPEUTIC PROCEDURES'.

For licensing inquiries, please contact partnerships@abcam.com